About   Help   FAQ
Gene Expression Data
Assay Details
Assay
Reference: J:228563 Koscielny G, et al., The International Mouse Phenotyping Consortium Web Portal, a unified point of access for knockout mice and related phenotyping data. Nucleic Acids Res. 2014 Jan;42(Database issue):D802-9
Assay type: In situ reporter (knock in)
MGI Accession ID: MGI:6692301
Gene symbol: Dbn1
Gene name: drebrin 1
Reporter: lacZ
Direct Detection
Results
Specimen JAX_1618452: embryonic day 12.5; Dbn1tm1b(KOMP)Wtsi/Dbn1+ (more )
Structure Level Pattern Image Note
TS20: embryo Present JAX_1618452

Specimen JAX_1618453: embryonic day 12.5; Dbn1tm1b(KOMP)Wtsi/Dbn1+ (more )
Structure Level Pattern Image Note
TS20: embryo Present JAX_1618453

Specimen JAX_1618454: embryonic day 12.5; Dbn1tm1b(KOMP)Wtsi/Dbn1+ (more )
Structure Level Pattern Image Note
TS20: embryo Present JAX_1618454

Specimen JAX_1618455: embryonic day 12.5; Dbn1tm1b(KOMP)Wtsi/Dbn1+ (more )
Structure Level Pattern Image Note
TS20: embryo Present JAX_1618455

Specimen JAX_1618456: embryonic day 12.5; Dbn1tm1b(KOMP)Wtsi/Dbn1+ (more )
Structure Level Pattern Image Note
TS20: embryo Present JAX_1618456

Specimen JAX_1618457: embryonic day 12.5; Dbn1tm1b(KOMP)Wtsi/Dbn1+ (more )
Structure Level Pattern Image Note
TS20: embryo Present JAX_1618457

Specimen JAX_1618458: embryonic day 12.5; Dbn1tm1b(KOMP)Wtsi/Dbn1+ (more )
Structure Level Pattern Image Note
TS20: embryo Present JAX_1618458

Specimen JAX_1618459: embryonic day 12.5; Dbn1tm1b(KOMP)Wtsi/Dbn1+ (more )
Structure Level Pattern Image Note
TS20: embryo Present JAX_1618459

Specimen JAX_1370157: embryonic day 12.5; Dbn1tm1b(KOMP)Wtsi/Dbn1+ (more )
Structure Level Pattern Image Note
TS20: embryo Present JAX_1370157

Specimen JAX_1370158: embryonic day 12.5; Dbn1tm1b(KOMP)Wtsi/Dbn1+ (more )
Structure Level Pattern Image Note
TS20: embryo Present JAX_1370158

Specimen JAX_1370159: embryonic day 12.5; Dbn1tm1b(KOMP)Wtsi/Dbn1+ (more )
Structure Level Pattern Image Note
TS20: embryo Present JAX_1370159

Specimen JAX_1370160: embryonic day 12.5; Dbn1tm1b(KOMP)Wtsi/Dbn1+ (more )
Structure Level Pattern Image Note
TS20: embryo Present JAX_1370160

Specimen RBRC_735931: embryonic day 12.5; Dbn1tm1b(KOMP)Wtsi/Dbn1+ (more )
Structure Level Pattern Image Note
TS20: head Present RBRC_735931

Specimen RBRC_735933: embryonic day 12.5; Dbn1tm1b(KOMP)Wtsi/Dbn1+ (more )
Structure Level Pattern Image Note
TS20: head Present RBRC_735933

Specimen RBRC_735935: embryonic day 12.5; Dbn1tm1b(KOMP)Wtsi/Dbn1+ (more )
Structure Level Pattern Image Note
TS20: embryo Present RBRC_735935

Specimen RBRC_735937: embryonic day 12.5; Dbn1tm1b(KOMP)Wtsi/Dbn1+ (more )
Structure Level Pattern Image Note
TS20: head Present RBRC_735937

Specimen RBRC_735939: embryonic day 12.5; Dbn1tm1b(KOMP)Wtsi/Dbn1+ (more )
Structure Level Pattern Image Note
TS20: forebrain Present RBRC_735939

Specimen RBRC_735941: embryonic day 12.5; Dbn1tm1b(KOMP)Wtsi/Dbn1+ (more )
Structure Level Pattern Image Note
TS20: midbrain Present RBRC_735941

Specimen RBRC_735943: embryonic day 12.5; Dbn1tm1b(KOMP)Wtsi/Dbn1+ (more )
Structure Level Pattern Image Note
TS20: hindbrain Present RBRC_735943

Specimen RBRC_735945: embryonic day 12.5; Dbn1tm1b(KOMP)Wtsi/Dbn1+ (more )
Structure Level Pattern Image Note
TS20: embryo Present RBRC_735945

Specimen RBRC_735947: embryonic day 12.5; Dbn1tm1b(KOMP)Wtsi/Dbn1+ (more )
Structure Level Pattern Image Note
TS20: embryo Present RBRC_735947

Specimen RBRC_735949: embryonic day 12.5; Dbn1tm1b(KOMP)Wtsi/Dbn1+ (more )
Structure Level Pattern Image Note
TS20: embryo Present RBRC_735949

Specimen RBRC_735951: embryonic day 12.5; Dbn1tm1b(KOMP)Wtsi/Dbn1+ (more )
Structure Level Pattern Image Note
TS20: head Present RBRC_735951

Specimen RBRC_735953: embryonic day 12.5; Dbn1tm1b(KOMP)Wtsi/Dbn1+ (more )
Structure Level Pattern Image Note
TS20: eye Present RBRC_735953

Specimen RBRC_735955: embryonic day 12.5; Dbn1tm1b(KOMP)Wtsi/Dbn1+ (more )
Structure Level Pattern Image Note
TS20: mandibular process Present RBRC_735955
TS20: maxillary process Present RBRC_735955

Specimen RBRC_735957: embryonic day 12.5; Dbn1tm1b(KOMP)Wtsi/Dbn1+ (more )
Structure Level Pattern Image Note
TS20: embryo Present RBRC_735957

Specimen RBRC_735959: embryonic day 12.5; Dbn1tm1b(KOMP)Wtsi/Dbn1+ (more )
Structure Level Pattern Image Note
TS20: embryo Present RBRC_735959

Specimen RBRC_735961: embryonic day 12.5; Dbn1tm1b(KOMP)Wtsi/Dbn1+ (more )
Structure Level Pattern Image Note
TS20: embryo Present RBRC_735961

Specimen RBRC_735963: embryonic day 12.5; Dbn1tm1b(KOMP)Wtsi/Dbn1+ (more )
Structure Level Pattern Image Note
TS20: forelimb Present RBRC_735963

Specimen RBRC_735965: embryonic day 12.5; Dbn1tm1b(KOMP)Wtsi/Dbn1+ (more )
Structure Level Pattern Image Note
TS20: hindlimb Present RBRC_735965

Specimen RBRC_735967: embryonic day 12.5; Dbn1tm1b(KOMP)Wtsi/Dbn1+ (more )
Structure Level Pattern Image Note
TS20: embryo Present RBRC_735967

Specimen RBRC_735969: embryonic day 12.5; Dbn1tm1b(KOMP)Wtsi/Dbn1+ (more )
Structure Level Pattern Image Note
TS20: head Present RBRC_735969

Specimen RBRC_735971: embryonic day 12.5; Dbn1tm1b(KOMP)Wtsi/Dbn1+ (more )
Structure Level Pattern Image Note
TS20: forebrain Present RBRC_735971

Specimen RBRC_735973: embryonic day 12.5; Dbn1tm1b(KOMP)Wtsi/Dbn1+ (more )
Structure Level Pattern Image Note
TS20: eye Present RBRC_735973

Specimen RBRC_735975: embryonic day 12.5; Dbn1tm1b(KOMP)Wtsi/Dbn1+ (more )
Structure Level Pattern Image Note
TS20: tail Present RBRC_735975
TS20: tail somite Present RBRC_735975

Specimen RBRC_735977: embryonic day 12.5; Dbn1tm1b(KOMP)Wtsi/Dbn1+ (more )
Structure Level Pattern Image Note
TS20: embryo Present RBRC_735977

Specimen RBRC_735979: embryonic day 12.5; Dbn1tm1b(KOMP)Wtsi/Dbn1+ (more )
Structure Level Pattern Image Note
TS20: embryo Present RBRC_735979

Specimen RBRC_735981: embryonic day 12.5; Dbn1tm1b(KOMP)Wtsi/Dbn1+ (more )
Structure Level Pattern Image Note
TS20: embryo Present RBRC_735981

Specimen RBRC_735983: embryonic day 12.5; Dbn1tm1b(KOMP)Wtsi/Dbn1+ (more )
Structure Level Pattern Image Note
TS20: embryo Present RBRC_735983

Specimen RBRC_735985: embryonic day 12.5; Dbn1tm1b(KOMP)Wtsi/Dbn1+ (more )
Structure Level Pattern Image Note
TS20: embryo Present RBRC_735985

Specimen RBRC_735987: embryonic day 12.5; Dbn1tm1b(KOMP)Wtsi/Dbn1+ (more )
Structure Level Pattern Image Note
TS20: heart Ambiguous RBRC_735987

Specimen RBRC_735989: embryonic day 12.5; Dbn1tm1b(KOMP)Wtsi/Dbn1+ (more )
Structure Level Pattern Image Note
TS20: heart Ambiguous RBRC_735989

Specimen RBRC_735991: embryonic day 12.5; Dbn1tm1b(KOMP)Wtsi/Dbn1+ (more )
Structure Level Pattern Image Note
TS20: liver Ambiguous RBRC_735991

Specimen RBRC_735993: embryonic day 12.5; Dbn1tm1b(KOMP)Wtsi/Dbn1+ (more )
Structure Level Pattern Image Note
TS20: head Present RBRC_735993

Specimen RBRC_735995: embryonic day 12.5; Dbn1tm1b(KOMP)Wtsi/Dbn1+ (more )
Structure Level Pattern Image Note
TS20: forebrain Present RBRC_735995

Specimen RBRC_735997: embryonic day 12.5; Dbn1tm1b(KOMP)Wtsi/Dbn1+ (more )
Structure Level Pattern Image Note
TS20: embryo Present RBRC_735997

Specimen RBRC_735999: embryonic day 12.5; Dbn1tm1b(KOMP)Wtsi/Dbn1+ (more )
Structure Level Pattern Image Note
TS20: embryo Present RBRC_735999

Specimen RBRC_736001: embryonic day 12.5; Dbn1tm1b(KOMP)Wtsi/Dbn1+ (more )
Structure Level Pattern Image Note
TS20: head Present RBRC_736001

Specimen RBRC_736003: embryonic day 12.5; Dbn1tm1b(KOMP)Wtsi/Dbn1+ (more )
Structure Level Pattern Image Note
TS20: forebrain Present RBRC_736003

Specimen RBRC_736005: embryonic day 12.5; Dbn1tm1b(KOMP)Wtsi/Dbn1+ (more )
Structure Level Pattern Image Note
TS20: midbrain Present RBRC_736005

Specimen RBRC_736007: embryonic day 12.5; Dbn1tm1b(KOMP)Wtsi/Dbn1+ (more )
Structure Level Pattern Image Note
TS20: embryo Present RBRC_736007

Specimen RBRC_736009: embryonic day 12.5; Dbn1tm1b(KOMP)Wtsi/Dbn1+ (more )
Structure Level Pattern Image Note
TS20: embryo Present RBRC_736009

Specimen RBRC_736011: embryonic day 12.5; Dbn1tm1b(KOMP)Wtsi/Dbn1+ (more )
Structure Level Pattern Image Note
TS20: forelimb Present RBRC_736011

Specimen RBRC_736013: embryonic day 12.5; Dbn1tm1b(KOMP)Wtsi/Dbn1+ (more )
Structure Level Pattern Image Note
TS20: hindlimb Present RBRC_736013

Specimen RBRC_736015: embryonic day 12.5; Dbn1tm1b(KOMP)Wtsi/Dbn1+ (more )
Structure Level Pattern Image Note
TS20: embryo Present RBRC_736015

Specimen RBRC_736017: embryonic day 12.5; Dbn1tm1b(KOMP)Wtsi/Dbn1+ (more )
Structure Level Pattern Image Note
TS20: head Present RBRC_736017

Specimen RBRC_736019: embryonic day 12.5; Dbn1tm1b(KOMP)Wtsi/Dbn1+ (more )
Structure Level Pattern Image Note
TS20: eye Present RBRC_736019

Specimen RBRC_736021: embryonic day 12.5; Dbn1tm1b(KOMP)Wtsi/Dbn1+ (more )
Structure Level Pattern Image Note
TS20: embryo Present RBRC_736021

Specimen RBRC_736023: embryonic day 12.5; Dbn1tm1b(KOMP)Wtsi/Dbn1+ (more )
Structure Level Pattern Image Note
TS20: embryo Present RBRC_736023

Specimen RBRC_736025: embryonic day 12.5; Dbn1tm1b(KOMP)Wtsi/Dbn1+ (more )
Structure Level Pattern Image Note
TS20: head Present RBRC_736025

Specimen RBRC_736027: embryonic day 12.5; Dbn1tm1b(KOMP)Wtsi/Dbn1+ (more )
Structure Level Pattern Image Note
TS20: midbrain Present RBRC_736027

Specimen RBRC_736029: embryonic day 12.5; Dbn1tm1b(KOMP)Wtsi/Dbn1+ (more )
Structure Level Pattern Image Note
TS20: forebrain Present RBRC_736029

Specimen RBRC_736031: embryonic day 12.5; Dbn1tm1b(KOMP)Wtsi/Dbn1+ (more )
Structure Level Pattern Image Note
TS20: eye Present RBRC_736031

Specimen RBRC_736033: embryonic day 12.5; Dbn1tm1b(KOMP)Wtsi/Dbn1+ (more )
Structure Level Pattern Image Note
TS20: embryo Present RBRC_736033

Specimen RBRC_736035: embryonic day 12.5; Dbn1tm1b(KOMP)Wtsi/Dbn1+ (more )
Structure Level Pattern Image Note
TS20: embryo Present RBRC_736035

Specimen RBRC_736037: embryonic day 12.5; Dbn1tm1b(KOMP)Wtsi/Dbn1+ (more )
Structure Level Pattern Image Note
TS20: tail Present RBRC_736037
TS20: tail somite Present RBRC_736037

Specimen RBRC_736039: embryonic day 12.5; Dbn1tm1b(KOMP)Wtsi/Dbn1+ (more )
Structure Level Pattern Image Note
TS20: embryo Present RBRC_736039

Specimen RBRC_736041: embryonic day 12.5; Dbn1tm1b(KOMP)Wtsi/Dbn1+ (more )
Structure Level Pattern Image Note
TS20: embryo Present RBRC_736041

Specimen RBRC_736043: embryonic day 12.5; Dbn1tm1b(KOMP)Wtsi/Dbn1+ (more )
Structure Level Pattern Image Note
TS20: embryo Present RBRC_736043

Specimen RBRC_736045: embryonic day 12.5; Dbn1tm1b(KOMP)Wtsi/Dbn1+ (more )
Structure Level Pattern Image Note
TS20: embryo Present RBRC_736045

Specimen RBRC_736047: embryonic day 12.5; Dbn1tm1b(KOMP)Wtsi/Dbn1+ (more )
Structure Level Pattern Image Note
TS20: embryo Present RBRC_736047

Specimen RBRC_736049: embryonic day 12.5; Dbn1tm1b(KOMP)Wtsi/Dbn1+ (more )
Structure Level Pattern Image Note
TS20: heart Ambiguous RBRC_736049

Specimen RBRC_736051: embryonic day 12.5; Dbn1tm1b(KOMP)Wtsi/Dbn1+ (more )
Structure Level Pattern Image Note
TS20: heart Ambiguous RBRC_736051

Specimen RBRC_736053: embryonic day 12.5; Dbn1tm1b(KOMP)Wtsi/Dbn1+ (more )
Structure Level Pattern Image Note
TS20: liver Absent RBRC_736053

Specimen BCM_1060771: postnatal adult; Dbn1tm1b(KOMP)Wtsi/Dbn1+ (more )
Structure Level Pattern Image Note
TS28: parathyroid gland Present BCM_1060771
TS28: thyroid gland Present BCM_1060771

Specimen BCM_1060773: postnatal adult; Dbn1tm1b(KOMP)Wtsi/Dbn1+ (more )
Structure Level Pattern Image Note
TS28: lower urinary tract Ambiguous BCM_1060773

Specimen BCM_1060775: postnatal adult; Dbn1tm1b(KOMP)Wtsi/Dbn1+ (more )
Structure Level Pattern Image Note
TS28: ovary Present BCM_1060775
TS28: oviduct Present BCM_1060775
TS28: uterus Present BCM_1060775

Specimen BCM_1060777: postnatal adult; Dbn1tm1b(KOMP)Wtsi/Dbn1+ (more )
Structure Level Pattern Image Note
TS28: brain Present BCM_1060777
TS28: brainstem Present BCM_1060777
TS28: cerebellum Present BCM_1060777
TS28: cerebral cortex Present BCM_1060777
TS28: hippocampus Present BCM_1060777
TS28: hypothalamus Present BCM_1060777
TS28: olfactory lobe Present BCM_1060777
TS28: corpus striatum Present BCM_1060777

Specimen BCM_1060779: postnatal adult; Dbn1tm1b(KOMP)Wtsi/Dbn1+ (more )
Structure Level Pattern Image Note
TS28: adrenal gland Present BCM_1060779

Specimen CCP-IMG_2127786: postnatal adult; Dbn1tm1b(KOMP)Wtsi/Dbn1+ (more )
Structure Level Pattern Image Note
TS28: thymus Absent CCP-IMG_2127786

Specimen CCP-IMG_2127787: postnatal adult; Dbn1tm1b(KOMP)Wtsi/Dbn1+ (more )
Structure Level Pattern Image Note
TS28: thyroid gland Present CCP-IMG_2127787

Specimen CCP-IMG_2127789: postnatal adult; Dbn1tm1b(KOMP)Wtsi/Dbn1+ (more )
Structure Level Pattern Image Note
TS28: quadriceps femoris muscle Absent CCP-IMG_2127789

Specimen CCP-IMG_2127790: postnatal adult; Dbn1tm1b(KOMP)Wtsi/Dbn1+ (more )
Structure Level Pattern Image Note
TS28: skin Absent CCP-IMG_2127790

Specimen CCP-IMG_2127791: postnatal adult; Dbn1tm1b(KOMP)Wtsi/Dbn1+ (more )
Structure Level Pattern Image Note
TS28: diaphragm Absent CCP-IMG_2127791

Specimen CCP-IMG_2127792: postnatal adult; Dbn1tm1b(KOMP)Wtsi/Dbn1+ (more )
Structure Level Pattern Image Note
TS28: spleen Absent CCP-IMG_2127792

Specimen CCP-IMG_2127793: postnatal adult; Dbn1tm1b(KOMP)Wtsi/Dbn1+ (more )
Structure Level Pattern Image Note
TS28: jejunum Absent CCP-IMG_2127793

Specimen CCP-IMG_2127794: postnatal adult; Dbn1tm1b(KOMP)Wtsi/Dbn1+ (more )
Structure Level Pattern Image Note
TS28: colon Absent CCP-IMG_2127794

Specimen CCP-IMG_2127795: postnatal adult; Dbn1tm1b(KOMP)Wtsi/Dbn1+ (more )
Structure Level Pattern Image Note
TS28: brainstem Present CCP-IMG_2127795

Specimen CCP-IMG_2127796: postnatal adult; Dbn1tm1b(KOMP)Wtsi/Dbn1+ (more )
Structure Level Pattern Image Note
TS28: white fat Absent CCP-IMG_2127796

Specimen CCP-IMG_2127797: postnatal adult; Dbn1tm1b(KOMP)Wtsi/Dbn1+ (more )
Structure Level Pattern Image Note
TS28: cranium Present CCP-IMG_2127797

Specimen CCP-IMG_2127798: postnatal adult; Dbn1tm1b(KOMP)Wtsi/Dbn1+ (more )
Structure Level Pattern Image Note
TS28: large intestine Absent CCP-IMG_2127798

Specimen CCP-IMG_2127799: postnatal adult; Dbn1tm1b(KOMP)Wtsi/Dbn1+ (more )
Structure Level Pattern Image Note
TS28: trachea Absent CCP-IMG_2127799

Specimen CCP-IMG_2127800: postnatal adult; Dbn1tm1b(KOMP)Wtsi/Dbn1+ (more )
Structure Level Pattern Image Note
TS28: gallbladder Absent CCP-IMG_2127800

Specimen CCP-IMG_2127801: postnatal adult; Dbn1tm1b(KOMP)Wtsi/Dbn1+ (more )
Structure Level Pattern Image Note
TS28: aorta Absent CCP-IMG_2127801

Specimen CCP-IMG_2127802: postnatal adult; Dbn1tm1b(KOMP)Wtsi/Dbn1+ (more )
Structure Level Pattern Image Note
TS28: ileum Absent CCP-IMG_2127802

Specimen CCP-IMG_2127803: postnatal adult; Dbn1tm1b(KOMP)Wtsi/Dbn1+ (more )
Structure Level Pattern Image Note
TS28: hippocampus Present CCP-IMG_2127803

Specimen CCP-IMG_2127804: postnatal adult; Dbn1tm1b(KOMP)Wtsi/Dbn1+ (more )
Structure Level Pattern Image Note
TS28: oral epithelium Present CCP-IMG_2127804

Specimen CCP-IMG_2127805: postnatal adult; Dbn1tm1b(KOMP)Wtsi/Dbn1+ (more )
Structure Level Pattern Image Note
TS28: cerebral cortex Present CCP-IMG_2127805

Specimen CCP-IMG_2127806: postnatal adult; Dbn1tm1b(KOMP)Wtsi/Dbn1+ (more )
Structure Level Pattern Image Note
TS28: eye Absent CCP-IMG_2127806

Specimen CCP-IMG_2127807: postnatal adult; Dbn1tm1b(KOMP)Wtsi/Dbn1+ (more )
Structure Level Pattern Image Note
TS28: oviduct Present CCP-IMG_2127807

Specimen CCP-IMG_2127808: postnatal adult; Dbn1tm1b(KOMP)Wtsi/Dbn1+ (more )
Structure Level Pattern Image Note
TS28: vascular system Absent CCP-IMG_2127808

Specimen CCP-IMG_2127809: postnatal adult; Dbn1tm1b(KOMP)Wtsi/Dbn1+ (more )
Structure Level Pattern Image Note
TS28: small intestine Absent CCP-IMG_2127809

Specimen CCP-IMG_2127810: postnatal adult; Dbn1tm1b(KOMP)Wtsi/Dbn1+ (more )
Structure Level Pattern Image Note
TS28: brown fat Absent CCP-IMG_2127810

Specimen CCP-IMG_2127811: postnatal adult; Dbn1tm1b(KOMP)Wtsi/Dbn1+ (more )
Structure Level Pattern Image Note
TS28: tongue Present CCP-IMG_2127811

Specimen CCP-IMG_2127812: postnatal adult; Dbn1tm1b(KOMP)Wtsi/Dbn1+ (more )
Structure Level Pattern Image Note
TS28: hypothalamus Present CCP-IMG_2127812

Specimen CCP-IMG_2127813: postnatal adult; Dbn1tm1b(KOMP)Wtsi/Dbn1+ (more )
Structure Level Pattern Image Note
TS28: Peyer's patch Absent CCP-IMG_2127813

Specimen CCP-IMG_2127814: postnatal adult; Dbn1tm1b(KOMP)Wtsi/Dbn1+ (more )
Structure Level Pattern Image Note
TS28: duodenum Absent CCP-IMG_2127814

Specimen CCP-IMG_2127815: postnatal adult; Dbn1tm1b(KOMP)Wtsi/Dbn1+ (more )
Structure Level Pattern Image Note
TS28: spinal cord Present CCP-IMG_2127815

Specimen CCP-IMG_2127816: postnatal adult; Dbn1tm1b(KOMP)Wtsi/Dbn1+ (more )
Structure Level Pattern Image Note
TS28: parathyroid gland Present CCP-IMG_2127816

Specimen CCP-IMG_2127817: postnatal adult; Dbn1tm1b(KOMP)Wtsi/Dbn1+ (more )
Structure Level Pattern Image Note
TS28: Harderian gland Absent CCP-IMG_2127817

Specimen CCP-IMG_2127818: postnatal adult; Dbn1tm1b(KOMP)Wtsi/Dbn1+ (more )
Structure Level Pattern Image Note
TS28: lower urinary tract Present CCP-IMG_2127818

Specimen CCP-IMG_2127819: postnatal adult; Dbn1tm1b(KOMP)Wtsi/Dbn1+ (more )
Structure Level Pattern Image Note
TS28: lung Absent CCP-IMG_2127819

Specimen CCP-IMG_2127820: postnatal adult; Dbn1tm1b(KOMP)Wtsi/Dbn1+ (more )
Structure Level Pattern Image Note
TS28: liver Absent CCP-IMG_2127820

Specimen CCP-IMG_2127821: postnatal adult; Dbn1tm1b(KOMP)Wtsi/Dbn1+ (more )
Structure Level Pattern Image Note
TS28: skeletal muscle tissue Absent CCP-IMG_2127821

Specimen CCP-IMG_2127822: postnatal adult; Dbn1tm1b(KOMP)Wtsi/Dbn1+ (more )
Structure Level Pattern Image Note
TS28: bladder Present CCP-IMG_2127822

Specimen CCP-IMG_2127823: postnatal adult; Dbn1tm1b(KOMP)Wtsi/Dbn1+ (more )
Structure Level Pattern Image Note
TS28: lymph node Absent CCP-IMG_2127823

Specimen CCP-IMG_2127824: postnatal adult; Dbn1tm1b(KOMP)Wtsi/Dbn1+ (more )
Structure Level Pattern Image Note
TS28: adrenal gland Present CCP-IMG_2127824

Specimen CCP-IMG_2127825: postnatal adult; Dbn1tm1b(KOMP)Wtsi/Dbn1+ (more )
Structure Level Pattern Image Note
TS28: corpus striatum Present CCP-IMG_2127825

Specimen CCP-IMG_2127826: postnatal adult; Dbn1tm1b(KOMP)Wtsi/Dbn1+ (more )
Structure Level Pattern Image Note
TS28: submandibular gland Absent CCP-IMG_2127826

Specimen CCP-IMG_2127827: postnatal adult; Dbn1tm1b(KOMP)Wtsi/Dbn1+ (more )
Structure Level Pattern Image Note
TS28: brain Present CCP-IMG_2127827

Specimen CCP-IMG_2127828: postnatal adult; Dbn1tm1b(KOMP)Wtsi/Dbn1+ (more )
Structure Level Pattern Image Note
TS28: stomach Present CCP-IMG_2127828

Specimen CCP-IMG_2127829: postnatal adult; Dbn1tm1b(KOMP)Wtsi/Dbn1+ (more )
Structure Level Pattern Image Note
TS28: pancreas Present CCP-IMG_2127829

Specimen CCP-IMG_2127830: postnatal adult; Dbn1tm1b(KOMP)Wtsi/Dbn1+ (more )
Structure Level Pattern Image Note
TS28: heart Absent CCP-IMG_2127830

Specimen CCP-IMG_2127831: postnatal adult; Dbn1tm1b(KOMP)Wtsi/Dbn1+ (more )
Structure Level Pattern Image Note
TS28: pituitary gland Present CCP-IMG_2127831

Specimen CCP-IMG_2127832: postnatal adult; Dbn1tm1b(KOMP)Wtsi/Dbn1+ (more )
Structure Level Pattern Image Note
TS28: esophagus Absent CCP-IMG_2127832

Specimen CCP-IMG_2127833: postnatal adult; Dbn1tm1b(KOMP)Wtsi/Dbn1+ (more )
Structure Level Pattern Image Note
TS28: uterus Present CCP-IMG_2127833

Specimen CCP-IMG_2127835: postnatal adult; Dbn1tm1b(KOMP)Wtsi/Dbn1+ (more )
Structure Level Pattern Image Note
TS28: metanephros Present CCP-IMG_2127835 kidney

Specimen CCP-IMG_2127836: postnatal adult; Dbn1tm1b(KOMP)Wtsi/Dbn1+ (more )
Structure Level Pattern Image Note
TS28: hindlimb Absent CCP-IMG_2127836

Specimen CCP-IMG_2127837: postnatal adult; Dbn1tm1b(KOMP)Wtsi/Dbn1+ (more )
Structure Level Pattern Image Note
TS28: ovary Present CCP-IMG_2127837

Specimen CCP-IMG_2127838: postnatal adult; Dbn1tm1b(KOMP)Wtsi/Dbn1+ (more )
Structure Level Pattern Image Note
TS28: peripheral nervous system Absent CCP-IMG_2127838

Specimen CCP-IMG_2127839: postnatal adult; Dbn1tm1b(KOMP)Wtsi/Dbn1+ (more )
Structure Level Pattern Image Note
TS28: thoracic segment skeleton Absent CCP-IMG_2127839 chest bone

Specimen CCP-IMG_2127840: postnatal adult; Dbn1tm1b(KOMP)Wtsi/Dbn1+ (more )
Structure Level Pattern Image Note
TS28: cecum Absent CCP-IMG_2127840

Specimen CCP-IMG_2127841: postnatal adult; Dbn1tm1b(KOMP)Wtsi/Dbn1+ (more )
Structure Level Pattern Image Note
TS28: cartilage Present CCP-IMG_2127841

Specimen CCP-IMG_2127842: postnatal adult; Dbn1tm1b(KOMP)Wtsi/Dbn1+ (more )
Structure Level Pattern Image Note
TS28: mammary gland Absent CCP-IMG_2127842

Specimen CCP-IMG_2127843: postnatal adult; Dbn1tm1b(KOMP)Wtsi/Dbn1+ (more )
Structure Level Pattern Image Note
TS28: olfactory lobe Present CCP-IMG_2127843

Specimen CCP-IMG_2127844: postnatal adult; Dbn1tm1b(KOMP)Wtsi/Dbn1+ (more )
Structure Level Pattern Image Note
TS28: bone Present CCP-IMG_2127844

Specimen CCP-IMG_2127845: postnatal adult; Dbn1tm1b(KOMP)Wtsi/Dbn1+ (more )
Structure Level Pattern Image Note
TS28: cerebellum Present CCP-IMG_2127845

Specimen HMGU_1366570: postnatal adult; Dbn1tm1b(KOMP)Wtsi/Dbn1+ (more )
Structure Level Pattern Image Note
TS28: uterus Present HMGU_1366570

Specimen HMGU_1366571: postnatal adult; Dbn1tm1b(KOMP)Wtsi/Dbn1+ (more )
Structure Level Pattern Image Note
TS28: brain Present HMGU_1366571

Specimen HMGU_1366572: postnatal adult; Dbn1tm1b(KOMP)Wtsi/Dbn1+ (more )
Structure Level Pattern Image Note
TS28: spinal cord Present HMGU_1366572

Specimen HMGU_1366573: postnatal adult; Dbn1tm1b(KOMP)Wtsi/Dbn1+ (more )
Structure Level Pattern Image Note
TS28: metanephros Present HMGU_1366573 kidney

Specimen JAX_1799927: postnatal adult; Dbn1tm1b(KOMP)Wtsi/Dbn1+ (more )
Structure Level Pattern Image Note
TS28: thalamus Present JAX_1799927

Specimen JAX_1799928: postnatal adult; Dbn1tm1b(KOMP)Wtsi/Dbn1+ (more )
Structure Level Pattern Image Note
TS28: midbrain Present JAX_1799928

Specimen JAX_1799929: postnatal adult; Dbn1tm1b(KOMP)Wtsi/Dbn1+ (more )
Structure Level Pattern Image Note
TS28: vascular system Present JAX_1799929

Specimen JAX_1799930: postnatal adult; Dbn1tm1b(KOMP)Wtsi/Dbn1+ (more )
Structure Level Pattern Image Note
TS28: corpus striatum Present JAX_1799930

Specimen JAX_1799931: postnatal adult; Dbn1tm1b(KOMP)Wtsi/Dbn1+ (more )
Structure Level Pattern Image Note
TS28: olfactory lobe Present JAX_1799931

Specimen JAX_1799932: postnatal adult; Dbn1tm1b(KOMP)Wtsi/Dbn1+ (more )
Structure Level Pattern Image Note
TS28: hypothalamus Present JAX_1799932

Specimen JAX_1799933: postnatal adult; Dbn1tm1b(KOMP)Wtsi/Dbn1+ (more )
Structure Level Pattern Image Note
TS28: hippocampus Present JAX_1799933

Specimen JAX_1799934: postnatal adult; Dbn1tm1b(KOMP)Wtsi/Dbn1+ (more )
Structure Level Pattern Image Note
TS28: cerebellum Present JAX_1799934

Specimen JAX_1799935: postnatal adult; Dbn1tm1b(KOMP)Wtsi/Dbn1+ (more )
Structure Level Pattern Image Note
TS28: cerebral cortex Present JAX_1799935

Specimen JAX_1799936: postnatal adult; Dbn1tm1b(KOMP)Wtsi/Dbn1+ (more )
Structure Level Pattern Image Note
TS28: brainstem Present JAX_1799936

Specimen JAX_1799937: postnatal adult; Dbn1tm1b(KOMP)Wtsi/Dbn1+ (more )
Structure Level Pattern Image Note
TS28: pancreas Present JAX_1799937

Specimen JAX_1799938: postnatal adult; Dbn1tm1b(KOMP)Wtsi/Dbn1+ (more )
Structure Level Pattern Image Note
TS28: aorta Present JAX_1799938

Specimen JAX_1799939: postnatal adult; Dbn1tm1b(KOMP)Wtsi/Dbn1+ (more )
Structure Level Pattern Image Note
TS28: pituitary gland Present JAX_1799939

Specimen JAX_1799940: postnatal adult; Dbn1tm1b(KOMP)Wtsi/Dbn1+ (more )
Structure Level Pattern Image Note
TS28: uterus Present JAX_1799940

Specimen JAX_1799941: postnatal adult; Dbn1tm1b(KOMP)Wtsi/Dbn1+ (more )
Structure Level Pattern Image Note
TS28: skin Present JAX_1799941

Specimen JAX_1799942: postnatal adult; Dbn1tm1b(KOMP)Wtsi/Dbn1+ (more )
Structure Level Pattern Image Note
TS28: oviduct Present JAX_1799942

Specimen JAX_1799943: postnatal adult; Dbn1tm1b(KOMP)Wtsi/Dbn1+ (more )
Structure Level Pattern Image Note
TS28: ovary Present JAX_1799943

Specimen JAX_1799944: postnatal adult; Dbn1tm1b(KOMP)Wtsi/Dbn1+ (more )
Structure Level Pattern Image Note
TS28: metanephros Present JAX_1799944 kidney

Specimen JAX_1799945: postnatal adult; Dbn1tm1b(KOMP)Wtsi/Dbn1+ (more )
Structure Level Pattern Image Note
TS28: eye Present JAX_1799945

Specimen JAX_1799946: postnatal adult; Dbn1tm1b(KOMP)Wtsi/Dbn1+ (more )
Structure Level Pattern Image Note
TS28: brain Present JAX_1799946

Specimen JAX_1799947: postnatal adult; Dbn1tm1b(KOMP)Wtsi/Dbn1+ (more )
Structure Level Pattern Image Note
TS28: adrenal gland Present JAX_1799947

Specimen MRC Harwell_1304699: postnatal adult; Dbn1tm1b(KOMP)Wtsi/Dbn1+ (more )
Structure Level Pattern Image Note
TS28: metanephros Present MRC Harwell_1304699 kidney

Specimen MRC Harwell_1304700: postnatal adult; Dbn1tm1b(KOMP)Wtsi/Dbn1+ (more )
Structure Level Pattern Image Note
TS28: small intestine Present MRC Harwell_1304700

Specimen MRC Harwell_1304701: postnatal adult; Dbn1tm1b(KOMP)Wtsi/Dbn1+ (more )
Structure Level Pattern Image Note
TS28: ovary Ambiguous MRC Harwell_1304701
TS28: oviduct Present MRC Harwell_1304701
TS28: uterus Present MRC Harwell_1304701

Specimen MRC Harwell_1304702: postnatal adult; Dbn1tm1b(KOMP)Wtsi/Dbn1+ (more )
Structure Level Pattern Image Note
TS28: peripheral nervous system Present MRC Harwell_1304702
TS28: pituitary gland Present MRC Harwell_1304702

Specimen MRC Harwell_1304703: postnatal adult; Dbn1tm1b(KOMP)Wtsi/Dbn1+ (more )
Structure Level Pattern Image Note
TS28: large intestine Present MRC Harwell_1304703

Specimen MRC Harwell_1304704: postnatal adult; Dbn1tm1b(KOMP)Wtsi/Dbn1+ (more )
Structure Level Pattern Image Note
TS28: esophagus Present MRC Harwell_1304704
TS28: stomach Present MRC Harwell_1304704

Specimen RBRC_889447: postnatal adult; Dbn1tm1b(KOMP)Wtsi/Dbn1+ (more )
Structure Level Pattern Image Note
TS28: main olfactory bulb Present RBRC_889447

Specimen RBRC_889449: postnatal adult; Dbn1tm1b(KOMP)Wtsi/Dbn1+ (more )
Structure Level Pattern Image Note
TS28: main olfactory bulb Present RBRC_889449

Specimen RBRC_889451: postnatal adult; Dbn1tm1b(KOMP)Wtsi/Dbn1+ (more )
Structure Level Pattern Image Note
TS28: brain Present RBRC_889451

Specimen RBRC_889453: postnatal adult; Dbn1tm1b(KOMP)Wtsi/Dbn1+ (more )
Structure Level Pattern Image Note
TS28: brain Present RBRC_889453

Specimen RBRC_889455: postnatal adult; Dbn1tm1b(KOMP)Wtsi/Dbn1+ (more )
Structure Level Pattern Image Note
TS28: brain Present RBRC_889455

Specimen RBRC_889457: postnatal adult; Dbn1tm1b(KOMP)Wtsi/Dbn1+ (more )
Structure Level Pattern Image Note
TS28: brain Present RBRC_889457

Specimen RBRC_889459: postnatal adult; Dbn1tm1b(KOMP)Wtsi/Dbn1+ (more )
Structure Level Pattern Image Note
TS28: brain Present RBRC_889459

Specimen RBRC_889461: postnatal adult; Dbn1tm1b(KOMP)Wtsi/Dbn1+ (more )
Structure Level Pattern Image Note
TS28: brain Present RBRC_889461

Specimen RBRC_889463: postnatal adult; Dbn1tm1b(KOMP)Wtsi/Dbn1+ (more )
Structure Level Pattern Image Note
TS28: brain Present RBRC_889463

Specimen RBRC_889465: postnatal adult; Dbn1tm1b(KOMP)Wtsi/Dbn1+ (more )
Structure Level Pattern Image Note
TS28: brain Present RBRC_889465

Specimen RBRC_889467: postnatal adult; Dbn1tm1b(KOMP)Wtsi/Dbn1+ (more )
Structure Level Pattern Image Note
TS28: brain Present RBRC_889467

Specimen RBRC_889469: postnatal adult; Dbn1tm1b(KOMP)Wtsi/Dbn1+ (more )
Structure Level Pattern Image Note
TS28: brain Present RBRC_889469

Specimen RBRC_889471: postnatal adult; Dbn1tm1b(KOMP)Wtsi/Dbn1+ (more )
Structure Level Pattern Image Note
TS28: brain Present RBRC_889471

Specimen RBRC_889473: postnatal adult; Dbn1tm1b(KOMP)Wtsi/Dbn1+ (more )
Structure Level Pattern Image Note
TS28: brain Present RBRC_889473

Specimen RBRC_889475: postnatal adult; Dbn1tm1b(KOMP)Wtsi/Dbn1+ (more )
Structure Level Pattern Image Note
TS28: brain Present RBRC_889475

Specimen RBRC_889477: postnatal adult; Dbn1tm1b(KOMP)Wtsi/Dbn1+ (more )
Structure Level Pattern Image Note
TS28: brain Present RBRC_889477

Specimen RBRC_889479: postnatal adult; Dbn1tm1b(KOMP)Wtsi/Dbn1+ (more )
Structure Level Pattern Image Note
TS28: brain Present RBRC_889479

Specimen RBRC_889481: postnatal adult; Dbn1tm1b(KOMP)Wtsi/Dbn1+ (more )
Structure Level Pattern Image Note
TS28: brain Present RBRC_889481

Specimen RBRC_889483: postnatal adult; Dbn1tm1b(KOMP)Wtsi/Dbn1+ (more )
Structure Level Pattern Image Note
TS28: brain Present RBRC_889483

Specimen RBRC_889485: postnatal adult; Dbn1tm1b(KOMP)Wtsi/Dbn1+ (more )
Structure Level Pattern Image Note
TS28: brain Present RBRC_889485

Specimen RBRC_889487: postnatal adult; Dbn1tm1b(KOMP)Wtsi/Dbn1+ (more )
Structure Level Pattern Image Note
TS28: brain Present RBRC_889487

Specimen RBRC_889489: postnatal adult; Dbn1tm1b(KOMP)Wtsi/Dbn1+ (more )
Structure Level Pattern Image Note
TS28: brain Present RBRC_889489

Specimen RBRC_889491: postnatal adult; Dbn1tm1b(KOMP)Wtsi/Dbn1+ (more )
Structure Level Pattern Image Note
TS28: brain Present RBRC_889491

Specimen RBRC_889493: postnatal adult; Dbn1tm1b(KOMP)Wtsi/Dbn1+ (more )
Structure Level Pattern Image Note
TS28: brain Present RBRC_889493

Specimen RBRC_889495: postnatal adult; Dbn1tm1b(KOMP)Wtsi/Dbn1+ (more )
Structure Level Pattern Image Note
TS28: pituitary gland Present RBRC_889495
TS28: trigeminal nerve Present RBRC_889495

Specimen RBRC_889497: postnatal adult; Dbn1tm1b(KOMP)Wtsi/Dbn1+ (more )
Structure Level Pattern Image Note
TS28: pituitary gland Present RBRC_889497

Specimen RBRC_889499: postnatal adult; Dbn1tm1b(KOMP)Wtsi/Dbn1+ (more )
Structure Level Pattern Image Note
TS28: thoracic segment skeleton Ambiguous RBRC_889499 chest bone

Specimen RBRC_889501: postnatal adult; Dbn1tm1b(KOMP)Wtsi/Dbn1+ (more )
Structure Level Pattern Image Note
TS28: Harderian gland Ambiguous RBRC_889501

Specimen RBRC_889503: postnatal adult; Dbn1tm1b(KOMP)Wtsi/Dbn1+ (more )
Structure Level Pattern Image Note
TS28: sublingual gland Ambiguous RBRC_889503
TS28: submandibular gland Ambiguous RBRC_889503

Specimen RBRC_889505: postnatal adult; Dbn1tm1b(KOMP)Wtsi/Dbn1+ (more )
Structure Level Pattern Image Note
TS28: parotid gland Ambiguous RBRC_889505

Specimen RBRC_889507: postnatal adult; Dbn1tm1b(KOMP)Wtsi/Dbn1+ (more )
Structure Level Pattern Image Note
TS28: thyroid gland Ambiguous RBRC_889507

Specimen RBRC_889509: postnatal adult; Dbn1tm1b(KOMP)Wtsi/Dbn1+ (more )
Structure Level Pattern Image Note
TS28: lung Ambiguous RBRC_889509

Specimen RBRC_889511: postnatal adult; Dbn1tm1b(KOMP)Wtsi/Dbn1+ (more )
Structure Level Pattern Image Note
TS28: lung Ambiguous RBRC_889511

Specimen RBRC_889513: postnatal adult; Dbn1tm1b(KOMP)Wtsi/Dbn1+ (more )
Structure Level Pattern Image Note
TS28: tongue Present RBRC_889513

Specimen RBRC_889515: postnatal adult; Dbn1tm1b(KOMP)Wtsi/Dbn1+ (more )
Structure Level Pattern Image Note
TS28: tongue Present RBRC_889515

Specimen RBRC_889517: postnatal adult; Dbn1tm1b(KOMP)Wtsi/Dbn1+ (more )
Structure Level Pattern Image Note
TS28: esophagus Present RBRC_889517

Specimen RBRC_889519: postnatal adult; Dbn1tm1b(KOMP)Wtsi/Dbn1+ (more )
Structure Level Pattern Image Note
TS28: esophagus Present RBRC_889519

Specimen RBRC_889521: postnatal adult; Dbn1tm1b(KOMP)Wtsi/Dbn1+ (more )
Structure Level Pattern Image Note
TS28: thymus Ambiguous RBRC_889521

Specimen RBRC_889523: postnatal adult; Dbn1tm1b(KOMP)Wtsi/Dbn1+ (more )
Structure Level Pattern Image Note
TS28: thymus Ambiguous RBRC_889523

Specimen RBRC_889525: postnatal adult; Dbn1tm1b(KOMP)Wtsi/Dbn1+ (more )
Structure Level Pattern Image Note
TS28: thymus Ambiguous RBRC_889525

Specimen RBRC_889527: postnatal adult; Dbn1tm1b(KOMP)Wtsi/Dbn1+ (more )
Structure Level Pattern Image Note
TS28: gallbladder Ambiguous RBRC_889527

Specimen RBRC_889529: postnatal adult; Dbn1tm1b(KOMP)Wtsi/Dbn1+ (more )
Structure Level Pattern Image Note
TS28: liver Ambiguous RBRC_889529

Specimen RBRC_889531: postnatal adult; Dbn1tm1b(KOMP)Wtsi/Dbn1+ (more )
Structure Level Pattern Image Note
TS28: liver Ambiguous RBRC_889531

Specimen RBRC_889533: postnatal adult; Dbn1tm1b(KOMP)Wtsi/Dbn1+ (more )
Structure Level Pattern Image Note
TS28: spleen Ambiguous RBRC_889533

Specimen RBRC_889535: postnatal adult; Dbn1tm1b(KOMP)Wtsi/Dbn1+ (more )
Structure Level Pattern Image Note
TS28: pancreas Ambiguous RBRC_889535

Specimen RBRC_889537: postnatal adult; Dbn1tm1b(KOMP)Wtsi/Dbn1+ (more )
Structure Level Pattern Image Note
TS28: mesenteric lymph node Ambiguous RBRC_889537

Specimen RBRC_889539: postnatal adult; Dbn1tm1b(KOMP)Wtsi/Dbn1+ (more )
Structure Level Pattern Image Note
TS28: adrenal gland Ambiguous RBRC_889539

Specimen RBRC_889541: postnatal adult; Dbn1tm1b(KOMP)Wtsi/Dbn1+ (more )
Structure Level Pattern Image Note
TS28: metanephros Ambiguous RBRC_889541 kidney

Specimen RBRC_889543: postnatal adult; Dbn1tm1b(KOMP)Wtsi/Dbn1+ (more )
Structure Level Pattern Image Note
TS28: metanephros Ambiguous RBRC_889543 kidney

Specimen RBRC_889545: postnatal adult; Dbn1tm1b(KOMP)Wtsi/Dbn1+ (more )
Structure Level Pattern Image Note
TS28: metanephros Ambiguous RBRC_889545 kidney

Specimen RBRC_889547: postnatal adult; Dbn1tm1b(KOMP)Wtsi/Dbn1+ (more )
Structure Level Pattern Image Note
TS28: metanephros Ambiguous RBRC_889547 kidney

Specimen RBRC_889549: postnatal adult; Dbn1tm1b(KOMP)Wtsi/Dbn1+ (more )
Structure Level Pattern Image Note
TS28: metanephros Ambiguous RBRC_889549 kidney

Specimen RBRC_889551: postnatal adult; Dbn1tm1b(KOMP)Wtsi/Dbn1+ (more )
Structure Level Pattern Image Note
TS28: stomach Ambiguous RBRC_889551

Specimen RBRC_889553: postnatal adult; Dbn1tm1b(KOMP)Wtsi/Dbn1+ (more )
Structure Level Pattern Image Note
TS28: stomach Ambiguous RBRC_889553

Specimen RBRC_889555: postnatal adult; Dbn1tm1b(KOMP)Wtsi/Dbn1+ (more )
Structure Level Pattern Image Note
TS28: stomach Ambiguous RBRC_889555

Specimen RBRC_889557: postnatal adult; Dbn1tm1b(KOMP)Wtsi/Dbn1+ (more )
Structure Level Pattern Image Note
TS28: stomach Ambiguous RBRC_889557

Specimen RBRC_889559: postnatal adult; Dbn1tm1b(KOMP)Wtsi/Dbn1+ (more )
Structure Level Pattern Image Note
TS28: stomach Ambiguous RBRC_889559

Specimen RBRC_889561: postnatal adult; Dbn1tm1b(KOMP)Wtsi/Dbn1+ (more )
Structure Level Pattern Image Note
TS28: duodenum Present RBRC_889561

Specimen RBRC_889563: postnatal adult; Dbn1tm1b(KOMP)Wtsi/Dbn1+ (more )
Structure Level Pattern Image Note
TS28: duodenum Present RBRC_889563

Specimen RBRC_889565: postnatal adult; Dbn1tm1b(KOMP)Wtsi/Dbn1+ (more )
Structure Level Pattern Image Note
TS28: duodenum Present RBRC_889565

Specimen RBRC_889567: postnatal adult; Dbn1tm1b(KOMP)Wtsi/Dbn1+ (more )
Structure Level Pattern Image Note
TS28: jejunum Present RBRC_889567

Specimen RBRC_889569: postnatal adult; Dbn1tm1b(KOMP)Wtsi/Dbn1+ (more )
Structure Level Pattern Image Note
TS28: jejunum Present RBRC_889569

Specimen RBRC_889571: postnatal adult; Dbn1tm1b(KOMP)Wtsi/Dbn1+ (more )
Structure Level Pattern Image Note
TS28: jejunum Present RBRC_889571

Specimen RBRC_889573: postnatal adult; Dbn1tm1b(KOMP)Wtsi/Dbn1+ (more )
Structure Level Pattern Image Note
TS28: ileum Present RBRC_889573

Specimen RBRC_889575: postnatal adult; Dbn1tm1b(KOMP)Wtsi/Dbn1+ (more )
Structure Level Pattern Image Note
TS28: ileum Present RBRC_889575

Specimen RBRC_889577: postnatal adult; Dbn1tm1b(KOMP)Wtsi/Dbn1+ (more )
Structure Level Pattern Image Note
TS28: ileum Present RBRC_889577

Specimen RBRC_889579: postnatal adult; Dbn1tm1b(KOMP)Wtsi/Dbn1+ (more )
Structure Level Pattern Image Note
TS28: cecum Present RBRC_889579

Specimen RBRC_889581: postnatal adult; Dbn1tm1b(KOMP)Wtsi/Dbn1+ (more )
Structure Level Pattern Image Note
TS28: cecum Present RBRC_889581

Specimen RBRC_889583: postnatal adult; Dbn1tm1b(KOMP)Wtsi/Dbn1+ (more )
Structure Level Pattern Image Note
TS28: cecum Present RBRC_889583

Specimen RBRC_889585: postnatal adult; Dbn1tm1b(KOMP)Wtsi/Dbn1+ (more )
Structure Level Pattern Image Note
TS28: large intestine Present RBRC_889585

Specimen RBRC_889587: postnatal adult; Dbn1tm1b(KOMP)Wtsi/Dbn1+ (more )
Structure Level Pattern Image Note
TS28: large intestine Present RBRC_889587

Specimen RBRC_889589: postnatal adult; Dbn1tm1b(KOMP)Wtsi/Dbn1+ (more )
Structure Level Pattern Image Note
TS28: large intestine Present RBRC_889589

Specimen RBRC_889591: postnatal adult; Dbn1tm1b(KOMP)Wtsi/Dbn1+ (more )
Structure Level Pattern Image Note
TS28: skin Ambiguous RBRC_889591

Specimen RBRC_889593: postnatal adult; Dbn1tm1b(KOMP)Wtsi/Dbn1+ (more )
Structure Level Pattern Image Note
TS28: bone Ambiguous RBRC_889593

Specimen RBRC_889595: postnatal adult; Dbn1tm1b(KOMP)Wtsi/Dbn1+ (more )
Structure Level Pattern Image Note
TS28: bone Ambiguous RBRC_889595

Specimen RBRC_889597: postnatal adult; Dbn1tm1b(KOMP)Wtsi/Dbn1+ (more )
Structure Level Pattern Image Note
TS28: bone Ambiguous RBRC_889597

Specimen RBRC_889599: postnatal adult; Dbn1tm1b(KOMP)Wtsi/Dbn1+ (more )
Structure Level Pattern Image Note
TS28: sciatic nerve Present RBRC_889599

Specimen RBRC_889601: postnatal adult; Dbn1tm1b(KOMP)Wtsi/Dbn1+ (more )
Structure Level Pattern Image Note
TS28: sciatic nerve Present RBRC_889601

Specimen RBRC_889603: postnatal adult; Dbn1tm1b(KOMP)Wtsi/Dbn1+ (more )
Structure Level Pattern Image Note
TS28: lymph node Ambiguous RBRC_889603

Specimen RBRC_889605: postnatal adult; Dbn1tm1b(KOMP)Wtsi/Dbn1+ (more )
Structure Level Pattern Image Note
TS28: bladder Ambiguous RBRC_889605

Specimen RBRC_889607: postnatal adult; Dbn1tm1b(KOMP)Wtsi/Dbn1+ (more )
Structure Level Pattern Image Note
TS28: bladder Ambiguous RBRC_889607

Specimen RBRC_889609: postnatal adult; Dbn1tm1b(KOMP)Wtsi/Dbn1+ (more )
Structure Level Pattern Image Note
TS28: ovary Ambiguous RBRC_889609

Specimen RBRC_889611: postnatal adult; Dbn1tm1b(KOMP)Wtsi/Dbn1+ (more )
Structure Level Pattern Image Note
TS28: oviduct Ambiguous RBRC_889611

Specimen RBRC_889613: postnatal adult; Dbn1tm1b(KOMP)Wtsi/Dbn1+ (more )
Structure Level Pattern Image Note
TS28: uterus Ambiguous RBRC_889613

Specimen RBRC_889615: postnatal adult; Dbn1tm1b(KOMP)Wtsi/Dbn1+ (more )
Structure Level Pattern Image Note
TS28: vagina Ambiguous RBRC_889615

Specimen RBRC_889617: postnatal adult; Dbn1tm1b(KOMP)Wtsi/Dbn1+ (more )
Structure Level Pattern Image Note
TS28: spinal cord Present RBRC_889617

Specimen RBRC_889619: postnatal adult; Dbn1tm1b(KOMP)Wtsi/Dbn1+ (more )
Structure Level Pattern Image Note
TS28: spinal cord Present RBRC_889619

Specimen RBRC_889621: postnatal adult; Dbn1tm1b(KOMP)Wtsi/Dbn1+ (more )
Structure Level Pattern Image Note
TS28: spinal cord Present RBRC_889621

Specimen RBRC_889623: postnatal adult; Dbn1tm1b(KOMP)Wtsi/Dbn1+ (more )
Structure Level Pattern Image Note
TS28: spinal cord Present RBRC_889623

Specimen TCP_2216181: postnatal adult; Dbn1tm1b(KOMP)Wtsi/Dbn1+ (more )
Structure Level Pattern Image Note
TS28: brainstem Present TCP_2216181

Specimen TCP_2216182: postnatal adult; Dbn1tm1b(KOMP)Wtsi/Dbn1+ (more )
Structure Level Pattern Image Note
TS28: bone Absent TCP_2216182

Specimen TCP_2216183: postnatal adult; Dbn1tm1b(KOMP)Wtsi/Dbn1+ (more )
Structure Level Pattern Image Note
TS28: brain Present TCP_2216183

Specimen TCP_2216184: postnatal adult; Dbn1tm1b(KOMP)Wtsi/Dbn1+ (more )
Structure Level Pattern Image Note
TS28: brain Present TCP_2216184

Specimen TCP_2216185: postnatal adult; Dbn1tm1b(KOMP)Wtsi/Dbn1+ (more )
Structure Level Pattern Image Note
TS28: brain Present TCP_2216185

Specimen TCP_2216186: postnatal adult; Dbn1tm1b(KOMP)Wtsi/Dbn1+ (more )
Structure Level Pattern Image Note
TS28: brain Present TCP_2216186

Specimen TCP_2216187: postnatal adult; Dbn1tm1b(KOMP)Wtsi/Dbn1+ (more )
Structure Level Pattern Image Note
TS28: brain Present TCP_2216187

Specimen TCP_2216188: postnatal adult; Dbn1tm1b(KOMP)Wtsi/Dbn1+ (more )
Structure Level Pattern Image Note
TS28: brain Present TCP_2216188

Specimen TCP_2216189: postnatal adult; Dbn1tm1b(KOMP)Wtsi/Dbn1+ (more )
Structure Level Pattern Image Note
TS28: cerebellum Present TCP_2216189

Specimen TCP_2216190: postnatal adult; Dbn1tm1b(KOMP)Wtsi/Dbn1+ (more )
Structure Level Pattern Image Note
TS28: ovary Present TCP_2216190

Specimen TCP_2216191: postnatal adult; Dbn1tm1b(KOMP)Wtsi/Dbn1+ (more )
Structure Level Pattern Image Note
TS28: oviduct Present TCP_2216191

Specimen TCP_2216192: postnatal adult; Dbn1tm1b(KOMP)Wtsi/Dbn1+ (more )
Structure Level Pattern Image Note
TS28: eye Present TCP_2216192

Specimen TCP_2216193: postnatal adult; Dbn1tm1b(KOMP)Wtsi/Dbn1+ (more )
Structure Level Pattern Image Note
TS28: spinal cord Present TCP_2216193

Specimen TCP_2216194: postnatal adult; Dbn1tm1b(KOMP)Wtsi/Dbn1+ (more )
Structure Level Pattern Image Note
TS28: uterus Present TCP_2216194

Specimen UC Davis_1860886: postnatal adult; Dbn1tm1b(KOMP)Wtsi/Dbn1+ (more )
Structure Level Pattern Image Note
TS28: sublingual gland Present UC Davis_1860886

Specimen UC Davis_1860887: postnatal adult; Dbn1tm1b(KOMP)Wtsi/Dbn1+ (more )
Structure Level Pattern Image Note
TS28: stomach Present UC Davis_1860887

Specimen UC Davis_1860888: postnatal adult; Dbn1tm1b(KOMP)Wtsi/Dbn1+ (more )
Structure Level Pattern Image Note
TS28: duodenum Present UC Davis_1860888

Specimen UC Davis_1860889: postnatal adult; Dbn1tm1b(KOMP)Wtsi/Dbn1+ (more )
Structure Level Pattern Image Note
TS28: colon Present UC Davis_1860889

Specimen UC Davis_1860890: postnatal adult; Dbn1tm1b(KOMP)Wtsi/Dbn1+ (more )
Structure Level Pattern Image Note
TS28: metanephros Present UC Davis_1860890 kidney

Specimen UC Davis_1860891: postnatal adult; Dbn1tm1b(KOMP)Wtsi/Dbn1+ (more )
Structure Level Pattern Image Note
TS28: metanephros Present UC Davis_1860891 kidney

Specimen UC Davis_1860892: postnatal adult; Dbn1tm1b(KOMP)Wtsi/Dbn1+ (more )
Structure Level Pattern Image Note
TS28: pituitary gland Present UC Davis_1860892

Specimen UC Davis_1860893: postnatal adult; Dbn1tm1b(KOMP)Wtsi/Dbn1+ (more )
Structure Level Pattern Image Note
TS28: pituitary gland Present UC Davis_1860893

Specimen UC Davis_1860894: postnatal adult; Dbn1tm1b(KOMP)Wtsi/Dbn1+ (more )
Structure Level Pattern Image Note
TS28: spinal cord Present UC Davis_1860894

Specimen UC Davis_1860895: postnatal adult; Dbn1tm1b(KOMP)Wtsi/Dbn1+ (more )
Structure Level Pattern Image Note
TS28: spinal cord Present UC Davis_1860895

Specimen UC Davis_1860896: postnatal adult; Dbn1tm1b(KOMP)Wtsi/Dbn1+ (more )
Structure Level Pattern Image Note
TS28: eye Present UC Davis_1860896

Specimen UC Davis_1860897: postnatal adult; Dbn1tm1b(KOMP)Wtsi/Dbn1+ (more )
Structure Level Pattern Image Note
TS28: eye Present UC Davis_1860897

Specimen UC Davis_1860898: postnatal adult; Dbn1tm1b(KOMP)Wtsi/Dbn1+ (more )
Structure Level Pattern Image Note
TS28: olfactory lobe Present UC Davis_1860898

Specimen UC Davis_1860901: postnatal adult; Dbn1tm1b(KOMP)Wtsi/Dbn1+ (more )
Structure Level Pattern Image Note
TS28: midbrain Present UC Davis_1860901

Specimen UC Davis_1860903: postnatal adult; Dbn1tm1b(KOMP)Wtsi/Dbn1+ (more )
Structure Level Pattern Image Note
TS28: cerebellum Present UC Davis_1860903

Specimen UC Davis_1860904: postnatal adult; Dbn1tm1b(KOMP)Wtsi/Dbn1+ (more )
Structure Level Pattern Image Note
TS28: trigeminal nerve Present UC Davis_1860904

Specimen UC Davis_1860905: postnatal adult; Dbn1tm1b(KOMP)Wtsi/Dbn1+ (more )
Structure Level Pattern Image Note
TS28: trigeminal nerve Present UC Davis_1860905

Specimen UC Davis_1860906: postnatal adult; Dbn1tm1b(KOMP)Wtsi/Dbn1+ (more )
Structure Level Pattern Image Note
TS28: ovary Present UC Davis_1860906

Specimen UC Davis_1860907: postnatal adult; Dbn1tm1b(KOMP)Wtsi/Dbn1+ (more )
Structure Level Pattern Image Note
TS28: ovary Present UC Davis_1860907

Specimen UC Davis_1860908: postnatal adult; Dbn1tm1b(KOMP)Wtsi/Dbn1+ (more )
Structure Level Pattern Image Note
TS28: oviduct Present UC Davis_1860908

Specimen UC Davis_1860909: postnatal adult; Dbn1tm1b(KOMP)Wtsi/Dbn1+ (more )
Structure Level Pattern Image Note
TS28: oviduct Present UC Davis_1860909

Specimen UC Davis_1860910: postnatal adult; Dbn1tm1b(KOMP)Wtsi/Dbn1+ (more )
Structure Level Pattern Image Note
TS28: uterus Present UC Davis_1860910

Specimen UC Davis_1860911: postnatal adult; Dbn1tm1b(KOMP)Wtsi/Dbn1+ (more )
Structure Level Pattern Image Note
TS28: uterus Present UC Davis_1860911

Specimen UC Davis_1860912: postnatal adult; Dbn1tm1b(KOMP)Wtsi/Dbn1+ (more )
Structure Level Pattern Image Note
TS28: bladder Present UC Davis_1860912

Specimen UC Davis_1860913: postnatal adult; Dbn1tm1b(KOMP)Wtsi/Dbn1+ (more )
Structure Level Pattern Image Note
TS28: mammary gland Present UC Davis_1860913

Specimen UC Davis_1860933: postnatal adult; Dbn1tm1b(KOMP)Wtsi/Dbn1+ (more )
Structure Level Pattern Image Note
TS28: ovary Present UC Davis_1860933

Specimen UC Davis_1860934: postnatal adult; Dbn1tm1b(KOMP)Wtsi/Dbn1+ (more )
Structure Level Pattern Image Note
TS28: oviduct Present UC Davis_1860934

Specimen UC Davis_1860935: postnatal adult; Dbn1tm1b(KOMP)Wtsi/Dbn1+ (more )
Structure Level Pattern Image Note
TS28: uterus Present UC Davis_1860935

Specimen BCM_1060751: postnatal adult; Dbn1tm1b(KOMP)Wtsi/Dbn1+ (more )
Structure Level Pattern Image Note
TS28: large intestine Present BCM_1060751

Specimen BCM_1060753: postnatal adult; Dbn1tm1b(KOMP)Wtsi/Dbn1+ (more )
Structure Level Pattern Image Note
TS28: spinal cord Present BCM_1060753

Specimen BCM_1060755: postnatal adult; Dbn1tm1b(KOMP)Wtsi/Dbn1+ (more )
Structure Level Pattern Image Note
TS28: spinal cord Present BCM_1060755

Specimen BCM_1060757: postnatal adult; Dbn1tm1b(KOMP)Wtsi/Dbn1+ (more )
Structure Level Pattern Image Note
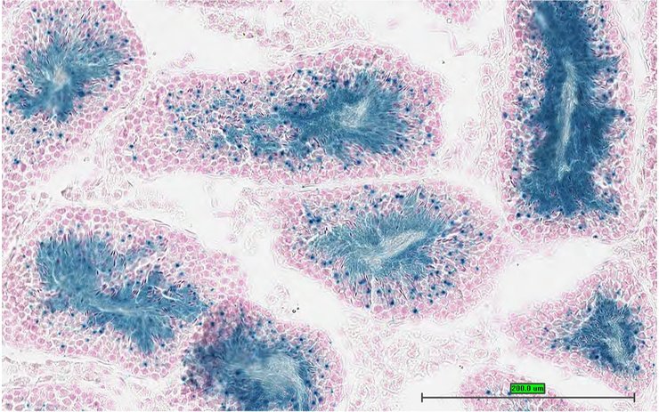
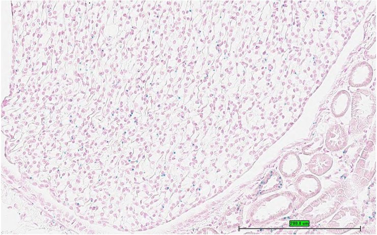
TS28: testis Present BCM_1060757
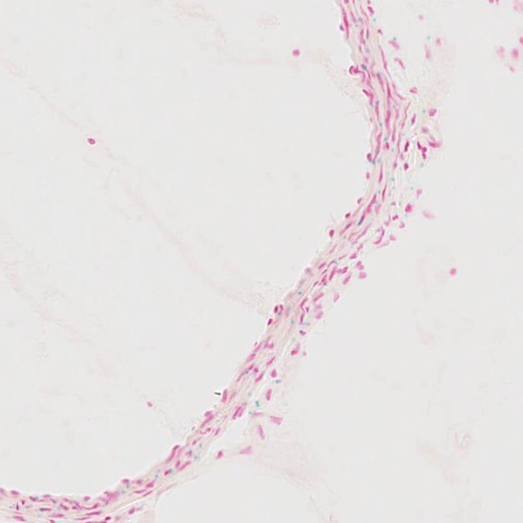
TS28: ductus deferens Ambiguous BCM_1060757 vas deferens

Specimen BCM_1060759: postnatal adult; Dbn1tm1b(KOMP)Wtsi/Dbn1+ (more )
Structure Level Pattern Image Note
TS28: prostate gland Ambiguous BCM_1060759

Specimen BCM_1060761: postnatal adult; Dbn1tm1b(KOMP)Wtsi/Dbn1+ (more )
Structure Level Pattern Image Note
TS28: peripheral nervous system Present BCM_1060761
TS28: trigeminal nerve Present BCM_1060761

Specimen BCM_1060763: postnatal adult; Dbn1tm1b(KOMP)Wtsi/Dbn1+ (more )
Structure Level Pattern Image Note
TS28: brain Present BCM_1060763
TS28: brainstem Present BCM_1060763
TS28: cerebellum Present BCM_1060763
TS28: cerebral cortex Present BCM_1060763
TS28: hippocampus Present BCM_1060763
TS28: hypothalamus Present BCM_1060763
TS28: olfactory lobe Present BCM_1060763
TS28: corpus striatum Present BCM_1060763

Specimen BCM_1060765: postnatal adult; Dbn1tm1b(KOMP)Wtsi/Dbn1+ (more )
Structure Level Pattern Image Note
TS28: brain Present BCM_1060765
TS28: brainstem Present BCM_1060765
TS28: cerebellum Present BCM_1060765
TS28: cerebral cortex Present BCM_1060765
TS28: hippocampus Present BCM_1060765
TS28: hypothalamus Present BCM_1060765
TS28: olfactory lobe Present BCM_1060765
TS28: corpus striatum Present BCM_1060765

Specimen BCM_1060767: postnatal adult; Dbn1tm1b(KOMP)Wtsi/Dbn1+ (more )
Structure Level Pattern Image Note
TS28: metanephros Present BCM_1060767 kidney

Specimen BCM_1060769: postnatal adult; Dbn1tm1b(KOMP)Wtsi/Dbn1+ (more )
Structure Level Pattern Image Note
TS28: metanephros Present BCM_1060769 kidney

Specimen CCP-IMG_2127726: postnatal adult; Dbn1tm1b(KOMP)Wtsi/Dbn1+ (more )
Structure Level Pattern Image Note
TS28: thymus Present CCP-IMG_2127726

Specimen CCP-IMG_2127727: postnatal adult; Dbn1tm1b(KOMP)Wtsi/Dbn1+ (more )
Structure Level Pattern Image Note
TS28: thyroid gland Present CCP-IMG_2127727

Specimen CCP-IMG_2127729: postnatal adult; Dbn1tm1b(KOMP)Wtsi/Dbn1+ (more )
Structure Level Pattern Image Note
TS28: quadriceps femoris muscle Absent CCP-IMG_2127729

Specimen CCP-IMG_2127730: postnatal adult; Dbn1tm1b(KOMP)Wtsi/Dbn1+ (more )
Structure Level Pattern Image Note
TS28: skin Absent CCP-IMG_2127730

Specimen CCP-IMG_2127731: postnatal adult; Dbn1tm1b(KOMP)Wtsi/Dbn1+ (more )
Structure Level Pattern Image Note
TS28: diaphragm Absent CCP-IMG_2127731

Specimen CCP-IMG_2127732: postnatal adult; Dbn1tm1b(KOMP)Wtsi/Dbn1+ (more )
Structure Level Pattern Image Note
TS28: spleen Absent CCP-IMG_2127732

Specimen CCP-IMG_2127733: postnatal adult; Dbn1tm1b(KOMP)Wtsi/Dbn1+ (more )
Structure Level Pattern Image Note
TS28: jejunum Absent CCP-IMG_2127733

Specimen CCP-IMG_2127734: postnatal adult; Dbn1tm1b(KOMP)Wtsi/Dbn1+ (more )
Structure Level Pattern Image Note
TS28: colon Absent CCP-IMG_2127734

Specimen CCP-IMG_2127735: postnatal adult; Dbn1tm1b(KOMP)Wtsi/Dbn1+ (more )
Structure Level Pattern Image Note
TS28: brainstem Ambiguous CCP-IMG_2127735

Specimen CCP-IMG_2127736: postnatal adult; Dbn1tm1b(KOMP)Wtsi/Dbn1+ (more )
Structure Level Pattern Image Note
TS28: white fat Absent CCP-IMG_2127736

Specimen CCP-IMG_2127737: postnatal adult; Dbn1tm1b(KOMP)Wtsi/Dbn1+ (more )
Structure Level Pattern Image Note
TS28: cranium Absent CCP-IMG_2127737

Specimen CCP-IMG_2127738: postnatal adult; Dbn1tm1b(KOMP)Wtsi/Dbn1+ (more )
Structure Level Pattern Image Note
TS28: large intestine Absent CCP-IMG_2127738

Specimen CCP-IMG_2127739: postnatal adult; Dbn1tm1b(KOMP)Wtsi/Dbn1+ (more )
Structure Level Pattern Image Note
TS28: trachea Absent CCP-IMG_2127739

Specimen CCP-IMG_2127740: postnatal adult; Dbn1tm1b(KOMP)Wtsi/Dbn1+ (more )
Structure Level Pattern Image Note
TS28: gallbladder Absent CCP-IMG_2127740

Specimen CCP-IMG_2127741: postnatal adult; Dbn1tm1b(KOMP)Wtsi/Dbn1+ (more )
Structure Level Pattern Image Note
TS28: aorta Absent CCP-IMG_2127741

Specimen CCP-IMG_2127742: postnatal adult; Dbn1tm1b(KOMP)Wtsi/Dbn1+ (more )
Structure Level Pattern Image Note
TS28: ileum Absent CCP-IMG_2127742

Specimen CCP-IMG_2127743: postnatal adult; Dbn1tm1b(KOMP)Wtsi/Dbn1+ (more )
Structure Level Pattern Image Note
TS28: testis Present CCP-IMG_2127743

Specimen CCP-IMG_2127744: postnatal adult; Dbn1tm1b(KOMP)Wtsi/Dbn1+ (more )
Structure Level Pattern Image Note
TS28: hippocampus Present CCP-IMG_2127744

Specimen CCP-IMG_2127745: postnatal adult; Dbn1tm1b(KOMP)Wtsi/Dbn1+ (more )
Structure Level Pattern Image Note
TS28: oral epithelium Absent CCP-IMG_2127745

Specimen CCP-IMG_2127746: postnatal adult; Dbn1tm1b(KOMP)Wtsi/Dbn1+ (more )
Structure Level Pattern Image Note
TS28: cerebral cortex Present CCP-IMG_2127746

Specimen CCP-IMG_2127747: postnatal adult; Dbn1tm1b(KOMP)Wtsi/Dbn1+ (more )
Structure Level Pattern Image Note
TS28: eye Present CCP-IMG_2127747

Specimen CCP-IMG_2127748: postnatal adult; Dbn1tm1b(KOMP)Wtsi/Dbn1+ (more )
Structure Level Pattern Image Note
TS28: vascular system Absent CCP-IMG_2127748

Specimen CCP-IMG_2127749: postnatal adult; Dbn1tm1b(KOMP)Wtsi/Dbn1+ (more )
Structure Level Pattern Image Note
TS28: small intestine Absent CCP-IMG_2127749

Specimen CCP-IMG_2127750: postnatal adult; Dbn1tm1b(KOMP)Wtsi/Dbn1+ (more )
Structure Level Pattern Image Note
TS28: brown fat Absent CCP-IMG_2127750

Specimen CCP-IMG_2127751: postnatal adult; Dbn1tm1b(KOMP)Wtsi/Dbn1+ (more )
Structure Level Pattern Image Note
TS28: tongue Absent CCP-IMG_2127751

Specimen CCP-IMG_2127752: postnatal adult; Dbn1tm1b(KOMP)Wtsi/Dbn1+ (more )
Structure Level Pattern Image Note
TS28: hypothalamus Present CCP-IMG_2127752

Specimen CCP-IMG_2127753: postnatal adult; Dbn1tm1b(KOMP)Wtsi/Dbn1+ (more )
Structure Level Pattern Image Note
TS28: Peyer's patch Absent CCP-IMG_2127753

Specimen CCP-IMG_2127754: postnatal adult; Dbn1tm1b(KOMP)Wtsi/Dbn1+ (more )
Structure Level Pattern Image Note
TS28: duodenum Absent CCP-IMG_2127754

Specimen CCP-IMG_2127755: postnatal adult; Dbn1tm1b(KOMP)Wtsi/Dbn1+ (more )
Structure Level Pattern Image Note
TS28: spinal cord Present CCP-IMG_2127755

Specimen CCP-IMG_2127756: postnatal adult; Dbn1tm1b(KOMP)Wtsi/Dbn1+ (more )
Structure Level Pattern Image Note
TS28: parathyroid gland Present CCP-IMG_2127756

Specimen CCP-IMG_2127757: postnatal adult; Dbn1tm1b(KOMP)Wtsi/Dbn1+ (more )
Structure Level Pattern Image Note
TS28: Harderian gland Absent CCP-IMG_2127757

Specimen CCP-IMG_2127758: postnatal adult; Dbn1tm1b(KOMP)Wtsi/Dbn1+ (more )
Structure Level Pattern Image Note
TS28: lower urinary tract Present CCP-IMG_2127758

Specimen CCP-IMG_2127759: postnatal adult; Dbn1tm1b(KOMP)Wtsi/Dbn1+ (more )
Structure Level Pattern Image Note
TS28: lung Absent CCP-IMG_2127759

Specimen CCP-IMG_2127760: postnatal adult; Dbn1tm1b(KOMP)Wtsi/Dbn1+ (more )
Structure Level Pattern Image Note
TS28: liver Absent CCP-IMG_2127760

Specimen CCP-IMG_2127761: postnatal adult; Dbn1tm1b(KOMP)Wtsi/Dbn1+ (more )
Structure Level Pattern Image Note
TS28: skeletal muscle tissue Absent CCP-IMG_2127761

Specimen CCP-IMG_2127762: postnatal adult; Dbn1tm1b(KOMP)Wtsi/Dbn1+ (more )
Structure Level Pattern Image Note
TS28: bladder Present CCP-IMG_2127762

Specimen CCP-IMG_2127763: postnatal adult; Dbn1tm1b(KOMP)Wtsi/Dbn1+ (more )
Structure Level Pattern Image Note
TS28: lymph node Absent CCP-IMG_2127763

Specimen CCP-IMG_2127764: postnatal adult; Dbn1tm1b(KOMP)Wtsi/Dbn1+ (more )
Structure Level Pattern Image Note
TS28: adrenal gland Absent CCP-IMG_2127764

Specimen CCP-IMG_2127765: postnatal adult; Dbn1tm1b(KOMP)Wtsi/Dbn1+ (more )
Structure Level Pattern Image Note
TS28: corpus striatum Present CCP-IMG_2127765

Specimen CCP-IMG_2127766: postnatal adult; Dbn1tm1b(KOMP)Wtsi/Dbn1+ (more )
Structure Level Pattern Image Note
TS28: submandibular gland Absent CCP-IMG_2127766

Specimen CCP-IMG_2127767: postnatal adult; Dbn1tm1b(KOMP)Wtsi/Dbn1+ (more )
Structure Level Pattern Image Note
TS28: brain Present CCP-IMG_2127767

Specimen CCP-IMG_2127768: postnatal adult; Dbn1tm1b(KOMP)Wtsi/Dbn1+ (more )
Structure Level Pattern Image Note
TS28: stomach Present CCP-IMG_2127768

Specimen CCP-IMG_2127769: postnatal adult; Dbn1tm1b(KOMP)Wtsi/Dbn1+ (more )
Structure Level Pattern Image Note
TS28: pancreas Absent CCP-IMG_2127769

Specimen CCP-IMG_2127770: postnatal adult; Dbn1tm1b(KOMP)Wtsi/Dbn1+ (more )
Structure Level Pattern Image Note
TS28: heart Absent CCP-IMG_2127770

Specimen CCP-IMG_2127771: postnatal adult; Dbn1tm1b(KOMP)Wtsi/Dbn1+ (more )
Structure Level Pattern Image Note
TS28: pituitary gland Present CCP-IMG_2127771

Specimen CCP-IMG_2127772: postnatal adult; Dbn1tm1b(KOMP)Wtsi/Dbn1+ (more )
Structure Level Pattern Image Note
TS28: esophagus Absent CCP-IMG_2127772

Specimen CCP-IMG_2127774: postnatal adult; Dbn1tm1b(KOMP)Wtsi/Dbn1+ (more )
Structure Level Pattern Image Note
TS28: metanephros Present CCP-IMG_2127774 kidney

Specimen CCP-IMG_2127775: postnatal adult; Dbn1tm1b(KOMP)Wtsi/Dbn1+ (more )
Structure Level Pattern Image Note
TS28: hindlimb Absent CCP-IMG_2127775

Specimen CCP-IMG_2127776: postnatal adult; Dbn1tm1b(KOMP)Wtsi/Dbn1+ (more )
Structure Level Pattern Image Note
TS28: prostate gland Ambiguous CCP-IMG_2127776

Specimen CCP-IMG_2127777: postnatal adult; Dbn1tm1b(KOMP)Wtsi/Dbn1+ (more )
Structure Level Pattern Image Note
TS28: peripheral nervous system Absent CCP-IMG_2127777

Specimen CCP-IMG_2127778: postnatal adult; Dbn1tm1b(KOMP)Wtsi/Dbn1+ (more )
Structure Level Pattern Image Note
TS28: thoracic segment skeleton Absent CCP-IMG_2127778 chest bone

Specimen CCP-IMG_2127779: postnatal adult; Dbn1tm1b(KOMP)Wtsi/Dbn1+ (more )
Structure Level Pattern Image Note
TS28: cecum Absent CCP-IMG_2127779

Specimen CCP-IMG_2127780: postnatal adult; Dbn1tm1b(KOMP)Wtsi/Dbn1+ (more )
Structure Level Pattern Image Note
TS28: cartilage Absent CCP-IMG_2127780

Specimen CCP-IMG_2127781: postnatal adult; Dbn1tm1b(KOMP)Wtsi/Dbn1+ (more )
Structure Level Pattern Image Note
TS28: olfactory lobe Present CCP-IMG_2127781

Specimen CCP-IMG_2127782: postnatal adult; Dbn1tm1b(KOMP)Wtsi/Dbn1+ (more )
Structure Level Pattern Image Note
TS28: penis Present CCP-IMG_2127782

Specimen CCP-IMG_2127783: postnatal adult; Dbn1tm1b(KOMP)Wtsi/Dbn1+ (more )
Structure Level Pattern Image Note
TS28: bone Absent CCP-IMG_2127783

Specimen CCP-IMG_2127784: postnatal adult; Dbn1tm1b(KOMP)Wtsi/Dbn1+ (more )
Structure Level Pattern Image Note
TS28: cerebellum Present CCP-IMG_2127784

Specimen HMGU_692267: postnatal adult; Dbn1tm1b(KOMP)Wtsi/Dbn1+ (more )
Structure Level Pattern Image Note
TS28: brain Present HMGU_692267

Specimen HMGU_692269: postnatal adult; Dbn1tm1b(KOMP)Wtsi/Dbn1+ (more )
Structure Level Pattern Image Note
TS28: metanephros Present HMGU_692269 kidney

Specimen HMGU_692271: postnatal adult; Dbn1tm1b(KOMP)Wtsi/Dbn1+ (more )
Structure Level Pattern Image Note
TS28: spinal cord Present HMGU_692271

Specimen JAX_1799918: postnatal adult; Dbn1tm1b(KOMP)Wtsi/Dbn1+ (more )
Structure Level Pattern Image Note
TS28: epididymis Present JAX_1799918

Specimen JAX_1799919: postnatal adult; Dbn1tm1b(KOMP)Wtsi/Dbn1+ (more )
Structure Level Pattern Image Note
TS28: submandibular gland Present JAX_1799919

Specimen JAX_1799920: postnatal adult; Dbn1tm1b(KOMP)Wtsi/Dbn1+ (more )
Structure Level Pattern Image Note
TS28: bladder Present JAX_1799920

Specimen JAX_1799921: postnatal adult; Dbn1tm1b(KOMP)Wtsi/Dbn1+ (more )
Structure Level Pattern Image Note
TS28: peripheral nervous system Present JAX_1799921

Specimen JAX_1799922: postnatal adult; Dbn1tm1b(KOMP)Wtsi/Dbn1+ (more )
Structure Level Pattern Image Note
TS28: small intestine Present JAX_1799922

Specimen JAX_1799923: postnatal adult; Dbn1tm1b(KOMP)Wtsi/Dbn1+ (more )
Structure Level Pattern Image Note
TS28: spinal cord Present JAX_1799923

Specimen JAX_1799924: postnatal adult; Dbn1tm1b(KOMP)Wtsi/Dbn1+ (more )
Structure Level Pattern Image Note
TS28: large intestine Present JAX_1799924

Specimen JAX_1799925: postnatal adult; Dbn1tm1b(KOMP)Wtsi/Dbn1+ (more )
Structure Level Pattern Image Note
TS28: testis Present JAX_1799925

Specimen JAX_1799926: postnatal adult; Dbn1tm1b(KOMP)Wtsi/Dbn1+ (more )
Structure Level Pattern Image Note
TS28: stomach Present JAX_1799926

Specimen MRC Harwell_1304705: postnatal adult; Dbn1tm1b(KOMP)Wtsi/Dbn1+ (more )
Structure Level Pattern Image Note
TS28: prostate gland Present MRC Harwell_1304705

Specimen MRC Harwell_1304706: postnatal adult; Dbn1tm1b(KOMP)Wtsi/Dbn1+ (more )
Structure Level Pattern Image Note
TS28: testis Present MRC Harwell_1304706

Specimen MRC Harwell_1304707: postnatal adult; Dbn1tm1b(KOMP)Wtsi/Dbn1+ (more )
Structure Level Pattern Image Note
TS28: brain Present MRC Harwell_1304707
TS28: brainstem Present MRC Harwell_1304707
TS28: cerebellum Present MRC Harwell_1304707
TS28: cerebral cortex Present MRC Harwell_1304707
TS28: hippocampus Present MRC Harwell_1304707
TS28: hypothalamus Present MRC Harwell_1304707
TS28: olfactory lobe Present MRC Harwell_1304707
TS28: corpus striatum Present MRC Harwell_1304707

Specimen MRC Harwell_1304708: postnatal adult; Dbn1tm1b(KOMP)Wtsi/Dbn1+ (more )
Structure Level Pattern Image Note
TS28: eye Present MRC Harwell_1304708

Specimen MRC Harwell_1304709: postnatal adult; Dbn1tm1b(KOMP)Wtsi/Dbn1+ (more )
Structure Level Pattern Image Note
TS28: adrenal gland Present MRC Harwell_1304709

Specimen MRC Harwell_1304710: postnatal adult; Dbn1tm1b(KOMP)Wtsi/Dbn1+ (more )
Structure Level Pattern Image Note
TS28: aorta Present MRC Harwell_1304710

Specimen MRC Harwell_1304711: postnatal adult; Dbn1tm1b(KOMP)Wtsi/Dbn1+ (more )
Structure Level Pattern Image Note
TS28: brain Present MRC Harwell_1304711
TS28: brainstem Present MRC Harwell_1304711
TS28: cerebellum Present MRC Harwell_1304711
TS28: cerebral cortex Present MRC Harwell_1304711
TS28: hippocampus Present MRC Harwell_1304711
TS28: hypothalamus Present MRC Harwell_1304711
TS28: olfactory lobe Present MRC Harwell_1304711
TS28: corpus striatum Present MRC Harwell_1304711

Specimen MRC Harwell_1304712: postnatal adult; Dbn1tm1b(KOMP)Wtsi/Dbn1+ (more )
Structure Level Pattern Image Note
TS28: bone Present MRC Harwell_1304712

Specimen MRC Harwell_1304713: postnatal adult; Dbn1tm1b(KOMP)Wtsi/Dbn1+ (more )
Structure Level Pattern Image Note
TS28: spinal cord Present MRC Harwell_1304713

Specimen MRC Harwell_1304714: postnatal adult; Dbn1tm1b(KOMP)Wtsi/Dbn1+ (more )
Structure Level Pattern Image Note
TS28: brain Present MRC Harwell_1304714
TS28: brainstem Present MRC Harwell_1304714
TS28: cerebellum Present MRC Harwell_1304714
TS28: cerebral cortex Present MRC Harwell_1304714
TS28: hippocampus Present MRC Harwell_1304714
TS28: hypothalamus Present MRC Harwell_1304714
TS28: corpus striatum Present MRC Harwell_1304714

Specimen RBRC_889625: postnatal adult; Dbn1tm1b(KOMP)Wtsi/Dbn1+ (more )
Structure Level Pattern Image Note
TS28: main olfactory bulb Present RBRC_889625

Specimen RBRC_889627: postnatal adult; Dbn1tm1b(KOMP)Wtsi/Dbn1+ (more )
Structure Level Pattern Image Note
TS28: main olfactory bulb Present RBRC_889627

Specimen RBRC_889629: postnatal adult; Dbn1tm1b(KOMP)Wtsi/Dbn1+ (more )
Structure Level Pattern Image Note
TS28: brain Present RBRC_889629

Specimen RBRC_889631: postnatal adult; Dbn1tm1b(KOMP)Wtsi/Dbn1+ (more )
Structure Level Pattern Image Note
TS28: brain Present RBRC_889631

Specimen RBRC_889633: postnatal adult; Dbn1tm1b(KOMP)Wtsi/Dbn1+ (more )
Structure Level Pattern Image Note
TS28: brain Present RBRC_889633

Specimen RBRC_889635: postnatal adult; Dbn1tm1b(KOMP)Wtsi/Dbn1+ (more )
Structure Level Pattern Image Note
TS28: brain Present RBRC_889635

Specimen RBRC_889637: postnatal adult; Dbn1tm1b(KOMP)Wtsi/Dbn1+ (more )
Structure Level Pattern Image Note
TS28: brain Present RBRC_889637

Specimen RBRC_889639: postnatal adult; Dbn1tm1b(KOMP)Wtsi/Dbn1+ (more )
Structure Level Pattern Image Note
TS28: brain Present RBRC_889639

Specimen RBRC_889641: postnatal adult; Dbn1tm1b(KOMP)Wtsi/Dbn1+ (more )
Structure Level Pattern Image Note
TS28: brain Present RBRC_889641

Specimen RBRC_889643: postnatal adult; Dbn1tm1b(KOMP)Wtsi/Dbn1+ (more )
Structure Level Pattern Image Note
TS28: brain Present RBRC_889643

Specimen RBRC_889645: postnatal adult; Dbn1tm1b(KOMP)Wtsi/Dbn1+ (more )
Structure Level Pattern Image Note
TS28: brain Present RBRC_889645

Specimen RBRC_889647: postnatal adult; Dbn1tm1b(KOMP)Wtsi/Dbn1+ (more )
Structure Level Pattern Image Note
TS28: brain Present RBRC_889647

Specimen RBRC_889649: postnatal adult; Dbn1tm1b(KOMP)Wtsi/Dbn1+ (more )
Structure Level Pattern Image Note
TS28: brain Present RBRC_889649

Specimen RBRC_889651: postnatal adult; Dbn1tm1b(KOMP)Wtsi/Dbn1+ (more )
Structure Level Pattern Image Note
TS28: brain Present RBRC_889651

Specimen RBRC_889653: postnatal adult; Dbn1tm1b(KOMP)Wtsi/Dbn1+ (more )
Structure Level Pattern Image Note
TS28: brain Present RBRC_889653

Specimen RBRC_889655: postnatal adult; Dbn1tm1b(KOMP)Wtsi/Dbn1+ (more )
Structure Level Pattern Image Note
TS28: brain Present RBRC_889655

Specimen RBRC_889657: postnatal adult; Dbn1tm1b(KOMP)Wtsi/Dbn1+ (more )
Structure Level Pattern Image Note
TS28: brain Present RBRC_889657

Specimen RBRC_889659: postnatal adult; Dbn1tm1b(KOMP)Wtsi/Dbn1+ (more )
Structure Level Pattern Image Note
TS28: brain Present RBRC_889659

Specimen RBRC_889661: postnatal adult; Dbn1tm1b(KOMP)Wtsi/Dbn1+ (more )
Structure Level Pattern Image Note
TS28: brain Present RBRC_889661

Specimen RBRC_889663: postnatal adult; Dbn1tm1b(KOMP)Wtsi/Dbn1+ (more )
Structure Level Pattern Image Note
TS28: brain Present RBRC_889663

Specimen RBRC_889665: postnatal adult; Dbn1tm1b(KOMP)Wtsi/Dbn1+ (more )
Structure Level Pattern Image Note
TS28: brain Present RBRC_889665

Specimen RBRC_889667: postnatal adult; Dbn1tm1b(KOMP)Wtsi/Dbn1+ (more )
Structure Level Pattern Image Note
TS28: brain Present RBRC_889667

Specimen RBRC_889669: postnatal adult; Dbn1tm1b(KOMP)Wtsi/Dbn1+ (more )
Structure Level Pattern Image Note
TS28: brain Present RBRC_889669

Specimen RBRC_889671: postnatal adult; Dbn1tm1b(KOMP)Wtsi/Dbn1+ (more )
Structure Level Pattern Image Note
TS28: brain Present RBRC_889671

Specimen RBRC_889673: postnatal adult; Dbn1tm1b(KOMP)Wtsi/Dbn1+ (more )
Structure Level Pattern Image Note
TS28: brain Present RBRC_889673

Specimen RBRC_889675: postnatal adult; Dbn1tm1b(KOMP)Wtsi/Dbn1+ (more )
Structure Level Pattern Image Note
TS28: pituitary gland Present RBRC_889675
TS28: trigeminal nerve Present RBRC_889675

Specimen RBRC_889677: postnatal adult; Dbn1tm1b(KOMP)Wtsi/Dbn1+ (more )
Structure Level Pattern Image Note
TS28: pituitary gland Present RBRC_889677

Specimen RBRC_889679: postnatal adult; Dbn1tm1b(KOMP)Wtsi/Dbn1+ (more )
Structure Level Pattern Image Note
TS28: thoracic segment skeleton Ambiguous RBRC_889679 chest bone

Specimen RBRC_889681: postnatal adult; Dbn1tm1b(KOMP)Wtsi/Dbn1+ (more )
Structure Level Pattern Image Note
TS28: Harderian gland Ambiguous RBRC_889681

Specimen RBRC_889683: postnatal adult; Dbn1tm1b(KOMP)Wtsi/Dbn1+ (more )
Structure Level Pattern Image Note
TS28: sublingual gland Ambiguous RBRC_889683
TS28: submandibular gland Ambiguous RBRC_889683

Specimen RBRC_889685: postnatal adult; Dbn1tm1b(KOMP)Wtsi/Dbn1+ (more )
Structure Level Pattern Image Note
TS28: parotid gland Ambiguous RBRC_889685

Specimen RBRC_889687: postnatal adult; Dbn1tm1b(KOMP)Wtsi/Dbn1+ (more )
Structure Level Pattern Image Note
TS28: thyroid gland Ambiguous RBRC_889687

Specimen RBRC_889689: postnatal adult; Dbn1tm1b(KOMP)Wtsi/Dbn1+ (more )
Structure Level Pattern Image Note
TS28: trachea Ambiguous RBRC_889689

Specimen RBRC_889691: postnatal adult; Dbn1tm1b(KOMP)Wtsi/Dbn1+ (more )
Structure Level Pattern Image Note
TS28: lung Ambiguous RBRC_889691

Specimen RBRC_889693: postnatal adult; Dbn1tm1b(KOMP)Wtsi/Dbn1+ (more )
Structure Level Pattern Image Note
TS28: lung Ambiguous RBRC_889693

Specimen RBRC_889695: postnatal adult; Dbn1tm1b(KOMP)Wtsi/Dbn1+ (more )
Structure Level Pattern Image Note
TS28: tongue Present RBRC_889695

Specimen RBRC_889697: postnatal adult; Dbn1tm1b(KOMP)Wtsi/Dbn1+ (more )
Structure Level Pattern Image Note
TS28: tongue Present RBRC_889697

Specimen RBRC_889699: postnatal adult; Dbn1tm1b(KOMP)Wtsi/Dbn1+ (more )
Structure Level Pattern Image Note
TS28: esophagus Present RBRC_889699

Specimen RBRC_889701: postnatal adult; Dbn1tm1b(KOMP)Wtsi/Dbn1+ (more )
Structure Level Pattern Image Note
TS28: esophagus Present RBRC_889701

Specimen RBRC_889703: postnatal adult; Dbn1tm1b(KOMP)Wtsi/Dbn1+ (more )
Structure Level Pattern Image Note
TS28: thymus Ambiguous RBRC_889703

Specimen RBRC_889705: postnatal adult; Dbn1tm1b(KOMP)Wtsi/Dbn1+ (more )
Structure Level Pattern Image Note
TS28: thymus Ambiguous RBRC_889705

Specimen RBRC_889707: postnatal adult; Dbn1tm1b(KOMP)Wtsi/Dbn1+ (more )
Structure Level Pattern Image Note
TS28: thymus Ambiguous RBRC_889707

Specimen RBRC_889709: postnatal adult; Dbn1tm1b(KOMP)Wtsi/Dbn1+ (more )
Structure Level Pattern Image Note
TS28: heart Absent RBRC_889709

Specimen RBRC_889711: postnatal adult; Dbn1tm1b(KOMP)Wtsi/Dbn1+ (more )
Structure Level Pattern Image Note
TS28: heart Absent RBRC_889711

Specimen RBRC_889713: postnatal adult; Dbn1tm1b(KOMP)Wtsi/Dbn1+ (more )
Structure Level Pattern Image Note
TS28: gallbladder Ambiguous RBRC_889713

Specimen RBRC_889715: postnatal adult; Dbn1tm1b(KOMP)Wtsi/Dbn1+ (more )
Structure Level Pattern Image Note
TS28: liver Ambiguous RBRC_889715

Specimen RBRC_889717: postnatal adult; Dbn1tm1b(KOMP)Wtsi/Dbn1+ (more )
Structure Level Pattern Image Note
TS28: liver Ambiguous RBRC_889717

Specimen RBRC_889719: postnatal adult; Dbn1tm1b(KOMP)Wtsi/Dbn1+ (more )
Structure Level Pattern Image Note
TS28: spleen Ambiguous RBRC_889719

Specimen RBRC_889721: postnatal adult; Dbn1tm1b(KOMP)Wtsi/Dbn1+ (more )
Structure Level Pattern Image Note
TS28: pancreas Absent RBRC_889721

Specimen RBRC_889723: postnatal adult; Dbn1tm1b(KOMP)Wtsi/Dbn1+ (more )
Structure Level Pattern Image Note
TS28: pancreas Absent RBRC_889723

Specimen RBRC_889725: postnatal adult; Dbn1tm1b(KOMP)Wtsi/Dbn1+ (more )
Structure Level Pattern Image Note
TS28: mesenteric lymph node Ambiguous RBRC_889725

Specimen RBRC_889727: postnatal adult; Dbn1tm1b(KOMP)Wtsi/Dbn1+ (more )
Structure Level Pattern Image Note
TS28: adrenal gland Ambiguous RBRC_889727

Specimen RBRC_889729: postnatal adult; Dbn1tm1b(KOMP)Wtsi/Dbn1+ (more )
Structure Level Pattern Image Note
TS28: metanephros Ambiguous RBRC_889729 kidney

Specimen RBRC_889731: postnatal adult; Dbn1tm1b(KOMP)Wtsi/Dbn1+ (more )
Structure Level Pattern Image Note
TS28: metanephros Ambiguous RBRC_889731 kidney

Specimen RBRC_889733: postnatal adult; Dbn1tm1b(KOMP)Wtsi/Dbn1+ (more )
Structure Level Pattern Image Note
TS28: metanephros Ambiguous RBRC_889733 kidney

Specimen RBRC_889735: postnatal adult; Dbn1tm1b(KOMP)Wtsi/Dbn1+ (more )
Structure Level Pattern Image Note
TS28: metanephros Ambiguous RBRC_889735 kidney

Specimen RBRC_889737: postnatal adult; Dbn1tm1b(KOMP)Wtsi/Dbn1+ (more )
Structure Level Pattern Image Note
TS28: metanephros Ambiguous RBRC_889737 kidney

Specimen RBRC_889739: postnatal adult; Dbn1tm1b(KOMP)Wtsi/Dbn1+ (more )
Structure Level Pattern Image Note
TS28: stomach Ambiguous RBRC_889739

Specimen RBRC_889741: postnatal adult; Dbn1tm1b(KOMP)Wtsi/Dbn1+ (more )
Structure Level Pattern Image Note
TS28: stomach Ambiguous RBRC_889741

Specimen RBRC_889743: postnatal adult; Dbn1tm1b(KOMP)Wtsi/Dbn1+ (more )
Structure Level Pattern Image Note
TS28: stomach Ambiguous RBRC_889743

Specimen RBRC_889745: postnatal adult; Dbn1tm1b(KOMP)Wtsi/Dbn1+ (more )
Structure Level Pattern Image Note
TS28: stomach Ambiguous RBRC_889745

Specimen RBRC_889747: postnatal adult; Dbn1tm1b(KOMP)Wtsi/Dbn1+ (more )
Structure Level Pattern Image Note
TS28: duodenum Present RBRC_889747

Specimen RBRC_889749: postnatal adult; Dbn1tm1b(KOMP)Wtsi/Dbn1+ (more )
Structure Level Pattern Image Note
TS28: duodenum Present RBRC_889749

Specimen RBRC_889751: postnatal adult; Dbn1tm1b(KOMP)Wtsi/Dbn1+ (more )
Structure Level Pattern Image Note
TS28: duodenum Present RBRC_889751

Specimen RBRC_889753: postnatal adult; Dbn1tm1b(KOMP)Wtsi/Dbn1+ (more )
Structure Level Pattern Image Note
TS28: jejunum Present RBRC_889753

Specimen RBRC_889755: postnatal adult; Dbn1tm1b(KOMP)Wtsi/Dbn1+ (more )
Structure Level Pattern Image Note
TS28: jejunum Present RBRC_889755

Specimen RBRC_889757: postnatal adult; Dbn1tm1b(KOMP)Wtsi/Dbn1+ (more )
Structure Level Pattern Image Note
TS28: jejunum Present RBRC_889757

Specimen RBRC_889759: postnatal adult; Dbn1tm1b(KOMP)Wtsi/Dbn1+ (more )
Structure Level Pattern Image Note
TS28: ileum Present RBRC_889759

Specimen RBRC_889761: postnatal adult; Dbn1tm1b(KOMP)Wtsi/Dbn1+ (more )
Structure Level Pattern Image Note
TS28: ileum Present RBRC_889761

Specimen RBRC_889763: postnatal adult; Dbn1tm1b(KOMP)Wtsi/Dbn1+ (more )
Structure Level Pattern Image Note
TS28: ileum Present RBRC_889763

Specimen RBRC_889765: postnatal adult; Dbn1tm1b(KOMP)Wtsi/Dbn1+ (more )
Structure Level Pattern Image Note
TS28: cecum Present RBRC_889765

Specimen RBRC_889767: postnatal adult; Dbn1tm1b(KOMP)Wtsi/Dbn1+ (more )
Structure Level Pattern Image Note
TS28: cecum Present RBRC_889767

Specimen RBRC_889769: postnatal adult; Dbn1tm1b(KOMP)Wtsi/Dbn1+ (more )
Structure Level Pattern Image Note
TS28: cecum Present RBRC_889769

Specimen RBRC_889771: postnatal adult; Dbn1tm1b(KOMP)Wtsi/Dbn1+ (more )
Structure Level Pattern Image Note
TS28: large intestine Present RBRC_889771

Specimen RBRC_889773: postnatal adult; Dbn1tm1b(KOMP)Wtsi/Dbn1+ (more )
Structure Level Pattern Image Note
TS28: large intestine Present RBRC_889773

Specimen RBRC_889775: postnatal adult; Dbn1tm1b(KOMP)Wtsi/Dbn1+ (more )
Structure Level Pattern Image Note
TS28: large intestine Present RBRC_889775

Specimen RBRC_889777: postnatal adult; Dbn1tm1b(KOMP)Wtsi/Dbn1+ (more )
Structure Level Pattern Image Note
TS28: sciatic nerve Present RBRC_889777

Specimen RBRC_889779: postnatal adult; Dbn1tm1b(KOMP)Wtsi/Dbn1+ (more )
Structure Level Pattern Image Note
TS28: sciatic nerve Present RBRC_889779

Specimen RBRC_889781: postnatal adult; Dbn1tm1b(KOMP)Wtsi/Dbn1+ (more )
Structure Level Pattern Image Note
TS28: lymph node Ambiguous RBRC_889781

Specimen RBRC_889783: postnatal adult; Dbn1tm1b(KOMP)Wtsi/Dbn1+ (more )
Structure Level Pattern Image Note
TS28: skin Ambiguous RBRC_889783

Specimen RBRC_889785: postnatal adult; Dbn1tm1b(KOMP)Wtsi/Dbn1+ (more )
Structure Level Pattern Image Note
TS28: bone Ambiguous RBRC_889785

Specimen RBRC_889787: postnatal adult; Dbn1tm1b(KOMP)Wtsi/Dbn1+ (more )
Structure Level Pattern Image Note
TS28: bone Ambiguous RBRC_889787

Specimen RBRC_889789: postnatal adult; Dbn1tm1b(KOMP)Wtsi/Dbn1+ (more )
Structure Level Pattern Image Note
TS28: bone Ambiguous RBRC_889789

Specimen RBRC_889791: postnatal adult; Dbn1tm1b(KOMP)Wtsi/Dbn1+ (more )
Structure Level Pattern Image Note
TS28: bladder Ambiguous RBRC_889791

Specimen RBRC_889793: postnatal adult; Dbn1tm1b(KOMP)Wtsi/Dbn1+ (more )
Structure Level Pattern Image Note
TS28: bladder Ambiguous RBRC_889793

Specimen RBRC_889795: postnatal adult; Dbn1tm1b(KOMP)Wtsi/Dbn1+ (more )
Structure Level Pattern Image Note
TS28: penis Present RBRC_889795

Specimen RBRC_889797: postnatal adult; Dbn1tm1b(KOMP)Wtsi/Dbn1+ (more )
Structure Level Pattern Image Note
TS28: epididymis Ambiguous RBRC_889797
TS28: testis Present RBRC_889797

Specimen RBRC_889799: postnatal adult; Dbn1tm1b(KOMP)Wtsi/Dbn1+ (more )
Structure Level Pattern Image Note
TS28: testis Present RBRC_889799

Specimen RBRC_889801: postnatal adult; Dbn1tm1b(KOMP)Wtsi/Dbn1+ (more )
Structure Level Pattern Image Note
TS28: testis Present RBRC_889801

Specimen RBRC_889803: postnatal adult; Dbn1tm1b(KOMP)Wtsi/Dbn1+ (more )
Structure Level Pattern Image Note
TS28: testis Present RBRC_889803

Specimen RBRC_889805: postnatal adult; Dbn1tm1b(KOMP)Wtsi/Dbn1+ (more )
Structure Level Pattern Image Note
TS28: seminal vesicle Ambiguous RBRC_889805 vesicular gland

Specimen RBRC_889807: postnatal adult; Dbn1tm1b(KOMP)Wtsi/Dbn1+ (more )
Structure Level Pattern Image Note
TS28: seminal vesicle Ambiguous RBRC_889807 vesicular gland

Specimen RBRC_889809: postnatal adult; Dbn1tm1b(KOMP)Wtsi/Dbn1+ (more )
Structure Level Pattern Image Note
TS28: prostate gland Ambiguous RBRC_889809

Specimen RBRC_889811: postnatal adult; Dbn1tm1b(KOMP)Wtsi/Dbn1+ (more )
Structure Level Pattern Image Note
TS28: spinal cord Present RBRC_889811

Specimen RBRC_889813: postnatal adult; Dbn1tm1b(KOMP)Wtsi/Dbn1+ (more )
Structure Level Pattern Image Note
TS28: spinal cord Present RBRC_889813

Specimen RBRC_889815: postnatal adult; Dbn1tm1b(KOMP)Wtsi/Dbn1+ (more )
Structure Level Pattern Image Note
TS28: spinal cord Present RBRC_889815

Specimen RBRC_889817: postnatal adult; Dbn1tm1b(KOMP)Wtsi/Dbn1+ (more )
Structure Level Pattern Image Note
TS28: spinal cord Present RBRC_889817

Specimen TCP_2460228: postnatal adult; Dbn1tm1b(KOMP)Wtsi/Dbn1+ (more )
Structure Level Pattern Image Note
TS28: eye Present TCP_2460228

Specimen TCP_2460229: postnatal adult; Dbn1tm1b(KOMP)Wtsi/Dbn1+ (more )
Structure Level Pattern Image Note
TS28: eye Present TCP_2460229

Specimen TCP_2460230: postnatal adult; Dbn1tm1b(KOMP)Wtsi/Dbn1+ (more )
Structure Level Pattern Image Note
TS28: olfactory lobe Present TCP_2460230

Specimen TCP_2460231: postnatal adult; Dbn1tm1b(KOMP)Wtsi/Dbn1+ (more )
Structure Level Pattern Image Note
TS28: spinal cord Present TCP_2460231

Specimen TCP_2460232: postnatal adult; Dbn1tm1b(KOMP)Wtsi/Dbn1+ (more )
Structure Level Pattern Image Note
TS28: skin Present TCP_2460232

Specimen TCP_2460233: postnatal adult; Dbn1tm1b(KOMP)Wtsi/Dbn1+ (more )
Structure Level Pattern Image Note
TS28: skin Present TCP_2460233

Specimen TCP_2460234: postnatal adult; Dbn1tm1b(KOMP)Wtsi/Dbn1+ (more )
Structure Level Pattern Image Note
TS28: spinal cord Present TCP_2460234

Specimen TCP_2460235: postnatal adult; Dbn1tm1b(KOMP)Wtsi/Dbn1+ (more )
Structure Level Pattern Image Note
TS28: spinal cord Present TCP_2460235

Specimen TCP_2460236: postnatal adult; Dbn1tm1b(KOMP)Wtsi/Dbn1+ (more )
Structure Level Pattern Image Note
TS28: cerebellum Present TCP_2460236

Specimen TCP_2460237: postnatal adult; Dbn1tm1b(KOMP)Wtsi/Dbn1+ (more )
Structure Level Pattern Image Note
TS28: cerebellum Present TCP_2460237

Specimen TCP_2460238: postnatal adult; Dbn1tm1b(KOMP)Wtsi/Dbn1+ (more )
Structure Level Pattern Image Note
TS28: brain Present TCP_2460238

Specimen TCP_2460239: postnatal adult; Dbn1tm1b(KOMP)Wtsi/Dbn1+ (more )
Structure Level Pattern Image Note
TS28: brain Present TCP_2460239

Specimen TCP_2460240: postnatal adult; Dbn1tm1b(KOMP)Wtsi/Dbn1+ (more )
Structure Level Pattern Image Note
TS28: brain Present TCP_2460240

Specimen UC Davis_1860835: postnatal adult; Dbn1tm1b(KOMP)Wtsi/Dbn1+ (more )
Structure Level Pattern Image Note
TS28: sublingual gland Present UC Davis_1860835

Specimen UC Davis_1860836: postnatal adult; Dbn1tm1b(KOMP)Wtsi/Dbn1+ (more )
Structure Level Pattern Image Note
TS28: sublingual gland Present UC Davis_1860836

Specimen UC Davis_1860837: postnatal adult; Dbn1tm1b(KOMP)Wtsi/Dbn1+ (more )
Structure Level Pattern Image Note
TS28: aorta Present UC Davis_1860837

Specimen UC Davis_1860838: postnatal adult; Dbn1tm1b(KOMP)Wtsi/Dbn1+ (more )
Structure Level Pattern Image Note
TS28: stomach Present UC Davis_1860838

Specimen UC Davis_1860839: postnatal adult; Dbn1tm1b(KOMP)Wtsi/Dbn1+ (more )
Structure Level Pattern Image Note
TS28: stomach Present UC Davis_1860839

Specimen UC Davis_1860840: postnatal adult; Dbn1tm1b(KOMP)Wtsi/Dbn1+ (more )
Structure Level Pattern Image Note
TS28: stomach Present UC Davis_1860840

Specimen UC Davis_1860841: postnatal adult; Dbn1tm1b(KOMP)Wtsi/Dbn1+ (more )
Structure Level Pattern Image Note
TS28: duodenum Present UC Davis_1860841

Specimen UC Davis_1860842: postnatal adult; Dbn1tm1b(KOMP)Wtsi/Dbn1+ (more )
Structure Level Pattern Image Note
TS28: duodenum Present UC Davis_1860842

Specimen UC Davis_1860843: postnatal adult; Dbn1tm1b(KOMP)Wtsi/Dbn1+ (more )
Structure Level Pattern Image Note
TS28: ileum Present UC Davis_1860843

Specimen UC Davis_1860844: postnatal adult; Dbn1tm1b(KOMP)Wtsi/Dbn1+ (more )
Structure Level Pattern Image Note
TS28: colon Present UC Davis_1860844

Specimen UC Davis_1860845: postnatal adult; Dbn1tm1b(KOMP)Wtsi/Dbn1+ (more )
Structure Level Pattern Image Note
TS28: colon Present UC Davis_1860845

Specimen UC Davis_1860846: postnatal adult; Dbn1tm1b(KOMP)Wtsi/Dbn1+ (more )
Structure Level Pattern Image Note
TS28: cecum Present UC Davis_1860846

Specimen UC Davis_1860847: postnatal adult; Dbn1tm1b(KOMP)Wtsi/Dbn1+ (more )
Structure Level Pattern Image Note
TS28: metanephros Present UC Davis_1860847 kidney

Specimen UC Davis_1860848: postnatal adult; Dbn1tm1b(KOMP)Wtsi/Dbn1+ (more )
Structure Level Pattern Image Note
TS28: metanephros Present UC Davis_1860848 kidney

Specimen UC Davis_1860849: postnatal adult; Dbn1tm1b(KOMP)Wtsi/Dbn1+ (more )
Structure Level Pattern Image Note
TS28: metanephros Present UC Davis_1860849 kidney

Specimen UC Davis_1860850: postnatal adult; Dbn1tm1b(KOMP)Wtsi/Dbn1+ (more )
Structure Level Pattern Image Note
TS28: metanephros Present UC Davis_1860850 kidney

Specimen UC Davis_1860851: postnatal adult; Dbn1tm1b(KOMP)Wtsi/Dbn1+ (more )
Structure Level Pattern Image Note
TS28: metanephros Present UC Davis_1860851 kidney

Specimen UC Davis_1860852: postnatal adult; Dbn1tm1b(KOMP)Wtsi/Dbn1+ (more )
Structure Level Pattern Image Note
TS28: quadriceps femoris muscle Present UC Davis_1860852

Specimen UC Davis_1860853: postnatal adult; Dbn1tm1b(KOMP)Wtsi/Dbn1+ (more )
Structure Level Pattern Image Note
TS28: quadriceps femoris muscle Present UC Davis_1860853

Specimen UC Davis_1860854: postnatal adult; Dbn1tm1b(KOMP)Wtsi/Dbn1+ (more )
Structure Level Pattern Image Note
TS28: sciatic nerve Present UC Davis_1860854

Specimen UC Davis_1860855: postnatal adult; Dbn1tm1b(KOMP)Wtsi/Dbn1+ (more )
Structure Level Pattern Image Note
TS28: adrenal gland Present UC Davis_1860855

Specimen UC Davis_1860856: postnatal adult; Dbn1tm1b(KOMP)Wtsi/Dbn1+ (more )
Structure Level Pattern Image Note
TS28: adrenal gland Present UC Davis_1860856

Specimen UC Davis_1860857: postnatal adult; Dbn1tm1b(KOMP)Wtsi/Dbn1+ (more )
Structure Level Pattern Image Note
TS28: pituitary gland Present UC Davis_1860857

Specimen UC Davis_1860858: postnatal adult; Dbn1tm1b(KOMP)Wtsi/Dbn1+ (more )
Structure Level Pattern Image Note
TS28: pituitary gland Present UC Davis_1860858

Specimen UC Davis_1860859: postnatal adult; Dbn1tm1b(KOMP)Wtsi/Dbn1+ (more )
Structure Level Pattern Image Note
TS28: spinal cord Present UC Davis_1860859

Specimen UC Davis_1860860: postnatal adult; Dbn1tm1b(KOMP)Wtsi/Dbn1+ (more )
Structure Level Pattern Image Note
TS28: eye Present UC Davis_1860860

Specimen UC Davis_1860861: postnatal adult; Dbn1tm1b(KOMP)Wtsi/Dbn1+ (more )
Structure Level Pattern Image Note
TS28: eye Present UC Davis_1860861

Specimen UC Davis_1860862: postnatal adult; Dbn1tm1b(KOMP)Wtsi/Dbn1+ (more )
Structure Level Pattern Image Note
TS28: eye Present UC Davis_1860862

Specimen UC Davis_1860863: postnatal adult; Dbn1tm1b(KOMP)Wtsi/Dbn1+ (more )
Structure Level Pattern Image Note
TS28: olfactory lobe Present UC Davis_1860863

Specimen UC Davis_1860867: postnatal adult; Dbn1tm1b(KOMP)Wtsi/Dbn1+ (more )
Structure Level Pattern Image Note
TS28: midbrain Present UC Davis_1860867

Specimen UC Davis_1860869: postnatal adult; Dbn1tm1b(KOMP)Wtsi/Dbn1+ (more )
Structure Level Pattern Image Note
TS28: cerebellum Present UC Davis_1860869

Specimen UC Davis_1860870: postnatal adult; Dbn1tm1b(KOMP)Wtsi/Dbn1+ (more )
Structure Level Pattern Image Note
TS28: cerebellum Present UC Davis_1860870

Specimen UC Davis_1860871: postnatal adult; Dbn1tm1b(KOMP)Wtsi/Dbn1+ (more )
Structure Level Pattern Image Note
TS28: trigeminal nerve Present UC Davis_1860871

Specimen UC Davis_1860872: postnatal adult; Dbn1tm1b(KOMP)Wtsi/Dbn1+ (more )
Structure Level Pattern Image Note
TS28: trigeminal nerve Present UC Davis_1860872

Specimen UC Davis_1860873: postnatal adult; Dbn1tm1b(KOMP)Wtsi/Dbn1+ (more )
Structure Level Pattern Image Note
TS28: bladder Present UC Davis_1860873

Specimen UC Davis_1860874: postnatal adult; Dbn1tm1b(KOMP)Wtsi/Dbn1+ (more )
Structure Level Pattern Image Note
TS28: testis Present UC Davis_1860874

Specimen UC Davis_1860875: postnatal adult; Dbn1tm1b(KOMP)Wtsi/Dbn1+ (more )
Structure Level Pattern Image Note
TS28: testis Present UC Davis_1860875

Specimen UC Davis_1860876: postnatal adult; Dbn1tm1b(KOMP)Wtsi/Dbn1+ (more )
Structure Level Pattern Image Note
TS28: epididymis Present UC Davis_1860876

Specimen UC Davis_1860877: postnatal adult; Dbn1tm1b(KOMP)Wtsi/Dbn1+ (more )
Structure Level Pattern Image Note
TS28: epididymis Present UC Davis_1860877

Specimen UC Davis_1860878: postnatal adult; Dbn1tm1b(KOMP)Wtsi/Dbn1+ (more )
Structure Level Pattern Image Note
TS28: prostate gland Present UC Davis_1860878

Specimen UC Davis_1860879: postnatal adult; Dbn1tm1b(KOMP)Wtsi/Dbn1+ (more )
Structure Level Pattern Image Note
TS28: penis Present UC Davis_1860879

Specimen UC Davis_1860880: postnatal adult; Dbn1tm1b(KOMP)Wtsi/Dbn1+ (more )
Structure Level Pattern Image Note
TS28: penis Present UC Davis_1860880

Specimen UC Davis_1860881: postnatal adult; Dbn1tm1b(KOMP)Wtsi/Dbn1+ (more )
Structure Level Pattern Image Note
TS28: penis Present UC Davis_1860881

Specimen UC Davis_1860882: postnatal adult; Dbn1tm1b(KOMP)Wtsi/Dbn1+ (more )
Structure Level Pattern Image Note
TS28: ductus deferens Present UC Davis_1860882 vas deferens

Specimen UC Davis_1860885: postnatal adult; Dbn1tm1b(KOMP)Wtsi/Dbn1+ (more )
Structure Level Pattern Image Note
TS28: seminal vesicle Present UC Davis_1860885 vesicular gland

Specimen UC Davis_1860914: postnatal adult; Dbn1tm1b(KOMP)Wtsi/Dbn1+ (more )
Structure Level Pattern Image Note
TS28: olfactory lobe Present UC Davis_1860914

Specimen UC Davis_1860917: postnatal adult; Dbn1tm1b(KOMP)Wtsi/Dbn1+ (more )
Structure Level Pattern Image Note
TS28: midbrain Present UC Davis_1860917

Specimen UC Davis_1860919: postnatal adult; Dbn1tm1b(KOMP)Wtsi/Dbn1+ (more )
Structure Level Pattern Image Note
TS28: cerebellum Present UC Davis_1860919

Specimen UC Davis_1860920: postnatal adult; Dbn1tm1b(KOMP)Wtsi/Dbn1+ (more )
Structure Level Pattern Image Note
TS28: brain Present UC Davis_1860920

Specimen UC Davis_1860921: postnatal adult; Dbn1tm1b(KOMP)Wtsi/Dbn1+ (more )
Structure Level Pattern Image Note
TS28: metanephros Present UC Davis_1860921 kidney

Specimen UC Davis_1860922: postnatal adult; Dbn1tm1b(KOMP)Wtsi/Dbn1+ (more )
Structure Level Pattern Image Note
TS28: spinal cord Present UC Davis_1860922

Specimen UC Davis_1860923: postnatal adult; Dbn1tm1b(KOMP)Wtsi/Dbn1+ (more )
Structure Level Pattern Image Note
TS28: pituitary gland Present UC Davis_1860923

Specimen UC Davis_1860924: postnatal adult; Dbn1tm1b(KOMP)Wtsi/Dbn1+ (more )
Structure Level Pattern Image Note
TS28: stomach Present UC Davis_1860924

Specimen UC Davis_1860925: postnatal adult; Dbn1tm1b(KOMP)Wtsi/Dbn1+ (more )
Structure Level Pattern Image Note
TS28: stomach Present UC Davis_1860925

Specimen UC Davis_1860926: postnatal adult; Dbn1tm1b(KOMP)Wtsi/Dbn1+ (more )
Structure Level Pattern Image Note
TS28: duodenum Present UC Davis_1860926

Specimen UC Davis_1860927: postnatal adult; Dbn1tm1b(KOMP)Wtsi/Dbn1+ (more )
Structure Level Pattern Image Note
TS28: jejunum Present UC Davis_1860927

Specimen UC Davis_1860928: postnatal adult; Dbn1tm1b(KOMP)Wtsi/Dbn1+ (more )
Structure Level Pattern Image Note
TS28: ileum Present UC Davis_1860928

Specimen UC Davis_1860929: postnatal adult; Dbn1tm1b(KOMP)Wtsi/Dbn1+ (more )
Structure Level Pattern Image Note
TS28: colon Present UC Davis_1860929

Specimen UC Davis_1860930: postnatal adult; Dbn1tm1b(KOMP)Wtsi/Dbn1+ (more )
Structure Level Pattern Image Note
TS28: testis Present UC Davis_1860930


Contributing Projects:
Mouse Genome Database (MGD), Gene Expression Database (GXD), Mouse Models of Human Cancer database (MMHCdb) (formerly Mouse Tumor Biology (MTB)), Gene Ontology (GO)
Citing These Resources
Funding Information
Warranty Disclaimer, Privacy Notice, Licensing, & Copyright
Send questions and comments to User Support.
last database update
10/07/2025
MGI 6.24
The Jackson Laboratory