About   Help   FAQ
Gene Expression Data
Assay Details
Assay
Reference: J:228563 Koscielny G, et al., The International Mouse Phenotyping Consortium Web Portal, a unified point of access for knockout mice and related phenotyping data. Nucleic Acids Res. 2014 Jan;42(Database issue):D802-9
Assay type: In situ reporter (knock in)
MGI Accession ID: MGI:6692358
Gene symbol: Rtn4r
Gene name: reticulon 4 receptor
Reporter: lacZ
Direct Detection
Results
Specimen UC Davis_1881345: postnatal adult; Rtn4rtm1b(KOMP)Wtsi/Rtn4r+ (more )
Structure Level Pattern Image Note
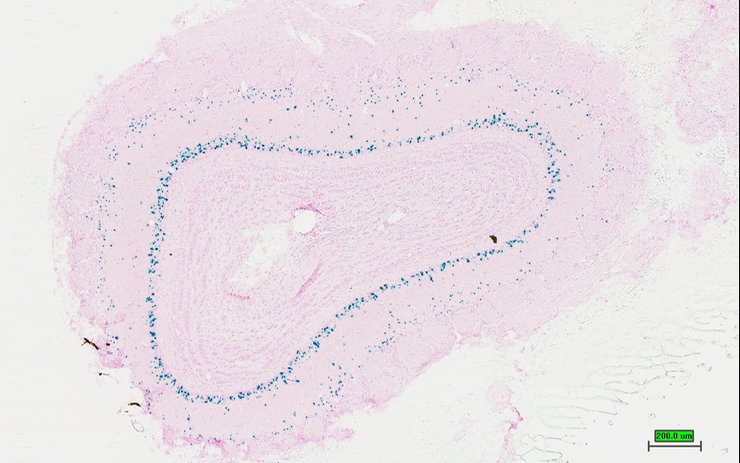
TS28: spinal cord Present UC Davis_1881345

Specimen UC Davis_1881346: postnatal adult; Rtn4rtm1b(KOMP)Wtsi/Rtn4r+ (more )
Structure Level Pattern Image Note
TS28: spinal cord Present UC Davis_1881346

Specimen UC Davis_1881347: postnatal adult; Rtn4rtm1b(KOMP)Wtsi/Rtn4r+ (more )
Structure Level Pattern Image Note
TS28: spinal cord Present UC Davis_1881347

Specimen UC Davis_1881348: postnatal adult; Rtn4rtm1b(KOMP)Wtsi/Rtn4r+ (more )
Structure Level Pattern Image Note
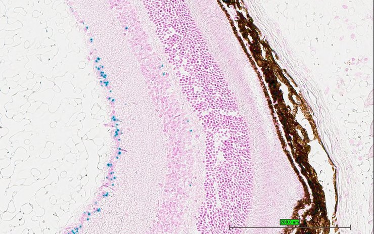
TS28: eye Present UC Davis_1881348

Specimen UC Davis_1881349: postnatal adult; Rtn4rtm1b(KOMP)Wtsi/Rtn4r+ (more )
Structure Level Pattern Image Note
TS28: eye Present UC Davis_1881349

Specimen UC Davis_1881350: postnatal adult; Rtn4rtm1b(KOMP)Wtsi/Rtn4r+ (more )
Structure Level Pattern Image Note
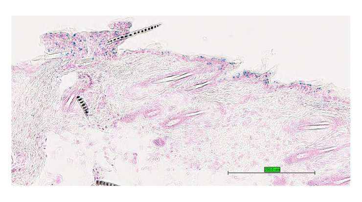
TS28: skin Present UC Davis_1881350

Specimen UC Davis_1881351: postnatal adult; Rtn4rtm1b(KOMP)Wtsi/Rtn4r+ (more )
Structure Level Pattern Image Note
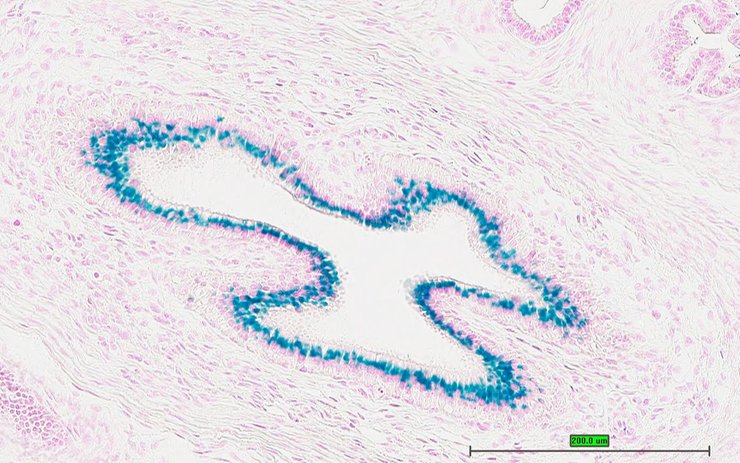
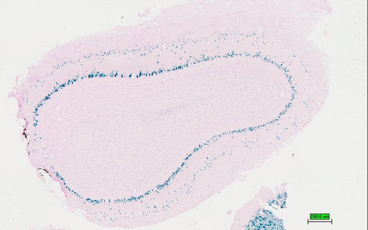
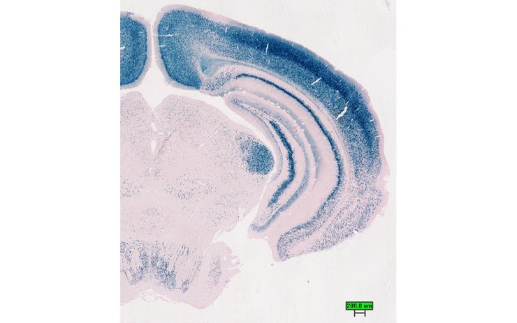
TS28: olfactory lobe Present UC Davis_1881351

Specimen UC Davis_1881353: postnatal adult; Rtn4rtm1b(KOMP)Wtsi/Rtn4r+ (more )
Structure Level Pattern Image Note
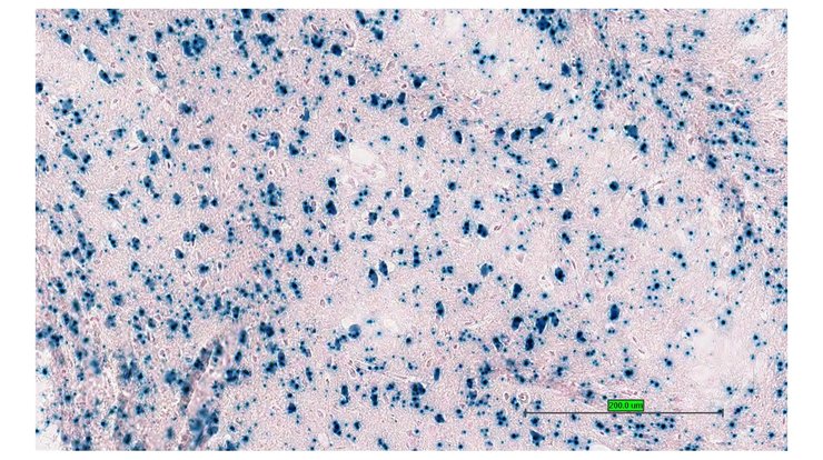
TS28: midbrain Present UC Davis_1881353

Specimen UC Davis_1881355: postnatal adult; Rtn4rtm1b(KOMP)Wtsi/Rtn4r+ (more )
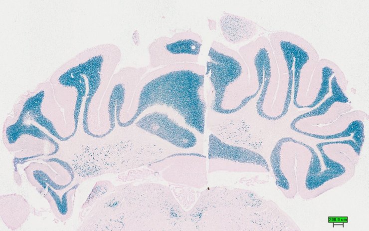
Structure Level Pattern Image Note
TS28: cerebellum Present UC Davis_1881355

Specimen UC Davis_1881357: postnatal adult; Rtn4rtm1b(KOMP)Wtsi/Rtn4r+ (more )
Structure Level Pattern Image Note
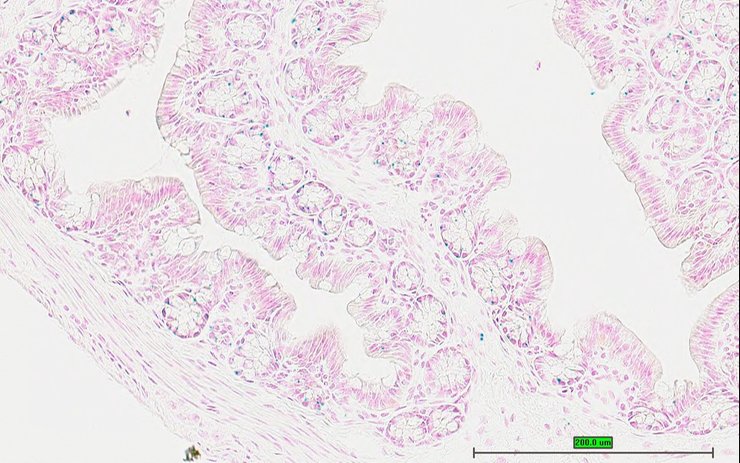
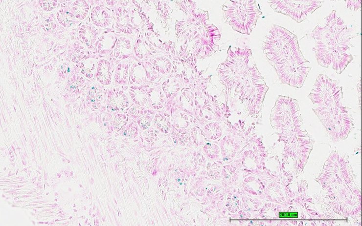
TS28: duodenum Present UC Davis_1881357

Specimen UC Davis_1881358: postnatal adult; Rtn4rtm1b(KOMP)Wtsi/Rtn4r+ (more )
Structure Level Pattern Image Note
TS28: ileum Present UC Davis_1881358

Specimen UC Davis_1881359: postnatal adult; Rtn4rtm1b(KOMP)Wtsi/Rtn4r+ (more )
Structure Level Pattern Image Note
TS28: colon Present UC Davis_1881359

Specimen UC Davis_1881360: postnatal adult; Rtn4rtm1b(KOMP)Wtsi/Rtn4r+ (more )
Structure Level Pattern Image Note
TS28: pituitary gland Present UC Davis_1881360

Specimen UC Davis_1881361: postnatal adult; Rtn4rtm1b(KOMP)Wtsi/Rtn4r+ (more )
Structure Level Pattern Image Note
TS28: spinal cord Present UC Davis_1881361

Specimen UC Davis_1881362: postnatal adult; Rtn4rtm1b(KOMP)Wtsi/Rtn4r+ (more )
Structure Level Pattern Image Note
TS28: eye Present UC Davis_1881362

Specimen UC Davis_1881363: postnatal adult; Rtn4rtm1b(KOMP)Wtsi/Rtn4r+ (more )
Structure Level Pattern Image Note
TS28: skin Present UC Davis_1881363

Specimen UC Davis_1881364: postnatal adult; Rtn4rtm1b(KOMP)Wtsi/Rtn4r+ (more )
Structure Level Pattern Image Note
TS28: olfactory lobe Present UC Davis_1881364

Specimen UC Davis_1881365: postnatal adult; Rtn4rtm1b(KOMP)Wtsi/Rtn4r+ (more )
Structure Level Pattern Image Note
TS28: olfactory lobe Present UC Davis_1881365

Specimen UC Davis_1881368: postnatal adult; Rtn4rtm1b(KOMP)Wtsi/Rtn4r+ (more )
Structure Level Pattern Image Note
TS28: midbrain Present UC Davis_1881368

Specimen UC Davis_1881370: postnatal adult; Rtn4rtm1b(KOMP)Wtsi/Rtn4r+ (more )
Structure Level Pattern Image Note
TS28: cerebellum Present UC Davis_1881370

Specimen UC Davis_1881371: postnatal adult; Rtn4rtm1b(KOMP)Wtsi/Rtn4r+ (more )
Structure Level Pattern Image Note
TS28: trigeminal nerve Present UC Davis_1881371

Specimen UC Davis_1881372: postnatal adult; Rtn4rtm1b(KOMP)Wtsi/Rtn4r+ (more )
Structure Level Pattern Image Note
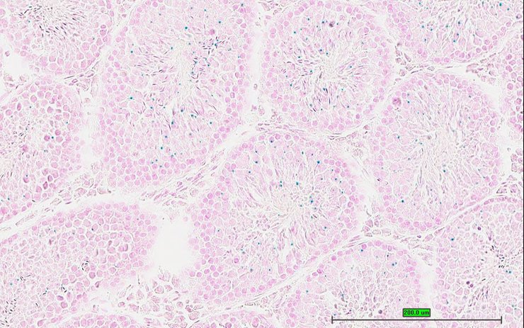
TS28: testis Present UC Davis_1881372

Specimen UC Davis_1881373: postnatal adult; Rtn4rtm1b(KOMP)Wtsi/Rtn4r+ (more )
Structure Level Pattern Image Note
TS28: testis Present UC Davis_1881373

Specimen UC Davis_1881374: postnatal adult; Rtn4rtm1b(KOMP)Wtsi/Rtn4r+ (more )
Structure Level Pattern Image Note
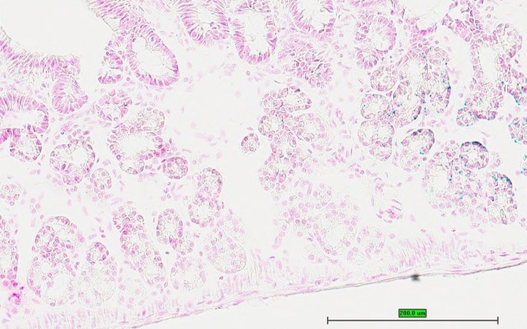
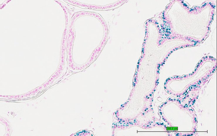
TS28: epididymis Present UC Davis_1881374

Specimen UC Davis_1881375: postnatal adult; Rtn4rtm1b(KOMP)Wtsi/Rtn4r+ (more )
Structure Level Pattern Image Note
TS28: prostate gland Present UC Davis_1881375

Specimen UC Davis_1881376: postnatal adult; Rtn4rtm1b(KOMP)Wtsi/Rtn4r+ (more )
Structure Level Pattern Image Note
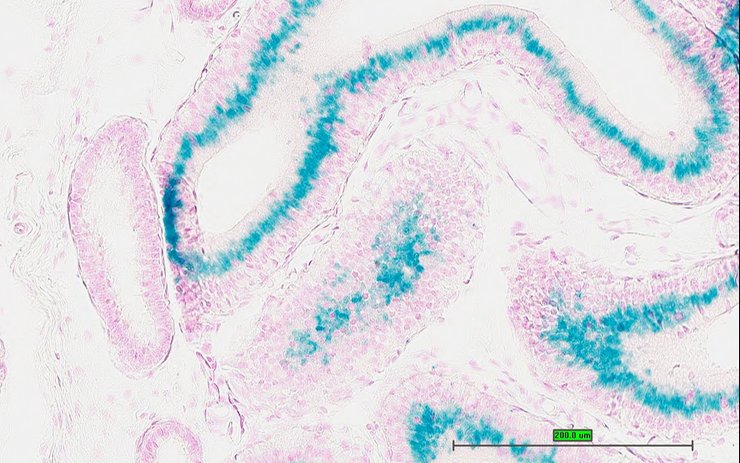
TS28: ductus deferens Present UC Davis_1881376 vas deferens


Contributing Projects:
Mouse Genome Database (MGD), Gene Expression Database (GXD), Mouse Models of Human Cancer database (MMHCdb) (formerly Mouse Tumor Biology (MTB)), Gene Ontology (GO)
Citing These Resources
Funding Information
Warranty Disclaimer, Privacy Notice, Licensing, & Copyright
Send questions and comments to User Support.
last database update
12/30/2025
MGI 6.24
The Jackson Laboratory