About   Help   FAQ
Gene Expression Data
Assay Details
Assay
Reference: J:228563 Koscielny G, et al., The International Mouse Phenotyping Consortium Web Portal, a unified point of access for knockout mice and related phenotyping data. Nucleic Acids Res. 2014 Jan;42(Database issue):D802-9
Assay type: In situ reporter (knock in)
MGI Accession ID: MGI:6692295
Gene symbol: Slc35b4
Gene name: solute carrier family 35, member B4
Reporter: lacZ
Direct Detection
Results
Specimen UC Davis_1879847: postnatal adult; Slc35b4tm1.1(KOMP)Vlcg/Slc35b4+ (more )
Structure Level Pattern Image Note
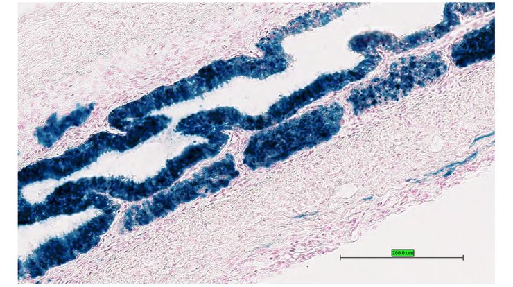
TS28: trachea Present UC Davis_1879847

Specimen UC Davis_1879848: postnatal adult; Slc35b4tm1.1(KOMP)Vlcg/Slc35b4+ (more )
Structure Level Pattern Image Note
TS28: thymus Present UC Davis_1879848

Specimen UC Davis_1879850: postnatal adult; Slc35b4tm1.1(KOMP)Vlcg/Slc35b4+ (more )
Structure Level Pattern Image Note
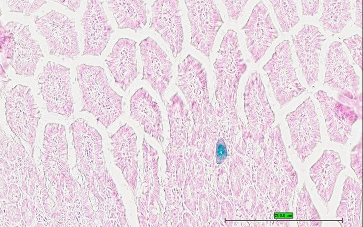
TS28: stomach Present UC Davis_1879850

Specimen UC Davis_1879851: postnatal adult; Slc35b4tm1.1(KOMP)Vlcg/Slc35b4+ (more )
Structure Level Pattern Image Note
TS28: stomach Present UC Davis_1879851

Specimen UC Davis_1879852: postnatal adult; Slc35b4tm1.1(KOMP)Vlcg/Slc35b4+ (more )
Structure Level Pattern Image Note
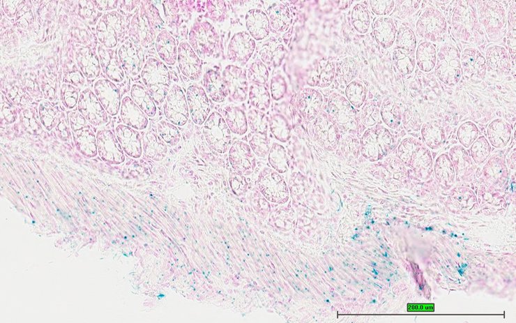
TS28: ileum Present UC Davis_1879852

Specimen UC Davis_1879853: postnatal adult; Slc35b4tm1.1(KOMP)Vlcg/Slc35b4+ (more )
Structure Level Pattern Image Note
TS28: ileum Present UC Davis_1879853

Specimen UC Davis_1879854: postnatal adult; Slc35b4tm1.1(KOMP)Vlcg/Slc35b4+ (more )
Structure Level Pattern Image Note
TS28: colon Present UC Davis_1879854

Specimen UC Davis_1879855: postnatal adult; Slc35b4tm1.1(KOMP)Vlcg/Slc35b4+ (more )
Structure Level Pattern Image Note
TS28: colon Present UC Davis_1879855

Specimen UC Davis_1879856: postnatal adult; Slc35b4tm1.1(KOMP)Vlcg/Slc35b4+ (more )
Structure Level Pattern Image Note
TS28: cecum Present UC Davis_1879856

Specimen UC Davis_1879857: postnatal adult; Slc35b4tm1.1(KOMP)Vlcg/Slc35b4+ (more )
Structure Level Pattern Image Note
TS28: spleen Present UC Davis_1879857

Specimen UC Davis_1879858: postnatal adult; Slc35b4tm1.1(KOMP)Vlcg/Slc35b4+ (more )
Structure Level Pattern Image Note
TS28: spleen Present UC Davis_1879858

Specimen UC Davis_1879859: postnatal adult; Slc35b4tm1.1(KOMP)Vlcg/Slc35b4+ (more )
Structure Level Pattern Image Note
TS28: metanephros Present UC Davis_1879859 kidney

Specimen UC Davis_1879860: postnatal adult; Slc35b4tm1.1(KOMP)Vlcg/Slc35b4+ (more )
Structure Level Pattern Image Note
TS28: metanephros Present UC Davis_1879860 kidney

Specimen UC Davis_1879861: postnatal adult; Slc35b4tm1.1(KOMP)Vlcg/Slc35b4+ (more )
Structure Level Pattern Image Note
TS28: metanephros Present UC Davis_1879861 kidney

Specimen UC Davis_1879862: postnatal adult; Slc35b4tm1.1(KOMP)Vlcg/Slc35b4+ (more )
Structure Level Pattern Image Note
TS28: tongue Present UC Davis_1879862

Specimen UC Davis_1879863: postnatal adult; Slc35b4tm1.1(KOMP)Vlcg/Slc35b4+ (more )
Structure Level Pattern Image Note
TS28: tongue Present UC Davis_1879863

Specimen UC Davis_1879864: postnatal adult; Slc35b4tm1.1(KOMP)Vlcg/Slc35b4+ (more )
Structure Level Pattern Image Note
TS28: pituitary gland Present UC Davis_1879864

Specimen UC Davis_1879865: postnatal adult; Slc35b4tm1.1(KOMP)Vlcg/Slc35b4+ (more )
Structure Level Pattern Image Note
TS28: spinal cord Present UC Davis_1879865

Specimen UC Davis_1879866: postnatal adult; Slc35b4tm1.1(KOMP)Vlcg/Slc35b4+ (more )
Structure Level Pattern Image Note
TS28: eye Present UC Davis_1879866

Specimen UC Davis_1879867: postnatal adult; Slc35b4tm1.1(KOMP)Vlcg/Slc35b4+ (more )
Structure Level Pattern Image Note
TS28: olfactory lobe Present UC Davis_1879867

Specimen UC Davis_1879869: postnatal adult; Slc35b4tm1.1(KOMP)Vlcg/Slc35b4+ (more )
Structure Level Pattern Image Note
TS28: midbrain Present UC Davis_1879869

Specimen UC Davis_1879871: postnatal adult; Slc35b4tm1.1(KOMP)Vlcg/Slc35b4+ (more )
Structure Level Pattern Image Note
TS28: cerebellum Present UC Davis_1879871

Specimen UC Davis_1879872: postnatal adult; Slc35b4tm1.1(KOMP)Vlcg/Slc35b4+ (more )
Structure Level Pattern Image Note
TS28: cerebellum Present UC Davis_1879872

Specimen UC Davis_1879873: postnatal adult; Slc35b4tm1.1(KOMP)Vlcg/Slc35b4+ (more )
Structure Level Pattern Image Note
TS28: trigeminal nerve Present UC Davis_1879873

Specimen UC Davis_1879874: postnatal adult; Slc35b4tm1.1(KOMP)Vlcg/Slc35b4+ (more )
Structure Level Pattern Image Note
TS28: ovary Present UC Davis_1879874

Specimen UC Davis_1879875: postnatal adult; Slc35b4tm1.1(KOMP)Vlcg/Slc35b4+ (more )
Structure Level Pattern Image Note
TS28: ovary Present UC Davis_1879875

Specimen UC Davis_1879876: postnatal adult; Slc35b4tm1.1(KOMP)Vlcg/Slc35b4+ (more )
Structure Level Pattern Image Note
TS28: oviduct Present UC Davis_1879876

Specimen UC Davis_1879877: postnatal adult; Slc35b4tm1.1(KOMP)Vlcg/Slc35b4+ (more )
Structure Level Pattern Image Note
TS28: uterus Present UC Davis_1879877

Specimen UC Davis_1879878: postnatal adult; Slc35b4tm1.1(KOMP)Vlcg/Slc35b4+ (more )
Structure Level Pattern Image Note
TS28: vagina Present UC Davis_1879878

Specimen UC Davis_1879879: postnatal adult; Slc35b4tm1.1(KOMP)Vlcg/Slc35b4+ (more )
Structure Level Pattern Image Note
TS28: bladder Present UC Davis_1879879

Specimen UC Davis_1879804: postnatal adult; Slc35b4tm1.1(KOMP)Vlcg/Slc35b4+ (more )
Structure Level Pattern Image Note
TS28: trachea Present UC Davis_1879804

Specimen UC Davis_1879805: postnatal adult; Slc35b4tm1.1(KOMP)Vlcg/Slc35b4+ (more )
Structure Level Pattern Image Note
TS28: trachea Present UC Davis_1879805

Specimen UC Davis_1879806: postnatal adult; Slc35b4tm1.1(KOMP)Vlcg/Slc35b4+ (more )
Structure Level Pattern Image Note
TS28: thymus Present UC Davis_1879806

Specimen UC Davis_1879807: postnatal adult; Slc35b4tm1.1(KOMP)Vlcg/Slc35b4+ (more )
Structure Level Pattern Image Note
TS28: thymus Present UC Davis_1879807

Specimen UC Davis_1879808: postnatal adult; Slc35b4tm1.1(KOMP)Vlcg/Slc35b4+ (more )
Structure Level Pattern Image Note
TS28: thymus Present UC Davis_1879808

Specimen UC Davis_1879811: postnatal adult; Slc35b4tm1.1(KOMP)Vlcg/Slc35b4+ (more )
Structure Level Pattern Image Note
TS28: stomach Present UC Davis_1879811

Specimen UC Davis_1879812: postnatal adult; Slc35b4tm1.1(KOMP)Vlcg/Slc35b4+ (more )
Structure Level Pattern Image Note
TS28: stomach Present UC Davis_1879812

Specimen UC Davis_1879813: postnatal adult; Slc35b4tm1.1(KOMP)Vlcg/Slc35b4+ (more )
Structure Level Pattern Image Note
TS28: stomach Present UC Davis_1879813

Specimen UC Davis_1879814: postnatal adult; Slc35b4tm1.1(KOMP)Vlcg/Slc35b4+ (more )
Structure Level Pattern Image Note
TS28: ileum Present UC Davis_1879814

Specimen UC Davis_1879815: postnatal adult; Slc35b4tm1.1(KOMP)Vlcg/Slc35b4+ (more )
Structure Level Pattern Image Note
TS28: cecum Present UC Davis_1879815

Specimen UC Davis_1879816: postnatal adult; Slc35b4tm1.1(KOMP)Vlcg/Slc35b4+ (more )
Structure Level Pattern Image Note
TS28: cecum Present UC Davis_1879816

Specimen UC Davis_1879817: postnatal adult; Slc35b4tm1.1(KOMP)Vlcg/Slc35b4+ (more )
Structure Level Pattern Image Note
TS28: pancreas Present UC Davis_1879817

Specimen UC Davis_1879818: postnatal adult; Slc35b4tm1.1(KOMP)Vlcg/Slc35b4+ (more )
Structure Level Pattern Image Note
TS28: metanephros Present UC Davis_1879818 kidney

Specimen UC Davis_1879819: postnatal adult; Slc35b4tm1.1(KOMP)Vlcg/Slc35b4+ (more )
Structure Level Pattern Image Note
TS28: metanephros Present UC Davis_1879819 kidney

Specimen UC Davis_1879820: postnatal adult; Slc35b4tm1.1(KOMP)Vlcg/Slc35b4+ (more )
Structure Level Pattern Image Note
TS28: metanephros Present UC Davis_1879820 kidney

Specimen UC Davis_1879821: postnatal adult; Slc35b4tm1.1(KOMP)Vlcg/Slc35b4+ (more )
Structure Level Pattern Image Note
TS28: adrenal gland Present UC Davis_1879821

Specimen UC Davis_1879822: postnatal adult; Slc35b4tm1.1(KOMP)Vlcg/Slc35b4+ (more )
Structure Level Pattern Image Note
TS28: pituitary gland Present UC Davis_1879822

Specimen UC Davis_1879823: postnatal adult; Slc35b4tm1.1(KOMP)Vlcg/Slc35b4+ (more )
Structure Level Pattern Image Note
TS28: spinal cord Present UC Davis_1879823

Specimen UC Davis_1879824: postnatal adult; Slc35b4tm1.1(KOMP)Vlcg/Slc35b4+ (more )
Structure Level Pattern Image Note
TS28: eye Present UC Davis_1879824

Specimen UC Davis_1879825: postnatal adult; Slc35b4tm1.1(KOMP)Vlcg/Slc35b4+ (more )
Structure Level Pattern Image Note
TS28: olfactory lobe Present UC Davis_1879825

Specimen UC Davis_1879828: postnatal adult; Slc35b4tm1.1(KOMP)Vlcg/Slc35b4+ (more )
Structure Level Pattern Image Note
TS28: midbrain Present UC Davis_1879828

Specimen UC Davis_1879829: postnatal adult; Slc35b4tm1.1(KOMP)Vlcg/Slc35b4+ (more )
Structure Level Pattern Image Note
TS28: midbrain Present UC Davis_1879829

Specimen UC Davis_1879832: postnatal adult; Slc35b4tm1.1(KOMP)Vlcg/Slc35b4+ (more )
Structure Level Pattern Image Note
TS28: cerebellum Present UC Davis_1879832

Specimen UC Davis_1879833: postnatal adult; Slc35b4tm1.1(KOMP)Vlcg/Slc35b4+ (more )
Structure Level Pattern Image Note
TS28: trigeminal nerve Present UC Davis_1879833

Specimen UC Davis_1879834: postnatal adult; Slc35b4tm1.1(KOMP)Vlcg/Slc35b4+ (more )
Structure Level Pattern Image Note
TS28: trigeminal nerve Present UC Davis_1879834

Specimen UC Davis_1879835: postnatal adult; Slc35b4tm1.1(KOMP)Vlcg/Slc35b4+ (more )
Structure Level Pattern Image Note
TS28: bladder Present UC Davis_1879835

Specimen UC Davis_1879836: postnatal adult; Slc35b4tm1.1(KOMP)Vlcg/Slc35b4+ (more )
Structure Level Pattern Image Note
TS28: bladder Present UC Davis_1879836

Specimen UC Davis_1879837: postnatal adult; Slc35b4tm1.1(KOMP)Vlcg/Slc35b4+ (more )
Structure Level Pattern Image Note
TS28: testis Present UC Davis_1879837

Specimen UC Davis_1879838: postnatal adult; Slc35b4tm1.1(KOMP)Vlcg/Slc35b4+ (more )
Structure Level Pattern Image Note
TS28: epididymis Present UC Davis_1879838

Specimen UC Davis_1879839: postnatal adult; Slc35b4tm1.1(KOMP)Vlcg/Slc35b4+ (more )
Structure Level Pattern Image Note
TS28: epididymis Present UC Davis_1879839

Specimen UC Davis_1879840: postnatal adult; Slc35b4tm1.1(KOMP)Vlcg/Slc35b4+ (more )
Structure Level Pattern Image Note
TS28: prostate gland Present UC Davis_1879840

Specimen UC Davis_1879841: postnatal adult; Slc35b4tm1.1(KOMP)Vlcg/Slc35b4+ (more )
Structure Level Pattern Image Note
TS28: penis Present UC Davis_1879841

Specimen UC Davis_1879842: postnatal adult; Slc35b4tm1.1(KOMP)Vlcg/Slc35b4+ (more )
Structure Level Pattern Image Note
TS28: ductus deferens Present UC Davis_1879842 vas deferens

Specimen UC Davis_1879843: postnatal adult; Slc35b4tm1.1(KOMP)Vlcg/Slc35b4+ (more )
Structure Level Pattern Image Note
TS28: ductus deferens Present UC Davis_1879843 vas deferens

Specimen UC Davis_1879846: postnatal adult; Slc35b4tm1.1(KOMP)Vlcg/Slc35b4+ (more )
Structure Level Pattern Image Note
TS28: seminal vesicle Present UC Davis_1879846 vesicular gland


Contributing Projects:
Mouse Genome Database (MGD), Gene Expression Database (GXD), Mouse Models of Human Cancer database (MMHCdb) (formerly Mouse Tumor Biology (MTB)), Gene Ontology (GO)
Citing These Resources
Funding Information
Warranty Disclaimer, Privacy Notice, Licensing, & Copyright
Send questions and comments to User Support.
last database update
01/20/2026
MGI 6.24
The Jackson Laboratory