About   Help   FAQ
Gene Expression Data
Assay Details
Assay
Reference: J:228563 Koscielny G, et al., The International Mouse Phenotyping Consortium Web Portal, a unified point of access for knockout mice and related phenotyping data. Nucleic Acids Res. 2014 Jan;42(Database issue):D802-9
Assay type: In situ reporter (knock in)
MGI Accession ID: MGI:6693088
Gene symbol: Slc39a7
Gene name: solute carrier family 39 (zinc transporter), member 7
Reporter: lacZ
Direct Detection
Results
Specimen UC Davis_1858976: postnatal adult; Slc39a7tm1.1(KOMP)Mbp/Slc39a7+ (more )
Note: The IMPC refers to this as a tm1b allele; when using standard nomenclature conventions, however, it is a tm1.1 allele.
Structure Level Pattern Image Note
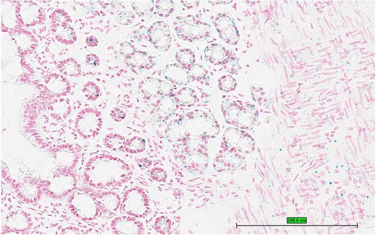
TS28: submandibular gland Present UC Davis_1858976

Specimen UC Davis_1858977: postnatal adult; Slc39a7tm1.1(KOMP)Mbp/Slc39a7+ (more )
Note: The IMPC refers to this as a tm1b allele; when using standard nomenclature conventions, however, it is a tm1.1 allele.
Structure Level Pattern Image Note
TS28: submandibular gland Present UC Davis_1858977

Specimen UC Davis_1858978: postnatal adult; Slc39a7tm1.1(KOMP)Mbp/Slc39a7+ (more )
Note: The IMPC refers to this as a tm1b allele; when using standard nomenclature conventions, however, it is a tm1.1 allele.
Structure Level Pattern Image Note
TS28: sublingual gland Present UC Davis_1858978

Specimen UC Davis_1858979: postnatal adult; Slc39a7tm1.1(KOMP)Mbp/Slc39a7+ (more )
Note: The IMPC refers to this as a tm1b allele; when using standard nomenclature conventions, however, it is a tm1.1 allele.
Structure Level Pattern Image Note
TS28: sublingual gland Present UC Davis_1858979

Specimen UC Davis_1858980: postnatal adult; Slc39a7tm1.1(KOMP)Mbp/Slc39a7+ (more )
Note: The IMPC refers to this as a tm1b allele; when using standard nomenclature conventions, however, it is a tm1.1 allele.
Structure Level Pattern Image Note
TS28: parotid gland Present UC Davis_1858980

Specimen UC Davis_1858981: postnatal adult; Slc39a7tm1.1(KOMP)Mbp/Slc39a7+ (more )
Note: The IMPC refers to this as a tm1b allele; when using standard nomenclature conventions, however, it is a tm1.1 allele.
Structure Level Pattern Image Note
TS28: parotid gland Present UC Davis_1858981

Specimen UC Davis_1858983: postnatal adult; Slc39a7tm1.1(KOMP)Mbp/Slc39a7+ (more )
Note: The IMPC refers to this as a tm1b allele; when using standard nomenclature conventions, however, it is a tm1.1 allele.
Structure Level Pattern Image Note
TS28: trachea Present UC Davis_1858983

Specimen UC Davis_1858984: postnatal adult; Slc39a7tm1.1(KOMP)Mbp/Slc39a7+ (more )
Note: The IMPC refers to this as a tm1b allele; when using standard nomenclature conventions, however, it is a tm1.1 allele.
Structure Level Pattern Image Note
TS28: trachea Present UC Davis_1858984

Specimen UC Davis_1858985: postnatal adult; Slc39a7tm1.1(KOMP)Mbp/Slc39a7+ (more )
Note: The IMPC refers to this as a tm1b allele; when using standard nomenclature conventions, however, it is a tm1.1 allele.
Structure Level Pattern Image Note
TS28: trachea Present UC Davis_1858985

Specimen UC Davis_1858986: postnatal adult; Slc39a7tm1.1(KOMP)Mbp/Slc39a7+ (more )
Note: The IMPC refers to this as a tm1b allele; when using standard nomenclature conventions, however, it is a tm1.1 allele.
Structure Level Pattern Image Note
TS28: esophagus Present UC Davis_1858986

Specimen UC Davis_1858987: postnatal adult; Slc39a7tm1.1(KOMP)Mbp/Slc39a7+ (more )
Note: The IMPC refers to this as a tm1b allele; when using standard nomenclature conventions, however, it is a tm1.1 allele.
Structure Level Pattern Image Note
TS28: esophagus Present UC Davis_1858987

Specimen UC Davis_1858988: postnatal adult; Slc39a7tm1.1(KOMP)Mbp/Slc39a7+ (more )
Note: The IMPC refers to this as a tm1b allele; when using standard nomenclature conventions, however, it is a tm1.1 allele.
Structure Level Pattern Image Note
TS28: thyroid gland Present UC Davis_1858988

Specimen UC Davis_1858989: postnatal adult; Slc39a7tm1.1(KOMP)Mbp/Slc39a7+ (more )
Note: The IMPC refers to this as a tm1b allele; when using standard nomenclature conventions, however, it is a tm1.1 allele.
Structure Level Pattern Image Note
TS28: parathyroid gland Present UC Davis_1858989

Specimen UC Davis_1858990: postnatal adult; Slc39a7tm1.1(KOMP)Mbp/Slc39a7+ (more )
Note: The IMPC refers to this as a tm1b allele; when using standard nomenclature conventions, however, it is a tm1.1 allele.
Structure Level Pattern Image Note
TS28: aorta Present UC Davis_1858990

Specimen UC Davis_1858991: postnatal adult; Slc39a7tm1.1(KOMP)Mbp/Slc39a7+ (more )
Note: The IMPC refers to this as a tm1b allele; when using standard nomenclature conventions, however, it is a tm1.1 allele.
Structure Level Pattern Image Note
TS28: lung Present UC Davis_1858991

Specimen UC Davis_1858992: postnatal adult; Slc39a7tm1.1(KOMP)Mbp/Slc39a7+ (more )
Note: The IMPC refers to this as a tm1b allele; when using standard nomenclature conventions, however, it is a tm1.1 allele.
Structure Level Pattern Image Note
TS28: lung Present UC Davis_1858992

Specimen UC Davis_1858993: postnatal adult; Slc39a7tm1.1(KOMP)Mbp/Slc39a7+ (more )
Note: The IMPC refers to this as a tm1b allele; when using standard nomenclature conventions, however, it is a tm1.1 allele.
Structure Level Pattern Image Note
TS28: thymus Present UC Davis_1858993

Specimen UC Davis_1858997: postnatal adult; Slc39a7tm1.1(KOMP)Mbp/Slc39a7+ (more )
Note: The IMPC refers to this as a tm1b allele; when using standard nomenclature conventions, however, it is a tm1.1 allele.
Structure Level Pattern Image Note
TS28: stomach Present UC Davis_1858997

Specimen UC Davis_1858998: postnatal adult; Slc39a7tm1.1(KOMP)Mbp/Slc39a7+ (more )
Note: The IMPC refers to this as a tm1b allele; when using standard nomenclature conventions, however, it is a tm1.1 allele.
Structure Level Pattern Image Note
TS28: stomach Present UC Davis_1858998

Specimen UC Davis_1858999: postnatal adult; Slc39a7tm1.1(KOMP)Mbp/Slc39a7+ (more )
Note: The IMPC refers to this as a tm1b allele; when using standard nomenclature conventions, however, it is a tm1.1 allele.
Structure Level Pattern Image Note
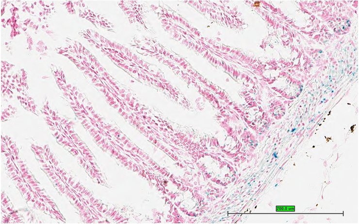
TS28: jejunum Present UC Davis_1858999

Specimen UC Davis_1859000: postnatal adult; Slc39a7tm1.1(KOMP)Mbp/Slc39a7+ (more )
Note: The IMPC refers to this as a tm1b allele; when using standard nomenclature conventions, however, it is a tm1.1 allele.
Structure Level Pattern Image Note
TS28: jejunum Present UC Davis_1859000

Specimen UC Davis_1859001: postnatal adult; Slc39a7tm1.1(KOMP)Mbp/Slc39a7+ (more )
Note: The IMPC refers to this as a tm1b allele; when using standard nomenclature conventions, however, it is a tm1.1 allele.
Structure Level Pattern Image Note
TS28: ileum Present UC Davis_1859001

Specimen UC Davis_1859002: postnatal adult; Slc39a7tm1.1(KOMP)Mbp/Slc39a7+ (more )
Note: The IMPC refers to this as a tm1b allele; when using standard nomenclature conventions, however, it is a tm1.1 allele.
Structure Level Pattern Image Note
TS28: ileum Present UC Davis_1859002

Specimen UC Davis_1859003: postnatal adult; Slc39a7tm1.1(KOMP)Mbp/Slc39a7+ (more )
Note: The IMPC refers to this as a tm1b allele; when using standard nomenclature conventions, however, it is a tm1.1 allele.
Structure Level Pattern Image Note
TS28: colon Present UC Davis_1859003

Specimen UC Davis_1859004: postnatal adult; Slc39a7tm1.1(KOMP)Mbp/Slc39a7+ (more )
Note: The IMPC refers to this as a tm1b allele; when using standard nomenclature conventions, however, it is a tm1.1 allele.
Structure Level Pattern Image Note
TS28: colon Present UC Davis_1859004

Specimen UC Davis_1859005: postnatal adult; Slc39a7tm1.1(KOMP)Mbp/Slc39a7+ (more )
Note: The IMPC refers to this as a tm1b allele; when using standard nomenclature conventions, however, it is a tm1.1 allele.
Structure Level Pattern Image Note
TS28: cecum Present UC Davis_1859005

Specimen UC Davis_1859006: postnatal adult; Slc39a7tm1.1(KOMP)Mbp/Slc39a7+ (more )
Note: The IMPC refers to this as a tm1b allele; when using standard nomenclature conventions, however, it is a tm1.1 allele.
Structure Level Pattern Image Note
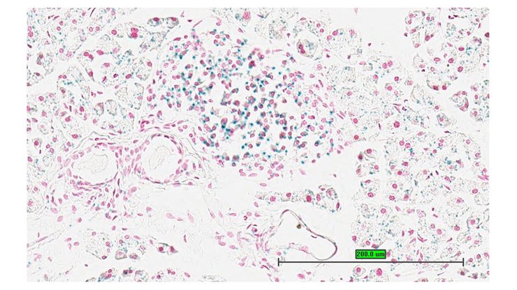
TS28: spleen Present UC Davis_1859006

Specimen UC Davis_1859007: postnatal adult; Slc39a7tm1.1(KOMP)Mbp/Slc39a7+ (more )
Note: The IMPC refers to this as a tm1b allele; when using standard nomenclature conventions, however, it is a tm1.1 allele.
Structure Level Pattern Image Note
TS28: pancreas Present UC Davis_1859007

Specimen UC Davis_1859008: postnatal adult; Slc39a7tm1.1(KOMP)Mbp/Slc39a7+ (more )
Note: The IMPC refers to this as a tm1b allele; when using standard nomenclature conventions, however, it is a tm1.1 allele.
Structure Level Pattern Image Note
TS28: metanephros Present UC Davis_1859008 kidney

Specimen UC Davis_1859009: postnatal adult; Slc39a7tm1.1(KOMP)Mbp/Slc39a7+ (more )
Note: The IMPC refers to this as a tm1b allele; when using standard nomenclature conventions, however, it is a tm1.1 allele.
Structure Level Pattern Image Note
TS28: metanephros Present UC Davis_1859009 kidney

Specimen UC Davis_1859010: postnatal adult; Slc39a7tm1.1(KOMP)Mbp/Slc39a7+ (more )
Note: The IMPC refers to this as a tm1b allele; when using standard nomenclature conventions, however, it is a tm1.1 allele.
Structure Level Pattern Image Note
TS28: quadriceps femoris muscle Present UC Davis_1859010

Specimen UC Davis_1859011: postnatal adult; Slc39a7tm1.1(KOMP)Mbp/Slc39a7+ (more )
Note: The IMPC refers to this as a tm1b allele; when using standard nomenclature conventions, however, it is a tm1.1 allele.
Structure Level Pattern Image Note
TS28: quadriceps femoris muscle Present UC Davis_1859011

Specimen UC Davis_1859012: postnatal adult; Slc39a7tm1.1(KOMP)Mbp/Slc39a7+ (more )
Note: The IMPC refers to this as a tm1b allele; when using standard nomenclature conventions, however, it is a tm1.1 allele.
Structure Level Pattern Image Note
TS28: tongue Present UC Davis_1859012

Specimen UC Davis_1859013: postnatal adult; Slc39a7tm1.1(KOMP)Mbp/Slc39a7+ (more )
Note: The IMPC refers to this as a tm1b allele; when using standard nomenclature conventions, however, it is a tm1.1 allele.
Structure Level Pattern Image Note
TS28: tongue Present UC Davis_1859013

Specimen UC Davis_1859014: postnatal adult; Slc39a7tm1.1(KOMP)Mbp/Slc39a7+ (more )
Note: The IMPC refers to this as a tm1b allele; when using standard nomenclature conventions, however, it is a tm1.1 allele.
Structure Level Pattern Image Note
TS28: tongue Present UC Davis_1859014

Specimen UC Davis_1859015: postnatal adult; Slc39a7tm1.1(KOMP)Mbp/Slc39a7+ (more )
Note: The IMPC refers to this as a tm1b allele; when using standard nomenclature conventions, however, it is a tm1.1 allele.
Structure Level Pattern Image Note
TS28: adrenal gland Present UC Davis_1859015

Specimen UC Davis_1859016: postnatal adult; Slc39a7tm1.1(KOMP)Mbp/Slc39a7+ (more )
Note: The IMPC refers to this as a tm1b allele; when using standard nomenclature conventions, however, it is a tm1.1 allele.
Structure Level Pattern Image Note
TS28: adrenal gland Present UC Davis_1859016

Specimen UC Davis_1859017: postnatal adult; Slc39a7tm1.1(KOMP)Mbp/Slc39a7+ (more )
Note: The IMPC refers to this as a tm1b allele; when using standard nomenclature conventions, however, it is a tm1.1 allele.
Structure Level Pattern Image Note
TS28: pituitary gland Present UC Davis_1859017

Specimen UC Davis_1859018: postnatal adult; Slc39a7tm1.1(KOMP)Mbp/Slc39a7+ (more )
Note: The IMPC refers to this as a tm1b allele; when using standard nomenclature conventions, however, it is a tm1.1 allele.
Structure Level Pattern Image Note
TS28: pituitary gland Present UC Davis_1859018

Specimen UC Davis_1859019: postnatal adult; Slc39a7tm1.1(KOMP)Mbp/Slc39a7+ (more )
Note: The IMPC refers to this as a tm1b allele; when using standard nomenclature conventions, however, it is a tm1.1 allele.
Structure Level Pattern Image Note
TS28: spinal cord Present UC Davis_1859019

Specimen UC Davis_1859020: postnatal adult; Slc39a7tm1.1(KOMP)Mbp/Slc39a7+ (more )
Note: The IMPC refers to this as a tm1b allele; when using standard nomenclature conventions, however, it is a tm1.1 allele.
Structure Level Pattern Image Note
TS28: spinal cord Present UC Davis_1859020

Specimen UC Davis_1859021: postnatal adult; Slc39a7tm1.1(KOMP)Mbp/Slc39a7+ (more )
Note: The IMPC refers to this as a tm1b allele; when using standard nomenclature conventions, however, it is a tm1.1 allele.
Structure Level Pattern Image Note
TS28: eye Present UC Davis_1859021

Specimen UC Davis_1859022: postnatal adult; Slc39a7tm1.1(KOMP)Mbp/Slc39a7+ (more )
Note: The IMPC refers to this as a tm1b allele; when using standard nomenclature conventions, however, it is a tm1.1 allele.
Structure Level Pattern Image Note
TS28: eye Present UC Davis_1859022

Specimen UC Davis_1859023: postnatal adult; Slc39a7tm1.1(KOMP)Mbp/Slc39a7+ (more )
Note: The IMPC refers to this as a tm1b allele; when using standard nomenclature conventions, however, it is a tm1.1 allele.
Structure Level Pattern Image Note
TS28: Harderian gland Present UC Davis_1859023

Specimen UC Davis_1859024: postnatal adult; Slc39a7tm1.1(KOMP)Mbp/Slc39a7+ (more )
Note: The IMPC refers to this as a tm1b allele; when using standard nomenclature conventions, however, it is a tm1.1 allele.
Structure Level Pattern Image Note
TS28: Harderian gland Present UC Davis_1859024

Specimen UC Davis_1859025: postnatal adult; Slc39a7tm1.1(KOMP)Mbp/Slc39a7+ (more )
Note: The IMPC refers to this as a tm1b allele; when using standard nomenclature conventions, however, it is a tm1.1 allele.
Structure Level Pattern Image Note
TS28: gonadal fat pad Present UC Davis_1859025

Specimen UC Davis_1859026: postnatal adult; Slc39a7tm1.1(KOMP)Mbp/Slc39a7+ (more )
Note: The IMPC refers to this as a tm1b allele; when using standard nomenclature conventions, however, it is a tm1.1 allele.
Structure Level Pattern Image Note
TS28: skin Present UC Davis_1859026

Specimen UC Davis_1859027: postnatal adult; Slc39a7tm1.1(KOMP)Mbp/Slc39a7+ (more )
Note: The IMPC refers to this as a tm1b allele; when using standard nomenclature conventions, however, it is a tm1.1 allele.
Structure Level Pattern Image Note
TS28: skin Present UC Davis_1859027

Specimen UC Davis_1859028: postnatal adult; Slc39a7tm1.1(KOMP)Mbp/Slc39a7+ (more )
Note: The IMPC refers to this as a tm1b allele; when using standard nomenclature conventions, however, it is a tm1.1 allele.
Structure Level Pattern Image Note
TS28: olfactory lobe Present UC Davis_1859028

Specimen UC Davis_1859030: postnatal adult; Slc39a7tm1.1(KOMP)Mbp/Slc39a7+ (more )
Note: The IMPC refers to this as a tm1b allele; when using standard nomenclature conventions, however, it is a tm1.1 allele.
Structure Level Pattern Image Note
TS28: midbrain Present UC Davis_1859030

Specimen UC Davis_1859032: postnatal adult; Slc39a7tm1.1(KOMP)Mbp/Slc39a7+ (more )
Note: The IMPC refers to this as a tm1b allele; when using standard nomenclature conventions, however, it is a tm1.1 allele.
Structure Level Pattern Image Note
TS28: cerebellum Present UC Davis_1859032

Specimen UC Davis_1859033: postnatal adult; Slc39a7tm1.1(KOMP)Mbp/Slc39a7+ (more )
Note: The IMPC refers to this as a tm1b allele; when using standard nomenclature conventions, however, it is a tm1.1 allele.
Structure Level Pattern Image Note
TS28: trigeminal nerve Present UC Davis_1859033

Specimen UC Davis_1859034: postnatal adult; Slc39a7tm1.1(KOMP)Mbp/Slc39a7+ (more )
Note: The IMPC refers to this as a tm1b allele; when using standard nomenclature conventions, however, it is a tm1.1 allele.
Structure Level Pattern Image Note
TS28: trigeminal nerve Present UC Davis_1859034

Specimen UC Davis_1859035: postnatal adult; Slc39a7tm1.1(KOMP)Mbp/Slc39a7+ (more )
Note: The IMPC refers to this as a tm1b allele; when using standard nomenclature conventions, however, it is a tm1.1 allele.
Structure Level Pattern Image Note
TS28: ovary Present UC Davis_1859035

Specimen UC Davis_1859036: postnatal adult; Slc39a7tm1.1(KOMP)Mbp/Slc39a7+ (more )
Note: The IMPC refers to this as a tm1b allele; when using standard nomenclature conventions, however, it is a tm1.1 allele.
Structure Level Pattern Image Note
TS28: ovary Present UC Davis_1859036

Specimen UC Davis_1859037: postnatal adult; Slc39a7tm1.1(KOMP)Mbp/Slc39a7+ (more )
Note: The IMPC refers to this as a tm1b allele; when using standard nomenclature conventions, however, it is a tm1.1 allele.
Structure Level Pattern Image Note
TS28: oviduct Present UC Davis_1859037

Specimen UC Davis_1859038: postnatal adult; Slc39a7tm1.1(KOMP)Mbp/Slc39a7+ (more )
Note: The IMPC refers to this as a tm1b allele; when using standard nomenclature conventions, however, it is a tm1.1 allele.
Structure Level Pattern Image Note
TS28: uterus Present UC Davis_1859038

Specimen UC Davis_1859039: postnatal adult; Slc39a7tm1.1(KOMP)Mbp/Slc39a7+ (more )
Note: The IMPC refers to this as a tm1b allele; when using standard nomenclature conventions, however, it is a tm1.1 allele.
Structure Level Pattern Image Note
TS28: uterus Present UC Davis_1859039

Specimen UC Davis_1859040: postnatal adult; Slc39a7tm1.1(KOMP)Mbp/Slc39a7+ (more )
Note: The IMPC refers to this as a tm1b allele; when using standard nomenclature conventions, however, it is a tm1.1 allele.
Structure Level Pattern Image Note
TS28: bladder Present UC Davis_1859040

Specimen UC Davis_1859041: postnatal adult; Slc39a7tm1.1(KOMP)Mbp/Slc39a7+ (more )
Note: The IMPC refers to this as a tm1b allele; when using standard nomenclature conventions, however, it is a tm1.1 allele.
Structure Level Pattern Image Note
TS28: bladder Present UC Davis_1859041

Specimen UC Davis_1859042: postnatal adult; Slc39a7tm1.1(KOMP)Mbp/Slc39a7+ (more )
Note: The IMPC refers to this as a tm1b allele; when using standard nomenclature conventions, however, it is a tm1.1 allele.
Structure Level Pattern Image Note
TS28: bone marrow Present UC Davis_1859042

Specimen UC Davis_1859043: postnatal adult; Slc39a7tm1.1(KOMP)Mbp/Slc39a7+ (more )
Note: The IMPC refers to this as a tm1b allele; when using standard nomenclature conventions, however, it is a tm1.1 allele.
Structure Level Pattern Image Note
TS28: bone marrow Present UC Davis_1859043

Specimen UC Davis_1859044: postnatal adult; Slc39a7tm1.1(KOMP)Mbp/Slc39a7+ (more )
Note: The IMPC refers to this as a tm1b allele; when using standard nomenclature conventions, however, it is a tm1.1 allele.
Structure Level Pattern Image Note
TS28: mammary gland Present UC Davis_1859044

Specimen UC Davis_1859091: postnatal adult; Slc39a7tm1.1(KOMP)Mbp/Slc39a7+ (more )
Note: The IMPC refers to this as a tm1b allele; when using standard nomenclature conventions, however, it is a tm1.1 allele.
Structure Level Pattern Image Note
TS28: olfactory lobe Present UC Davis_1859091

Specimen UC Davis_1859092: postnatal adult; Slc39a7tm1.1(KOMP)Mbp/Slc39a7+ (more )
Note: The IMPC refers to this as a tm1b allele; when using standard nomenclature conventions, however, it is a tm1.1 allele.
Structure Level Pattern Image Note
TS28: lung Present UC Davis_1859092

Specimen UC Davis_1859093: postnatal adult; Slc39a7tm1.1(KOMP)Mbp/Slc39a7+ (more )
Note: The IMPC refers to this as a tm1b allele; when using standard nomenclature conventions, however, it is a tm1.1 allele.
Structure Level Pattern Image Note
TS28: gonadal fat pad Present UC Davis_1859093

Specimen UC Davis_1859094: postnatal adult; Slc39a7tm1.1(KOMP)Mbp/Slc39a7+ (more )
Note: The IMPC refers to this as a tm1b allele; when using standard nomenclature conventions, however, it is a tm1.1 allele.
Structure Level Pattern Image Note
TS28: gonadal fat pad Present UC Davis_1859094

Specimen UC Davis_1859095: postnatal adult; Slc39a7tm1.1(KOMP)Mbp/Slc39a7+ (more )
Note: The IMPC refers to this as a tm1b allele; when using standard nomenclature conventions, however, it is a tm1.1 allele.
Structure Level Pattern Image Note
TS28: ovary Present UC Davis_1859095

Specimen UC Davis_1859096: postnatal adult; Slc39a7tm1.1(KOMP)Mbp/Slc39a7+ (more )
Note: The IMPC refers to this as a tm1b allele; when using standard nomenclature conventions, however, it is a tm1.1 allele.
Structure Level Pattern Image Note
TS28: oviduct Present UC Davis_1859096

Specimen UC Davis_1859097: postnatal adult; Slc39a7tm1.1(KOMP)Mbp/Slc39a7+ (more )
Note: The IMPC refers to this as a tm1b allele; when using standard nomenclature conventions, however, it is a tm1.1 allele.
Structure Level Pattern Image Note
TS28: uterus Present UC Davis_1859097

Specimen UC Davis_1858882: postnatal adult; Slc39a7tm1.1(KOMP)Mbp/Slc39a7+ (more )
Note: The IMPC refers to this as a tm1b allele; when using standard nomenclature conventions, however, it is a tm1.1 allele.
Structure Level Pattern Image Note
TS28: submandibular gland Present UC Davis_1858882

Specimen UC Davis_1858883: postnatal adult; Slc39a7tm1.1(KOMP)Mbp/Slc39a7+ (more )
Note: The IMPC refers to this as a tm1b allele; when using standard nomenclature conventions, however, it is a tm1.1 allele.
Structure Level Pattern Image Note
TS28: submandibular gland Present UC Davis_1858883

Specimen UC Davis_1858884: postnatal adult; Slc39a7tm1.1(KOMP)Mbp/Slc39a7+ (more )
Note: The IMPC refers to this as a tm1b allele; when using standard nomenclature conventions, however, it is a tm1.1 allele.
Structure Level Pattern Image Note
TS28: submandibular gland Present UC Davis_1858884

Specimen UC Davis_1858885: postnatal adult; Slc39a7tm1.1(KOMP)Mbp/Slc39a7+ (more )
Note: The IMPC refers to this as a tm1b allele; when using standard nomenclature conventions, however, it is a tm1.1 allele.
Structure Level Pattern Image Note
TS28: sublingual gland Present UC Davis_1858885

Specimen UC Davis_1858886: postnatal adult; Slc39a7tm1.1(KOMP)Mbp/Slc39a7+ (more )
Note: The IMPC refers to this as a tm1b allele; when using standard nomenclature conventions, however, it is a tm1.1 allele.
Structure Level Pattern Image Note
TS28: sublingual gland Present UC Davis_1858886

Specimen UC Davis_1858887: postnatal adult; Slc39a7tm1.1(KOMP)Mbp/Slc39a7+ (more )
Note: The IMPC refers to this as a tm1b allele; when using standard nomenclature conventions, however, it is a tm1.1 allele.
Structure Level Pattern Image Note
TS28: parotid gland Present UC Davis_1858887

Specimen UC Davis_1858889: postnatal adult; Slc39a7tm1.1(KOMP)Mbp/Slc39a7+ (more )
Note: The IMPC refers to this as a tm1b allele; when using standard nomenclature conventions, however, it is a tm1.1 allele.
Structure Level Pattern Image Note
TS28: trachea Present UC Davis_1858889

Specimen UC Davis_1858890: postnatal adult; Slc39a7tm1.1(KOMP)Mbp/Slc39a7+ (more )
Note: The IMPC refers to this as a tm1b allele; when using standard nomenclature conventions, however, it is a tm1.1 allele.
Structure Level Pattern Image Note
TS28: trachea Present UC Davis_1858890

Specimen UC Davis_1858891: postnatal adult; Slc39a7tm1.1(KOMP)Mbp/Slc39a7+ (more )
Note: The IMPC refers to this as a tm1b allele; when using standard nomenclature conventions, however, it is a tm1.1 allele.
Structure Level Pattern Image Note
TS28: esophagus Present UC Davis_1858891

Specimen UC Davis_1858892: postnatal adult; Slc39a7tm1.1(KOMP)Mbp/Slc39a7+ (more )
Note: The IMPC refers to this as a tm1b allele; when using standard nomenclature conventions, however, it is a tm1.1 allele.
Structure Level Pattern Image Note
TS28: esophagus Present UC Davis_1858892

Specimen UC Davis_1858893: postnatal adult; Slc39a7tm1.1(KOMP)Mbp/Slc39a7+ (more )
Note: The IMPC refers to this as a tm1b allele; when using standard nomenclature conventions, however, it is a tm1.1 allele.
Structure Level Pattern Image Note
TS28: thyroid gland Present UC Davis_1858893

Specimen UC Davis_1858895: postnatal adult; Slc39a7tm1.1(KOMP)Mbp/Slc39a7+ (more )
Note: The IMPC refers to this as a tm1b allele; when using standard nomenclature conventions, however, it is a tm1.1 allele.
Structure Level Pattern Image Note
TS28: aorta Present UC Davis_1858895

Specimen UC Davis_1858896: postnatal adult; Slc39a7tm1.1(KOMP)Mbp/Slc39a7+ (more )
Note: The IMPC refers to this as a tm1b allele; when using standard nomenclature conventions, however, it is a tm1.1 allele.
Structure Level Pattern Image Note
TS28: lung Present UC Davis_1858896

Specimen UC Davis_1858897: postnatal adult; Slc39a7tm1.1(KOMP)Mbp/Slc39a7+ (more )
Note: The IMPC refers to this as a tm1b allele; when using standard nomenclature conventions, however, it is a tm1.1 allele.
Structure Level Pattern Image Note
TS28: lung Present UC Davis_1858897

Specimen UC Davis_1858898: postnatal adult; Slc39a7tm1.1(KOMP)Mbp/Slc39a7+ (more )
Note: The IMPC refers to this as a tm1b allele; when using standard nomenclature conventions, however, it is a tm1.1 allele.
Structure Level Pattern Image Note
TS28: thymus Present UC Davis_1858898

Specimen UC Davis_1858899: postnatal adult; Slc39a7tm1.1(KOMP)Mbp/Slc39a7+ (more )
Note: The IMPC refers to this as a tm1b allele; when using standard nomenclature conventions, however, it is a tm1.1 allele.
Structure Level Pattern Image Note
TS28: thymus Present UC Davis_1858899

Specimen UC Davis_1858904: postnatal adult; Slc39a7tm1.1(KOMP)Mbp/Slc39a7+ (more )
Note: The IMPC refers to this as a tm1b allele; when using standard nomenclature conventions, however, it is a tm1.1 allele.
Structure Level Pattern Image Note
TS28: stomach Present UC Davis_1858904

Specimen UC Davis_1858905: postnatal adult; Slc39a7tm1.1(KOMP)Mbp/Slc39a7+ (more )
Note: The IMPC refers to this as a tm1b allele; when using standard nomenclature conventions, however, it is a tm1.1 allele.
Structure Level Pattern Image Note
TS28: stomach Present UC Davis_1858905

Specimen UC Davis_1858906: postnatal adult; Slc39a7tm1.1(KOMP)Mbp/Slc39a7+ (more )
Note: The IMPC refers to this as a tm1b allele; when using standard nomenclature conventions, however, it is a tm1.1 allele.
Structure Level Pattern Image Note
TS28: stomach Present UC Davis_1858906

Specimen UC Davis_1858907: postnatal adult; Slc39a7tm1.1(KOMP)Mbp/Slc39a7+ (more )
Note: The IMPC refers to this as a tm1b allele; when using standard nomenclature conventions, however, it is a tm1.1 allele.
Structure Level Pattern Image Note
TS28: stomach Present UC Davis_1858907

Specimen UC Davis_1858908: postnatal adult; Slc39a7tm1.1(KOMP)Mbp/Slc39a7+ (more )
Note: The IMPC refers to this as a tm1b allele; when using standard nomenclature conventions, however, it is a tm1.1 allele.
Structure Level Pattern Image Note
TS28: duodenum Present UC Davis_1858908

Specimen UC Davis_1858909: postnatal adult; Slc39a7tm1.1(KOMP)Mbp/Slc39a7+ (more )
Note: The IMPC refers to this as a tm1b allele; when using standard nomenclature conventions, however, it is a tm1.1 allele.
Structure Level Pattern Image Note
TS28: duodenum Present UC Davis_1858909

Specimen UC Davis_1858910: postnatal adult; Slc39a7tm1.1(KOMP)Mbp/Slc39a7+ (more )
Note: The IMPC refers to this as a tm1b allele; when using standard nomenclature conventions, however, it is a tm1.1 allele.
Structure Level Pattern Image Note
TS28: jejunum Present UC Davis_1858910

Specimen UC Davis_1858911: postnatal adult; Slc39a7tm1.1(KOMP)Mbp/Slc39a7+ (more )
Note: The IMPC refers to this as a tm1b allele; when using standard nomenclature conventions, however, it is a tm1.1 allele.
Structure Level Pattern Image Note
TS28: ileum Present UC Davis_1858911

Specimen UC Davis_1858912: postnatal adult; Slc39a7tm1.1(KOMP)Mbp/Slc39a7+ (more )
Note: The IMPC refers to this as a tm1b allele; when using standard nomenclature conventions, however, it is a tm1.1 allele.
Structure Level Pattern Image Note
TS28: ileum Present UC Davis_1858912

Specimen UC Davis_1858913: postnatal adult; Slc39a7tm1.1(KOMP)Mbp/Slc39a7+ (more )
Note: The IMPC refers to this as a tm1b allele; when using standard nomenclature conventions, however, it is a tm1.1 allele.
Structure Level Pattern Image Note
TS28: colon Present UC Davis_1858913

Specimen UC Davis_1858914: postnatal adult; Slc39a7tm1.1(KOMP)Mbp/Slc39a7+ (more )
Note: The IMPC refers to this as a tm1b allele; when using standard nomenclature conventions, however, it is a tm1.1 allele.
Structure Level Pattern Image Note
TS28: colon Present UC Davis_1858914

Specimen UC Davis_1858915: postnatal adult; Slc39a7tm1.1(KOMP)Mbp/Slc39a7+ (more )
Note: The IMPC refers to this as a tm1b allele; when using standard nomenclature conventions, however, it is a tm1.1 allele.
Structure Level Pattern Image Note
TS28: cecum Present UC Davis_1858915

Specimen UC Davis_1858916: postnatal adult; Slc39a7tm1.1(KOMP)Mbp/Slc39a7+ (more )
Note: The IMPC refers to this as a tm1b allele; when using standard nomenclature conventions, however, it is a tm1.1 allele.
Structure Level Pattern Image Note
TS28: spleen Present UC Davis_1858916

Specimen UC Davis_1858917: postnatal adult; Slc39a7tm1.1(KOMP)Mbp/Slc39a7+ (more )
Note: The IMPC refers to this as a tm1b allele; when using standard nomenclature conventions, however, it is a tm1.1 allele.
Structure Level Pattern Image Note
TS28: spleen Present UC Davis_1858917

Specimen UC Davis_1858918: postnatal adult; Slc39a7tm1.1(KOMP)Mbp/Slc39a7+ (more )
Note: The IMPC refers to this as a tm1b allele; when using standard nomenclature conventions, however, it is a tm1.1 allele.
Structure Level Pattern Image Note
TS28: spleen Present UC Davis_1858918

Specimen UC Davis_1858919: postnatal adult; Slc39a7tm1.1(KOMP)Mbp/Slc39a7+ (more )
Note: The IMPC refers to this as a tm1b allele; when using standard nomenclature conventions, however, it is a tm1.1 allele.
Structure Level Pattern Image Note
TS28: pancreas Present UC Davis_1858919

Specimen UC Davis_1858920: postnatal adult; Slc39a7tm1.1(KOMP)Mbp/Slc39a7+ (more )
Note: The IMPC refers to this as a tm1b allele; when using standard nomenclature conventions, however, it is a tm1.1 allele.
Structure Level Pattern Image Note
TS28: pancreas Present UC Davis_1858920

Specimen UC Davis_1858921: postnatal adult; Slc39a7tm1.1(KOMP)Mbp/Slc39a7+ (more )
Note: The IMPC refers to this as a tm1b allele; when using standard nomenclature conventions, however, it is a tm1.1 allele.
Structure Level Pattern Image Note
TS28: metanephros Present UC Davis_1858921 kidney

Specimen UC Davis_1858922: postnatal adult; Slc39a7tm1.1(KOMP)Mbp/Slc39a7+ (more )
Note: The IMPC refers to this as a tm1b allele; when using standard nomenclature conventions, however, it is a tm1.1 allele.
Structure Level Pattern Image Note
TS28: metanephros Present UC Davis_1858922 kidney

Specimen UC Davis_1858923: postnatal adult; Slc39a7tm1.1(KOMP)Mbp/Slc39a7+ (more )
Note: The IMPC refers to this as a tm1b allele; when using standard nomenclature conventions, however, it is a tm1.1 allele.
Structure Level Pattern Image Note
TS28: metanephros Present UC Davis_1858923 kidney

Specimen UC Davis_1858924: postnatal adult; Slc39a7tm1.1(KOMP)Mbp/Slc39a7+ (more )
Note: The IMPC refers to this as a tm1b allele; when using standard nomenclature conventions, however, it is a tm1.1 allele.
Structure Level Pattern Image Note
TS28: metanephros Present UC Davis_1858924 kidney

Specimen UC Davis_1858925: postnatal adult; Slc39a7tm1.1(KOMP)Mbp/Slc39a7+ (more )
Note: The IMPC refers to this as a tm1b allele; when using standard nomenclature conventions, however, it is a tm1.1 allele.
Structure Level Pattern Image Note
TS28: quadriceps femoris muscle Present UC Davis_1858925

Specimen UC Davis_1858926: postnatal adult; Slc39a7tm1.1(KOMP)Mbp/Slc39a7+ (more )
Note: The IMPC refers to this as a tm1b allele; when using standard nomenclature conventions, however, it is a tm1.1 allele.
Structure Level Pattern Image Note
TS28: quadriceps femoris muscle Present UC Davis_1858926

Specimen UC Davis_1858927: postnatal adult; Slc39a7tm1.1(KOMP)Mbp/Slc39a7+ (more )
Note: The IMPC refers to this as a tm1b allele; when using standard nomenclature conventions, however, it is a tm1.1 allele.
Structure Level Pattern Image Note
TS28: sciatic nerve Present UC Davis_1858927

Specimen UC Davis_1858928: postnatal adult; Slc39a7tm1.1(KOMP)Mbp/Slc39a7+ (more )
Note: The IMPC refers to this as a tm1b allele; when using standard nomenclature conventions, however, it is a tm1.1 allele.
Structure Level Pattern Image Note
TS28: sciatic nerve Present UC Davis_1858928

Specimen UC Davis_1858929: postnatal adult; Slc39a7tm1.1(KOMP)Mbp/Slc39a7+ (more )
Note: The IMPC refers to this as a tm1b allele; when using standard nomenclature conventions, however, it is a tm1.1 allele.
Structure Level Pattern Image Note
TS28: tongue Present UC Davis_1858929

Specimen UC Davis_1858930: postnatal adult; Slc39a7tm1.1(KOMP)Mbp/Slc39a7+ (more )
Note: The IMPC refers to this as a tm1b allele; when using standard nomenclature conventions, however, it is a tm1.1 allele.
Structure Level Pattern Image Note
TS28: tongue Present UC Davis_1858930

Specimen UC Davis_1858931: postnatal adult; Slc39a7tm1.1(KOMP)Mbp/Slc39a7+ (more )
Note: The IMPC refers to this as a tm1b allele; when using standard nomenclature conventions, however, it is a tm1.1 allele.
Structure Level Pattern Image Note
TS28: tongue Present UC Davis_1858931

Specimen UC Davis_1858932: postnatal adult; Slc39a7tm1.1(KOMP)Mbp/Slc39a7+ (more )
Note: The IMPC refers to this as a tm1b allele; when using standard nomenclature conventions, however, it is a tm1.1 allele.
Structure Level Pattern Image Note
TS28: diaphragm Present UC Davis_1858932

Specimen UC Davis_1858933: postnatal adult; Slc39a7tm1.1(KOMP)Mbp/Slc39a7+ (more )
Note: The IMPC refers to this as a tm1b allele; when using standard nomenclature conventions, however, it is a tm1.1 allele.
Structure Level Pattern Image Note
TS28: diaphragm Present UC Davis_1858933

Specimen UC Davis_1858934: postnatal adult; Slc39a7tm1.1(KOMP)Mbp/Slc39a7+ (more )
Note: The IMPC refers to this as a tm1b allele; when using standard nomenclature conventions, however, it is a tm1.1 allele.
Structure Level Pattern Image Note
TS28: adrenal gland Present UC Davis_1858934

Specimen UC Davis_1858935: postnatal adult; Slc39a7tm1.1(KOMP)Mbp/Slc39a7+ (more )
Note: The IMPC refers to this as a tm1b allele; when using standard nomenclature conventions, however, it is a tm1.1 allele.
Structure Level Pattern Image Note
TS28: pituitary gland Present UC Davis_1858935

Specimen UC Davis_1858936: postnatal adult; Slc39a7tm1.1(KOMP)Mbp/Slc39a7+ (more )
Note: The IMPC refers to this as a tm1b allele; when using standard nomenclature conventions, however, it is a tm1.1 allele.
Structure Level Pattern Image Note
TS28: spinal cord Present UC Davis_1858936

Specimen UC Davis_1858937: postnatal adult; Slc39a7tm1.1(KOMP)Mbp/Slc39a7+ (more )
Note: The IMPC refers to this as a tm1b allele; when using standard nomenclature conventions, however, it is a tm1.1 allele.
Structure Level Pattern Image Note
TS28: spinal cord Present UC Davis_1858937

Specimen UC Davis_1858938: postnatal adult; Slc39a7tm1.1(KOMP)Mbp/Slc39a7+ (more )
Note: The IMPC refers to this as a tm1b allele; when using standard nomenclature conventions, however, it is a tm1.1 allele.
Structure Level Pattern Image Note
TS28: spinal cord Present UC Davis_1858938

Specimen UC Davis_1858940: postnatal adult; Slc39a7tm1.1(KOMP)Mbp/Slc39a7+ (more )
Note: The IMPC refers to this as a tm1b allele; when using standard nomenclature conventions, however, it is a tm1.1 allele.
Structure Level Pattern Image Note
TS28: Harderian gland Present UC Davis_1858940

Specimen UC Davis_1858941: postnatal adult; Slc39a7tm1.1(KOMP)Mbp/Slc39a7+ (more )
Note: The IMPC refers to this as a tm1b allele; when using standard nomenclature conventions, however, it is a tm1.1 allele.
Structure Level Pattern Image Note
TS28: gonadal fat pad Present UC Davis_1858941

Specimen UC Davis_1858942: postnatal adult; Slc39a7tm1.1(KOMP)Mbp/Slc39a7+ (more )
Note: The IMPC refers to this as a tm1b allele; when using standard nomenclature conventions, however, it is a tm1.1 allele.
Structure Level Pattern Image Note
TS28: mesenteric adipose tissue Present UC Davis_1858942

Specimen UC Davis_1858943: postnatal adult; Slc39a7tm1.1(KOMP)Mbp/Slc39a7+ (more )
Note: The IMPC refers to this as a tm1b allele; when using standard nomenclature conventions, however, it is a tm1.1 allele.
Structure Level Pattern Image Note
TS28: skin Present UC Davis_1858943

Specimen UC Davis_1858944: postnatal adult; Slc39a7tm1.1(KOMP)Mbp/Slc39a7+ (more )
Note: The IMPC refers to this as a tm1b allele; when using standard nomenclature conventions, however, it is a tm1.1 allele.
Structure Level Pattern Image Note
TS28: skin Present UC Davis_1858944

Specimen UC Davis_1858945: postnatal adult; Slc39a7tm1.1(KOMP)Mbp/Slc39a7+ (more )
Note: The IMPC refers to this as a tm1b allele; when using standard nomenclature conventions, however, it is a tm1.1 allele.
Structure Level Pattern Image Note
TS28: brown fat Present UC Davis_1858945

Specimen UC Davis_1858950: postnatal adult; Slc39a7tm1.1(KOMP)Mbp/Slc39a7+ (more )
Note: The IMPC refers to this as a tm1b allele; when using standard nomenclature conventions, however, it is a tm1.1 allele.
Structure Level Pattern Image Note
TS28: midbrain Present UC Davis_1858950

Specimen UC Davis_1858952: postnatal adult; Slc39a7tm1.1(KOMP)Mbp/Slc39a7+ (more )
Note: The IMPC refers to this as a tm1b allele; when using standard nomenclature conventions, however, it is a tm1.1 allele.
Structure Level Pattern Image Note
TS28: cerebellum Present UC Davis_1858952

Specimen UC Davis_1858953: postnatal adult; Slc39a7tm1.1(KOMP)Mbp/Slc39a7+ (more )
Note: The IMPC refers to this as a tm1b allele; when using standard nomenclature conventions, however, it is a tm1.1 allele.
Structure Level Pattern Image Note
TS28: cerebellum Present UC Davis_1858953

Specimen UC Davis_1858954: postnatal adult; Slc39a7tm1.1(KOMP)Mbp/Slc39a7+ (more )
Note: The IMPC refers to this as a tm1b allele; when using standard nomenclature conventions, however, it is a tm1.1 allele.
Structure Level Pattern Image Note
TS28: trigeminal nerve Present UC Davis_1858954

Specimen UC Davis_1858955: postnatal adult; Slc39a7tm1.1(KOMP)Mbp/Slc39a7+ (more )
Note: The IMPC refers to this as a tm1b allele; when using standard nomenclature conventions, however, it is a tm1.1 allele.
Structure Level Pattern Image Note
TS28: trigeminal nerve Present UC Davis_1858955

Specimen UC Davis_1858956: postnatal adult; Slc39a7tm1.1(KOMP)Mbp/Slc39a7+ (more )
Note: The IMPC refers to this as a tm1b allele; when using standard nomenclature conventions, however, it is a tm1.1 allele.
Structure Level Pattern Image Note
TS28: bladder Present UC Davis_1858956

Specimen UC Davis_1858957: postnatal adult; Slc39a7tm1.1(KOMP)Mbp/Slc39a7+ (more )
Note: The IMPC refers to this as a tm1b allele; when using standard nomenclature conventions, however, it is a tm1.1 allele.
Structure Level Pattern Image Note
TS28: bladder Present UC Davis_1858957

Specimen UC Davis_1858958: postnatal adult; Slc39a7tm1.1(KOMP)Mbp/Slc39a7+ (more )
Note: The IMPC refers to this as a tm1b allele; when using standard nomenclature conventions, however, it is a tm1.1 allele.
Structure Level Pattern Image Note
TS28: testis Present UC Davis_1858958

Specimen UC Davis_1858959: postnatal adult; Slc39a7tm1.1(KOMP)Mbp/Slc39a7+ (more )
Note: The IMPC refers to this as a tm1b allele; when using standard nomenclature conventions, however, it is a tm1.1 allele.
Structure Level Pattern Image Note
TS28: testis Present UC Davis_1858959

Specimen UC Davis_1858960: postnatal adult; Slc39a7tm1.1(KOMP)Mbp/Slc39a7+ (more )
Note: The IMPC refers to this as a tm1b allele; when using standard nomenclature conventions, however, it is a tm1.1 allele.
Structure Level Pattern Image Note
TS28: testis Present UC Davis_1858960

Specimen UC Davis_1858961: postnatal adult; Slc39a7tm1.1(KOMP)Mbp/Slc39a7+ (more )
Note: The IMPC refers to this as a tm1b allele; when using standard nomenclature conventions, however, it is a tm1.1 allele.
Structure Level Pattern Image Note
TS28: testis Present UC Davis_1858961

Specimen UC Davis_1858962: postnatal adult; Slc39a7tm1.1(KOMP)Mbp/Slc39a7+ (more )
Note: The IMPC refers to this as a tm1b allele; when using standard nomenclature conventions, however, it is a tm1.1 allele.
Structure Level Pattern Image Note
TS28: epididymis Present UC Davis_1858962

Specimen UC Davis_1858963: postnatal adult; Slc39a7tm1.1(KOMP)Mbp/Slc39a7+ (more )
Note: The IMPC refers to this as a tm1b allele; when using standard nomenclature conventions, however, it is a tm1.1 allele.
Structure Level Pattern Image Note
TS28: epididymis Present UC Davis_1858963

Specimen UC Davis_1858964: postnatal adult; Slc39a7tm1.1(KOMP)Mbp/Slc39a7+ (more )
Note: The IMPC refers to this as a tm1b allele; when using standard nomenclature conventions, however, it is a tm1.1 allele.
Structure Level Pattern Image Note
TS28: prostate gland Present UC Davis_1858964

Specimen UC Davis_1858965: postnatal adult; Slc39a7tm1.1(KOMP)Mbp/Slc39a7+ (more )
Note: The IMPC refers to this as a tm1b allele; when using standard nomenclature conventions, however, it is a tm1.1 allele.
Structure Level Pattern Image Note
TS28: penis Present UC Davis_1858965

Specimen UC Davis_1858966: postnatal adult; Slc39a7tm1.1(KOMP)Mbp/Slc39a7+ (more )
Note: The IMPC refers to this as a tm1b allele; when using standard nomenclature conventions, however, it is a tm1.1 allele.
Structure Level Pattern Image Note
TS28: penis Present UC Davis_1858966

Specimen UC Davis_1858967: postnatal adult; Slc39a7tm1.1(KOMP)Mbp/Slc39a7+ (more )
Note: The IMPC refers to this as a tm1b allele; when using standard nomenclature conventions, however, it is a tm1.1 allele.
Structure Level Pattern Image Note
TS28: penis Present UC Davis_1858967

Specimen UC Davis_1858968: postnatal adult; Slc39a7tm1.1(KOMP)Mbp/Slc39a7+ (more )
Note: The IMPC refers to this as a tm1b allele; when using standard nomenclature conventions, however, it is a tm1.1 allele.
Structure Level Pattern Image Note
TS28: bone marrow Present UC Davis_1858968

Specimen UC Davis_1858969: postnatal adult; Slc39a7tm1.1(KOMP)Mbp/Slc39a7+ (more )
Note: The IMPC refers to this as a tm1b allele; when using standard nomenclature conventions, however, it is a tm1.1 allele.
Structure Level Pattern Image Note
TS28: bone marrow Present UC Davis_1858969

Specimen UC Davis_1858970: postnatal adult; Slc39a7tm1.1(KOMP)Mbp/Slc39a7+ (more )
Note: The IMPC refers to this as a tm1b allele; when using standard nomenclature conventions, however, it is a tm1.1 allele.
Structure Level Pattern Image Note
TS28: ductus deferens Present UC Davis_1858970 vas deferens

Specimen UC Davis_1858971: postnatal adult; Slc39a7tm1.1(KOMP)Mbp/Slc39a7+ (more )
Note: The IMPC refers to this as a tm1b allele; when using standard nomenclature conventions, however, it is a tm1.1 allele.
Structure Level Pattern Image Note
TS28: ductus deferens Present UC Davis_1858971 vas deferens

Specimen UC Davis_1858974: postnatal adult; Slc39a7tm1.1(KOMP)Mbp/Slc39a7+ (more )
Note: The IMPC refers to this as a tm1b allele; when using standard nomenclature conventions, however, it is a tm1.1 allele.
Structure Level Pattern Image Note
TS28: seminal vesicle Present UC Davis_1858974 vesicular gland

Specimen UC Davis_1858975: postnatal adult; Slc39a7tm1.1(KOMP)Mbp/Slc39a7+ (more )
Note: The IMPC refers to this as a tm1b allele; when using standard nomenclature conventions, however, it is a tm1.1 allele.
Structure Level Pattern Image Note
TS28: seminal vesicle Present UC Davis_1858975 vesicular gland

Specimen UC Davis_1859047: postnatal adult; Slc39a7tm1.1(KOMP)Mbp/Slc39a7+ (more )
Note: The IMPC refers to this as a tm1b allele; when using standard nomenclature conventions, however, it is a tm1.1 allele.
Structure Level Pattern Image Note
TS28: tongue Present UC Davis_1859047

Specimen UC Davis_1859048: postnatal adult; Slc39a7tm1.1(KOMP)Mbp/Slc39a7+ (more )
Note: The IMPC refers to this as a tm1b allele; when using standard nomenclature conventions, however, it is a tm1.1 allele.
Structure Level Pattern Image Note
TS28: spleen Present UC Davis_1859048

Specimen UC Davis_1859049: postnatal adult; Slc39a7tm1.1(KOMP)Mbp/Slc39a7+ (more )
Note: The IMPC refers to this as a tm1b allele; when using standard nomenclature conventions, however, it is a tm1.1 allele.
Structure Level Pattern Image Note
TS28: pancreas Present UC Davis_1859049

Specimen UC Davis_1859052: postnatal adult; Slc39a7tm1.1(KOMP)Mbp/Slc39a7+ (more )
Note: The IMPC refers to this as a tm1b allele; when using standard nomenclature conventions, however, it is a tm1.1 allele.
Structure Level Pattern Image Note
TS28: midbrain Present UC Davis_1859052

Specimen UC Davis_1859053: postnatal adult; Slc39a7tm1.1(KOMP)Mbp/Slc39a7+ (more )
Note: The IMPC refers to this as a tm1b allele; when using standard nomenclature conventions, however, it is a tm1.1 allele.
Structure Level Pattern Image Note
TS28: midbrain Present UC Davis_1859053

Specimen UC Davis_1859055: postnatal adult; Slc39a7tm1.1(KOMP)Mbp/Slc39a7+ (more )
Note: The IMPC refers to this as a tm1b allele; when using standard nomenclature conventions, however, it is a tm1.1 allele.
Structure Level Pattern Image Note
TS28: cerebellum Present UC Davis_1859055

Specimen UC Davis_1859056: postnatal adult; Slc39a7tm1.1(KOMP)Mbp/Slc39a7+ (more )
Note: The IMPC refers to this as a tm1b allele; when using standard nomenclature conventions, however, it is a tm1.1 allele.
Structure Level Pattern Image Note
TS28: brain Present UC Davis_1859056

Specimen UC Davis_1859059: postnatal adult; Slc39a7tm1.1(KOMP)Mbp/Slc39a7+ (more )
Note: The IMPC refers to this as a tm1b allele; when using standard nomenclature conventions, however, it is a tm1.1 allele.
Structure Level Pattern Image Note
TS28: lung Present UC Davis_1859059

Specimen UC Davis_1859060: postnatal adult; Slc39a7tm1.1(KOMP)Mbp/Slc39a7+ (more )
Note: The IMPC refers to this as a tm1b allele; when using standard nomenclature conventions, however, it is a tm1.1 allele.
Structure Level Pattern Image Note
TS28: aorta Present UC Davis_1859060

Specimen UC Davis_1859062: postnatal adult; Slc39a7tm1.1(KOMP)Mbp/Slc39a7+ (more )
Note: The IMPC refers to this as a tm1b allele; when using standard nomenclature conventions, however, it is a tm1.1 allele.
Structure Level Pattern Image Note
TS28: thymus Present UC Davis_1859062

Specimen UC Davis_1859063: postnatal adult; Slc39a7tm1.1(KOMP)Mbp/Slc39a7+ (more )
Note: The IMPC refers to this as a tm1b allele; when using standard nomenclature conventions, however, it is a tm1.1 allele.
Structure Level Pattern Image Note
TS28: metanephros Present UC Davis_1859063 kidney

Specimen UC Davis_1859064: postnatal adult; Slc39a7tm1.1(KOMP)Mbp/Slc39a7+ (more )
Note: The IMPC refers to this as a tm1b allele; when using standard nomenclature conventions, however, it is a tm1.1 allele.
Structure Level Pattern Image Note
TS28: adrenal gland Present UC Davis_1859064

Specimen UC Davis_1859066: postnatal adult; Slc39a7tm1.1(KOMP)Mbp/Slc39a7+ (more )
Note: The IMPC refers to this as a tm1b allele; when using standard nomenclature conventions, however, it is a tm1.1 allele.
Structure Level Pattern Image Note
TS28: trachea Present UC Davis_1859066

Specimen UC Davis_1859067: postnatal adult; Slc39a7tm1.1(KOMP)Mbp/Slc39a7+ (more )
Note: The IMPC refers to this as a tm1b allele; when using standard nomenclature conventions, however, it is a tm1.1 allele.
Structure Level Pattern Image Note
TS28: esophagus Present UC Davis_1859067

Specimen UC Davis_1859068: postnatal adult; Slc39a7tm1.1(KOMP)Mbp/Slc39a7+ (more )
Note: The IMPC refers to this as a tm1b allele; when using standard nomenclature conventions, however, it is a tm1.1 allele.
Structure Level Pattern Image Note
TS28: thyroid gland Present UC Davis_1859068

Specimen UC Davis_1859069: postnatal adult; Slc39a7tm1.1(KOMP)Mbp/Slc39a7+ (more )
Note: The IMPC refers to this as a tm1b allele; when using standard nomenclature conventions, however, it is a tm1.1 allele.
Structure Level Pattern Image Note
TS28: spinal cord Present UC Davis_1859069

Specimen UC Davis_1859070: postnatal adult; Slc39a7tm1.1(KOMP)Mbp/Slc39a7+ (more )
Note: The IMPC refers to this as a tm1b allele; when using standard nomenclature conventions, however, it is a tm1.1 allele.
Structure Level Pattern Image Note
TS28: pituitary gland Present UC Davis_1859070

Specimen UC Davis_1859071: postnatal adult; Slc39a7tm1.1(KOMP)Mbp/Slc39a7+ (more )
Note: The IMPC refers to this as a tm1b allele; when using standard nomenclature conventions, however, it is a tm1.1 allele.
Structure Level Pattern Image Note
TS28: eye Present UC Davis_1859071

Specimen UC Davis_1859072: postnatal adult; Slc39a7tm1.1(KOMP)Mbp/Slc39a7+ (more )
Note: The IMPC refers to this as a tm1b allele; when using standard nomenclature conventions, however, it is a tm1.1 allele.
Structure Level Pattern Image Note
TS28: Harderian gland Present UC Davis_1859072

Specimen UC Davis_1859073: postnatal adult; Slc39a7tm1.1(KOMP)Mbp/Slc39a7+ (more )
Note: The IMPC refers to this as a tm1b allele; when using standard nomenclature conventions, however, it is a tm1.1 allele.
Structure Level Pattern Image Note
TS28: stomach Present UC Davis_1859073

Specimen UC Davis_1859074: postnatal adult; Slc39a7tm1.1(KOMP)Mbp/Slc39a7+ (more )
Note: The IMPC refers to this as a tm1b allele; when using standard nomenclature conventions, however, it is a tm1.1 allele.
Structure Level Pattern Image Note
TS28: duodenum Present UC Davis_1859074

Specimen UC Davis_1859075: postnatal adult; Slc39a7tm1.1(KOMP)Mbp/Slc39a7+ (more )
Note: The IMPC refers to this as a tm1b allele; when using standard nomenclature conventions, however, it is a tm1.1 allele.
Structure Level Pattern Image Note
TS28: jejunum Present UC Davis_1859075

Specimen UC Davis_1859076: postnatal adult; Slc39a7tm1.1(KOMP)Mbp/Slc39a7+ (more )
Note: The IMPC refers to this as a tm1b allele; when using standard nomenclature conventions, however, it is a tm1.1 allele.
Structure Level Pattern Image Note
TS28: ileum Present UC Davis_1859076

Specimen UC Davis_1859077: postnatal adult; Slc39a7tm1.1(KOMP)Mbp/Slc39a7+ (more )
Note: The IMPC refers to this as a tm1b allele; when using standard nomenclature conventions, however, it is a tm1.1 allele.
Structure Level Pattern Image Note
TS28: colon Present UC Davis_1859077

Specimen UC Davis_1859078: postnatal adult; Slc39a7tm1.1(KOMP)Mbp/Slc39a7+ (more )
Note: The IMPC refers to this as a tm1b allele; when using standard nomenclature conventions, however, it is a tm1.1 allele.
Structure Level Pattern Image Note
TS28: mesenteric adipose tissue Present UC Davis_1859078

Specimen UC Davis_1859079: postnatal adult; Slc39a7tm1.1(KOMP)Mbp/Slc39a7+ (more )
Note: The IMPC refers to this as a tm1b allele; when using standard nomenclature conventions, however, it is a tm1.1 allele.
Structure Level Pattern Image Note
TS28: bladder Present UC Davis_1859079

Specimen UC Davis_1859080: postnatal adult; Slc39a7tm1.1(KOMP)Mbp/Slc39a7+ (more )
Note: The IMPC refers to this as a tm1b allele; when using standard nomenclature conventions, however, it is a tm1.1 allele.
Structure Level Pattern Image Note
TS28: testis Present UC Davis_1859080

Specimen UC Davis_1859081: postnatal adult; Slc39a7tm1.1(KOMP)Mbp/Slc39a7+ (more )
Note: The IMPC refers to this as a tm1b allele; when using standard nomenclature conventions, however, it is a tm1.1 allele.
Structure Level Pattern Image Note
TS28: prostate gland Present UC Davis_1859081

Specimen UC Davis_1859082: postnatal adult; Slc39a7tm1.1(KOMP)Mbp/Slc39a7+ (more )
Note: The IMPC refers to this as a tm1b allele; when using standard nomenclature conventions, however, it is a tm1.1 allele.
Structure Level Pattern Image Note
TS28: seminal vesicle Present UC Davis_1859082 vesicular gland

Specimen UC Davis_1859083: postnatal adult; Slc39a7tm1.1(KOMP)Mbp/Slc39a7+ (more )
Note: The IMPC refers to this as a tm1b allele; when using standard nomenclature conventions, however, it is a tm1.1 allele.
Structure Level Pattern Image Note
TS28: ductus deferens Present UC Davis_1859083 vas deferens

Specimen UC Davis_1859084: postnatal adult; Slc39a7tm1.1(KOMP)Mbp/Slc39a7+ (more )
Note: The IMPC refers to this as a tm1b allele; when using standard nomenclature conventions, however, it is a tm1.1 allele.
Structure Level Pattern Image Note
TS28: gallbladder Present UC Davis_1859084

Specimen UC Davis_1859085: postnatal adult; Slc39a7tm1.1(KOMP)Mbp/Slc39a7+ (more )
Note: The IMPC refers to this as a tm1b allele; when using standard nomenclature conventions, however, it is a tm1.1 allele.
Structure Level Pattern Image Note
TS28: thoracic segment skeleton Present UC Davis_1859085 chest bone


Contributing Projects:
Mouse Genome Database (MGD), Gene Expression Database (GXD), Mouse Models of Human Cancer database (MMHCdb) (formerly Mouse Tumor Biology (MTB)), Gene Ontology (GO)
Citing These Resources
Funding Information
Warranty Disclaimer, Privacy Notice, Licensing, & Copyright
Send questions and comments to User Support.
last database update
12/30/2025
MGI 6.24
The Jackson Laboratory