About   Help   FAQ
Mmp1b Gene Detail
Summary
  • Symbol
    Mmp1b
  • Name
    matrix metallopeptidase 1b (interstitial collagenase)
  • Synonyms
    Mcol-B
  • Feature Type
    protein coding gene
  • IDs
    MGI:1933847
    NCBI Gene: 83996
  • Alliance
Location &
Maps
more
  • Sequence Map
    Chr9:7368239-7388047 bp, - strand
    From Ensembl annotation of GRCm39
  • View this region in JBrowse
  • Genome Browsers
  • Genetic Map
    Chromosome 9, 2.46 cM, cytoband A1-A2
  • Mapping Data
    1 experiment
Strain
Comparison
more
  • SNPs within 2kb
    373 from dbSNP Build 142
  • Strain Annotations
    12
For selected strains:
Strain Gene Model ID Feature Type Coordinates Select Strains
C57BL/6J MGI_C57BL6J_1933847
protein coding gene Chr9:7367670-7388047 (-)
129S1/SvImJ no annotation
A/J MGP_AJ_G0034299
protein coding gene Chr9:4418351-4433358 (+)
AKR/J no annotation
BALB/cJ MGP_BALBcJ_G0034293
protein coding gene Chr9:4164201-4176752 (+)
C3H/HeJ no annotation
C57BL/6NJ MGP_C57BL6NJ_G0034814
protein coding gene Chr9:4391310-4409780 (-)
CAROLI/EiJ MGP_CAROLIEiJ_G0031753
protein coding gene Chr9:3718913-3739951 (+)
CAST/EiJ MGP_CASTEiJ_G0033331
protein coding gene Chr9:4409575-4420081 (-)
CBA/J MGP_CBAJ_G0033976
protein coding gene Chr9:4487090-4511099 (-)
DBA/2J MGP_DBA2J_G0034134
protein coding gene Chr9:4325895-4340162 (+)
FVB/NJ MGP_FVBNJ_G0034078
protein coding gene Chr9:3990543-4008710 (-)
LP/J no annotation
NOD/ShiLtJ MGP_NODShiLtJ_G0034122
protein coding gene Chr9:5204386-5226680 (-)
NZO/HlLtJ MGP_NZOHlLtJ_G0034834
protein coding gene Chr9:4289600-4309880 (+)
PWK/PhJ no annotation
SPRET/EiJ MGP_SPRETEiJ_G0032873
protein coding gene Chr9:4541537-4555213 (+)
WSB/EiJ no annotation



Homology
more
  • Human Ortholog
    MMP1, matrix metallopeptidase 1
  • Vertebrate Orthologs
    2
Vertebrate Orthology Source
Alliance of Genome Resources
  • Human Ortholog
    MMP1, matrix metallopeptidase 1
  • Synonyms
    CLG, CLGN
  • Links
    NCBI Gene ID: 4312
    UniProt: P03956

  • Chr Location
    11q22.2; chr11:102789401-102798160 (-)  GRCh38

Human Diseases
more
  • Diseases
    35 with human MMP1 associations

Human Disease Mouse Models
      
IDs
IDs
IDs
IDs
IDs
IDs
IDs
IDs
IDs
IDs
IDs
IDs
IDs
IDs
IDs
IDs
IDs
IDs
IDs
IDs
IDs
IDs
IDs
IDs
IDs
IDs
IDs
IDs
IDs
IDs
IDs
IDs
IDs
IDs
IDs
Click on a disease name to see all genes associated with that disease.

Mutations,
Alleles, and
Phenotypes
less
  • Phenotype Summary
    1 phenotype reference
Gene Ontology
(GO)
Classifications
less
  • All GO Annotations
  • GO References
Molecular Function

carbohydrate derivative binding
cytoskeletal protein binding
DNA binding
enzyme regulator
hydrolase
ligase
lipid binding
oxidoreductase
RNA binding
signaling receptor activity
signaling receptor binding
transcription
transferase
transporter
Biological Process

carbohydrate derivative metabolism
cell differentiation
cell population proliferation
cellular component organization
DNA-templated transcription
establishment of localization
homeostatic process
immune system process
lipid metabolic process
programmed cell death
protein metabolic process
response to stimulus
signaling
system development
Cellular Component

cell projection
cytoplasmic vesicle
cytoskeleton
cytosol
endoplasmic reticulum
endosome
extracellular region
Golgi apparatus
mitochondrion
membraneless organelle
nucleus
organelle envelope
organelle lumen
plasma membrane
protein-containing complex
synapse
vacuole
Click cells to view annotations.
Expression
less
Expression Overview

early conceptus
embryo ectoderm
embryo endoderm
embryo mesoderm
embryo mesenchyme
extraembryonic component
alimentary system
auditory system
branchial arches
cardiovascular system
connective tissue
endocrine system
exocrine system
hemolymphoid system
integumental system
limbs
liver and biliary system
musculoskeletal system
nervous system
olfactory system
reproductive system
respiratory system
urinary system
visual system
Click cells to view annotations.


  • Assay Results
  • Tissues
  • cDNA Data
  • Literature Summary
Sequences &
Gene Models
less
Representative SequencesLengthStrain/SpeciesFlank
genomic ENSMUSG00000041620 Ensembl Gene Model | MGI Sequence Detail 19809 C57BL/6J ±  kb
transcript ENSMUST00000047888 Ensembl | MGI Sequence Detail 1449 Not Applicable  
polypeptide ENSMUSP00000047261 Ensembl | MGI Sequence Detail 463 Not Applicable  
For the selected sequence
Protein
Information
less
Molecular
Reagents
less
  • All nucleic 8
    Genomic 3
    cDNA 3
    Primer pair 2

    Microarray probesets 2
References
more
  • Summaries
    All 25
    Developmental Gene Expression 7
    Gene Ontology 6
    Phenotypes 1
  • Earliest
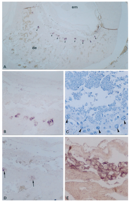
    J:68613 Balbin M, et al., Identification and enzymatic characterization of two diverging murine counterparts of human interstitial collagenase (MMP-1) expressed at sites of embryo implantation. J Biol Chem. 2001 Mar 30;276(13):10253-62
  • Latest
    J:340401 Varadinkova S, et al., Expression dynamics of metalloproteinases during mandibular bone formation: association with Myb transcription factor. Front Cell Dev Biol. 2023;11:1168866

Contributing Projects:
Mouse Genome Database (MGD), Gene Expression Database (GXD), Mouse Models of Human Cancer database (MMHCdb) (formerly Mouse Tumor Biology (MTB)), Gene Ontology (GO)
Citing These Resources
Funding Information
Warranty Disclaimer, Privacy Notice, Licensing, & Copyright
Send questions and comments to User Support.
last database update
12/30/2025
MGI 6.24
The Jackson Laboratory