About   Help   FAQ
Gene Expression Data
Assay Details
Assay
Reference: J:228563 Koscielny G, et al., The International Mouse Phenotyping Consortium Web Portal, a unified point of access for knockout mice and related phenotyping data. Nucleic Acids Res. 2014 Jan;42(Database issue):D802-9
Assay type: In situ reporter (knock in)
MGI Accession ID: MGI:6692525
Gene symbol: Cmtr2
Gene name: cap methyltransferase 2
Reporter: lacZ
Direct Detection
Results
Specimen JAX_1314507: embryonic day 12.5; Cmtr2tm1.1(KOMP)Vlcg/Cmtr2+ (more )
Structure Level Pattern Image Note
TS20: embryo Present JAX_1314507

Specimen JAX_1314508: embryonic day 12.5; Cmtr2tm1.1(KOMP)Vlcg/Cmtr2+ (more )
Structure Level Pattern Image Note
TS20: embryo Present JAX_1314508

Specimen JAX_1314509: embryonic day 12.5; Cmtr2tm1.1(KOMP)Vlcg/Cmtr2+ (more )
Structure Level Pattern Image Note
TS20: embryo Present JAX_1314509

Specimen JAX_1314510: embryonic day 12.5; Cmtr2tm1.1(KOMP)Vlcg/Cmtr2+ (more )
Structure Level Pattern Image Note
TS20: embryo Present JAX_1314510

Specimen JAX_1314511: embryonic day 12.5; Cmtr2tm1.1(KOMP)Vlcg/Cmtr2+ (more )
Structure Level Pattern Image Note
TS20: embryo Present JAX_1314511

Specimen JAX_1314512: embryonic day 12.5; Cmtr2tm1.1(KOMP)Vlcg/Cmtr2+ (more )
Structure Level Pattern Image Note
TS20: embryo Present JAX_1314512

Specimen JAX_1314513: embryonic day 12.5; Cmtr2tm1.1(KOMP)Vlcg/Cmtr2+ (more )
Structure Level Pattern Image Note
TS20: embryo Present JAX_1314513

Specimen JAX_1314514: embryonic day 12.5; Cmtr2tm1.1(KOMP)Vlcg/Cmtr2+ (more )
Structure Level Pattern Image Note
TS20: embryo Present JAX_1314514

Specimen JAX_1373640: postnatal adult; Cmtr2tm1.1(KOMP)Vlcg/Cmtr2+ (more )
Structure Level Pattern Image Note
TS28: pancreas Present JAX_1373640

Specimen JAX_1373641: postnatal adult; Cmtr2tm1.1(KOMP)Vlcg/Cmtr2+ (more )
Structure Level Pattern Image Note
TS28: uterus Present JAX_1373641

Specimen JAX_1373642: postnatal adult; Cmtr2tm1.1(KOMP)Vlcg/Cmtr2+ (more )
Structure Level Pattern Image Note
TS28: oviduct Present JAX_1373642

Specimen JAX_1373643: postnatal adult; Cmtr2tm1.1(KOMP)Vlcg/Cmtr2+ (more )
Structure Level Pattern Image Note
TS28: ovary Present JAX_1373643

Specimen JAX_1373644: postnatal adult; Cmtr2tm1.1(KOMP)Vlcg/Cmtr2+ (more )
Structure Level Pattern Image Note
TS28: mammary gland Present JAX_1373644

Specimen JAX_1373646: postnatal adult; Cmtr2tm1.1(KOMP)Vlcg/Cmtr2+ (more )
Structure Level Pattern Image Note
TS28: adrenal gland Present JAX_1373646

Specimen JAX_1373603: postnatal adult; Cmtr2tm1.1(KOMP)Vlcg/Cmtr2+ (more )
Structure Level Pattern Image Note
TS28: thalamus Present JAX_1373603

Specimen JAX_1373604: postnatal adult; Cmtr2tm1.1(KOMP)Vlcg/Cmtr2+ (more )
Structure Level Pattern Image Note
TS28: midbrain Present JAX_1373604

Specimen JAX_1373605: postnatal adult; Cmtr2tm1.1(KOMP)Vlcg/Cmtr2+ (more )
Structure Level Pattern Image Note
TS28: vascular system Present JAX_1373605

Specimen JAX_1373606: postnatal adult; Cmtr2tm1.1(KOMP)Vlcg/Cmtr2+ (more )
Structure Level Pattern Image Note
TS28: epididymis Present JAX_1373606

Specimen JAX_1373607: postnatal adult; Cmtr2tm1.1(KOMP)Vlcg/Cmtr2+ (more )
Structure Level Pattern Image Note
TS28: submandibular gland Present JAX_1373607

Specimen JAX_1373608: postnatal adult; Cmtr2tm1.1(KOMP)Vlcg/Cmtr2+ (more )
Structure Level Pattern Image Note
TS28: bladder Present JAX_1373608

Specimen JAX_1373609: postnatal adult; Cmtr2tm1.1(KOMP)Vlcg/Cmtr2+ (more )
Structure Level Pattern Image Note
TS28: corpus striatum Present JAX_1373609

Specimen JAX_1373610: postnatal adult; Cmtr2tm1.1(KOMP)Vlcg/Cmtr2+ (more )
Structure Level Pattern Image Note
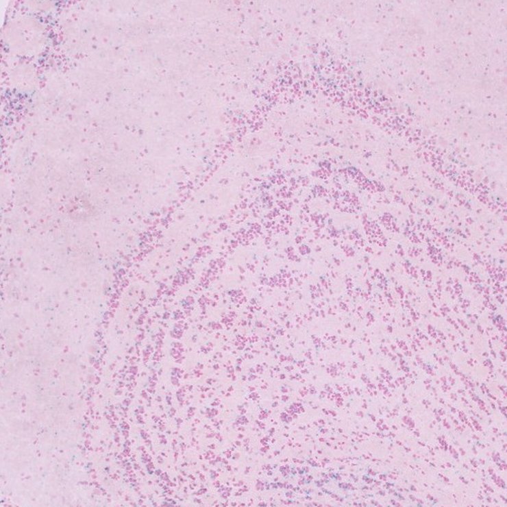
TS28: Peyer's patch Present JAX_1373610

Specimen JAX_1373611: postnatal adult; Cmtr2tm1.1(KOMP)Vlcg/Cmtr2+ (more )
Structure Level Pattern Image Note
TS28: peripheral nervous system Present JAX_1373611

Specimen JAX_1373612: postnatal adult; Cmtr2tm1.1(KOMP)Vlcg/Cmtr2+ (more )
Structure Level Pattern Image Note
TS28: olfactory lobe Present JAX_1373612

Specimen JAX_1373613: postnatal adult; Cmtr2tm1.1(KOMP)Vlcg/Cmtr2+ (more )
Structure Level Pattern Image Note
TS28: hypothalamus Present JAX_1373613

Specimen JAX_1373614: postnatal adult; Cmtr2tm1.1(KOMP)Vlcg/Cmtr2+ (more )
Structure Level Pattern Image Note
TS28: hippocampus Present JAX_1373614

Specimen JAX_1373615: postnatal adult; Cmtr2tm1.1(KOMP)Vlcg/Cmtr2+ (more )
Structure Level Pattern Image Note
TS28: cerebellum Present JAX_1373615

Specimen JAX_1373616: postnatal adult; Cmtr2tm1.1(KOMP)Vlcg/Cmtr2+ (more )
Structure Level Pattern Image Note
TS28: cerebral cortex Present JAX_1373616

Specimen JAX_1373617: postnatal adult; Cmtr2tm1.1(KOMP)Vlcg/Cmtr2+ (more )
Structure Level Pattern Image Note
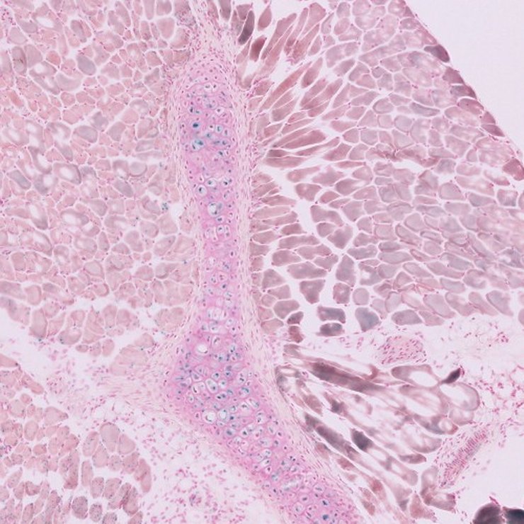
TS28: cartilage Present JAX_1373617

Specimen JAX_1373618: postnatal adult; Cmtr2tm1.1(KOMP)Vlcg/Cmtr2+ (more )
Structure Level Pattern Image Note
TS28: brainstem Present JAX_1373618

Specimen JAX_1373619: postnatal adult; Cmtr2tm1.1(KOMP)Vlcg/Cmtr2+ (more )
Structure Level Pattern Image Note
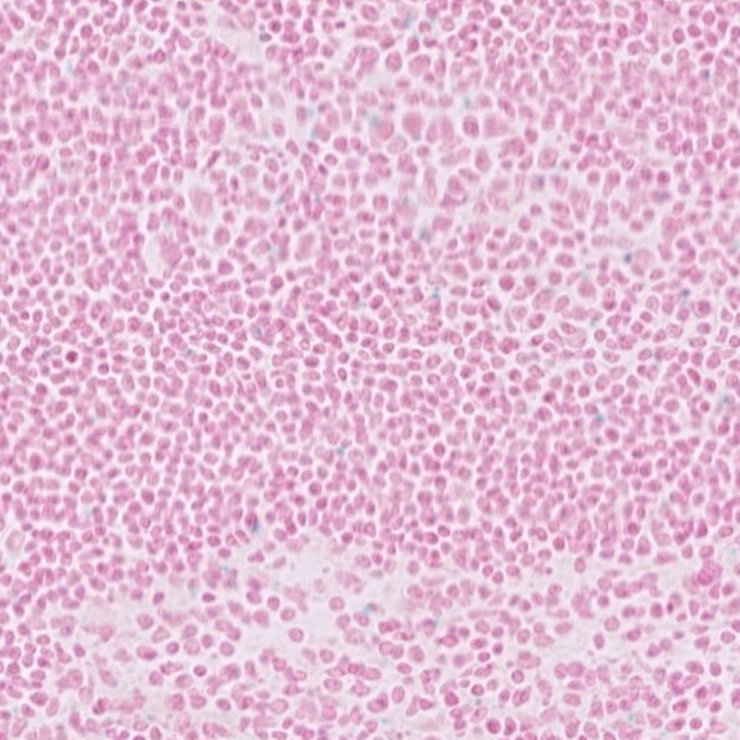
TS28: spleen Present JAX_1373619

Specimen JAX_1373620: postnatal adult; Cmtr2tm1.1(KOMP)Vlcg/Cmtr2+ (more )
Structure Level Pattern Image Note
TS28: aorta Present JAX_1373620

Specimen JAX_1373621: postnatal adult; Cmtr2tm1.1(KOMP)Vlcg/Cmtr2+ (more )
Structure Level Pattern Image Note
TS28: lung Present JAX_1373621

Specimen JAX_1373623: postnatal adult; Cmtr2tm1.1(KOMP)Vlcg/Cmtr2+ (more )
Structure Level Pattern Image Note
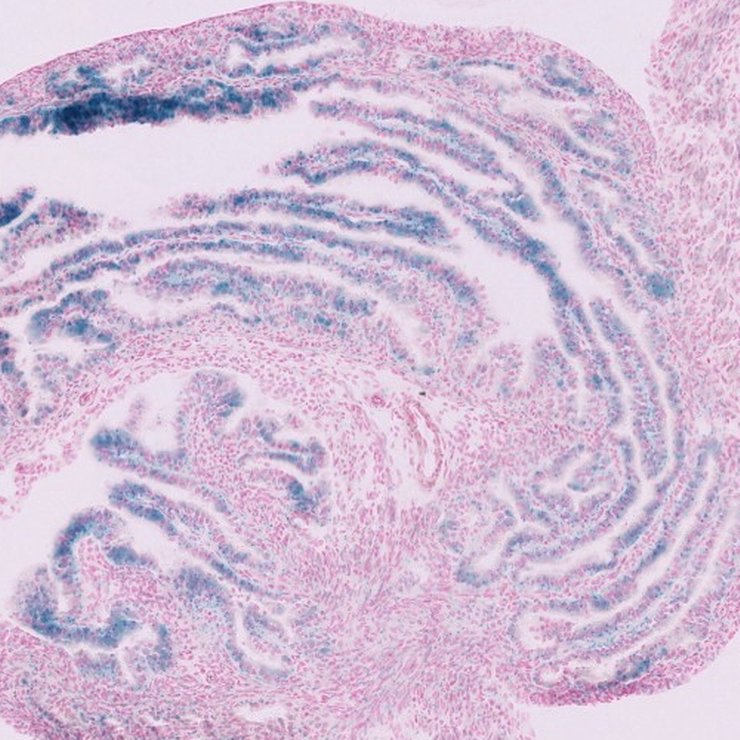
TS28: small intestine Present JAX_1373623

Specimen JAX_1373624: postnatal adult; Cmtr2tm1.1(KOMP)Vlcg/Cmtr2+ (more )
Structure Level Pattern Image Note
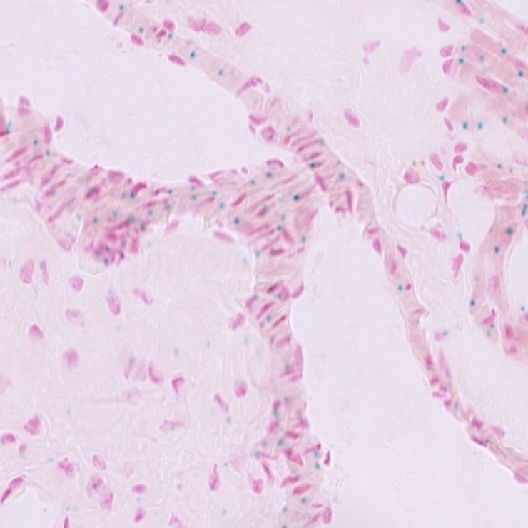
TS28: skeletal muscle tissue Present JAX_1373624

Specimen JAX_1373625: postnatal adult; Cmtr2tm1.1(KOMP)Vlcg/Cmtr2+ (more )
Structure Level Pattern Image Note
TS28: pituitary gland Present JAX_1373625

Specimen JAX_1373626: postnatal adult; Cmtr2tm1.1(KOMP)Vlcg/Cmtr2+ (more )
Structure Level Pattern Image Note
TS28: thyroid gland Present JAX_1373626

Specimen JAX_1373627: postnatal adult; Cmtr2tm1.1(KOMP)Vlcg/Cmtr2+ (more )
Structure Level Pattern Image Note
TS28: spinal cord Present JAX_1373627

Specimen JAX_1373628: postnatal adult; Cmtr2tm1.1(KOMP)Vlcg/Cmtr2+ (more )
Structure Level Pattern Image Note
TS28: esophagus Present JAX_1373628

Specimen JAX_1373629: postnatal adult; Cmtr2tm1.1(KOMP)Vlcg/Cmtr2+ (more )
Structure Level Pattern Image Note
TS28: large intestine Present JAX_1373629

Specimen JAX_1373630: postnatal adult; Cmtr2tm1.1(KOMP)Vlcg/Cmtr2+ (more )
Structure Level Pattern Image Note
TS28: trachea Present JAX_1373630

Specimen JAX_1373631: postnatal adult; Cmtr2tm1.1(KOMP)Vlcg/Cmtr2+ (more )
Structure Level Pattern Image Note
TS28: thymus Present JAX_1373631

Specimen JAX_1373632: postnatal adult; Cmtr2tm1.1(KOMP)Vlcg/Cmtr2+ (more )
Structure Level Pattern Image Note
TS28: testis Present JAX_1373632

Specimen JAX_1373633: postnatal adult; Cmtr2tm1.1(KOMP)Vlcg/Cmtr2+ (more )
Structure Level Pattern Image Note
TS28: stomach Present JAX_1373633

Specimen JAX_1373634: postnatal adult; Cmtr2tm1.1(KOMP)Vlcg/Cmtr2+ (more )
Structure Level Pattern Image Note
TS28: skin Present JAX_1373634

Specimen JAX_1373635: postnatal adult; Cmtr2tm1.1(KOMP)Vlcg/Cmtr2+ (more )
Structure Level Pattern Image Note
TS28: lymph node Present JAX_1373635

Specimen JAX_1373636: postnatal adult; Cmtr2tm1.1(KOMP)Vlcg/Cmtr2+ (more )
Structure Level Pattern Image Note
TS28: metanephros Present JAX_1373636 kidney

Specimen JAX_1373637: postnatal adult; Cmtr2tm1.1(KOMP)Vlcg/Cmtr2+ (more )
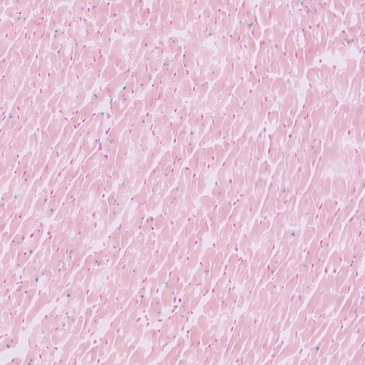
Structure Level Pattern Image Note
TS28: heart Present JAX_1373637

Specimen JAX_1373638: postnatal adult; Cmtr2tm1.1(KOMP)Vlcg/Cmtr2+ (more )
Structure Level Pattern Image Note
TS28: eye Present JAX_1373638

Specimen JAX_1373639: postnatal adult; Cmtr2tm1.1(KOMP)Vlcg/Cmtr2+ (more )
Structure Level Pattern Image Note
TS28: brain Present JAX_1373639


Contributing Projects:
Mouse Genome Database (MGD), Gene Expression Database (GXD), Mouse Models of Human Cancer database (MMHCdb) (formerly Mouse Tumor Biology (MTB)), Gene Ontology (GO)
Citing These Resources
Funding Information
Warranty Disclaimer, Privacy Notice, Licensing, & Copyright
Send questions and comments to User Support.
last database update
12/30/2025
MGI 6.24
The Jackson Laboratory