About   Help   FAQ
Gene Expression Data
Assay Details
Assay
Reference: J:228563 Koscielny G, et al., The International Mouse Phenotyping Consortium Web Portal, a unified point of access for knockout mice and related phenotyping data. Nucleic Acids Res. 2014 Jan;42(Database issue):D802-9
Assay type: In situ reporter (knock in)
MGI Accession ID: MGI:6692900
Gene symbol: Klf14
Gene name: Kruppel-like transcription factor 14
Reporter: lacZ
Direct Detection
Results
Specimen UC Davis_1852442: postnatal adult; Klf14tm1.1(KOMP)Vlcg/Klf14+ (more )
Structure Level Pattern Image Note
TS28: trachea Present UC Davis_1852442

Specimen UC Davis_1852443: postnatal adult; Klf14tm1.1(KOMP)Vlcg/Klf14+ (more )
Structure Level Pattern Image Note
TS28: esophagus Present UC Davis_1852443

Specimen UC Davis_1852444: postnatal adult; Klf14tm1.1(KOMP)Vlcg/Klf14+ (more )
Structure Level Pattern Image Note
TS28: esophagus Present UC Davis_1852444

Specimen UC Davis_1852446: postnatal adult; Klf14tm1.1(KOMP)Vlcg/Klf14+ (more )
Structure Level Pattern Image Note
TS28: lung Present UC Davis_1852446

Specimen UC Davis_1852447: postnatal adult; Klf14tm1.1(KOMP)Vlcg/Klf14+ (more )
Structure Level Pattern Image Note
TS28: lung Present UC Davis_1852447

Specimen UC Davis_1852448: postnatal adult; Klf14tm1.1(KOMP)Vlcg/Klf14+ (more )
Structure Level Pattern Image Note
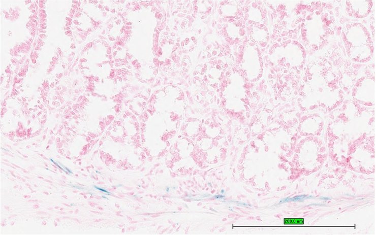
TS28: stomach Present UC Davis_1852448

Specimen UC Davis_1852449: postnatal adult; Klf14tm1.1(KOMP)Vlcg/Klf14+ (more )
Structure Level Pattern Image Note
TS28: stomach Present UC Davis_1852449

Specimen UC Davis_1852450: postnatal adult; Klf14tm1.1(KOMP)Vlcg/Klf14+ (more )
Structure Level Pattern Image Note
TS28: stomach Present UC Davis_1852450

Specimen UC Davis_1852451: postnatal adult; Klf14tm1.1(KOMP)Vlcg/Klf14+ (more )
Structure Level Pattern Image Note
TS28: stomach Present UC Davis_1852451

Specimen UC Davis_1852452: postnatal adult; Klf14tm1.1(KOMP)Vlcg/Klf14+ (more )
Structure Level Pattern Image Note
TS28: duodenum Present UC Davis_1852452

Specimen UC Davis_1852453: postnatal adult; Klf14tm1.1(KOMP)Vlcg/Klf14+ (more )
Structure Level Pattern Image Note
TS28: jejunum Present UC Davis_1852453

Specimen UC Davis_1852454: postnatal adult; Klf14tm1.1(KOMP)Vlcg/Klf14+ (more )
Structure Level Pattern Image Note
TS28: ileum Present UC Davis_1852454

Specimen UC Davis_1852455: postnatal adult; Klf14tm1.1(KOMP)Vlcg/Klf14+ (more )
Structure Level Pattern Image Note
TS28: ileum Present UC Davis_1852455

Specimen UC Davis_1852456: postnatal adult; Klf14tm1.1(KOMP)Vlcg/Klf14+ (more )
Structure Level Pattern Image Note
TS28: colon Present UC Davis_1852456

Specimen UC Davis_1852457: postnatal adult; Klf14tm1.1(KOMP)Vlcg/Klf14+ (more )
Structure Level Pattern Image Note
TS28: colon Present UC Davis_1852457

Specimen UC Davis_1852458: postnatal adult; Klf14tm1.1(KOMP)Vlcg/Klf14+ (more )
Structure Level Pattern Image Note
TS28: colon Present UC Davis_1852458

Specimen UC Davis_1852459: postnatal adult; Klf14tm1.1(KOMP)Vlcg/Klf14+ (more )
Structure Level Pattern Image Note
TS28: cecum Present UC Davis_1852459

Specimen UC Davis_1852460: postnatal adult; Klf14tm1.1(KOMP)Vlcg/Klf14+ (more )
Structure Level Pattern Image Note
TS28: cecum Present UC Davis_1852460

Specimen UC Davis_1852461: postnatal adult; Klf14tm1.1(KOMP)Vlcg/Klf14+ (more )
Structure Level Pattern Image Note
TS28: metanephros Present UC Davis_1852461 kidney

Specimen UC Davis_1852462: postnatal adult; Klf14tm1.1(KOMP)Vlcg/Klf14+ (more )
Structure Level Pattern Image Note
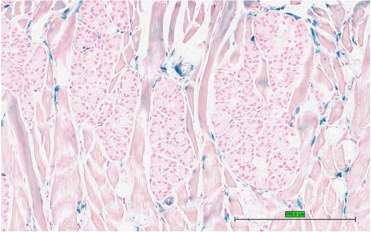
TS28: quadriceps femoris muscle Present UC Davis_1852462

Specimen UC Davis_1852463: postnatal adult; Klf14tm1.1(KOMP)Vlcg/Klf14+ (more )
Structure Level Pattern Image Note
TS28: quadriceps femoris muscle Present UC Davis_1852463

Specimen UC Davis_1852464: postnatal adult; Klf14tm1.1(KOMP)Vlcg/Klf14+ (more )
Structure Level Pattern Image Note
TS28: quadriceps femoris muscle Present UC Davis_1852464

Specimen UC Davis_1852465: postnatal adult; Klf14tm1.1(KOMP)Vlcg/Klf14+ (more )
Structure Level Pattern Image Note
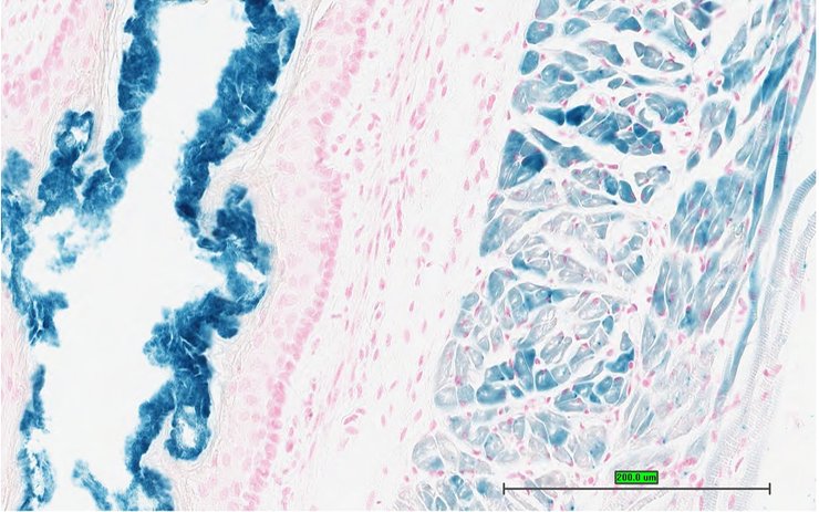
TS28: tongue Present UC Davis_1852465

Specimen UC Davis_1852466: postnatal adult; Klf14tm1.1(KOMP)Vlcg/Klf14+ (more )
Structure Level Pattern Image Note
TS28: tongue Present UC Davis_1852466

Specimen UC Davis_1852467: postnatal adult; Klf14tm1.1(KOMP)Vlcg/Klf14+ (more )
Structure Level Pattern Image Note
TS28: tongue Present UC Davis_1852467

Specimen UC Davis_1852468: postnatal adult; Klf14tm1.1(KOMP)Vlcg/Klf14+ (more )
Structure Level Pattern Image Note
TS28: tongue Present UC Davis_1852468

Specimen UC Davis_1852469: postnatal adult; Klf14tm1.1(KOMP)Vlcg/Klf14+ (more )
Structure Level Pattern Image Note
TS28: tongue Present UC Davis_1852469

Specimen UC Davis_1852470: postnatal adult; Klf14tm1.1(KOMP)Vlcg/Klf14+ (more )
Structure Level Pattern Image Note
TS28: tongue Present UC Davis_1852470

Specimen UC Davis_1852471: postnatal adult; Klf14tm1.1(KOMP)Vlcg/Klf14+ (more )
Structure Level Pattern Image Note
TS28: diaphragm Present UC Davis_1852471

Specimen UC Davis_1852472: postnatal adult; Klf14tm1.1(KOMP)Vlcg/Klf14+ (more )
Structure Level Pattern Image Note
TS28: adrenal gland Present UC Davis_1852472

Specimen UC Davis_1852473: postnatal adult; Klf14tm1.1(KOMP)Vlcg/Klf14+ (more )
Structure Level Pattern Image Note
TS28: pituitary gland Present UC Davis_1852473

Specimen UC Davis_1852474: postnatal adult; Klf14tm1.1(KOMP)Vlcg/Klf14+ (more )
Structure Level Pattern Image Note
TS28: skin Present UC Davis_1852474

Specimen UC Davis_1852475: postnatal adult; Klf14tm1.1(KOMP)Vlcg/Klf14+ (more )
Structure Level Pattern Image Note
TS28: skin Present UC Davis_1852475

Specimen UC Davis_1852476: postnatal adult; Klf14tm1.1(KOMP)Vlcg/Klf14+ (more )
Structure Level Pattern Image Note
TS28: skin Present UC Davis_1852476

Specimen UC Davis_1852477: postnatal adult; Klf14tm1.1(KOMP)Vlcg/Klf14+ (more )
Structure Level Pattern Image Note
TS28: brown fat Present UC Davis_1852477

Specimen UC Davis_1852478: postnatal adult; Klf14tm1.1(KOMP)Vlcg/Klf14+ (more )
Structure Level Pattern Image Note
TS28: brown fat Present UC Davis_1852478

Specimen UC Davis_1852481: postnatal adult; Klf14tm1.1(KOMP)Vlcg/Klf14+ (more )
Structure Level Pattern Image Note
TS28: bladder Present UC Davis_1852481

Specimen UC Davis_1852482: postnatal adult; Klf14tm1.1(KOMP)Vlcg/Klf14+ (more )
Structure Level Pattern Image Note
TS28: bladder Present UC Davis_1852482

Specimen UC Davis_1852483: postnatal adult; Klf14tm1.1(KOMP)Vlcg/Klf14+ (more )
Structure Level Pattern Image Note
TS28: testis Present UC Davis_1852483

Specimen UC Davis_1852484: postnatal adult; Klf14tm1.1(KOMP)Vlcg/Klf14+ (more )
Structure Level Pattern Image Note
TS28: epididymis Present UC Davis_1852484

Specimen UC Davis_1852485: postnatal adult; Klf14tm1.1(KOMP)Vlcg/Klf14+ (more )
Structure Level Pattern Image Note
TS28: epididymis Present UC Davis_1852485

Specimen UC Davis_1852486: postnatal adult; Klf14tm1.1(KOMP)Vlcg/Klf14+ (more )
Structure Level Pattern Image Note
TS28: epididymis Present UC Davis_1852486

Specimen UC Davis_1852487: postnatal adult; Klf14tm1.1(KOMP)Vlcg/Klf14+ (more )
Structure Level Pattern Image Note
TS28: penis Present UC Davis_1852487

Specimen UC Davis_1852488: postnatal adult; Klf14tm1.1(KOMP)Vlcg/Klf14+ (more )
Structure Level Pattern Image Note
TS28: penis Present UC Davis_1852488

Specimen UC Davis_1852489: postnatal adult; Klf14tm1.1(KOMP)Vlcg/Klf14+ (more )
Structure Level Pattern Image Note
TS28: ductus deferens Present UC Davis_1852489 vas deferens

Specimen UC Davis_1852491: postnatal adult; Klf14tm1.1(KOMP)Vlcg/Klf14+ (more )
Structure Level Pattern Image Note
TS28: seminal vesicle Present UC Davis_1852491 vesicular gland

Specimen UC Davis_1852492: postnatal adult; Klf14tm1.1(KOMP)Vlcg/Klf14+ (more )
Structure Level Pattern Image Note
TS28: seminal vesicle Present UC Davis_1852492 vesicular gland

Specimen UC Davis_1852493: postnatal adult; Klf14tm1.1(KOMP)Vlcg/Klf14+ (more )
Structure Level Pattern Image Note
TS28: tongue Present UC Davis_1852493

Specimen UC Davis_1852494: postnatal adult; Klf14tm1.1(KOMP)Vlcg/Klf14+ (more )
Structure Level Pattern Image Note
TS28: midbrain Present UC Davis_1852494

Specimen UC Davis_1852495: postnatal adult; Klf14tm1.1(KOMP)Vlcg/Klf14+ (more )
Structure Level Pattern Image Note
TS28: brain Present UC Davis_1852495


Contributing Projects:
Mouse Genome Database (MGD), Gene Expression Database (GXD), Mouse Models of Human Cancer database (MMHCdb) (formerly Mouse Tumor Biology (MTB)), Gene Ontology (GO)
Citing These Resources
Funding Information
Warranty Disclaimer, Privacy Notice, Licensing, & Copyright
Send questions and comments to User Support.
last database update
01/06/2026
MGI 6.24
The Jackson Laboratory