About   Help   FAQ
Gene Expression Data
Assay Details
Assay
Reference: J:101679 Deltagen Inc, NIH initiative supporting placement of Deltagen, Inc. mice into public repositories. MGI Direct Data Submission. 2005;
Assay type: In situ reporter (knock in)
MGI Accession ID: MGI:3664942
Gene symbol: Tmprss13
Gene name: transmembrane protease, serine 13
Reporter: lacZ
Direct Detection
Results
Specimen Mouse 401264 - Image 99249376: postnatal day 81; Tmprss13tm1Dgen/Tmprss13+ (more )
Structure Level Pattern Image Note
TS28: renal pelvis Strong 99249376 Expression is scattered in the pelvis.

Specimen Mouse 401264 - Image 99249378: postnatal day 81; Tmprss13tm1Dgen/Tmprss13+ (more )
Structure Level Pattern Image Note
TS28: renal papilla Moderate 99249378 There is occasional staining in the papilla.

Specimen Mouse 401264 - Image 99249379: postnatal day 81; Tmprss13tm1Dgen/Tmprss13+ (more )
Structure Level Pattern Image Note
TS28: prostate epithelium Strong 99249379 Expression is scattered in the epithelium.

Specimen Mouse 401264 - Image 99249380: postnatal day 81; Tmprss13tm1Dgen/Tmprss13+ (more )
Structure Level Pattern Image Note
TS28: urothelium of bladder Strong 99249380 Expression is present in practically all cells of the epithelium.

Specimen Mouse 401264 - Image 99249383: postnatal day 81; Tmprss13tm1Dgen/Tmprss13+ (more )
Structure Level Pattern Image Note
TS28: lamina propria of bladder Moderate 99249383 There is occasional staining in the lamina propria.

Specimen Mouse 401264 - Image 99249384: postnatal day 81; Tmprss13tm1Dgen/Tmprss13+ (more )
Structure Level Pattern Image Note
TS28: cornea Strong 99249384 Expression is frequently seen in the cornea.

Specimen Mouse 401264 - Image 99249386: postnatal day 81; Tmprss13tm1Dgen/Tmprss13+ (more )
Structure Level Pattern Image Note
TS28: thymus medullary core Strong 99249386 There is occasional staining in the medulla.

Specimen Mouse 401264 - Image 99249390: postnatal day 81; Tmprss13tm1Dgen/Tmprss13+ (more )
Structure Level Pattern Image Note
TS28: heart atrium Moderate 99249390 Expression is scattered in the atrium.

Specimen Mouse 401264 - Image 99249392: postnatal day 81; Tmprss13tm1Dgen/Tmprss13+ (more )
Structure Level Pattern Image Note
TS28: heart ventricle Strong 99249392 Expression is scattered in the ventricles.

Specimen Mouse 401264 - Image 99249396: postnatal day 81; Tmprss13tm1Dgen/Tmprss13+ (more )
Structure Level Pattern Image Note
TS28: lung Moderate Regionally restricted 99249396 There is occasional staining in the blood vessels of the lung.
TS28: blood vessel Moderate Regionally restricted 99249396 There is occasional staining in the blood vessels of the lung.

Specimen Mouse 401264 - Image 99249399: postnatal day 81; Tmprss13tm1Dgen/Tmprss13+ (more )
Structure Level Pattern Image Note
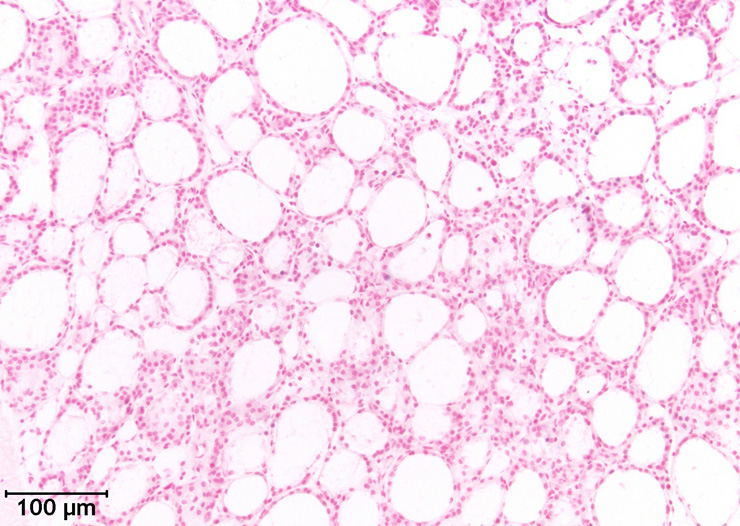
TS28: thyroid gland Weak 99249399 There is occasional staining in the thyroid gland.

Specimen Mouse 401264 - Image 99249400: postnatal day 81; Tmprss13tm1Dgen/Tmprss13+ (more )
Structure Level Pattern Image Note
TS28: trachea Strong 99249400 Expression is scattered in the trachea.

Specimen Mouse 401264 - Image 99249402: postnatal day 81; Tmprss13tm1Dgen/Tmprss13+ (more )
Structure Level Pattern Image Note
TS28: epidermis Very strong 99249402 Expression is frequently seen in the epidermis.

Specimen Mouse 401264 - Image 99249403: postnatal day 81; Tmprss13tm1Dgen/Tmprss13+ (more )
Structure Level Pattern Image Note
TS28: hair follicle Weak 99249403 Expression is scattered in the hair follicle.

Specimen Mouse 401264 - Image 99250649: postnatal day 81; Tmprss13tm1Dgen/Tmprss13+ (more )
Structure Level Pattern Image Note
TS28: brainstem Weak 99250649 There is occasional staining in the brainstem.

Specimen Mouse 401264: postnatal day 81; Tmprss13tm1Dgen/Tmprss13+ (more )
Structure Level Pattern Image Note
TS28: aorta Absent
TS28: liver Absent
TS28: pancreas Absent
TS28: adrenal gland Absent
TS28: pituitary gland Absent
TS28: bone marrow Absent
TS28: spleen Absent
TS28: lymph node Absent
TS28: testis Absent
TS28: skeletal muscle Absent
TS28: cerebellum Absent
TS28: telencephalon Absent There is no expression in the cerebrum.
TS28: sciatic nerve Absent
TS28: spinal cord Absent

Specimen Mouse 405019 - Image 99250650: postnatal day 80; Tmprss13tm1Dgen/Tmprss13+ (more )
Structure Level Pattern Image Note
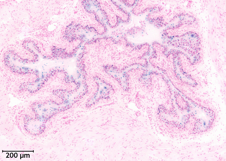
TS28: epithelial layer of cervix uteri Strong 99250650 Expression is scattered in the epithelium.

Specimen Mouse 405019: postnatal day 80; Tmprss13tm1Dgen/Tmprss13+ (more )
Structure Level Pattern Image Note
TS28: pituitary gland Absent
TS28: ovary Absent
TS28: uterus Absent
TS28: bone marrow Absent
TS28: brain Absent
TS28: cerebellum Absent
TS28: telencephalon Absent There is no expression in the cerebrum.
TS28: brainstem Absent
TS28: spinal cord Absent


Contributing Projects:
Mouse Genome Database (MGD), Gene Expression Database (GXD), Mouse Models of Human Cancer database (MMHCdb) (formerly Mouse Tumor Biology (MTB)), Gene Ontology (GO)
Citing These Resources
Funding Information
Warranty Disclaimer, Privacy Notice, Licensing, & Copyright
Send questions and comments to User Support.
last database update
01/06/2026
MGI 6.24
The Jackson Laboratory