About   Help   FAQ
Gene Expression Data
Assay Details
Assay
Reference: J:228563 Koscielny G, et al., The International Mouse Phenotyping Consortium Web Portal, a unified point of access for knockout mice and related phenotyping data. Nucleic Acids Res. 2014 Jan;42(Database issue):D802-9
Assay type: In situ reporter (knock in)
MGI Accession ID: MGI:6692444
Gene symbol: Gpank1
Gene name: G patch domain and ankyrin repeats 1
Reporter: lacZ
Direct Detection
Results
Specimen UC Davis_1877355: postnatal adult; Gpank1tm1.1(KOMP)Vlcg/Gpank1+ (more )
Structure Level Pattern Image Note
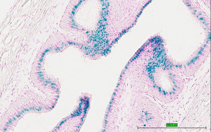
TS28: olfactory lobe Present UC Davis_1877355

Specimen UC Davis_1877358: postnatal adult; Gpank1tm1.1(KOMP)Vlcg/Gpank1+ (more )
Structure Level Pattern Image Note
TS28: midbrain Present UC Davis_1877358

Specimen UC Davis_1877359: postnatal adult; Gpank1tm1.1(KOMP)Vlcg/Gpank1+ (more )
Structure Level Pattern Image Note
TS28: esophagus Present UC Davis_1877359

Specimen UC Davis_1877361: postnatal adult; Gpank1tm1.1(KOMP)Vlcg/Gpank1+ (more )
Structure Level Pattern Image Note
TS28: ileum Present UC Davis_1877361

Specimen UC Davis_1877362: postnatal adult; Gpank1tm1.1(KOMP)Vlcg/Gpank1+ (more )
Structure Level Pattern Image Note
TS28: colon Present UC Davis_1877362

Specimen UC Davis_1877363: postnatal adult; Gpank1tm1.1(KOMP)Vlcg/Gpank1+ (more )
Structure Level Pattern Image Note
TS28: tongue Present UC Davis_1877363

Specimen UC Davis_1877366: postnatal adult; Gpank1tm1.1(KOMP)Vlcg/Gpank1+ (more )
Structure Level Pattern Image Note
TS28: epididymis Present UC Davis_1877366

Specimen UC Davis_1877367: postnatal adult; Gpank1tm1.1(KOMP)Vlcg/Gpank1+ (more )
Structure Level Pattern Image Note
TS28: prostate gland Present UC Davis_1877367

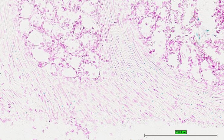
Specimen UC Davis_1877368: postnatal adult; Gpank1tm1.1(KOMP)Vlcg/Gpank1+ (more )
Structure Level Pattern Image Note
TS28: ductus deferens Present UC Davis_1877368 vas deferens


Contributing Projects:
Mouse Genome Database (MGD), Gene Expression Database (GXD), Mouse Models of Human Cancer database (MMHCdb) (formerly Mouse Tumor Biology (MTB)), Gene Ontology (GO)
Citing These Resources
Funding Information
Warranty Disclaimer, Privacy Notice, Licensing, & Copyright
Send questions and comments to User Support.
last database update
12/30/2025
MGI 6.24
The Jackson Laboratory