About   Help   FAQ
Gene Expression Data
Assay Details
Assay
Reference: J:228563 Koscielny G, et al., The International Mouse Phenotyping Consortium Web Portal, a unified point of access for knockout mice and related phenotyping data. Nucleic Acids Res. 2014 Jan;42(Database issue):D802-9
Assay type: In situ reporter (knock in)
MGI Accession ID: MGI:6692717
Gene symbol: Tmem184b
Gene name: transmembrane protein 184b
Reporter: lacZ
Direct Detection
Results
Specimen UC Davis_1865446: postnatal adult; Tmem184btm1.1(KOMP)Vlcg/Tmem184b+ (more )
Structure Level Pattern Image Note
TS28: submandibular gland Present UC Davis_1865446

Specimen UC Davis_1865447: postnatal adult; Tmem184btm1.1(KOMP)Vlcg/Tmem184b+ (more )
Structure Level Pattern Image Note
TS28: submandibular gland Present UC Davis_1865447

Specimen UC Davis_1865448: postnatal adult; Tmem184btm1.1(KOMP)Vlcg/Tmem184b+ (more )
Structure Level Pattern Image Note
TS28: submandibular gland Present UC Davis_1865448

Specimen UC Davis_1865449: postnatal adult; Tmem184btm1.1(KOMP)Vlcg/Tmem184b+ (more )
Structure Level Pattern Image Note
TS28: sublingual gland Present UC Davis_1865449

Specimen UC Davis_1865450: postnatal adult; Tmem184btm1.1(KOMP)Vlcg/Tmem184b+ (more )
Structure Level Pattern Image Note
TS28: sublingual gland Present UC Davis_1865450

Specimen UC Davis_1865451: postnatal adult; Tmem184btm1.1(KOMP)Vlcg/Tmem184b+ (more )
Structure Level Pattern Image Note
TS28: parotid gland Present UC Davis_1865451

Specimen UC Davis_1865452: postnatal adult; Tmem184btm1.1(KOMP)Vlcg/Tmem184b+ (more )
Structure Level Pattern Image Note
TS28: parotid gland Present UC Davis_1865452

Specimen UC Davis_1865454: postnatal adult; Tmem184btm1.1(KOMP)Vlcg/Tmem184b+ (more )
Structure Level Pattern Image Note
TS28: trachea Present UC Davis_1865454

Specimen UC Davis_1865455: postnatal adult; Tmem184btm1.1(KOMP)Vlcg/Tmem184b+ (more )
Structure Level Pattern Image Note
TS28: trachea Present UC Davis_1865455

Specimen UC Davis_1865456: postnatal adult; Tmem184btm1.1(KOMP)Vlcg/Tmem184b+ (more )
Structure Level Pattern Image Note
TS28: esophagus Present UC Davis_1865456

Specimen UC Davis_1865457: postnatal adult; Tmem184btm1.1(KOMP)Vlcg/Tmem184b+ (more )
Structure Level Pattern Image Note
TS28: esophagus Present UC Davis_1865457

Specimen UC Davis_1865458: postnatal adult; Tmem184btm1.1(KOMP)Vlcg/Tmem184b+ (more )
Structure Level Pattern Image Note
TS28: esophagus Present UC Davis_1865458

Specimen UC Davis_1865459: postnatal adult; Tmem184btm1.1(KOMP)Vlcg/Tmem184b+ (more )
Structure Level Pattern Image Note
TS28: esophagus Present UC Davis_1865459

Specimen UC Davis_1865460: postnatal adult; Tmem184btm1.1(KOMP)Vlcg/Tmem184b+ (more )
Structure Level Pattern Image Note
TS28: esophagus Present UC Davis_1865460

Specimen UC Davis_1865461: postnatal adult; Tmem184btm1.1(KOMP)Vlcg/Tmem184b+ (more )
Structure Level Pattern Image Note
TS28: thyroid gland Present UC Davis_1865461

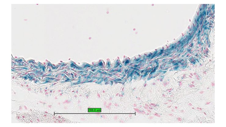
Specimen UC Davis_1865462: postnatal adult; Tmem184btm1.1(KOMP)Vlcg/Tmem184b+ (more )
Structure Level Pattern Image Note
TS28: aorta Present UC Davis_1865462

Specimen UC Davis_1865463: postnatal adult; Tmem184btm1.1(KOMP)Vlcg/Tmem184b+ (more )
Structure Level Pattern Image Note
TS28: aorta Present UC Davis_1865463

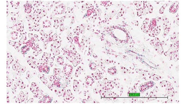
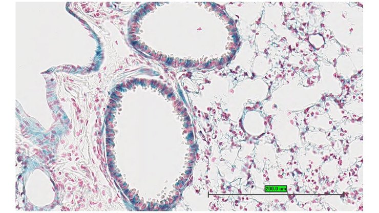
Specimen UC Davis_1865464: postnatal adult; Tmem184btm1.1(KOMP)Vlcg/Tmem184b+ (more )
Structure Level Pattern Image Note
TS28: lung Present UC Davis_1865464

Specimen UC Davis_1865465: postnatal adult; Tmem184btm1.1(KOMP)Vlcg/Tmem184b+ (more )
Structure Level Pattern Image Note
TS28: lung Present UC Davis_1865465

Specimen UC Davis_1865466: postnatal adult; Tmem184btm1.1(KOMP)Vlcg/Tmem184b+ (more )
Structure Level Pattern Image Note
TS28: lung Present UC Davis_1865466

Specimen UC Davis_1865467: postnatal adult; Tmem184btm1.1(KOMP)Vlcg/Tmem184b+ (more )
Structure Level Pattern Image Note
TS28: thymus Present UC Davis_1865467

Specimen UC Davis_1865468: postnatal adult; Tmem184btm1.1(KOMP)Vlcg/Tmem184b+ (more )
Structure Level Pattern Image Note
TS28: thymus Present UC Davis_1865468

Specimen UC Davis_1865472: postnatal adult; Tmem184btm1.1(KOMP)Vlcg/Tmem184b+ (more )
Structure Level Pattern Image Note
TS28: mesenteric lymph node Present UC Davis_1865472

Specimen UC Davis_1865473: postnatal adult; Tmem184btm1.1(KOMP)Vlcg/Tmem184b+ (more )
Structure Level Pattern Image Note
TS28: stomach Present UC Davis_1865473

Specimen UC Davis_1865474: postnatal adult; Tmem184btm1.1(KOMP)Vlcg/Tmem184b+ (more )
Structure Level Pattern Image Note
TS28: stomach Present UC Davis_1865474

Specimen UC Davis_1865475: postnatal adult; Tmem184btm1.1(KOMP)Vlcg/Tmem184b+ (more )
Structure Level Pattern Image Note
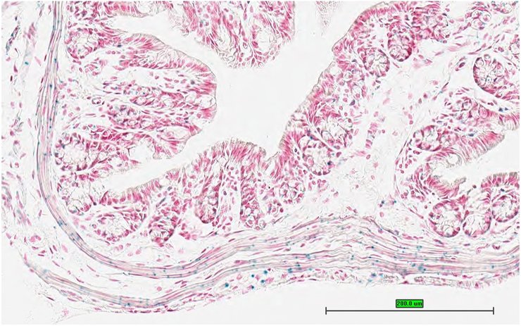
TS28: duodenum Present UC Davis_1865475

Specimen UC Davis_1865476: postnatal adult; Tmem184btm1.1(KOMP)Vlcg/Tmem184b+ (more )
Structure Level Pattern Image Note
TS28: jejunum Present UC Davis_1865476

Specimen UC Davis_1865477: postnatal adult; Tmem184btm1.1(KOMP)Vlcg/Tmem184b+ (more )
Structure Level Pattern Image Note
TS28: ileum Present UC Davis_1865477

Specimen UC Davis_1865478: postnatal adult; Tmem184btm1.1(KOMP)Vlcg/Tmem184b+ (more )
Structure Level Pattern Image Note
TS28: colon Present UC Davis_1865478

Specimen UC Davis_1865479: postnatal adult; Tmem184btm1.1(KOMP)Vlcg/Tmem184b+ (more )
Structure Level Pattern Image Note
TS28: colon Present UC Davis_1865479

Specimen UC Davis_1865480: postnatal adult; Tmem184btm1.1(KOMP)Vlcg/Tmem184b+ (more )
Structure Level Pattern Image Note
TS28: cecum Present UC Davis_1865480

Specimen UC Davis_1865481: postnatal adult; Tmem184btm1.1(KOMP)Vlcg/Tmem184b+ (more )
Structure Level Pattern Image Note
TS28: spleen Present UC Davis_1865481

Specimen UC Davis_1865482: postnatal adult; Tmem184btm1.1(KOMP)Vlcg/Tmem184b+ (more )
Structure Level Pattern Image Note
TS28: spleen Present UC Davis_1865482

Specimen UC Davis_1865483: postnatal adult; Tmem184btm1.1(KOMP)Vlcg/Tmem184b+ (more )
Structure Level Pattern Image Note
TS28: pancreas Present UC Davis_1865483

Specimen UC Davis_1865484: postnatal adult; Tmem184btm1.1(KOMP)Vlcg/Tmem184b+ (more )
Structure Level Pattern Image Note
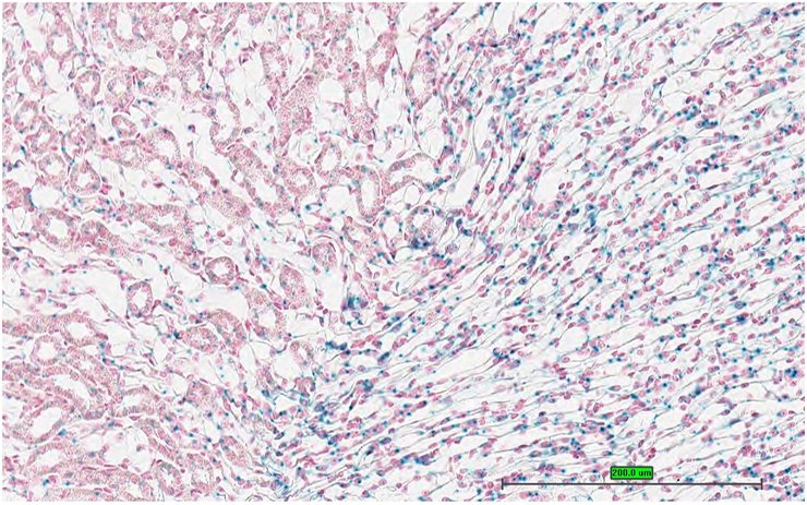
TS28: metanephros Present UC Davis_1865484 kidney

Specimen UC Davis_1865485: postnatal adult; Tmem184btm1.1(KOMP)Vlcg/Tmem184b+ (more )
Structure Level Pattern Image Note
TS28: metanephros Present UC Davis_1865485 kidney

Specimen UC Davis_1865486: postnatal adult; Tmem184btm1.1(KOMP)Vlcg/Tmem184b+ (more )
Structure Level Pattern Image Note
TS28: metanephros Present UC Davis_1865486 kidney

Specimen UC Davis_1865487: postnatal adult; Tmem184btm1.1(KOMP)Vlcg/Tmem184b+ (more )
Structure Level Pattern Image Note
TS28: quadriceps femoris muscle Absent UC Davis_1865487

Specimen UC Davis_1865488: postnatal adult; Tmem184btm1.1(KOMP)Vlcg/Tmem184b+ (more )
Structure Level Pattern Image Note
TS28: quadriceps femoris muscle Absent UC Davis_1865488

Specimen UC Davis_1865489: postnatal adult; Tmem184btm1.1(KOMP)Vlcg/Tmem184b+ (more )
Structure Level Pattern Image Note
TS28: tongue Absent UC Davis_1865489

Specimen UC Davis_1865490: postnatal adult; Tmem184btm1.1(KOMP)Vlcg/Tmem184b+ (more )
Structure Level Pattern Image Note
TS28: adrenal gland Present UC Davis_1865490

Specimen UC Davis_1865491: postnatal adult; Tmem184btm1.1(KOMP)Vlcg/Tmem184b+ (more )
Structure Level Pattern Image Note
TS28: adrenal gland Present UC Davis_1865491

Specimen UC Davis_1865492: postnatal adult; Tmem184btm1.1(KOMP)Vlcg/Tmem184b+ (more )
Structure Level Pattern Image Note
TS28: spinal cord Present UC Davis_1865492

Specimen UC Davis_1865493: postnatal adult; Tmem184btm1.1(KOMP)Vlcg/Tmem184b+ (more )
Structure Level Pattern Image Note
TS28: spinal cord Present UC Davis_1865493

Specimen UC Davis_1865494: postnatal adult; Tmem184btm1.1(KOMP)Vlcg/Tmem184b+ (more )
Structure Level Pattern Image Note
TS28: eye Present UC Davis_1865494

Specimen UC Davis_1865495: postnatal adult; Tmem184btm1.1(KOMP)Vlcg/Tmem184b+ (more )
Structure Level Pattern Image Note
TS28: skin Present UC Davis_1865495

Specimen UC Davis_1865496: postnatal adult; Tmem184btm1.1(KOMP)Vlcg/Tmem184b+ (more )
Structure Level Pattern Image Note
TS28: skin Present UC Davis_1865496

Specimen UC Davis_1865497: postnatal adult; Tmem184btm1.1(KOMP)Vlcg/Tmem184b+ (more )
Structure Level Pattern Image Note
TS28: skin Present UC Davis_1865497

Specimen UC Davis_1865498: postnatal adult; Tmem184btm1.1(KOMP)Vlcg/Tmem184b+ (more )
Structure Level Pattern Image Note
TS28: brown fat Present UC Davis_1865498

Specimen UC Davis_1865499: postnatal adult; Tmem184btm1.1(KOMP)Vlcg/Tmem184b+ (more )
Structure Level Pattern Image Note
TS28: brown fat Present UC Davis_1865499

Specimen UC Davis_1865500: postnatal adult; Tmem184btm1.1(KOMP)Vlcg/Tmem184b+ (more )
Structure Level Pattern Image Note
TS28: olfactory lobe Present UC Davis_1865500

Specimen UC Davis_1865502: postnatal adult; Tmem184btm1.1(KOMP)Vlcg/Tmem184b+ (more )
Structure Level Pattern Image Note
TS28: midbrain Present UC Davis_1865502

Specimen UC Davis_1865504: postnatal adult; Tmem184btm1.1(KOMP)Vlcg/Tmem184b+ (more )
Structure Level Pattern Image Note
TS28: cerebellum Present UC Davis_1865504

Specimen UC Davis_1865505: postnatal adult; Tmem184btm1.1(KOMP)Vlcg/Tmem184b+ (more )
Structure Level Pattern Image Note
TS28: trigeminal nerve Present UC Davis_1865505

Specimen UC Davis_1865506: postnatal adult; Tmem184btm1.1(KOMP)Vlcg/Tmem184b+ (more )
Structure Level Pattern Image Note
TS28: ovary Present UC Davis_1865506

Specimen UC Davis_1865507: postnatal adult; Tmem184btm1.1(KOMP)Vlcg/Tmem184b+ (more )
Structure Level Pattern Image Note
TS28: ovary Present UC Davis_1865507

Specimen UC Davis_1865508: postnatal adult; Tmem184btm1.1(KOMP)Vlcg/Tmem184b+ (more )
Structure Level Pattern Image Note
TS28: oviduct Present UC Davis_1865508

Specimen UC Davis_1865509: postnatal adult; Tmem184btm1.1(KOMP)Vlcg/Tmem184b+ (more )
Structure Level Pattern Image Note
TS28: oviduct Present UC Davis_1865509

Specimen UC Davis_1865510: postnatal adult; Tmem184btm1.1(KOMP)Vlcg/Tmem184b+ (more )
Structure Level Pattern Image Note
TS28: uterus Present UC Davis_1865510

Specimen UC Davis_1865511: postnatal adult; Tmem184btm1.1(KOMP)Vlcg/Tmem184b+ (more )
Structure Level Pattern Image Note
TS28: uterus Present UC Davis_1865511

Specimen UC Davis_1865512: postnatal adult; Tmem184btm1.1(KOMP)Vlcg/Tmem184b+ (more )
Structure Level Pattern Image Note
TS28: vagina Present UC Davis_1865512

Specimen UC Davis_1865513: postnatal adult; Tmem184btm1.1(KOMP)Vlcg/Tmem184b+ (more )
Structure Level Pattern Image Note
TS28: vagina Present UC Davis_1865513

Specimen UC Davis_1865514: postnatal adult; Tmem184btm1.1(KOMP)Vlcg/Tmem184b+ (more )
Structure Level Pattern Image Note
TS28: vagina Present UC Davis_1865514

Specimen UC Davis_1865515: postnatal adult; Tmem184btm1.1(KOMP)Vlcg/Tmem184b+ (more )
Structure Level Pattern Image Note
TS28: bladder Present UC Davis_1865515

Specimen UC Davis_1865520: postnatal adult; Tmem184btm1.1(KOMP)Vlcg/Tmem184b+ (more )
Structure Level Pattern Image Note
TS28: mammary gland Present UC Davis_1865520

Specimen UC Davis_1865521: postnatal adult; Tmem184btm1.1(KOMP)Vlcg/Tmem184b+ (more )
Structure Level Pattern Image Note
TS28: mammary gland Present UC Davis_1865521

Specimen UC Davis_1865524: postnatal adult; Tmem184btm1.1(KOMP)Vlcg/Tmem184b+ (more )
Structure Level Pattern Image Note
TS28: submandibular gland Present UC Davis_1865524

Specimen UC Davis_1865525: postnatal adult; Tmem184btm1.1(KOMP)Vlcg/Tmem184b+ (more )
Structure Level Pattern Image Note
TS28: submandibular gland Present UC Davis_1865525

Specimen UC Davis_1865526: postnatal adult; Tmem184btm1.1(KOMP)Vlcg/Tmem184b+ (more )
Structure Level Pattern Image Note
TS28: sublingual gland Present UC Davis_1865526

Specimen UC Davis_1865527: postnatal adult; Tmem184btm1.1(KOMP)Vlcg/Tmem184b+ (more )
Structure Level Pattern Image Note
TS28: sublingual gland Present UC Davis_1865527

Specimen UC Davis_1865528: postnatal adult; Tmem184btm1.1(KOMP)Vlcg/Tmem184b+ (more )
Structure Level Pattern Image Note
TS28: parotid gland Present UC Davis_1865528

Specimen UC Davis_1865530: postnatal adult; Tmem184btm1.1(KOMP)Vlcg/Tmem184b+ (more )
Structure Level Pattern Image Note
TS28: trachea Present UC Davis_1865530

Specimen UC Davis_1865531: postnatal adult; Tmem184btm1.1(KOMP)Vlcg/Tmem184b+ (more )
Structure Level Pattern Image Note
TS28: esophagus Present UC Davis_1865531

Specimen UC Davis_1865532: postnatal adult; Tmem184btm1.1(KOMP)Vlcg/Tmem184b+ (more )
Structure Level Pattern Image Note
TS28: esophagus Present UC Davis_1865532

Specimen UC Davis_1865533: postnatal adult; Tmem184btm1.1(KOMP)Vlcg/Tmem184b+ (more )
Structure Level Pattern Image Note
TS28: esophagus Present UC Davis_1865533

Specimen UC Davis_1865534: postnatal adult; Tmem184btm1.1(KOMP)Vlcg/Tmem184b+ (more )
Structure Level Pattern Image Note
TS28: thyroid gland Present UC Davis_1865534

Specimen UC Davis_1865537: postnatal adult; Tmem184btm1.1(KOMP)Vlcg/Tmem184b+ (more )
Structure Level Pattern Image Note
TS28: aorta Present UC Davis_1865537

Specimen UC Davis_1865538: postnatal adult; Tmem184btm1.1(KOMP)Vlcg/Tmem184b+ (more )
Structure Level Pattern Image Note
TS28: lung Present UC Davis_1865538

Specimen UC Davis_1865539: postnatal adult; Tmem184btm1.1(KOMP)Vlcg/Tmem184b+ (more )
Structure Level Pattern Image Note
TS28: lung Present UC Davis_1865539

Specimen UC Davis_1865540: postnatal adult; Tmem184btm1.1(KOMP)Vlcg/Tmem184b+ (more )
Structure Level Pattern Image Note
TS28: lung Present UC Davis_1865540

Specimen UC Davis_1865541: postnatal adult; Tmem184btm1.1(KOMP)Vlcg/Tmem184b+ (more )
Structure Level Pattern Image Note
TS28: thymus Present UC Davis_1865541

Specimen UC Davis_1865542: postnatal adult; Tmem184btm1.1(KOMP)Vlcg/Tmem184b+ (more )
Structure Level Pattern Image Note
TS28: thymus Present UC Davis_1865542

Specimen UC Davis_1865545: postnatal adult; Tmem184btm1.1(KOMP)Vlcg/Tmem184b+ (more )
Structure Level Pattern Image Note
TS28: mesenteric lymph node Present UC Davis_1865545

Specimen UC Davis_1865546: postnatal adult; Tmem184btm1.1(KOMP)Vlcg/Tmem184b+ (more )
Structure Level Pattern Image Note
TS28: mesenteric lymph node Present UC Davis_1865546

Specimen UC Davis_1865547: postnatal adult; Tmem184btm1.1(KOMP)Vlcg/Tmem184b+ (more )
Structure Level Pattern Image Note
TS28: stomach Present UC Davis_1865547

Specimen UC Davis_1865548: postnatal adult; Tmem184btm1.1(KOMP)Vlcg/Tmem184b+ (more )
Structure Level Pattern Image Note
TS28: stomach Present UC Davis_1865548

Specimen UC Davis_1865549: postnatal adult; Tmem184btm1.1(KOMP)Vlcg/Tmem184b+ (more )
Structure Level Pattern Image Note
TS28: stomach Present UC Davis_1865549

Specimen UC Davis_1865550: postnatal adult; Tmem184btm1.1(KOMP)Vlcg/Tmem184b+ (more )
Structure Level Pattern Image Note
TS28: stomach Present UC Davis_1865550

Specimen UC Davis_1865551: postnatal adult; Tmem184btm1.1(KOMP)Vlcg/Tmem184b+ (more )
Structure Level Pattern Image Note
TS28: duodenum Present UC Davis_1865551

Specimen UC Davis_1865552: postnatal adult; Tmem184btm1.1(KOMP)Vlcg/Tmem184b+ (more )
Structure Level Pattern Image Note
TS28: duodenum Present UC Davis_1865552

Specimen UC Davis_1865553: postnatal adult; Tmem184btm1.1(KOMP)Vlcg/Tmem184b+ (more )
Structure Level Pattern Image Note
TS28: ileum Present UC Davis_1865553

Specimen UC Davis_1865554: postnatal adult; Tmem184btm1.1(KOMP)Vlcg/Tmem184b+ (more )
Structure Level Pattern Image Note
TS28: ileum Present UC Davis_1865554

Specimen UC Davis_1865555: postnatal adult; Tmem184btm1.1(KOMP)Vlcg/Tmem184b+ (more )
Structure Level Pattern Image Note
TS28: colon Present UC Davis_1865555

Specimen UC Davis_1865556: postnatal adult; Tmem184btm1.1(KOMP)Vlcg/Tmem184b+ (more )
Structure Level Pattern Image Note
TS28: cecum Present UC Davis_1865556

Specimen UC Davis_1865557: postnatal adult; Tmem184btm1.1(KOMP)Vlcg/Tmem184b+ (more )
Structure Level Pattern Image Note
TS28: spleen Present UC Davis_1865557

Specimen UC Davis_1865558: postnatal adult; Tmem184btm1.1(KOMP)Vlcg/Tmem184b+ (more )
Structure Level Pattern Image Note
TS28: spleen Present UC Davis_1865558

Specimen UC Davis_1865559: postnatal adult; Tmem184btm1.1(KOMP)Vlcg/Tmem184b+ (more )
Structure Level Pattern Image Note
TS28: spleen Present UC Davis_1865559

Specimen UC Davis_1865560: postnatal adult; Tmem184btm1.1(KOMP)Vlcg/Tmem184b+ (more )
Structure Level Pattern Image Note
TS28: spleen Present UC Davis_1865560

Specimen UC Davis_1865561: postnatal adult; Tmem184btm1.1(KOMP)Vlcg/Tmem184b+ (more )
Structure Level Pattern Image Note
TS28: pancreas Present UC Davis_1865561

Specimen UC Davis_1865562: postnatal adult; Tmem184btm1.1(KOMP)Vlcg/Tmem184b+ (more )
Structure Level Pattern Image Note
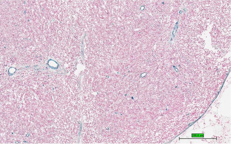
TS28: liver Present UC Davis_1865562

Specimen UC Davis_1865563: postnatal adult; Tmem184btm1.1(KOMP)Vlcg/Tmem184b+ (more )
Structure Level Pattern Image Note
TS28: liver Present UC Davis_1865563

Specimen UC Davis_1865564: postnatal adult; Tmem184btm1.1(KOMP)Vlcg/Tmem184b+ (more )
Structure Level Pattern Image Note
TS28: metanephros Present UC Davis_1865564 kidney

Specimen UC Davis_1865565: postnatal adult; Tmem184btm1.1(KOMP)Vlcg/Tmem184b+ (more )
Structure Level Pattern Image Note
TS28: metanephros Present UC Davis_1865565 kidney

Specimen UC Davis_1865566: postnatal adult; Tmem184btm1.1(KOMP)Vlcg/Tmem184b+ (more )
Structure Level Pattern Image Note
TS28: metanephros Present UC Davis_1865566 kidney

Specimen UC Davis_1865567: postnatal adult; Tmem184btm1.1(KOMP)Vlcg/Tmem184b+ (more )
Structure Level Pattern Image Note
TS28: metanephros Present UC Davis_1865567 kidney

Specimen UC Davis_1865568: postnatal adult; Tmem184btm1.1(KOMP)Vlcg/Tmem184b+ (more )
Structure Level Pattern Image Note
TS28: metanephros Present UC Davis_1865568 kidney

Specimen UC Davis_1865569: postnatal adult; Tmem184btm1.1(KOMP)Vlcg/Tmem184b+ (more )
Structure Level Pattern Image Note
TS28: quadriceps femoris muscle Present UC Davis_1865569

Specimen UC Davis_1865570: postnatal adult; Tmem184btm1.1(KOMP)Vlcg/Tmem184b+ (more )
Structure Level Pattern Image Note
TS28: sciatic nerve Present UC Davis_1865570

Specimen UC Davis_1865571: postnatal adult; Tmem184btm1.1(KOMP)Vlcg/Tmem184b+ (more )
Structure Level Pattern Image Note
TS28: tongue Present UC Davis_1865571

Specimen UC Davis_1865572: postnatal adult; Tmem184btm1.1(KOMP)Vlcg/Tmem184b+ (more )
Structure Level Pattern Image Note
TS28: tongue Present UC Davis_1865572

Specimen UC Davis_1865573: postnatal adult; Tmem184btm1.1(KOMP)Vlcg/Tmem184b+ (more )
Structure Level Pattern Image Note
TS28: tongue Present UC Davis_1865573

Specimen UC Davis_1865574: postnatal adult; Tmem184btm1.1(KOMP)Vlcg/Tmem184b+ (more )
Structure Level Pattern Image Note
TS28: tongue Present UC Davis_1865574

Specimen UC Davis_1865575: postnatal adult; Tmem184btm1.1(KOMP)Vlcg/Tmem184b+ (more )
Structure Level Pattern Image Note
TS28: tongue Present UC Davis_1865575

Specimen UC Davis_1865576: postnatal adult; Tmem184btm1.1(KOMP)Vlcg/Tmem184b+ (more )
Structure Level Pattern Image Note
TS28: diaphragm Present UC Davis_1865576

Specimen UC Davis_1865577: postnatal adult; Tmem184btm1.1(KOMP)Vlcg/Tmem184b+ (more )
Structure Level Pattern Image Note
TS28: spinal cord Present UC Davis_1865577

Specimen UC Davis_1865578: postnatal adult; Tmem184btm1.1(KOMP)Vlcg/Tmem184b+ (more )
Structure Level Pattern Image Note
TS28: spinal cord Present UC Davis_1865578

Specimen UC Davis_1865579: postnatal adult; Tmem184btm1.1(KOMP)Vlcg/Tmem184b+ (more )
Structure Level Pattern Image Note
TS28: spinal cord Present UC Davis_1865579

Specimen UC Davis_1865580: postnatal adult; Tmem184btm1.1(KOMP)Vlcg/Tmem184b+ (more )
Structure Level Pattern Image Note
TS28: eye Present UC Davis_1865580

Specimen UC Davis_1865581: postnatal adult; Tmem184btm1.1(KOMP)Vlcg/Tmem184b+ (more )
Structure Level Pattern Image Note
TS28: eye Present UC Davis_1865581

Specimen UC Davis_1865582: postnatal adult; Tmem184btm1.1(KOMP)Vlcg/Tmem184b+ (more )
Structure Level Pattern Image Note
TS28: eye Present UC Davis_1865582

Specimen UC Davis_1865583: postnatal adult; Tmem184btm1.1(KOMP)Vlcg/Tmem184b+ (more )
Structure Level Pattern Image Note
TS28: eye Present UC Davis_1865583

Specimen UC Davis_1865584: postnatal adult; Tmem184btm1.1(KOMP)Vlcg/Tmem184b+ (more )
Structure Level Pattern Image Note
TS28: eye Present UC Davis_1865584

Specimen UC Davis_1865585: postnatal adult; Tmem184btm1.1(KOMP)Vlcg/Tmem184b+ (more )
Structure Level Pattern Image Note
TS28: Harderian gland Present UC Davis_1865585

Specimen UC Davis_1865586: postnatal adult; Tmem184btm1.1(KOMP)Vlcg/Tmem184b+ (more )
Structure Level Pattern Image Note
TS28: Harderian gland Present UC Davis_1865586

Specimen UC Davis_1865587: postnatal adult; Tmem184btm1.1(KOMP)Vlcg/Tmem184b+ (more )
Structure Level Pattern Image Note
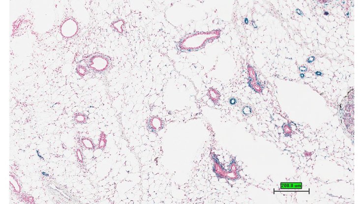
TS28: gonadal fat pad Present UC Davis_1865587

Specimen UC Davis_1865588: postnatal adult; Tmem184btm1.1(KOMP)Vlcg/Tmem184b+ (more )
Structure Level Pattern Image Note
TS28: mesenteric adipose tissue Present UC Davis_1865588

Specimen UC Davis_1865589: postnatal adult; Tmem184btm1.1(KOMP)Vlcg/Tmem184b+ (more )
Structure Level Pattern Image Note
TS28: mesenteric adipose tissue Present UC Davis_1865589

Specimen UC Davis_1865590: postnatal adult; Tmem184btm1.1(KOMP)Vlcg/Tmem184b+ (more )
Structure Level Pattern Image Note
TS28: skin Present UC Davis_1865590

Specimen UC Davis_1865591: postnatal adult; Tmem184btm1.1(KOMP)Vlcg/Tmem184b+ (more )
Structure Level Pattern Image Note
TS28: skin Present UC Davis_1865591

Specimen UC Davis_1865592: postnatal adult; Tmem184btm1.1(KOMP)Vlcg/Tmem184b+ (more )
Structure Level Pattern Image Note
TS28: skin Present UC Davis_1865592

Specimen UC Davis_1865593: postnatal adult; Tmem184btm1.1(KOMP)Vlcg/Tmem184b+ (more )
Structure Level Pattern Image Note
TS28: brown fat Present UC Davis_1865593

Specimen UC Davis_1865594: postnatal adult; Tmem184btm1.1(KOMP)Vlcg/Tmem184b+ (more )
Structure Level Pattern Image Note
TS28: brown fat Present UC Davis_1865594

Specimen UC Davis_1865595: postnatal adult; Tmem184btm1.1(KOMP)Vlcg/Tmem184b+ (more )
Structure Level Pattern Image Note
TS28: olfactory lobe Present UC Davis_1865595

Specimen UC Davis_1865596: postnatal adult; Tmem184btm1.1(KOMP)Vlcg/Tmem184b+ (more )
Structure Level Pattern Image Note
TS28: olfactory lobe Present UC Davis_1865596

Specimen UC Davis_1865600: postnatal adult; Tmem184btm1.1(KOMP)Vlcg/Tmem184b+ (more )
Structure Level Pattern Image Note
TS28: cerebellum Present UC Davis_1865600

Specimen UC Davis_1865601: postnatal adult; Tmem184btm1.1(KOMP)Vlcg/Tmem184b+ (more )
Structure Level Pattern Image Note
TS28: trigeminal nerve Present UC Davis_1865601

Specimen UC Davis_1865602: postnatal adult; Tmem184btm1.1(KOMP)Vlcg/Tmem184b+ (more )
Structure Level Pattern Image Note
TS28: bladder Present UC Davis_1865602

Specimen UC Davis_1865603: postnatal adult; Tmem184btm1.1(KOMP)Vlcg/Tmem184b+ (more )
Structure Level Pattern Image Note
TS28: testis Present UC Davis_1865603

Specimen UC Davis_1865604: postnatal adult; Tmem184btm1.1(KOMP)Vlcg/Tmem184b+ (more )
Structure Level Pattern Image Note
TS28: testis Present UC Davis_1865604

Specimen UC Davis_1865605: postnatal adult; Tmem184btm1.1(KOMP)Vlcg/Tmem184b+ (more )
Structure Level Pattern Image Note
TS28: testis Present UC Davis_1865605

Specimen UC Davis_1865606: postnatal adult; Tmem184btm1.1(KOMP)Vlcg/Tmem184b+ (more )
Structure Level Pattern Image Note
TS28: epididymis Present UC Davis_1865606

Specimen UC Davis_1865607: postnatal adult; Tmem184btm1.1(KOMP)Vlcg/Tmem184b+ (more )
Structure Level Pattern Image Note
TS28: epididymis Present UC Davis_1865607

Specimen UC Davis_1865608: postnatal adult; Tmem184btm1.1(KOMP)Vlcg/Tmem184b+ (more )
Structure Level Pattern Image Note
TS28: prostate gland Present UC Davis_1865608

Specimen UC Davis_1865609: postnatal adult; Tmem184btm1.1(KOMP)Vlcg/Tmem184b+ (more )
Structure Level Pattern Image Note
TS28: penis Present UC Davis_1865609

Specimen UC Davis_1865610: postnatal adult; Tmem184btm1.1(KOMP)Vlcg/Tmem184b+ (more )
Structure Level Pattern Image Note
TS28: penis Present UC Davis_1865610

Specimen UC Davis_1865611: postnatal adult; Tmem184btm1.1(KOMP)Vlcg/Tmem184b+ (more )
Structure Level Pattern Image Note
TS28: penis Present UC Davis_1865611

Specimen UC Davis_1865612: postnatal adult; Tmem184btm1.1(KOMP)Vlcg/Tmem184b+ (more )
Structure Level Pattern Image Note
TS28: ductus deferens Present UC Davis_1865612 vas deferens

Specimen UC Davis_1865613: postnatal adult; Tmem184btm1.1(KOMP)Vlcg/Tmem184b+ (more )
Structure Level Pattern Image Note
TS28: ductus deferens Present UC Davis_1865613 vas deferens

Specimen UC Davis_1865617: postnatal adult; Tmem184btm1.1(KOMP)Vlcg/Tmem184b+ (more )
Structure Level Pattern Image Note
TS28: seminal vesicle Present UC Davis_1865617 vesicular gland

Specimen UC Davis_1865618: postnatal adult; Tmem184btm1.1(KOMP)Vlcg/Tmem184b+ (more )
Structure Level Pattern Image Note
TS28: seminal vesicle Present UC Davis_1865618 vesicular gland


Contributing Projects:
Mouse Genome Database (MGD), Gene Expression Database (GXD), Mouse Models of Human Cancer database (MMHCdb) (formerly Mouse Tumor Biology (MTB)), Gene Ontology (GO)
Citing These Resources
Funding Information
Warranty Disclaimer, Privacy Notice, Licensing, & Copyright
Send questions and comments to User Support.
last database update
01/20/2026
MGI 6.24
The Jackson Laboratory