About   Help   FAQ
Gene Expression Data
Assay Details
Assay
Reference: J:228563 Koscielny G, et al., The International Mouse Phenotyping Consortium Web Portal, a unified point of access for knockout mice and related phenotyping data. Nucleic Acids Res. 2014 Jan;42(Database issue):D802-9
Assay type: In situ reporter (knock in)
MGI Accession ID: MGI:6692511
Gene symbol: Mtnr1b
Gene name: melatonin receptor 1B
Reporter: lacZ
Direct Detection
Results
Specimen UC Davis_1853304: postnatal adult; Mtnr1btm1.1(KOMP)Vlcg/Mtnr1b+ (more )
Structure Level Pattern Image Note
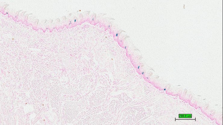
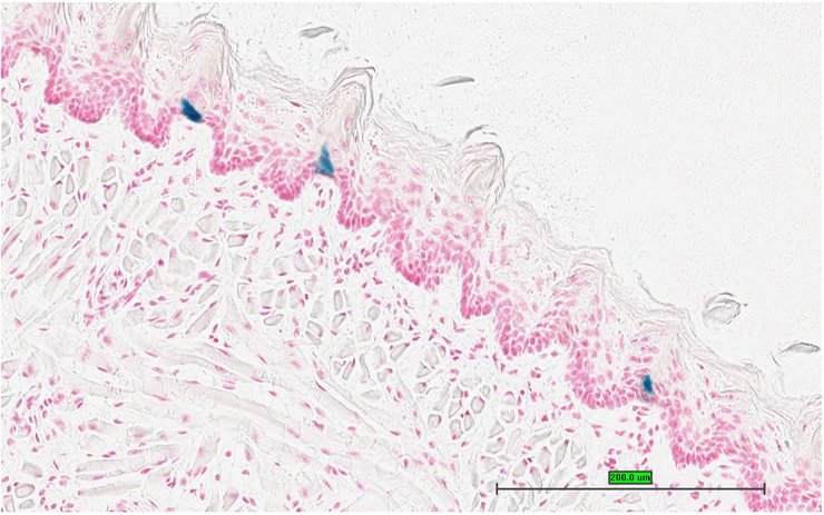
TS28: tongue Present UC Davis_1853304

Specimen UC Davis_1853305: postnatal adult; Mtnr1btm1.1(KOMP)Vlcg/Mtnr1b+ (more )
Structure Level Pattern Image Note
TS28: tongue Present UC Davis_1853305

Specimen UC Davis_1853306: postnatal adult; Mtnr1btm1.1(KOMP)Vlcg/Mtnr1b+ (more )
Structure Level Pattern Image Note
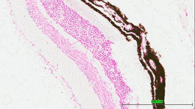
TS28: eye Present UC Davis_1853306

Specimen UC Davis_1853307: postnatal adult; Mtnr1btm1.1(KOMP)Vlcg/Mtnr1b+ (more )
Structure Level Pattern Image Note
TS28: olfactory lobe Present UC Davis_1853307

Specimen UC Davis_1853311: postnatal adult; Mtnr1btm1.1(KOMP)Vlcg/Mtnr1b+ (more )
Structure Level Pattern Image Note
TS28: midbrain Present UC Davis_1853311

Specimen UC Davis_1853314: postnatal adult; Mtnr1btm1.1(KOMP)Vlcg/Mtnr1b+ (more )
Structure Level Pattern Image Note
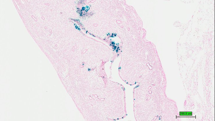
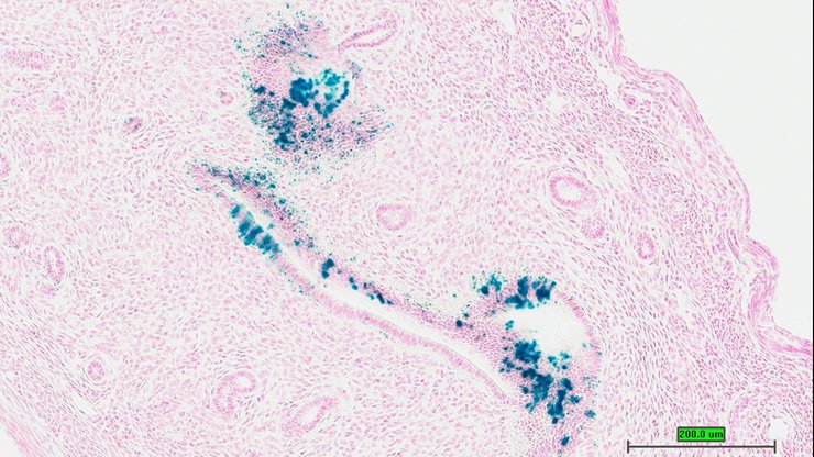
TS28: uterus Present UC Davis_1853314

Specimen UC Davis_1853315: postnatal adult; Mtnr1btm1.1(KOMP)Vlcg/Mtnr1b+ (more )
Structure Level Pattern Image Note
TS28: uterus Present UC Davis_1853315

Specimen UC Davis_1853316: postnatal adult; Mtnr1btm1.1(KOMP)Vlcg/Mtnr1b+ (more )
Structure Level Pattern Image Note
TS28: uterus Present UC Davis_1853316

Specimen UC Davis_1853317: postnatal adult; Mtnr1btm1.1(KOMP)Vlcg/Mtnr1b+ (more )
Structure Level Pattern Image Note
TS28: midbrain Present UC Davis_1853317

Specimen UC Davis_1853320: postnatal adult; Mtnr1btm1.1(KOMP)Vlcg/Mtnr1b+ (more )
Structure Level Pattern Image Note
TS28: brain Present UC Davis_1853320

Specimen UC Davis_1853321: postnatal adult; Mtnr1btm1.1(KOMP)Vlcg/Mtnr1b+ (more )
Structure Level Pattern Image Note
TS28: spinal cord Present UC Davis_1853321

Specimen UC Davis_1853322: postnatal adult; Mtnr1btm1.1(KOMP)Vlcg/Mtnr1b+ (more )
Structure Level Pattern Image Note
TS28: spinal cord Present UC Davis_1853322

Specimen UC Davis_1853323: postnatal adult; Mtnr1btm1.1(KOMP)Vlcg/Mtnr1b+ (more )
Structure Level Pattern Image Note
TS28: spinal cord Present UC Davis_1853323

Specimen UC Davis_1853324: postnatal adult; Mtnr1btm1.1(KOMP)Vlcg/Mtnr1b+ (more )
Structure Level Pattern Image Note
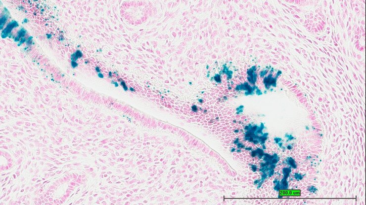
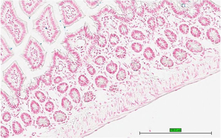
TS28: jejunum Present UC Davis_1853324

Specimen UC Davis_1853325: postnatal adult; Mtnr1btm1.1(KOMP)Vlcg/Mtnr1b+ (more )
Structure Level Pattern Image Note
TS28: ileum Present UC Davis_1853325

Specimen UC Davis_1853326: postnatal adult; Mtnr1btm1.1(KOMP)Vlcg/Mtnr1b+ (more )
Structure Level Pattern Image Note
TS28: ileum Present UC Davis_1853326

Specimen UC Davis_1853327: postnatal adult; Mtnr1btm1.1(KOMP)Vlcg/Mtnr1b+ (more )
Structure Level Pattern Image Note
TS28: colon Present UC Davis_1853327

Specimen UC Davis_1853328: postnatal adult; Mtnr1btm1.1(KOMP)Vlcg/Mtnr1b+ (more )
Structure Level Pattern Image Note
TS28: parathyroid gland Present UC Davis_1853328

Specimen UC Davis_1853329: postnatal adult; Mtnr1btm1.1(KOMP)Vlcg/Mtnr1b+ (more )
Structure Level Pattern Image Note
TS28: parathyroid gland Present UC Davis_1853329

Specimen UC Davis_1853330: postnatal adult; Mtnr1btm1.1(KOMP)Vlcg/Mtnr1b+ (more )
Structure Level Pattern Image Note
TS28: parathyroid gland Present UC Davis_1853330

Specimen UC Davis_1853331: postnatal adult; Mtnr1btm1.1(KOMP)Vlcg/Mtnr1b+ (more )
Structure Level Pattern Image Note
TS28: parathyroid gland Present UC Davis_1853331

Specimen UC Davis_1853291: postnatal adult; Mtnr1btm1.1(KOMP)Vlcg/Mtnr1b+ (more )
Structure Level Pattern Image Note
TS28: ileum Present UC Davis_1853291

Specimen UC Davis_1853292: postnatal adult; Mtnr1btm1.1(KOMP)Vlcg/Mtnr1b+ (more )
Structure Level Pattern Image Note
TS28: tongue Present UC Davis_1853292

Specimen UC Davis_1853293: postnatal adult; Mtnr1btm1.1(KOMP)Vlcg/Mtnr1b+ (more )
Structure Level Pattern Image Note
TS28: olfactory lobe Present UC Davis_1853293

Specimen UC Davis_1853297: postnatal adult; Mtnr1btm1.1(KOMP)Vlcg/Mtnr1b+ (more )
Structure Level Pattern Image Note
TS28: midbrain Present UC Davis_1853297

Specimen UC Davis_1853299: postnatal adult; Mtnr1btm1.1(KOMP)Vlcg/Mtnr1b+ (more )
Structure Level Pattern Image Note
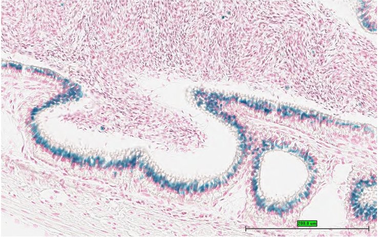
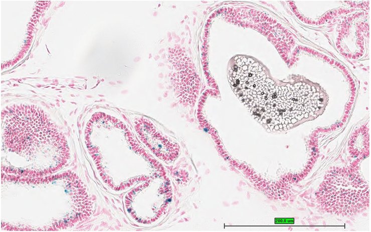
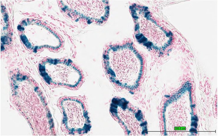
TS28: epididymis Present UC Davis_1853299

Specimen UC Davis_1853300: postnatal adult; Mtnr1btm1.1(KOMP)Vlcg/Mtnr1b+ (more )
Structure Level Pattern Image Note
TS28: epididymis Present UC Davis_1853300

Specimen UC Davis_1853301: postnatal adult; Mtnr1btm1.1(KOMP)Vlcg/Mtnr1b+ (more )
Structure Level Pattern Image Note
TS28: prostate gland Present UC Davis_1853301

Specimen UC Davis_1853302: postnatal adult; Mtnr1btm1.1(KOMP)Vlcg/Mtnr1b+ (more )
Structure Level Pattern Image Note
TS28: ductus deferens Present UC Davis_1853302 vas deferens

Specimen UC Davis_1853303: postnatal adult; Mtnr1btm1.1(KOMP)Vlcg/Mtnr1b+ (more )
Structure Level Pattern Image Note
TS28: ductus deferens Present UC Davis_1853303 vas deferens

Specimen UC Davis_1853333: postnatal adult; Mtnr1btm1.1(KOMP)Vlcg/Mtnr1b+ (more )
Structure Level Pattern Image Note
TS28: brain Present UC Davis_1853333

Specimen UC Davis_1853334: postnatal adult; Mtnr1btm1.1(KOMP)Vlcg/Mtnr1b+ (more )
Structure Level Pattern Image Note
TS28: thyroid gland Present UC Davis_1853334

Specimen UC Davis_1853335: postnatal adult; Mtnr1btm1.1(KOMP)Vlcg/Mtnr1b+ (more )
Structure Level Pattern Image Note
TS28: Harderian gland Present UC Davis_1853335

Specimen UC Davis_1853336: postnatal adult; Mtnr1btm1.1(KOMP)Vlcg/Mtnr1b+ (more )
Structure Level Pattern Image Note
TS28: Harderian gland Present UC Davis_1853336


Contributing Projects:
Mouse Genome Database (MGD), Gene Expression Database (GXD), Mouse Models of Human Cancer database (MMHCdb) (formerly Mouse Tumor Biology (MTB)), Gene Ontology (GO)
Citing These Resources
Funding Information
Warranty Disclaimer, Privacy Notice, Licensing, & Copyright
Send questions and comments to User Support.
last database update
12/30/2025
MGI 6.24
The Jackson Laboratory