About   Help   FAQ
Cyp11b2 Gene Detail
Summary
  • Symbol
    Cyp11b2
  • Name
    cytochrome P450, family 11, subfamily b, polypeptide 2
  • Synonyms
    aldosterone synthase, Cyp11b, Cyp11b-2, steroid-11-beta-hydroxylase
  • Feature Type
    protein coding gene
  • IDs
    MGI:88584
    NCBI Gene: 13072
  • Alliance
  • Transcription Start Sites
    2 TSS
Location &
Maps
more
  • Sequence Map
    Chr15:74722467-74728080 bp, - strand
    From NCBI annotation of GRCm39
  • View this region in JBrowse
  • Genome Browsers
  • Genetic Map
    Chromosome 15, 34.29 cM
  • Mapping Data
    2 experiments
Strain
Comparison
more
  • SNPs within 2kb
    211 from dbSNP Build 142
  • Strain Annotations
    16
For selected strains:
Strain Gene Model ID Feature Type Coordinates Select Strains
C57BL/6J MGI_C57BL6J_88584
protein coding gene Chr15:74722467-74728167 (-)
129S1/SvImJ MGP_129S1SvImJ_G0021943
protein coding gene Chr15:74643466-74655559 (-)
A/J no annotation
AKR/J MGP_AKRJ_G0021884
protein coding gene Chr15:73836007-73852736 (-)
BALB/cJ MGP_BALBcJ_G0021909
protein coding gene Chr15:72004475-72013250 (-)
C3H/HeJ MGP_C3HHeJ_G0021682
protein coding gene Chr15:73986865-73994826 (-)
C57BL/6NJ MGP_C57BL6NJ_G0022349
protein coding gene Chr15:77464031-77469339 (-)
CAROLI/EiJ MGP_CAROLIEiJ_G0019884
protein coding gene Chr15:68377857-68383182 (-)
CAST/EiJ MGP_CASTEiJ_G0021201
protein coding gene Chr15:74811328-74820515 (-)
CBA/J MGP_CBAJ_G0021648
protein coding gene Chr15:80004706-80016016 (-)
DBA/2J MGP_DBA2J_G0021773
protein coding gene Chr15:71576283-71583993 (-)
FVB/NJ MGP_FVBNJ_G0021755
protein coding gene Chr15:70616695-70622605 (-)
LP/J MGP_LPJ_G0021845
protein coding gene Chr15:74719814-74726435 (-)
NOD/ShiLtJ MGP_NODShiLtJ_G0021778
protein coding gene Chr15:85301190-85316712 (-)
NZO/HlLtJ MGP_NZOHlLtJ_G0022370
protein coding gene Chr15:74222612-74233285 (-)
PWK/PhJ MGP_PWKPhJ_G0020942
protein coding gene Chr15:71700065-71705571 (-)
SPRET/EiJ no annotation
WSB/EiJ MGP_WSBEiJ_G0021253
protein coding gene Chr15:74240702-74250275 (-)



Homology
more
  • Human Ortholog
    CYP11B1, cytochrome P450 family 11 subfamily B member 1
  • Vertebrate Orthologs
    5
Vertebrate Orthology Source
Alliance of Genome Resources
  • Human Ortholog
    CYP11B1, cytochrome P450 family 11 subfamily B member 1
  • Synonyms
    CPN1, CYP11B, FHI, P450C11
  • Links
    NCBI Gene ID: 1584
    UniProt: P15538

  • Chr Location
    8q24.3; chr8:142871528-142880000 (-)  GRCh38

  • Human Ortholog
    CYP11B2, cytochrome P450 family 11 subfamily B member 2
  • Synonyms
    ALDOS, CPN2, CYP11B, CYP11BL, CYPXIB2, P450aldo, P-450C18, P450C18
  • Links
    NCBI Gene ID: 1585
    UniProt: P19099

  • Chr Location
    8q24.3; chr8:142910559-142917850 (-)  GRCh38

Human Diseases
more
  • Diseases
    10 with human CYP11B1,CYP11B2 associations

Human Disease Mouse Models
      
IDs
View 1 model
IDs
IDs
IDs
IDs
IDs
IDs
IDs
IDs
IDs
Click on a disease name to see all genes associated with that disease.

  • References
    1 with disease annotations
Mutations,
Alleles, and
Phenotypes
less
  • Phenotype Summary
    25 phenotypes from 2 alleles in 1 genetic background
    2 phenotypes from multigenic genotypes
    69 phenotype references
Phenotype Overview

adipose tissue
behavior/neurological
cardiovascular system
cellular
craniofacial
digestive/alimentary system
embryo
endocrine/exocrine glands
growth/size/body
hearing/vestibular/ear
hematopoietic system
homeostasis/metabolism
integument
immune system
limbs/digits/tail
liver/biliary system
mortality/aging
muscle
nervous system
pigmentation
renal/urinary system
reproductive system
respiratory system
skeleton
taste/olfaction
neoplasm
vision/eye

Click cells to view annotations.
Mice homozygous for a null allele exhibit some postnatal lethality, altered blood chemistry, hypotension, and abnormal adrenal cortex morphology.
Gene Ontology
(GO)
Classifications
less
  • All GO Annotations
  • GO References
Molecular Function

carbohydrate derivative binding
cytoskeletal protein binding
DNA binding
enzyme regulator
hydrolase
ligase
lipid binding
oxidoreductase
RNA binding
signaling receptor activity
signaling receptor binding
transcription
transferase
transporter
Biological Process

carbohydrate derivative metabolism
cell differentiation
cell population proliferation
cellular component organization
DNA-templated transcription
establishment of localization
homeostatic process
immune system process
lipid metabolic process
programmed cell death
protein metabolic process
response to stimulus
signaling
system development
Cellular Component

cell projection
cytoplasmic vesicle
cytoskeleton
cytosol
endoplasmic reticulum
endosome
extracellular region
Golgi apparatus
mitochondrion
membraneless organelle
nucleus
organelle envelope
organelle lumen
plasma membrane
protein-containing complex
synapse
vacuole
Click cells to view annotations.
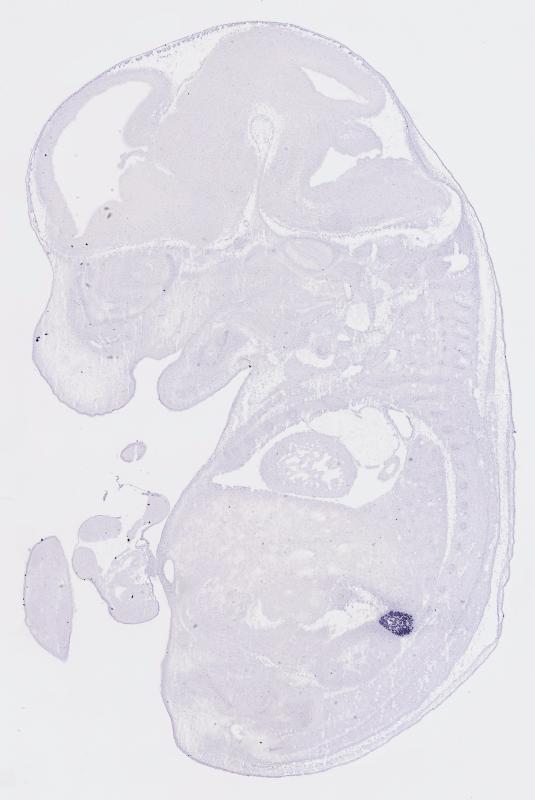
Expression
less
Expression Overview

early conceptus
embryo ectoderm
embryo endoderm
embryo mesoderm
embryo mesenchyme
extraembryonic component
alimentary system
auditory system
branchial arches
cardiovascular system
connective tissue
endocrine system
exocrine system
hemolymphoid system
integumental system
limbs
liver and biliary system
musculoskeletal system
nervous system
olfactory system
reproductive system
respiratory system
urinary system
visual system
Click cells to view annotations.


  • Assay Results
  • Tissues
  • cDNA Data
  • Literature Summary
  • Comparison Matrix
  • Sequences &
    Gene Models
    less
    Representative SequencesLengthStrain/SpeciesFlank
    genomic 13072 NCBI Gene Model | MGI Sequence Detail 5614 C57BL/6J ±  kb
    transcript NM_009991 RefSeq | MGI Sequence Detail 1930 ZRU/MplStud  
    polypeptide P15539 UniProt | EBI | MGI Sequence Detail 500 Not Applicable  
    For the selected sequence
    Protein
    Information
    less
    Molecular
    Reagents
    less
    • All nucleic 8
      Genomic 2
      cDNA 3
      Primer pair 3
      Antibodies 1

      Microarray probesets 2
    Other
    Accession IDs
    less
    MGD-MRK-2292, MGD-MRK-2294, MGD-MRK-2296
    References
    more
    • Summaries
      All 129
      Developmental Gene Expression 20
      Diseases 1
      Gene Ontology 17
      Phenotypes 69
    • Earliest
      J:109968 Roderick TH, et al., Nineteen paracentric chromosomal inversions in mice. Genetics. 1974 Jan;76(1):109-17
    • Latest
      J:381871 Berber M, et al., Rho/ROCK signaling and alpha-catenin mediate beta-catenin-driven hyperplasia in the adrenal cortex via adherens junctions. J Clin Invest. 2026 Mar 16;136(6)

    Contributing Projects:
    Mouse Genome Database (MGD), Gene Expression Database (GXD), Mouse Models of Human Cancer database (MMHCdb) (formerly Mouse Tumor Biology (MTB)), Gene Ontology (GO)
    Citing These Resources
    Funding Information
    Warranty Disclaimer, Privacy Notice, Licensing, & Copyright
    Send questions and comments to User Support.
    last database update
    05/05/2026
    MGI 6.24
    The Jackson Laboratory