About   Help   FAQ
Csn2 Gene Detail
Summary
  • Symbol
    Csn2
  • Name
    casein beta
  • Synonyms
    CSN2, Csnb
  • Feature Type
    protein coding gene
  • IDs
    MGI:88541
    NCBI Gene: 12991
  • Member of
    Csn cluster
  • Alliance
  • Transcription Start Sites
    31 TSS
  • Regulated by
    Rr491, Rr481, Rr482 ... (8 regulatory regions)
Location &
Maps
more
  • Sequence Map
    Chr5:87840478-87847288 bp, - strand
    From NCBI annotation of GRCm39
  • View this region in JBrowse
  • Genome Browsers
  • Genetic Map
    Chromosome 5, 43.56 cM
  • Mapping Data
    20 experiments
Strain
Comparison
more
  • SNPs within 2kb
    318 from dbSNP Build 142
  • Strain Annotations
    18
  • PCR
  • RFLP
For selected strains:
Strain Gene Model ID Feature Type Coordinates Select Strains
C57BL/6J MGI_C57BL6J_88541
protein coding gene Chr5:87840478-87847489 (-)
129S1/SvImJ MGP_129S1SvImJ_G0029690
protein coding gene Chr5:88646892-88653836 (-)
A/J MGP_AJ_G0029657
protein coding gene Chr5:85027127-85034133 (-)
AKR/J MGP_AKRJ_G0029603
protein coding gene Chr5:87841169-87848175 (-)
BALB/cJ MGP_BALBcJ_G0029666
protein coding gene Chr5:85936511-85943513 (-)
C3H/HeJ MGP_C3HHeJ_G0029389
protein coding gene Chr5:88254476-88261478 (-)
C57BL/6NJ MGP_C57BL6NJ_G0030121
protein coding gene Chr5:92284521-92291502 (-)
CAROLI/EiJ MGP_CAROLIEiJ_G0027359
protein coding gene Chr5:80652992-80660188 (-)
CAST/EiJ MGP_CASTEiJ_G0028799
protein coding gene Chr5:87616839-87623877 (-)
CBA/J MGP_CBAJ_G0029358
protein coding gene Chr5:95187174-95194176 (-)
DBA/2J MGP_DBA2J_G0029503
protein coding gene Chr5:85204469-85211471 (-)
FVB/NJ MGP_FVBNJ_G0029463
protein coding gene Chr5:84115735-84122699 (-)
LP/J MGP_LPJ_G0029591
protein coding gene Chr5:89055516-89062514 (-)
NOD/ShiLtJ MGP_NODShiLtJ_G0029492
protein coding gene Chr5:100225302-100229505 (-)
NZO/HlLtJ MGP_NZOHlLtJ_G0030154
protein coding gene Chr5:87405399-87412405 (-)
PWK/PhJ MGP_PWKPhJ_G0028518
protein coding gene Chr5:84187070-84194464 (-)
SPRET/EiJ MGP_SPRETEiJ_G0028356
protein coding gene Chr5:86861352-86868362 (-)
WSB/EiJ MGP_WSBEiJ_G0028878
protein coding gene Chr5:87795798-87802858 (-)



Homology
more
  • Human Ortholog
    CSN2, casein beta
  • Vertebrate Orthologs
    2
Vertebrate Orthology Source
Alliance of Genome Resources
  • Human Ortholog
    CSN2, casein beta
  • Synonyms
    CASB, PDC213
  • Links
    NCBI Gene ID: 1447
    UniProt: P05814

  • Chr Location
    4q13.3; chr4:69955256-69965728 (-)  GRCh38

Mutations,
Alleles, and
Phenotypes
less
  • Phenotype Summary
    2 phenotypes from 1 allele in 1 genetic background
    9 phenotype references
Phenotype Overview

adipose tissue
behavior/neurological
cardiovascular system
cellular
craniofacial
digestive/alimentary system
embryo
endocrine/exocrine glands
growth/size/body
hearing/vestibular/ear
hematopoietic system
homeostasis/metabolism
integument
immune system
limbs/digits/tail
liver/biliary system
mortality/aging
muscle
nervous system
pigmentation
renal/urinary system
reproductive system
respiratory system
skeleton
taste/olfaction
neoplasm
vision/eye

Click cells to view annotations.
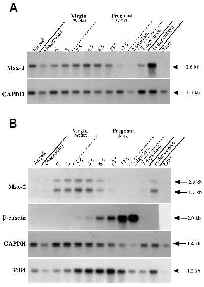
Female mice homozygous for disruption of this gene produce mile with a low protein content and poor nutritional value.
Gene Ontology
(GO)
Classifications
less
  • All GO Annotations
  • GO References
Molecular Function

carbohydrate derivative binding
cytoskeletal protein binding
DNA binding
enzyme regulator
hydrolase
ligase
lipid binding
oxidoreductase
RNA binding
signaling receptor activity
signaling receptor binding
transcription
transferase
transporter
Biological Process

carbohydrate derivative metabolism
cell differentiation
cell population proliferation
cellular component organization
DNA-templated transcription
establishment of localization
homeostatic process
immune system process
lipid metabolic process
programmed cell death
protein metabolic process
response to stimulus
signaling
system development
Cellular Component

cell projection
cytoplasmic vesicle
cytoskeleton
cytosol
endoplasmic reticulum
endosome
extracellular region
Golgi apparatus
mitochondrion
membraneless organelle
nucleus
organelle envelope
organelle lumen
plasma membrane
protein-containing complex
synapse
vacuole
Click cells to view annotations.
Expression
less
Expression Overview

early conceptus
embryo ectoderm
embryo endoderm
embryo mesoderm
embryo mesenchyme
extraembryonic component
alimentary system
auditory system
branchial arches
cardiovascular system
connective tissue
endocrine system
exocrine system
hemolymphoid system
integumental system
limbs
liver and biliary system
musculoskeletal system
nervous system
olfactory system
reproductive system
respiratory system
urinary system
visual system
Click cells to view annotations.


  • Assay Results
  • Tissues
  • cDNA Data
  • Literature Summary
  • Comparison Matrix
  • Sequences &
    Gene Models
    less
    Representative SequencesLengthStrain/SpeciesFlank
    genomic 12991 NCBI Gene Model | MGI Sequence Detail 6811 C57BL/6J ±  kb
    transcript NM_001286021 RefSeq | MGI Sequence Detail 1141 ZRU/MplStud  
    polypeptide P10598 UniProt | EBI | MGI Sequence Detail 231 Not Applicable  
    For the selected sequence
    Protein
    Information
    less
    Molecular
    Reagents
    less
    • All nucleic 2297
      Genomic 15
      cDNA 2275
      Primer pair 3
      Other 4

      Microarray probesets 5
    Other
    Accession IDs
    less
    MGD-MRK-2199
    References
    more
    • Summaries
      All 81
      Developmental Gene Expression 10
      Gene Ontology 8
      Phenotypes 9
    • Earliest
      J:134667 Roderick TH, et al., Two radiation-induced chromosomal inversions in mice (Mus musculus). Proc Natl Acad Sci U S A. 1970 Oct;67(2):961-7
    • Latest
      J:317457 Lin H, et al., IP6-assisted CSN-COP1 competition regulates a CRL4-ETV5 proteolytic checkpoint to safeguard glucose-induced insulin secretion. Nat Commun. 2021 Apr 28;12(1):2461

    Contributing Projects:
    Mouse Genome Database (MGD), Gene Expression Database (GXD), Mouse Models of Human Cancer database (MMHCdb) (formerly Mouse Tumor Biology (MTB)), Gene Ontology (GO)
    Citing These Resources
    Funding Information
    Warranty Disclaimer, Privacy Notice, Licensing, & Copyright
    Send questions and comments to User Support.
    last database update
    12/30/2025
    MGI 6.24
    The Jackson Laboratory