About   Help   FAQ
Gene Expression Data
Assay Details
Assay
Reference: J:228563 Koscielny G, et al., The International Mouse Phenotyping Consortium Web Portal, a unified point of access for knockout mice and related phenotyping data. Nucleic Acids Res. 2014 Jan;42(Database issue):D802-9
Assay type: In situ reporter (knock in)
MGI Accession ID: MGI:6693057
Gene symbol: Fosb
Gene name: Fos B proto-oncogene, AP-1 transcription factor subunit
Reporter: lacZ
Direct Detection
Results
Specimen UC Davis_1876911: postnatal adult; Fosbtm1b(KOMP)Wtsi/Fosb+ (more )
Structure Level Pattern Image Note
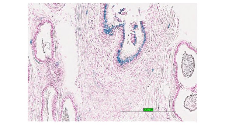
TS28: esophagus Present UC Davis_1876911

Specimen UC Davis_1876912: postnatal adult; Fosbtm1b(KOMP)Wtsi/Fosb+ (more )
Structure Level Pattern Image Note
TS28: esophagus Present UC Davis_1876912

Specimen UC Davis_1876913: postnatal adult; Fosbtm1b(KOMP)Wtsi/Fosb+ (more )
Structure Level Pattern Image Note
TS28: aorta Present UC Davis_1876913

Specimen UC Davis_1876914: postnatal adult; Fosbtm1b(KOMP)Wtsi/Fosb+ (more )
Structure Level Pattern Image Note
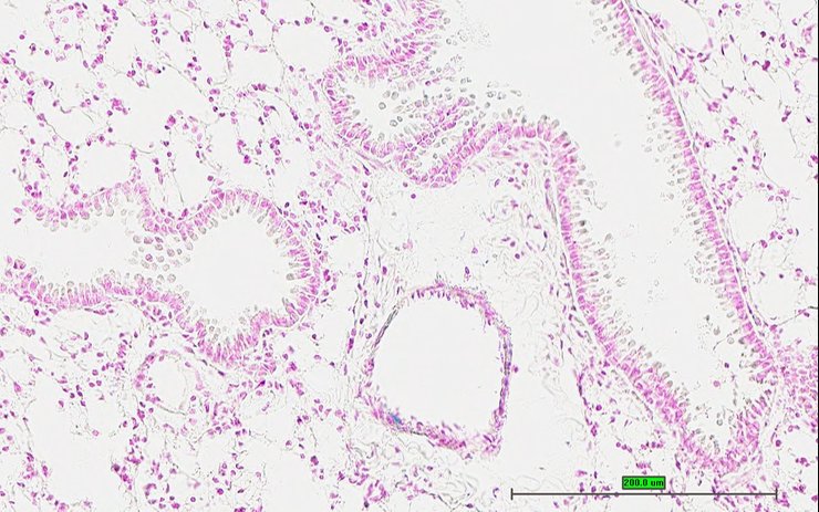
TS28: lung Present UC Davis_1876914

Specimen UC Davis_1876915: postnatal adult; Fosbtm1b(KOMP)Wtsi/Fosb+ (more )
Structure Level Pattern Image Note
TS28: stomach Present UC Davis_1876915

Specimen UC Davis_1876916: postnatal adult; Fosbtm1b(KOMP)Wtsi/Fosb+ (more )
Structure Level Pattern Image Note
TS28: colon Present UC Davis_1876916

Specimen UC Davis_1876917: postnatal adult; Fosbtm1b(KOMP)Wtsi/Fosb+ (more )
Structure Level Pattern Image Note
TS28: colon Present UC Davis_1876917

Specimen UC Davis_1876918: postnatal adult; Fosbtm1b(KOMP)Wtsi/Fosb+ (more )
Structure Level Pattern Image Note
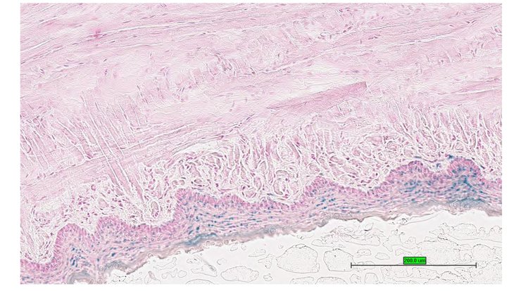
TS28: tongue Present UC Davis_1876918

Specimen UC Davis_1876919: postnatal adult; Fosbtm1b(KOMP)Wtsi/Fosb+ (more )
Structure Level Pattern Image Note
TS28: skin Present UC Davis_1876919

Specimen UC Davis_1876920: postnatal adult; Fosbtm1b(KOMP)Wtsi/Fosb+ (more )
Structure Level Pattern Image Note
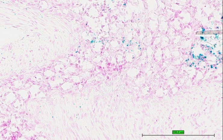
TS28: brown fat Present UC Davis_1876920

Specimen UC Davis_1876923: postnatal adult; Fosbtm1b(KOMP)Wtsi/Fosb+ (more )
Structure Level Pattern Image Note
TS28: midbrain Present UC Davis_1876923

Specimen UC Davis_1876924: postnatal adult; Fosbtm1b(KOMP)Wtsi/Fosb+ (more )
Structure Level Pattern Image Note
TS28: bladder Present UC Davis_1876924

Specimen UC Davis_1876925: postnatal adult; Fosbtm1b(KOMP)Wtsi/Fosb+ (more )
Structure Level Pattern Image Note
TS28: bladder Present UC Davis_1876925

Specimen UC Davis_1876891: postnatal adult; Fosbtm1b(KOMP)Wtsi/Fosb+ (more )
Structure Level Pattern Image Note
TS28: trachea Present UC Davis_1876891

Specimen UC Davis_1876892: postnatal adult; Fosbtm1b(KOMP)Wtsi/Fosb+ (more )
Structure Level Pattern Image Note
TS28: trachea Present UC Davis_1876892

Specimen UC Davis_1876893: postnatal adult; Fosbtm1b(KOMP)Wtsi/Fosb+ (more )
Structure Level Pattern Image Note
TS28: trachea Present UC Davis_1876893

Specimen UC Davis_1876894: postnatal adult; Fosbtm1b(KOMP)Wtsi/Fosb+ (more )
Structure Level Pattern Image Note
TS28: esophagus Present UC Davis_1876894

Specimen UC Davis_1876895: postnatal adult; Fosbtm1b(KOMP)Wtsi/Fosb+ (more )
Structure Level Pattern Image Note
TS28: esophagus Present UC Davis_1876895

Specimen UC Davis_1876896: postnatal adult; Fosbtm1b(KOMP)Wtsi/Fosb+ (more )
Structure Level Pattern Image Note
TS28: esophagus Present UC Davis_1876896

Specimen UC Davis_1876897: postnatal adult; Fosbtm1b(KOMP)Wtsi/Fosb+ (more )
Structure Level Pattern Image Note
TS28: esophagus Present UC Davis_1876897

Specimen UC Davis_1876899: postnatal adult; Fosbtm1b(KOMP)Wtsi/Fosb+ (more )
Structure Level Pattern Image Note
TS28: stomach Present UC Davis_1876899

Specimen UC Davis_1876900: postnatal adult; Fosbtm1b(KOMP)Wtsi/Fosb+ (more )
Structure Level Pattern Image Note
TS28: tongue Present UC Davis_1876900

Specimen UC Davis_1876901: postnatal adult; Fosbtm1b(KOMP)Wtsi/Fosb+ (more )
Structure Level Pattern Image Note
TS28: tongue Present UC Davis_1876901

Specimen UC Davis_1876902: postnatal adult; Fosbtm1b(KOMP)Wtsi/Fosb+ (more )
Structure Level Pattern Image Note
TS28: skin Present UC Davis_1876902

Specimen UC Davis_1876903: postnatal adult; Fosbtm1b(KOMP)Wtsi/Fosb+ (more )
Structure Level Pattern Image Note
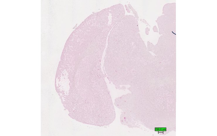
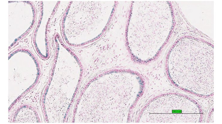
TS28: epididymis Present UC Davis_1876903

Specimen UC Davis_1876904: postnatal adult; Fosbtm1b(KOMP)Wtsi/Fosb+ (more )
Structure Level Pattern Image Note
TS28: prostate gland Present UC Davis_1876904

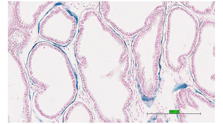
Specimen UC Davis_1876905: postnatal adult; Fosbtm1b(KOMP)Wtsi/Fosb+ (more )
Structure Level Pattern Image Note
TS28: prostate gland Present UC Davis_1876905

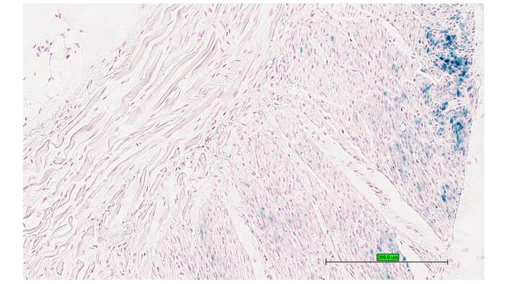
Specimen UC Davis_1876906: postnatal adult; Fosbtm1b(KOMP)Wtsi/Fosb+ (more )
Structure Level Pattern Image Note
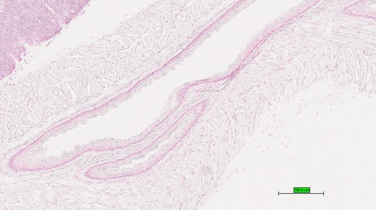
TS28: penis Present UC Davis_1876906

Specimen UC Davis_1876907: postnatal adult; Fosbtm1b(KOMP)Wtsi/Fosb+ (more )
Structure Level Pattern Image Note
TS28: penis Present UC Davis_1876907

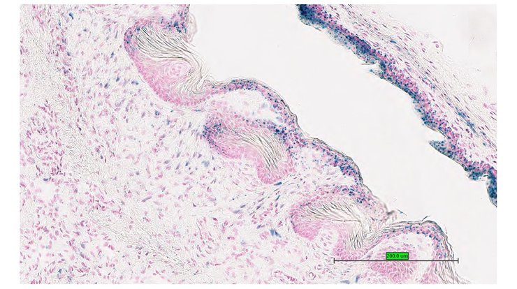
Specimen UC Davis_1876908: postnatal adult; Fosbtm1b(KOMP)Wtsi/Fosb+ (more )
Structure Level Pattern Image Note
TS28: penis Present UC Davis_1876908

Specimen UC Davis_1876909: postnatal adult; Fosbtm1b(KOMP)Wtsi/Fosb+ (more )
Structure Level Pattern Image Note
TS28: ductus deferens Present UC Davis_1876909 vas deferens

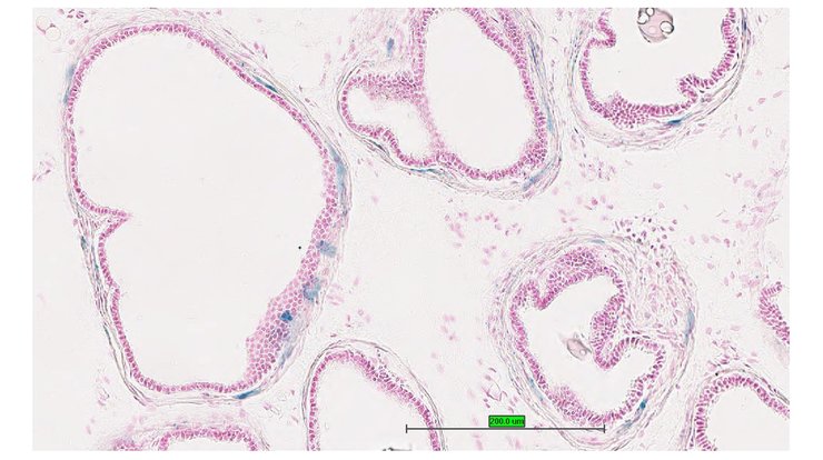
Specimen UC Davis_1876910: postnatal adult; Fosbtm1b(KOMP)Wtsi/Fosb+ (more )
Structure Level Pattern Image Note
TS28: seminal vesicle Present UC Davis_1876910 vesicular gland


Contributing Projects:
Mouse Genome Database (MGD), Gene Expression Database (GXD), Mouse Models of Human Cancer database (MMHCdb) (formerly Mouse Tumor Biology (MTB)), Gene Ontology (GO)
Citing These Resources
Funding Information
Warranty Disclaimer, Privacy Notice, Licensing, & Copyright
Send questions and comments to User Support.
last database update
12/30/2025
MGI 6.24
The Jackson Laboratory