About   Help   FAQ
Gene Expression Data
Assay Details
Assay
Reference: J:228563 Koscielny G, et al., The International Mouse Phenotyping Consortium Web Portal, a unified point of access for knockout mice and related phenotyping data. Nucleic Acids Res. 2014 Jan;42(Database issue):D802-9
Assay type: In situ reporter (knock in)
MGI Accession ID: MGI:6692688
Gene symbol: Zzef1
Gene name: zinc finger, ZZ-type with EF hand domain 1
Reporter: lacZ
Direct Detection
Results
Specimen JAX_1121841: embryonic day 12.5; Zzef1tm2.1(KOMP)Vlcg/Zzef1+ (more )
Structure Level Pattern Image Note
TS20: embryo Present JAX_1121841

Specimen JAX_1121843: embryonic day 12.5; Zzef1tm2.1(KOMP)Vlcg/Zzef1+ (more )
Structure Level Pattern Image Note
TS20: embryo Present JAX_1121843

Specimen JAX_1121845: embryonic day 12.5; Zzef1tm2.1(KOMP)Vlcg/Zzef1+ (more )
Structure Level Pattern Image Note
TS20: embryo Present JAX_1121845

Specimen JAX_1121847: embryonic day 12.5; Zzef1tm2.1(KOMP)Vlcg/Zzef1+ (more )
Structure Level Pattern Image Note
TS20: embryo Present JAX_1121847

Specimen JAX_1314084: embryonic day 12.5; Zzef1tm2.1(KOMP)Vlcg/Zzef1+ (more )
Structure Level Pattern Image Note
TS20: embryo Present JAX_1314084

Specimen JAX_1314085: embryonic day 12.5; Zzef1tm2.1(KOMP)Vlcg/Zzef1+ (more )
Structure Level Pattern Image Note
TS20: embryo Present JAX_1314085

Specimen JAX_1314086: embryonic day 12.5; Zzef1tm2.1(KOMP)Vlcg/Zzef1+ (more )
Structure Level Pattern Image Note
TS20: embryo Present JAX_1314086

Specimen JAX_1314087: embryonic day 12.5; Zzef1tm2.1(KOMP)Vlcg/Zzef1+ (more )
Structure Level Pattern Image Note
TS20: embryo Present JAX_1314087

Specimen UC Davis_1857928: postnatal adult; Zzef1tm2.1(KOMP)Vlcg/Zzef1+ (more )
Structure Level Pattern Image Note
TS28: submandibular gland Present UC Davis_1857928

Specimen UC Davis_1857929: postnatal adult; Zzef1tm2.1(KOMP)Vlcg/Zzef1+ (more )
Structure Level Pattern Image Note
TS28: submandibular gland Present UC Davis_1857929

Specimen UC Davis_1857930: postnatal adult; Zzef1tm2.1(KOMP)Vlcg/Zzef1+ (more )
Structure Level Pattern Image Note
TS28: sublingual gland Present UC Davis_1857930

Specimen UC Davis_1857931: postnatal adult; Zzef1tm2.1(KOMP)Vlcg/Zzef1+ (more )
Structure Level Pattern Image Note
TS28: sublingual gland Present UC Davis_1857931

Specimen UC Davis_1857932: postnatal adult; Zzef1tm2.1(KOMP)Vlcg/Zzef1+ (more )
Structure Level Pattern Image Note
TS28: parotid gland Present UC Davis_1857932

Specimen UC Davis_1857933: postnatal adult; Zzef1tm2.1(KOMP)Vlcg/Zzef1+ (more )
Structure Level Pattern Image Note
TS28: parotid gland Present UC Davis_1857933

Specimen UC Davis_1857935: postnatal adult; Zzef1tm2.1(KOMP)Vlcg/Zzef1+ (more )
Structure Level Pattern Image Note
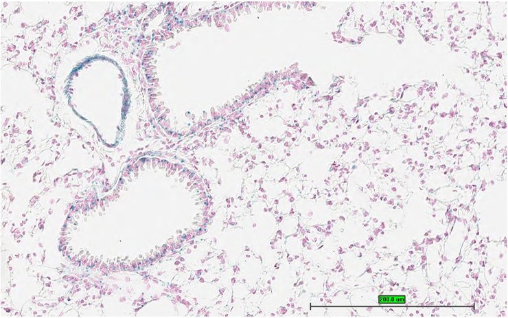
TS28: trachea Present UC Davis_1857935

Specimen UC Davis_1857936: postnatal adult; Zzef1tm2.1(KOMP)Vlcg/Zzef1+ (more )
Structure Level Pattern Image Note
TS28: trachea Present UC Davis_1857936

Specimen UC Davis_1857937: postnatal adult; Zzef1tm2.1(KOMP)Vlcg/Zzef1+ (more )
Structure Level Pattern Image Note
TS28: esophagus Absent UC Davis_1857937

Specimen UC Davis_1857938: postnatal adult; Zzef1tm2.1(KOMP)Vlcg/Zzef1+ (more )
Structure Level Pattern Image Note
TS28: esophagus Absent UC Davis_1857938

Specimen UC Davis_1857939: postnatal adult; Zzef1tm2.1(KOMP)Vlcg/Zzef1+ (more )
Structure Level Pattern Image Note
TS28: esophagus Absent UC Davis_1857939

Specimen UC Davis_1857940: postnatal adult; Zzef1tm2.1(KOMP)Vlcg/Zzef1+ (more )
Structure Level Pattern Image Note
TS28: esophagus Absent UC Davis_1857940

Specimen UC Davis_1857941: postnatal adult; Zzef1tm2.1(KOMP)Vlcg/Zzef1+ (more )
Structure Level Pattern Image Note
TS28: thyroid gland Present UC Davis_1857941

Specimen UC Davis_1857942: postnatal adult; Zzef1tm2.1(KOMP)Vlcg/Zzef1+ (more )
Structure Level Pattern Image Note
TS28: parathyroid gland Present UC Davis_1857942

Specimen UC Davis_1857943: postnatal adult; Zzef1tm2.1(KOMP)Vlcg/Zzef1+ (more )
Structure Level Pattern Image Note
TS28: aorta Present UC Davis_1857943

Specimen UC Davis_1857944: postnatal adult; Zzef1tm2.1(KOMP)Vlcg/Zzef1+ (more )
Structure Level Pattern Image Note
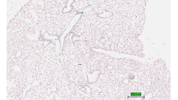
TS28: lung Present UC Davis_1857944

Specimen UC Davis_1857945: postnatal adult; Zzef1tm2.1(KOMP)Vlcg/Zzef1+ (more )
Structure Level Pattern Image Note
TS28: lung Present UC Davis_1857945

Specimen UC Davis_1857946: postnatal adult; Zzef1tm2.1(KOMP)Vlcg/Zzef1+ (more )
Structure Level Pattern Image Note
TS28: lung Present UC Davis_1857946

Specimen UC Davis_1857947: postnatal adult; Zzef1tm2.1(KOMP)Vlcg/Zzef1+ (more )
Structure Level Pattern Image Note
TS28: thymus Present UC Davis_1857947

Specimen UC Davis_1857952: postnatal adult; Zzef1tm2.1(KOMP)Vlcg/Zzef1+ (more )
Structure Level Pattern Image Note
TS28: stomach Present UC Davis_1857952

Specimen UC Davis_1857953: postnatal adult; Zzef1tm2.1(KOMP)Vlcg/Zzef1+ (more )
Structure Level Pattern Image Note
TS28: stomach Present UC Davis_1857953

Specimen UC Davis_1857954: postnatal adult; Zzef1tm2.1(KOMP)Vlcg/Zzef1+ (more )
Structure Level Pattern Image Note
TS28: stomach Present UC Davis_1857954

Specimen UC Davis_1857955: postnatal adult; Zzef1tm2.1(KOMP)Vlcg/Zzef1+ (more )
Structure Level Pattern Image Note
TS28: duodenum Present UC Davis_1857955

Specimen UC Davis_1857956: postnatal adult; Zzef1tm2.1(KOMP)Vlcg/Zzef1+ (more )
Structure Level Pattern Image Note
TS28: jejunum Present UC Davis_1857956

Specimen UC Davis_1857957: postnatal adult; Zzef1tm2.1(KOMP)Vlcg/Zzef1+ (more )
Structure Level Pattern Image Note
TS28: jejunum Present UC Davis_1857957

Specimen UC Davis_1857958: postnatal adult; Zzef1tm2.1(KOMP)Vlcg/Zzef1+ (more )
Structure Level Pattern Image Note
TS28: ileum Present UC Davis_1857958

Specimen UC Davis_1857959: postnatal adult; Zzef1tm2.1(KOMP)Vlcg/Zzef1+ (more )
Structure Level Pattern Image Note
TS28: ileum Present UC Davis_1857959

Specimen UC Davis_1857960: postnatal adult; Zzef1tm2.1(KOMP)Vlcg/Zzef1+ (more )
Structure Level Pattern Image Note
TS28: colon Present UC Davis_1857960

Specimen UC Davis_1857961: postnatal adult; Zzef1tm2.1(KOMP)Vlcg/Zzef1+ (more )
Structure Level Pattern Image Note
TS28: colon Present UC Davis_1857961

Specimen UC Davis_1857962: postnatal adult; Zzef1tm2.1(KOMP)Vlcg/Zzef1+ (more )
Structure Level Pattern Image Note
TS28: spleen Present UC Davis_1857962

Specimen UC Davis_1857963: postnatal adult; Zzef1tm2.1(KOMP)Vlcg/Zzef1+ (more )
Structure Level Pattern Image Note
TS28: spleen Present UC Davis_1857963

Specimen UC Davis_1857964: postnatal adult; Zzef1tm2.1(KOMP)Vlcg/Zzef1+ (more )
Structure Level Pattern Image Note
TS28: pancreas Present UC Davis_1857964

Specimen UC Davis_1857965: postnatal adult; Zzef1tm2.1(KOMP)Vlcg/Zzef1+ (more )
Structure Level Pattern Image Note
TS28: pancreas Present UC Davis_1857965

Specimen UC Davis_1857966: postnatal adult; Zzef1tm2.1(KOMP)Vlcg/Zzef1+ (more )
Structure Level Pattern Image Note
TS28: pancreas Present UC Davis_1857966

Specimen UC Davis_1857967: postnatal adult; Zzef1tm2.1(KOMP)Vlcg/Zzef1+ (more )
Structure Level Pattern Image Note
TS28: liver Present UC Davis_1857967

Specimen UC Davis_1857968: postnatal adult; Zzef1tm2.1(KOMP)Vlcg/Zzef1+ (more )
Structure Level Pattern Image Note
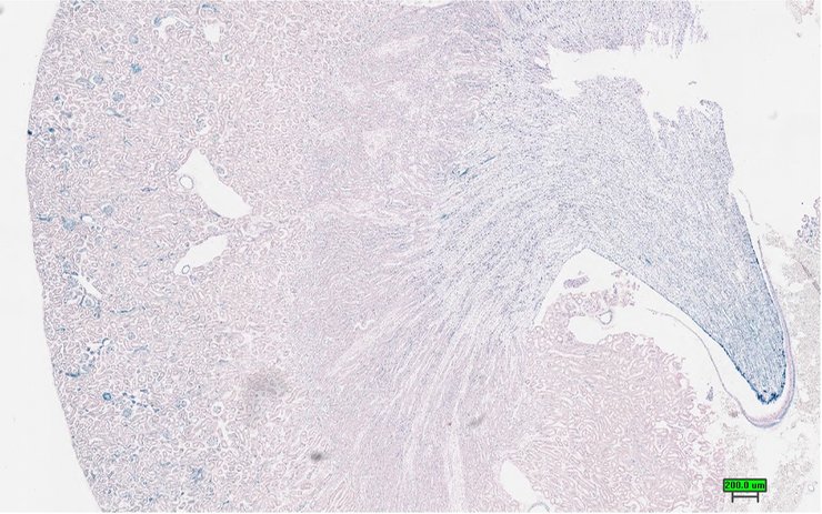
TS28: metanephros Present UC Davis_1857968 kidney

Specimen UC Davis_1857969: postnatal adult; Zzef1tm2.1(KOMP)Vlcg/Zzef1+ (more )
Structure Level Pattern Image Note
TS28: metanephros Present UC Davis_1857969 kidney

Specimen UC Davis_1857970: postnatal adult; Zzef1tm2.1(KOMP)Vlcg/Zzef1+ (more )
Structure Level Pattern Image Note
TS28: metanephros Present UC Davis_1857970 kidney

Specimen UC Davis_1857971: postnatal adult; Zzef1tm2.1(KOMP)Vlcg/Zzef1+ (more )
Structure Level Pattern Image Note
TS28: metanephros Present UC Davis_1857971 kidney

Specimen UC Davis_1857972: postnatal adult; Zzef1tm2.1(KOMP)Vlcg/Zzef1+ (more )
Structure Level Pattern Image Note
TS28: tongue Present UC Davis_1857972

Specimen UC Davis_1857973: postnatal adult; Zzef1tm2.1(KOMP)Vlcg/Zzef1+ (more )
Structure Level Pattern Image Note
TS28: tongue Present UC Davis_1857973

Specimen UC Davis_1857974: postnatal adult; Zzef1tm2.1(KOMP)Vlcg/Zzef1+ (more )
Structure Level Pattern Image Note
TS28: adrenal gland Present UC Davis_1857974

Specimen UC Davis_1857975: postnatal adult; Zzef1tm2.1(KOMP)Vlcg/Zzef1+ (more )
Structure Level Pattern Image Note
TS28: adrenal gland Present UC Davis_1857975

Specimen UC Davis_1857976: postnatal adult; Zzef1tm2.1(KOMP)Vlcg/Zzef1+ (more )
Structure Level Pattern Image Note
TS28: pituitary gland Present UC Davis_1857976

Specimen UC Davis_1857977: postnatal adult; Zzef1tm2.1(KOMP)Vlcg/Zzef1+ (more )
Structure Level Pattern Image Note
TS28: pituitary gland Present UC Davis_1857977

Specimen UC Davis_1857978: postnatal adult; Zzef1tm2.1(KOMP)Vlcg/Zzef1+ (more )
Structure Level Pattern Image Note
TS28: eye Present UC Davis_1857978

Specimen UC Davis_1857979: postnatal adult; Zzef1tm2.1(KOMP)Vlcg/Zzef1+ (more )
Structure Level Pattern Image Note
TS28: eye Present UC Davis_1857979

Specimen UC Davis_1857980: postnatal adult; Zzef1tm2.1(KOMP)Vlcg/Zzef1+ (more )
Structure Level Pattern Image Note
TS28: eye Present UC Davis_1857980

Specimen UC Davis_1857981: postnatal adult; Zzef1tm2.1(KOMP)Vlcg/Zzef1+ (more )
Structure Level Pattern Image Note
TS28: eye Present UC Davis_1857981

Specimen UC Davis_1857982: postnatal adult; Zzef1tm2.1(KOMP)Vlcg/Zzef1+ (more )
Structure Level Pattern Image Note
TS28: Harderian gland Present UC Davis_1857982

Specimen UC Davis_1857983: postnatal adult; Zzef1tm2.1(KOMP)Vlcg/Zzef1+ (more )
Structure Level Pattern Image Note
TS28: Harderian gland Present UC Davis_1857983

Specimen UC Davis_1857984: postnatal adult; Zzef1tm2.1(KOMP)Vlcg/Zzef1+ (more )
Structure Level Pattern Image Note
TS28: gonadal fat pad Present UC Davis_1857984

Specimen UC Davis_1857985: postnatal adult; Zzef1tm2.1(KOMP)Vlcg/Zzef1+ (more )
Structure Level Pattern Image Note
TS28: mesenteric adipose tissue Present UC Davis_1857985

Specimen UC Davis_1857986: postnatal adult; Zzef1tm2.1(KOMP)Vlcg/Zzef1+ (more )
Structure Level Pattern Image Note
TS28: mesenteric adipose tissue Present UC Davis_1857986

Specimen UC Davis_1857987: postnatal adult; Zzef1tm2.1(KOMP)Vlcg/Zzef1+ (more )
Structure Level Pattern Image Note
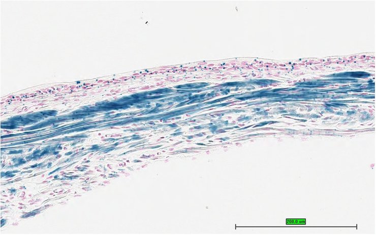
TS28: skin Present UC Davis_1857987

Specimen UC Davis_1857988: postnatal adult; Zzef1tm2.1(KOMP)Vlcg/Zzef1+ (more )
Structure Level Pattern Image Note
TS28: skin Present UC Davis_1857988

Specimen UC Davis_1857989: postnatal adult; Zzef1tm2.1(KOMP)Vlcg/Zzef1+ (more )
Structure Level Pattern Image Note
TS28: brown fat Present UC Davis_1857989

Specimen UC Davis_1857990: postnatal adult; Zzef1tm2.1(KOMP)Vlcg/Zzef1+ (more )
Structure Level Pattern Image Note
TS28: brown fat Present UC Davis_1857990

Specimen UC Davis_1857991: postnatal adult; Zzef1tm2.1(KOMP)Vlcg/Zzef1+ (more )
Structure Level Pattern Image Note
TS28: brown fat Present UC Davis_1857991

Specimen UC Davis_1857992: postnatal adult; Zzef1tm2.1(KOMP)Vlcg/Zzef1+ (more )
Structure Level Pattern Image Note
TS28: olfactory lobe Present UC Davis_1857992

Specimen UC Davis_1857994: postnatal adult; Zzef1tm2.1(KOMP)Vlcg/Zzef1+ (more )
Structure Level Pattern Image Note
TS28: midbrain Present UC Davis_1857994

Specimen UC Davis_1857996: postnatal adult; Zzef1tm2.1(KOMP)Vlcg/Zzef1+ (more )
Structure Level Pattern Image Note
TS28: cerebellum Present UC Davis_1857996

Specimen UC Davis_1857997: postnatal adult; Zzef1tm2.1(KOMP)Vlcg/Zzef1+ (more )
Structure Level Pattern Image Note
TS28: trigeminal nerve Present UC Davis_1857997

Specimen UC Davis_1857998: postnatal adult; Zzef1tm2.1(KOMP)Vlcg/Zzef1+ (more )
Structure Level Pattern Image Note
TS28: trigeminal nerve Present UC Davis_1857998

Specimen UC Davis_1857999: postnatal adult; Zzef1tm2.1(KOMP)Vlcg/Zzef1+ (more )
Structure Level Pattern Image Note
TS28: ovary Present UC Davis_1857999

Specimen UC Davis_1858000: postnatal adult; Zzef1tm2.1(KOMP)Vlcg/Zzef1+ (more )
Structure Level Pattern Image Note
TS28: ovary Present UC Davis_1858000

Specimen UC Davis_1858001: postnatal adult; Zzef1tm2.1(KOMP)Vlcg/Zzef1+ (more )
Structure Level Pattern Image Note
TS28: oviduct Present UC Davis_1858001

Specimen UC Davis_1858002: postnatal adult; Zzef1tm2.1(KOMP)Vlcg/Zzef1+ (more )
Structure Level Pattern Image Note
TS28: oviduct Present UC Davis_1858002

Specimen UC Davis_1858003: postnatal adult; Zzef1tm2.1(KOMP)Vlcg/Zzef1+ (more )
Structure Level Pattern Image Note
TS28: uterus Present UC Davis_1858003

Specimen UC Davis_1858004: postnatal adult; Zzef1tm2.1(KOMP)Vlcg/Zzef1+ (more )
Structure Level Pattern Image Note
TS28: uterus Present UC Davis_1858004

Specimen UC Davis_1858005: postnatal adult; Zzef1tm2.1(KOMP)Vlcg/Zzef1+ (more )
Structure Level Pattern Image Note
TS28: vagina Present UC Davis_1858005

Specimen UC Davis_1858006: postnatal adult; Zzef1tm2.1(KOMP)Vlcg/Zzef1+ (more )
Structure Level Pattern Image Note
TS28: vagina Present UC Davis_1858006

Specimen UC Davis_1858007: postnatal adult; Zzef1tm2.1(KOMP)Vlcg/Zzef1+ (more )
Structure Level Pattern Image Note
TS28: bladder Present UC Davis_1858007

Specimen UC Davis_1858008: postnatal adult; Zzef1tm2.1(KOMP)Vlcg/Zzef1+ (more )
Structure Level Pattern Image Note
TS28: bladder Present UC Davis_1858008

Specimen UC Davis_1858009: postnatal adult; Zzef1tm2.1(KOMP)Vlcg/Zzef1+ (more )
Structure Level Pattern Image Note
TS28: bladder Present UC Davis_1858009

Specimen UC Davis_1858010: postnatal adult; Zzef1tm2.1(KOMP)Vlcg/Zzef1+ (more )
Structure Level Pattern Image Note
TS28: bone marrow Present UC Davis_1858010

Specimen UC Davis_1858056: postnatal adult; Zzef1tm2.1(KOMP)Vlcg/Zzef1+ (more )
Structure Level Pattern Image Note
TS28: lung Present UC Davis_1858056

Specimen UC Davis_1858057: postnatal adult; Zzef1tm2.1(KOMP)Vlcg/Zzef1+ (more )
Structure Level Pattern Image Note
TS28: aorta Present UC Davis_1858057

Specimen UC Davis_1858059: postnatal adult; Zzef1tm2.1(KOMP)Vlcg/Zzef1+ (more )
Structure Level Pattern Image Note
TS28: thymus Present UC Davis_1858059

Specimen UC Davis_1858060: postnatal adult; Zzef1tm2.1(KOMP)Vlcg/Zzef1+ (more )
Structure Level Pattern Image Note
TS28: metanephros Present UC Davis_1858060 kidney

Specimen UC Davis_1858061: postnatal adult; Zzef1tm2.1(KOMP)Vlcg/Zzef1+ (more )
Structure Level Pattern Image Note
TS28: diaphragm Present UC Davis_1858061

Specimen UC Davis_1858062: postnatal adult; Zzef1tm2.1(KOMP)Vlcg/Zzef1+ (more )
Structure Level Pattern Image Note
TS28: trachea Present UC Davis_1858062

Specimen UC Davis_1858064: postnatal adult; Zzef1tm2.1(KOMP)Vlcg/Zzef1+ (more )
Structure Level Pattern Image Note
TS28: esophagus Present UC Davis_1858064

Specimen UC Davis_1858065: postnatal adult; Zzef1tm2.1(KOMP)Vlcg/Zzef1+ (more )
Structure Level Pattern Image Note
TS28: thyroid gland Present UC Davis_1858065

Specimen UC Davis_1858066: postnatal adult; Zzef1tm2.1(KOMP)Vlcg/Zzef1+ (more )
Structure Level Pattern Image Note
TS28: ovary Present UC Davis_1858066

Specimen UC Davis_1858067: postnatal adult; Zzef1tm2.1(KOMP)Vlcg/Zzef1+ (more )
Structure Level Pattern Image Note
TS28: oviduct Present UC Davis_1858067

Specimen UC Davis_1858068: postnatal adult; Zzef1tm2.1(KOMP)Vlcg/Zzef1+ (more )
Structure Level Pattern Image Note
TS28: uterus Present UC Davis_1858068

Specimen UC Davis_1858069: postnatal adult; Zzef1tm2.1(KOMP)Vlcg/Zzef1+ (more )
Structure Level Pattern Image Note
TS28: uterus Present UC Davis_1858069

Specimen UC Davis_1858070: postnatal adult; Zzef1tm2.1(KOMP)Vlcg/Zzef1+ (more )
Structure Level Pattern Image Note
TS28: parathyroid gland Present UC Davis_1858070

Specimen UC Davis_1857817: postnatal adult; Zzef1tm2.1(KOMP)Vlcg/Zzef1+ (more )
Structure Level Pattern Image Note
TS28: submandibular gland Present UC Davis_1857817

Specimen UC Davis_1857818: postnatal adult; Zzef1tm2.1(KOMP)Vlcg/Zzef1+ (more )
Structure Level Pattern Image Note
TS28: submandibular gland Present UC Davis_1857818

Specimen UC Davis_1857819: postnatal adult; Zzef1tm2.1(KOMP)Vlcg/Zzef1+ (more )
Structure Level Pattern Image Note
TS28: submandibular gland Present UC Davis_1857819

Specimen UC Davis_1857820: postnatal adult; Zzef1tm2.1(KOMP)Vlcg/Zzef1+ (more )
Structure Level Pattern Image Note
TS28: sublingual gland Present UC Davis_1857820

Specimen UC Davis_1857821: postnatal adult; Zzef1tm2.1(KOMP)Vlcg/Zzef1+ (more )
Structure Level Pattern Image Note
TS28: trachea Present UC Davis_1857821

Specimen UC Davis_1857822: postnatal adult; Zzef1tm2.1(KOMP)Vlcg/Zzef1+ (more )
Structure Level Pattern Image Note
TS28: esophagus Present UC Davis_1857822

Specimen UC Davis_1857823: postnatal adult; Zzef1tm2.1(KOMP)Vlcg/Zzef1+ (more )
Structure Level Pattern Image Note
TS28: esophagus Present UC Davis_1857823

Specimen UC Davis_1857825: postnatal adult; Zzef1tm2.1(KOMP)Vlcg/Zzef1+ (more )
Structure Level Pattern Image Note
TS28: aorta Present UC Davis_1857825

Specimen UC Davis_1857826: postnatal adult; Zzef1tm2.1(KOMP)Vlcg/Zzef1+ (more )
Structure Level Pattern Image Note
TS28: lung Present UC Davis_1857826

Specimen UC Davis_1857827: postnatal adult; Zzef1tm2.1(KOMP)Vlcg/Zzef1+ (more )
Structure Level Pattern Image Note
TS28: lung Present UC Davis_1857827

Specimen UC Davis_1857828: postnatal adult; Zzef1tm2.1(KOMP)Vlcg/Zzef1+ (more )
Structure Level Pattern Image Note
TS28: lung Present UC Davis_1857828

Specimen UC Davis_1857829: postnatal adult; Zzef1tm2.1(KOMP)Vlcg/Zzef1+ (more )
Structure Level Pattern Image Note
TS28: lung Present UC Davis_1857829

Specimen UC Davis_1857832: postnatal adult; Zzef1tm2.1(KOMP)Vlcg/Zzef1+ (more )
Structure Level Pattern Image Note
TS28: mesenteric lymph node Present UC Davis_1857832

Specimen UC Davis_1857833: postnatal adult; Zzef1tm2.1(KOMP)Vlcg/Zzef1+ (more )
Structure Level Pattern Image Note
TS28: stomach Present UC Davis_1857833

Specimen UC Davis_1857834: postnatal adult; Zzef1tm2.1(KOMP)Vlcg/Zzef1+ (more )
Structure Level Pattern Image Note
TS28: stomach Present UC Davis_1857834

Specimen UC Davis_1857835: postnatal adult; Zzef1tm2.1(KOMP)Vlcg/Zzef1+ (more )
Structure Level Pattern Image Note
TS28: stomach Present UC Davis_1857835

Specimen UC Davis_1857836: postnatal adult; Zzef1tm2.1(KOMP)Vlcg/Zzef1+ (more )
Structure Level Pattern Image Note
TS28: stomach Present UC Davis_1857836

Specimen UC Davis_1857837: postnatal adult; Zzef1tm2.1(KOMP)Vlcg/Zzef1+ (more )
Structure Level Pattern Image Note
TS28: duodenum Present UC Davis_1857837

Specimen UC Davis_1857838: postnatal adult; Zzef1tm2.1(KOMP)Vlcg/Zzef1+ (more )
Structure Level Pattern Image Note
TS28: duodenum Present UC Davis_1857838

Specimen UC Davis_1857839: postnatal adult; Zzef1tm2.1(KOMP)Vlcg/Zzef1+ (more )
Structure Level Pattern Image Note
TS28: jejunum Present UC Davis_1857839

Specimen UC Davis_1857840: postnatal adult; Zzef1tm2.1(KOMP)Vlcg/Zzef1+ (more )
Structure Level Pattern Image Note
TS28: jejunum Present UC Davis_1857840

Specimen UC Davis_1857841: postnatal adult; Zzef1tm2.1(KOMP)Vlcg/Zzef1+ (more )
Structure Level Pattern Image Note
TS28: ileum Present UC Davis_1857841

Specimen UC Davis_1857842: postnatal adult; Zzef1tm2.1(KOMP)Vlcg/Zzef1+ (more )
Structure Level Pattern Image Note
TS28: ileum Present UC Davis_1857842

Specimen UC Davis_1857843: postnatal adult; Zzef1tm2.1(KOMP)Vlcg/Zzef1+ (more )
Structure Level Pattern Image Note
TS28: colon Present UC Davis_1857843

Specimen UC Davis_1857844: postnatal adult; Zzef1tm2.1(KOMP)Vlcg/Zzef1+ (more )
Structure Level Pattern Image Note
TS28: colon Present UC Davis_1857844

Specimen UC Davis_1857845: postnatal adult; Zzef1tm2.1(KOMP)Vlcg/Zzef1+ (more )
Structure Level Pattern Image Note
TS28: cecum Present UC Davis_1857845

Specimen UC Davis_1857846: postnatal adult; Zzef1tm2.1(KOMP)Vlcg/Zzef1+ (more )
Structure Level Pattern Image Note
TS28: cecum Present UC Davis_1857846

Specimen UC Davis_1857847: postnatal adult; Zzef1tm2.1(KOMP)Vlcg/Zzef1+ (more )
Structure Level Pattern Image Note
TS28: spleen Present UC Davis_1857847

Specimen UC Davis_1857848: postnatal adult; Zzef1tm2.1(KOMP)Vlcg/Zzef1+ (more )
Structure Level Pattern Image Note
TS28: spleen Present UC Davis_1857848

Specimen UC Davis_1857849: postnatal adult; Zzef1tm2.1(KOMP)Vlcg/Zzef1+ (more )
Structure Level Pattern Image Note
TS28: spleen Present UC Davis_1857849

Specimen UC Davis_1857850: postnatal adult; Zzef1tm2.1(KOMP)Vlcg/Zzef1+ (more )
Structure Level Pattern Image Note
TS28: pancreas Present UC Davis_1857850

Specimen UC Davis_1857851: postnatal adult; Zzef1tm2.1(KOMP)Vlcg/Zzef1+ (more )
Structure Level Pattern Image Note
TS28: pancreas Present UC Davis_1857851

Specimen UC Davis_1857852: postnatal adult; Zzef1tm2.1(KOMP)Vlcg/Zzef1+ (more )
Structure Level Pattern Image Note
TS28: pancreas Present UC Davis_1857852

Specimen UC Davis_1857853: postnatal adult; Zzef1tm2.1(KOMP)Vlcg/Zzef1+ (more )
Structure Level Pattern Image Note
TS28: liver Present UC Davis_1857853

Specimen UC Davis_1857854: postnatal adult; Zzef1tm2.1(KOMP)Vlcg/Zzef1+ (more )
Structure Level Pattern Image Note
TS28: liver Present UC Davis_1857854

Specimen UC Davis_1857855: postnatal adult; Zzef1tm2.1(KOMP)Vlcg/Zzef1+ (more )
Structure Level Pattern Image Note
TS28: liver Present UC Davis_1857855

Specimen UC Davis_1857856: postnatal adult; Zzef1tm2.1(KOMP)Vlcg/Zzef1+ (more )
Structure Level Pattern Image Note
TS28: liver Present UC Davis_1857856

Specimen UC Davis_1857857: postnatal adult; Zzef1tm2.1(KOMP)Vlcg/Zzef1+ (more )
Structure Level Pattern Image Note
TS28: liver Present UC Davis_1857857

Specimen UC Davis_1857858: postnatal adult; Zzef1tm2.1(KOMP)Vlcg/Zzef1+ (more )
Structure Level Pattern Image Note
TS28: metanephros Present UC Davis_1857858 kidney

Specimen UC Davis_1857859: postnatal adult; Zzef1tm2.1(KOMP)Vlcg/Zzef1+ (more )
Structure Level Pattern Image Note
TS28: metanephros Present UC Davis_1857859 kidney

Specimen UC Davis_1857860: postnatal adult; Zzef1tm2.1(KOMP)Vlcg/Zzef1+ (more )
Structure Level Pattern Image Note
TS28: metanephros Present UC Davis_1857860 kidney

Specimen UC Davis_1857861: postnatal adult; Zzef1tm2.1(KOMP)Vlcg/Zzef1+ (more )
Structure Level Pattern Image Note
TS28: metanephros Present UC Davis_1857861 kidney

Specimen UC Davis_1857862: postnatal adult; Zzef1tm2.1(KOMP)Vlcg/Zzef1+ (more )
Structure Level Pattern Image Note
TS28: metanephros Present UC Davis_1857862 kidney

Specimen UC Davis_1857863: postnatal adult; Zzef1tm2.1(KOMP)Vlcg/Zzef1+ (more )
Structure Level Pattern Image Note
TS28: quadriceps femoris muscle Present UC Davis_1857863

Specimen UC Davis_1857864: postnatal adult; Zzef1tm2.1(KOMP)Vlcg/Zzef1+ (more )
Structure Level Pattern Image Note
TS28: quadriceps femoris muscle Present UC Davis_1857864

Specimen UC Davis_1857865: postnatal adult; Zzef1tm2.1(KOMP)Vlcg/Zzef1+ (more )
Structure Level Pattern Image Note
TS28: quadriceps femoris muscle Present UC Davis_1857865

Specimen UC Davis_1857866: postnatal adult; Zzef1tm2.1(KOMP)Vlcg/Zzef1+ (more )
Structure Level Pattern Image Note
TS28: sciatic nerve Present UC Davis_1857866

Specimen UC Davis_1857867: postnatal adult; Zzef1tm2.1(KOMP)Vlcg/Zzef1+ (more )
Structure Level Pattern Image Note
TS28: sciatic nerve Present UC Davis_1857867

Specimen UC Davis_1857868: postnatal adult; Zzef1tm2.1(KOMP)Vlcg/Zzef1+ (more )
Structure Level Pattern Image Note
TS28: tongue Present UC Davis_1857868

Specimen UC Davis_1857869: postnatal adult; Zzef1tm2.1(KOMP)Vlcg/Zzef1+ (more )
Structure Level Pattern Image Note
TS28: tongue Present UC Davis_1857869

Specimen UC Davis_1857870: postnatal adult; Zzef1tm2.1(KOMP)Vlcg/Zzef1+ (more )
Structure Level Pattern Image Note
TS28: tongue Present UC Davis_1857870

Specimen UC Davis_1857871: postnatal adult; Zzef1tm2.1(KOMP)Vlcg/Zzef1+ (more )
Structure Level Pattern Image Note
TS28: tongue Present UC Davis_1857871

Specimen UC Davis_1857872: postnatal adult; Zzef1tm2.1(KOMP)Vlcg/Zzef1+ (more )
Structure Level Pattern Image Note
TS28: diaphragm Present UC Davis_1857872

Specimen UC Davis_1857873: postnatal adult; Zzef1tm2.1(KOMP)Vlcg/Zzef1+ (more )
Structure Level Pattern Image Note
TS28: adrenal gland Present UC Davis_1857873

Specimen UC Davis_1857874: postnatal adult; Zzef1tm2.1(KOMP)Vlcg/Zzef1+ (more )
Structure Level Pattern Image Note
TS28: adrenal gland Present UC Davis_1857874

Specimen UC Davis_1857875: postnatal adult; Zzef1tm2.1(KOMP)Vlcg/Zzef1+ (more )
Structure Level Pattern Image Note
TS28: adrenal gland Present UC Davis_1857875

Specimen UC Davis_1857876: postnatal adult; Zzef1tm2.1(KOMP)Vlcg/Zzef1+ (more )
Structure Level Pattern Image Note
TS28: pituitary gland Present UC Davis_1857876

Specimen UC Davis_1857877: postnatal adult; Zzef1tm2.1(KOMP)Vlcg/Zzef1+ (more )
Structure Level Pattern Image Note
TS28: pituitary gland Present UC Davis_1857877

Specimen UC Davis_1857878: postnatal adult; Zzef1tm2.1(KOMP)Vlcg/Zzef1+ (more )
Structure Level Pattern Image Note
TS28: pituitary gland Present UC Davis_1857878

Specimen UC Davis_1857879: postnatal adult; Zzef1tm2.1(KOMP)Vlcg/Zzef1+ (more )
Structure Level Pattern Image Note
TS28: spinal cord Present UC Davis_1857879

Specimen UC Davis_1857880: postnatal adult; Zzef1tm2.1(KOMP)Vlcg/Zzef1+ (more )
Structure Level Pattern Image Note
TS28: spinal cord Present UC Davis_1857880

Specimen UC Davis_1857881: postnatal adult; Zzef1tm2.1(KOMP)Vlcg/Zzef1+ (more )
Structure Level Pattern Image Note
TS28: spinal cord Present UC Davis_1857881

Specimen UC Davis_1857882: postnatal adult; Zzef1tm2.1(KOMP)Vlcg/Zzef1+ (more )
Structure Level Pattern Image Note
TS28: eye Present UC Davis_1857882

Specimen UC Davis_1857883: postnatal adult; Zzef1tm2.1(KOMP)Vlcg/Zzef1+ (more )
Structure Level Pattern Image Note
TS28: eye Present UC Davis_1857883

Specimen UC Davis_1857884: postnatal adult; Zzef1tm2.1(KOMP)Vlcg/Zzef1+ (more )
Structure Level Pattern Image Note
TS28: eye Present UC Davis_1857884

Specimen UC Davis_1857885: postnatal adult; Zzef1tm2.1(KOMP)Vlcg/Zzef1+ (more )
Structure Level Pattern Image Note
TS28: eye Present UC Davis_1857885

Specimen UC Davis_1857887: postnatal adult; Zzef1tm2.1(KOMP)Vlcg/Zzef1+ (more )
Structure Level Pattern Image Note
TS28: Harderian gland Present UC Davis_1857887

Specimen UC Davis_1857888: postnatal adult; Zzef1tm2.1(KOMP)Vlcg/Zzef1+ (more )
Structure Level Pattern Image Note
TS28: Harderian gland Present UC Davis_1857888

Specimen UC Davis_1857889: postnatal adult; Zzef1tm2.1(KOMP)Vlcg/Zzef1+ (more )
Structure Level Pattern Image Note
TS28: mesenteric adipose tissue Present UC Davis_1857889

Specimen UC Davis_1857890: postnatal adult; Zzef1tm2.1(KOMP)Vlcg/Zzef1+ (more )
Structure Level Pattern Image Note
TS28: mesenteric adipose tissue Present UC Davis_1857890

Specimen UC Davis_1857891: postnatal adult; Zzef1tm2.1(KOMP)Vlcg/Zzef1+ (more )
Structure Level Pattern Image Note
TS28: skin Present UC Davis_1857891

Specimen UC Davis_1857892: postnatal adult; Zzef1tm2.1(KOMP)Vlcg/Zzef1+ (more )
Structure Level Pattern Image Note
TS28: skin Present UC Davis_1857892

Specimen UC Davis_1857893: postnatal adult; Zzef1tm2.1(KOMP)Vlcg/Zzef1+ (more )
Structure Level Pattern Image Note
TS28: skin Present UC Davis_1857893

Specimen UC Davis_1857894: postnatal adult; Zzef1tm2.1(KOMP)Vlcg/Zzef1+ (more )
Structure Level Pattern Image Note
TS28: skin Present UC Davis_1857894

Specimen UC Davis_1857895: postnatal adult; Zzef1tm2.1(KOMP)Vlcg/Zzef1+ (more )
Structure Level Pattern Image Note
TS28: brown fat Present UC Davis_1857895

Specimen UC Davis_1857896: postnatal adult; Zzef1tm2.1(KOMP)Vlcg/Zzef1+ (more )
Structure Level Pattern Image Note
TS28: brown fat Present UC Davis_1857896

Specimen UC Davis_1857897: postnatal adult; Zzef1tm2.1(KOMP)Vlcg/Zzef1+ (more )
Structure Level Pattern Image Note
TS28: brown fat Present UC Davis_1857897

Specimen UC Davis_1857898: postnatal adult; Zzef1tm2.1(KOMP)Vlcg/Zzef1+ (more )
Structure Level Pattern Image Note
TS28: olfactory lobe Present UC Davis_1857898

Specimen UC Davis_1857901: postnatal adult; Zzef1tm2.1(KOMP)Vlcg/Zzef1+ (more )
Structure Level Pattern Image Note
TS28: midbrain Present UC Davis_1857901

Specimen UC Davis_1857903: postnatal adult; Zzef1tm2.1(KOMP)Vlcg/Zzef1+ (more )
Structure Level Pattern Image Note
TS28: cerebellum Present UC Davis_1857903

Specimen UC Davis_1857904: postnatal adult; Zzef1tm2.1(KOMP)Vlcg/Zzef1+ (more )
Structure Level Pattern Image Note
TS28: cerebellum Present UC Davis_1857904

Specimen UC Davis_1857905: postnatal adult; Zzef1tm2.1(KOMP)Vlcg/Zzef1+ (more )
Structure Level Pattern Image Note
TS28: trigeminal nerve Present UC Davis_1857905

Specimen UC Davis_1857906: postnatal adult; Zzef1tm2.1(KOMP)Vlcg/Zzef1+ (more )
Structure Level Pattern Image Note
TS28: trigeminal nerve Present UC Davis_1857906

Specimen UC Davis_1857907: postnatal adult; Zzef1tm2.1(KOMP)Vlcg/Zzef1+ (more )
Structure Level Pattern Image Note
TS28: trigeminal nerve Present UC Davis_1857907

Specimen UC Davis_1857908: postnatal adult; Zzef1tm2.1(KOMP)Vlcg/Zzef1+ (more )
Structure Level Pattern Image Note
TS28: bladder Present UC Davis_1857908

Specimen UC Davis_1857909: postnatal adult; Zzef1tm2.1(KOMP)Vlcg/Zzef1+ (more )
Structure Level Pattern Image Note
TS28: bladder Present UC Davis_1857909

Specimen UC Davis_1857910: postnatal adult; Zzef1tm2.1(KOMP)Vlcg/Zzef1+ (more )
Structure Level Pattern Image Note
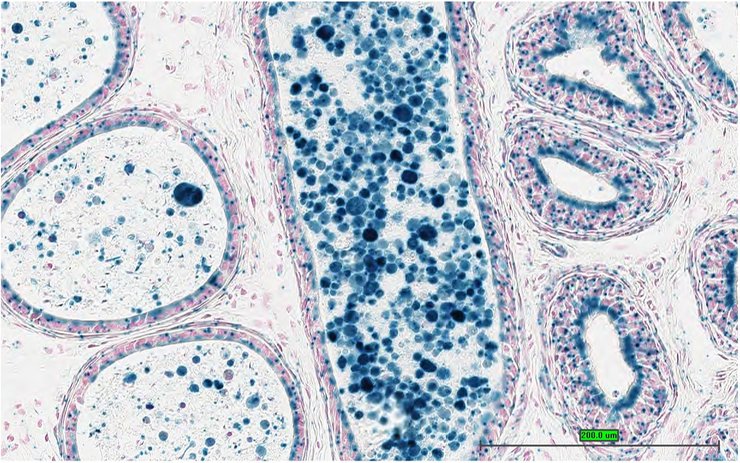
TS28: testis Present UC Davis_1857910

Specimen UC Davis_1857911: postnatal adult; Zzef1tm2.1(KOMP)Vlcg/Zzef1+ (more )
Structure Level Pattern Image Note
TS28: testis Present UC Davis_1857911

Specimen UC Davis_1857912: postnatal adult; Zzef1tm2.1(KOMP)Vlcg/Zzef1+ (more )
Structure Level Pattern Image Note
TS28: testis Present UC Davis_1857912

Specimen UC Davis_1857913: postnatal adult; Zzef1tm2.1(KOMP)Vlcg/Zzef1+ (more )
Structure Level Pattern Image Note
TS28: epididymis Present UC Davis_1857913

Specimen UC Davis_1857914: postnatal adult; Zzef1tm2.1(KOMP)Vlcg/Zzef1+ (more )
Structure Level Pattern Image Note
TS28: epididymis Present UC Davis_1857914

Specimen UC Davis_1857915: postnatal adult; Zzef1tm2.1(KOMP)Vlcg/Zzef1+ (more )
Structure Level Pattern Image Note
TS28: epididymis Present UC Davis_1857915

Specimen UC Davis_1857916: postnatal adult; Zzef1tm2.1(KOMP)Vlcg/Zzef1+ (more )
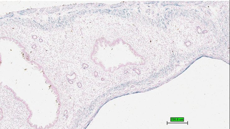
Structure Level Pattern Image Note
TS28: prostate gland Present UC Davis_1857916

Specimen UC Davis_1857917: postnatal adult; Zzef1tm2.1(KOMP)Vlcg/Zzef1+ (more )
Structure Level Pattern Image Note
TS28: penis Present UC Davis_1857917

Specimen UC Davis_1857918: postnatal adult; Zzef1tm2.1(KOMP)Vlcg/Zzef1+ (more )
Structure Level Pattern Image Note
TS28: penis Present UC Davis_1857918

Specimen UC Davis_1857919: postnatal adult; Zzef1tm2.1(KOMP)Vlcg/Zzef1+ (more )
Structure Level Pattern Image Note
TS28: bone marrow Present UC Davis_1857919

Specimen UC Davis_1857920: postnatal adult; Zzef1tm2.1(KOMP)Vlcg/Zzef1+ (more )
Structure Level Pattern Image Note
TS28: bone marrow Present UC Davis_1857920

Specimen UC Davis_1857921: postnatal adult; Zzef1tm2.1(KOMP)Vlcg/Zzef1+ (more )
Structure Level Pattern Image Note
TS28: ductus deferens Present UC Davis_1857921 vas deferens

Specimen UC Davis_1857922: postnatal adult; Zzef1tm2.1(KOMP)Vlcg/Zzef1+ (more )
Structure Level Pattern Image Note
TS28: ductus deferens Present UC Davis_1857922 vas deferens

Specimen UC Davis_1857926: postnatal adult; Zzef1tm2.1(KOMP)Vlcg/Zzef1+ (more )
Structure Level Pattern Image Note
TS28: seminal vesicle Present UC Davis_1857926 vesicular gland

Specimen UC Davis_1857927: postnatal adult; Zzef1tm2.1(KOMP)Vlcg/Zzef1+ (more )
Structure Level Pattern Image Note
TS28: seminal vesicle Present UC Davis_1857927 vesicular gland

Specimen UC Davis_1858013: postnatal adult; Zzef1tm2.1(KOMP)Vlcg/Zzef1+ (more )
Structure Level Pattern Image Note
TS28: tongue Present UC Davis_1858013

Specimen UC Davis_1858014: postnatal adult; Zzef1tm2.1(KOMP)Vlcg/Zzef1+ (more )
Structure Level Pattern Image Note
TS28: spleen Present UC Davis_1858014

Specimen UC Davis_1858015: postnatal adult; Zzef1tm2.1(KOMP)Vlcg/Zzef1+ (more )
Structure Level Pattern Image Note
TS28: pancreas Present UC Davis_1858015

Specimen UC Davis_1858016: postnatal adult; Zzef1tm2.1(KOMP)Vlcg/Zzef1+ (more )
Structure Level Pattern Image Note
TS28: brown fat Present UC Davis_1858016

Specimen UC Davis_1858017: postnatal adult; Zzef1tm2.1(KOMP)Vlcg/Zzef1+ (more )
Structure Level Pattern Image Note
TS28: quadriceps femoris muscle Present UC Davis_1858017

Specimen UC Davis_1858018: postnatal adult; Zzef1tm2.1(KOMP)Vlcg/Zzef1+ (more )
Structure Level Pattern Image Note
TS28: sciatic nerve Present UC Davis_1858018

Specimen UC Davis_1858019: postnatal adult; Zzef1tm2.1(KOMP)Vlcg/Zzef1+ (more )
Structure Level Pattern Image Note
TS28: olfactory lobe Present UC Davis_1858019

Specimen UC Davis_1858022: postnatal adult; Zzef1tm2.1(KOMP)Vlcg/Zzef1+ (more )
Structure Level Pattern Image Note
TS28: midbrain Present UC Davis_1858022

Specimen UC Davis_1858024: postnatal adult; Zzef1tm2.1(KOMP)Vlcg/Zzef1+ (more )
Structure Level Pattern Image Note
TS28: cerebellum Present UC Davis_1858024

Specimen UC Davis_1858025: postnatal adult; Zzef1tm2.1(KOMP)Vlcg/Zzef1+ (more )
Structure Level Pattern Image Note
TS28: brain Present UC Davis_1858025

Specimen UC Davis_1858026: postnatal adult; Zzef1tm2.1(KOMP)Vlcg/Zzef1+ (more )
Structure Level Pattern Image Note
TS28: adrenal gland Present UC Davis_1858026

Specimen UC Davis_1858027: postnatal adult; Zzef1tm2.1(KOMP)Vlcg/Zzef1+ (more )
Structure Level Pattern Image Note
TS28: liver Present UC Davis_1858027

Specimen UC Davis_1858028: postnatal adult; Zzef1tm2.1(KOMP)Vlcg/Zzef1+ (more )
Structure Level Pattern Image Note
TS28: skin Present UC Davis_1858028

Specimen UC Davis_1858030: postnatal adult; Zzef1tm2.1(KOMP)Vlcg/Zzef1+ (more )
Structure Level Pattern Image Note
TS28: spinal cord Present UC Davis_1858030

Specimen UC Davis_1858031: postnatal adult; Zzef1tm2.1(KOMP)Vlcg/Zzef1+ (more )
Structure Level Pattern Image Note
TS28: pituitary gland Present UC Davis_1858031

Specimen UC Davis_1858032: postnatal adult; Zzef1tm2.1(KOMP)Vlcg/Zzef1+ (more )
Structure Level Pattern Image Note
TS28: eye Present UC Davis_1858032

Specimen UC Davis_1858033: postnatal adult; Zzef1tm2.1(KOMP)Vlcg/Zzef1+ (more )
Structure Level Pattern Image Note
TS28: Harderian gland Present UC Davis_1858033

Specimen UC Davis_1858034: postnatal adult; Zzef1tm2.1(KOMP)Vlcg/Zzef1+ (more )
Structure Level Pattern Image Note
TS28: stomach Present UC Davis_1858034

Specimen UC Davis_1858035: postnatal adult; Zzef1tm2.1(KOMP)Vlcg/Zzef1+ (more )
Structure Level Pattern Image Note
TS28: duodenum Present UC Davis_1858035

Specimen UC Davis_1858036: postnatal adult; Zzef1tm2.1(KOMP)Vlcg/Zzef1+ (more )
Structure Level Pattern Image Note
TS28: jejunum Present UC Davis_1858036

Specimen UC Davis_1858037: postnatal adult; Zzef1tm2.1(KOMP)Vlcg/Zzef1+ (more )
Structure Level Pattern Image Note
TS28: ileum Present UC Davis_1858037

Specimen UC Davis_1858038: postnatal adult; Zzef1tm2.1(KOMP)Vlcg/Zzef1+ (more )
Structure Level Pattern Image Note
TS28: cecum Present UC Davis_1858038

Specimen UC Davis_1858039: postnatal adult; Zzef1tm2.1(KOMP)Vlcg/Zzef1+ (more )
Structure Level Pattern Image Note
TS28: colon Present UC Davis_1858039

Specimen UC Davis_1858040: postnatal adult; Zzef1tm2.1(KOMP)Vlcg/Zzef1+ (more )
Structure Level Pattern Image Note
TS28: mesenteric lymph node Present UC Davis_1858040

Specimen UC Davis_1858041: postnatal adult; Zzef1tm2.1(KOMP)Vlcg/Zzef1+ (more )
Structure Level Pattern Image Note
TS28: mesenteric adipose tissue Present UC Davis_1858041

Specimen UC Davis_1858042: postnatal adult; Zzef1tm2.1(KOMP)Vlcg/Zzef1+ (more )
Structure Level Pattern Image Note
TS28: bladder Present UC Davis_1858042

Specimen UC Davis_1858043: postnatal adult; Zzef1tm2.1(KOMP)Vlcg/Zzef1+ (more )
Structure Level Pattern Image Note
TS28: gonadal fat pad Present UC Davis_1858043

Specimen UC Davis_1858044: postnatal adult; Zzef1tm2.1(KOMP)Vlcg/Zzef1+ (more )
Structure Level Pattern Image Note
TS28: testis Present UC Davis_1858044

Specimen UC Davis_1858045: postnatal adult; Zzef1tm2.1(KOMP)Vlcg/Zzef1+ (more )
Structure Level Pattern Image Note
TS28: seminal vesicle Present UC Davis_1858045 vesicular gland

Specimen UC Davis_1858046: postnatal adult; Zzef1tm2.1(KOMP)Vlcg/Zzef1+ (more )
Structure Level Pattern Image Note
TS28: epididymis Present UC Davis_1858046

Specimen UC Davis_1858047: postnatal adult; Zzef1tm2.1(KOMP)Vlcg/Zzef1+ (more )
Structure Level Pattern Image Note
TS28: ductus deferens Present UC Davis_1858047 vas deferens

Specimen UC Davis_1858049: postnatal adult; Zzef1tm2.1(KOMP)Vlcg/Zzef1+ (more )
Structure Level Pattern Image Note
TS28: thoracic segment skeleton Present UC Davis_1858049 chest bone

Specimen UC Davis_1858050: postnatal adult; Zzef1tm2.1(KOMP)Vlcg/Zzef1+ (more )
Structure Level Pattern Image Note
TS28: gallbladder Present UC Davis_1858050


Contributing Projects:
Mouse Genome Database (MGD), Gene Expression Database (GXD), Mouse Models of Human Cancer database (MMHCdb) (formerly Mouse Tumor Biology (MTB)), Gene Ontology (GO)
Citing These Resources
Funding Information
Warranty Disclaimer, Privacy Notice, Licensing, & Copyright
Send questions and comments to User Support.
last database update
01/28/2026
MGI 6.24
The Jackson Laboratory