About   Help   FAQ
Gene Expression Data
Assay Details
Assay
Reference: J:228563 Koscielny G, et al., The International Mouse Phenotyping Consortium Web Portal, a unified point of access for knockout mice and related phenotyping data. Nucleic Acids Res. 2014 Jan;42(Database issue):D802-9
Assay type: In situ reporter (knock in)
MGI Accession ID: MGI:6692842
Gene symbol: Pate2
Gene name: prostate and testis expressed 2
Reporter: lacZ
Direct Detection
Results
Specimen UC Davis_1863719: postnatal adult; Pate2tm1.1(KOMP)Vlcg/Pate2+ (more )
Structure Level Pattern Image Note
TS28: uterus Present UC Davis_1863719

Specimen UC Davis_1863696: postnatal adult; Pate2tm1.1(KOMP)Vlcg/Pate2+ (more )
Structure Level Pattern Image Note
TS28: submandibular gland Present UC Davis_1863696

Specimen UC Davis_1863698: postnatal adult; Pate2tm1.1(KOMP)Vlcg/Pate2+ (more )
Structure Level Pattern Image Note
TS28: stomach Present UC Davis_1863698

Specimen UC Davis_1863699: postnatal adult; Pate2tm1.1(KOMP)Vlcg/Pate2+ (more )
Structure Level Pattern Image Note
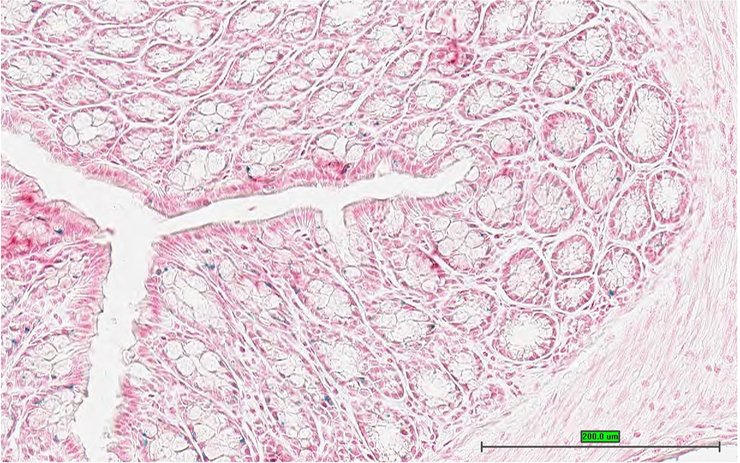
TS28: duodenum Present UC Davis_1863699

Specimen UC Davis_1863700: postnatal adult; Pate2tm1.1(KOMP)Vlcg/Pate2+ (more )
Structure Level Pattern Image Note
TS28: ileum Present UC Davis_1863700

Specimen UC Davis_1863701: postnatal adult; Pate2tm1.1(KOMP)Vlcg/Pate2+ (more )
Structure Level Pattern Image Note
TS28: ileum Present UC Davis_1863701

Specimen UC Davis_1863702: postnatal adult; Pate2tm1.1(KOMP)Vlcg/Pate2+ (more )
Structure Level Pattern Image Note
TS28: colon Present UC Davis_1863702

Specimen UC Davis_1863703: postnatal adult; Pate2tm1.1(KOMP)Vlcg/Pate2+ (more )
Structure Level Pattern Image Note
TS28: colon Present UC Davis_1863703

Specimen UC Davis_1863704: postnatal adult; Pate2tm1.1(KOMP)Vlcg/Pate2+ (more )
Structure Level Pattern Image Note
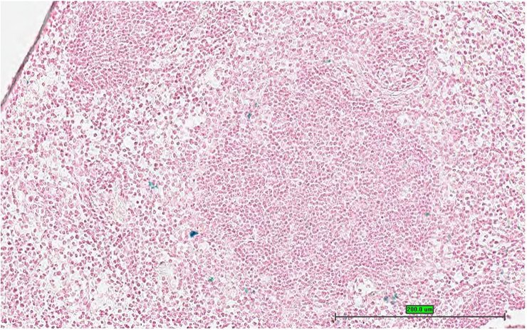
TS28: spleen Present UC Davis_1863704

Specimen UC Davis_1863705: postnatal adult; Pate2tm1.1(KOMP)Vlcg/Pate2+ (more )
Structure Level Pattern Image Note
TS28: tongue Present UC Davis_1863705

Specimen UC Davis_1863706: postnatal adult; Pate2tm1.1(KOMP)Vlcg/Pate2+ (more )
Structure Level Pattern Image Note
TS28: testis Present UC Davis_1863706

Specimen UC Davis_1863707: postnatal adult; Pate2tm1.1(KOMP)Vlcg/Pate2+ (more )
Structure Level Pattern Image Note
TS28: testis Present UC Davis_1863707

Specimen UC Davis_1863708: postnatal adult; Pate2tm1.1(KOMP)Vlcg/Pate2+ (more )
Structure Level Pattern Image Note
TS28: testis Present UC Davis_1863708

Specimen UC Davis_1863709: postnatal adult; Pate2tm1.1(KOMP)Vlcg/Pate2+ (more )
Structure Level Pattern Image Note
TS28: epididymis Present UC Davis_1863709

Specimen UC Davis_1863710: postnatal adult; Pate2tm1.1(KOMP)Vlcg/Pate2+ (more )
Structure Level Pattern Image Note
TS28: epididymis Present UC Davis_1863710

Specimen UC Davis_1863711: postnatal adult; Pate2tm1.1(KOMP)Vlcg/Pate2+ (more )
Structure Level Pattern Image Note
TS28: prostate gland Present UC Davis_1863711

Specimen UC Davis_1863712: postnatal adult; Pate2tm1.1(KOMP)Vlcg/Pate2+ (more )
Structure Level Pattern Image Note
TS28: ductus deferens Present UC Davis_1863712 vas deferens

Specimen UC Davis_1863713: postnatal adult; Pate2tm1.1(KOMP)Vlcg/Pate2+ (more )
Structure Level Pattern Image Note
TS28: seminal vesicle Present UC Davis_1863713 vesicular gland

Specimen UC Davis_1863714: postnatal adult; Pate2tm1.1(KOMP)Vlcg/Pate2+ (more )
Structure Level Pattern Image Note
TS28: seminal vesicle Present UC Davis_1863714 vesicular gland

Specimen UC Davis_1863715: postnatal adult; Pate2tm1.1(KOMP)Vlcg/Pate2+ (more )
Structure Level Pattern Image Note
TS28: testis Present UC Davis_1863715

Specimen UC Davis_1863716: postnatal adult; Pate2tm1.1(KOMP)Vlcg/Pate2+ (more )
Structure Level Pattern Image Note
TS28: seminal vesicle Present UC Davis_1863716 vesicular gland

Specimen UC Davis_1863717: postnatal adult; Pate2tm1.1(KOMP)Vlcg/Pate2+ (more )
Structure Level Pattern Image Note
TS28: epididymis Present UC Davis_1863717


Contributing Projects:
Mouse Genome Database (MGD), Gene Expression Database (GXD), Mouse Models of Human Cancer database (MMHCdb) (formerly Mouse Tumor Biology (MTB)), Gene Ontology (GO)
Citing These Resources
Funding Information
Warranty Disclaimer, Privacy Notice, Licensing, & Copyright
Send questions and comments to User Support.
last database update
10/07/2025
MGI 6.24
The Jackson Laboratory