About   Help   FAQ
Gene Expression Data
Assay Details
Assay
Reference: J:228563 Koscielny G, et al., The International Mouse Phenotyping Consortium Web Portal, a unified point of access for knockout mice and related phenotyping data. Nucleic Acids Res. 2014 Jan;42(Database issue):D802-9
Assay type: In situ reporter (knock in)
MGI Accession ID: MGI:6692144
Gene symbol: Cavin3
Gene name: caveolae associated 3
Reporter: lacZ
Direct Detection
Results
Specimen UC Davis_1852385: postnatal adult; Cavin3tm1.1(KOMP)Vlcg/Cavin3+ (more )
Structure Level Pattern Image Note
TS28: stomach Present UC Davis_1852385

Specimen UC Davis_1852386: postnatal adult; Cavin3tm1.1(KOMP)Vlcg/Cavin3+ (more )
Structure Level Pattern Image Note
TS28: stomach Present UC Davis_1852386

Specimen UC Davis_1852387: postnatal adult; Cavin3tm1.1(KOMP)Vlcg/Cavin3+ (more )
Structure Level Pattern Image Note
TS28: stomach Present UC Davis_1852387

Specimen UC Davis_1852388: postnatal adult; Cavin3tm1.1(KOMP)Vlcg/Cavin3+ (more )
Structure Level Pattern Image Note
TS28: colon Present UC Davis_1852388

Specimen UC Davis_1852389: postnatal adult; Cavin3tm1.1(KOMP)Vlcg/Cavin3+ (more )
Structure Level Pattern Image Note
TS28: colon Present UC Davis_1852389

Specimen UC Davis_1852390: postnatal adult; Cavin3tm1.1(KOMP)Vlcg/Cavin3+ (more )
Structure Level Pattern Image Note
TS28: spleen Present UC Davis_1852390

Specimen UC Davis_1852391: postnatal adult; Cavin3tm1.1(KOMP)Vlcg/Cavin3+ (more )
Structure Level Pattern Image Note
TS28: spleen Present UC Davis_1852391

Specimen UC Davis_1852392: postnatal adult; Cavin3tm1.1(KOMP)Vlcg/Cavin3+ (more )
Structure Level Pattern Image Note
TS28: metanephros Present UC Davis_1852392 kidney

Specimen UC Davis_1852393: postnatal adult; Cavin3tm1.1(KOMP)Vlcg/Cavin3+ (more )
Structure Level Pattern Image Note
TS28: metanephros Present UC Davis_1852393 kidney

Specimen UC Davis_1852394: postnatal adult; Cavin3tm1.1(KOMP)Vlcg/Cavin3+ (more )
Structure Level Pattern Image Note
TS28: metanephros Present UC Davis_1852394 kidney

Specimen UC Davis_1852395: postnatal adult; Cavin3tm1.1(KOMP)Vlcg/Cavin3+ (more )
Structure Level Pattern Image Note
TS28: quadriceps femoris muscle Present UC Davis_1852395

Specimen UC Davis_1852396: postnatal adult; Cavin3tm1.1(KOMP)Vlcg/Cavin3+ (more )
Structure Level Pattern Image Note
TS28: quadriceps femoris muscle Present UC Davis_1852396

Specimen UC Davis_1852397: postnatal adult; Cavin3tm1.1(KOMP)Vlcg/Cavin3+ (more )
Structure Level Pattern Image Note
TS28: quadriceps femoris muscle Present UC Davis_1852397

Specimen UC Davis_1852398: postnatal adult; Cavin3tm1.1(KOMP)Vlcg/Cavin3+ (more )
Structure Level Pattern Image Note
TS28: tongue Present UC Davis_1852398

Specimen UC Davis_1852399: postnatal adult; Cavin3tm1.1(KOMP)Vlcg/Cavin3+ (more )
Structure Level Pattern Image Note
TS28: tongue Present UC Davis_1852399

Specimen UC Davis_1852400: postnatal adult; Cavin3tm1.1(KOMP)Vlcg/Cavin3+ (more )
Structure Level Pattern Image Note
TS28: tongue Present UC Davis_1852400

Specimen UC Davis_1852401: postnatal adult; Cavin3tm1.1(KOMP)Vlcg/Cavin3+ (more )
Structure Level Pattern Image Note
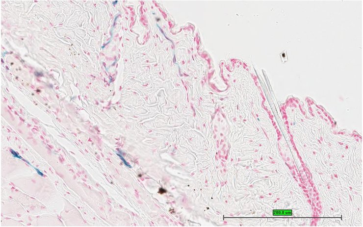
TS28: skin Present UC Davis_1852401

Specimen UC Davis_1852402: postnatal adult; Cavin3tm1.1(KOMP)Vlcg/Cavin3+ (more )
Structure Level Pattern Image Note
TS28: skin Present UC Davis_1852402

Specimen UC Davis_1852403: postnatal adult; Cavin3tm1.1(KOMP)Vlcg/Cavin3+ (more )
Structure Level Pattern Image Note
TS28: skin Present UC Davis_1852403

Specimen UC Davis_1852405: postnatal adult; Cavin3tm1.1(KOMP)Vlcg/Cavin3+ (more )
Structure Level Pattern Image Note
TS28: midbrain Present UC Davis_1852405

Specimen UC Davis_1852406: postnatal adult; Cavin3tm1.1(KOMP)Vlcg/Cavin3+ (more )
Structure Level Pattern Image Note
TS28: ovary Present UC Davis_1852406

Specimen UC Davis_1852407: postnatal adult; Cavin3tm1.1(KOMP)Vlcg/Cavin3+ (more )
Structure Level Pattern Image Note
TS28: ovary Present UC Davis_1852407

Specimen UC Davis_1852408: postnatal adult; Cavin3tm1.1(KOMP)Vlcg/Cavin3+ (more )
Structure Level Pattern Image Note
TS28: uterus Present UC Davis_1852408

Specimen UC Davis_1852409: postnatal adult; Cavin3tm1.1(KOMP)Vlcg/Cavin3+ (more )
Structure Level Pattern Image Note
TS28: uterus Present UC Davis_1852409

Specimen UC Davis_1852410: postnatal adult; Cavin3tm1.1(KOMP)Vlcg/Cavin3+ (more )
Structure Level Pattern Image Note
TS28: uterus Present UC Davis_1852410

Specimen UC Davis_1852411: postnatal adult; Cavin3tm1.1(KOMP)Vlcg/Cavin3+ (more )
Structure Level Pattern Image Note
TS28: vagina Present UC Davis_1852411

Specimen UC Davis_1852412: postnatal adult; Cavin3tm1.1(KOMP)Vlcg/Cavin3+ (more )
Structure Level Pattern Image Note
TS28: vagina Present UC Davis_1852412

Specimen UC Davis_1852413: postnatal adult; Cavin3tm1.1(KOMP)Vlcg/Cavin3+ (more )
Structure Level Pattern Image Note
TS28: vagina Present UC Davis_1852413

Specimen UC Davis_1852436: postnatal adult; Cavin3tm1.1(KOMP)Vlcg/Cavin3+ (more )
Structure Level Pattern Image Note
TS28: mammary gland Present UC Davis_1852436

Specimen UC Davis_1852437: postnatal adult; Cavin3tm1.1(KOMP)Vlcg/Cavin3+ (more )
Structure Level Pattern Image Note
TS28: mammary gland Present UC Davis_1852437

Specimen UC Davis_1852438: postnatal adult; Cavin3tm1.1(KOMP)Vlcg/Cavin3+ (more )
Structure Level Pattern Image Note
TS28: bladder Present UC Davis_1852438

Specimen UC Davis_1852439: postnatal adult; Cavin3tm1.1(KOMP)Vlcg/Cavin3+ (more )
Structure Level Pattern Image Note
TS28: ovary Present UC Davis_1852439

Specimen UC Davis_1852440: postnatal adult; Cavin3tm1.1(KOMP)Vlcg/Cavin3+ (more )
Structure Level Pattern Image Note
TS28: oviduct Present UC Davis_1852440

Specimen UC Davis_1852441: postnatal adult; Cavin3tm1.1(KOMP)Vlcg/Cavin3+ (more )
Structure Level Pattern Image Note
TS28: uterus Present UC Davis_1852441

Specimen UC Davis_1852348: postnatal adult; Cavin3tm1.1(KOMP)Vlcg/Cavin3+ (more )
Structure Level Pattern Image Note
TS28: ileum Present UC Davis_1852348

Specimen UC Davis_1852349: postnatal adult; Cavin3tm1.1(KOMP)Vlcg/Cavin3+ (more )
Structure Level Pattern Image Note
TS28: ileum Present UC Davis_1852349

Specimen UC Davis_1852350: postnatal adult; Cavin3tm1.1(KOMP)Vlcg/Cavin3+ (more )
Structure Level Pattern Image Note
TS28: cecum Present UC Davis_1852350

Specimen UC Davis_1852351: postnatal adult; Cavin3tm1.1(KOMP)Vlcg/Cavin3+ (more )
Structure Level Pattern Image Note
TS28: spleen Present UC Davis_1852351

Specimen UC Davis_1852352: postnatal adult; Cavin3tm1.1(KOMP)Vlcg/Cavin3+ (more )
Structure Level Pattern Image Note
TS28: spleen Present UC Davis_1852352

Specimen UC Davis_1852353: postnatal adult; Cavin3tm1.1(KOMP)Vlcg/Cavin3+ (more )
Structure Level Pattern Image Note
TS28: spleen Present UC Davis_1852353

Specimen UC Davis_1852354: postnatal adult; Cavin3tm1.1(KOMP)Vlcg/Cavin3+ (more )
Structure Level Pattern Image Note
TS28: metanephros Present UC Davis_1852354 kidney

Specimen UC Davis_1852355: postnatal adult; Cavin3tm1.1(KOMP)Vlcg/Cavin3+ (more )
Structure Level Pattern Image Note
TS28: quadriceps femoris muscle Present UC Davis_1852355

Specimen UC Davis_1852356: postnatal adult; Cavin3tm1.1(KOMP)Vlcg/Cavin3+ (more )
Structure Level Pattern Image Note
TS28: quadriceps femoris muscle Present UC Davis_1852356

Specimen UC Davis_1852357: postnatal adult; Cavin3tm1.1(KOMP)Vlcg/Cavin3+ (more )
Structure Level Pattern Image Note
TS28: tongue Present UC Davis_1852357

Specimen UC Davis_1852358: postnatal adult; Cavin3tm1.1(KOMP)Vlcg/Cavin3+ (more )
Structure Level Pattern Image Note
TS28: tongue Present UC Davis_1852358

Specimen UC Davis_1852359: postnatal adult; Cavin3tm1.1(KOMP)Vlcg/Cavin3+ (more )
Structure Level Pattern Image Note
TS28: tongue Present UC Davis_1852359

Specimen UC Davis_1852360: postnatal adult; Cavin3tm1.1(KOMP)Vlcg/Cavin3+ (more )
Structure Level Pattern Image Note
TS28: tongue Present UC Davis_1852360

Specimen UC Davis_1852361: postnatal adult; Cavin3tm1.1(KOMP)Vlcg/Cavin3+ (more )
Structure Level Pattern Image Note
TS28: skin Present UC Davis_1852361

Specimen UC Davis_1852362: postnatal adult; Cavin3tm1.1(KOMP)Vlcg/Cavin3+ (more )
Structure Level Pattern Image Note
TS28: skin Present UC Davis_1852362

Specimen UC Davis_1852363: postnatal adult; Cavin3tm1.1(KOMP)Vlcg/Cavin3+ (more )
Structure Level Pattern Image Note
TS28: skin Present UC Davis_1852363

Specimen UC Davis_1852366: postnatal adult; Cavin3tm1.1(KOMP)Vlcg/Cavin3+ (more )
Structure Level Pattern Image Note
TS28: midbrain Present UC Davis_1852366

Specimen UC Davis_1852368: postnatal adult; Cavin3tm1.1(KOMP)Vlcg/Cavin3+ (more )
Structure Level Pattern Image Note
TS28: bladder Present UC Davis_1852368

Specimen UC Davis_1852369: postnatal adult; Cavin3tm1.1(KOMP)Vlcg/Cavin3+ (more )
Structure Level Pattern Image Note
TS28: bladder Present UC Davis_1852369

Specimen UC Davis_1852370: postnatal adult; Cavin3tm1.1(KOMP)Vlcg/Cavin3+ (more )
Structure Level Pattern Image Note
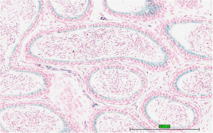
TS28: testis Present UC Davis_1852370

Specimen UC Davis_1852371: postnatal adult; Cavin3tm1.1(KOMP)Vlcg/Cavin3+ (more )
Structure Level Pattern Image Note
TS28: epididymis Present UC Davis_1852371

Specimen UC Davis_1852372: postnatal adult; Cavin3tm1.1(KOMP)Vlcg/Cavin3+ (more )
Structure Level Pattern Image Note
TS28: epididymis Present UC Davis_1852372

Specimen UC Davis_1852373: postnatal adult; Cavin3tm1.1(KOMP)Vlcg/Cavin3+ (more )
Structure Level Pattern Image Note
TS28: epididymis Present UC Davis_1852373

Specimen UC Davis_1852374: postnatal adult; Cavin3tm1.1(KOMP)Vlcg/Cavin3+ (more )
Structure Level Pattern Image Note
TS28: penis Present UC Davis_1852374

Specimen UC Davis_1852375: postnatal adult; Cavin3tm1.1(KOMP)Vlcg/Cavin3+ (more )
Structure Level Pattern Image Note
TS28: penis Present UC Davis_1852375

Specimen UC Davis_1852376: postnatal adult; Cavin3tm1.1(KOMP)Vlcg/Cavin3+ (more )
Structure Level Pattern Image Note
TS28: penis Present UC Davis_1852376

Specimen UC Davis_1852377: postnatal adult; Cavin3tm1.1(KOMP)Vlcg/Cavin3+ (more )
Structure Level Pattern Image Note
TS28: penis Present UC Davis_1852377

Specimen UC Davis_1852378: postnatal adult; Cavin3tm1.1(KOMP)Vlcg/Cavin3+ (more )
Structure Level Pattern Image Note
TS28: ductus deferens Present UC Davis_1852378 vas deferens

Specimen UC Davis_1852379: postnatal adult; Cavin3tm1.1(KOMP)Vlcg/Cavin3+ (more )
Structure Level Pattern Image Note
TS28: ductus deferens Present UC Davis_1852379 vas deferens

Specimen UC Davis_1852420: postnatal adult; Cavin3tm1.1(KOMP)Vlcg/Cavin3+ (more )
Structure Level Pattern Image Note
TS28: tongue Present UC Davis_1852420

Specimen UC Davis_1852421: postnatal adult; Cavin3tm1.1(KOMP)Vlcg/Cavin3+ (more )
Structure Level Pattern Image Note
TS28: spleen Present UC Davis_1852421

Specimen UC Davis_1852422: postnatal adult; Cavin3tm1.1(KOMP)Vlcg/Cavin3+ (more )
Structure Level Pattern Image Note
TS28: olfactory lobe Present UC Davis_1852422

Specimen UC Davis_1852425: postnatal adult; Cavin3tm1.1(KOMP)Vlcg/Cavin3+ (more )
Structure Level Pattern Image Note
TS28: midbrain Present UC Davis_1852425

Specimen UC Davis_1852427: postnatal adult; Cavin3tm1.1(KOMP)Vlcg/Cavin3+ (more )
Structure Level Pattern Image Note
TS28: cerebellum Present UC Davis_1852427

Specimen UC Davis_1852428: postnatal adult; Cavin3tm1.1(KOMP)Vlcg/Cavin3+ (more )
Structure Level Pattern Image Note
TS28: brain Present UC Davis_1852428

Specimen UC Davis_1852429: postnatal adult; Cavin3tm1.1(KOMP)Vlcg/Cavin3+ (more )
Structure Level Pattern Image Note
TS28: metanephros Present UC Davis_1852429 kidney

Specimen UC Davis_1852430: postnatal adult; Cavin3tm1.1(KOMP)Vlcg/Cavin3+ (more )
Structure Level Pattern Image Note
TS28: adrenal gland Present UC Davis_1852430

Specimen UC Davis_1852431: postnatal adult; Cavin3tm1.1(KOMP)Vlcg/Cavin3+ (more )
Structure Level Pattern Image Note
TS28: thyroid gland Present UC Davis_1852431

Specimen UC Davis_1852432: postnatal adult; Cavin3tm1.1(KOMP)Vlcg/Cavin3+ (more )
Structure Level Pattern Image Note
TS28: stomach Present UC Davis_1852432

Specimen UC Davis_1852433: postnatal adult; Cavin3tm1.1(KOMP)Vlcg/Cavin3+ (more )
Structure Level Pattern Image Note
TS28: mesenteric lymph node Present UC Davis_1852433


Contributing Projects:
Mouse Genome Database (MGD), Gene Expression Database (GXD), Mouse Models of Human Cancer database (MMHCdb) (formerly Mouse Tumor Biology (MTB)), Gene Ontology (GO)
Citing These Resources
Funding Information
Warranty Disclaimer, Privacy Notice, Licensing, & Copyright
Send questions and comments to User Support.
last database update
03/24/2026
MGI 6.24
The Jackson Laboratory