About   Help   FAQ
Gene Expression Data
Assay Details
Assay
Reference: J:228563 Koscielny G, et al., The International Mouse Phenotyping Consortium Web Portal, a unified point of access for knockout mice and related phenotyping data. Nucleic Acids Res. 2014 Jan;42(Database issue):D802-9
Assay type: In situ reporter (knock in)
MGI Accession ID: MGI:6693181
Gene symbol: Prkcq
Gene name: protein kinase C, theta
Reporter: lacZ
Direct Detection
Results
Specimen UC Davis_1878944: postnatal adult; Prkcqtm1.1(KOMP)Vlcg/Prkcq+ (more )
Structure Level Pattern Image Note
TS28: esophagus Present UC Davis_1878944

Specimen UC Davis_1878945: postnatal adult; Prkcqtm1.1(KOMP)Vlcg/Prkcq+ (more )
Structure Level Pattern Image Note
TS28: esophagus Present UC Davis_1878945

Specimen UC Davis_1878946: postnatal adult; Prkcqtm1.1(KOMP)Vlcg/Prkcq+ (more )
Structure Level Pattern Image Note
TS28: thyroid gland Present UC Davis_1878946

Specimen UC Davis_1878947: postnatal adult; Prkcqtm1.1(KOMP)Vlcg/Prkcq+ (more )
Structure Level Pattern Image Note
TS28: lung Present UC Davis_1878947

Specimen UC Davis_1878948: postnatal adult; Prkcqtm1.1(KOMP)Vlcg/Prkcq+ (more )
Structure Level Pattern Image Note
TS28: lung Present UC Davis_1878948

Specimen UC Davis_1878949: postnatal adult; Prkcqtm1.1(KOMP)Vlcg/Prkcq+ (more )
Structure Level Pattern Image Note
TS28: thymus Present UC Davis_1878949

Specimen UC Davis_1878950: postnatal adult; Prkcqtm1.1(KOMP)Vlcg/Prkcq+ (more )
Structure Level Pattern Image Note
TS28: thymus Present UC Davis_1878950

Specimen UC Davis_1878951: postnatal adult; Prkcqtm1.1(KOMP)Vlcg/Prkcq+ (more )
Structure Level Pattern Image Note
TS28: stomach Present UC Davis_1878951

Specimen UC Davis_1878952: postnatal adult; Prkcqtm1.1(KOMP)Vlcg/Prkcq+ (more )
Structure Level Pattern Image Note
TS28: stomach Present UC Davis_1878952

Specimen UC Davis_1878953: postnatal adult; Prkcqtm1.1(KOMP)Vlcg/Prkcq+ (more )
Structure Level Pattern Image Note
TS28: stomach Present UC Davis_1878953

Specimen UC Davis_1878954: postnatal adult; Prkcqtm1.1(KOMP)Vlcg/Prkcq+ (more )
Structure Level Pattern Image Note
TS28: duodenum Present UC Davis_1878954

Specimen UC Davis_1878955: postnatal adult; Prkcqtm1.1(KOMP)Vlcg/Prkcq+ (more )
Structure Level Pattern Image Note
TS28: duodenum Present UC Davis_1878955

Specimen UC Davis_1878956: postnatal adult; Prkcqtm1.1(KOMP)Vlcg/Prkcq+ (more )
Structure Level Pattern Image Note
TS28: ileum Present UC Davis_1878956

Specimen UC Davis_1878957: postnatal adult; Prkcqtm1.1(KOMP)Vlcg/Prkcq+ (more )
Structure Level Pattern Image Note
TS28: colon Present UC Davis_1878957

Specimen UC Davis_1878958: postnatal adult; Prkcqtm1.1(KOMP)Vlcg/Prkcq+ (more )
Structure Level Pattern Image Note
TS28: spleen Present UC Davis_1878958

Specimen UC Davis_1878959: postnatal adult; Prkcqtm1.1(KOMP)Vlcg/Prkcq+ (more )
Structure Level Pattern Image Note
TS28: pancreas Present UC Davis_1878959

Specimen UC Davis_1878960: postnatal adult; Prkcqtm1.1(KOMP)Vlcg/Prkcq+ (more )
Structure Level Pattern Image Note
TS28: pancreas Present UC Davis_1878960

Specimen UC Davis_1878961: postnatal adult; Prkcqtm1.1(KOMP)Vlcg/Prkcq+ (more )
Structure Level Pattern Image Note
TS28: liver Present UC Davis_1878961

Specimen UC Davis_1878962: postnatal adult; Prkcqtm1.1(KOMP)Vlcg/Prkcq+ (more )
Structure Level Pattern Image Note
TS28: metanephros Present UC Davis_1878962 kidney

Specimen UC Davis_1878963: postnatal adult; Prkcqtm1.1(KOMP)Vlcg/Prkcq+ (more )
Structure Level Pattern Image Note
TS28: metanephros Present UC Davis_1878963 kidney

Specimen UC Davis_1878964: postnatal adult; Prkcqtm1.1(KOMP)Vlcg/Prkcq+ (more )
Structure Level Pattern Image Note
TS28: metanephros Present UC Davis_1878964 kidney

Specimen UC Davis_1878965: postnatal adult; Prkcqtm1.1(KOMP)Vlcg/Prkcq+ (more )
Structure Level Pattern Image Note
TS28: metanephros Present UC Davis_1878965 kidney

Specimen UC Davis_1878966: postnatal adult; Prkcqtm1.1(KOMP)Vlcg/Prkcq+ (more )
Structure Level Pattern Image Note
TS28: quadriceps femoris muscle Present UC Davis_1878966

Specimen UC Davis_1878967: postnatal adult; Prkcqtm1.1(KOMP)Vlcg/Prkcq+ (more )
Structure Level Pattern Image Note
TS28: quadriceps femoris muscle Present UC Davis_1878967

Specimen UC Davis_1878968: postnatal adult; Prkcqtm1.1(KOMP)Vlcg/Prkcq+ (more )
Structure Level Pattern Image Note
TS28: sciatic nerve Present UC Davis_1878968

Specimen UC Davis_1878969: postnatal adult; Prkcqtm1.1(KOMP)Vlcg/Prkcq+ (more )
Structure Level Pattern Image Note
TS28: sciatic nerve Present UC Davis_1878969

Specimen UC Davis_1878970: postnatal adult; Prkcqtm1.1(KOMP)Vlcg/Prkcq+ (more )
Structure Level Pattern Image Note
TS28: tongue Present UC Davis_1878970

Specimen UC Davis_1878971: postnatal adult; Prkcqtm1.1(KOMP)Vlcg/Prkcq+ (more )
Structure Level Pattern Image Note
TS28: tongue Present UC Davis_1878971

Specimen UC Davis_1878972: postnatal adult; Prkcqtm1.1(KOMP)Vlcg/Prkcq+ (more )
Structure Level Pattern Image Note
TS28: tongue Present UC Davis_1878972

Specimen UC Davis_1878973: postnatal adult; Prkcqtm1.1(KOMP)Vlcg/Prkcq+ (more )
Structure Level Pattern Image Note
TS28: diaphragm Present UC Davis_1878973

Specimen UC Davis_1878974: postnatal adult; Prkcqtm1.1(KOMP)Vlcg/Prkcq+ (more )
Structure Level Pattern Image Note
TS28: spinal cord Present UC Davis_1878974

Specimen UC Davis_1878975: postnatal adult; Prkcqtm1.1(KOMP)Vlcg/Prkcq+ (more )
Structure Level Pattern Image Note
TS28: spinal cord Present UC Davis_1878975

Specimen UC Davis_1878976: postnatal adult; Prkcqtm1.1(KOMP)Vlcg/Prkcq+ (more )
Structure Level Pattern Image Note
TS28: eye Present UC Davis_1878976

Specimen UC Davis_1878977: postnatal adult; Prkcqtm1.1(KOMP)Vlcg/Prkcq+ (more )
Structure Level Pattern Image Note
TS28: eye Present UC Davis_1878977

Specimen UC Davis_1878978: postnatal adult; Prkcqtm1.1(KOMP)Vlcg/Prkcq+ (more )
Structure Level Pattern Image Note
TS28: gonadal fat pad Present UC Davis_1878978

Specimen UC Davis_1878979: postnatal adult; Prkcqtm1.1(KOMP)Vlcg/Prkcq+ (more )
Structure Level Pattern Image Note
TS28: mesenteric adipose tissue Present UC Davis_1878979

Specimen UC Davis_1878980: postnatal adult; Prkcqtm1.1(KOMP)Vlcg/Prkcq+ (more )
Structure Level Pattern Image Note
TS28: skin Present UC Davis_1878980

Specimen UC Davis_1878981: postnatal adult; Prkcqtm1.1(KOMP)Vlcg/Prkcq+ (more )
Structure Level Pattern Image Note
TS28: skin Present UC Davis_1878981

Specimen UC Davis_1878982: postnatal adult; Prkcqtm1.1(KOMP)Vlcg/Prkcq+ (more )
Structure Level Pattern Image Note
TS28: brown fat Present UC Davis_1878982

Specimen UC Davis_1878983: postnatal adult; Prkcqtm1.1(KOMP)Vlcg/Prkcq+ (more )
Structure Level Pattern Image Note
TS28: olfactory lobe Present UC Davis_1878983

Specimen UC Davis_1878986: postnatal adult; Prkcqtm1.1(KOMP)Vlcg/Prkcq+ (more )
Structure Level Pattern Image Note
TS28: midbrain Present UC Davis_1878986

Specimen UC Davis_1878988: postnatal adult; Prkcqtm1.1(KOMP)Vlcg/Prkcq+ (more )
Structure Level Pattern Image Note
TS28: cerebellum Present UC Davis_1878988

Specimen UC Davis_1878989: postnatal adult; Prkcqtm1.1(KOMP)Vlcg/Prkcq+ (more )
Structure Level Pattern Image Note
TS28: trigeminal nerve Present UC Davis_1878989

Specimen UC Davis_1878990: postnatal adult; Prkcqtm1.1(KOMP)Vlcg/Prkcq+ (more )
Structure Level Pattern Image Note
TS28: bladder Present UC Davis_1878990

Specimen UC Davis_1878991: postnatal adult; Prkcqtm1.1(KOMP)Vlcg/Prkcq+ (more )
Structure Level Pattern Image Note
TS28: bladder Present UC Davis_1878991

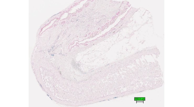
Specimen UC Davis_1878892: postnatal adult; Prkcqtm1.1(KOMP)Vlcg/Prkcq+ (more )
Structure Level Pattern Image Note
TS28: lung Present UC Davis_1878892

Specimen UC Davis_1878893: postnatal adult; Prkcqtm1.1(KOMP)Vlcg/Prkcq+ (more )
Structure Level Pattern Image Note
TS28: lung Present UC Davis_1878893

Specimen UC Davis_1878894: postnatal adult; Prkcqtm1.1(KOMP)Vlcg/Prkcq+ (more )
Structure Level Pattern Image Note
TS28: thymus Present UC Davis_1878894

Specimen UC Davis_1878895: postnatal adult; Prkcqtm1.1(KOMP)Vlcg/Prkcq+ (more )
Structure Level Pattern Image Note
TS28: stomach Present UC Davis_1878895

Specimen UC Davis_1878896: postnatal adult; Prkcqtm1.1(KOMP)Vlcg/Prkcq+ (more )
Structure Level Pattern Image Note
TS28: stomach Present UC Davis_1878896

Specimen UC Davis_1878897: postnatal adult; Prkcqtm1.1(KOMP)Vlcg/Prkcq+ (more )
Structure Level Pattern Image Note
TS28: duodenum Present UC Davis_1878897

Specimen UC Davis_1878898: postnatal adult; Prkcqtm1.1(KOMP)Vlcg/Prkcq+ (more )
Structure Level Pattern Image Note
TS28: duodenum Present UC Davis_1878898

Specimen UC Davis_1878899: postnatal adult; Prkcqtm1.1(KOMP)Vlcg/Prkcq+ (more )
Structure Level Pattern Image Note
TS28: colon Present UC Davis_1878899

Specimen UC Davis_1878900: postnatal adult; Prkcqtm1.1(KOMP)Vlcg/Prkcq+ (more )
Structure Level Pattern Image Note
TS28: colon Present UC Davis_1878900

Specimen UC Davis_1878901: postnatal adult; Prkcqtm1.1(KOMP)Vlcg/Prkcq+ (more )
Structure Level Pattern Image Note
TS28: spleen Present UC Davis_1878901

Specimen UC Davis_1878902: postnatal adult; Prkcqtm1.1(KOMP)Vlcg/Prkcq+ (more )
Structure Level Pattern Image Note
TS28: pancreas Present UC Davis_1878902

Specimen UC Davis_1878903: postnatal adult; Prkcqtm1.1(KOMP)Vlcg/Prkcq+ (more )
Structure Level Pattern Image Note
TS28: pancreas Present UC Davis_1878903

Specimen UC Davis_1878904: postnatal adult; Prkcqtm1.1(KOMP)Vlcg/Prkcq+ (more )
Structure Level Pattern Image Note
TS28: pancreas Present UC Davis_1878904

Specimen UC Davis_1878905: postnatal adult; Prkcqtm1.1(KOMP)Vlcg/Prkcq+ (more )
Structure Level Pattern Image Note
TS28: metanephros Present UC Davis_1878905 kidney

Specimen UC Davis_1878906: postnatal adult; Prkcqtm1.1(KOMP)Vlcg/Prkcq+ (more )
Structure Level Pattern Image Note
TS28: metanephros Present UC Davis_1878906 kidney

Specimen UC Davis_1878907: postnatal adult; Prkcqtm1.1(KOMP)Vlcg/Prkcq+ (more )
Structure Level Pattern Image Note
TS28: metanephros Present UC Davis_1878907 kidney

Specimen UC Davis_1878908: postnatal adult; Prkcqtm1.1(KOMP)Vlcg/Prkcq+ (more )
Structure Level Pattern Image Note
TS28: metanephros Present UC Davis_1878908 kidney

Specimen UC Davis_1878909: postnatal adult; Prkcqtm1.1(KOMP)Vlcg/Prkcq+ (more )
Structure Level Pattern Image Note
TS28: metanephros Present UC Davis_1878909 kidney

Specimen UC Davis_1878910: postnatal adult; Prkcqtm1.1(KOMP)Vlcg/Prkcq+ (more )
Structure Level Pattern Image Note
TS28: quadriceps femoris muscle Present UC Davis_1878910

Specimen UC Davis_1878911: postnatal adult; Prkcqtm1.1(KOMP)Vlcg/Prkcq+ (more )
Structure Level Pattern Image Note
TS28: quadriceps femoris muscle Present UC Davis_1878911

Specimen UC Davis_1878912: postnatal adult; Prkcqtm1.1(KOMP)Vlcg/Prkcq+ (more )
Structure Level Pattern Image Note
TS28: sciatic nerve Present UC Davis_1878912

Specimen UC Davis_1878913: postnatal adult; Prkcqtm1.1(KOMP)Vlcg/Prkcq+ (more )
Structure Level Pattern Image Note
TS28: sciatic nerve Present UC Davis_1878913

Specimen UC Davis_1878914: postnatal adult; Prkcqtm1.1(KOMP)Vlcg/Prkcq+ (more )
Structure Level Pattern Image Note
TS28: tongue Present UC Davis_1878914

Specimen UC Davis_1878915: postnatal adult; Prkcqtm1.1(KOMP)Vlcg/Prkcq+ (more )
Structure Level Pattern Image Note
TS28: diaphragm Present UC Davis_1878915

Specimen UC Davis_1878916: postnatal adult; Prkcqtm1.1(KOMP)Vlcg/Prkcq+ (more )
Structure Level Pattern Image Note
TS28: spinal cord Present UC Davis_1878916

Specimen UC Davis_1878917: postnatal adult; Prkcqtm1.1(KOMP)Vlcg/Prkcq+ (more )
Structure Level Pattern Image Note
TS28: spinal cord Present UC Davis_1878917

Specimen UC Davis_1878918: postnatal adult; Prkcqtm1.1(KOMP)Vlcg/Prkcq+ (more )
Structure Level Pattern Image Note
TS28: gonadal fat pad Present UC Davis_1878918

Specimen UC Davis_1878919: postnatal adult; Prkcqtm1.1(KOMP)Vlcg/Prkcq+ (more )
Structure Level Pattern Image Note
TS28: gonadal fat pad Present UC Davis_1878919

Specimen UC Davis_1878920: postnatal adult; Prkcqtm1.1(KOMP)Vlcg/Prkcq+ (more )
Structure Level Pattern Image Note
TS28: skin Present UC Davis_1878920

Specimen UC Davis_1878921: postnatal adult; Prkcqtm1.1(KOMP)Vlcg/Prkcq+ (more )
Structure Level Pattern Image Note
TS28: skin Present UC Davis_1878921

Specimen UC Davis_1878922: postnatal adult; Prkcqtm1.1(KOMP)Vlcg/Prkcq+ (more )
Structure Level Pattern Image Note
TS28: brown fat Present UC Davis_1878922

Specimen UC Davis_1878923: postnatal adult; Prkcqtm1.1(KOMP)Vlcg/Prkcq+ (more )
Structure Level Pattern Image Note
TS28: brown fat Present UC Davis_1878923

Specimen UC Davis_1878924: postnatal adult; Prkcqtm1.1(KOMP)Vlcg/Prkcq+ (more )
Structure Level Pattern Image Note
TS28: brown fat Present UC Davis_1878924

Specimen UC Davis_1878926: postnatal adult; Prkcqtm1.1(KOMP)Vlcg/Prkcq+ (more )
Structure Level Pattern Image Note
TS28: midbrain Present UC Davis_1878926

Specimen UC Davis_1878927: postnatal adult; Prkcqtm1.1(KOMP)Vlcg/Prkcq+ (more )
Structure Level Pattern Image Note
TS28: midbrain Present UC Davis_1878927

Specimen UC Davis_1878929: postnatal adult; Prkcqtm1.1(KOMP)Vlcg/Prkcq+ (more )
Structure Level Pattern Image Note
TS28: cerebellum Present UC Davis_1878929

Specimen UC Davis_1878930: postnatal adult; Prkcqtm1.1(KOMP)Vlcg/Prkcq+ (more )
Structure Level Pattern Image Note
TS28: cerebellum Present UC Davis_1878930

Specimen UC Davis_1878931: postnatal adult; Prkcqtm1.1(KOMP)Vlcg/Prkcq+ (more )
Structure Level Pattern Image Note
TS28: trigeminal nerve Present UC Davis_1878931

Specimen UC Davis_1878932: postnatal adult; Prkcqtm1.1(KOMP)Vlcg/Prkcq+ (more )
Structure Level Pattern Image Note
TS28: epididymis Present UC Davis_1878932

Specimen UC Davis_1878933: postnatal adult; Prkcqtm1.1(KOMP)Vlcg/Prkcq+ (more )
Structure Level Pattern Image Note
TS28: prostate gland Present UC Davis_1878933

Specimen UC Davis_1878934: postnatal adult; Prkcqtm1.1(KOMP)Vlcg/Prkcq+ (more )
Structure Level Pattern Image Note
TS28: prostate gland Present UC Davis_1878934

Specimen UC Davis_1878935: postnatal adult; Prkcqtm1.1(KOMP)Vlcg/Prkcq+ (more )
Structure Level Pattern Image Note
TS28: penis Present UC Davis_1878935

Specimen UC Davis_1878936: postnatal adult; Prkcqtm1.1(KOMP)Vlcg/Prkcq+ (more )
Structure Level Pattern Image Note
TS28: penis Present UC Davis_1878936

Specimen UC Davis_1878937: postnatal adult; Prkcqtm1.1(KOMP)Vlcg/Prkcq+ (more )
Structure Level Pattern Image Note
TS28: penis Present UC Davis_1878937

Specimen UC Davis_1878938: postnatal adult; Prkcqtm1.1(KOMP)Vlcg/Prkcq+ (more )
Structure Level Pattern Image Note
TS28: ductus deferens Present UC Davis_1878938 vas deferens

Specimen UC Davis_1878939: postnatal adult; Prkcqtm1.1(KOMP)Vlcg/Prkcq+ (more )
Structure Level Pattern Image Note
TS28: ductus deferens Present UC Davis_1878939 vas deferens


Contributing Projects:
Mouse Genome Database (MGD), Gene Expression Database (GXD), Mouse Models of Human Cancer database (MMHCdb) (formerly Mouse Tumor Biology (MTB)), Gene Ontology (GO)
Citing These Resources
Funding Information
Warranty Disclaimer, Privacy Notice, Licensing, & Copyright
Send questions and comments to User Support.
last database update
01/20/2026
MGI 6.24
The Jackson Laboratory