About   Help   FAQ
Lrrc58 Gene Detail
Summary
  • Symbol
    Lrrc58
  • Name
    leucine rich repeat containing 58
  • Synonyms
    1810012N18Rik, C330018J07Rik
  • Feature Type
    protein coding gene
  • IDs
    MGI:2443542
    NCBI Gene: 320184
  • Alliance
  • Transcription Start Sites
    14 TSS
Location &
Maps
more
  • Sequence Map
    Chr16:37688762-37709219 bp, + strand
    From NCBI annotation of GRCm39
  • View this region in JBrowse
  • Genome Browsers
  • Genetic Map
    Chromosome 16, 26.49 cM
  • Mapping Data
    1 experiment
Strain
Comparison
more
  • SNPs within 2kb
    527 from dbSNP Build 142
  • Strain Annotations
    18
For selected strains:
Strain Gene Model ID Feature Type Coordinates Select Strains
C57BL/6J MGI_C57BL6J_2443542
protein coding gene Chr16:37688751-37709220 (+)
129S1/SvImJ MGP_129S1SvImJ_G0022806
protein coding gene Chr16:36357164-36388568 (+)
A/J MGP_AJ_G0022771
protein coding gene Chr16:34547872-34568927 (+)
AKR/J MGP_AKRJ_G0022743
protein coding gene Chr16:35873334-35891409 (+)
BALB/cJ MGP_BALBcJ_G0022772
protein coding gene Chr16:34673975-34694748 (+)
C3H/HeJ MGP_C3HHeJ_G0022536
protein coding gene Chr16:35978411-35999168 (+)
C57BL/6NJ MGP_C57BL6NJ_G0023219
protein coding gene Chr16:37205914-37227733 (+)
CAROLI/EiJ MGP_CAROLIEiJ_G0020733
protein coding gene Chr16:34932173-34949510 (+)
CAST/EiJ MGP_CASTEiJ_G0022062
protein coding gene Chr16:36123076-36146809 (+)
CBA/J MGP_CBAJ_G0022507
protein coding gene Chr16:38824010-38852196 (+)
DBA/2J MGP_DBA2J_G0022639
protein coding gene Chr16:34441231-34462083 (+)
FVB/NJ MGP_FVBNJ_G0022614
protein coding gene Chr16:34473498-34494946 (+)
LP/J MGP_LPJ_G0022707
protein coding gene Chr16:36044990-36065433 (+)
NOD/ShiLtJ MGP_NODShiLtJ_G0022633
protein coding gene Chr16:37970805-37989411 (+)
NZO/HlLtJ MGP_NZOHlLtJ_G0023234
protein coding gene Chr16:35824362-35840216 (+)
PWK/PhJ MGP_PWKPhJ_G0021802
protein coding gene Chr16:34845843-34866526 (+)
SPRET/EiJ MGP_SPRETEiJ_G0021633
protein coding gene Chr16:35739767-35767081 (+)
WSB/EiJ MGP_WSBEiJ_G0022106
protein coding gene Chr16:35903832-35926613 (+)



Homology
more
  • Human Ortholog
    LRRC58, leucine rich repeat containing 58
  • Vertebrate Orthologs
    4
Vertebrate Orthology Source
Alliance of Genome Resources
  • Human Ortholog
    LRRC58, leucine rich repeat containing 58
  • Links
    NCBI Gene ID: 116064
    UniProt: Q96CX6

  • Chr Location
    3q13.33; chr3:120324509-120349354 (-)  GRCh38

Mutations,
Alleles, and
Phenotypes
less
  • Phenotype Summary
    7 phenotype references
Gene Ontology
(GO)
Classifications
less
  • All GO Annotations
  • GO References
Molecular Function

carbohydrate derivative binding
cytoskeletal protein binding
DNA binding
enzyme regulator
hydrolase
ligase
lipid binding
oxidoreductase
RNA binding
signaling receptor activity
signaling receptor binding
transcription
transferase
transporter
Biological Process

carbohydrate derivative metabolism
cell differentiation
cell population proliferation
cellular component organization
DNA-templated transcription
establishment of localization
homeostatic process
immune system process
lipid metabolic process
programmed cell death
protein metabolic process
response to stimulus
signaling
system development
Cellular Component

cell projection
cytoplasmic vesicle
cytoskeleton
cytosol
endoplasmic reticulum
endosome
extracellular region
Golgi apparatus
mitochondrion
membraneless organelle
nucleus
organelle envelope
organelle lumen
plasma membrane
protein-containing complex
synapse
vacuole
Click cells to view annotations.
Expression
less
Expression Overview

early conceptus
embryo ectoderm
embryo endoderm
embryo mesoderm
embryo mesenchyme
extraembryonic component
alimentary system
auditory system
branchial arches
cardiovascular system
connective tissue
endocrine system
exocrine system
hemolymphoid system
integumental system
limbs
liver and biliary system
musculoskeletal system
nervous system
olfactory system
reproductive system
respiratory system
urinary system
visual system
Click cells to view annotations.


  • Assay Results
  • Tissues
  • cDNA Data
  • Literature Summary
Sequences &
Gene Models
less
Representative SequencesLengthStrain/SpeciesFlank
genomic 320184 NCBI Gene Model | MGI Sequence Detail 20458 C57BL/6J ±  kb
transcript NM_177093 RefSeq | MGI Sequence Detail 8592 C57BL/6  
polypeptide Q3UGP9 UniProt | EBI | MGI Sequence Detail 366 Not Applicable  
For the selected sequence
Protein
Information
less
  • UniProt
    2 Sequences
  • Protein Ontology
    PR:000032188 leucine-rich repeat-containing protein 58
  • InterPro Domains
    IPR001611 Leucine-rich repeat
    IPR050715 Leucine-rich repeat and signaling effector domain-containing protein
    IPR050216 Leucine-rich repeat domain-containing protein
    IPR032675 Leucine-rich repeat domain superfamily
    IPR003591 Leucine-rich repeat, typical subtype
  • GlyGen
    Q3UGP9 1 site, 1 N-linked glycan (1 site)
Molecular
Reagents
less
  • All nucleic 273
    cDNA 272
    Primer pair 1
    Antibodies 1

    Microarray probesets 4
Other
Accession IDs
less
MGI:1916360
References
more
  • Summaries
    All 31
    Developmental Gene Expression 1
    Gene Ontology 4
    Phenotypes 7
  • Earliest
    J:65060 Kawai J, et al., Functional annotation of a full-length mouse cDNA collection. Nature. 2001 Feb 8;409(6821):685-90
  • Latest
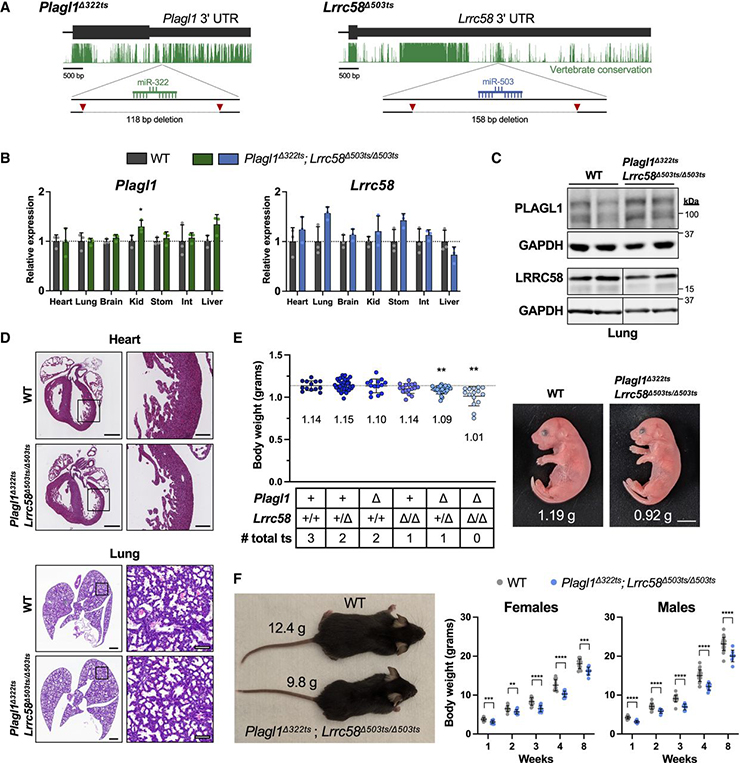
    J:376313 LaVigne CA, et al., Plagl1 and Lrrc58 control mammalian body size by triggering target-directed microRNA degradation of miR-322 and miR-503. Genes Dev. 2025 Nov 10;

Contributing Projects:
Mouse Genome Database (MGD), Gene Expression Database (GXD), Mouse Models of Human Cancer database (MMHCdb) (formerly Mouse Tumor Biology (MTB)), Gene Ontology (GO)
Citing These Resources
Funding Information
Warranty Disclaimer, Privacy Notice, Licensing, & Copyright
Send questions and comments to User Support.
last database update
03/24/2026
MGI 6.24
The Jackson Laboratory