About   Help   FAQ
Gene Expression Data
Assay Details
Assay
Reference: J:228563 Koscielny G, et al., The International Mouse Phenotyping Consortium Web Portal, a unified point of access for knockout mice and related phenotyping data. Nucleic Acids Res. 2014 Jan;42(Database issue):D802-9
Assay type: In situ reporter (knock in)
MGI Accession ID: MGI:6692359
Gene symbol: Hemgn
Gene name: hemogen
Reporter: lacZ
Direct Detection
Results
Specimen JAX_1470106: embryonic day 12.5; Hemgntm1.1(KOMP)Vlcg/Hemgn+ (more )
Structure Level Pattern Image Note
TS20: embryo Present JAX_1470106

Specimen JAX_1470107: embryonic day 12.5; Hemgntm1.1(KOMP)Vlcg/Hemgn+ (more )
Structure Level Pattern Image Note
TS20: embryo Present JAX_1470107

Specimen JAX_1470108: embryonic day 12.5; Hemgntm1.1(KOMP)Vlcg/Hemgn+ (more )
Structure Level Pattern Image Note
TS20: embryo Present JAX_1470108

Specimen JAX_1470109: embryonic day 12.5; Hemgntm1.1(KOMP)Vlcg/Hemgn+ (more )
Structure Level Pattern Image Note
TS20: embryo Present JAX_1470109

Specimen JAX_927759: embryonic day 12.5; Hemgntm1.1(KOMP)Vlcg/Hemgn+ (more )
Structure Level Pattern Image Note
TS20: embryo Present JAX_927759

Specimen JAX_927761: embryonic day 12.5; Hemgntm1.1(KOMP)Vlcg/Hemgn+ (more )
Structure Level Pattern Image Note
TS20: embryo Present JAX_927761

Specimen JAX_927763: embryonic day 12.5; Hemgntm1.1(KOMP)Vlcg/Hemgn+ (more )
Structure Level Pattern Image Note
TS20: embryo Present JAX_927763

Specimen JAX_927765: embryonic day 12.5; Hemgntm1.1(KOMP)Vlcg/Hemgn+ (more )
Structure Level Pattern Image Note
TS20: embryo Present JAX_927765

Specimen JAX_1124821: postnatal adult; Hemgntm1.1(KOMP)Vlcg/Hemgn+ (more )
Structure Level Pattern Image Note
TS28: thalamus Present JAX_1124821

Specimen JAX_1124823: postnatal adult; Hemgntm1.1(KOMP)Vlcg/Hemgn+ (more )
Structure Level Pattern Image Note
TS28: midbrain Present JAX_1124823

Specimen JAX_1124825: postnatal adult; Hemgntm1.1(KOMP)Vlcg/Hemgn+ (more )
Structure Level Pattern Image Note
TS28: vascular system Present JAX_1124825

Specimen JAX_1124827: postnatal adult; Hemgntm1.1(KOMP)Vlcg/Hemgn+ (more )
Structure Level Pattern Image Note
TS28: bladder Present JAX_1124827

Specimen JAX_1124829: postnatal adult; Hemgntm1.1(KOMP)Vlcg/Hemgn+ (more )
Structure Level Pattern Image Note
TS28: corpus striatum Present JAX_1124829

Specimen JAX_1124831: postnatal adult; Hemgntm1.1(KOMP)Vlcg/Hemgn+ (more )
Structure Level Pattern Image Note
TS28: Peyer's patch Present JAX_1124831

Specimen JAX_1124833: postnatal adult; Hemgntm1.1(KOMP)Vlcg/Hemgn+ (more )
Structure Level Pattern Image Note
TS28: olfactory lobe Present JAX_1124833

Specimen JAX_1124835: postnatal adult; Hemgntm1.1(KOMP)Vlcg/Hemgn+ (more )
Structure Level Pattern Image Note
TS28: hypothalamus Present JAX_1124835

Specimen JAX_1124837: postnatal adult; Hemgntm1.1(KOMP)Vlcg/Hemgn+ (more )
Structure Level Pattern Image Note
TS28: hippocampus Present JAX_1124837

Specimen JAX_1124839: postnatal adult; Hemgntm1.1(KOMP)Vlcg/Hemgn+ (more )
Structure Level Pattern Image Note
TS28: cerebellum Present JAX_1124839

Specimen JAX_1124841: postnatal adult; Hemgntm1.1(KOMP)Vlcg/Hemgn+ (more )
Structure Level Pattern Image Note
TS28: cerebral cortex Present JAX_1124841

Specimen JAX_1124843: postnatal adult; Hemgntm1.1(KOMP)Vlcg/Hemgn+ (more )
Structure Level Pattern Image Note
TS28: brainstem Present JAX_1124843

Specimen JAX_1124845: postnatal adult; Hemgntm1.1(KOMP)Vlcg/Hemgn+ (more )
Structure Level Pattern Image Note
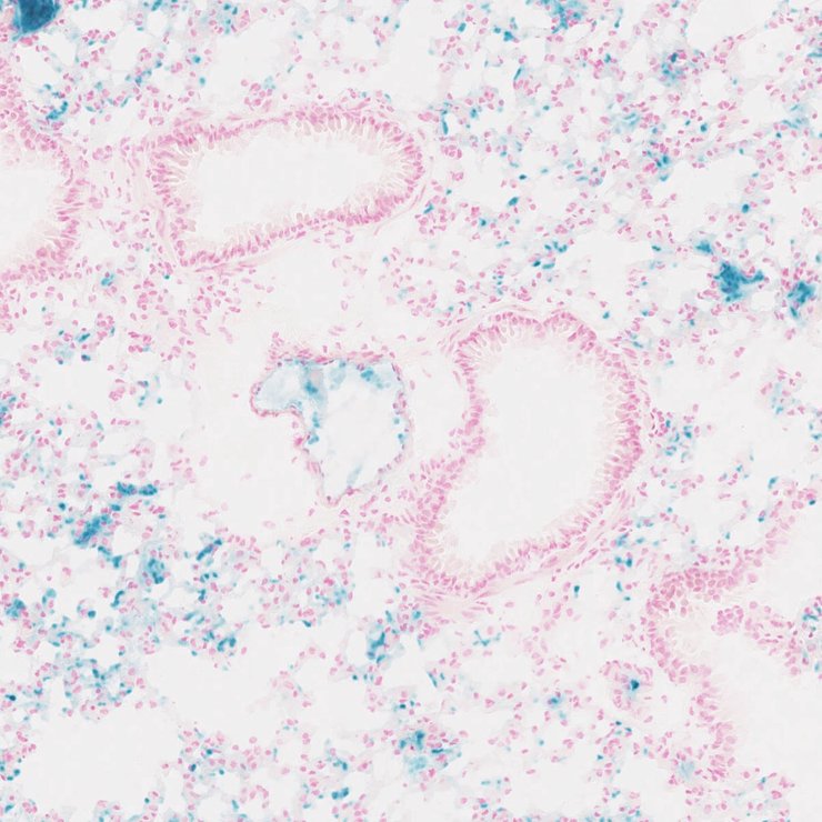
TS28: lung Present JAX_1124845

Specimen JAX_1124847: postnatal adult; Hemgntm1.1(KOMP)Vlcg/Hemgn+ (more )
Structure Level Pattern Image Note
TS28: small intestine Present JAX_1124847

Specimen JAX_1124849: postnatal adult; Hemgntm1.1(KOMP)Vlcg/Hemgn+ (more )
Structure Level Pattern Image Note
TS28: pituitary gland Present JAX_1124849

Specimen JAX_1124851: postnatal adult; Hemgntm1.1(KOMP)Vlcg/Hemgn+ (more )
Structure Level Pattern Image Note
TS28: large intestine Present JAX_1124851

Specimen JAX_1124853: postnatal adult; Hemgntm1.1(KOMP)Vlcg/Hemgn+ (more )
Structure Level Pattern Image Note
TS28: uterus Present JAX_1124853

Specimen JAX_1124855: postnatal adult; Hemgntm1.1(KOMP)Vlcg/Hemgn+ (more )
Structure Level Pattern Image Note
TS28: stomach Present JAX_1124855

Specimen JAX_1124857: postnatal adult; Hemgntm1.1(KOMP)Vlcg/Hemgn+ (more )
Structure Level Pattern Image Note
TS28: oviduct Present JAX_1124857

Specimen JAX_1124859: postnatal adult; Hemgntm1.1(KOMP)Vlcg/Hemgn+ (more )
Structure Level Pattern Image Note
TS28: ovary Present JAX_1124859

Specimen JAX_1124861: postnatal adult; Hemgntm1.1(KOMP)Vlcg/Hemgn+ (more )
Structure Level Pattern Image Note
TS28: mammary gland Present JAX_1124861

Specimen JAX_1124863: postnatal adult; Hemgntm1.1(KOMP)Vlcg/Hemgn+ (more )
Structure Level Pattern Image Note
TS28: eye Present JAX_1124863

Specimen JAX_1124865: postnatal adult; Hemgntm1.1(KOMP)Vlcg/Hemgn+ (more )
Structure Level Pattern Image Note
TS28: brain Present JAX_1124865

Specimen JAX_1124867: postnatal adult; Hemgntm1.1(KOMP)Vlcg/Hemgn+ (more )
Structure Level Pattern Image Note
TS28: epididymis Present JAX_1124867

Specimen JAX_1124869: postnatal adult; Hemgntm1.1(KOMP)Vlcg/Hemgn+ (more )
Structure Level Pattern Image Note
TS28: submandibular gland Present JAX_1124869

Specimen JAX_1124871: postnatal adult; Hemgntm1.1(KOMP)Vlcg/Hemgn+ (more )
Structure Level Pattern Image Note
TS28: blood Present JAX_1124871

Specimen JAX_1124873: postnatal adult; Hemgntm1.1(KOMP)Vlcg/Hemgn+ (more )
Structure Level Pattern Image Note
TS28: brown fat Present JAX_1124873

Specimen JAX_1124875: postnatal adult; Hemgntm1.1(KOMP)Vlcg/Hemgn+ (more )
Structure Level Pattern Image Note
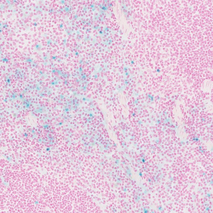
TS28: bone marrow Present JAX_1124875

Specimen JAX_1124877: postnatal adult; Hemgntm1.1(KOMP)Vlcg/Hemgn+ (more )
Structure Level Pattern Image Note
TS28: spleen Present JAX_1124877

Specimen JAX_1124879: postnatal adult; Hemgntm1.1(KOMP)Vlcg/Hemgn+ (more )
Structure Level Pattern Image Note
TS28: pancreas Present JAX_1124879

Specimen JAX_1124881: postnatal adult; Hemgntm1.1(KOMP)Vlcg/Hemgn+ (more )
Structure Level Pattern Image Note
TS28: aorta Present JAX_1124881

Specimen JAX_1124883: postnatal adult; Hemgntm1.1(KOMP)Vlcg/Hemgn+ (more )
Structure Level Pattern Image Note
TS28: white fat Present JAX_1124883

Specimen JAX_1124885: postnatal adult; Hemgntm1.1(KOMP)Vlcg/Hemgn+ (more )
Structure Level Pattern Image Note
TS28: thyroid gland Present JAX_1124885

Specimen JAX_1124887: postnatal adult; Hemgntm1.1(KOMP)Vlcg/Hemgn+ (more )
Structure Level Pattern Image Note
TS28: spinal cord Present JAX_1124887

Specimen JAX_1124889: postnatal adult; Hemgntm1.1(KOMP)Vlcg/Hemgn+ (more )
Structure Level Pattern Image Note
TS28: trachea Present JAX_1124889

Specimen JAX_1124891: postnatal adult; Hemgntm1.1(KOMP)Vlcg/Hemgn+ (more )
Structure Level Pattern Image Note
TS28: thymus Present JAX_1124891

Specimen JAX_1124893: postnatal adult; Hemgntm1.1(KOMP)Vlcg/Hemgn+ (more )
Structure Level Pattern Image Note
TS28: testis Present JAX_1124893

Specimen JAX_1124895: postnatal adult; Hemgntm1.1(KOMP)Vlcg/Hemgn+ (more )
Structure Level Pattern Image Note
TS28: lymph node Present JAX_1124895

Specimen JAX_1124897: postnatal adult; Hemgntm1.1(KOMP)Vlcg/Hemgn+ (more )
Structure Level Pattern Image Note
TS28: liver Present JAX_1124897

Specimen JAX_1124899: postnatal adult; Hemgntm1.1(KOMP)Vlcg/Hemgn+ (more )
Structure Level Pattern Image Note
TS28: metanephros Present JAX_1124899 kidney

Specimen JAX_1124901: postnatal adult; Hemgntm1.1(KOMP)Vlcg/Hemgn+ (more )
Structure Level Pattern Image Note
TS28: heart Present JAX_1124901

Specimen JAX_1124903: postnatal adult; Hemgntm1.1(KOMP)Vlcg/Hemgn+ (more )
Structure Level Pattern Image Note
TS28: adrenal gland Present JAX_1124903


Contributing Projects:
Mouse Genome Database (MGD), Gene Expression Database (GXD), Mouse Models of Human Cancer database (MMHCdb) (formerly Mouse Tumor Biology (MTB)), Gene Ontology (GO)
Citing These Resources
Funding Information
Warranty Disclaimer, Privacy Notice, Licensing, & Copyright
Send questions and comments to User Support.
last database update
01/06/2026
MGI 6.24
The Jackson Laboratory