About   Help   FAQ
Gene Expression Data
Assay Details
Assay
Reference: J:228563 Koscielny G, et al., The International Mouse Phenotyping Consortium Web Portal, a unified point of access for knockout mice and related phenotyping data. Nucleic Acids Res. 2014 Jan;42(Database issue):D802-9
Assay type: In situ reporter (knock in)
MGI Accession ID: MGI:6693030
Gene symbol: Cacnb2
Gene name: calcium channel, voltage-dependent, beta 2 subunit
Reporter: lacZ
Direct Detection
Results
Specimen UC Davis_1889586: postnatal adult; Cacnb2tm1.1(KOMP)Vlcg/Cacnb2+ (more )
Structure Level Pattern Image Note
TS28: submandibular gland Present UC Davis_1889586

Specimen UC Davis_1889587: postnatal adult; Cacnb2tm1.1(KOMP)Vlcg/Cacnb2+ (more )
Structure Level Pattern Image Note
TS28: sublingual gland Present UC Davis_1889587

Specimen UC Davis_1889588: postnatal adult; Cacnb2tm1.1(KOMP)Vlcg/Cacnb2+ (more )
Structure Level Pattern Image Note
TS28: trachea Present UC Davis_1889588

Specimen UC Davis_1889589: postnatal adult; Cacnb2tm1.1(KOMP)Vlcg/Cacnb2+ (more )
Structure Level Pattern Image Note
TS28: esophagus Present UC Davis_1889589

Specimen UC Davis_1889590: postnatal adult; Cacnb2tm1.1(KOMP)Vlcg/Cacnb2+ (more )
Structure Level Pattern Image Note
TS28: thyroid gland Present UC Davis_1889590

Specimen UC Davis_1889591: postnatal adult; Cacnb2tm1.1(KOMP)Vlcg/Cacnb2+ (more )
Structure Level Pattern Image Note
TS28: lung Present UC Davis_1889591

Specimen UC Davis_1889592: postnatal adult; Cacnb2tm1.1(KOMP)Vlcg/Cacnb2+ (more )
Structure Level Pattern Image Note
TS28: lung Present UC Davis_1889592

Specimen UC Davis_1889595: postnatal adult; Cacnb2tm1.1(KOMP)Vlcg/Cacnb2+ (more )
Structure Level Pattern Image Note
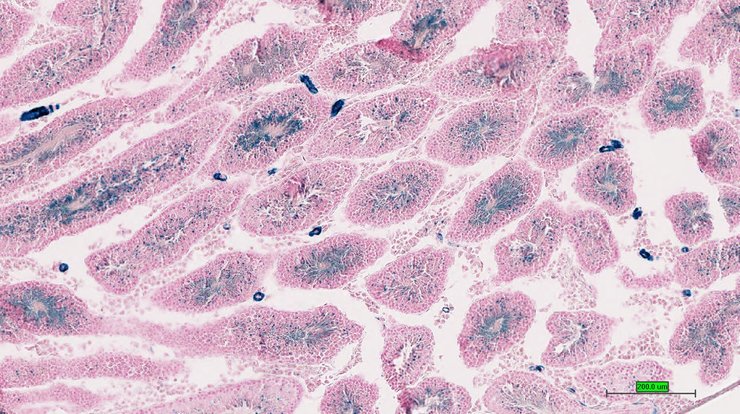
TS28: stomach Present UC Davis_1889595

Specimen UC Davis_1889596: postnatal adult; Cacnb2tm1.1(KOMP)Vlcg/Cacnb2+ (more )
Structure Level Pattern Image Note
TS28: stomach Present UC Davis_1889596

Specimen UC Davis_1889597: postnatal adult; Cacnb2tm1.1(KOMP)Vlcg/Cacnb2+ (more )
Structure Level Pattern Image Note
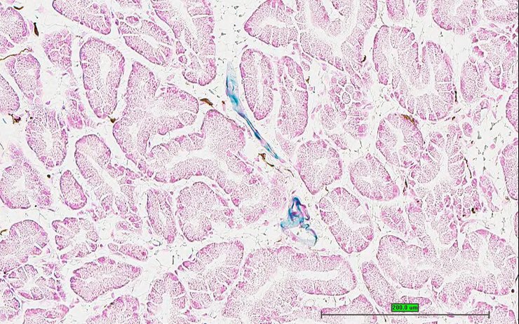
TS28: duodenum Present UC Davis_1889597

Specimen UC Davis_1889598: postnatal adult; Cacnb2tm1.1(KOMP)Vlcg/Cacnb2+ (more )
Structure Level Pattern Image Note
TS28: ileum Present UC Davis_1889598

Specimen UC Davis_1889599: postnatal adult; Cacnb2tm1.1(KOMP)Vlcg/Cacnb2+ (more )
Structure Level Pattern Image Note
TS28: colon Present UC Davis_1889599

Specimen UC Davis_1889600: postnatal adult; Cacnb2tm1.1(KOMP)Vlcg/Cacnb2+ (more )
Structure Level Pattern Image Note
TS28: colon Present UC Davis_1889600

Specimen UC Davis_1889601: postnatal adult; Cacnb2tm1.1(KOMP)Vlcg/Cacnb2+ (more )
Structure Level Pattern Image Note
TS28: cecum Present UC Davis_1889601

Specimen UC Davis_1889602: postnatal adult; Cacnb2tm1.1(KOMP)Vlcg/Cacnb2+ (more )
Structure Level Pattern Image Note
TS28: spleen Present UC Davis_1889602

Specimen UC Davis_1889603: postnatal adult; Cacnb2tm1.1(KOMP)Vlcg/Cacnb2+ (more )
Structure Level Pattern Image Note
TS28: spleen Present UC Davis_1889603

Specimen UC Davis_1889604: postnatal adult; Cacnb2tm1.1(KOMP)Vlcg/Cacnb2+ (more )
Structure Level Pattern Image Note
TS28: pancreas Present UC Davis_1889604

Specimen UC Davis_1889605: postnatal adult; Cacnb2tm1.1(KOMP)Vlcg/Cacnb2+ (more )
Structure Level Pattern Image Note
TS28: liver Present UC Davis_1889605

Specimen UC Davis_1889606: postnatal adult; Cacnb2tm1.1(KOMP)Vlcg/Cacnb2+ (more )
Structure Level Pattern Image Note
TS28: liver Present UC Davis_1889606

Specimen UC Davis_1889607: postnatal adult; Cacnb2tm1.1(KOMP)Vlcg/Cacnb2+ (more )
Structure Level Pattern Image Note
TS28: liver Present UC Davis_1889607

Specimen UC Davis_1889608: postnatal adult; Cacnb2tm1.1(KOMP)Vlcg/Cacnb2+ (more )
Structure Level Pattern Image Note
TS28: metanephros Present UC Davis_1889608 kidney

Specimen UC Davis_1889609: postnatal adult; Cacnb2tm1.1(KOMP)Vlcg/Cacnb2+ (more )
Structure Level Pattern Image Note
TS28: metanephros Present UC Davis_1889609 kidney

Specimen UC Davis_1889610: postnatal adult; Cacnb2tm1.1(KOMP)Vlcg/Cacnb2+ (more )
Structure Level Pattern Image Note
TS28: metanephros Present UC Davis_1889610 kidney

Specimen UC Davis_1889611: postnatal adult; Cacnb2tm1.1(KOMP)Vlcg/Cacnb2+ (more )
Structure Level Pattern Image Note
TS28: quadriceps femoris muscle Present UC Davis_1889611

Specimen UC Davis_1889612: postnatal adult; Cacnb2tm1.1(KOMP)Vlcg/Cacnb2+ (more )
Structure Level Pattern Image Note
TS28: quadriceps femoris muscle Present UC Davis_1889612

Specimen UC Davis_1889613: postnatal adult; Cacnb2tm1.1(KOMP)Vlcg/Cacnb2+ (more )
Structure Level Pattern Image Note
TS28: sciatic nerve Present UC Davis_1889613

Specimen UC Davis_1889614: postnatal adult; Cacnb2tm1.1(KOMP)Vlcg/Cacnb2+ (more )
Structure Level Pattern Image Note
TS28: tongue Present UC Davis_1889614

Specimen UC Davis_1889615: postnatal adult; Cacnb2tm1.1(KOMP)Vlcg/Cacnb2+ (more )
Structure Level Pattern Image Note
TS28: tongue Present UC Davis_1889615

Specimen UC Davis_1889616: postnatal adult; Cacnb2tm1.1(KOMP)Vlcg/Cacnb2+ (more )
Structure Level Pattern Image Note
TS28: diaphragm Present UC Davis_1889616

Specimen UC Davis_1889617: postnatal adult; Cacnb2tm1.1(KOMP)Vlcg/Cacnb2+ (more )
Structure Level Pattern Image Note
TS28: adrenal gland Present UC Davis_1889617

Specimen UC Davis_1889618: postnatal adult; Cacnb2tm1.1(KOMP)Vlcg/Cacnb2+ (more )
Structure Level Pattern Image Note
TS28: adrenal gland Present UC Davis_1889618

Specimen UC Davis_1889619: postnatal adult; Cacnb2tm1.1(KOMP)Vlcg/Cacnb2+ (more )
Structure Level Pattern Image Note
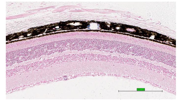
TS28: eye Present UC Davis_1889619

Specimen UC Davis_1889621: postnatal adult; Cacnb2tm1.1(KOMP)Vlcg/Cacnb2+ (more )
Structure Level Pattern Image Note
TS28: Harderian gland Present UC Davis_1889621

Specimen UC Davis_1889622: postnatal adult; Cacnb2tm1.1(KOMP)Vlcg/Cacnb2+ (more )
Structure Level Pattern Image Note
TS28: Harderian gland Present UC Davis_1889622

Specimen UC Davis_1889623: postnatal adult; Cacnb2tm1.1(KOMP)Vlcg/Cacnb2+ (more )
Structure Level Pattern Image Note
TS28: gonadal fat pad Present UC Davis_1889623

Specimen UC Davis_1889624: postnatal adult; Cacnb2tm1.1(KOMP)Vlcg/Cacnb2+ (more )
Structure Level Pattern Image Note
TS28: mesenteric adipose tissue Present UC Davis_1889624

Specimen UC Davis_1889625: postnatal adult; Cacnb2tm1.1(KOMP)Vlcg/Cacnb2+ (more )
Structure Level Pattern Image Note
TS28: brown fat Present UC Davis_1889625

Specimen UC Davis_1889626: postnatal adult; Cacnb2tm1.1(KOMP)Vlcg/Cacnb2+ (more )
Structure Level Pattern Image Note
TS28: brown fat Present UC Davis_1889626

Specimen UC Davis_1889628: postnatal adult; Cacnb2tm1.1(KOMP)Vlcg/Cacnb2+ (more )
Structure Level Pattern Image Note
TS28: midbrain Present UC Davis_1889628

Specimen UC Davis_1889630: postnatal adult; Cacnb2tm1.1(KOMP)Vlcg/Cacnb2+ (more )
Structure Level Pattern Image Note
TS28: cerebellum Present UC Davis_1889630

Specimen UC Davis_1889631: postnatal adult; Cacnb2tm1.1(KOMP)Vlcg/Cacnb2+ (more )
Structure Level Pattern Image Note
TS28: ovary Present UC Davis_1889631

Specimen UC Davis_1889632: postnatal adult; Cacnb2tm1.1(KOMP)Vlcg/Cacnb2+ (more )
Structure Level Pattern Image Note
TS28: ovary Present UC Davis_1889632

Specimen UC Davis_1889633: postnatal adult; Cacnb2tm1.1(KOMP)Vlcg/Cacnb2+ (more )
Structure Level Pattern Image Note
TS28: ovary Present UC Davis_1889633

Specimen UC Davis_1889634: postnatal adult; Cacnb2tm1.1(KOMP)Vlcg/Cacnb2+ (more )
Structure Level Pattern Image Note
TS28: oviduct Present UC Davis_1889634

Specimen UC Davis_1889635: postnatal adult; Cacnb2tm1.1(KOMP)Vlcg/Cacnb2+ (more )
Structure Level Pattern Image Note
TS28: uterus Present UC Davis_1889635

Specimen UC Davis_1889636: postnatal adult; Cacnb2tm1.1(KOMP)Vlcg/Cacnb2+ (more )
Structure Level Pattern Image Note
TS28: bladder Present UC Davis_1889636

Specimen UC Davis_1889637: postnatal adult; Cacnb2tm1.1(KOMP)Vlcg/Cacnb2+ (more )
Structure Level Pattern Image Note
TS28: bone marrow Present UC Davis_1889637

Specimen UC Davis_1889638: postnatal adult; Cacnb2tm1.1(KOMP)Vlcg/Cacnb2+ (more )
Structure Level Pattern Image Note
TS28: mammary gland Present UC Davis_1889638

Specimen UC Davis_1889499: postnatal adult; Cacnb2tm1.1(KOMP)Vlcg/Cacnb2+ (more )
Structure Level Pattern Image Note
TS28: parotid gland Present UC Davis_1889499

Specimen UC Davis_1889500: postnatal adult; Cacnb2tm1.1(KOMP)Vlcg/Cacnb2+ (more )
Structure Level Pattern Image Note
TS28: parotid gland Present UC Davis_1889500

Specimen UC Davis_1889501: postnatal adult; Cacnb2tm1.1(KOMP)Vlcg/Cacnb2+ (more )
Structure Level Pattern Image Note
TS28: trachea Present UC Davis_1889501

Specimen UC Davis_1889502: postnatal adult; Cacnb2tm1.1(KOMP)Vlcg/Cacnb2+ (more )
Structure Level Pattern Image Note
TS28: trachea Present UC Davis_1889502

Specimen UC Davis_1889503: postnatal adult; Cacnb2tm1.1(KOMP)Vlcg/Cacnb2+ (more )
Structure Level Pattern Image Note
TS28: esophagus Present UC Davis_1889503

Specimen UC Davis_1889504: postnatal adult; Cacnb2tm1.1(KOMP)Vlcg/Cacnb2+ (more )
Structure Level Pattern Image Note
TS28: esophagus Present UC Davis_1889504

Specimen UC Davis_1889505: postnatal adult; Cacnb2tm1.1(KOMP)Vlcg/Cacnb2+ (more )
Structure Level Pattern Image Note
TS28: esophagus Present UC Davis_1889505

Specimen UC Davis_1889509: postnatal adult; Cacnb2tm1.1(KOMP)Vlcg/Cacnb2+ (more )
Structure Level Pattern Image Note
TS28: lung Present UC Davis_1889509

Specimen UC Davis_1889510: postnatal adult; Cacnb2tm1.1(KOMP)Vlcg/Cacnb2+ (more )
Structure Level Pattern Image Note
TS28: lung Present UC Davis_1889510

Specimen UC Davis_1889513: postnatal adult; Cacnb2tm1.1(KOMP)Vlcg/Cacnb2+ (more )
Structure Level Pattern Image Note
TS28: stomach Present UC Davis_1889513

Specimen UC Davis_1889514: postnatal adult; Cacnb2tm1.1(KOMP)Vlcg/Cacnb2+ (more )
Structure Level Pattern Image Note
TS28: stomach Present UC Davis_1889514

Specimen UC Davis_1889515: postnatal adult; Cacnb2tm1.1(KOMP)Vlcg/Cacnb2+ (more )
Structure Level Pattern Image Note
TS28: stomach Present UC Davis_1889515

Specimen UC Davis_1889516: postnatal adult; Cacnb2tm1.1(KOMP)Vlcg/Cacnb2+ (more )
Structure Level Pattern Image Note
TS28: stomach Present UC Davis_1889516

Specimen UC Davis_1889517: postnatal adult; Cacnb2tm1.1(KOMP)Vlcg/Cacnb2+ (more )
Structure Level Pattern Image Note
TS28: stomach Present UC Davis_1889517

Specimen UC Davis_1889518: postnatal adult; Cacnb2tm1.1(KOMP)Vlcg/Cacnb2+ (more )
Structure Level Pattern Image Note
TS28: duodenum Present UC Davis_1889518

Specimen UC Davis_1889519: postnatal adult; Cacnb2tm1.1(KOMP)Vlcg/Cacnb2+ (more )
Structure Level Pattern Image Note
TS28: ileum Present UC Davis_1889519

Specimen UC Davis_1889520: postnatal adult; Cacnb2tm1.1(KOMP)Vlcg/Cacnb2+ (more )
Structure Level Pattern Image Note
TS28: ileum Present UC Davis_1889520

Specimen UC Davis_1889521: postnatal adult; Cacnb2tm1.1(KOMP)Vlcg/Cacnb2+ (more )
Structure Level Pattern Image Note
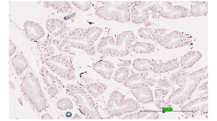
TS28: colon Absent UC Davis_1889521

Specimen UC Davis_1889522: postnatal adult; Cacnb2tm1.1(KOMP)Vlcg/Cacnb2+ (more )
Structure Level Pattern Image Note
TS28: colon Absent UC Davis_1889522

Specimen UC Davis_1889523: postnatal adult; Cacnb2tm1.1(KOMP)Vlcg/Cacnb2+ (more )
Structure Level Pattern Image Note
TS28: colon Absent UC Davis_1889523

Specimen UC Davis_1889524: postnatal adult; Cacnb2tm1.1(KOMP)Vlcg/Cacnb2+ (more )
Structure Level Pattern Image Note
TS28: colon Absent UC Davis_1889524

Specimen UC Davis_1889525: postnatal adult; Cacnb2tm1.1(KOMP)Vlcg/Cacnb2+ (more )
Structure Level Pattern Image Note
TS28: spleen Present UC Davis_1889525

Specimen UC Davis_1889526: postnatal adult; Cacnb2tm1.1(KOMP)Vlcg/Cacnb2+ (more )
Structure Level Pattern Image Note
TS28: spleen Present UC Davis_1889526

Specimen UC Davis_1889527: postnatal adult; Cacnb2tm1.1(KOMP)Vlcg/Cacnb2+ (more )
Structure Level Pattern Image Note
TS28: pancreas Present UC Davis_1889527

Specimen UC Davis_1889528: postnatal adult; Cacnb2tm1.1(KOMP)Vlcg/Cacnb2+ (more )
Structure Level Pattern Image Note
TS28: pancreas Present UC Davis_1889528

Specimen UC Davis_1889529: postnatal adult; Cacnb2tm1.1(KOMP)Vlcg/Cacnb2+ (more )
Structure Level Pattern Image Note
TS28: liver Present UC Davis_1889529

Specimen UC Davis_1889530: postnatal adult; Cacnb2tm1.1(KOMP)Vlcg/Cacnb2+ (more )
Structure Level Pattern Image Note
TS28: liver Present UC Davis_1889530

Specimen UC Davis_1889531: postnatal adult; Cacnb2tm1.1(KOMP)Vlcg/Cacnb2+ (more )
Structure Level Pattern Image Note
TS28: metanephros Present UC Davis_1889531 kidney

Specimen UC Davis_1889532: postnatal adult; Cacnb2tm1.1(KOMP)Vlcg/Cacnb2+ (more )
Structure Level Pattern Image Note
TS28: metanephros Present UC Davis_1889532 kidney

Specimen UC Davis_1889533: postnatal adult; Cacnb2tm1.1(KOMP)Vlcg/Cacnb2+ (more )
Structure Level Pattern Image Note
TS28: metanephros Present UC Davis_1889533 kidney

Specimen UC Davis_1889534: postnatal adult; Cacnb2tm1.1(KOMP)Vlcg/Cacnb2+ (more )
Structure Level Pattern Image Note
TS28: metanephros Present UC Davis_1889534 kidney

Specimen UC Davis_1889535: postnatal adult; Cacnb2tm1.1(KOMP)Vlcg/Cacnb2+ (more )
Structure Level Pattern Image Note
TS28: metanephros Present UC Davis_1889535 kidney

Specimen UC Davis_1889536: postnatal adult; Cacnb2tm1.1(KOMP)Vlcg/Cacnb2+ (more )
Structure Level Pattern Image Note
TS28: quadriceps femoris muscle Present UC Davis_1889536

Specimen UC Davis_1889537: postnatal adult; Cacnb2tm1.1(KOMP)Vlcg/Cacnb2+ (more )
Structure Level Pattern Image Note
TS28: quadriceps femoris muscle Present UC Davis_1889537

Specimen UC Davis_1889538: postnatal adult; Cacnb2tm1.1(KOMP)Vlcg/Cacnb2+ (more )
Structure Level Pattern Image Note
TS28: quadriceps femoris muscle Present UC Davis_1889538

Specimen UC Davis_1889539: postnatal adult; Cacnb2tm1.1(KOMP)Vlcg/Cacnb2+ (more )
Structure Level Pattern Image Note
TS28: quadriceps femoris muscle Present UC Davis_1889539

Specimen UC Davis_1889540: postnatal adult; Cacnb2tm1.1(KOMP)Vlcg/Cacnb2+ (more )
Structure Level Pattern Image Note
TS28: sciatic nerve Present UC Davis_1889540

Specimen UC Davis_1889541: postnatal adult; Cacnb2tm1.1(KOMP)Vlcg/Cacnb2+ (more )
Structure Level Pattern Image Note
TS28: tongue Present UC Davis_1889541

Specimen UC Davis_1889542: postnatal adult; Cacnb2tm1.1(KOMP)Vlcg/Cacnb2+ (more )
Structure Level Pattern Image Note
TS28: tongue Present UC Davis_1889542

Specimen UC Davis_1889543: postnatal adult; Cacnb2tm1.1(KOMP)Vlcg/Cacnb2+ (more )
Structure Level Pattern Image Note
TS28: diaphragm Present UC Davis_1889543

Specimen UC Davis_1889544: postnatal adult; Cacnb2tm1.1(KOMP)Vlcg/Cacnb2+ (more )
Structure Level Pattern Image Note
TS28: diaphragm Present UC Davis_1889544

Specimen UC Davis_1889545: postnatal adult; Cacnb2tm1.1(KOMP)Vlcg/Cacnb2+ (more )
Structure Level Pattern Image Note
TS28: adrenal gland Present UC Davis_1889545

Specimen UC Davis_1889546: postnatal adult; Cacnb2tm1.1(KOMP)Vlcg/Cacnb2+ (more )
Structure Level Pattern Image Note
TS28: spinal cord Present UC Davis_1889546

Specimen UC Davis_1889547: postnatal adult; Cacnb2tm1.1(KOMP)Vlcg/Cacnb2+ (more )
Structure Level Pattern Image Note
TS28: spinal cord Present UC Davis_1889547

Specimen UC Davis_1889548: postnatal adult; Cacnb2tm1.1(KOMP)Vlcg/Cacnb2+ (more )
Structure Level Pattern Image Note
TS28: eye Present UC Davis_1889548

Specimen UC Davis_1889549: postnatal adult; Cacnb2tm1.1(KOMP)Vlcg/Cacnb2+ (more )
Structure Level Pattern Image Note
TS28: eye Present UC Davis_1889549

Specimen UC Davis_1889550: postnatal adult; Cacnb2tm1.1(KOMP)Vlcg/Cacnb2+ (more )
Structure Level Pattern Image Note
TS28: Harderian gland Present UC Davis_1889550

Specimen UC Davis_1889551: postnatal adult; Cacnb2tm1.1(KOMP)Vlcg/Cacnb2+ (more )
Structure Level Pattern Image Note
TS28: Harderian gland Present UC Davis_1889551

Specimen UC Davis_1889552: postnatal adult; Cacnb2tm1.1(KOMP)Vlcg/Cacnb2+ (more )
Structure Level Pattern Image Note
TS28: gonadal fat pad Present UC Davis_1889552

Specimen UC Davis_1889553: postnatal adult; Cacnb2tm1.1(KOMP)Vlcg/Cacnb2+ (more )
Structure Level Pattern Image Note
TS28: gonadal fat pad Present UC Davis_1889553

Specimen UC Davis_1889554: postnatal adult; Cacnb2tm1.1(KOMP)Vlcg/Cacnb2+ (more )
Structure Level Pattern Image Note
TS28: brown fat Present UC Davis_1889554

Specimen UC Davis_1889555: postnatal adult; Cacnb2tm1.1(KOMP)Vlcg/Cacnb2+ (more )
Structure Level Pattern Image Note
TS28: brown fat Present UC Davis_1889555

Specimen UC Davis_1889556: postnatal adult; Cacnb2tm1.1(KOMP)Vlcg/Cacnb2+ (more )
Structure Level Pattern Image Note
TS28: brown fat Present UC Davis_1889556

Specimen UC Davis_1889557: postnatal adult; Cacnb2tm1.1(KOMP)Vlcg/Cacnb2+ (more )
Structure Level Pattern Image Note
TS28: olfactory lobe Present UC Davis_1889557

Specimen UC Davis_1889558: postnatal adult; Cacnb2tm1.1(KOMP)Vlcg/Cacnb2+ (more )
Structure Level Pattern Image Note
TS28: olfactory lobe Present UC Davis_1889558

Specimen UC Davis_1889559: postnatal adult; Cacnb2tm1.1(KOMP)Vlcg/Cacnb2+ (more )
Structure Level Pattern Image Note
TS28: olfactory lobe Present UC Davis_1889559

Specimen UC Davis_1889562: postnatal adult; Cacnb2tm1.1(KOMP)Vlcg/Cacnb2+ (more )
Structure Level Pattern Image Note
TS28: midbrain Present UC Davis_1889562

Specimen UC Davis_1889564: postnatal adult; Cacnb2tm1.1(KOMP)Vlcg/Cacnb2+ (more )
Structure Level Pattern Image Note
TS28: cerebellum Present UC Davis_1889564

Specimen UC Davis_1889565: postnatal adult; Cacnb2tm1.1(KOMP)Vlcg/Cacnb2+ (more )
Structure Level Pattern Image Note
TS28: trigeminal nerve Present UC Davis_1889565

Specimen UC Davis_1889566: postnatal adult; Cacnb2tm1.1(KOMP)Vlcg/Cacnb2+ (more )
Structure Level Pattern Image Note
TS28: bladder Present UC Davis_1889566

Specimen UC Davis_1889567: postnatal adult; Cacnb2tm1.1(KOMP)Vlcg/Cacnb2+ (more )
Structure Level Pattern Image Note
TS28: bladder Present UC Davis_1889567

Specimen UC Davis_1889568: postnatal adult; Cacnb2tm1.1(KOMP)Vlcg/Cacnb2+ (more )
Structure Level Pattern Image Note
TS28: testis Present UC Davis_1889568

Specimen UC Davis_1889569: postnatal adult; Cacnb2tm1.1(KOMP)Vlcg/Cacnb2+ (more )
Structure Level Pattern Image Note
TS28: testis Present UC Davis_1889569

Specimen UC Davis_1889570: postnatal adult; Cacnb2tm1.1(KOMP)Vlcg/Cacnb2+ (more )
Structure Level Pattern Image Note
TS28: testis Present UC Davis_1889570

Specimen UC Davis_1889571: postnatal adult; Cacnb2tm1.1(KOMP)Vlcg/Cacnb2+ (more )
Structure Level Pattern Image Note
TS28: epididymis Present UC Davis_1889571

Specimen UC Davis_1889572: postnatal adult; Cacnb2tm1.1(KOMP)Vlcg/Cacnb2+ (more )
Structure Level Pattern Image Note
TS28: epididymis Present UC Davis_1889572

Specimen UC Davis_1889573: postnatal adult; Cacnb2tm1.1(KOMP)Vlcg/Cacnb2+ (more )
Structure Level Pattern Image Note
TS28: epididymis Present UC Davis_1889573

Specimen UC Davis_1889574: postnatal adult; Cacnb2tm1.1(KOMP)Vlcg/Cacnb2+ (more )
Structure Level Pattern Image Note
TS28: epididymis Present UC Davis_1889574

Specimen UC Davis_1889575: postnatal adult; Cacnb2tm1.1(KOMP)Vlcg/Cacnb2+ (more )
Structure Level Pattern Image Note
TS28: epididymis Present UC Davis_1889575

Specimen UC Davis_1889576: postnatal adult; Cacnb2tm1.1(KOMP)Vlcg/Cacnb2+ (more )
Structure Level Pattern Image Note
TS28: epididymis Present UC Davis_1889576

Specimen UC Davis_1889577: postnatal adult; Cacnb2tm1.1(KOMP)Vlcg/Cacnb2+ (more )
Structure Level Pattern Image Note
TS28: penis Present UC Davis_1889577

Specimen UC Davis_1889578: postnatal adult; Cacnb2tm1.1(KOMP)Vlcg/Cacnb2+ (more )
Structure Level Pattern Image Note
TS28: penis Present UC Davis_1889578

Specimen UC Davis_1889579: postnatal adult; Cacnb2tm1.1(KOMP)Vlcg/Cacnb2+ (more )
Structure Level Pattern Image Note
TS28: ductus deferens Present UC Davis_1889579 vas deferens

Specimen UC Davis_1889580: postnatal adult; Cacnb2tm1.1(KOMP)Vlcg/Cacnb2+ (more )
Structure Level Pattern Image Note
TS28: ductus deferens Present UC Davis_1889580 vas deferens

Specimen UC Davis_1889581: postnatal adult; Cacnb2tm1.1(KOMP)Vlcg/Cacnb2+ (more )
Structure Level Pattern Image Note
TS28: ductus deferens Present UC Davis_1889581 vas deferens

Specimen UC Davis_1889584: postnatal adult; Cacnb2tm1.1(KOMP)Vlcg/Cacnb2+ (more )
Structure Level Pattern Image Note
TS28: seminal vesicle Present UC Davis_1889584 vesicular gland

Specimen UC Davis_1889585: postnatal adult; Cacnb2tm1.1(KOMP)Vlcg/Cacnb2+ (more )
Structure Level Pattern Image Note
TS28: seminal vesicle Present UC Davis_1889585 vesicular gland


Contributing Projects:
Mouse Genome Database (MGD), Gene Expression Database (GXD), Mouse Models of Human Cancer database (MMHCdb) (formerly Mouse Tumor Biology (MTB)), Gene Ontology (GO)
Citing These Resources
Funding Information
Warranty Disclaimer, Privacy Notice, Licensing, & Copyright
Send questions and comments to User Support.
last database update
01/20/2026
MGI 6.24
The Jackson Laboratory