About   Help   FAQ
Adamts18 Gene Detail
Summary
  • Symbol
    Adamts18
  • Name
    ADAM metallopeptidase with thrombospondin type 1 motif 18
  • Synonyms
    E130314N14Rik
  • Feature Type
    protein coding gene
  • IDs
    MGI:2442600
    NCBI Gene: 208936
  • Alliance
  • Transcription Start Sites
    5 TSS
Location &
Maps
more
  • Sequence Map
    Chr8:114423758-114575370 bp, - strand
    From Ensembl annotation of GRCm39
  • View this region in JBrowse
  • Genome Browsers
  • Genetic Map
    Chromosome 8, 59.65 cM
  • Mapping Data
    1 experiment
Strain
Comparison
more
  • SNPs within 2kb
    4861 from dbSNP Build 142
  • Strain Annotations
    18
For selected strains:
Strain Gene Model ID Feature Type Coordinates Select Strains
C57BL/6J MGI_C57BL6J_2442600
protein coding gene Chr8:114423755-114575975 (-)
129S1/SvImJ MGP_129S1SvImJ_G0034157
protein coding gene Chr8:116641267-116801276 (-)
A/J MGP_AJ_G0034137
protein coding gene Chr8:111859542-112012664 (-)
AKR/J MGP_AKRJ_G0034064
protein coding gene Chr8:115162131-115324759 (-)
BALB/cJ MGP_BALBcJ_G0034131
protein coding gene Chr8:112069214-112227846 (-)
C3H/HeJ MGP_C3HHeJ_G0033842
protein coding gene Chr8:115841285-115999923 (-)
C57BL/6NJ MGP_C57BL6NJ_G0034651
protein coding gene Chr8:120643247-120806874 (-)
CAROLI/EiJ MGP_CAROLIEiJ_G0031593
protein coding gene Chr8:104881937-105032862 (-)
CAST/EiJ MGP_CASTEiJ_G0033169
protein coding gene Chr8:115543734-115704640 (-)
CBA/J MGP_CBAJ_G0033815
protein coding gene Chr8:124886434-125061239 (-)
DBA/2J MGP_DBA2J_G0033971
protein coding gene Chr8:111118376-111269151 (-)
FVB/NJ MGP_FVBNJ_G0033914
protein coding gene Chr8:110097283-110259003 (-)
LP/J MGP_LPJ_G0034060
protein coding gene Chr8:116787259-116949337 (-)
NOD/ShiLtJ MGP_NODShiLtJ_G0033961
protein coding gene Chr8:127654527-127831633 (-)
NZO/HlLtJ MGP_NZOHlLtJ_G0034669
protein coding gene Chr8:115189270-115353073 (-)
PWK/PhJ MGP_PWKPhJ_G0032871
protein coding gene Chr8:110800296-110959334 (-)
SPRET/EiJ MGP_SPRETEiJ_G0032711
protein coding gene Chr8:113824097-113985101 (-)
WSB/EiJ MGP_WSBEiJ_G0033285
protein coding gene Chr8:115871887-116035040 (-)



Homology
more
  • Human Ortholog
    ADAMTS18, ADAM metallopeptidase with thrombospondin type 1 motif 18
  • Vertebrate Orthologs
    3
Vertebrate Orthology Source
Alliance of Genome Resources
  • Human Ortholog
    ADAMTS18, ADAM metallopeptidase with thrombospondin type 1 motif 18
  • Synonyms
    ADAMTS21, KNO2, MMCAT
  • Links
    NCBI Gene ID: 170692
    UniProt: Q8TE60

  • Chr Location
    16q23.1; chr16:77247813-77435034 (-)  GRCh38

Mutations,
Alleles, and
Phenotypes
less
  • Phenotype Summary
    25 phenotypes from 4 alleles in 4 genetic backgrounds
    2 phenotypes from multigenic genotypes
    27 phenotype references
Phenotype Overview

adipose tissue
behavior/neurological
cardiovascular system
cellular
craniofacial
digestive/alimentary system
embryo
endocrine/exocrine glands
growth/size/body
hearing/vestibular/ear
hematopoietic system
homeostasis/metabolism
integument
immune system
limbs/digits/tail
liver/biliary system
mortality/aging
muscle
nervous system
pigmentation
renal/urinary system
reproductive system
respiratory system
skeleton
taste/olfaction
neoplasm
vision/eye

Click cells to view annotations.
Mice homozygous for a floxed allele exhibit some fertility defects. Mice homozygous for a null allele exhibit growth and eye defects and increased susceptibility to chemically induced tumors.
Gene Ontology
(GO)
Classifications
less
  • All GO Annotations
  • GO References
Molecular Function

carbohydrate derivative binding
cytoskeletal protein binding
DNA binding
enzyme regulator
hydrolase
ligase
lipid binding
oxidoreductase
RNA binding
signaling receptor activity
signaling receptor binding
transcription
transferase
transporter
Biological Process

carbohydrate derivative metabolism
cell differentiation
cell population proliferation
cellular component organization
DNA-templated transcription
establishment of localization
homeostatic process
immune system process
lipid metabolic process
programmed cell death
protein metabolic process
response to stimulus
signaling
system development
Cellular Component

cell projection
cytoplasmic vesicle
cytoskeleton
cytosol
endoplasmic reticulum
endosome
extracellular region
Golgi apparatus
mitochondrion
membraneless organelle
nucleus
organelle envelope
organelle lumen
plasma membrane
protein-containing complex
synapse
vacuole
Click cells to view annotations.
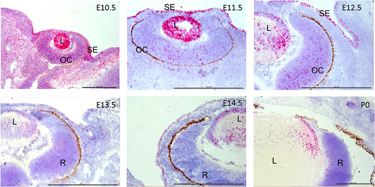
Expression
less
Expression Overview

early conceptus
embryo ectoderm
embryo endoderm
embryo mesoderm
embryo mesenchyme
extraembryonic component
alimentary system
auditory system
branchial arches
cardiovascular system
connective tissue
endocrine system
exocrine system
hemolymphoid system
integumental system
limbs
liver and biliary system
musculoskeletal system
nervous system
olfactory system
reproductive system
respiratory system
urinary system
visual system
Click cells to view annotations.


  • Assay Results
  • Tissues
  • cDNA Data
  • Literature Summary
  • Comparison Matrix
  • Sequences &
    Gene Models
    less
    Representative SequencesLengthStrain/SpeciesFlank
    genomic ENSMUSG00000053399 Ensembl Gene Model | MGI Sequence Detail 151613 C57BL/6J ±  kb
    transcript ENSMUST00000093113 Ensembl | MGI Sequence Detail 5642 Not Applicable  
    polypeptide ENSMUSP00000090801 Ensembl | MGI Sequence Detail 1219 Not Applicable  
    For the selected sequence
    Protein
    Information
    less
    Molecular
    Reagents
    less
    • All nucleic 48
      cDNA 36
      Primer pair 7
      Other 5
      Antibodies 1

      Microarray probesets 2
    References
    more
    • Summaries
      All 62
      Developmental Gene Expression 20
      Gene Ontology 8
      Phenotypes 27
    • Earliest
      J:28082 Holmberg M, et al., The species-specific differences in the cAMP regulation of the tissue-type plasminogen activator gene between rat, mouse and human is caused by a one-nucleotide substitution in the cAMP-responsive element of the promoters. Eur J Biochem. 1995 Jul 15;231(2):466-74
    • Latest
      J:361964 Wang M, et al., The secreted protease ADAMTS18 links early isoform transformation and maturation of glomerular basement membrane macromolecules to the integrity of the glomerular filtration barrier. Biochem Biophys Res Commun. 2025 Mar 1;750:151386

    Contributing Projects:
    Mouse Genome Database (MGD), Gene Expression Database (GXD), Mouse Models of Human Cancer database (MMHCdb) (formerly Mouse Tumor Biology (MTB)), Gene Ontology (GO)
    Citing These Resources
    Funding Information
    Warranty Disclaimer, Privacy Notice, Licensing, & Copyright
    Send questions and comments to User Support.
    last database update
    01/28/2026
    MGI 6.24
    The Jackson Laboratory