About   Help   FAQ
Rab24 Gene Detail
Summary
  • Symbol
    Rab24
  • Name
    RAB24, member RAS oncogene family
  • Synonyms
    6530406O07Rik
  • Feature Type
    protein coding gene
  • IDs
    MGI:105065
    NCBI Gene: 19336
  • Alliance
  • Transcription Start Sites
    2 TSS
Location &
Maps
more
  • Sequence Map
    Chr13:55467556-55469759 bp, - strand
    From Ensembl annotation of GRCm39
  • View this region in JBrowse
  • Genome Browsers
  • Genetic Map
    Chromosome 13, 29.80 cM
  • Mapping Data
    4 experiments
Strain
Comparison
more
  • SNPs within 2kb
    101 from dbSNP Build 142
  • Strain Annotations
    18
  • RFLP
For selected strains:
Strain Gene Model ID Feature Type Coordinates Select Strains
C57BL/6J MGI_C57BL6J_105065
protein coding gene Chr13:55467036-55469807 (-)
129S1/SvImJ MGP_129S1SvImJ_G0020589
protein coding gene Chr13:54787897-54790654 (-)
A/J MGP_AJ_G0020543
protein coding gene Chr13:52767723-52770480 (-)
AKR/J MGP_AKRJ_G0020521
protein coding gene Chr13:54323324-54326081 (-)
BALB/cJ MGP_BALBcJ_G0020539
protein coding gene Chr13:52995173-52997930 (-)
C3H/HeJ MGP_C3HHeJ_G0020338
protein coding gene Chr13:54138497-54141254 (-)
C57BL/6NJ MGP_C57BL6NJ_G0020973
protein coding gene Chr13:56443350-56446107 (-)
CAROLI/EiJ MGP_CAROLIEiJ_G0018555
protein coding gene Chr13:50717419-50720364 (-)
CAST/EiJ MGP_CASTEiJ_G0019852
protein coding gene Chr13:54228102-54230877 (-)
CBA/J MGP_CBAJ_G0020298
protein coding gene Chr13:58601329-58604086 (-)
DBA/2J MGP_DBA2J_G0020421
protein coding gene Chr13:52314670-52317427 (-)
FVB/NJ MGP_FVBNJ_G0020400
protein coding gene Chr13:51790385-51793142 (-)
LP/J MGP_LPJ_G0020497
protein coding gene Chr13:55051925-55054682 (-)
NOD/ShiLtJ MGP_NODShiLtJ_G0020429
protein coding gene Chr13:58082854-58085611 (-)
NZO/HlLtJ MGP_NZOHlLtJ_G0021016
protein coding gene Chr13:53910398-53913155 (-)
PWK/PhJ MGP_PWKPhJ_G0019608
protein coding gene Chr13:52339634-52342408 (-)
SPRET/EiJ MGP_SPRETEiJ_G0019435
protein coding gene Chr13:52826579-52829293 (-)
WSB/EiJ MGP_WSBEiJ_G0019914
protein coding gene Chr13:54264688-54267445 (-)



Homology
more
  • Human Ortholog
    RAB24, RAB24, member RAS oncogene family
  • Vertebrate Orthologs
    3
Vertebrate Orthology Source
Alliance of Genome Resources
  • Human Ortholog
    RAB24, RAB24, member RAS oncogene family
  • Links
    NCBI Gene ID: 53917
    UniProt: Q969Q5

  • Chr Location
    5q35.3; chr5:177301198-177303744 (-)  GRCh38

Human Diseases
more
  • Diseases
    1 with human RAB24 associations

Human Disease Mouse Models
      
IDs
Click on a disease name to see all genes associated with that disease.

  • References
    1 with disease annotations
Mutations,
Alleles, and
Phenotypes
less
  • Phenotype Summary
    6 phenotypes from 1 allele in 1 genetic background
    16 phenotype references
Phenotype Overview

adipose tissue
behavior/neurological
cardiovascular system
cellular
craniofacial
digestive/alimentary system
embryo
endocrine/exocrine glands
growth/size/body
hearing/vestibular/ear
hematopoietic system
homeostasis/metabolism
integument
immune system
limbs/digits/tail
liver/biliary system
mortality/aging
muscle
nervous system
pigmentation
renal/urinary system
reproductive system
respiratory system
skeleton
taste/olfaction
neoplasm
vision/eye

Click cells to view annotations.
Gene Ontology
(GO)
Classifications
less
  • All GO Annotations
  • GO References
Molecular Function

carbohydrate derivative binding
cytoskeletal protein binding
DNA binding
enzyme regulator
hydrolase
ligase
lipid binding
oxidoreductase
RNA binding
signaling receptor activity
signaling receptor binding
transcription
transferase
transporter
Biological Process

carbohydrate derivative metabolism
cell differentiation
cell population proliferation
cellular component organization
DNA-templated transcription
establishment of localization
homeostatic process
immune system process
lipid metabolic process
programmed cell death
protein metabolic process
response to stimulus
signaling
system development
Cellular Component

cell projection
cytoplasmic vesicle
cytoskeleton
cytosol
endoplasmic reticulum
endosome
extracellular region
Golgi apparatus
mitochondrion
membraneless organelle
nucleus
organelle envelope
organelle lumen
plasma membrane
protein-containing complex
synapse
vacuole
Click cells to view annotations.
Expression
less
Expression Overview

early conceptus
embryo ectoderm
embryo endoderm
embryo mesoderm
embryo mesenchyme
extraembryonic component
alimentary system
auditory system
branchial arches
cardiovascular system
connective tissue
endocrine system
exocrine system
hemolymphoid system
integumental system
limbs
liver and biliary system
musculoskeletal system
nervous system
olfactory system
reproductive system
respiratory system
urinary system
visual system
Click cells to view annotations.


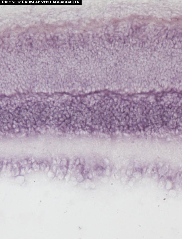
  • Assay Results
  • Tissues
  • cDNA Data
  • Literature Summary
  • Comparison Matrix
  • Sequences &
    Gene Models
    less
    Representative SequencesLengthStrain/SpeciesFlank
    genomic ENSMUSG00000034789 Ensembl Gene Model | MGI Sequence Detail 2204 C57BL/6J ±  kb
    transcript ENSMUST00000035242 Ensembl | MGI Sequence Detail 1168 Not Applicable  
    polypeptide ENSMUSP00000046188 Ensembl | MGI Sequence Detail 203 Not Applicable  
    For the selected sequence
    Protein
    Information
    less
    Molecular
    Reagents
    less
    • All nucleic 96
      cDNA 96

      Microarray probesets 4
    Other
    Accession IDs
    less
    MGD-MRK-32104, MGI:1915043
    References
    more
    • Summaries
      All 54
      Developmental Gene Expression 5
      Diseases 1
      Gene Ontology 12
      Phenotypes 16
    • Earliest
      J:182573 Roderick TH, Producing and detecting paracentric chromosomal inversions in mice. Mutat Res. 1971 Jan;11(1):59-69
    • Latest
      J:345621 Adams DJ, et al., Genetic determinants of micronucleus formation in vivo. Nature. 2024 Mar;627(8002):130-136

    Contributing Projects:
    Mouse Genome Database (MGD), Gene Expression Database (GXD), Mouse Models of Human Cancer database (MMHCdb) (formerly Mouse Tumor Biology (MTB)), Gene Ontology (GO)
    Citing These Resources
    Funding Information
    Warranty Disclaimer, Privacy Notice, Licensing, & Copyright
    Send questions and comments to User Support.
    last database update
    12/09/2025
    MGI 6.24
    The Jackson Laboratory