About   Help   FAQ
Gene Expression Data
Assay Details
Assay
Reference: J:228563 Koscielny G, et al., The International Mouse Phenotyping Consortium Web Portal, a unified point of access for knockout mice and related phenotyping data. Nucleic Acids Res. 2014 Jan;42(Database issue):D802-9
Assay type: In situ reporter (knock in)
MGI Accession ID: MGI:6691376
Gene symbol: Prkab1
Gene name: protein kinase, AMP-activated, beta 1 non-catalytic subunit
Reporter: lacZ
Direct Detection
Results
Specimen JAX_1618472: embryonic day 12.5; Prkab1tm1b(KOMP)Wtsi/Prkab1+ (more )
Structure Level Pattern Image Note
TS20: embryo Present JAX_1618472

Specimen JAX_1618473: embryonic day 12.5; Prkab1tm1b(KOMP)Wtsi/Prkab1+ (more )
Structure Level Pattern Image Note
TS20: embryo Present JAX_1618473

Specimen JAX_1618474: embryonic day 12.5; Prkab1tm1b(KOMP)Wtsi/Prkab1+ (more )
Structure Level Pattern Image Note
TS20: embryo Present JAX_1618474

Specimen JAX_1618475: embryonic day 12.5; Prkab1tm1b(KOMP)Wtsi/Prkab1+ (more )
Structure Level Pattern Image Note
TS20: embryo Present JAX_1618475

Specimen JAX_1618476: embryonic day 12.5; Prkab1tm1b(KOMP)Wtsi/Prkab1+ (more )
Structure Level Pattern Image Note
TS20: embryo Present JAX_1618476

Specimen JAX_1618477: embryonic day 12.5; Prkab1tm1b(KOMP)Wtsi/Prkab1+ (more )
Structure Level Pattern Image Note
TS20: embryo Present JAX_1618477

Specimen JAX_1618478: embryonic day 12.5; Prkab1tm1b(KOMP)Wtsi/Prkab1+ (more )
Structure Level Pattern Image Note
TS20: embryo Present JAX_1618478

Specimen JAX_1618479: embryonic day 12.5; Prkab1tm1b(KOMP)Wtsi/Prkab1+ (more )
Structure Level Pattern Image Note
TS20: embryo Present JAX_1618479

Specimen JAX_1618468: embryonic day 12.5; Prkab1tm1b(KOMP)Wtsi/Prkab1+ (more )
Structure Level Pattern Image Note
TS20: embryo Present JAX_1618468

Specimen JAX_1618469: embryonic day 12.5; Prkab1tm1b(KOMP)Wtsi/Prkab1+ (more )
Structure Level Pattern Image Note
TS20: embryo Present JAX_1618469

Specimen JAX_1618470: embryonic day 12.5; Prkab1tm1b(KOMP)Wtsi/Prkab1+ (more )
Structure Level Pattern Image Note
TS20: embryo Present JAX_1618470

Specimen JAX_1618471: embryonic day 12.5; Prkab1tm1b(KOMP)Wtsi/Prkab1+ (more )
Structure Level Pattern Image Note
TS20: embryo Present JAX_1618471

Specimen RBRC_215245: embryonic day 12.5; Prkab1tm1b(KOMP)Wtsi/Prkab1+ (more )
Structure Level Pattern Image Note
TS20: head Present RBRC_215245

Specimen RBRC_215247: embryonic day 12.5; Prkab1tm1b(KOMP)Wtsi/Prkab1+ (more )
Structure Level Pattern Image Note
TS20: embryo Present RBRC_215247

Specimen RBRC_215249: embryonic day 12.5; Prkab1tm1b(KOMP)Wtsi/Prkab1+ (more )
Structure Level Pattern Image Note
TS20: head Present RBRC_215249

Specimen RBRC_215251: embryonic day 12.5; Prkab1tm1b(KOMP)Wtsi/Prkab1+ (more )
Structure Level Pattern Image Note
TS20: embryo Present RBRC_215251

Specimen RBRC_215253: embryonic day 12.5; Prkab1tm1b(KOMP)Wtsi/Prkab1+ (more )
Structure Level Pattern Image Note
TS20: embryo Present RBRC_215253

Specimen RBRC_215255: embryonic day 12.5; Prkab1tm1b(KOMP)Wtsi/Prkab1+ (more )
Structure Level Pattern Image Note
TS20: head Present RBRC_215255

Specimen RBRC_215257: embryonic day 12.5; Prkab1tm1b(KOMP)Wtsi/Prkab1+ (more )
Structure Level Pattern Image Note
TS20: eye Present RBRC_215257

Specimen RBRC_215259: embryonic day 12.5; Prkab1tm1b(KOMP)Wtsi/Prkab1+ (more )
Structure Level Pattern Image Note
TS20: embryo Present RBRC_215259

Specimen RBRC_215261: embryonic day 12.5; Prkab1tm1b(KOMP)Wtsi/Prkab1+ (more )
Structure Level Pattern Image Note
TS20: embryo Present RBRC_215261

Specimen RBRC_215263: embryonic day 12.5; Prkab1tm1b(KOMP)Wtsi/Prkab1+ (more )
Structure Level Pattern Image Note
TS20: head Present RBRC_215263

Specimen RBRC_215265: embryonic day 12.5; Prkab1tm1b(KOMP)Wtsi/Prkab1+ (more )
Structure Level Pattern Image Note
TS20: embryo Present RBRC_215265

Specimen RBRC_215267: embryonic day 12.5; Prkab1tm1b(KOMP)Wtsi/Prkab1+ (more )
Structure Level Pattern Image Note
TS20: tail Ambiguous RBRC_215267

Specimen RBRC_215269: embryonic day 12.5; Prkab1tm1b(KOMP)Wtsi/Prkab1+ (more )
Structure Level Pattern Image Note
TS20: embryo Present RBRC_215269

Specimen RBRC_215271: embryonic day 12.5; Prkab1tm1b(KOMP)Wtsi/Prkab1+ (more )
Structure Level Pattern Image Note
TS20: heart Present RBRC_215271
TS20: liver Ambiguous RBRC_215271

Specimen RBRC_215273: embryonic day 12.5; Prkab1tm1b(KOMP)Wtsi/Prkab1+ (more )
Structure Level Pattern Image Note
TS20: heart Present RBRC_215273

Specimen RBRC_215275: embryonic day 12.5; Prkab1tm1b(KOMP)Wtsi/Prkab1+ (more )
Structure Level Pattern Image Note
TS20: heart Present RBRC_215275

Specimen RBRC_215277: embryonic day 12.5; Prkab1tm1b(KOMP)Wtsi/Prkab1+ (more )
Structure Level Pattern Image Note
TS20: liver Ambiguous RBRC_215277

Specimen RBRC_215279: embryonic day 12.5; Prkab1tm1b(KOMP)Wtsi/Prkab1+ (more )
Structure Level Pattern Image Note
TS20: liver Ambiguous RBRC_215279

Specimen RBRC_215281: embryonic day 12.5; Prkab1tm1b(KOMP)Wtsi/Prkab1+ (more )
Structure Level Pattern Image Note
TS20: head Present RBRC_215281

Specimen RBRC_215283: embryonic day 12.5; Prkab1tm1b(KOMP)Wtsi/Prkab1+ (more )
Structure Level Pattern Image Note
TS20: head Present RBRC_215283

Specimen RBRC_215285: embryonic day 12.5; Prkab1tm1b(KOMP)Wtsi/Prkab1+ (more )
Structure Level Pattern Image Note
TS20: embryo Present RBRC_215285

Specimen RBRC_215287: embryonic day 12.5; Prkab1tm1b(KOMP)Wtsi/Prkab1+ (more )
Structure Level Pattern Image Note
TS20: head Present RBRC_215287

Specimen RBRC_215289: embryonic day 12.5; Prkab1tm1b(KOMP)Wtsi/Prkab1+ (more )
Structure Level Pattern Image Note
TS20: embryo Present RBRC_215289

Specimen RBRC_215291: embryonic day 12.5; Prkab1tm1b(KOMP)Wtsi/Prkab1+ (more )
Structure Level Pattern Image Note
TS20: embryo Present RBRC_215291

Specimen RBRC_215293: embryonic day 12.5; Prkab1tm1b(KOMP)Wtsi/Prkab1+ (more )
Structure Level Pattern Image Note
TS20: head Present RBRC_215293

Specimen RBRC_215295: embryonic day 12.5; Prkab1tm1b(KOMP)Wtsi/Prkab1+ (more )
Structure Level Pattern Image Note
TS20: eye Present RBRC_215295

Specimen RBRC_215297: embryonic day 12.5; Prkab1tm1b(KOMP)Wtsi/Prkab1+ (more )
Structure Level Pattern Image Note
TS20: embryo Present RBRC_215297

Specimen RBRC_215299: embryonic day 12.5; Prkab1tm1b(KOMP)Wtsi/Prkab1+ (more )
Structure Level Pattern Image Note
TS20: embryo Present RBRC_215299

Specimen RBRC_215301: embryonic day 12.5; Prkab1tm1b(KOMP)Wtsi/Prkab1+ (more )
Structure Level Pattern Image Note
TS20: embryo Present RBRC_215301

Specimen RBRC_215303: embryonic day 12.5; Prkab1tm1b(KOMP)Wtsi/Prkab1+ (more )
Structure Level Pattern Image Note
TS20: head Present RBRC_215303

Specimen RBRC_215305: embryonic day 12.5; Prkab1tm1b(KOMP)Wtsi/Prkab1+ (more )
Structure Level Pattern Image Note
TS20: head Present RBRC_215305

Specimen RBRC_215307: embryonic day 12.5; Prkab1tm1b(KOMP)Wtsi/Prkab1+ (more )
Structure Level Pattern Image Note
TS20: eye Present RBRC_215307

Specimen RBRC_215309: embryonic day 12.5; Prkab1tm1b(KOMP)Wtsi/Prkab1+ (more )
Structure Level Pattern Image Note
TS20: embryo Present RBRC_215309

Specimen RBRC_215311: embryonic day 12.5; Prkab1tm1b(KOMP)Wtsi/Prkab1+ (more )
Structure Level Pattern Image Note
TS20: tail Ambiguous RBRC_215311

Specimen RBRC_215313: embryonic day 12.5; Prkab1tm1b(KOMP)Wtsi/Prkab1+ (more )
Structure Level Pattern Image Note
TS20: embryo Present RBRC_215313

Specimen RBRC_215315: embryonic day 12.5; Prkab1tm1b(KOMP)Wtsi/Prkab1+ (more )
Structure Level Pattern Image Note
TS20: embryo Present RBRC_215315

Specimen RBRC_215317: embryonic day 12.5; Prkab1tm1b(KOMP)Wtsi/Prkab1+ (more )
Structure Level Pattern Image Note
TS20: embryo Present RBRC_215317

Specimen RBRC_215319: embryonic day 12.5; Prkab1tm1b(KOMP)Wtsi/Prkab1+ (more )
Structure Level Pattern Image Note
TS20: heart Present RBRC_215319

Specimen RBRC_215321: embryonic day 12.5; Prkab1tm1b(KOMP)Wtsi/Prkab1+ (more )
Structure Level Pattern Image Note
TS20: heart Present RBRC_215321

Specimen RBRC_215323: embryonic day 12.5; Prkab1tm1b(KOMP)Wtsi/Prkab1+ (more )
Structure Level Pattern Image Note
TS20: liver Ambiguous RBRC_215323

Specimen RBRC_215325: embryonic day 12.5; Prkab1tm1b(KOMP)Wtsi/Prkab1+ (more )
Structure Level Pattern Image Note
TS20: head Present RBRC_215325

Specimen RBRC_215327: embryonic day 12.5; Prkab1tm1b(KOMP)Wtsi/Prkab1+ (more )
Structure Level Pattern Image Note
TS20: head Present RBRC_215327

Specimen RBRC_215329: embryonic day 12.5; Prkab1tm1b(KOMP)Wtsi/Prkab1+ (more )
Structure Level Pattern Image Note
TS20: eye Present RBRC_215329

Specimen RBRC_215331: embryonic day 12.5; Prkab1tm1b(KOMP)Wtsi/Prkab1+ (more )
Structure Level Pattern Image Note
TS20: embryo Present RBRC_215331

Specimen RBRC_215333: embryonic day 12.5; Prkab1tm1b(KOMP)Wtsi/Prkab1+ (more )
Structure Level Pattern Image Note
TS20: head Present RBRC_215333

Specimen RBRC_215335: embryonic day 12.5; Prkab1tm1b(KOMP)Wtsi/Prkab1+ (more )
Structure Level Pattern Image Note
TS20: eye Present RBRC_215335

Specimen RBRC_215337: embryonic day 12.5; Prkab1tm1b(KOMP)Wtsi/Prkab1+ (more )
Structure Level Pattern Image Note
TS20: embryo Present RBRC_215337

Specimen RBRC_215339: embryonic day 12.5; Prkab1tm1b(KOMP)Wtsi/Prkab1+ (more )
Structure Level Pattern Image Note
TS20: embryo Present RBRC_215339

Specimen RBRC_215341: embryonic day 12.5; Prkab1tm1b(KOMP)Wtsi/Prkab1+ (more )
Structure Level Pattern Image Note
TS20: head Present RBRC_215341

Specimen RBRC_215343: embryonic day 12.5; Prkab1tm1b(KOMP)Wtsi/Prkab1+ (more )
Structure Level Pattern Image Note
TS20: eye Present RBRC_215343

Specimen RBRC_215345: embryonic day 12.5; Prkab1tm1b(KOMP)Wtsi/Prkab1+ (more )
Structure Level Pattern Image Note
TS20: embryo Present RBRC_215345

Specimen RBRC_215347: embryonic day 12.5; Prkab1tm1b(KOMP)Wtsi/Prkab1+ (more )
Structure Level Pattern Image Note
TS20: tail Ambiguous RBRC_215347

Specimen RBRC_215349: embryonic day 12.5; Prkab1tm1b(KOMP)Wtsi/Prkab1+ (more )
Structure Level Pattern Image Note
TS20: embryo Present RBRC_215349

Specimen RBRC_215351: embryonic day 12.5; Prkab1tm1b(KOMP)Wtsi/Prkab1+ (more )
Structure Level Pattern Image Note
TS20: head Present RBRC_215351

Specimen RBRC_215353: embryonic day 12.5; Prkab1tm1b(KOMP)Wtsi/Prkab1+ (more )
Structure Level Pattern Image Note
TS20: head Present RBRC_215353

Specimen RBRC_215355: embryonic day 12.5; Prkab1tm1b(KOMP)Wtsi/Prkab1+ (more )
Structure Level Pattern Image Note
TS20: eye Present RBRC_215355

Specimen RBRC_215357: embryonic day 12.5; Prkab1tm1b(KOMP)Wtsi/Prkab1+ (more )
Structure Level Pattern Image Note
TS20: embryo Present RBRC_215357

Specimen RBRC_215359: embryonic day 12.5; Prkab1tm1b(KOMP)Wtsi/Prkab1+ (more )
Structure Level Pattern Image Note
TS20: tail Ambiguous RBRC_215359

Specimen RBRC_215361: embryonic day 12.5; Prkab1tm1b(KOMP)Wtsi/Prkab1+ (more )
Structure Level Pattern Image Note
TS20: tail Ambiguous RBRC_215361

Specimen RBRC_215363: embryonic day 12.5; Prkab1tm1b(KOMP)Wtsi/Prkab1+ (more )
Structure Level Pattern Image Note
TS20: embryo Present RBRC_215363

Specimen RBRC_215365: embryonic day 12.5; Prkab1tm1b(KOMP)Wtsi/Prkab1+ (more )
Structure Level Pattern Image Note
TS20: head Present RBRC_215365

Specimen RBRC_215367: embryonic day 12.5; Prkab1tm1b(KOMP)Wtsi/Prkab1+ (more )
Structure Level Pattern Image Note
TS20: head Present RBRC_215367

Specimen RBRC_215369: embryonic day 12.5; Prkab1tm1b(KOMP)Wtsi/Prkab1+ (more )
Structure Level Pattern Image Note
TS20: embryo Present RBRC_215369

Specimen RBRC_215371: embryonic day 12.5; Prkab1tm1b(KOMP)Wtsi/Prkab1+ (more )
Structure Level Pattern Image Note
TS20: heart Present RBRC_215371
TS20: liver Ambiguous RBRC_215371

Specimen RBRC_215373: embryonic day 12.5; Prkab1tm1b(KOMP)Wtsi/Prkab1+ (more )
Structure Level Pattern Image Note
TS20: heart Present RBRC_215373

Specimen RBRC_215375: embryonic day 12.5; Prkab1tm1b(KOMP)Wtsi/Prkab1+ (more )
Structure Level Pattern Image Note
TS20: heart Present RBRC_215375

Specimen RBRC_215377: embryonic day 12.5; Prkab1tm1b(KOMP)Wtsi/Prkab1+ (more )
Structure Level Pattern Image Note
TS20: heart Present RBRC_215377

Specimen RBRC_215379: embryonic day 12.5; Prkab1tm1b(KOMP)Wtsi/Prkab1+ (more )
Structure Level Pattern Image Note
TS20: heart Present RBRC_215379

Specimen RBRC_215381: embryonic day 12.5; Prkab1tm1b(KOMP)Wtsi/Prkab1+ (more )
Structure Level Pattern Image Note
TS20: liver Ambiguous RBRC_215381

Specimen RBRC_215383: embryonic day 12.5; Prkab1tm1b(KOMP)Wtsi/Prkab1+ (more )
Structure Level Pattern Image Note
TS20: liver Ambiguous RBRC_215383

Specimen RBRC_215385: embryonic day 12.5; Prkab1tm1b(KOMP)Wtsi/Prkab1+ (more )
Structure Level Pattern Image Note
TS20: head Present RBRC_215385

Specimen RBRC_215387: embryonic day 12.5; Prkab1tm1b(KOMP)Wtsi/Prkab1+ (more )
Structure Level Pattern Image Note
TS20: head Present RBRC_215387

Specimen RBRC_215389: embryonic day 12.5; Prkab1tm1b(KOMP)Wtsi/Prkab1+ (more )
Structure Level Pattern Image Note
TS20: embryo Present RBRC_215389

Specimen RBRC_215391: embryonic day 12.5; Prkab1tm1b(KOMP)Wtsi/Prkab1+ (more )
Structure Level Pattern Image Note
TS20: head Present RBRC_215391

Specimen RBRC_215393: embryonic day 12.5; Prkab1tm1b(KOMP)Wtsi/Prkab1+ (more )
Structure Level Pattern Image Note
TS20: head Present RBRC_215393

Specimen RBRC_215395: embryonic day 12.5; Prkab1tm1b(KOMP)Wtsi/Prkab1+ (more )
Structure Level Pattern Image Note
TS20: eye Present RBRC_215395

Specimen RBRC_215397: embryonic day 12.5; Prkab1tm1b(KOMP)Wtsi/Prkab1+ (more )
Structure Level Pattern Image Note
TS20: embryo Present RBRC_215397

Specimen RBRC_215399: embryonic day 12.5; Prkab1tm1b(KOMP)Wtsi/Prkab1+ (more )
Structure Level Pattern Image Note
TS20: embryo Present RBRC_215399

Specimen RBRC_215401: embryonic day 12.5; Prkab1tm1b(KOMP)Wtsi/Prkab1+ (more )
Structure Level Pattern Image Note
TS20: head Present RBRC_215401

Specimen RBRC_215403: embryonic day 12.5; Prkab1tm1b(KOMP)Wtsi/Prkab1+ (more )
Structure Level Pattern Image Note
TS20: eye Present RBRC_215403

Specimen RBRC_215405: embryonic day 12.5; Prkab1tm1b(KOMP)Wtsi/Prkab1+ (more )
Structure Level Pattern Image Note
TS20: embryo Present RBRC_215405

Specimen RBRC_215407: embryonic day 12.5; Prkab1tm1b(KOMP)Wtsi/Prkab1+ (more )
Structure Level Pattern Image Note
TS20: liver Ambiguous RBRC_215407

Specimen RBRC_215409: embryonic day 12.5; Prkab1tm1b(KOMP)Wtsi/Prkab1+ (more )
Structure Level Pattern Image Note
TS20: embryo Present RBRC_215409

Specimen RBRC_215411: embryonic day 12.5; Prkab1tm1b(KOMP)Wtsi/Prkab1+ (more )
Structure Level Pattern Image Note
TS20: head Present RBRC_215411

Specimen RBRC_215413: embryonic day 12.5; Prkab1tm1b(KOMP)Wtsi/Prkab1+ (more )
Structure Level Pattern Image Note
TS20: head Present RBRC_215413

Specimen RBRC_215415: embryonic day 12.5; Prkab1tm1b(KOMP)Wtsi/Prkab1+ (more )
Structure Level Pattern Image Note
TS20: eye Present RBRC_215415

Specimen RBRC_215417: embryonic day 12.5; Prkab1tm1b(KOMP)Wtsi/Prkab1+ (more )
Structure Level Pattern Image Note
TS20: eye Present RBRC_215417

Specimen RBRC_215419: embryonic day 12.5; Prkab1tm1b(KOMP)Wtsi/Prkab1+ (more )
Structure Level Pattern Image Note
TS20: embryo Present RBRC_215419

Specimen RBRC_215421: embryonic day 12.5; Prkab1tm1b(KOMP)Wtsi/Prkab1+ (more )
Structure Level Pattern Image Note
TS20: tail Ambiguous RBRC_215421

Specimen RBRC_215423: embryonic day 12.5; Prkab1tm1b(KOMP)Wtsi/Prkab1+ (more )
Structure Level Pattern Image Note
TS20: embryo Present RBRC_215423

Specimen RBRC_215425: embryonic day 12.5; Prkab1tm1b(KOMP)Wtsi/Prkab1+ (more )
Structure Level Pattern Image Note
TS20: heart Present RBRC_215425

Specimen RBRC_215427: embryonic day 12.5; Prkab1tm1b(KOMP)Wtsi/Prkab1+ (more )
Structure Level Pattern Image Note
TS20: liver Ambiguous RBRC_215427

Specimen RBRC_215429: embryonic day 12.5; Prkab1tm1b(KOMP)Wtsi/Prkab1+ (more )
Structure Level Pattern Image Note
TS20: heart Present RBRC_215429

Specimen RBRC_215431: embryonic day 12.5; Prkab1tm1b(KOMP)Wtsi/Prkab1+ (more )
Structure Level Pattern Image Note
TS20: heart Present RBRC_215431

Specimen BCM_1060613: postnatal adult; Prkab1tm1b(KOMP)Wtsi/Prkab1+ (more )
Structure Level Pattern Image Note
TS28: oviduct Present BCM_1060613
TS28: uterus Present BCM_1060613

Specimen CCP-IMG_2140947: postnatal adult; Prkab1tm1b(KOMP)Wtsi/Prkab1+ (more )
Structure Level Pattern Image Note
TS28: diaphragm Present CCP-IMG_2140947

Specimen CCP-IMG_2140948: postnatal adult; Prkab1tm1b(KOMP)Wtsi/Prkab1+ (more )
Structure Level Pattern Image Note
TS28: aorta Absent CCP-IMG_2140948

Specimen CCP-IMG_2140949: postnatal adult; Prkab1tm1b(KOMP)Wtsi/Prkab1+ (more )
Structure Level Pattern Image Note
TS28: adrenal gland Present CCP-IMG_2140949

Specimen CCP-IMG_2140950: postnatal adult; Prkab1tm1b(KOMP)Wtsi/Prkab1+ (more )
Structure Level Pattern Image Note
TS28: olfactory lobe Present CCP-IMG_2140950

Specimen CCP-IMG_2211125: postnatal adult; Prkab1tm1b(KOMP)Wtsi/Prkab1+ (more )
Structure Level Pattern Image Note
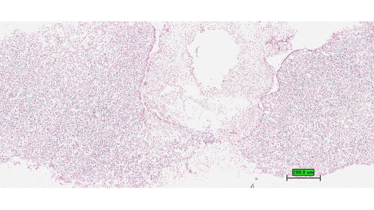
TS28: thymus Present CCP-IMG_2211125

Specimen CCP-IMG_2211126: postnatal adult; Prkab1tm1b(KOMP)Wtsi/Prkab1+ (more )
Structure Level Pattern Image Note
TS28: thyroid gland Absent CCP-IMG_2211126

Specimen CCP-IMG_2211128: postnatal adult; Prkab1tm1b(KOMP)Wtsi/Prkab1+ (more )
Structure Level Pattern Image Note
TS28: quadriceps femoris muscle Present CCP-IMG_2211128

Specimen CCP-IMG_2211129: postnatal adult; Prkab1tm1b(KOMP)Wtsi/Prkab1+ (more )
Structure Level Pattern Image Note
TS28: skin Absent CCP-IMG_2211129

Specimen CCP-IMG_2211130: postnatal adult; Prkab1tm1b(KOMP)Wtsi/Prkab1+ (more )
Structure Level Pattern Image Note
TS28: spleen Absent CCP-IMG_2211130

Specimen CCP-IMG_2211131: postnatal adult; Prkab1tm1b(KOMP)Wtsi/Prkab1+ (more )
Structure Level Pattern Image Note
TS28: jejunum Absent CCP-IMG_2211131

Specimen CCP-IMG_2211132: postnatal adult; Prkab1tm1b(KOMP)Wtsi/Prkab1+ (more )
Structure Level Pattern Image Note
TS28: colon Absent CCP-IMG_2211132

Specimen CCP-IMG_2211133: postnatal adult; Prkab1tm1b(KOMP)Wtsi/Prkab1+ (more )
Structure Level Pattern Image Note
TS28: brainstem Present CCP-IMG_2211133

Specimen CCP-IMG_2211134: postnatal adult; Prkab1tm1b(KOMP)Wtsi/Prkab1+ (more )
Structure Level Pattern Image Note
TS28: white fat Absent CCP-IMG_2211134

Specimen CCP-IMG_2211135: postnatal adult; Prkab1tm1b(KOMP)Wtsi/Prkab1+ (more )
Structure Level Pattern Image Note
TS28: cranium Absent CCP-IMG_2211135

Specimen CCP-IMG_2211136: postnatal adult; Prkab1tm1b(KOMP)Wtsi/Prkab1+ (more )
Structure Level Pattern Image Note
TS28: large intestine Absent CCP-IMG_2211136

Specimen CCP-IMG_2211137: postnatal adult; Prkab1tm1b(KOMP)Wtsi/Prkab1+ (more )
Structure Level Pattern Image Note
TS28: trachea Present CCP-IMG_2211137

Specimen CCP-IMG_2211138: postnatal adult; Prkab1tm1b(KOMP)Wtsi/Prkab1+ (more )
Structure Level Pattern Image Note
TS28: gallbladder Present CCP-IMG_2211138

Specimen CCP-IMG_2211139: postnatal adult; Prkab1tm1b(KOMP)Wtsi/Prkab1+ (more )
Structure Level Pattern Image Note
TS28: ileum Absent CCP-IMG_2211139

Specimen CCP-IMG_2211140: postnatal adult; Prkab1tm1b(KOMP)Wtsi/Prkab1+ (more )
Structure Level Pattern Image Note
TS28: hippocampus Present CCP-IMG_2211140

Specimen CCP-IMG_2211141: postnatal adult; Prkab1tm1b(KOMP)Wtsi/Prkab1+ (more )
Structure Level Pattern Image Note
TS28: oral epithelium Absent CCP-IMG_2211141

Specimen CCP-IMG_2211142: postnatal adult; Prkab1tm1b(KOMP)Wtsi/Prkab1+ (more )
Structure Level Pattern Image Note
TS28: cerebral cortex Present CCP-IMG_2211142

Specimen CCP-IMG_2211143: postnatal adult; Prkab1tm1b(KOMP)Wtsi/Prkab1+ (more )
Structure Level Pattern Image Note
TS28: eye Present CCP-IMG_2211143

Specimen CCP-IMG_2211144: postnatal adult; Prkab1tm1b(KOMP)Wtsi/Prkab1+ (more )
Structure Level Pattern Image Note
TS28: oviduct Present CCP-IMG_2211144

Specimen CCP-IMG_2211145: postnatal adult; Prkab1tm1b(KOMP)Wtsi/Prkab1+ (more )
Structure Level Pattern Image Note
TS28: vagina Present CCP-IMG_2211145

Specimen CCP-IMG_2211146: postnatal adult; Prkab1tm1b(KOMP)Wtsi/Prkab1+ (more )
Structure Level Pattern Image Note
TS28: vascular system Absent CCP-IMG_2211146

Specimen CCP-IMG_2211147: postnatal adult; Prkab1tm1b(KOMP)Wtsi/Prkab1+ (more )
Structure Level Pattern Image Note
TS28: small intestine Absent CCP-IMG_2211147

Specimen CCP-IMG_2211148: postnatal adult; Prkab1tm1b(KOMP)Wtsi/Prkab1+ (more )
Structure Level Pattern Image Note
TS28: brown fat Absent CCP-IMG_2211148

Specimen CCP-IMG_2211149: postnatal adult; Prkab1tm1b(KOMP)Wtsi/Prkab1+ (more )
Structure Level Pattern Image Note
TS28: tongue Present CCP-IMG_2211149

Specimen CCP-IMG_2211150: postnatal adult; Prkab1tm1b(KOMP)Wtsi/Prkab1+ (more )
Structure Level Pattern Image Note
TS28: hypothalamus Present CCP-IMG_2211150

Specimen CCP-IMG_2211151: postnatal adult; Prkab1tm1b(KOMP)Wtsi/Prkab1+ (more )
Structure Level Pattern Image Note
TS28: Peyer's patch Absent CCP-IMG_2211151

Specimen CCP-IMG_2211152: postnatal adult; Prkab1tm1b(KOMP)Wtsi/Prkab1+ (more )
Structure Level Pattern Image Note
TS28: duodenum Absent CCP-IMG_2211152

Specimen CCP-IMG_2211153: postnatal adult; Prkab1tm1b(KOMP)Wtsi/Prkab1+ (more )
Structure Level Pattern Image Note
TS28: spinal cord Present CCP-IMG_2211153

Specimen CCP-IMG_2211154: postnatal adult; Prkab1tm1b(KOMP)Wtsi/Prkab1+ (more )
Structure Level Pattern Image Note
TS28: parathyroid gland Present CCP-IMG_2211154

Specimen CCP-IMG_2211155: postnatal adult; Prkab1tm1b(KOMP)Wtsi/Prkab1+ (more )
Structure Level Pattern Image Note
TS28: Harderian gland Absent CCP-IMG_2211155

Specimen CCP-IMG_2211156: postnatal adult; Prkab1tm1b(KOMP)Wtsi/Prkab1+ (more )
Structure Level Pattern Image Note
TS28: lower urinary tract Present CCP-IMG_2211156

Specimen CCP-IMG_2211157: postnatal adult; Prkab1tm1b(KOMP)Wtsi/Prkab1+ (more )
Structure Level Pattern Image Note
TS28: lung Present CCP-IMG_2211157

Specimen CCP-IMG_2211158: postnatal adult; Prkab1tm1b(KOMP)Wtsi/Prkab1+ (more )
Structure Level Pattern Image Note
TS28: liver Present CCP-IMG_2211158

Specimen CCP-IMG_2211159: postnatal adult; Prkab1tm1b(KOMP)Wtsi/Prkab1+ (more )
Structure Level Pattern Image Note
TS28: skeletal muscle tissue Present CCP-IMG_2211159

Specimen CCP-IMG_2211160: postnatal adult; Prkab1tm1b(KOMP)Wtsi/Prkab1+ (more )
Structure Level Pattern Image Note
TS28: bladder Present CCP-IMG_2211160

Specimen CCP-IMG_2211161: postnatal adult; Prkab1tm1b(KOMP)Wtsi/Prkab1+ (more )
Structure Level Pattern Image Note
TS28: lymph node Absent CCP-IMG_2211161

Specimen CCP-IMG_2211162: postnatal adult; Prkab1tm1b(KOMP)Wtsi/Prkab1+ (more )
Structure Level Pattern Image Note
TS28: corpus striatum Present CCP-IMG_2211162

Specimen CCP-IMG_2211163: postnatal adult; Prkab1tm1b(KOMP)Wtsi/Prkab1+ (more )
Structure Level Pattern Image Note
TS28: submandibular gland Present CCP-IMG_2211163

Specimen CCP-IMG_2211164: postnatal adult; Prkab1tm1b(KOMP)Wtsi/Prkab1+ (more )
Structure Level Pattern Image Note
TS28: brain Present CCP-IMG_2211164

Specimen CCP-IMG_2211165: postnatal adult; Prkab1tm1b(KOMP)Wtsi/Prkab1+ (more )
Structure Level Pattern Image Note
TS28: stomach Present CCP-IMG_2211165

Specimen CCP-IMG_2211166: postnatal adult; Prkab1tm1b(KOMP)Wtsi/Prkab1+ (more )
Structure Level Pattern Image Note
TS28: pancreas Present CCP-IMG_2211166

Specimen CCP-IMG_2211167: postnatal adult; Prkab1tm1b(KOMP)Wtsi/Prkab1+ (more )
Structure Level Pattern Image Note
TS28: heart Present CCP-IMG_2211167

Specimen CCP-IMG_2211168: postnatal adult; Prkab1tm1b(KOMP)Wtsi/Prkab1+ (more )
Structure Level Pattern Image Note
TS28: pituitary gland Present CCP-IMG_2211168

Specimen CCP-IMG_2211169: postnatal adult; Prkab1tm1b(KOMP)Wtsi/Prkab1+ (more )
Structure Level Pattern Image Note
TS28: esophagus Present CCP-IMG_2211169

Specimen CCP-IMG_2211170: postnatal adult; Prkab1tm1b(KOMP)Wtsi/Prkab1+ (more )
Structure Level Pattern Image Note
TS28: uterus Present CCP-IMG_2211170

Specimen CCP-IMG_2211172: postnatal adult; Prkab1tm1b(KOMP)Wtsi/Prkab1+ (more )
Structure Level Pattern Image Note
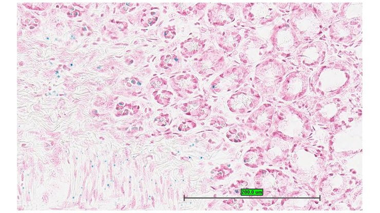
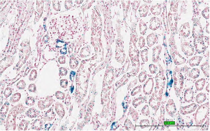
TS28: metanephros Present CCP-IMG_2211172 kidney

Specimen CCP-IMG_2211173: postnatal adult; Prkab1tm1b(KOMP)Wtsi/Prkab1+ (more )
Structure Level Pattern Image Note
TS28: hindlimb Absent CCP-IMG_2211173

Specimen CCP-IMG_2211174: postnatal adult; Prkab1tm1b(KOMP)Wtsi/Prkab1+ (more )
Structure Level Pattern Image Note
TS28: ovary Ambiguous CCP-IMG_2211174

Specimen CCP-IMG_2211175: postnatal adult; Prkab1tm1b(KOMP)Wtsi/Prkab1+ (more )
Structure Level Pattern Image Note
TS28: peripheral nervous system Absent CCP-IMG_2211175

Specimen CCP-IMG_2211176: postnatal adult; Prkab1tm1b(KOMP)Wtsi/Prkab1+ (more )
Structure Level Pattern Image Note
TS28: thoracic segment skeleton Present CCP-IMG_2211176 chest bone

Specimen CCP-IMG_2211177: postnatal adult; Prkab1tm1b(KOMP)Wtsi/Prkab1+ (more )
Structure Level Pattern Image Note
TS28: cecum Absent CCP-IMG_2211177

Specimen CCP-IMG_2211178: postnatal adult; Prkab1tm1b(KOMP)Wtsi/Prkab1+ (more )
Structure Level Pattern Image Note
TS28: cartilage Absent CCP-IMG_2211178

Specimen CCP-IMG_2211179: postnatal adult; Prkab1tm1b(KOMP)Wtsi/Prkab1+ (more )
Structure Level Pattern Image Note
TS28: mammary gland Absent CCP-IMG_2211179

Specimen CCP-IMG_2211180: postnatal adult; Prkab1tm1b(KOMP)Wtsi/Prkab1+ (more )
Structure Level Pattern Image Note
TS28: bone Present CCP-IMG_2211180

Specimen CCP-IMG_2211181: postnatal adult; Prkab1tm1b(KOMP)Wtsi/Prkab1+ (more )
Structure Level Pattern Image Note
TS28: cerebellum Present CCP-IMG_2211181

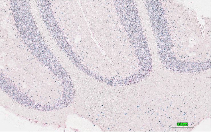
Specimen HMGU_1366762: postnatal adult; Prkab1tm1b(KOMP)Wtsi/Prkab1+ (more )
Structure Level Pattern Image Note
TS28: thoracic segment skeleton Present HMGU_1366762 chest bone

Specimen HMGU_1366763: postnatal adult; Prkab1tm1b(KOMP)Wtsi/Prkab1+ (more )
Structure Level Pattern Image Note
TS28: pituitary gland Present HMGU_1366763

Specimen HMGU_1366764: postnatal adult; Prkab1tm1b(KOMP)Wtsi/Prkab1+ (more )
Structure Level Pattern Image Note
TS28: brain Present HMGU_1366764

Specimen HMGU_1366765: postnatal adult; Prkab1tm1b(KOMP)Wtsi/Prkab1+ (more )
Structure Level Pattern Image Note
TS28: spinal cord Present HMGU_1366765

Specimen JAX_1799996: postnatal adult; Prkab1tm1b(KOMP)Wtsi/Prkab1+ (more )
Structure Level Pattern Image Note
TS28: Peyer's patch Present JAX_1799996

Specimen JAX_1799997: postnatal adult; Prkab1tm1b(KOMP)Wtsi/Prkab1+ (more )
Structure Level Pattern Image Note
TS28: aorta Present JAX_1799997

Specimen JAX_1799998: postnatal adult; Prkab1tm1b(KOMP)Wtsi/Prkab1+ (more )
Structure Level Pattern Image Note
TS28: small intestine Present JAX_1799998

Specimen JAX_1799999: postnatal adult; Prkab1tm1b(KOMP)Wtsi/Prkab1+ (more )
Structure Level Pattern Image Note
TS28: skeletal muscle tissue Present JAX_1799999

Specimen JAX_1800000: postnatal adult; Prkab1tm1b(KOMP)Wtsi/Prkab1+ (more )
Structure Level Pattern Image Note
TS28: large intestine Present JAX_1800000

Specimen JAX_1800001: postnatal adult; Prkab1tm1b(KOMP)Wtsi/Prkab1+ (more )
Structure Level Pattern Image Note
TS28: uterus Present JAX_1800001

Specimen JAX_1800002: postnatal adult; Prkab1tm1b(KOMP)Wtsi/Prkab1+ (more )
Structure Level Pattern Image Note
TS28: thymus Present JAX_1800002

Specimen JAX_1800003: postnatal adult; Prkab1tm1b(KOMP)Wtsi/Prkab1+ (more )
Structure Level Pattern Image Note
TS28: stomach Present JAX_1800003

Specimen JAX_1800004: postnatal adult; Prkab1tm1b(KOMP)Wtsi/Prkab1+ (more )
Structure Level Pattern Image Note
TS28: skin Present JAX_1800004

Specimen JAX_1800005: postnatal adult; Prkab1tm1b(KOMP)Wtsi/Prkab1+ (more )
Structure Level Pattern Image Note
TS28: oviduct Present JAX_1800005

Specimen JAX_1800006: postnatal adult; Prkab1tm1b(KOMP)Wtsi/Prkab1+ (more )
Structure Level Pattern Image Note
TS28: ovary Present JAX_1800006

Specimen JAX_1800007: postnatal adult; Prkab1tm1b(KOMP)Wtsi/Prkab1+ (more )
Structure Level Pattern Image Note
TS28: heart Present JAX_1800007

Specimen MRC Harwell_1311719: postnatal adult; Prkab1tm1b(KOMP)Wtsi/Prkab1+ (more )
Structure Level Pattern Image Note
TS28: ovary Present MRC Harwell_1311719
TS28: oviduct Present MRC Harwell_1311719
TS28: uterus Present MRC Harwell_1311719

Specimen MRC Harwell_1311720: postnatal adult; Prkab1tm1b(KOMP)Wtsi/Prkab1+ (more )
Structure Level Pattern Image Note
TS28: spinal cord Present MRC Harwell_1311720

Specimen MRC Harwell_1311721: postnatal adult; Prkab1tm1b(KOMP)Wtsi/Prkab1+ (more )
Structure Level Pattern Image Note
TS28: peripheral nervous system Present MRC Harwell_1311721
TS28: pituitary gland Present MRC Harwell_1311721

Specimen MRC Harwell_1311722: postnatal adult; Prkab1tm1b(KOMP)Wtsi/Prkab1+ (more )
Structure Level Pattern Image Note
TS28: vascular system Present MRC Harwell_1311722

Specimen MRC Harwell_1311723: postnatal adult; Prkab1tm1b(KOMP)Wtsi/Prkab1+ (more )
Structure Level Pattern Image Note
TS28: skin Present MRC Harwell_1311723

Specimen MRC Harwell_1311724: postnatal adult; Prkab1tm1b(KOMP)Wtsi/Prkab1+ (more )
Structure Level Pattern Image Note
TS28: aorta Present MRC Harwell_1311724
TS28: heart Present MRC Harwell_1311724

Specimen MRC Harwell_1311725: postnatal adult; Prkab1tm1b(KOMP)Wtsi/Prkab1+ (more )
Structure Level Pattern Image Note
TS28: metanephros Present MRC Harwell_1311725 kidney

Specimen MRC Harwell_1311726: postnatal adult; Prkab1tm1b(KOMP)Wtsi/Prkab1+ (more )
Structure Level Pattern Image Note
TS28: brain Present MRC Harwell_1311726
TS28: brainstem Present MRC Harwell_1311726
TS28: cerebellum Present MRC Harwell_1311726
TS28: cerebral cortex Present MRC Harwell_1311726
TS28: hippocampus Present MRC Harwell_1311726
TS28: hypothalamus Present MRC Harwell_1311726
TS28: olfactory lobe Present MRC Harwell_1311726
TS28: corpus striatum Present MRC Harwell_1311726

Specimen MRC Harwell_1311727: postnatal adult; Prkab1tm1b(KOMP)Wtsi/Prkab1+ (more )
Structure Level Pattern Image Note
TS28: bone Present MRC Harwell_1311727
TS28: cartilage Present MRC Harwell_1311727
TS28: skeletal muscle tissue Present MRC Harwell_1311727

Specimen MRC Harwell_1311728: postnatal adult; Prkab1tm1b(KOMP)Wtsi/Prkab1+ (more )
Structure Level Pattern Image Note
TS28: brain Present MRC Harwell_1311728
TS28: brainstem Present MRC Harwell_1311728
TS28: cerebellum Present MRC Harwell_1311728
TS28: cerebral cortex Present MRC Harwell_1311728
TS28: hippocampus Present MRC Harwell_1311728
TS28: hypothalamus Present MRC Harwell_1311728
TS28: corpus striatum Present MRC Harwell_1311728

Specimen MRC Harwell_1311729: postnatal adult; Prkab1tm1b(KOMP)Wtsi/Prkab1+ (more )
Structure Level Pattern Image Note
TS28: esophagus Present MRC Harwell_1311729
TS28: stomach Present MRC Harwell_1311729

Specimen MRC Harwell_1311730: postnatal adult; Prkab1tm1b(KOMP)Wtsi/Prkab1+ (more )
Structure Level Pattern Image Note
TS28: brain Present MRC Harwell_1311730
TS28: brainstem Present MRC Harwell_1311730
TS28: cerebellum Present MRC Harwell_1311730
TS28: cerebral cortex Present MRC Harwell_1311730
TS28: hippocampus Present MRC Harwell_1311730
TS28: hypothalamus Present MRC Harwell_1311730
TS28: olfactory lobe Present MRC Harwell_1311730
TS28: corpus striatum Present MRC Harwell_1311730

Specimen MRC Harwell_1311731: postnatal adult; Prkab1tm1b(KOMP)Wtsi/Prkab1+ (more )
Structure Level Pattern Image Note
TS28: eye Present MRC Harwell_1311731

Specimen MRC Harwell_1311732: postnatal adult; Prkab1tm1b(KOMP)Wtsi/Prkab1+ (more )
Structure Level Pattern Image Note
TS28: small intestine Present MRC Harwell_1311732

Specimen RBRC_229821: postnatal adult; Prkab1tm1b(KOMP)Wtsi/Prkab1+ (more )
Structure Level Pattern Image Note
TS28: main olfactory bulb Present RBRC_229821

Specimen RBRC_229823: postnatal adult; Prkab1tm1b(KOMP)Wtsi/Prkab1+ (more )
Structure Level Pattern Image Note
TS28: main olfactory bulb Present RBRC_229823

Specimen RBRC_229825: postnatal adult; Prkab1tm1b(KOMP)Wtsi/Prkab1+ (more )
Structure Level Pattern Image Note
TS28: main olfactory bulb Present RBRC_229825

Specimen RBRC_229827: postnatal adult; Prkab1tm1b(KOMP)Wtsi/Prkab1+ (more )
Structure Level Pattern Image Note
TS28: main olfactory bulb Present RBRC_229827

Specimen RBRC_229829: postnatal adult; Prkab1tm1b(KOMP)Wtsi/Prkab1+ (more )
Structure Level Pattern Image Note
TS28: brain Present RBRC_229829

Specimen RBRC_229831: postnatal adult; Prkab1tm1b(KOMP)Wtsi/Prkab1+ (more )
Structure Level Pattern Image Note
TS28: brain Present RBRC_229831

Specimen RBRC_229833: postnatal adult; Prkab1tm1b(KOMP)Wtsi/Prkab1+ (more )
Structure Level Pattern Image Note
TS28: brain Present RBRC_229833

Specimen RBRC_229835: postnatal adult; Prkab1tm1b(KOMP)Wtsi/Prkab1+ (more )
Structure Level Pattern Image Note
TS28: brain Present RBRC_229835

Specimen RBRC_229837: postnatal adult; Prkab1tm1b(KOMP)Wtsi/Prkab1+ (more )
Structure Level Pattern Image Note
TS28: brain Present RBRC_229837

Specimen RBRC_229839: postnatal adult; Prkab1tm1b(KOMP)Wtsi/Prkab1+ (more )
Structure Level Pattern Image Note
TS28: brain Present RBRC_229839

Specimen RBRC_229841: postnatal adult; Prkab1tm1b(KOMP)Wtsi/Prkab1+ (more )
Structure Level Pattern Image Note
TS28: brain Present RBRC_229841

Specimen RBRC_229843: postnatal adult; Prkab1tm1b(KOMP)Wtsi/Prkab1+ (more )
Structure Level Pattern Image Note
TS28: brain Present RBRC_229843

Specimen RBRC_229845: postnatal adult; Prkab1tm1b(KOMP)Wtsi/Prkab1+ (more )
Structure Level Pattern Image Note
TS28: brain Present RBRC_229845

Specimen RBRC_229847: postnatal adult; Prkab1tm1b(KOMP)Wtsi/Prkab1+ (more )
Structure Level Pattern Image Note
TS28: brain Present RBRC_229847

Specimen RBRC_229849: postnatal adult; Prkab1tm1b(KOMP)Wtsi/Prkab1+ (more )
Structure Level Pattern Image Note
TS28: brain Present RBRC_229849

Specimen RBRC_229851: postnatal adult; Prkab1tm1b(KOMP)Wtsi/Prkab1+ (more )
Structure Level Pattern Image Note
TS28: brain Present RBRC_229851

Specimen RBRC_229853: postnatal adult; Prkab1tm1b(KOMP)Wtsi/Prkab1+ (more )
Structure Level Pattern Image Note
TS28: brain Present RBRC_229853

Specimen RBRC_229855: postnatal adult; Prkab1tm1b(KOMP)Wtsi/Prkab1+ (more )
Structure Level Pattern Image Note
TS28: brain Present RBRC_229855

Specimen RBRC_229857: postnatal adult; Prkab1tm1b(KOMP)Wtsi/Prkab1+ (more )
Structure Level Pattern Image Note
TS28: brain Present RBRC_229857

Specimen RBRC_229859: postnatal adult; Prkab1tm1b(KOMP)Wtsi/Prkab1+ (more )
Structure Level Pattern Image Note
TS28: brain Present RBRC_229859

Specimen RBRC_229861: postnatal adult; Prkab1tm1b(KOMP)Wtsi/Prkab1+ (more )
Structure Level Pattern Image Note
TS28: brain Present RBRC_229861

Specimen RBRC_229863: postnatal adult; Prkab1tm1b(KOMP)Wtsi/Prkab1+ (more )
Structure Level Pattern Image Note
TS28: brain Present RBRC_229863

Specimen RBRC_229865: postnatal adult; Prkab1tm1b(KOMP)Wtsi/Prkab1+ (more )
Structure Level Pattern Image Note
TS28: brain Present RBRC_229865

Specimen RBRC_229867: postnatal adult; Prkab1tm1b(KOMP)Wtsi/Prkab1+ (more )
Structure Level Pattern Image Note
TS28: brain Present RBRC_229867

Specimen RBRC_229869: postnatal adult; Prkab1tm1b(KOMP)Wtsi/Prkab1+ (more )
Structure Level Pattern Image Note
TS28: brain Present RBRC_229869

Specimen RBRC_229871: postnatal adult; Prkab1tm1b(KOMP)Wtsi/Prkab1+ (more )
Structure Level Pattern Image Note
TS28: brain Present RBRC_229871

Specimen RBRC_229873: postnatal adult; Prkab1tm1b(KOMP)Wtsi/Prkab1+ (more )
Structure Level Pattern Image Note
TS28: brain Present RBRC_229873

Specimen RBRC_229875: postnatal adult; Prkab1tm1b(KOMP)Wtsi/Prkab1+ (more )
Structure Level Pattern Image Note
TS28: brain Present RBRC_229875

Specimen RBRC_229877: postnatal adult; Prkab1tm1b(KOMP)Wtsi/Prkab1+ (more )
Structure Level Pattern Image Note
TS28: brain Present RBRC_229877

Specimen RBRC_229879: postnatal adult; Prkab1tm1b(KOMP)Wtsi/Prkab1+ (more )
Structure Level Pattern Image Note
TS28: brain Present RBRC_229879

Specimen RBRC_229881: postnatal adult; Prkab1tm1b(KOMP)Wtsi/Prkab1+ (more )
Structure Level Pattern Image Note
TS28: brain Present RBRC_229881

Specimen RBRC_229883: postnatal adult; Prkab1tm1b(KOMP)Wtsi/Prkab1+ (more )
Structure Level Pattern Image Note
TS28: brain Present RBRC_229883

Specimen RBRC_229885: postnatal adult; Prkab1tm1b(KOMP)Wtsi/Prkab1+ (more )
Structure Level Pattern Image Note
TS28: brain Present RBRC_229885

Specimen RBRC_229887: postnatal adult; Prkab1tm1b(KOMP)Wtsi/Prkab1+ (more )
Structure Level Pattern Image Note
TS28: brain Present RBRC_229887

Specimen RBRC_229889: postnatal adult; Prkab1tm1b(KOMP)Wtsi/Prkab1+ (more )
Structure Level Pattern Image Note
TS28: brain Present RBRC_229889

Specimen RBRC_229891: postnatal adult; Prkab1tm1b(KOMP)Wtsi/Prkab1+ (more )
Structure Level Pattern Image Note
TS28: brain Present RBRC_229891

Specimen RBRC_229893: postnatal adult; Prkab1tm1b(KOMP)Wtsi/Prkab1+ (more )
Structure Level Pattern Image Note
TS28: brain Present RBRC_229893

Specimen RBRC_229895: postnatal adult; Prkab1tm1b(KOMP)Wtsi/Prkab1+ (more )
Structure Level Pattern Image Note
TS28: brain Present RBRC_229895

Specimen RBRC_229897: postnatal adult; Prkab1tm1b(KOMP)Wtsi/Prkab1+ (more )
Structure Level Pattern Image Note
TS28: brain Present RBRC_229897

Specimen RBRC_229899: postnatal adult; Prkab1tm1b(KOMP)Wtsi/Prkab1+ (more )
Structure Level Pattern Image Note
TS28: brain Present RBRC_229899

Specimen RBRC_229901: postnatal adult; Prkab1tm1b(KOMP)Wtsi/Prkab1+ (more )
Structure Level Pattern Image Note
TS28: brain Present RBRC_229901

Specimen RBRC_229903: postnatal adult; Prkab1tm1b(KOMP)Wtsi/Prkab1+ (more )
Structure Level Pattern Image Note
TS28: brain Present RBRC_229903

Specimen RBRC_229905: postnatal adult; Prkab1tm1b(KOMP)Wtsi/Prkab1+ (more )
Structure Level Pattern Image Note
TS28: brain Present RBRC_229905

Specimen RBRC_229907: postnatal adult; Prkab1tm1b(KOMP)Wtsi/Prkab1+ (more )
Structure Level Pattern Image Note
TS28: brain Present RBRC_229907

Specimen RBRC_229909: postnatal adult; Prkab1tm1b(KOMP)Wtsi/Prkab1+ (more )
Structure Level Pattern Image Note
TS28: brain Present RBRC_229909

Specimen RBRC_229911: postnatal adult; Prkab1tm1b(KOMP)Wtsi/Prkab1+ (more )
Structure Level Pattern Image Note
TS28: brain Present RBRC_229911

Specimen RBRC_229913: postnatal adult; Prkab1tm1b(KOMP)Wtsi/Prkab1+ (more )
Structure Level Pattern Image Note
TS28: brain Present RBRC_229913

Specimen RBRC_229915: postnatal adult; Prkab1tm1b(KOMP)Wtsi/Prkab1+ (more )
Structure Level Pattern Image Note
TS28: brain Present RBRC_229915

Specimen RBRC_229917: postnatal adult; Prkab1tm1b(KOMP)Wtsi/Prkab1+ (more )
Structure Level Pattern Image Note
TS28: brain Present RBRC_229917

Specimen RBRC_229919: postnatal adult; Prkab1tm1b(KOMP)Wtsi/Prkab1+ (more )
Structure Level Pattern Image Note
TS28: brain Present RBRC_229919

Specimen RBRC_229921: postnatal adult; Prkab1tm1b(KOMP)Wtsi/Prkab1+ (more )
Structure Level Pattern Image Note
TS28: brain Present RBRC_229921

Specimen RBRC_229923: postnatal adult; Prkab1tm1b(KOMP)Wtsi/Prkab1+ (more )
Structure Level Pattern Image Note
TS28: brain Present RBRC_229923

Specimen RBRC_229925: postnatal adult; Prkab1tm1b(KOMP)Wtsi/Prkab1+ (more )
Structure Level Pattern Image Note
TS28: brain Present RBRC_229925

Specimen RBRC_229927: postnatal adult; Prkab1tm1b(KOMP)Wtsi/Prkab1+ (more )
Structure Level Pattern Image Note
TS28: brain Present RBRC_229927

Specimen RBRC_229929: postnatal adult; Prkab1tm1b(KOMP)Wtsi/Prkab1+ (more )
Structure Level Pattern Image Note
TS28: brain Present RBRC_229929

Specimen RBRC_229931: postnatal adult; Prkab1tm1b(KOMP)Wtsi/Prkab1+ (more )
Structure Level Pattern Image Note
TS28: brain Present RBRC_229931

Specimen RBRC_229933: postnatal adult; Prkab1tm1b(KOMP)Wtsi/Prkab1+ (more )
Structure Level Pattern Image Note
TS28: brain Present RBRC_229933

Specimen RBRC_229935: postnatal adult; Prkab1tm1b(KOMP)Wtsi/Prkab1+ (more )
Structure Level Pattern Image Note
TS28: brain Present RBRC_229935

Specimen RBRC_229937: postnatal adult; Prkab1tm1b(KOMP)Wtsi/Prkab1+ (more )
Structure Level Pattern Image Note
TS28: pituitary gland Present RBRC_229937
TS28: trigeminal nerve Present RBRC_229937

Specimen RBRC_229939: postnatal adult; Prkab1tm1b(KOMP)Wtsi/Prkab1+ (more )
Structure Level Pattern Image Note
TS28: thoracic segment skeleton Present RBRC_229939 chest bone

Specimen RBRC_229941: postnatal adult; Prkab1tm1b(KOMP)Wtsi/Prkab1+ (more )
Structure Level Pattern Image Note
TS28: Harderian gland Ambiguous RBRC_229941

Specimen RBRC_229943: postnatal adult; Prkab1tm1b(KOMP)Wtsi/Prkab1+ (more )
Structure Level Pattern Image Note
TS28: sublingual gland Ambiguous RBRC_229943
TS28: submandibular gland Ambiguous RBRC_229943

Specimen RBRC_229945: postnatal adult; Prkab1tm1b(KOMP)Wtsi/Prkab1+ (more )
Structure Level Pattern Image Note
TS28: parotid gland Ambiguous RBRC_229945

Specimen RBRC_229947: postnatal adult; Prkab1tm1b(KOMP)Wtsi/Prkab1+ (more )
Structure Level Pattern Image Note
TS28: parathyroid gland Ambiguous RBRC_229947
TS28: thyroid gland Ambiguous RBRC_229947

Specimen RBRC_229949: postnatal adult; Prkab1tm1b(KOMP)Wtsi/Prkab1+ (more )
Structure Level Pattern Image Note
TS28: trachea Present RBRC_229949

Specimen RBRC_229951: postnatal adult; Prkab1tm1b(KOMP)Wtsi/Prkab1+ (more )
Structure Level Pattern Image Note
TS28: trachea Present RBRC_229951

Specimen RBRC_229953: postnatal adult; Prkab1tm1b(KOMP)Wtsi/Prkab1+ (more )
Structure Level Pattern Image Note
TS28: lung Present RBRC_229953

Specimen RBRC_229955: postnatal adult; Prkab1tm1b(KOMP)Wtsi/Prkab1+ (more )
Structure Level Pattern Image Note
TS28: lung Present RBRC_229955

Specimen RBRC_229957: postnatal adult; Prkab1tm1b(KOMP)Wtsi/Prkab1+ (more )
Structure Level Pattern Image Note
TS28: lung Present RBRC_229957

Specimen RBRC_229959: postnatal adult; Prkab1tm1b(KOMP)Wtsi/Prkab1+ (more )
Structure Level Pattern Image Note
TS28: tongue Present RBRC_229959

Specimen RBRC_229961: postnatal adult; Prkab1tm1b(KOMP)Wtsi/Prkab1+ (more )
Structure Level Pattern Image Note
TS28: tongue Present RBRC_229961

Specimen RBRC_229963: postnatal adult; Prkab1tm1b(KOMP)Wtsi/Prkab1+ (more )
Structure Level Pattern Image Note
TS28: tongue Present RBRC_229963

Specimen RBRC_229965: postnatal adult; Prkab1tm1b(KOMP)Wtsi/Prkab1+ (more )
Structure Level Pattern Image Note
TS28: tongue Present RBRC_229965

Specimen RBRC_229967: postnatal adult; Prkab1tm1b(KOMP)Wtsi/Prkab1+ (more )
Structure Level Pattern Image Note
TS28: tongue Present RBRC_229967

Specimen RBRC_229969: postnatal adult; Prkab1tm1b(KOMP)Wtsi/Prkab1+ (more )
Structure Level Pattern Image Note
TS28: esophagus Present RBRC_229969

Specimen RBRC_229971: postnatal adult; Prkab1tm1b(KOMP)Wtsi/Prkab1+ (more )
Structure Level Pattern Image Note
TS28: thymus Present RBRC_229971

Specimen RBRC_229973: postnatal adult; Prkab1tm1b(KOMP)Wtsi/Prkab1+ (more )
Structure Level Pattern Image Note
TS28: thymus Present RBRC_229973

Specimen RBRC_229975: postnatal adult; Prkab1tm1b(KOMP)Wtsi/Prkab1+ (more )
Structure Level Pattern Image Note
TS28: thymus Present RBRC_229975

Specimen RBRC_229977: postnatal adult; Prkab1tm1b(KOMP)Wtsi/Prkab1+ (more )
Structure Level Pattern Image Note
TS28: heart Present RBRC_229977

Specimen RBRC_229979: postnatal adult; Prkab1tm1b(KOMP)Wtsi/Prkab1+ (more )
Structure Level Pattern Image Note
TS28: heart Present RBRC_229979

Specimen RBRC_229981: postnatal adult; Prkab1tm1b(KOMP)Wtsi/Prkab1+ (more )
Structure Level Pattern Image Note
TS28: heart Present RBRC_229981

Specimen RBRC_229983: postnatal adult; Prkab1tm1b(KOMP)Wtsi/Prkab1+ (more )
Structure Level Pattern Image Note
TS28: heart Present RBRC_229983

Specimen RBRC_229985: postnatal adult; Prkab1tm1b(KOMP)Wtsi/Prkab1+ (more )
Structure Level Pattern Image Note
TS28: diaphragm Present RBRC_229985

Specimen RBRC_229987: postnatal adult; Prkab1tm1b(KOMP)Wtsi/Prkab1+ (more )
Structure Level Pattern Image Note
TS28: diaphragm Present RBRC_229987

Specimen RBRC_229989: postnatal adult; Prkab1tm1b(KOMP)Wtsi/Prkab1+ (more )
Structure Level Pattern Image Note
TS28: gallbladder Ambiguous RBRC_229989

Specimen RBRC_229991: postnatal adult; Prkab1tm1b(KOMP)Wtsi/Prkab1+ (more )
Structure Level Pattern Image Note
TS28: liver Present RBRC_229991

Specimen RBRC_229993: postnatal adult; Prkab1tm1b(KOMP)Wtsi/Prkab1+ (more )
Structure Level Pattern Image Note
TS28: liver Present RBRC_229993

Specimen RBRC_229995: postnatal adult; Prkab1tm1b(KOMP)Wtsi/Prkab1+ (more )
Structure Level Pattern Image Note
TS28: spleen Ambiguous RBRC_229995

Specimen RBRC_229997: postnatal adult; Prkab1tm1b(KOMP)Wtsi/Prkab1+ (more )
Structure Level Pattern Image Note
TS28: oral epithelium Present RBRC_229997

Specimen RBRC_229999: postnatal adult; Prkab1tm1b(KOMP)Wtsi/Prkab1+ (more )
Structure Level Pattern Image Note
TS28: oral epithelium Present RBRC_229999

Specimen RBRC_230001: postnatal adult; Prkab1tm1b(KOMP)Wtsi/Prkab1+ (more )
Structure Level Pattern Image Note
TS28: pancreas Present RBRC_230001

Specimen RBRC_230003: postnatal adult; Prkab1tm1b(KOMP)Wtsi/Prkab1+ (more )
Structure Level Pattern Image Note
TS28: pancreas Present RBRC_230003

Specimen RBRC_230005: postnatal adult; Prkab1tm1b(KOMP)Wtsi/Prkab1+ (more )
Structure Level Pattern Image Note
TS28: pancreas Present RBRC_230005

Specimen RBRC_230007: postnatal adult; Prkab1tm1b(KOMP)Wtsi/Prkab1+ (more )
Structure Level Pattern Image Note
TS28: mesenteric lymph node Ambiguous RBRC_230007

Specimen RBRC_230009: postnatal adult; Prkab1tm1b(KOMP)Wtsi/Prkab1+ (more )
Structure Level Pattern Image Note
TS28: adrenal gland Present RBRC_230009

Specimen RBRC_230011: postnatal adult; Prkab1tm1b(KOMP)Wtsi/Prkab1+ (more )
Structure Level Pattern Image Note
TS28: metanephros Present RBRC_230011 kidney

Specimen RBRC_230013: postnatal adult; Prkab1tm1b(KOMP)Wtsi/Prkab1+ (more )
Structure Level Pattern Image Note
TS28: metanephros Present RBRC_230013 kidney

Specimen RBRC_230015: postnatal adult; Prkab1tm1b(KOMP)Wtsi/Prkab1+ (more )
Structure Level Pattern Image Note
TS28: metanephros Present RBRC_230015 kidney

Specimen RBRC_230017: postnatal adult; Prkab1tm1b(KOMP)Wtsi/Prkab1+ (more )
Structure Level Pattern Image Note
TS28: metanephros Present RBRC_230017 kidney

Specimen RBRC_230019: postnatal adult; Prkab1tm1b(KOMP)Wtsi/Prkab1+ (more )
Structure Level Pattern Image Note
TS28: metanephros Present RBRC_230019 kidney

Specimen RBRC_230021: postnatal adult; Prkab1tm1b(KOMP)Wtsi/Prkab1+ (more )
Structure Level Pattern Image Note
TS28: metanephros Present RBRC_230021 kidney

Specimen RBRC_230023: postnatal adult; Prkab1tm1b(KOMP)Wtsi/Prkab1+ (more )
Structure Level Pattern Image Note
TS28: metanephros Present RBRC_230023 kidney

Specimen RBRC_230025: postnatal adult; Prkab1tm1b(KOMP)Wtsi/Prkab1+ (more )
Structure Level Pattern Image Note
TS28: stomach Present RBRC_230025

Specimen RBRC_230027: postnatal adult; Prkab1tm1b(KOMP)Wtsi/Prkab1+ (more )
Structure Level Pattern Image Note
TS28: stomach Present RBRC_230027

Specimen RBRC_230029: postnatal adult; Prkab1tm1b(KOMP)Wtsi/Prkab1+ (more )
Structure Level Pattern Image Note
TS28: stomach Present RBRC_230029

Specimen RBRC_230031: postnatal adult; Prkab1tm1b(KOMP)Wtsi/Prkab1+ (more )
Structure Level Pattern Image Note
TS28: stomach Present RBRC_230031

Specimen RBRC_230033: postnatal adult; Prkab1tm1b(KOMP)Wtsi/Prkab1+ (more )
Structure Level Pattern Image Note
TS28: stomach Present RBRC_230033

Specimen RBRC_230035: postnatal adult; Prkab1tm1b(KOMP)Wtsi/Prkab1+ (more )
Structure Level Pattern Image Note
TS28: stomach Present RBRC_230035

Specimen RBRC_230037: postnatal adult; Prkab1tm1b(KOMP)Wtsi/Prkab1+ (more )
Structure Level Pattern Image Note
TS28: duodenum Present RBRC_230037

Specimen RBRC_230039: postnatal adult; Prkab1tm1b(KOMP)Wtsi/Prkab1+ (more )
Structure Level Pattern Image Note
TS28: duodenum Present RBRC_230039

Specimen RBRC_230041: postnatal adult; Prkab1tm1b(KOMP)Wtsi/Prkab1+ (more )
Structure Level Pattern Image Note
TS28: duodenum Present RBRC_230041

Specimen RBRC_230043: postnatal adult; Prkab1tm1b(KOMP)Wtsi/Prkab1+ (more )
Structure Level Pattern Image Note
TS28: jejunum Present RBRC_230043

Specimen RBRC_230045: postnatal adult; Prkab1tm1b(KOMP)Wtsi/Prkab1+ (more )
Structure Level Pattern Image Note
TS28: jejunum Present RBRC_230045

Specimen RBRC_230047: postnatal adult; Prkab1tm1b(KOMP)Wtsi/Prkab1+ (more )
Structure Level Pattern Image Note
TS28: jejunum Present RBRC_230047

Specimen RBRC_230049: postnatal adult; Prkab1tm1b(KOMP)Wtsi/Prkab1+ (more )
Structure Level Pattern Image Note
TS28: ileum Present RBRC_230049

Specimen RBRC_230051: postnatal adult; Prkab1tm1b(KOMP)Wtsi/Prkab1+ (more )
Structure Level Pattern Image Note
TS28: ileum Present RBRC_230051

Specimen RBRC_230053: postnatal adult; Prkab1tm1b(KOMP)Wtsi/Prkab1+ (more )
Structure Level Pattern Image Note
TS28: ileum Present RBRC_230053

Specimen RBRC_230055: postnatal adult; Prkab1tm1b(KOMP)Wtsi/Prkab1+ (more )
Structure Level Pattern Image Note
TS28: cecum Present RBRC_230055

Specimen RBRC_230057: postnatal adult; Prkab1tm1b(KOMP)Wtsi/Prkab1+ (more )
Structure Level Pattern Image Note
TS28: cecum Present RBRC_230057

Specimen RBRC_230059: postnatal adult; Prkab1tm1b(KOMP)Wtsi/Prkab1+ (more )
Structure Level Pattern Image Note
TS28: cecum Present RBRC_230059

Specimen RBRC_230061: postnatal adult; Prkab1tm1b(KOMP)Wtsi/Prkab1+ (more )
Structure Level Pattern Image Note
TS28: large intestine Present RBRC_230061

Specimen RBRC_230063: postnatal adult; Prkab1tm1b(KOMP)Wtsi/Prkab1+ (more )
Structure Level Pattern Image Note
TS28: large intestine Present RBRC_230063

Specimen RBRC_230065: postnatal adult; Prkab1tm1b(KOMP)Wtsi/Prkab1+ (more )
Structure Level Pattern Image Note
TS28: large intestine Present RBRC_230065

Specimen RBRC_230067: postnatal adult; Prkab1tm1b(KOMP)Wtsi/Prkab1+ (more )
Structure Level Pattern Image Note
TS28: lymph node Ambiguous RBRC_230067

Specimen RBRC_230069: postnatal adult; Prkab1tm1b(KOMP)Wtsi/Prkab1+ (more )
Structure Level Pattern Image Note
TS28: skin Present RBRC_230069

Specimen RBRC_230071: postnatal adult; Prkab1tm1b(KOMP)Wtsi/Prkab1+ (more )
Structure Level Pattern Image Note
TS28: skin Present RBRC_230071

Specimen RBRC_230073: postnatal adult; Prkab1tm1b(KOMP)Wtsi/Prkab1+ (more )
Structure Level Pattern Image Note
TS28: bone Ambiguous RBRC_230073

Specimen RBRC_230075: postnatal adult; Prkab1tm1b(KOMP)Wtsi/Prkab1+ (more )
Structure Level Pattern Image Note
TS28: bone Ambiguous RBRC_230075

Specimen RBRC_230077: postnatal adult; Prkab1tm1b(KOMP)Wtsi/Prkab1+ (more )
Structure Level Pattern Image Note
TS28: bone Ambiguous RBRC_230077

Specimen RBRC_230079: postnatal adult; Prkab1tm1b(KOMP)Wtsi/Prkab1+ (more )
Structure Level Pattern Image Note
TS28: quadriceps femoris muscle Present RBRC_230079

Specimen RBRC_230081: postnatal adult; Prkab1tm1b(KOMP)Wtsi/Prkab1+ (more )
Structure Level Pattern Image Note
TS28: quadriceps femoris muscle Present RBRC_230081

Specimen RBRC_230083: postnatal adult; Prkab1tm1b(KOMP)Wtsi/Prkab1+ (more )
Structure Level Pattern Image Note
TS28: quadriceps femoris muscle Present RBRC_230083

Specimen RBRC_230085: postnatal adult; Prkab1tm1b(KOMP)Wtsi/Prkab1+ (more )
Structure Level Pattern Image Note
TS28: quadriceps femoris muscle Present RBRC_230085

Specimen RBRC_230087: postnatal adult; Prkab1tm1b(KOMP)Wtsi/Prkab1+ (more )
Structure Level Pattern Image Note
TS28: hindlimb Present RBRC_230087

Specimen RBRC_230089: postnatal adult; Prkab1tm1b(KOMP)Wtsi/Prkab1+ (more )
Structure Level Pattern Image Note
TS28: bladder Present RBRC_230089

Specimen RBRC_230091: postnatal adult; Prkab1tm1b(KOMP)Wtsi/Prkab1+ (more )
Structure Level Pattern Image Note
TS28: bladder Present RBRC_230091

Specimen RBRC_230093: postnatal adult; Prkab1tm1b(KOMP)Wtsi/Prkab1+ (more )
Structure Level Pattern Image Note
TS28: ovary Present RBRC_230093

Specimen RBRC_230095: postnatal adult; Prkab1tm1b(KOMP)Wtsi/Prkab1+ (more )
Structure Level Pattern Image Note
TS28: ovary Present RBRC_230095

Specimen RBRC_230097: postnatal adult; Prkab1tm1b(KOMP)Wtsi/Prkab1+ (more )
Structure Level Pattern Image Note
TS28: oviduct Present RBRC_230097

Specimen RBRC_230099: postnatal adult; Prkab1tm1b(KOMP)Wtsi/Prkab1+ (more )
Structure Level Pattern Image Note
TS28: uterus Present RBRC_230099

Specimen RBRC_230101: postnatal adult; Prkab1tm1b(KOMP)Wtsi/Prkab1+ (more )
Structure Level Pattern Image Note
TS28: vagina Ambiguous RBRC_230101

Specimen RBRC_230103: postnatal adult; Prkab1tm1b(KOMP)Wtsi/Prkab1+ (more )
Structure Level Pattern Image Note
TS28: mammary gland Present RBRC_230103

Specimen RBRC_230105: postnatal adult; Prkab1tm1b(KOMP)Wtsi/Prkab1+ (more )
Structure Level Pattern Image Note
TS28: spinal cord Present RBRC_230105

Specimen RBRC_230107: postnatal adult; Prkab1tm1b(KOMP)Wtsi/Prkab1+ (more )
Structure Level Pattern Image Note
TS28: spinal cord Present RBRC_230107

Specimen RBRC_230109: postnatal adult; Prkab1tm1b(KOMP)Wtsi/Prkab1+ (more )
Structure Level Pattern Image Note
TS28: spinal cord Present RBRC_230109

Specimen RBRC_230111: postnatal adult; Prkab1tm1b(KOMP)Wtsi/Prkab1+ (more )
Structure Level Pattern Image Note
TS28: spinal cord Present RBRC_230111

Specimen TCP_2460255: postnatal adult; Prkab1tm1b(KOMP)Wtsi/Prkab1+ (more )
Structure Level Pattern Image Note
TS28: brain Present TCP_2460255

Specimen TCP_2460256: postnatal adult; Prkab1tm1b(KOMP)Wtsi/Prkab1+ (more )
Structure Level Pattern Image Note
TS28: olfactory lobe Present TCP_2460256

Specimen TCP_2460257: postnatal adult; Prkab1tm1b(KOMP)Wtsi/Prkab1+ (more )
Structure Level Pattern Image Note
TS28: eye Present TCP_2460257

Specimen TCP_2460258: postnatal adult; Prkab1tm1b(KOMP)Wtsi/Prkab1+ (more )
Structure Level Pattern Image Note
TS28: spinal cord Present TCP_2460258

Specimen UC Davis_1864974: postnatal adult; Prkab1tm1b(KOMP)Wtsi/Prkab1+ (more )
Structure Level Pattern Image Note
TS28: trachea Present UC Davis_1864974

Specimen UC Davis_1864975: postnatal adult; Prkab1tm1b(KOMP)Wtsi/Prkab1+ (more )
Structure Level Pattern Image Note
TS28: esophagus Present UC Davis_1864975

Specimen UC Davis_1864976: postnatal adult; Prkab1tm1b(KOMP)Wtsi/Prkab1+ (more )
Structure Level Pattern Image Note
TS28: esophagus Present UC Davis_1864976

Specimen UC Davis_1864977: postnatal adult; Prkab1tm1b(KOMP)Wtsi/Prkab1+ (more )
Structure Level Pattern Image Note
TS28: aorta Present UC Davis_1864977

Specimen UC Davis_1864978: postnatal adult; Prkab1tm1b(KOMP)Wtsi/Prkab1+ (more )
Structure Level Pattern Image Note
TS28: thymus Present UC Davis_1864978

Specimen UC Davis_1864979: postnatal adult; Prkab1tm1b(KOMP)Wtsi/Prkab1+ (more )
Structure Level Pattern Image Note
TS28: thymus Present UC Davis_1864979

Specimen UC Davis_1864983: postnatal adult; Prkab1tm1b(KOMP)Wtsi/Prkab1+ (more )
Structure Level Pattern Image Note
TS28: stomach Present UC Davis_1864983

Specimen UC Davis_1864984: postnatal adult; Prkab1tm1b(KOMP)Wtsi/Prkab1+ (more )
Structure Level Pattern Image Note
TS28: stomach Present UC Davis_1864984

Specimen UC Davis_1864985: postnatal adult; Prkab1tm1b(KOMP)Wtsi/Prkab1+ (more )
Structure Level Pattern Image Note
TS28: stomach Present UC Davis_1864985

Specimen UC Davis_1864986: postnatal adult; Prkab1tm1b(KOMP)Wtsi/Prkab1+ (more )
Structure Level Pattern Image Note
TS28: colon Present UC Davis_1864986

Specimen UC Davis_1864987: postnatal adult; Prkab1tm1b(KOMP)Wtsi/Prkab1+ (more )
Structure Level Pattern Image Note
TS28: colon Present UC Davis_1864987

Specimen UC Davis_1864988: postnatal adult; Prkab1tm1b(KOMP)Wtsi/Prkab1+ (more )
Structure Level Pattern Image Note
TS28: cecum Present UC Davis_1864988

Specimen UC Davis_1864989: postnatal adult; Prkab1tm1b(KOMP)Wtsi/Prkab1+ (more )
Structure Level Pattern Image Note
TS28: metanephros Present UC Davis_1864989 kidney

Specimen UC Davis_1864990: postnatal adult; Prkab1tm1b(KOMP)Wtsi/Prkab1+ (more )
Structure Level Pattern Image Note
TS28: metanephros Present UC Davis_1864990 kidney

Specimen UC Davis_1864991: postnatal adult; Prkab1tm1b(KOMP)Wtsi/Prkab1+ (more )
Structure Level Pattern Image Note
TS28: metanephros Present UC Davis_1864991 kidney

Specimen UC Davis_1864992: postnatal adult; Prkab1tm1b(KOMP)Wtsi/Prkab1+ (more )
Structure Level Pattern Image Note
TS28: metanephros Present UC Davis_1864992 kidney

Specimen UC Davis_1864993: postnatal adult; Prkab1tm1b(KOMP)Wtsi/Prkab1+ (more )
Structure Level Pattern Image Note
TS28: metanephros Present UC Davis_1864993 kidney

Specimen UC Davis_1864994: postnatal adult; Prkab1tm1b(KOMP)Wtsi/Prkab1+ (more )
Structure Level Pattern Image Note
TS28: tongue Present UC Davis_1864994

Specimen UC Davis_1864995: postnatal adult; Prkab1tm1b(KOMP)Wtsi/Prkab1+ (more )
Structure Level Pattern Image Note
TS28: tongue Present UC Davis_1864995

Specimen UC Davis_1864996: postnatal adult; Prkab1tm1b(KOMP)Wtsi/Prkab1+ (more )
Structure Level Pattern Image Note
TS28: adrenal gland Present UC Davis_1864996

Specimen UC Davis_1864997: postnatal adult; Prkab1tm1b(KOMP)Wtsi/Prkab1+ (more )
Structure Level Pattern Image Note
TS28: adrenal gland Present UC Davis_1864997

Specimen UC Davis_1864998: postnatal adult; Prkab1tm1b(KOMP)Wtsi/Prkab1+ (more )
Structure Level Pattern Image Note
TS28: adrenal gland Present UC Davis_1864998

Specimen UC Davis_1864999: postnatal adult; Prkab1tm1b(KOMP)Wtsi/Prkab1+ (more )
Structure Level Pattern Image Note
TS28: spinal cord Present UC Davis_1864999

Specimen UC Davis_1865000: postnatal adult; Prkab1tm1b(KOMP)Wtsi/Prkab1+ (more )
Structure Level Pattern Image Note
TS28: spinal cord Present UC Davis_1865000

Specimen UC Davis_1865001: postnatal adult; Prkab1tm1b(KOMP)Wtsi/Prkab1+ (more )
Structure Level Pattern Image Note
TS28: eye Present UC Davis_1865001

Specimen UC Davis_1865002: postnatal adult; Prkab1tm1b(KOMP)Wtsi/Prkab1+ (more )
Structure Level Pattern Image Note
TS28: eye Present UC Davis_1865002

Specimen UC Davis_1865003: postnatal adult; Prkab1tm1b(KOMP)Wtsi/Prkab1+ (more )
Structure Level Pattern Image Note
TS28: eye Present UC Davis_1865003

Specimen UC Davis_1865004: postnatal adult; Prkab1tm1b(KOMP)Wtsi/Prkab1+ (more )
Structure Level Pattern Image Note
TS28: eye Present UC Davis_1865004

Specimen UC Davis_1865005: postnatal adult; Prkab1tm1b(KOMP)Wtsi/Prkab1+ (more )
Structure Level Pattern Image Note
TS28: skin Present UC Davis_1865005

Specimen UC Davis_1865006: postnatal adult; Prkab1tm1b(KOMP)Wtsi/Prkab1+ (more )
Structure Level Pattern Image Note
TS28: skin Present UC Davis_1865006

Specimen UC Davis_1865007: postnatal adult; Prkab1tm1b(KOMP)Wtsi/Prkab1+ (more )
Structure Level Pattern Image Note
TS28: brown fat Present UC Davis_1865007

Specimen UC Davis_1865011: postnatal adult; Prkab1tm1b(KOMP)Wtsi/Prkab1+ (more )
Structure Level Pattern Image Note
TS28: midbrain Present UC Davis_1865011

Specimen UC Davis_1865013: postnatal adult; Prkab1tm1b(KOMP)Wtsi/Prkab1+ (more )
Structure Level Pattern Image Note
TS28: cerebellum Present UC Davis_1865013

Specimen UC Davis_1865014: postnatal adult; Prkab1tm1b(KOMP)Wtsi/Prkab1+ (more )
Structure Level Pattern Image Note
TS28: cerebellum Present UC Davis_1865014

Specimen UC Davis_1865015: postnatal adult; Prkab1tm1b(KOMP)Wtsi/Prkab1+ (more )
Structure Level Pattern Image Note
TS28: cerebellum Present UC Davis_1865015

Specimen UC Davis_1865016: postnatal adult; Prkab1tm1b(KOMP)Wtsi/Prkab1+ (more )
Structure Level Pattern Image Note
TS28: trigeminal nerve Present UC Davis_1865016

Specimen UC Davis_1865017: postnatal adult; Prkab1tm1b(KOMP)Wtsi/Prkab1+ (more )
Structure Level Pattern Image Note
TS28: ovary Present UC Davis_1865017

Specimen UC Davis_1865018: postnatal adult; Prkab1tm1b(KOMP)Wtsi/Prkab1+ (more )
Structure Level Pattern Image Note
TS28: uterus Present UC Davis_1865018

Specimen UC Davis_1865019: postnatal adult; Prkab1tm1b(KOMP)Wtsi/Prkab1+ (more )
Structure Level Pattern Image Note
TS28: uterus Present UC Davis_1865019

Specimen UC Davis_1865020: postnatal adult; Prkab1tm1b(KOMP)Wtsi/Prkab1+ (more )
Structure Level Pattern Image Note
TS28: uterus Present UC Davis_1865020

Specimen UC Davis_1865021: postnatal adult; Prkab1tm1b(KOMP)Wtsi/Prkab1+ (more )
Structure Level Pattern Image Note
TS28: vagina Present UC Davis_1865021

Specimen UC Davis_1865022: postnatal adult; Prkab1tm1b(KOMP)Wtsi/Prkab1+ (more )
Structure Level Pattern Image Note
TS28: bladder Present UC Davis_1865022

Specimen UC Davis_1865023: postnatal adult; Prkab1tm1b(KOMP)Wtsi/Prkab1+ (more )
Structure Level Pattern Image Note
TS28: bladder Present UC Davis_1865023

Specimen RBRC_230697: postnatal adult; Prkab1tm1b(KOMP)Wtsi/Prkab1tm1b(KOMP)Wtsi (more )
Structure Level Pattern Image Note
TS28: main olfactory bulb Present RBRC_230697

Specimen RBRC_230699: postnatal adult; Prkab1tm1b(KOMP)Wtsi/Prkab1tm1b(KOMP)Wtsi (more )
Structure Level Pattern Image Note
TS28: main olfactory bulb Present RBRC_230699

Specimen RBRC_230701: postnatal adult; Prkab1tm1b(KOMP)Wtsi/Prkab1tm1b(KOMP)Wtsi (more )
Structure Level Pattern Image Note
TS28: main olfactory bulb Present RBRC_230701

Specimen RBRC_230703: postnatal adult; Prkab1tm1b(KOMP)Wtsi/Prkab1tm1b(KOMP)Wtsi (more )
Structure Level Pattern Image Note
TS28: main olfactory bulb Present RBRC_230703

Specimen RBRC_230705: postnatal adult; Prkab1tm1b(KOMP)Wtsi/Prkab1tm1b(KOMP)Wtsi (more )
Structure Level Pattern Image Note
TS28: brain Present RBRC_230705

Specimen RBRC_230707: postnatal adult; Prkab1tm1b(KOMP)Wtsi/Prkab1tm1b(KOMP)Wtsi (more )
Structure Level Pattern Image Note
TS28: brain Present RBRC_230707

Specimen RBRC_230709: postnatal adult; Prkab1tm1b(KOMP)Wtsi/Prkab1tm1b(KOMP)Wtsi (more )
Structure Level Pattern Image Note
TS28: brain Present RBRC_230709

Specimen RBRC_230711: postnatal adult; Prkab1tm1b(KOMP)Wtsi/Prkab1tm1b(KOMP)Wtsi (more )
Structure Level Pattern Image Note
TS28: brain Present RBRC_230711

Specimen RBRC_230713: postnatal adult; Prkab1tm1b(KOMP)Wtsi/Prkab1tm1b(KOMP)Wtsi (more )
Structure Level Pattern Image Note
TS28: brain Present RBRC_230713

Specimen RBRC_230715: postnatal adult; Prkab1tm1b(KOMP)Wtsi/Prkab1tm1b(KOMP)Wtsi (more )
Structure Level Pattern Image Note
TS28: brain Present RBRC_230715

Specimen RBRC_230717: postnatal adult; Prkab1tm1b(KOMP)Wtsi/Prkab1tm1b(KOMP)Wtsi (more )
Structure Level Pattern Image Note
TS28: brain Present RBRC_230717

Specimen RBRC_230719: postnatal adult; Prkab1tm1b(KOMP)Wtsi/Prkab1tm1b(KOMP)Wtsi (more )
Structure Level Pattern Image Note
TS28: brain Present RBRC_230719

Specimen RBRC_230721: postnatal adult; Prkab1tm1b(KOMP)Wtsi/Prkab1tm1b(KOMP)Wtsi (more )
Structure Level Pattern Image Note
TS28: brain Present RBRC_230721

Specimen RBRC_230723: postnatal adult; Prkab1tm1b(KOMP)Wtsi/Prkab1tm1b(KOMP)Wtsi (more )
Structure Level Pattern Image Note
TS28: brain Present RBRC_230723

Specimen RBRC_230725: postnatal adult; Prkab1tm1b(KOMP)Wtsi/Prkab1tm1b(KOMP)Wtsi (more )
Structure Level Pattern Image Note
TS28: brain Present RBRC_230725

Specimen RBRC_230727: postnatal adult; Prkab1tm1b(KOMP)Wtsi/Prkab1tm1b(KOMP)Wtsi (more )
Structure Level Pattern Image Note
TS28: brain Present RBRC_230727

Specimen RBRC_230729: postnatal adult; Prkab1tm1b(KOMP)Wtsi/Prkab1tm1b(KOMP)Wtsi (more )
Structure Level Pattern Image Note
TS28: brain Present RBRC_230729

Specimen RBRC_230731: postnatal adult; Prkab1tm1b(KOMP)Wtsi/Prkab1tm1b(KOMP)Wtsi (more )
Structure Level Pattern Image Note
TS28: brain Present RBRC_230731

Specimen RBRC_230733: postnatal adult; Prkab1tm1b(KOMP)Wtsi/Prkab1tm1b(KOMP)Wtsi (more )
Structure Level Pattern Image Note
TS28: brain Present RBRC_230733

Specimen RBRC_230735: postnatal adult; Prkab1tm1b(KOMP)Wtsi/Prkab1tm1b(KOMP)Wtsi (more )
Structure Level Pattern Image Note
TS28: brain Present RBRC_230735

Specimen RBRC_230737: postnatal adult; Prkab1tm1b(KOMP)Wtsi/Prkab1tm1b(KOMP)Wtsi (more )
Structure Level Pattern Image Note
TS28: brain Present RBRC_230737

Specimen RBRC_230739: postnatal adult; Prkab1tm1b(KOMP)Wtsi/Prkab1tm1b(KOMP)Wtsi (more )
Structure Level Pattern Image Note
TS28: brain Present RBRC_230739

Specimen RBRC_230741: postnatal adult; Prkab1tm1b(KOMP)Wtsi/Prkab1tm1b(KOMP)Wtsi (more )
Structure Level Pattern Image Note
TS28: brain Present RBRC_230741

Specimen RBRC_230743: postnatal adult; Prkab1tm1b(KOMP)Wtsi/Prkab1tm1b(KOMP)Wtsi (more )
Structure Level Pattern Image Note
TS28: brain Present RBRC_230743

Specimen RBRC_230745: postnatal adult; Prkab1tm1b(KOMP)Wtsi/Prkab1tm1b(KOMP)Wtsi (more )
Structure Level Pattern Image Note
TS28: brain Present RBRC_230745

Specimen RBRC_230747: postnatal adult; Prkab1tm1b(KOMP)Wtsi/Prkab1tm1b(KOMP)Wtsi (more )
Structure Level Pattern Image Note
TS28: brain Present RBRC_230747

Specimen RBRC_230749: postnatal adult; Prkab1tm1b(KOMP)Wtsi/Prkab1tm1b(KOMP)Wtsi (more )
Structure Level Pattern Image Note
TS28: brain Present RBRC_230749

Specimen RBRC_230751: postnatal adult; Prkab1tm1b(KOMP)Wtsi/Prkab1tm1b(KOMP)Wtsi (more )
Structure Level Pattern Image Note
TS28: brain Present RBRC_230751

Specimen RBRC_230753: postnatal adult; Prkab1tm1b(KOMP)Wtsi/Prkab1tm1b(KOMP)Wtsi (more )
Structure Level Pattern Image Note
TS28: brain Present RBRC_230753

Specimen RBRC_230755: postnatal adult; Prkab1tm1b(KOMP)Wtsi/Prkab1tm1b(KOMP)Wtsi (more )
Structure Level Pattern Image Note
TS28: brain Present RBRC_230755

Specimen RBRC_230757: postnatal adult; Prkab1tm1b(KOMP)Wtsi/Prkab1tm1b(KOMP)Wtsi (more )
Structure Level Pattern Image Note
TS28: brain Present RBRC_230757

Specimen RBRC_230759: postnatal adult; Prkab1tm1b(KOMP)Wtsi/Prkab1tm1b(KOMP)Wtsi (more )
Structure Level Pattern Image Note
TS28: brain Present RBRC_230759

Specimen RBRC_230761: postnatal adult; Prkab1tm1b(KOMP)Wtsi/Prkab1tm1b(KOMP)Wtsi (more )
Structure Level Pattern Image Note
TS28: brain Present RBRC_230761

Specimen RBRC_230763: postnatal adult; Prkab1tm1b(KOMP)Wtsi/Prkab1tm1b(KOMP)Wtsi (more )
Structure Level Pattern Image Note
TS28: brain Present RBRC_230763

Specimen RBRC_230765: postnatal adult; Prkab1tm1b(KOMP)Wtsi/Prkab1tm1b(KOMP)Wtsi (more )
Structure Level Pattern Image Note
TS28: brain Present RBRC_230765

Specimen RBRC_230767: postnatal adult; Prkab1tm1b(KOMP)Wtsi/Prkab1tm1b(KOMP)Wtsi (more )
Structure Level Pattern Image Note
TS28: brain Present RBRC_230767

Specimen RBRC_230769: postnatal adult; Prkab1tm1b(KOMP)Wtsi/Prkab1tm1b(KOMP)Wtsi (more )
Structure Level Pattern Image Note
TS28: brain Present RBRC_230769

Specimen RBRC_230771: postnatal adult; Prkab1tm1b(KOMP)Wtsi/Prkab1tm1b(KOMP)Wtsi (more )
Structure Level Pattern Image Note
TS28: brain Present RBRC_230771

Specimen RBRC_230773: postnatal adult; Prkab1tm1b(KOMP)Wtsi/Prkab1tm1b(KOMP)Wtsi (more )
Structure Level Pattern Image Note
TS28: brain Present RBRC_230773

Specimen RBRC_230775: postnatal adult; Prkab1tm1b(KOMP)Wtsi/Prkab1tm1b(KOMP)Wtsi (more )
Structure Level Pattern Image Note
TS28: brain Present RBRC_230775

Specimen RBRC_230777: postnatal adult; Prkab1tm1b(KOMP)Wtsi/Prkab1tm1b(KOMP)Wtsi (more )
Structure Level Pattern Image Note
TS28: brain Present RBRC_230777

Specimen RBRC_230779: postnatal adult; Prkab1tm1b(KOMP)Wtsi/Prkab1tm1b(KOMP)Wtsi (more )
Structure Level Pattern Image Note
TS28: brain Present RBRC_230779

Specimen RBRC_230781: postnatal adult; Prkab1tm1b(KOMP)Wtsi/Prkab1tm1b(KOMP)Wtsi (more )
Structure Level Pattern Image Note
TS28: brain Present RBRC_230781

Specimen RBRC_230783: postnatal adult; Prkab1tm1b(KOMP)Wtsi/Prkab1tm1b(KOMP)Wtsi (more )
Structure Level Pattern Image Note
TS28: brain Present RBRC_230783

Specimen RBRC_230785: postnatal adult; Prkab1tm1b(KOMP)Wtsi/Prkab1tm1b(KOMP)Wtsi (more )
Structure Level Pattern Image Note
TS28: brain Present RBRC_230785

Specimen RBRC_230787: postnatal adult; Prkab1tm1b(KOMP)Wtsi/Prkab1tm1b(KOMP)Wtsi (more )
Structure Level Pattern Image Note
TS28: brain Present RBRC_230787

Specimen RBRC_230789: postnatal adult; Prkab1tm1b(KOMP)Wtsi/Prkab1tm1b(KOMP)Wtsi (more )
Structure Level Pattern Image Note
TS28: brain Present RBRC_230789

Specimen RBRC_230791: postnatal adult; Prkab1tm1b(KOMP)Wtsi/Prkab1tm1b(KOMP)Wtsi (more )
Structure Level Pattern Image Note
TS28: brain Present RBRC_230791

Specimen RBRC_230793: postnatal adult; Prkab1tm1b(KOMP)Wtsi/Prkab1tm1b(KOMP)Wtsi (more )
Structure Level Pattern Image Note
TS28: brain Present RBRC_230793

Specimen RBRC_230795: postnatal adult; Prkab1tm1b(KOMP)Wtsi/Prkab1tm1b(KOMP)Wtsi (more )
Structure Level Pattern Image Note
TS28: brain Present RBRC_230795

Specimen RBRC_230797: postnatal adult; Prkab1tm1b(KOMP)Wtsi/Prkab1tm1b(KOMP)Wtsi (more )
Structure Level Pattern Image Note
TS28: brain Present RBRC_230797

Specimen RBRC_230799: postnatal adult; Prkab1tm1b(KOMP)Wtsi/Prkab1tm1b(KOMP)Wtsi (more )
Structure Level Pattern Image Note
TS28: brain Present RBRC_230799

Specimen RBRC_230801: postnatal adult; Prkab1tm1b(KOMP)Wtsi/Prkab1tm1b(KOMP)Wtsi (more )
Structure Level Pattern Image Note
TS28: brain Present RBRC_230801

Specimen RBRC_230803: postnatal adult; Prkab1tm1b(KOMP)Wtsi/Prkab1tm1b(KOMP)Wtsi (more )
Structure Level Pattern Image Note
TS28: brain Present RBRC_230803

Specimen RBRC_230805: postnatal adult; Prkab1tm1b(KOMP)Wtsi/Prkab1tm1b(KOMP)Wtsi (more )
Structure Level Pattern Image Note
TS28: brain Present RBRC_230805

Specimen RBRC_230807: postnatal adult; Prkab1tm1b(KOMP)Wtsi/Prkab1tm1b(KOMP)Wtsi (more )
Structure Level Pattern Image Note
TS28: pituitary gland Present RBRC_230807
TS28: trigeminal nerve Present RBRC_230807

Specimen RBRC_230809: postnatal adult; Prkab1tm1b(KOMP)Wtsi/Prkab1tm1b(KOMP)Wtsi (more )
Structure Level Pattern Image Note
TS28: pituitary gland Present RBRC_230809

Specimen RBRC_230811: postnatal adult; Prkab1tm1b(KOMP)Wtsi/Prkab1tm1b(KOMP)Wtsi (more )
Structure Level Pattern Image Note
TS28: thoracic segment skeleton Present RBRC_230811 chest bone

Specimen RBRC_230813: postnatal adult; Prkab1tm1b(KOMP)Wtsi/Prkab1tm1b(KOMP)Wtsi (more )
Structure Level Pattern Image Note
TS28: thoracic segment skeleton Present RBRC_230813 chest bone

Specimen RBRC_230815: postnatal adult; Prkab1tm1b(KOMP)Wtsi/Prkab1tm1b(KOMP)Wtsi (more )
Structure Level Pattern Image Note
TS28: thoracic segment skeleton Present RBRC_230815 chest bone

Specimen RBRC_230817: postnatal adult; Prkab1tm1b(KOMP)Wtsi/Prkab1tm1b(KOMP)Wtsi (more )
Structure Level Pattern Image Note
TS28: Harderian gland Ambiguous RBRC_230817

Specimen RBRC_230819: postnatal adult; Prkab1tm1b(KOMP)Wtsi/Prkab1tm1b(KOMP)Wtsi (more )
Structure Level Pattern Image Note
TS28: eye Ambiguous RBRC_230819

Specimen RBRC_230821: postnatal adult; Prkab1tm1b(KOMP)Wtsi/Prkab1tm1b(KOMP)Wtsi (more )
Structure Level Pattern Image Note
TS28: sublingual gland Ambiguous RBRC_230821
TS28: submandibular gland Ambiguous RBRC_230821

Specimen RBRC_230823: postnatal adult; Prkab1tm1b(KOMP)Wtsi/Prkab1tm1b(KOMP)Wtsi (more )
Structure Level Pattern Image Note
TS28: parotid gland Ambiguous RBRC_230823

Specimen RBRC_230825: postnatal adult; Prkab1tm1b(KOMP)Wtsi/Prkab1tm1b(KOMP)Wtsi (more )
Structure Level Pattern Image Note
TS28: parathyroid gland Ambiguous RBRC_230825
TS28: thyroid gland Ambiguous RBRC_230825

Specimen RBRC_230827: postnatal adult; Prkab1tm1b(KOMP)Wtsi/Prkab1tm1b(KOMP)Wtsi (more )
Structure Level Pattern Image Note
TS28: trachea Present RBRC_230827

Specimen RBRC_230829: postnatal adult; Prkab1tm1b(KOMP)Wtsi/Prkab1tm1b(KOMP)Wtsi (more )
Structure Level Pattern Image Note
TS28: trachea Present RBRC_230829

Specimen RBRC_230831: postnatal adult; Prkab1tm1b(KOMP)Wtsi/Prkab1tm1b(KOMP)Wtsi (more )
Structure Level Pattern Image Note
TS28: lung Present RBRC_230831

Specimen RBRC_230833: postnatal adult; Prkab1tm1b(KOMP)Wtsi/Prkab1tm1b(KOMP)Wtsi (more )
Structure Level Pattern Image Note
TS28: lung Present RBRC_230833

Specimen RBRC_230835: postnatal adult; Prkab1tm1b(KOMP)Wtsi/Prkab1tm1b(KOMP)Wtsi (more )
Structure Level Pattern Image Note
TS28: tongue Present RBRC_230835

Specimen RBRC_230837: postnatal adult; Prkab1tm1b(KOMP)Wtsi/Prkab1tm1b(KOMP)Wtsi (more )
Structure Level Pattern Image Note
TS28: tongue Present RBRC_230837

Specimen RBRC_230839: postnatal adult; Prkab1tm1b(KOMP)Wtsi/Prkab1tm1b(KOMP)Wtsi (more )
Structure Level Pattern Image Note
TS28: tongue Present RBRC_230839

Specimen RBRC_230841: postnatal adult; Prkab1tm1b(KOMP)Wtsi/Prkab1tm1b(KOMP)Wtsi (more )
Structure Level Pattern Image Note
TS28: tongue Present RBRC_230841

Specimen RBRC_230843: postnatal adult; Prkab1tm1b(KOMP)Wtsi/Prkab1tm1b(KOMP)Wtsi (more )
Structure Level Pattern Image Note
TS28: esophagus Present RBRC_230843

Specimen RBRC_230845: postnatal adult; Prkab1tm1b(KOMP)Wtsi/Prkab1tm1b(KOMP)Wtsi (more )
Structure Level Pattern Image Note
TS28: aorta Present RBRC_230845

Specimen RBRC_230847: postnatal adult; Prkab1tm1b(KOMP)Wtsi/Prkab1tm1b(KOMP)Wtsi (more )
Structure Level Pattern Image Note
TS28: aorta Present RBRC_230847

Specimen RBRC_230849: postnatal adult; Prkab1tm1b(KOMP)Wtsi/Prkab1tm1b(KOMP)Wtsi (more )
Structure Level Pattern Image Note
TS28: thymus Present RBRC_230849

Specimen RBRC_230851: postnatal adult; Prkab1tm1b(KOMP)Wtsi/Prkab1tm1b(KOMP)Wtsi (more )
Structure Level Pattern Image Note
TS28: thymus Present RBRC_230851

Specimen RBRC_230853: postnatal adult; Prkab1tm1b(KOMP)Wtsi/Prkab1tm1b(KOMP)Wtsi (more )
Structure Level Pattern Image Note
TS28: thymus Present RBRC_230853

Specimen RBRC_230855: postnatal adult; Prkab1tm1b(KOMP)Wtsi/Prkab1tm1b(KOMP)Wtsi (more )
Structure Level Pattern Image Note
TS28: heart Present RBRC_230855

Specimen RBRC_230857: postnatal adult; Prkab1tm1b(KOMP)Wtsi/Prkab1tm1b(KOMP)Wtsi (more )
Structure Level Pattern Image Note
TS28: heart Present RBRC_230857

Specimen RBRC_230859: postnatal adult; Prkab1tm1b(KOMP)Wtsi/Prkab1tm1b(KOMP)Wtsi (more )
Structure Level Pattern Image Note
TS28: heart Present RBRC_230859

Specimen RBRC_230861: postnatal adult; Prkab1tm1b(KOMP)Wtsi/Prkab1tm1b(KOMP)Wtsi (more )
Structure Level Pattern Image Note
TS28: heart Present RBRC_230861

Specimen RBRC_230863: postnatal adult; Prkab1tm1b(KOMP)Wtsi/Prkab1tm1b(KOMP)Wtsi (more )
Structure Level Pattern Image Note
TS28: heart Present RBRC_230863

Specimen RBRC_230865: postnatal adult; Prkab1tm1b(KOMP)Wtsi/Prkab1tm1b(KOMP)Wtsi (more )
Structure Level Pattern Image Note
TS28: diaphragm Present RBRC_230865

Specimen RBRC_230867: postnatal adult; Prkab1tm1b(KOMP)Wtsi/Prkab1tm1b(KOMP)Wtsi (more )
Structure Level Pattern Image Note
TS28: gallbladder Ambiguous RBRC_230867

Specimen RBRC_230869: postnatal adult; Prkab1tm1b(KOMP)Wtsi/Prkab1tm1b(KOMP)Wtsi (more )
Structure Level Pattern Image Note
TS28: liver Present RBRC_230869

Specimen RBRC_230871: postnatal adult; Prkab1tm1b(KOMP)Wtsi/Prkab1tm1b(KOMP)Wtsi (more )
Structure Level Pattern Image Note
TS28: liver Present RBRC_230871

Specimen RBRC_230873: postnatal adult; Prkab1tm1b(KOMP)Wtsi/Prkab1tm1b(KOMP)Wtsi (more )
Structure Level Pattern Image Note
TS28: liver Present RBRC_230873

Specimen RBRC_230875: postnatal adult; Prkab1tm1b(KOMP)Wtsi/Prkab1tm1b(KOMP)Wtsi (more )
Structure Level Pattern Image Note
TS28: spleen Ambiguous RBRC_230875

Specimen RBRC_230877: postnatal adult; Prkab1tm1b(KOMP)Wtsi/Prkab1tm1b(KOMP)Wtsi (more )
Structure Level Pattern Image Note
TS28: oral epithelium Present RBRC_230877

Specimen RBRC_230879: postnatal adult; Prkab1tm1b(KOMP)Wtsi/Prkab1tm1b(KOMP)Wtsi (more )
Structure Level Pattern Image Note
TS28: oral epithelium Present RBRC_230879

Specimen RBRC_230881: postnatal adult; Prkab1tm1b(KOMP)Wtsi/Prkab1tm1b(KOMP)Wtsi (more )
Structure Level Pattern Image Note
TS28: pancreas Present RBRC_230881

Specimen RBRC_230883: postnatal adult; Prkab1tm1b(KOMP)Wtsi/Prkab1tm1b(KOMP)Wtsi (more )
Structure Level Pattern Image Note
TS28: pancreas Present RBRC_230883

Specimen RBRC_230885: postnatal adult; Prkab1tm1b(KOMP)Wtsi/Prkab1tm1b(KOMP)Wtsi (more )
Structure Level Pattern Image Note
TS28: pancreas Present RBRC_230885

Specimen RBRC_230887: postnatal adult; Prkab1tm1b(KOMP)Wtsi/Prkab1tm1b(KOMP)Wtsi (more )
Structure Level Pattern Image Note
TS28: pancreas Present RBRC_230887

Specimen RBRC_230889: postnatal adult; Prkab1tm1b(KOMP)Wtsi/Prkab1tm1b(KOMP)Wtsi (more )
Structure Level Pattern Image Note
TS28: mesenteric adipose tissue Ambiguous RBRC_230889

Specimen RBRC_230891: postnatal adult; Prkab1tm1b(KOMP)Wtsi/Prkab1tm1b(KOMP)Wtsi (more )
Structure Level Pattern Image Note
TS28: mesenteric adipose tissue Ambiguous RBRC_230891

Specimen RBRC_230893: postnatal adult; Prkab1tm1b(KOMP)Wtsi/Prkab1tm1b(KOMP)Wtsi (more )
Structure Level Pattern Image Note
TS28: mesenteric lymph node Ambiguous RBRC_230893

Specimen RBRC_230895: postnatal adult; Prkab1tm1b(KOMP)Wtsi/Prkab1tm1b(KOMP)Wtsi (more )
Structure Level Pattern Image Note
TS28: adrenal gland Present RBRC_230895

Specimen RBRC_230897: postnatal adult; Prkab1tm1b(KOMP)Wtsi/Prkab1tm1b(KOMP)Wtsi (more )
Structure Level Pattern Image Note
TS28: metanephros Present RBRC_230897 kidney

Specimen RBRC_230899: postnatal adult; Prkab1tm1b(KOMP)Wtsi/Prkab1tm1b(KOMP)Wtsi (more )
Structure Level Pattern Image Note
TS28: metanephros Present RBRC_230899 kidney

Specimen RBRC_230901: postnatal adult; Prkab1tm1b(KOMP)Wtsi/Prkab1tm1b(KOMP)Wtsi (more )
Structure Level Pattern Image Note
TS28: metanephros Present RBRC_230901 kidney

Specimen RBRC_230903: postnatal adult; Prkab1tm1b(KOMP)Wtsi/Prkab1tm1b(KOMP)Wtsi (more )
Structure Level Pattern Image Note
TS28: metanephros Present RBRC_230903 kidney

Specimen RBRC_230905: postnatal adult; Prkab1tm1b(KOMP)Wtsi/Prkab1tm1b(KOMP)Wtsi (more )
Structure Level Pattern Image Note
TS28: metanephros Present RBRC_230905 kidney

Specimen RBRC_230907: postnatal adult; Prkab1tm1b(KOMP)Wtsi/Prkab1tm1b(KOMP)Wtsi (more )
Structure Level Pattern Image Note
TS28: metanephros Present RBRC_230907 kidney

Specimen RBRC_230909: postnatal adult; Prkab1tm1b(KOMP)Wtsi/Prkab1tm1b(KOMP)Wtsi (more )
Structure Level Pattern Image Note
TS28: stomach Present RBRC_230909

Specimen RBRC_230911: postnatal adult; Prkab1tm1b(KOMP)Wtsi/Prkab1tm1b(KOMP)Wtsi (more )
Structure Level Pattern Image Note
TS28: stomach Present RBRC_230911

Specimen RBRC_230913: postnatal adult; Prkab1tm1b(KOMP)Wtsi/Prkab1tm1b(KOMP)Wtsi (more )
Structure Level Pattern Image Note
TS28: stomach Present RBRC_230913

Specimen RBRC_230915: postnatal adult; Prkab1tm1b(KOMP)Wtsi/Prkab1tm1b(KOMP)Wtsi (more )
Structure Level Pattern Image Note
TS28: stomach Present RBRC_230915

Specimen RBRC_230917: postnatal adult; Prkab1tm1b(KOMP)Wtsi/Prkab1tm1b(KOMP)Wtsi (more )
Structure Level Pattern Image Note
TS28: stomach Present RBRC_230917

Specimen RBRC_230919: postnatal adult; Prkab1tm1b(KOMP)Wtsi/Prkab1tm1b(KOMP)Wtsi (more )
Structure Level Pattern Image Note
TS28: stomach Present RBRC_230919

Specimen RBRC_230921: postnatal adult; Prkab1tm1b(KOMP)Wtsi/Prkab1tm1b(KOMP)Wtsi (more )
Structure Level Pattern Image Note
TS28: duodenum Present RBRC_230921

Specimen RBRC_230923: postnatal adult; Prkab1tm1b(KOMP)Wtsi/Prkab1tm1b(KOMP)Wtsi (more )
Structure Level Pattern Image Note
TS28: duodenum Present RBRC_230923

Specimen RBRC_230925: postnatal adult; Prkab1tm1b(KOMP)Wtsi/Prkab1tm1b(KOMP)Wtsi (more )
Structure Level Pattern Image Note
TS28: duodenum Present RBRC_230925

Specimen RBRC_230927: postnatal adult; Prkab1tm1b(KOMP)Wtsi/Prkab1tm1b(KOMP)Wtsi (more )
Structure Level Pattern Image Note
TS28: duodenum Present RBRC_230927

Specimen RBRC_230929: postnatal adult; Prkab1tm1b(KOMP)Wtsi/Prkab1tm1b(KOMP)Wtsi (more )
Structure Level Pattern Image Note
TS28: jejunum Present RBRC_230929

Specimen RBRC_230931: postnatal adult; Prkab1tm1b(KOMP)Wtsi/Prkab1tm1b(KOMP)Wtsi (more )
Structure Level Pattern Image Note
TS28: jejunum Present RBRC_230931

Specimen RBRC_230933: postnatal adult; Prkab1tm1b(KOMP)Wtsi/Prkab1tm1b(KOMP)Wtsi (more )
Structure Level Pattern Image Note
TS28: jejunum Present RBRC_230933

Specimen RBRC_230935: postnatal adult; Prkab1tm1b(KOMP)Wtsi/Prkab1tm1b(KOMP)Wtsi (more )
Structure Level Pattern Image Note
TS28: jejunum Present RBRC_230935

Specimen RBRC_230937: postnatal adult; Prkab1tm1b(KOMP)Wtsi/Prkab1tm1b(KOMP)Wtsi (more )
Structure Level Pattern Image Note
TS28: ileum Present RBRC_230937

Specimen RBRC_230939: postnatal adult; Prkab1tm1b(KOMP)Wtsi/Prkab1tm1b(KOMP)Wtsi (more )
Structure Level Pattern Image Note
TS28: ileum Present RBRC_230939

Specimen RBRC_230941: postnatal adult; Prkab1tm1b(KOMP)Wtsi/Prkab1tm1b(KOMP)Wtsi (more )
Structure Level Pattern Image Note
TS28: ileum Present RBRC_230941

Specimen RBRC_230943: postnatal adult; Prkab1tm1b(KOMP)Wtsi/Prkab1tm1b(KOMP)Wtsi (more )
Structure Level Pattern Image Note
TS28: ileum Present RBRC_230943

Specimen RBRC_230945: postnatal adult; Prkab1tm1b(KOMP)Wtsi/Prkab1tm1b(KOMP)Wtsi (more )
Structure Level Pattern Image Note
TS28: cecum Present RBRC_230945

Specimen RBRC_230947: postnatal adult; Prkab1tm1b(KOMP)Wtsi/Prkab1tm1b(KOMP)Wtsi (more )
Structure Level Pattern Image Note
TS28: cecum Present RBRC_230947

Specimen RBRC_230949: postnatal adult; Prkab1tm1b(KOMP)Wtsi/Prkab1tm1b(KOMP)Wtsi (more )
Structure Level Pattern Image Note
TS28: cecum Present RBRC_230949

Specimen RBRC_230951: postnatal adult; Prkab1tm1b(KOMP)Wtsi/Prkab1tm1b(KOMP)Wtsi (more )
Structure Level Pattern Image Note
TS28: large intestine Present RBRC_230951

Specimen RBRC_230953: postnatal adult; Prkab1tm1b(KOMP)Wtsi/Prkab1tm1b(KOMP)Wtsi (more )
Structure Level Pattern Image Note
TS28: large intestine Present RBRC_230953

Specimen RBRC_230955: postnatal adult; Prkab1tm1b(KOMP)Wtsi/Prkab1tm1b(KOMP)Wtsi (more )
Structure Level Pattern Image Note
TS28: large intestine Present RBRC_230955

Specimen RBRC_230957: postnatal adult; Prkab1tm1b(KOMP)Wtsi/Prkab1tm1b(KOMP)Wtsi (more )
Structure Level Pattern Image Note
TS28: large intestine Present RBRC_230957

Specimen RBRC_230959: postnatal adult; Prkab1tm1b(KOMP)Wtsi/Prkab1tm1b(KOMP)Wtsi (more )
Structure Level Pattern Image Note
TS28: sciatic nerve Ambiguous RBRC_230959

Specimen RBRC_230961: postnatal adult; Prkab1tm1b(KOMP)Wtsi/Prkab1tm1b(KOMP)Wtsi (more )
Structure Level Pattern Image Note
TS28: sciatic nerve Ambiguous RBRC_230961

Specimen RBRC_230963: postnatal adult; Prkab1tm1b(KOMP)Wtsi/Prkab1tm1b(KOMP)Wtsi (more )
Structure Level Pattern Image Note
TS28: lymph node Ambiguous RBRC_230963

Specimen RBRC_230965: postnatal adult; Prkab1tm1b(KOMP)Wtsi/Prkab1tm1b(KOMP)Wtsi (more )
Structure Level Pattern Image Note
TS28: lymph node Ambiguous RBRC_230965

Specimen RBRC_230967: postnatal adult; Prkab1tm1b(KOMP)Wtsi/Prkab1tm1b(KOMP)Wtsi (more )
Structure Level Pattern Image Note
TS28: skin Present RBRC_230967

Specimen RBRC_230969: postnatal adult; Prkab1tm1b(KOMP)Wtsi/Prkab1tm1b(KOMP)Wtsi (more )
Structure Level Pattern Image Note
TS28: skin Present RBRC_230969

Specimen RBRC_230971: postnatal adult; Prkab1tm1b(KOMP)Wtsi/Prkab1tm1b(KOMP)Wtsi (more )
Structure Level Pattern Image Note
TS28: bone Ambiguous RBRC_230971

Specimen RBRC_230973: postnatal adult; Prkab1tm1b(KOMP)Wtsi/Prkab1tm1b(KOMP)Wtsi (more )
Structure Level Pattern Image Note
TS28: bone Ambiguous RBRC_230973

Specimen RBRC_230975: postnatal adult; Prkab1tm1b(KOMP)Wtsi/Prkab1tm1b(KOMP)Wtsi (more )
Structure Level Pattern Image Note
TS28: bone Ambiguous RBRC_230975

Specimen RBRC_230977: postnatal adult; Prkab1tm1b(KOMP)Wtsi/Prkab1tm1b(KOMP)Wtsi (more )
Structure Level Pattern Image Note
TS28: quadriceps femoris muscle Present RBRC_230977

Specimen RBRC_230979: postnatal adult; Prkab1tm1b(KOMP)Wtsi/Prkab1tm1b(KOMP)Wtsi (more )
Structure Level Pattern Image Note
TS28: quadriceps femoris muscle Present RBRC_230979

Specimen RBRC_230981: postnatal adult; Prkab1tm1b(KOMP)Wtsi/Prkab1tm1b(KOMP)Wtsi (more )
Structure Level Pattern Image Note
TS28: hindlimb Present RBRC_230981

Specimen RBRC_230983: postnatal adult; Prkab1tm1b(KOMP)Wtsi/Prkab1tm1b(KOMP)Wtsi (more )
Structure Level Pattern Image Note
TS28: hindlimb Present RBRC_230983

Specimen RBRC_230985: postnatal adult; Prkab1tm1b(KOMP)Wtsi/Prkab1tm1b(KOMP)Wtsi (more )
Structure Level Pattern Image Note
TS28: bladder Present RBRC_230985

Specimen RBRC_230987: postnatal adult; Prkab1tm1b(KOMP)Wtsi/Prkab1tm1b(KOMP)Wtsi (more )
Structure Level Pattern Image Note
TS28: bladder Present RBRC_230987

Specimen RBRC_230989: postnatal adult; Prkab1tm1b(KOMP)Wtsi/Prkab1tm1b(KOMP)Wtsi (more )
Structure Level Pattern Image Note
TS28: ovary Present RBRC_230989

Specimen RBRC_230991: postnatal adult; Prkab1tm1b(KOMP)Wtsi/Prkab1tm1b(KOMP)Wtsi (more )
Structure Level Pattern Image Note
TS28: ovary Present RBRC_230991

Specimen RBRC_230993: postnatal adult; Prkab1tm1b(KOMP)Wtsi/Prkab1tm1b(KOMP)Wtsi (more )
Structure Level Pattern Image Note
TS28: ovary Present RBRC_230993

Specimen RBRC_230995: postnatal adult; Prkab1tm1b(KOMP)Wtsi/Prkab1tm1b(KOMP)Wtsi (more )
Structure Level Pattern Image Note
TS28: oviduct Present RBRC_230995

Specimen RBRC_230997: postnatal adult; Prkab1tm1b(KOMP)Wtsi/Prkab1tm1b(KOMP)Wtsi (more )
Structure Level Pattern Image Note
TS28: uterus Present RBRC_230997

Specimen RBRC_230999: postnatal adult; Prkab1tm1b(KOMP)Wtsi/Prkab1tm1b(KOMP)Wtsi (more )
Structure Level Pattern Image Note
TS28: vagina Ambiguous RBRC_230999

Specimen RBRC_231001: postnatal adult; Prkab1tm1b(KOMP)Wtsi/Prkab1tm1b(KOMP)Wtsi (more )
Structure Level Pattern Image Note
TS28: vagina Ambiguous RBRC_231001

Specimen RBRC_231003: postnatal adult; Prkab1tm1b(KOMP)Wtsi/Prkab1tm1b(KOMP)Wtsi (more )
Structure Level Pattern Image Note
TS28: mammary gland Present RBRC_231003

Specimen RBRC_231005: postnatal adult; Prkab1tm1b(KOMP)Wtsi/Prkab1tm1b(KOMP)Wtsi (more )
Structure Level Pattern Image Note
TS28: mammary gland Present RBRC_231005

Specimen RBRC_231007: postnatal adult; Prkab1tm1b(KOMP)Wtsi/Prkab1tm1b(KOMP)Wtsi (more )
Structure Level Pattern Image Note
TS28: spinal cord Present RBRC_231007

Specimen RBRC_231009: postnatal adult; Prkab1tm1b(KOMP)Wtsi/Prkab1tm1b(KOMP)Wtsi (more )
Structure Level Pattern Image Note
TS28: spinal cord Present RBRC_231009

Specimen RBRC_231011: postnatal adult; Prkab1tm1b(KOMP)Wtsi/Prkab1tm1b(KOMP)Wtsi (more )
Structure Level Pattern Image Note
TS28: spinal cord Present RBRC_231011

Specimen RBRC_231013: postnatal adult; Prkab1tm1b(KOMP)Wtsi/Prkab1tm1b(KOMP)Wtsi (more )
Structure Level Pattern Image Note
TS28: spinal cord Present RBRC_231013

Specimen CCP-IMG_2211065: postnatal adult; Prkab1tm1b(KOMP)Wtsi/Prkab1+ (more )
Structure Level Pattern Image Note
TS28: thyroid gland Absent CCP-IMG_2211065

Specimen CCP-IMG_2211066: postnatal adult; Prkab1tm1b(KOMP)Wtsi/Prkab1+ (more )
Structure Level Pattern Image Note
TS28: trachea Present CCP-IMG_2211066

Specimen CCP-IMG_2211067: postnatal adult; Prkab1tm1b(KOMP)Wtsi/Prkab1+ (more )
Structure Level Pattern Image Note
TS28: esophagus Present CCP-IMG_2211067

Specimen CCP-IMG_2211068: postnatal adult; Prkab1tm1b(KOMP)Wtsi/Prkab1+ (more )
Structure Level Pattern Image Note
TS28: thymus Present CCP-IMG_2211068

Specimen CCP-IMG_2211070: postnatal adult; Prkab1tm1b(KOMP)Wtsi/Prkab1+ (more )
Structure Level Pattern Image Note
TS28: quadriceps femoris muscle Present CCP-IMG_2211070

Specimen CCP-IMG_2211071: postnatal adult; Prkab1tm1b(KOMP)Wtsi/Prkab1+ (more )
Structure Level Pattern Image Note
TS28: skin Absent CCP-IMG_2211071

Specimen CCP-IMG_2211072: postnatal adult; Prkab1tm1b(KOMP)Wtsi/Prkab1+ (more )
Structure Level Pattern Image Note
TS28: diaphragm Present CCP-IMG_2211072

Specimen CCP-IMG_2211073: postnatal adult; Prkab1tm1b(KOMP)Wtsi/Prkab1+ (more )
Structure Level Pattern Image Note
TS28: spleen Absent CCP-IMG_2211073

Specimen CCP-IMG_2211074: postnatal adult; Prkab1tm1b(KOMP)Wtsi/Prkab1+ (more )
Structure Level Pattern Image Note
TS28: jejunum Absent CCP-IMG_2211074

Specimen CCP-IMG_2211075: postnatal adult; Prkab1tm1b(KOMP)Wtsi/Prkab1+ (more )
Structure Level Pattern Image Note
TS28: colon Absent CCP-IMG_2211075

Specimen CCP-IMG_2211076: postnatal adult; Prkab1tm1b(KOMP)Wtsi/Prkab1+ (more )
Structure Level Pattern Image Note
TS28: brainstem Present CCP-IMG_2211076

Specimen CCP-IMG_2211077: postnatal adult; Prkab1tm1b(KOMP)Wtsi/Prkab1+ (more )
Structure Level Pattern Image Note
TS28: white fat Absent CCP-IMG_2211077

Specimen CCP-IMG_2211078: postnatal adult; Prkab1tm1b(KOMP)Wtsi/Prkab1+ (more )
Structure Level Pattern Image Note
TS28: cranium Absent CCP-IMG_2211078

Specimen CCP-IMG_2211079: postnatal adult; Prkab1tm1b(KOMP)Wtsi/Prkab1+ (more )
Structure Level Pattern Image Note
TS28: large intestine Absent CCP-IMG_2211079

Specimen CCP-IMG_2211080: postnatal adult; Prkab1tm1b(KOMP)Wtsi/Prkab1+ (more )
Structure Level Pattern Image Note
TS28: gallbladder Present CCP-IMG_2211080

Specimen CCP-IMG_2211081: postnatal adult; Prkab1tm1b(KOMP)Wtsi/Prkab1+ (more )
Structure Level Pattern Image Note
TS28: aorta Present CCP-IMG_2211081

Specimen CCP-IMG_2211082: postnatal adult; Prkab1tm1b(KOMP)Wtsi/Prkab1+ (more )
Structure Level Pattern Image Note
TS28: ileum Absent CCP-IMG_2211082

Specimen CCP-IMG_2211083: postnatal adult; Prkab1tm1b(KOMP)Wtsi/Prkab1+ (more )
Structure Level Pattern Image Note
TS28: testis Ambiguous CCP-IMG_2211083

Specimen CCP-IMG_2211084: postnatal adult; Prkab1tm1b(KOMP)Wtsi/Prkab1+ (more )
Structure Level Pattern Image Note
TS28: hippocampus Present CCP-IMG_2211084

Specimen CCP-IMG_2211085: postnatal adult; Prkab1tm1b(KOMP)Wtsi/Prkab1+ (more )
Structure Level Pattern Image Note
TS28: oral epithelium Absent CCP-IMG_2211085

Specimen CCP-IMG_2211086: postnatal adult; Prkab1tm1b(KOMP)Wtsi/Prkab1+ (more )
Structure Level Pattern Image Note
TS28: cerebral cortex Present CCP-IMG_2211086

Specimen CCP-IMG_2211087: postnatal adult; Prkab1tm1b(KOMP)Wtsi/Prkab1+ (more )
Structure Level Pattern Image Note
TS28: eye Present CCP-IMG_2211087

Specimen CCP-IMG_2211088: postnatal adult; Prkab1tm1b(KOMP)Wtsi/Prkab1+ (more )
Structure Level Pattern Image Note
TS28: vascular system Absent CCP-IMG_2211088

Specimen CCP-IMG_2211089: postnatal adult; Prkab1tm1b(KOMP)Wtsi/Prkab1+ (more )
Structure Level Pattern Image Note
TS28: small intestine Absent CCP-IMG_2211089

Specimen CCP-IMG_2211090: postnatal adult; Prkab1tm1b(KOMP)Wtsi/Prkab1+ (more )
Structure Level Pattern Image Note
TS28: brown fat Absent CCP-IMG_2211090

Specimen CCP-IMG_2211091: postnatal adult; Prkab1tm1b(KOMP)Wtsi/Prkab1+ (more )
Structure Level Pattern Image Note
TS28: tongue Present CCP-IMG_2211091

Specimen CCP-IMG_2211092: postnatal adult; Prkab1tm1b(KOMP)Wtsi/Prkab1+ (more )
Structure Level Pattern Image Note
TS28: hypothalamus Present CCP-IMG_2211092

Specimen CCP-IMG_2211093: postnatal adult; Prkab1tm1b(KOMP)Wtsi/Prkab1+ (more )
Structure Level Pattern Image Note
TS28: Peyer's patch Absent CCP-IMG_2211093

Specimen CCP-IMG_2211094: postnatal adult; Prkab1tm1b(KOMP)Wtsi/Prkab1+ (more )
Structure Level Pattern Image Note
TS28: duodenum Absent CCP-IMG_2211094

Specimen CCP-IMG_2211095: postnatal adult; Prkab1tm1b(KOMP)Wtsi/Prkab1+ (more )
Structure Level Pattern Image Note
TS28: spinal cord Present CCP-IMG_2211095

Specimen CCP-IMG_2211096: postnatal adult; Prkab1tm1b(KOMP)Wtsi/Prkab1+ (more )
Structure Level Pattern Image Note
TS28: parathyroid gland Present CCP-IMG_2211096

Specimen CCP-IMG_2211097: postnatal adult; Prkab1tm1b(KOMP)Wtsi/Prkab1+ (more )
Structure Level Pattern Image Note
TS28: Harderian gland Absent CCP-IMG_2211097

Specimen CCP-IMG_2211098: postnatal adult; Prkab1tm1b(KOMP)Wtsi/Prkab1+ (more )
Structure Level Pattern Image Note
TS28: lower urinary tract Present CCP-IMG_2211098

Specimen CCP-IMG_2211099: postnatal adult; Prkab1tm1b(KOMP)Wtsi/Prkab1+ (more )
Structure Level Pattern Image Note
TS28: lung Absent CCP-IMG_2211099

Specimen CCP-IMG_2211100: postnatal adult; Prkab1tm1b(KOMP)Wtsi/Prkab1+ (more )
Structure Level Pattern Image Note
TS28: liver Absent CCP-IMG_2211100

Specimen CCP-IMG_2211101: postnatal adult; Prkab1tm1b(KOMP)Wtsi/Prkab1+ (more )
Structure Level Pattern Image Note
TS28: skeletal muscle tissue Present CCP-IMG_2211101

Specimen CCP-IMG_2211102: postnatal adult; Prkab1tm1b(KOMP)Wtsi/Prkab1+ (more )
Structure Level Pattern Image Note
TS28: bladder Present CCP-IMG_2211102

Specimen CCP-IMG_2211103: postnatal adult; Prkab1tm1b(KOMP)Wtsi/Prkab1+ (more )
Structure Level Pattern Image Note
TS28: lymph node Absent CCP-IMG_2211103

Specimen CCP-IMG_2211104: postnatal adult; Prkab1tm1b(KOMP)Wtsi/Prkab1+ (more )
Structure Level Pattern Image Note
TS28: adrenal gland Present CCP-IMG_2211104

Specimen CCP-IMG_2211105: postnatal adult; Prkab1tm1b(KOMP)Wtsi/Prkab1+ (more )
Structure Level Pattern Image Note
TS28: corpus striatum Present CCP-IMG_2211105

Specimen CCP-IMG_2211106: postnatal adult; Prkab1tm1b(KOMP)Wtsi/Prkab1+ (more )
Structure Level Pattern Image Note
TS28: submandibular gland Ambiguous CCP-IMG_2211106

Specimen CCP-IMG_2211107: postnatal adult; Prkab1tm1b(KOMP)Wtsi/Prkab1+ (more )
Structure Level Pattern Image Note
TS28: brain Present CCP-IMG_2211107

Specimen CCP-IMG_2211108: postnatal adult; Prkab1tm1b(KOMP)Wtsi/Prkab1+ (more )
Structure Level Pattern Image Note
TS28: stomach Absent CCP-IMG_2211108

Specimen CCP-IMG_2211109: postnatal adult; Prkab1tm1b(KOMP)Wtsi/Prkab1+ (more )
Structure Level Pattern Image Note
TS28: pancreas Absent CCP-IMG_2211109

Specimen CCP-IMG_2211110: postnatal adult; Prkab1tm1b(KOMP)Wtsi/Prkab1+ (more )
Structure Level Pattern Image Note
TS28: heart Present CCP-IMG_2211110

Specimen CCP-IMG_2211111: postnatal adult; Prkab1tm1b(KOMP)Wtsi/Prkab1+ (more )
Structure Level Pattern Image Note
TS28: pituitary gland Present CCP-IMG_2211111

Specimen CCP-IMG_2211113: postnatal adult; Prkab1tm1b(KOMP)Wtsi/Prkab1+ (more )
Structure Level Pattern Image Note
TS28: metanephros Present CCP-IMG_2211113 kidney

Specimen CCP-IMG_2211114: postnatal adult; Prkab1tm1b(KOMP)Wtsi/Prkab1+ (more )
Structure Level Pattern Image Note
TS28: hindlimb Absent CCP-IMG_2211114

Specimen CCP-IMG_2211115: postnatal adult; Prkab1tm1b(KOMP)Wtsi/Prkab1+ (more )
Structure Level Pattern Image Note
TS28: prostate gland Ambiguous CCP-IMG_2211115

Specimen CCP-IMG_2211116: postnatal adult; Prkab1tm1b(KOMP)Wtsi/Prkab1+ (more )
Structure Level Pattern Image Note
TS28: peripheral nervous system Absent CCP-IMG_2211116

Specimen CCP-IMG_2211117: postnatal adult; Prkab1tm1b(KOMP)Wtsi/Prkab1+ (more )
Structure Level Pattern Image Note
TS28: thoracic segment skeleton Present CCP-IMG_2211117 chest bone

Specimen CCP-IMG_2211118: postnatal adult; Prkab1tm1b(KOMP)Wtsi/Prkab1+ (more )
Structure Level Pattern Image Note
TS28: cecum Absent CCP-IMG_2211118

Specimen CCP-IMG_2211119: postnatal adult; Prkab1tm1b(KOMP)Wtsi/Prkab1+ (more )
Structure Level Pattern Image Note
TS28: cartilage Absent CCP-IMG_2211119

Specimen CCP-IMG_2211120: postnatal adult; Prkab1tm1b(KOMP)Wtsi/Prkab1+ (more )
Structure Level Pattern Image Note
TS28: olfactory lobe Present CCP-IMG_2211120

Specimen CCP-IMG_2211121: postnatal adult; Prkab1tm1b(KOMP)Wtsi/Prkab1+ (more )
Structure Level Pattern Image Note
TS28: penis Absent CCP-IMG_2211121

Specimen CCP-IMG_2211122: postnatal adult; Prkab1tm1b(KOMP)Wtsi/Prkab1+ (more )
Structure Level Pattern Image Note
TS28: bone Present CCP-IMG_2211122

Specimen CCP-IMG_2211123: postnatal adult; Prkab1tm1b(KOMP)Wtsi/Prkab1+ (more )
Structure Level Pattern Image Note
TS28: cerebellum Present CCP-IMG_2211123

Specimen HMGU_693123: postnatal adult; Prkab1tm1b(KOMP)Wtsi/Prkab1+ (more )
Structure Level Pattern Image Note
TS28: thoracic segment skeleton Present HMGU_693123 chest bone

Specimen HMGU_693125: postnatal adult; Prkab1tm1b(KOMP)Wtsi/Prkab1+ (more )
Structure Level Pattern Image Note
TS28: pituitary gland Present HMGU_693125

Specimen HMGU_693127: postnatal adult; Prkab1tm1b(KOMP)Wtsi/Prkab1+ (more )
Structure Level Pattern Image Note
TS28: brain Present HMGU_693127

Specimen HMGU_693129: postnatal adult; Prkab1tm1b(KOMP)Wtsi/Prkab1+ (more )
Structure Level Pattern Image Note
TS28: spinal cord Present HMGU_693129

Specimen JAX_1799968: postnatal adult; Prkab1tm1b(KOMP)Wtsi/Prkab1+ (more )
Structure Level Pattern Image Note
TS28: thalamus Present JAX_1799968

Specimen JAX_1799969: postnatal adult; Prkab1tm1b(KOMP)Wtsi/Prkab1+ (more )
Structure Level Pattern Image Note
TS28: midbrain Present JAX_1799969

Specimen JAX_1799970: postnatal adult; Prkab1tm1b(KOMP)Wtsi/Prkab1+ (more )
Structure Level Pattern Image Note
TS28: vascular system Present JAX_1799970

Specimen JAX_1799971: postnatal adult; Prkab1tm1b(KOMP)Wtsi/Prkab1+ (more )
Structure Level Pattern Image Note
TS28: epididymis Present JAX_1799971

Specimen JAX_1799972: postnatal adult; Prkab1tm1b(KOMP)Wtsi/Prkab1+ (more )
Structure Level Pattern Image Note
TS28: submandibular gland Present JAX_1799972

Specimen JAX_1799973: postnatal adult; Prkab1tm1b(KOMP)Wtsi/Prkab1+ (more )
Structure Level Pattern Image Note
TS28: bladder Present JAX_1799973

Specimen JAX_1799974: postnatal adult; Prkab1tm1b(KOMP)Wtsi/Prkab1+ (more )
Structure Level Pattern Image Note
TS28: corpus striatum Present JAX_1799974

Specimen JAX_1799975: postnatal adult; Prkab1tm1b(KOMP)Wtsi/Prkab1+ (more )
Structure Level Pattern Image Note
TS28: peripheral nervous system Present JAX_1799975

Specimen JAX_1799976: postnatal adult; Prkab1tm1b(KOMP)Wtsi/Prkab1+ (more )
Structure Level Pattern Image Note
TS28: olfactory lobe Present JAX_1799976

Specimen JAX_1799977: postnatal adult; Prkab1tm1b(KOMP)Wtsi/Prkab1+ (more )
Structure Level Pattern Image Note
TS28: hypothalamus Present JAX_1799977

Specimen JAX_1799978: postnatal adult; Prkab1tm1b(KOMP)Wtsi/Prkab1+ (more )
Structure Level Pattern Image Note
TS28: hippocampus Present JAX_1799978

Specimen JAX_1799979: postnatal adult; Prkab1tm1b(KOMP)Wtsi/Prkab1+ (more )
Structure Level Pattern Image Note
TS28: cerebellum Present JAX_1799979

Specimen JAX_1799980: postnatal adult; Prkab1tm1b(KOMP)Wtsi/Prkab1+ (more )
Structure Level Pattern Image Note
TS28: cerebral cortex Present JAX_1799980

Specimen JAX_1799981: postnatal adult; Prkab1tm1b(KOMP)Wtsi/Prkab1+ (more )
Structure Level Pattern Image Note
TS28: cartilage Present JAX_1799981

Specimen JAX_1799982: postnatal adult; Prkab1tm1b(KOMP)Wtsi/Prkab1+ (more )
Structure Level Pattern Image Note
TS28: brainstem Present JAX_1799982

Specimen JAX_1799983: postnatal adult; Prkab1tm1b(KOMP)Wtsi/Prkab1+ (more )
Structure Level Pattern Image Note
TS28: spleen Present JAX_1799983

Specimen JAX_1799984: postnatal adult; Prkab1tm1b(KOMP)Wtsi/Prkab1+ (more )
Structure Level Pattern Image Note
TS28: pancreas Present JAX_1799984

Specimen JAX_1799985: postnatal adult; Prkab1tm1b(KOMP)Wtsi/Prkab1+ (more )
Structure Level Pattern Image Note
TS28: lung Present JAX_1799985

Specimen JAX_1799987: postnatal adult; Prkab1tm1b(KOMP)Wtsi/Prkab1+ (more )
Structure Level Pattern Image Note
TS28: spinal cord Present JAX_1799987

Specimen JAX_1799988: postnatal adult; Prkab1tm1b(KOMP)Wtsi/Prkab1+ (more )
Structure Level Pattern Image Note
TS28: esophagus Present JAX_1799988

Specimen JAX_1799989: postnatal adult; Prkab1tm1b(KOMP)Wtsi/Prkab1+ (more )
Structure Level Pattern Image Note
TS28: trachea Present JAX_1799989

Specimen JAX_1799990: postnatal adult; Prkab1tm1b(KOMP)Wtsi/Prkab1+ (more )
Structure Level Pattern Image Note
TS28: testis Present JAX_1799990

Specimen JAX_1799991: postnatal adult; Prkab1tm1b(KOMP)Wtsi/Prkab1+ (more )
Structure Level Pattern Image Note
TS28: liver Present JAX_1799991

Specimen JAX_1799992: postnatal adult; Prkab1tm1b(KOMP)Wtsi/Prkab1+ (more )
Structure Level Pattern Image Note
TS28: metanephros Absent JAX_1799992 kidney

Specimen JAX_1799993: postnatal adult; Prkab1tm1b(KOMP)Wtsi/Prkab1+ (more )
Structure Level Pattern Image Note
TS28: eye Present JAX_1799993

Specimen JAX_1799994: postnatal adult; Prkab1tm1b(KOMP)Wtsi/Prkab1+ (more )
Structure Level Pattern Image Note
TS28: brain Present JAX_1799994

Specimen JAX_1799995: postnatal adult; Prkab1tm1b(KOMP)Wtsi/Prkab1+ (more )
Structure Level Pattern Image Note
TS28: adrenal gland Present JAX_1799995

Specimen MRC Harwell_1311733: postnatal adult; Prkab1tm1b(KOMP)Wtsi/Prkab1+ (more )
Structure Level Pattern Image Note
TS28: pancreas Present MRC Harwell_1311733

Specimen MRC Harwell_1311734: postnatal adult; Prkab1tm1b(KOMP)Wtsi/Prkab1+ (more )
Structure Level Pattern Image Note
TS28: gallbladder Present MRC Harwell_1311734
TS28: liver Present MRC Harwell_1311734

Specimen MRC Harwell_1311735: postnatal adult; Prkab1tm1b(KOMP)Wtsi/Prkab1+ (more )
Structure Level Pattern Image Note
TS28: cartilage Present MRC Harwell_1311735
TS28: parathyroid gland Present MRC Harwell_1311735
TS28: thyroid gland Present MRC Harwell_1311735
TS28: trachea Present MRC Harwell_1311735

Specimen MRC Harwell_1311736: postnatal adult; Prkab1tm1b(KOMP)Wtsi/Prkab1+ (more )
Structure Level Pattern Image Note
TS28: lung Present MRC Harwell_1311736

Specimen MRC Harwell_1311737: postnatal adult; Prkab1tm1b(KOMP)Wtsi/Prkab1+ (more )
Structure Level Pattern Image Note
TS28: lower urinary tract Present MRC Harwell_1311737
TS28: prostate gland Present MRC Harwell_1311737

Specimen MRC Harwell_1311738: postnatal adult; Prkab1tm1b(KOMP)Wtsi/Prkab1+ (more )
Structure Level Pattern Image Note
TS28: lymph node Present MRC Harwell_1311738

Specimen MRC Harwell_1311739: postnatal adult; Prkab1tm1b(KOMP)Wtsi/Prkab1+ (more )
Structure Level Pattern Image Note
TS28: adrenal gland Present MRC Harwell_1311739

Specimen MRC Harwell_1311740: postnatal adult; Prkab1tm1b(KOMP)Wtsi/Prkab1+ (more )
Structure Level Pattern Image Note
TS28: testis Present MRC Harwell_1311740

Specimen MRC Harwell_1311741: postnatal adult; Prkab1tm1b(KOMP)Wtsi/Prkab1+ (more )
Structure Level Pattern Image Note
TS28: thymus Present MRC Harwell_1311741

Specimen RBRC_230113: postnatal adult; Prkab1tm1b(KOMP)Wtsi/Prkab1+ (more )
Structure Level Pattern Image Note
TS28: main olfactory bulb Present RBRC_230113

Specimen RBRC_230115: postnatal adult; Prkab1tm1b(KOMP)Wtsi/Prkab1+ (more )
Structure Level Pattern Image Note
TS28: main olfactory bulb Present RBRC_230115

Specimen RBRC_230117: postnatal adult; Prkab1tm1b(KOMP)Wtsi/Prkab1+ (more )
Structure Level Pattern Image Note
TS28: main olfactory bulb Present RBRC_230117

Specimen RBRC_230119: postnatal adult; Prkab1tm1b(KOMP)Wtsi/Prkab1+ (more )
Structure Level Pattern Image Note
TS28: main olfactory bulb Present RBRC_230119

Specimen RBRC_230121: postnatal adult; Prkab1tm1b(KOMP)Wtsi/Prkab1+ (more )
Structure Level Pattern Image Note
TS28: brain Present RBRC_230121

Specimen RBRC_230123: postnatal adult; Prkab1tm1b(KOMP)Wtsi/Prkab1+ (more )
Structure Level Pattern Image Note
TS28: brain Present RBRC_230123

Specimen RBRC_230125: postnatal adult; Prkab1tm1b(KOMP)Wtsi/Prkab1+ (more )
Structure Level Pattern Image Note
TS28: brain Present RBRC_230125

Specimen RBRC_230127: postnatal adult; Prkab1tm1b(KOMP)Wtsi/Prkab1+ (more )
Structure Level Pattern Image Note
TS28: brain Present RBRC_230127

Specimen RBRC_230129: postnatal adult; Prkab1tm1b(KOMP)Wtsi/Prkab1+ (more )
Structure Level Pattern Image Note
TS28: brain Present RBRC_230129

Specimen RBRC_230131: postnatal adult; Prkab1tm1b(KOMP)Wtsi/Prkab1+ (more )
Structure Level Pattern Image Note
TS28: brain Present RBRC_230131

Specimen RBRC_230133: postnatal adult; Prkab1tm1b(KOMP)Wtsi/Prkab1+ (more )
Structure Level Pattern Image Note
TS28: brain Present RBRC_230133

Specimen RBRC_230135: postnatal adult; Prkab1tm1b(KOMP)Wtsi/Prkab1+ (more )
Structure Level Pattern Image Note
TS28: brain Present RBRC_230135

Specimen RBRC_230137: postnatal adult; Prkab1tm1b(KOMP)Wtsi/Prkab1+ (more )
Structure Level Pattern Image Note
TS28: brain Present RBRC_230137

Specimen RBRC_230139: postnatal adult; Prkab1tm1b(KOMP)Wtsi/Prkab1+ (more )
Structure Level Pattern Image Note
TS28: brain Present RBRC_230139

Specimen RBRC_230141: postnatal adult; Prkab1tm1b(KOMP)Wtsi/Prkab1+ (more )
Structure Level Pattern Image Note
TS28: brain Present RBRC_230141

Specimen RBRC_230143: postnatal adult; Prkab1tm1b(KOMP)Wtsi/Prkab1+ (more )
Structure Level Pattern Image Note
TS28: brain Present RBRC_230143

Specimen RBRC_230145: postnatal adult; Prkab1tm1b(KOMP)Wtsi/Prkab1+ (more )
Structure Level Pattern Image Note
TS28: brain Present RBRC_230145

Specimen RBRC_230147: postnatal adult; Prkab1tm1b(KOMP)Wtsi/Prkab1+ (more )
Structure Level Pattern Image Note
TS28: brain Present RBRC_230147

Specimen RBRC_230149: postnatal adult; Prkab1tm1b(KOMP)Wtsi/Prkab1+ (more )
Structure Level Pattern Image Note
TS28: brain Present RBRC_230149

Specimen RBRC_230151: postnatal adult; Prkab1tm1b(KOMP)Wtsi/Prkab1+ (more )
Structure Level Pattern Image Note
TS28: brain Present RBRC_230151

Specimen RBRC_230153: postnatal adult; Prkab1tm1b(KOMP)Wtsi/Prkab1+ (more )
Structure Level Pattern Image Note
TS28: brain Present RBRC_230153

Specimen RBRC_230155: postnatal adult; Prkab1tm1b(KOMP)Wtsi/Prkab1+ (more )
Structure Level Pattern Image Note
TS28: brain Present RBRC_230155

Specimen RBRC_230157: postnatal adult; Prkab1tm1b(KOMP)Wtsi/Prkab1+ (more )
Structure Level Pattern Image Note
TS28: brain Present RBRC_230157

Specimen RBRC_230159: postnatal adult; Prkab1tm1b(KOMP)Wtsi/Prkab1+ (more )
Structure Level Pattern Image Note
TS28: brain Present RBRC_230159

Specimen RBRC_230161: postnatal adult; Prkab1tm1b(KOMP)Wtsi/Prkab1+ (more )
Structure Level Pattern Image Note
TS28: brain Present RBRC_230161

Specimen RBRC_230163: postnatal adult; Prkab1tm1b(KOMP)Wtsi/Prkab1+ (more )
Structure Level Pattern Image Note
TS28: brain Present RBRC_230163

Specimen RBRC_230165: postnatal adult; Prkab1tm1b(KOMP)Wtsi/Prkab1+ (more )
Structure Level Pattern Image Note
TS28: brain Present RBRC_230165

Specimen RBRC_230167: postnatal adult; Prkab1tm1b(KOMP)Wtsi/Prkab1+ (more )
Structure Level Pattern Image Note
TS28: brain Present RBRC_230167

Specimen RBRC_230169: postnatal adult; Prkab1tm1b(KOMP)Wtsi/Prkab1+ (more )
Structure Level Pattern Image Note
TS28: brain Present RBRC_230169

Specimen RBRC_230171: postnatal adult; Prkab1tm1b(KOMP)Wtsi/Prkab1+ (more )
Structure Level Pattern Image Note
TS28: brain Present RBRC_230171

Specimen RBRC_230173: postnatal adult; Prkab1tm1b(KOMP)Wtsi/Prkab1+ (more )
Structure Level Pattern Image Note
TS28: brain Present RBRC_230173

Specimen RBRC_230175: postnatal adult; Prkab1tm1b(KOMP)Wtsi/Prkab1+ (more )
Structure Level Pattern Image Note
TS28: brain Present RBRC_230175

Specimen RBRC_230177: postnatal adult; Prkab1tm1b(KOMP)Wtsi/Prkab1+ (more )
Structure Level Pattern Image Note
TS28: brain Present RBRC_230177

Specimen RBRC_230179: postnatal adult; Prkab1tm1b(KOMP)Wtsi/Prkab1+ (more )
Structure Level Pattern Image Note
TS28: brain Present RBRC_230179

Specimen RBRC_230181: postnatal adult; Prkab1tm1b(KOMP)Wtsi/Prkab1+ (more )
Structure Level Pattern Image Note
TS28: brain Present RBRC_230181

Specimen RBRC_230183: postnatal adult; Prkab1tm1b(KOMP)Wtsi/Prkab1+ (more )
Structure Level Pattern Image Note
TS28: brain Present RBRC_230183

Specimen RBRC_230185: postnatal adult; Prkab1tm1b(KOMP)Wtsi/Prkab1+ (more )
Structure Level Pattern Image Note
TS28: brain Present RBRC_230185

Specimen RBRC_230187: postnatal adult; Prkab1tm1b(KOMP)Wtsi/Prkab1+ (more )
Structure Level Pattern Image Note
TS28: brain Present RBRC_230187

Specimen RBRC_230189: postnatal adult; Prkab1tm1b(KOMP)Wtsi/Prkab1+ (more )
Structure Level Pattern Image Note
TS28: brain Present RBRC_230189

Specimen RBRC_230191: postnatal adult; Prkab1tm1b(KOMP)Wtsi/Prkab1+ (more )
Structure Level Pattern Image Note
TS28: brain Present RBRC_230191

Specimen RBRC_230193: postnatal adult; Prkab1tm1b(KOMP)Wtsi/Prkab1+ (more )
Structure Level Pattern Image Note
TS28: brain Present RBRC_230193

Specimen RBRC_230195: postnatal adult; Prkab1tm1b(KOMP)Wtsi/Prkab1+ (more )
Structure Level Pattern Image Note
TS28: brain Present RBRC_230195

Specimen RBRC_230197: postnatal adult; Prkab1tm1b(KOMP)Wtsi/Prkab1+ (more )
Structure Level Pattern Image Note
TS28: brain Present RBRC_230197

Specimen RBRC_230199: postnatal adult; Prkab1tm1b(KOMP)Wtsi/Prkab1+ (more )
Structure Level Pattern Image Note
TS28: brain Present RBRC_230199

Specimen RBRC_230201: postnatal adult; Prkab1tm1b(KOMP)Wtsi/Prkab1+ (more )
Structure Level Pattern Image Note
TS28: brain Present RBRC_230201

Specimen RBRC_230203: postnatal adult; Prkab1tm1b(KOMP)Wtsi/Prkab1+ (more )
Structure Level Pattern Image Note
TS28: brain Present RBRC_230203

Specimen RBRC_230205: postnatal adult; Prkab1tm1b(KOMP)Wtsi/Prkab1+ (more )
Structure Level Pattern Image Note
TS28: brain Present RBRC_230205

Specimen RBRC_230207: postnatal adult; Prkab1tm1b(KOMP)Wtsi/Prkab1+ (more )
Structure Level Pattern Image Note
TS28: brain Present RBRC_230207

Specimen RBRC_230209: postnatal adult; Prkab1tm1b(KOMP)Wtsi/Prkab1+ (more )
Structure Level Pattern Image Note
TS28: brain Present RBRC_230209

Specimen RBRC_230211: postnatal adult; Prkab1tm1b(KOMP)Wtsi/Prkab1+ (more )
Structure Level Pattern Image Note
TS28: brain Present RBRC_230211

Specimen RBRC_230213: postnatal adult; Prkab1tm1b(KOMP)Wtsi/Prkab1+ (more )
Structure Level Pattern Image Note
TS28: brain Present RBRC_230213

Specimen RBRC_230215: postnatal adult; Prkab1tm1b(KOMP)Wtsi/Prkab1+ (more )
Structure Level Pattern Image Note
TS28: brain Present RBRC_230215

Specimen RBRC_230217: postnatal adult; Prkab1tm1b(KOMP)Wtsi/Prkab1+ (more )
Structure Level Pattern Image Note
TS28: brain Present RBRC_230217

Specimen RBRC_230219: postnatal adult; Prkab1tm1b(KOMP)Wtsi/Prkab1+ (more )
Structure Level Pattern Image Note
TS28: brain Present RBRC_230219

Specimen RBRC_230221: postnatal adult; Prkab1tm1b(KOMP)Wtsi/Prkab1+ (more )
Structure Level Pattern Image Note
TS28: brain Present RBRC_230221

Specimen RBRC_230223: postnatal adult; Prkab1tm1b(KOMP)Wtsi/Prkab1+ (more )
Structure Level Pattern Image Note
TS28: brain Present RBRC_230223

Specimen RBRC_230225: postnatal adult; Prkab1tm1b(KOMP)Wtsi/Prkab1+ (more )
Structure Level Pattern Image Note
TS28: brain Present RBRC_230225

Specimen RBRC_230227: postnatal adult; Prkab1tm1b(KOMP)Wtsi/Prkab1+ (more )
Structure Level Pattern Image Note
TS28: brain Present RBRC_230227

Specimen RBRC_230229: postnatal adult; Prkab1tm1b(KOMP)Wtsi/Prkab1+ (more )
Structure Level Pattern Image Note
TS28: brain Present RBRC_230229

Specimen RBRC_230231: postnatal adult; Prkab1tm1b(KOMP)Wtsi/Prkab1+ (more )
Structure Level Pattern Image Note
TS28: pituitary gland Present RBRC_230231
TS28: trigeminal nerve Present RBRC_230231

Specimen RBRC_230233: postnatal adult; Prkab1tm1b(KOMP)Wtsi/Prkab1+ (more )
Structure Level Pattern Image Note
TS28: pituitary gland Present RBRC_230233

Specimen RBRC_230235: postnatal adult; Prkab1tm1b(KOMP)Wtsi/Prkab1+ (more )
Structure Level Pattern Image Note
TS28: thoracic segment skeleton Present RBRC_230235 chest bone

Specimen RBRC_230237: postnatal adult; Prkab1tm1b(KOMP)Wtsi/Prkab1+ (more )
Structure Level Pattern Image Note
TS28: Harderian gland Ambiguous RBRC_230237

Specimen RBRC_230239: postnatal adult; Prkab1tm1b(KOMP)Wtsi/Prkab1+ (more )
Structure Level Pattern Image Note
TS28: sublingual gland Ambiguous RBRC_230239
TS28: submandibular gland Ambiguous RBRC_230239

Specimen RBRC_230241: postnatal adult; Prkab1tm1b(KOMP)Wtsi/Prkab1+ (more )
Structure Level Pattern Image Note
TS28: parotid gland Ambiguous RBRC_230241

Specimen RBRC_230243: postnatal adult; Prkab1tm1b(KOMP)Wtsi/Prkab1+ (more )
Structure Level Pattern Image Note
TS28: parathyroid gland Ambiguous RBRC_230243
TS28: thyroid gland Ambiguous RBRC_230243

Specimen RBRC_230245: postnatal adult; Prkab1tm1b(KOMP)Wtsi/Prkab1+ (more )
Structure Level Pattern Image Note
TS28: thyroid gland Ambiguous RBRC_230245

Specimen RBRC_230247: postnatal adult; Prkab1tm1b(KOMP)Wtsi/Prkab1+ (more )
Structure Level Pattern Image Note
TS28: trachea Present RBRC_230247

Specimen RBRC_230249: postnatal adult; Prkab1tm1b(KOMP)Wtsi/Prkab1+ (more )
Structure Level Pattern Image Note
TS28: trachea Present RBRC_230249

Specimen RBRC_230251: postnatal adult; Prkab1tm1b(KOMP)Wtsi/Prkab1+ (more )
Structure Level Pattern Image Note
TS28: lung Present RBRC_230251

Specimen RBRC_230253: postnatal adult; Prkab1tm1b(KOMP)Wtsi/Prkab1+ (more )
Structure Level Pattern Image Note
TS28: lung Present RBRC_230253

Specimen RBRC_230255: postnatal adult; Prkab1tm1b(KOMP)Wtsi/Prkab1+ (more )
Structure Level Pattern Image Note
TS28: tongue Present RBRC_230255

Specimen RBRC_230257: postnatal adult; Prkab1tm1b(KOMP)Wtsi/Prkab1+ (more )
Structure Level Pattern Image Note
TS28: tongue Present RBRC_230257

Specimen RBRC_230259: postnatal adult; Prkab1tm1b(KOMP)Wtsi/Prkab1+ (more )
Structure Level Pattern Image Note
TS28: tongue Present RBRC_230259

Specimen RBRC_230261: postnatal adult; Prkab1tm1b(KOMP)Wtsi/Prkab1+ (more )
Structure Level Pattern Image Note
TS28: tongue Present RBRC_230261

Specimen RBRC_230263: postnatal adult; Prkab1tm1b(KOMP)Wtsi/Prkab1+ (more )
Structure Level Pattern Image Note
TS28: tongue Present RBRC_230263

Specimen RBRC_230265: postnatal adult; Prkab1tm1b(KOMP)Wtsi/Prkab1+ (more )
Structure Level Pattern Image Note
TS28: tongue Present RBRC_230265

Specimen RBRC_230267: postnatal adult; Prkab1tm1b(KOMP)Wtsi/Prkab1+ (more )
Structure Level Pattern Image Note
TS28: esophagus Present RBRC_230267

Specimen RBRC_230269: postnatal adult; Prkab1tm1b(KOMP)Wtsi/Prkab1+ (more )
Structure Level Pattern Image Note
TS28: thymus Present RBRC_230269

Specimen RBRC_230271: postnatal adult; Prkab1tm1b(KOMP)Wtsi/Prkab1+ (more )
Structure Level Pattern Image Note
TS28: thymus Present RBRC_230271

Specimen RBRC_230273: postnatal adult; Prkab1tm1b(KOMP)Wtsi/Prkab1+ (more )
Structure Level Pattern Image Note
TS28: thymus Present RBRC_230273

Specimen RBRC_230275: postnatal adult; Prkab1tm1b(KOMP)Wtsi/Prkab1+ (more )
Structure Level Pattern Image Note
TS28: heart Present RBRC_230275

Specimen RBRC_230277: postnatal adult; Prkab1tm1b(KOMP)Wtsi/Prkab1+ (more )
Structure Level Pattern Image Note
TS28: heart Present RBRC_230277

Specimen RBRC_230279: postnatal adult; Prkab1tm1b(KOMP)Wtsi/Prkab1+ (more )
Structure Level Pattern Image Note
TS28: heart Present RBRC_230279

Specimen RBRC_230281: postnatal adult; Prkab1tm1b(KOMP)Wtsi/Prkab1+ (more )
Structure Level Pattern Image Note
TS28: heart Present RBRC_230281

Specimen RBRC_230283: postnatal adult; Prkab1tm1b(KOMP)Wtsi/Prkab1+ (more )
Structure Level Pattern Image Note
TS28: diaphragm Present RBRC_230283

Specimen RBRC_230285: postnatal adult; Prkab1tm1b(KOMP)Wtsi/Prkab1+ (more )
Structure Level Pattern Image Note
TS28: diaphragm Present RBRC_230285

Specimen RBRC_230287: postnatal adult; Prkab1tm1b(KOMP)Wtsi/Prkab1+ (more )
Structure Level Pattern Image Note
TS28: gallbladder Ambiguous RBRC_230287

Specimen RBRC_230289: postnatal adult; Prkab1tm1b(KOMP)Wtsi/Prkab1+ (more )
Structure Level Pattern Image Note
TS28: liver Present RBRC_230289

Specimen RBRC_230291: postnatal adult; Prkab1tm1b(KOMP)Wtsi/Prkab1+ (more )
Structure Level Pattern Image Note
TS28: liver Present RBRC_230291

Specimen RBRC_230293: postnatal adult; Prkab1tm1b(KOMP)Wtsi/Prkab1+ (more )
Structure Level Pattern Image Note
TS28: spleen Ambiguous RBRC_230293

Specimen RBRC_230295: postnatal adult; Prkab1tm1b(KOMP)Wtsi/Prkab1+ (more )
Structure Level Pattern Image Note
TS28: spleen Ambiguous RBRC_230295

Specimen RBRC_230297: postnatal adult; Prkab1tm1b(KOMP)Wtsi/Prkab1+ (more )
Structure Level Pattern Image Note
TS28: oral epithelium Present RBRC_230297

Specimen RBRC_230299: postnatal adult; Prkab1tm1b(KOMP)Wtsi/Prkab1+ (more )
Structure Level Pattern Image Note
TS28: oral epithelium Present RBRC_230299

Specimen RBRC_230301: postnatal adult; Prkab1tm1b(KOMP)Wtsi/Prkab1+ (more )
Structure Level Pattern Image Note
TS28: pancreas Present RBRC_230301

Specimen RBRC_230303: postnatal adult; Prkab1tm1b(KOMP)Wtsi/Prkab1+ (more )
Structure Level Pattern Image Note
TS28: pancreas Present RBRC_230303

Specimen RBRC_230305: postnatal adult; Prkab1tm1b(KOMP)Wtsi/Prkab1+ (more )
Structure Level Pattern Image Note
TS28: pancreas Present RBRC_230305

Specimen RBRC_230307: postnatal adult; Prkab1tm1b(KOMP)Wtsi/Prkab1+ (more )
Structure Level Pattern Image Note
TS28: mesenteric adipose tissue Ambiguous RBRC_230307

Specimen RBRC_230309: postnatal adult; Prkab1tm1b(KOMP)Wtsi/Prkab1+ (more )
Structure Level Pattern Image Note
TS28: mesenteric lymph node Ambiguous RBRC_230309

Specimen RBRC_230311: postnatal adult; Prkab1tm1b(KOMP)Wtsi/Prkab1+ (more )
Structure Level Pattern Image Note
TS28: adrenal gland Present RBRC_230311

Specimen RBRC_230313: postnatal adult; Prkab1tm1b(KOMP)Wtsi/Prkab1+ (more )
Structure Level Pattern Image Note
TS28: metanephros Present RBRC_230313 kidney

Specimen RBRC_230315: postnatal adult; Prkab1tm1b(KOMP)Wtsi/Prkab1+ (more )
Structure Level Pattern Image Note
TS28: metanephros Present RBRC_230315 kidney

Specimen RBRC_230317: postnatal adult; Prkab1tm1b(KOMP)Wtsi/Prkab1+ (more )
Structure Level Pattern Image Note
TS28: metanephros Present RBRC_230317 kidney

Specimen RBRC_230319: postnatal adult; Prkab1tm1b(KOMP)Wtsi/Prkab1+ (more )
Structure Level Pattern Image Note
TS28: metanephros Present RBRC_230319 kidney

Specimen RBRC_230321: postnatal adult; Prkab1tm1b(KOMP)Wtsi/Prkab1+ (more )
Structure Level Pattern Image Note
TS28: metanephros Present RBRC_230321 kidney

Specimen RBRC_230323: postnatal adult; Prkab1tm1b(KOMP)Wtsi/Prkab1+ (more )
Structure Level Pattern Image Note
TS28: metanephros Present RBRC_230323 kidney

Specimen RBRC_230325: postnatal adult; Prkab1tm1b(KOMP)Wtsi/Prkab1+ (more )
Structure Level Pattern Image Note
TS28: stomach Present RBRC_230325

Specimen RBRC_230327: postnatal adult; Prkab1tm1b(KOMP)Wtsi/Prkab1+ (more )
Structure Level Pattern Image Note
TS28: stomach Present RBRC_230327

Specimen RBRC_230329: postnatal adult; Prkab1tm1b(KOMP)Wtsi/Prkab1+ (more )
Structure Level Pattern Image Note
TS28: stomach Present RBRC_230329

Specimen RBRC_230331: postnatal adult; Prkab1tm1b(KOMP)Wtsi/Prkab1+ (more )
Structure Level Pattern Image Note
TS28: stomach Present RBRC_230331

Specimen RBRC_230333: postnatal adult; Prkab1tm1b(KOMP)Wtsi/Prkab1+ (more )
Structure Level Pattern Image Note
TS28: stomach Present RBRC_230333

Specimen RBRC_230335: postnatal adult; Prkab1tm1b(KOMP)Wtsi/Prkab1+ (more )
Structure Level Pattern Image Note
TS28: stomach Present RBRC_230335

Specimen RBRC_230337: postnatal adult; Prkab1tm1b(KOMP)Wtsi/Prkab1+ (more )
Structure Level Pattern Image Note
TS28: duodenum Present RBRC_230337

Specimen RBRC_230339: postnatal adult; Prkab1tm1b(KOMP)Wtsi/Prkab1+ (more )
Structure Level Pattern Image Note
TS28: duodenum Present RBRC_230339

Specimen RBRC_230341: postnatal adult; Prkab1tm1b(KOMP)Wtsi/Prkab1+ (more )
Structure Level Pattern Image Note
TS28: duodenum Present RBRC_230341

Specimen RBRC_230343: postnatal adult; Prkab1tm1b(KOMP)Wtsi/Prkab1+ (more )
Structure Level Pattern Image Note
TS28: jejunum Present RBRC_230343

Specimen RBRC_230345: postnatal adult; Prkab1tm1b(KOMP)Wtsi/Prkab1+ (more )
Structure Level Pattern Image Note
TS28: jejunum Present RBRC_230345

Specimen RBRC_230347: postnatal adult; Prkab1tm1b(KOMP)Wtsi/Prkab1+ (more )
Structure Level Pattern Image Note
TS28: jejunum Present RBRC_230347

Specimen RBRC_230349: postnatal adult; Prkab1tm1b(KOMP)Wtsi/Prkab1+ (more )
Structure Level Pattern Image Note
TS28: jejunum Present RBRC_230349

Specimen RBRC_230351: postnatal adult; Prkab1tm1b(KOMP)Wtsi/Prkab1+ (more )
Structure Level Pattern Image Note
TS28: ileum Present RBRC_230351

Specimen RBRC_230353: postnatal adult; Prkab1tm1b(KOMP)Wtsi/Prkab1+ (more )
Structure Level Pattern Image Note
TS28: ileum Present RBRC_230353

Specimen RBRC_230355: postnatal adult; Prkab1tm1b(KOMP)Wtsi/Prkab1+ (more )
Structure Level Pattern Image Note
TS28: ileum Present RBRC_230355

Specimen RBRC_230357: postnatal adult; Prkab1tm1b(KOMP)Wtsi/Prkab1+ (more )
Structure Level Pattern Image Note
TS28: ileum Present RBRC_230357

Specimen RBRC_230359: postnatal adult; Prkab1tm1b(KOMP)Wtsi/Prkab1+ (more )
Structure Level Pattern Image Note
TS28: cecum Present RBRC_230359

Specimen RBRC_230361: postnatal adult; Prkab1tm1b(KOMP)Wtsi/Prkab1+ (more )
Structure Level Pattern Image Note
TS28: cecum Present RBRC_230361

Specimen RBRC_230363: postnatal adult; Prkab1tm1b(KOMP)Wtsi/Prkab1+ (more )
Structure Level Pattern Image Note
TS28: cecum Present RBRC_230363

Specimen RBRC_230365: postnatal adult; Prkab1tm1b(KOMP)Wtsi/Prkab1+ (more )
Structure Level Pattern Image Note
TS28: large intestine Present RBRC_230365

Specimen RBRC_230367: postnatal adult; Prkab1tm1b(KOMP)Wtsi/Prkab1+ (more )
Structure Level Pattern Image Note
TS28: large intestine Present RBRC_230367

Specimen RBRC_230369: postnatal adult; Prkab1tm1b(KOMP)Wtsi/Prkab1+ (more )
Structure Level Pattern Image Note
TS28: large intestine Present RBRC_230369

Specimen RBRC_230371: postnatal adult; Prkab1tm1b(KOMP)Wtsi/Prkab1+ (more )
Structure Level Pattern Image Note
TS28: lymph node Ambiguous RBRC_230371

Specimen RBRC_230373: postnatal adult; Prkab1tm1b(KOMP)Wtsi/Prkab1+ (more )
Structure Level Pattern Image Note
TS28: skin Present RBRC_230373

Specimen RBRC_230375: postnatal adult; Prkab1tm1b(KOMP)Wtsi/Prkab1+ (more )
Structure Level Pattern Image Note
TS28: skin Present RBRC_230375

Specimen RBRC_230377: postnatal adult; Prkab1tm1b(KOMP)Wtsi/Prkab1+ (more )
Structure Level Pattern Image Note
TS28: bone Ambiguous RBRC_230377

Specimen RBRC_230379: postnatal adult; Prkab1tm1b(KOMP)Wtsi/Prkab1+ (more )
Structure Level Pattern Image Note
TS28: bone Ambiguous RBRC_230379

Specimen RBRC_230381: postnatal adult; Prkab1tm1b(KOMP)Wtsi/Prkab1+ (more )
Structure Level Pattern Image Note
TS28: bone Ambiguous RBRC_230381

Specimen RBRC_230383: postnatal adult; Prkab1tm1b(KOMP)Wtsi/Prkab1+ (more )
Structure Level Pattern Image Note
TS28: quadriceps femoris muscle Present RBRC_230383

Specimen RBRC_230385: postnatal adult; Prkab1tm1b(KOMP)Wtsi/Prkab1+ (more )
Structure Level Pattern Image Note
TS28: quadriceps femoris muscle Present RBRC_230385

Specimen RBRC_230387: postnatal adult; Prkab1tm1b(KOMP)Wtsi/Prkab1+ (more )
Structure Level Pattern Image Note
TS28: bladder Present RBRC_230387

Specimen RBRC_230389: postnatal adult; Prkab1tm1b(KOMP)Wtsi/Prkab1+ (more )
Structure Level Pattern Image Note
TS28: bladder Present RBRC_230389

Specimen RBRC_230391: postnatal adult; Prkab1tm1b(KOMP)Wtsi/Prkab1+ (more )
Structure Level Pattern Image Note
TS28: penis Present RBRC_230391

Specimen RBRC_230393: postnatal adult; Prkab1tm1b(KOMP)Wtsi/Prkab1+ (more )
Structure Level Pattern Image Note
TS28: epididymis Ambiguous RBRC_230393
TS28: testis Present RBRC_230393

Specimen RBRC_230395: postnatal adult; Prkab1tm1b(KOMP)Wtsi/Prkab1+ (more )
Structure Level Pattern Image Note
TS28: testis Present RBRC_230395

Specimen RBRC_230397: postnatal adult; Prkab1tm1b(KOMP)Wtsi/Prkab1+ (more )
Structure Level Pattern Image Note
TS28: testis Present RBRC_230397

Specimen RBRC_230399: postnatal adult; Prkab1tm1b(KOMP)Wtsi/Prkab1+ (more )
Structure Level Pattern Image Note
TS28: testis Present RBRC_230399

Specimen RBRC_230401: postnatal adult; Prkab1tm1b(KOMP)Wtsi/Prkab1+ (more )
Structure Level Pattern Image Note
TS28: seminal vesicle Absent RBRC_230401 vesicular gland

Specimen RBRC_230403: postnatal adult; Prkab1tm1b(KOMP)Wtsi/Prkab1+ (more )
Structure Level Pattern Image Note
TS28: seminal vesicle Absent RBRC_230403 vesicular gland

Specimen RBRC_230405: postnatal adult; Prkab1tm1b(KOMP)Wtsi/Prkab1+ (more )
Structure Level Pattern Image Note
TS28: prostate gland Ambiguous RBRC_230405

Specimen RBRC_230407: postnatal adult; Prkab1tm1b(KOMP)Wtsi/Prkab1+ (more )
Structure Level Pattern Image Note
TS28: prostate gland Ambiguous RBRC_230407

Specimen RBRC_230409: postnatal adult; Prkab1tm1b(KOMP)Wtsi/Prkab1+ (more )
Structure Level Pattern Image Note
TS28: spinal cord Present RBRC_230409

Specimen RBRC_230411: postnatal adult; Prkab1tm1b(KOMP)Wtsi/Prkab1+ (more )
Structure Level Pattern Image Note
TS28: spinal cord Present RBRC_230411

Specimen RBRC_230413: postnatal adult; Prkab1tm1b(KOMP)Wtsi/Prkab1+ (more )
Structure Level Pattern Image Note
TS28: spinal cord Present RBRC_230413

Specimen RBRC_230415: postnatal adult; Prkab1tm1b(KOMP)Wtsi/Prkab1+ (more )
Structure Level Pattern Image Note
TS28: spinal cord Present RBRC_230415

Specimen RBRC_230417: postnatal adult; Prkab1tm1b(KOMP)Wtsi/Prkab1+ (more )
Structure Level Pattern Image Note
TS28: spinal cord Present RBRC_230417

Specimen RBRC_230419: postnatal adult; Prkab1tm1b(KOMP)Wtsi/Prkab1+ (more )
Structure Level Pattern Image Note
TS28: spinal cord Present RBRC_230419

Specimen TCP_2460249: postnatal adult; Prkab1tm1b(KOMP)Wtsi/Prkab1+ (more )
Structure Level Pattern Image Note
TS28: brain Present TCP_2460249

Specimen TCP_2460250: postnatal adult; Prkab1tm1b(KOMP)Wtsi/Prkab1+ (more )
Structure Level Pattern Image Note
TS28: cerebellum Present TCP_2460250

Specimen TCP_2460251: postnatal adult; Prkab1tm1b(KOMP)Wtsi/Prkab1+ (more )
Structure Level Pattern Image Note
TS28: eye Present TCP_2460251

Specimen TCP_2460252: postnatal adult; Prkab1tm1b(KOMP)Wtsi/Prkab1+ (more )
Structure Level Pattern Image Note
TS28: liver Present TCP_2460252

Specimen TCP_2460253: postnatal adult; Prkab1tm1b(KOMP)Wtsi/Prkab1+ (more )
Structure Level Pattern Image Note
TS28: tongue Present TCP_2460253

Specimen TCP_2460254: postnatal adult; Prkab1tm1b(KOMP)Wtsi/Prkab1+ (more )
Structure Level Pattern Image Note
TS28: spinal cord Present TCP_2460254

Specimen UC Davis_1865026: postnatal adult; Prkab1tm1b(KOMP)Wtsi/Prkab1+ (more )
Structure Level Pattern Image Note
TS28: submandibular gland Present UC Davis_1865026

Specimen UC Davis_1865027: postnatal adult; Prkab1tm1b(KOMP)Wtsi/Prkab1+ (more )
Structure Level Pattern Image Note
TS28: submandibular gland Present UC Davis_1865027

Specimen UC Davis_1865028: postnatal adult; Prkab1tm1b(KOMP)Wtsi/Prkab1+ (more )
Structure Level Pattern Image Note
TS28: trachea Present UC Davis_1865028

Specimen UC Davis_1865029: postnatal adult; Prkab1tm1b(KOMP)Wtsi/Prkab1+ (more )
Structure Level Pattern Image Note
TS28: trachea Present UC Davis_1865029

Specimen UC Davis_1865030: postnatal adult; Prkab1tm1b(KOMP)Wtsi/Prkab1+ (more )
Structure Level Pattern Image Note
TS28: esophagus Present UC Davis_1865030

Specimen UC Davis_1865031: postnatal adult; Prkab1tm1b(KOMP)Wtsi/Prkab1+ (more )
Structure Level Pattern Image Note
TS28: thyroid gland Present UC Davis_1865031

Specimen UC Davis_1865033: postnatal adult; Prkab1tm1b(KOMP)Wtsi/Prkab1+ (more )
Structure Level Pattern Image Note
TS28: aorta Present UC Davis_1865033

Specimen UC Davis_1865034: postnatal adult; Prkab1tm1b(KOMP)Wtsi/Prkab1+ (more )
Structure Level Pattern Image Note
TS28: lung Present UC Davis_1865034

Specimen UC Davis_1865035: postnatal adult; Prkab1tm1b(KOMP)Wtsi/Prkab1+ (more )
Structure Level Pattern Image Note
TS28: thymus Present UC Davis_1865035

Specimen UC Davis_1865036: postnatal adult; Prkab1tm1b(KOMP)Wtsi/Prkab1+ (more )
Structure Level Pattern Image Note
TS28: thymus Present UC Davis_1865036

Specimen UC Davis_1865039: postnatal adult; Prkab1tm1b(KOMP)Wtsi/Prkab1+ (more )
Structure Level Pattern Image Note
TS28: stomach Present UC Davis_1865039

Specimen UC Davis_1865040: postnatal adult; Prkab1tm1b(KOMP)Wtsi/Prkab1+ (more )
Structure Level Pattern Image Note
TS28: stomach Present UC Davis_1865040

Specimen UC Davis_1865041: postnatal adult; Prkab1tm1b(KOMP)Wtsi/Prkab1+ (more )
Structure Level Pattern Image Note
TS28: stomach Present UC Davis_1865041

Specimen UC Davis_1865042: postnatal adult; Prkab1tm1b(KOMP)Wtsi/Prkab1+ (more )
Structure Level Pattern Image Note
TS28: duodenum Present UC Davis_1865042

Specimen UC Davis_1865043: postnatal adult; Prkab1tm1b(KOMP)Wtsi/Prkab1+ (more )
Structure Level Pattern Image Note
TS28: duodenum Present UC Davis_1865043

Specimen UC Davis_1865044: postnatal adult; Prkab1tm1b(KOMP)Wtsi/Prkab1+ (more )
Structure Level Pattern Image Note
TS28: ileum Present UC Davis_1865044

Specimen UC Davis_1865045: postnatal adult; Prkab1tm1b(KOMP)Wtsi/Prkab1+ (more )
Structure Level Pattern Image Note
TS28: colon Present UC Davis_1865045

Specimen UC Davis_1865046: postnatal adult; Prkab1tm1b(KOMP)Wtsi/Prkab1+ (more )
Structure Level Pattern Image Note
TS28: colon Present UC Davis_1865046

Specimen UC Davis_1865047: postnatal adult; Prkab1tm1b(KOMP)Wtsi/Prkab1+ (more )
Structure Level Pattern Image Note
TS28: colon Present UC Davis_1865047

Specimen UC Davis_1865048: postnatal adult; Prkab1tm1b(KOMP)Wtsi/Prkab1+ (more )
Structure Level Pattern Image Note
TS28: pancreas Present UC Davis_1865048

Specimen UC Davis_1865049: postnatal adult; Prkab1tm1b(KOMP)Wtsi/Prkab1+ (more )
Structure Level Pattern Image Note
TS28: pancreas Present UC Davis_1865049

Specimen UC Davis_1865050: postnatal adult; Prkab1tm1b(KOMP)Wtsi/Prkab1+ (more )
Structure Level Pattern Image Note
TS28: pancreas Present UC Davis_1865050

Specimen UC Davis_1865051: postnatal adult; Prkab1tm1b(KOMP)Wtsi/Prkab1+ (more )
Structure Level Pattern Image Note
TS28: metanephros Present UC Davis_1865051 kidney

Specimen UC Davis_1865052: postnatal adult; Prkab1tm1b(KOMP)Wtsi/Prkab1+ (more )
Structure Level Pattern Image Note
TS28: metanephros Present UC Davis_1865052 kidney

Specimen UC Davis_1865053: postnatal adult; Prkab1tm1b(KOMP)Wtsi/Prkab1+ (more )
Structure Level Pattern Image Note
TS28: metanephros Present UC Davis_1865053 kidney

Specimen UC Davis_1865054: postnatal adult; Prkab1tm1b(KOMP)Wtsi/Prkab1+ (more )
Structure Level Pattern Image Note
TS28: tongue Present UC Davis_1865054

Specimen UC Davis_1865055: postnatal adult; Prkab1tm1b(KOMP)Wtsi/Prkab1+ (more )
Structure Level Pattern Image Note
TS28: tongue Present UC Davis_1865055

Specimen UC Davis_1865056: postnatal adult; Prkab1tm1b(KOMP)Wtsi/Prkab1+ (more )
Structure Level Pattern Image Note
TS28: adrenal gland Present UC Davis_1865056

Specimen UC Davis_1865057: postnatal adult; Prkab1tm1b(KOMP)Wtsi/Prkab1+ (more )
Structure Level Pattern Image Note
TS28: adrenal gland Present UC Davis_1865057

Specimen UC Davis_1865058: postnatal adult; Prkab1tm1b(KOMP)Wtsi/Prkab1+ (more )
Structure Level Pattern Image Note
TS28: adrenal gland Present UC Davis_1865058

Specimen UC Davis_1865059: postnatal adult; Prkab1tm1b(KOMP)Wtsi/Prkab1+ (more )
Structure Level Pattern Image Note
TS28: pituitary gland Present UC Davis_1865059

Specimen UC Davis_1865060: postnatal adult; Prkab1tm1b(KOMP)Wtsi/Prkab1+ (more )
Structure Level Pattern Image Note
TS28: pituitary gland Present UC Davis_1865060

Specimen UC Davis_1865061: postnatal adult; Prkab1tm1b(KOMP)Wtsi/Prkab1+ (more )
Structure Level Pattern Image Note
TS28: spinal cord Present UC Davis_1865061

Specimen UC Davis_1865062: postnatal adult; Prkab1tm1b(KOMP)Wtsi/Prkab1+ (more )
Structure Level Pattern Image Note
TS28: spinal cord Present UC Davis_1865062

Specimen UC Davis_1865063: postnatal adult; Prkab1tm1b(KOMP)Wtsi/Prkab1+ (more )
Structure Level Pattern Image Note
TS28: eye Present UC Davis_1865063

Specimen UC Davis_1865064: postnatal adult; Prkab1tm1b(KOMP)Wtsi/Prkab1+ (more )
Structure Level Pattern Image Note
TS28: eye Present UC Davis_1865064

Specimen UC Davis_1865065: postnatal adult; Prkab1tm1b(KOMP)Wtsi/Prkab1+ (more )
Structure Level Pattern Image Note
TS28: eye Present UC Davis_1865065

Specimen UC Davis_1865066: postnatal adult; Prkab1tm1b(KOMP)Wtsi/Prkab1+ (more )
Structure Level Pattern Image Note
TS28: brown fat Present UC Davis_1865066

Specimen UC Davis_1865067: postnatal adult; Prkab1tm1b(KOMP)Wtsi/Prkab1+ (more )
Structure Level Pattern Image Note
TS28: olfactory lobe Present UC Davis_1865067

Specimen UC Davis_1865069: postnatal adult; Prkab1tm1b(KOMP)Wtsi/Prkab1+ (more )
Structure Level Pattern Image Note
TS28: midbrain Present UC Davis_1865069

Specimen UC Davis_1865071: postnatal adult; Prkab1tm1b(KOMP)Wtsi/Prkab1+ (more )
Structure Level Pattern Image Note
TS28: cerebellum Present UC Davis_1865071

Specimen UC Davis_1865072: postnatal adult; Prkab1tm1b(KOMP)Wtsi/Prkab1+ (more )
Structure Level Pattern Image Note
TS28: trigeminal nerve Present UC Davis_1865072

Specimen UC Davis_1865073: postnatal adult; Prkab1tm1b(KOMP)Wtsi/Prkab1+ (more )
Structure Level Pattern Image Note
TS28: trigeminal nerve Present UC Davis_1865073

Specimen UC Davis_1865074: postnatal adult; Prkab1tm1b(KOMP)Wtsi/Prkab1+ (more )
Structure Level Pattern Image Note
TS28: bladder Present UC Davis_1865074

Specimen UC Davis_1865075: postnatal adult; Prkab1tm1b(KOMP)Wtsi/Prkab1+ (more )
Structure Level Pattern Image Note
TS28: testis Present UC Davis_1865075

Specimen UC Davis_1865076: postnatal adult; Prkab1tm1b(KOMP)Wtsi/Prkab1+ (more )
Structure Level Pattern Image Note
TS28: testis Present UC Davis_1865076

Specimen UC Davis_1865077: postnatal adult; Prkab1tm1b(KOMP)Wtsi/Prkab1+ (more )
Structure Level Pattern Image Note
TS28: epididymis Present UC Davis_1865077

Specimen UC Davis_1865078: postnatal adult; Prkab1tm1b(KOMP)Wtsi/Prkab1+ (more )
Structure Level Pattern Image Note
TS28: epididymis Present UC Davis_1865078

Specimen UC Davis_1865079: postnatal adult; Prkab1tm1b(KOMP)Wtsi/Prkab1+ (more )
Structure Level Pattern Image Note
TS28: epididymis Present UC Davis_1865079

Specimen UC Davis_1865080: postnatal adult; Prkab1tm1b(KOMP)Wtsi/Prkab1+ (more )
Structure Level Pattern Image Note
TS28: prostate gland Present UC Davis_1865080

Specimen UC Davis_1865081: postnatal adult; Prkab1tm1b(KOMP)Wtsi/Prkab1+ (more )
Structure Level Pattern Image Note
TS28: penis Present UC Davis_1865081

Specimen UC Davis_1865082: postnatal adult; Prkab1tm1b(KOMP)Wtsi/Prkab1+ (more )
Structure Level Pattern Image Note
TS28: penis Present UC Davis_1865082

Specimen UC Davis_1865083: postnatal adult; Prkab1tm1b(KOMP)Wtsi/Prkab1+ (more )
Structure Level Pattern Image Note
TS28: penis Present UC Davis_1865083

Specimen UC Davis_1865085: postnatal adult; Prkab1tm1b(KOMP)Wtsi/Prkab1+ (more )
Structure Level Pattern Image Note
TS28: ductus deferens Present UC Davis_1865085 vas deferens

Specimen UC Davis_1865086: postnatal adult; Prkab1tm1b(KOMP)Wtsi/Prkab1+ (more )
Structure Level Pattern Image Note
TS28: ductus deferens Present UC Davis_1865086 vas deferens

Specimen RBRC_230421: postnatal adult; Prkab1tm1b(KOMP)Wtsi/Prkab1tm1b(KOMP)Wtsi (more )
Structure Level Pattern Image Note
TS28: main olfactory bulb Present RBRC_230421

Specimen RBRC_230423: postnatal adult; Prkab1tm1b(KOMP)Wtsi/Prkab1tm1b(KOMP)Wtsi (more )
Structure Level Pattern Image Note
TS28: main olfactory bulb Present RBRC_230423

Specimen RBRC_230425: postnatal adult; Prkab1tm1b(KOMP)Wtsi/Prkab1tm1b(KOMP)Wtsi (more )
Structure Level Pattern Image Note
TS28: main olfactory bulb Present RBRC_230425

Specimen RBRC_230427: postnatal adult; Prkab1tm1b(KOMP)Wtsi/Prkab1tm1b(KOMP)Wtsi (more )
Structure Level Pattern Image Note
TS28: main olfactory bulb Present RBRC_230427

Specimen RBRC_230429: postnatal adult; Prkab1tm1b(KOMP)Wtsi/Prkab1tm1b(KOMP)Wtsi (more )
Structure Level Pattern Image Note
TS28: brain Present RBRC_230429

Specimen RBRC_230431: postnatal adult; Prkab1tm1b(KOMP)Wtsi/Prkab1tm1b(KOMP)Wtsi (more )
Structure Level Pattern Image Note
TS28: brain Present RBRC_230431

Specimen RBRC_230433: postnatal adult; Prkab1tm1b(KOMP)Wtsi/Prkab1tm1b(KOMP)Wtsi (more )
Structure Level Pattern Image Note
TS28: brain Present RBRC_230433

Specimen RBRC_230435: postnatal adult; Prkab1tm1b(KOMP)Wtsi/Prkab1tm1b(KOMP)Wtsi (more )
Structure Level Pattern Image Note
TS28: brain Present RBRC_230435

Specimen RBRC_230437: postnatal adult; Prkab1tm1b(KOMP)Wtsi/Prkab1tm1b(KOMP)Wtsi (more )
Structure Level Pattern Image Note
TS28: brain Present RBRC_230437

Specimen RBRC_230439: postnatal adult; Prkab1tm1b(KOMP)Wtsi/Prkab1tm1b(KOMP)Wtsi (more )
Structure Level Pattern Image Note
TS28: brain Present RBRC_230439

Specimen RBRC_230441: postnatal adult; Prkab1tm1b(KOMP)Wtsi/Prkab1tm1b(KOMP)Wtsi (more )
Structure Level Pattern Image Note
TS28: brain Present RBRC_230441

Specimen RBRC_230443: postnatal adult; Prkab1tm1b(KOMP)Wtsi/Prkab1tm1b(KOMP)Wtsi (more )
Structure Level Pattern Image Note
TS28: brain Present RBRC_230443

Specimen RBRC_230445: postnatal adult; Prkab1tm1b(KOMP)Wtsi/Prkab1tm1b(KOMP)Wtsi (more )
Structure Level Pattern Image Note
TS28: brain Present RBRC_230445

Specimen RBRC_230447: postnatal adult; Prkab1tm1b(KOMP)Wtsi/Prkab1tm1b(KOMP)Wtsi (more )
Structure Level Pattern Image Note
TS28: brain Present RBRC_230447

Specimen RBRC_230449: postnatal adult; Prkab1tm1b(KOMP)Wtsi/Prkab1tm1b(KOMP)Wtsi (more )
Structure Level Pattern Image Note
TS28: brain Present RBRC_230449

Specimen RBRC_230451: postnatal adult; Prkab1tm1b(KOMP)Wtsi/Prkab1tm1b(KOMP)Wtsi (more )
Structure Level Pattern Image Note
TS28: brain Present RBRC_230451

Specimen RBRC_230453: postnatal adult; Prkab1tm1b(KOMP)Wtsi/Prkab1tm1b(KOMP)Wtsi (more )
Structure Level Pattern Image Note
TS28: brain Present RBRC_230453

Specimen RBRC_230455: postnatal adult; Prkab1tm1b(KOMP)Wtsi/Prkab1tm1b(KOMP)Wtsi (more )
Structure Level Pattern Image Note
TS28: brain Present RBRC_230455

Specimen RBRC_230457: postnatal adult; Prkab1tm1b(KOMP)Wtsi/Prkab1tm1b(KOMP)Wtsi (more )
Structure Level Pattern Image Note
TS28: brain Present RBRC_230457

Specimen RBRC_230459: postnatal adult; Prkab1tm1b(KOMP)Wtsi/Prkab1tm1b(KOMP)Wtsi (more )
Structure Level Pattern Image Note
TS28: brain Present RBRC_230459

Specimen RBRC_230461: postnatal adult; Prkab1tm1b(KOMP)Wtsi/Prkab1tm1b(KOMP)Wtsi (more )
Structure Level Pattern Image Note
TS28: brain Present RBRC_230461

Specimen RBRC_230463: postnatal adult; Prkab1tm1b(KOMP)Wtsi/Prkab1tm1b(KOMP)Wtsi (more )
Structure Level Pattern Image Note
TS28: brain Present RBRC_230463

Specimen RBRC_230465: postnatal adult; Prkab1tm1b(KOMP)Wtsi/Prkab1tm1b(KOMP)Wtsi (more )
Structure Level Pattern Image Note
TS28: brain Present RBRC_230465

Specimen RBRC_230467: postnatal adult; Prkab1tm1b(KOMP)Wtsi/Prkab1tm1b(KOMP)Wtsi (more )
Structure Level Pattern Image Note
TS28: brain Present RBRC_230467

Specimen RBRC_230469: postnatal adult; Prkab1tm1b(KOMP)Wtsi/Prkab1tm1b(KOMP)Wtsi (more )
Structure Level Pattern Image Note
TS28: brain Present RBRC_230469

Specimen RBRC_230471: postnatal adult; Prkab1tm1b(KOMP)Wtsi/Prkab1tm1b(KOMP)Wtsi (more )
Structure Level Pattern Image Note
TS28: brain Present RBRC_230471

Specimen RBRC_230473: postnatal adult; Prkab1tm1b(KOMP)Wtsi/Prkab1tm1b(KOMP)Wtsi (more )
Structure Level Pattern Image Note
TS28: brain Present RBRC_230473

Specimen RBRC_230475: postnatal adult; Prkab1tm1b(KOMP)Wtsi/Prkab1tm1b(KOMP)Wtsi (more )
Structure Level Pattern Image Note
TS28: brain Present RBRC_230475

Specimen RBRC_230477: postnatal adult; Prkab1tm1b(KOMP)Wtsi/Prkab1tm1b(KOMP)Wtsi (more )
Structure Level Pattern Image Note
TS28: brain Present RBRC_230477

Specimen RBRC_230479: postnatal adult; Prkab1tm1b(KOMP)Wtsi/Prkab1tm1b(KOMP)Wtsi (more )
Structure Level Pattern Image Note
TS28: brain Present RBRC_230479

Specimen RBRC_230481: postnatal adult; Prkab1tm1b(KOMP)Wtsi/Prkab1tm1b(KOMP)Wtsi (more )
Structure Level Pattern Image Note
TS28: brain Present RBRC_230481

Specimen RBRC_230483: postnatal adult; Prkab1tm1b(KOMP)Wtsi/Prkab1tm1b(KOMP)Wtsi (more )
Structure Level Pattern Image Note
TS28: brain Present RBRC_230483

Specimen RBRC_230485: postnatal adult; Prkab1tm1b(KOMP)Wtsi/Prkab1tm1b(KOMP)Wtsi (more )
Structure Level Pattern Image Note
TS28: brain Present RBRC_230485

Specimen RBRC_230487: postnatal adult; Prkab1tm1b(KOMP)Wtsi/Prkab1tm1b(KOMP)Wtsi (more )
Structure Level Pattern Image Note
TS28: brain Present RBRC_230487

Specimen RBRC_230489: postnatal adult; Prkab1tm1b(KOMP)Wtsi/Prkab1tm1b(KOMP)Wtsi (more )
Structure Level Pattern Image Note
TS28: brain Present RBRC_230489

Specimen RBRC_230491: postnatal adult; Prkab1tm1b(KOMP)Wtsi/Prkab1tm1b(KOMP)Wtsi (more )
Structure Level Pattern Image Note
TS28: brain Present RBRC_230491

Specimen RBRC_230493: postnatal adult; Prkab1tm1b(KOMP)Wtsi/Prkab1tm1b(KOMP)Wtsi (more )
Structure Level Pattern Image Note
TS28: brain Present RBRC_230493

Specimen RBRC_230495: postnatal adult; Prkab1tm1b(KOMP)Wtsi/Prkab1tm1b(KOMP)Wtsi (more )
Structure Level Pattern Image Note
TS28: brain Present RBRC_230495

Specimen RBRC_230497: postnatal adult; Prkab1tm1b(KOMP)Wtsi/Prkab1tm1b(KOMP)Wtsi (more )
Structure Level Pattern Image Note
TS28: brain Present RBRC_230497

Specimen RBRC_230499: postnatal adult; Prkab1tm1b(KOMP)Wtsi/Prkab1tm1b(KOMP)Wtsi (more )
Structure Level Pattern Image Note
TS28: brain Present RBRC_230499

Specimen RBRC_230501: postnatal adult; Prkab1tm1b(KOMP)Wtsi/Prkab1tm1b(KOMP)Wtsi (more )
Structure Level Pattern Image Note
TS28: brain Present RBRC_230501

Specimen RBRC_230503: postnatal adult; Prkab1tm1b(KOMP)Wtsi/Prkab1tm1b(KOMP)Wtsi (more )
Structure Level Pattern Image Note
TS28: brain Present RBRC_230503

Specimen RBRC_230505: postnatal adult; Prkab1tm1b(KOMP)Wtsi/Prkab1tm1b(KOMP)Wtsi (more )
Structure Level Pattern Image Note
TS28: brain Present RBRC_230505

Specimen RBRC_230507: postnatal adult; Prkab1tm1b(KOMP)Wtsi/Prkab1tm1b(KOMP)Wtsi (more )
Structure Level Pattern Image Note
TS28: brain Present RBRC_230507

Specimen RBRC_230509: postnatal adult; Prkab1tm1b(KOMP)Wtsi/Prkab1tm1b(KOMP)Wtsi (more )
Structure Level Pattern Image Note
TS28: brain Present RBRC_230509

Specimen RBRC_230511: postnatal adult; Prkab1tm1b(KOMP)Wtsi/Prkab1tm1b(KOMP)Wtsi (more )
Structure Level Pattern Image Note
TS28: brain Present RBRC_230511

Specimen RBRC_230513: postnatal adult; Prkab1tm1b(KOMP)Wtsi/Prkab1tm1b(KOMP)Wtsi (more )
Structure Level Pattern Image Note
TS28: brain Present RBRC_230513

Specimen RBRC_230515: postnatal adult; Prkab1tm1b(KOMP)Wtsi/Prkab1tm1b(KOMP)Wtsi (more )
Structure Level Pattern Image Note
TS28: pituitary gland Present RBRC_230515
TS28: trigeminal nerve Present RBRC_230515

Specimen RBRC_230517: postnatal adult; Prkab1tm1b(KOMP)Wtsi/Prkab1tm1b(KOMP)Wtsi (more )
Structure Level Pattern Image Note
TS28: pituitary gland Present RBRC_230517

Specimen RBRC_230519: postnatal adult; Prkab1tm1b(KOMP)Wtsi/Prkab1tm1b(KOMP)Wtsi (more )
Structure Level Pattern Image Note
TS28: thoracic segment skeleton Present RBRC_230519 chest bone

Specimen RBRC_230521: postnatal adult; Prkab1tm1b(KOMP)Wtsi/Prkab1tm1b(KOMP)Wtsi (more )
Structure Level Pattern Image Note
TS28: thoracic segment skeleton Present RBRC_230521 chest bone

Specimen RBRC_230523: postnatal adult; Prkab1tm1b(KOMP)Wtsi/Prkab1tm1b(KOMP)Wtsi (more )
Structure Level Pattern Image Note
TS28: Harderian gland Ambiguous RBRC_230523

Specimen RBRC_230525: postnatal adult; Prkab1tm1b(KOMP)Wtsi/Prkab1tm1b(KOMP)Wtsi (more )
Structure Level Pattern Image Note
TS28: eye Ambiguous RBRC_230525

Specimen RBRC_230527: postnatal adult; Prkab1tm1b(KOMP)Wtsi/Prkab1tm1b(KOMP)Wtsi (more )
Structure Level Pattern Image Note
TS28: sublingual gland Ambiguous RBRC_230527
TS28: submandibular gland Ambiguous RBRC_230527

Specimen RBRC_230529: postnatal adult; Prkab1tm1b(KOMP)Wtsi/Prkab1tm1b(KOMP)Wtsi (more )
Structure Level Pattern Image Note
TS28: parotid gland Ambiguous RBRC_230529

Specimen RBRC_230531: postnatal adult; Prkab1tm1b(KOMP)Wtsi/Prkab1tm1b(KOMP)Wtsi (more )
Structure Level Pattern Image Note
TS28: parathyroid gland Ambiguous RBRC_230531
TS28: thyroid gland Ambiguous RBRC_230531

Specimen RBRC_230533: postnatal adult; Prkab1tm1b(KOMP)Wtsi/Prkab1tm1b(KOMP)Wtsi (more )
Structure Level Pattern Image Note
TS28: trachea Present RBRC_230533

Specimen RBRC_230535: postnatal adult; Prkab1tm1b(KOMP)Wtsi/Prkab1tm1b(KOMP)Wtsi (more )
Structure Level Pattern Image Note
TS28: lung Present RBRC_230535

Specimen RBRC_230537: postnatal adult; Prkab1tm1b(KOMP)Wtsi/Prkab1tm1b(KOMP)Wtsi (more )
Structure Level Pattern Image Note
TS28: lung Present RBRC_230537

Specimen RBRC_230539: postnatal adult; Prkab1tm1b(KOMP)Wtsi/Prkab1tm1b(KOMP)Wtsi (more )
Structure Level Pattern Image Note
TS28: tongue Present RBRC_230539

Specimen RBRC_230541: postnatal adult; Prkab1tm1b(KOMP)Wtsi/Prkab1tm1b(KOMP)Wtsi (more )
Structure Level Pattern Image Note
TS28: tongue Present RBRC_230541

Specimen RBRC_230543: postnatal adult; Prkab1tm1b(KOMP)Wtsi/Prkab1tm1b(KOMP)Wtsi (more )
Structure Level Pattern Image Note
TS28: tongue Present RBRC_230543

Specimen RBRC_230545: postnatal adult; Prkab1tm1b(KOMP)Wtsi/Prkab1tm1b(KOMP)Wtsi (more )
Structure Level Pattern Image Note
TS28: esophagus Present RBRC_230545

Specimen RBRC_230547: postnatal adult; Prkab1tm1b(KOMP)Wtsi/Prkab1tm1b(KOMP)Wtsi (more )
Structure Level Pattern Image Note
TS28: aorta Present RBRC_230547

Specimen RBRC_230549: postnatal adult; Prkab1tm1b(KOMP)Wtsi/Prkab1tm1b(KOMP)Wtsi (more )
Structure Level Pattern Image Note
TS28: thymus Present RBRC_230549

Specimen RBRC_230551: postnatal adult; Prkab1tm1b(KOMP)Wtsi/Prkab1tm1b(KOMP)Wtsi (more )
Structure Level Pattern Image Note
TS28: thymus Present RBRC_230551

Specimen RBRC_230553: postnatal adult; Prkab1tm1b(KOMP)Wtsi/Prkab1tm1b(KOMP)Wtsi (more )
Structure Level Pattern Image Note
TS28: thymus Present RBRC_230553

Specimen RBRC_230555: postnatal adult; Prkab1tm1b(KOMP)Wtsi/Prkab1tm1b(KOMP)Wtsi (more )
Structure Level Pattern Image Note
TS28: heart Present RBRC_230555

Specimen RBRC_230557: postnatal adult; Prkab1tm1b(KOMP)Wtsi/Prkab1tm1b(KOMP)Wtsi (more )
Structure Level Pattern Image Note
TS28: heart Present RBRC_230557

Specimen RBRC_230559: postnatal adult; Prkab1tm1b(KOMP)Wtsi/Prkab1tm1b(KOMP)Wtsi (more )
Structure Level Pattern Image Note
TS28: heart Present RBRC_230559

Specimen RBRC_230561: postnatal adult; Prkab1tm1b(KOMP)Wtsi/Prkab1tm1b(KOMP)Wtsi (more )
Structure Level Pattern Image Note
TS28: heart Present RBRC_230561

Specimen RBRC_230563: postnatal adult; Prkab1tm1b(KOMP)Wtsi/Prkab1tm1b(KOMP)Wtsi (more )
Structure Level Pattern Image Note
TS28: heart Present RBRC_230563

Specimen RBRC_230565: postnatal adult; Prkab1tm1b(KOMP)Wtsi/Prkab1tm1b(KOMP)Wtsi (more )
Structure Level Pattern Image Note
TS28: heart Present RBRC_230565

Specimen RBRC_230567: postnatal adult; Prkab1tm1b(KOMP)Wtsi/Prkab1tm1b(KOMP)Wtsi (more )
Structure Level Pattern Image Note
TS28: diaphragm Present RBRC_230567

Specimen RBRC_230569: postnatal adult; Prkab1tm1b(KOMP)Wtsi/Prkab1tm1b(KOMP)Wtsi (more )
Structure Level Pattern Image Note
TS28: diaphragm Present RBRC_230569

Specimen RBRC_230571: postnatal adult; Prkab1tm1b(KOMP)Wtsi/Prkab1tm1b(KOMP)Wtsi (more )
Structure Level Pattern Image Note
TS28: gallbladder Ambiguous RBRC_230571

Specimen RBRC_230573: postnatal adult; Prkab1tm1b(KOMP)Wtsi/Prkab1tm1b(KOMP)Wtsi (more )
Structure Level Pattern Image Note
TS28: liver Present RBRC_230573

Specimen RBRC_230575: postnatal adult; Prkab1tm1b(KOMP)Wtsi/Prkab1tm1b(KOMP)Wtsi (more )
Structure Level Pattern Image Note
TS28: liver Present RBRC_230575

Specimen RBRC_230577: postnatal adult; Prkab1tm1b(KOMP)Wtsi/Prkab1tm1b(KOMP)Wtsi (more )
Structure Level Pattern Image Note
TS28: spleen Ambiguous RBRC_230577

Specimen RBRC_230579: postnatal adult; Prkab1tm1b(KOMP)Wtsi/Prkab1tm1b(KOMP)Wtsi (more )
Structure Level Pattern Image Note
TS28: oral epithelium Present RBRC_230579

Specimen RBRC_230581: postnatal adult; Prkab1tm1b(KOMP)Wtsi/Prkab1tm1b(KOMP)Wtsi (more )
Structure Level Pattern Image Note
TS28: pancreas Present RBRC_230581

Specimen RBRC_230583: postnatal adult; Prkab1tm1b(KOMP)Wtsi/Prkab1tm1b(KOMP)Wtsi (more )
Structure Level Pattern Image Note
TS28: pancreas Present RBRC_230583

Specimen RBRC_230585: postnatal adult; Prkab1tm1b(KOMP)Wtsi/Prkab1tm1b(KOMP)Wtsi (more )
Structure Level Pattern Image Note
TS28: mesenteric adipose tissue Ambiguous RBRC_230585

Specimen RBRC_230587: postnatal adult; Prkab1tm1b(KOMP)Wtsi/Prkab1tm1b(KOMP)Wtsi (more )
Structure Level Pattern Image Note
TS28: mesenteric lymph node Ambiguous RBRC_230587

Specimen RBRC_230589: postnatal adult; Prkab1tm1b(KOMP)Wtsi/Prkab1tm1b(KOMP)Wtsi (more )
Structure Level Pattern Image Note
TS28: adrenal gland Present RBRC_230589

Specimen RBRC_230591: postnatal adult; Prkab1tm1b(KOMP)Wtsi/Prkab1tm1b(KOMP)Wtsi (more )
Structure Level Pattern Image Note
TS28: metanephros Present RBRC_230591 kidney

Specimen RBRC_230593: postnatal adult; Prkab1tm1b(KOMP)Wtsi/Prkab1tm1b(KOMP)Wtsi (more )
Structure Level Pattern Image Note
TS28: metanephros Present RBRC_230593 kidney

Specimen RBRC_230595: postnatal adult; Prkab1tm1b(KOMP)Wtsi/Prkab1tm1b(KOMP)Wtsi (more )
Structure Level Pattern Image Note
TS28: metanephros Present RBRC_230595 kidney

Specimen RBRC_230597: postnatal adult; Prkab1tm1b(KOMP)Wtsi/Prkab1tm1b(KOMP)Wtsi (more )
Structure Level Pattern Image Note
TS28: metanephros Present RBRC_230597 kidney

Specimen RBRC_230599: postnatal adult; Prkab1tm1b(KOMP)Wtsi/Prkab1tm1b(KOMP)Wtsi (more )
Structure Level Pattern Image Note
TS28: metanephros Present RBRC_230599 kidney

Specimen RBRC_230601: postnatal adult; Prkab1tm1b(KOMP)Wtsi/Prkab1tm1b(KOMP)Wtsi (more )
Structure Level Pattern Image Note
TS28: metanephros Present RBRC_230601 kidney

Specimen RBRC_230603: postnatal adult; Prkab1tm1b(KOMP)Wtsi/Prkab1tm1b(KOMP)Wtsi (more )
Structure Level Pattern Image Note
TS28: stomach Present RBRC_230603

Specimen RBRC_230605: postnatal adult; Prkab1tm1b(KOMP)Wtsi/Prkab1tm1b(KOMP)Wtsi (more )
Structure Level Pattern Image Note
TS28: stomach Present RBRC_230605

Specimen RBRC_230607: postnatal adult; Prkab1tm1b(KOMP)Wtsi/Prkab1tm1b(KOMP)Wtsi (more )
Structure Level Pattern Image Note
TS28: stomach Present RBRC_230607

Specimen RBRC_230609: postnatal adult; Prkab1tm1b(KOMP)Wtsi/Prkab1tm1b(KOMP)Wtsi (more )
Structure Level Pattern Image Note
TS28: stomach Present RBRC_230609

Specimen RBRC_230611: postnatal adult; Prkab1tm1b(KOMP)Wtsi/Prkab1tm1b(KOMP)Wtsi (more )
Structure Level Pattern Image Note
TS28: stomach Present RBRC_230611

Specimen RBRC_230613: postnatal adult; Prkab1tm1b(KOMP)Wtsi/Prkab1tm1b(KOMP)Wtsi (more )
Structure Level Pattern Image Note
TS28: stomach Present RBRC_230613

Specimen RBRC_230615: postnatal adult; Prkab1tm1b(KOMP)Wtsi/Prkab1tm1b(KOMP)Wtsi (more )
Structure Level Pattern Image Note
TS28: duodenum Present RBRC_230615

Specimen RBRC_230617: postnatal adult; Prkab1tm1b(KOMP)Wtsi/Prkab1tm1b(KOMP)Wtsi (more )
Structure Level Pattern Image Note
TS28: duodenum Present RBRC_230617

Specimen RBRC_230619: postnatal adult; Prkab1tm1b(KOMP)Wtsi/Prkab1tm1b(KOMP)Wtsi (more )
Structure Level Pattern Image Note
TS28: duodenum Present RBRC_230619

Specimen RBRC_230621: postnatal adult; Prkab1tm1b(KOMP)Wtsi/Prkab1tm1b(KOMP)Wtsi (more )
Structure Level Pattern Image Note
TS28: jejunum Present RBRC_230621

Specimen RBRC_230623: postnatal adult; Prkab1tm1b(KOMP)Wtsi/Prkab1tm1b(KOMP)Wtsi (more )
Structure Level Pattern Image Note
TS28: jejunum Present RBRC_230623

Specimen RBRC_230625: postnatal adult; Prkab1tm1b(KOMP)Wtsi/Prkab1tm1b(KOMP)Wtsi (more )
Structure Level Pattern Image Note
TS28: jejunum Present RBRC_230625

Specimen RBRC_230627: postnatal adult; Prkab1tm1b(KOMP)Wtsi/Prkab1tm1b(KOMP)Wtsi (more )
Structure Level Pattern Image Note
TS28: ileum Present RBRC_230627

Specimen RBRC_230629: postnatal adult; Prkab1tm1b(KOMP)Wtsi/Prkab1tm1b(KOMP)Wtsi (more )
Structure Level Pattern Image Note
TS28: ileum Present RBRC_230629

Specimen RBRC_230631: postnatal adult; Prkab1tm1b(KOMP)Wtsi/Prkab1tm1b(KOMP)Wtsi (more )
Structure Level Pattern Image Note
TS28: ileum Present RBRC_230631

Specimen RBRC_230633: postnatal adult; Prkab1tm1b(KOMP)Wtsi/Prkab1tm1b(KOMP)Wtsi (more )
Structure Level Pattern Image Note
TS28: cecum Present RBRC_230633

Specimen RBRC_230635: postnatal adult; Prkab1tm1b(KOMP)Wtsi/Prkab1tm1b(KOMP)Wtsi (more )
Structure Level Pattern Image Note
TS28: cecum Present RBRC_230635

Specimen RBRC_230637: postnatal adult; Prkab1tm1b(KOMP)Wtsi/Prkab1tm1b(KOMP)Wtsi (more )
Structure Level Pattern Image Note
TS28: cecum Present RBRC_230637

Specimen RBRC_230639: postnatal adult; Prkab1tm1b(KOMP)Wtsi/Prkab1tm1b(KOMP)Wtsi (more )
Structure Level Pattern Image Note
TS28: large intestine Present RBRC_230639

Specimen RBRC_230641: postnatal adult; Prkab1tm1b(KOMP)Wtsi/Prkab1tm1b(KOMP)Wtsi (more )
Structure Level Pattern Image Note
TS28: large intestine Present RBRC_230641

Specimen RBRC_230643: postnatal adult; Prkab1tm1b(KOMP)Wtsi/Prkab1tm1b(KOMP)Wtsi (more )
Structure Level Pattern Image Note
TS28: large intestine Present RBRC_230643

Specimen RBRC_230645: postnatal adult; Prkab1tm1b(KOMP)Wtsi/Prkab1tm1b(KOMP)Wtsi (more )
Structure Level Pattern Image Note
TS28: sciatic nerve Ambiguous RBRC_230645

Specimen RBRC_230647: postnatal adult; Prkab1tm1b(KOMP)Wtsi/Prkab1tm1b(KOMP)Wtsi (more )
Structure Level Pattern Image Note
TS28: lymph node Ambiguous RBRC_230647

Specimen RBRC_230649: postnatal adult; Prkab1tm1b(KOMP)Wtsi/Prkab1tm1b(KOMP)Wtsi (more )
Structure Level Pattern Image Note
TS28: skin Present RBRC_230649

Specimen RBRC_230651: postnatal adult; Prkab1tm1b(KOMP)Wtsi/Prkab1tm1b(KOMP)Wtsi (more )
Structure Level Pattern Image Note
TS28: skin Present RBRC_230651

Specimen RBRC_230653: postnatal adult; Prkab1tm1b(KOMP)Wtsi/Prkab1tm1b(KOMP)Wtsi (more )
Structure Level Pattern Image Note
TS28: bone Ambiguous RBRC_230653

Specimen RBRC_230655: postnatal adult; Prkab1tm1b(KOMP)Wtsi/Prkab1tm1b(KOMP)Wtsi (more )
Structure Level Pattern Image Note
TS28: bone Ambiguous RBRC_230655

Specimen RBRC_230657: postnatal adult; Prkab1tm1b(KOMP)Wtsi/Prkab1tm1b(KOMP)Wtsi (more )
Structure Level Pattern Image Note
TS28: bone Ambiguous RBRC_230657

Specimen RBRC_230659: postnatal adult; Prkab1tm1b(KOMP)Wtsi/Prkab1tm1b(KOMP)Wtsi (more )
Structure Level Pattern Image Note
TS28: quadriceps femoris muscle Present RBRC_230659

Specimen RBRC_230661: postnatal adult; Prkab1tm1b(KOMP)Wtsi/Prkab1tm1b(KOMP)Wtsi (more )
Structure Level Pattern Image Note
TS28: quadriceps femoris muscle Present RBRC_230661

Specimen RBRC_230663: postnatal adult; Prkab1tm1b(KOMP)Wtsi/Prkab1tm1b(KOMP)Wtsi (more )
Structure Level Pattern Image Note
TS28: bladder Present RBRC_230663

Specimen RBRC_230665: postnatal adult; Prkab1tm1b(KOMP)Wtsi/Prkab1tm1b(KOMP)Wtsi (more )
Structure Level Pattern Image Note
TS28: bladder Present RBRC_230665

Specimen RBRC_230667: postnatal adult; Prkab1tm1b(KOMP)Wtsi/Prkab1tm1b(KOMP)Wtsi (more )
Structure Level Pattern Image Note
TS28: bladder Present RBRC_230667

Specimen RBRC_230669: postnatal adult; Prkab1tm1b(KOMP)Wtsi/Prkab1tm1b(KOMP)Wtsi (more )
Structure Level Pattern Image Note
TS28: penis Present RBRC_230669

Specimen RBRC_230671: postnatal adult; Prkab1tm1b(KOMP)Wtsi/Prkab1tm1b(KOMP)Wtsi (more )
Structure Level Pattern Image Note
TS28: penis Present RBRC_230671

Specimen RBRC_230673: postnatal adult; Prkab1tm1b(KOMP)Wtsi/Prkab1tm1b(KOMP)Wtsi (more )
Structure Level Pattern Image Note
TS28: epididymis Ambiguous RBRC_230673
TS28: testis Present RBRC_230673

Specimen RBRC_230675: postnatal adult; Prkab1tm1b(KOMP)Wtsi/Prkab1tm1b(KOMP)Wtsi (more )
Structure Level Pattern Image Note
TS28: testis Present RBRC_230675

Specimen RBRC_230677: postnatal adult; Prkab1tm1b(KOMP)Wtsi/Prkab1tm1b(KOMP)Wtsi (more )
Structure Level Pattern Image Note
TS28: testis Present RBRC_230677

Specimen RBRC_230679: postnatal adult; Prkab1tm1b(KOMP)Wtsi/Prkab1tm1b(KOMP)Wtsi (more )
Structure Level Pattern Image Note
TS28: testis Present RBRC_230679

Specimen RBRC_230681: postnatal adult; Prkab1tm1b(KOMP)Wtsi/Prkab1tm1b(KOMP)Wtsi (more )
Structure Level Pattern Image Note
TS28: testis Present RBRC_230681

Specimen RBRC_230683: postnatal adult; Prkab1tm1b(KOMP)Wtsi/Prkab1tm1b(KOMP)Wtsi (more )
Structure Level Pattern Image Note
TS28: seminal vesicle Ambiguous RBRC_230683 vesicular gland

Specimen RBRC_230685: postnatal adult; Prkab1tm1b(KOMP)Wtsi/Prkab1tm1b(KOMP)Wtsi (more )
Structure Level Pattern Image Note
TS28: seminal vesicle Ambiguous RBRC_230685 vesicular gland

Specimen RBRC_230687: postnatal adult; Prkab1tm1b(KOMP)Wtsi/Prkab1tm1b(KOMP)Wtsi (more )
Structure Level Pattern Image Note
TS28: prostate gland Absent RBRC_230687

Specimen RBRC_230689: postnatal adult; Prkab1tm1b(KOMP)Wtsi/Prkab1tm1b(KOMP)Wtsi (more )
Structure Level Pattern Image Note
TS28: spinal cord Present RBRC_230689

Specimen RBRC_230691: postnatal adult; Prkab1tm1b(KOMP)Wtsi/Prkab1tm1b(KOMP)Wtsi (more )
Structure Level Pattern Image Note
TS28: spinal cord Present RBRC_230691

Specimen RBRC_230693: postnatal adult; Prkab1tm1b(KOMP)Wtsi/Prkab1tm1b(KOMP)Wtsi (more )
Structure Level Pattern Image Note
TS28: spinal cord Present RBRC_230693

Specimen RBRC_230695: postnatal adult; Prkab1tm1b(KOMP)Wtsi/Prkab1tm1b(KOMP)Wtsi (more )
Structure Level Pattern Image Note
TS28: spinal cord Present RBRC_230695


Contributing Projects:
Mouse Genome Database (MGD), Gene Expression Database (GXD), Mouse Models of Human Cancer database (MMHCdb) (formerly Mouse Tumor Biology (MTB)), Gene Ontology (GO)
Citing These Resources
Funding Information
Warranty Disclaimer, Privacy Notice, Licensing, & Copyright
Send questions and comments to User Support.
last database update
01/20/2026
MGI 6.24
The Jackson Laboratory