About   Help   FAQ
Gene Expression Data
Assay Details
Assay
Reference: J:228563 Koscielny G, et al., The International Mouse Phenotyping Consortium Web Portal, a unified point of access for knockout mice and related phenotyping data. Nucleic Acids Res. 2014 Jan;42(Database issue):D802-9
Assay type: In situ reporter (knock in)
MGI Accession ID: MGI:6691945
Gene symbol: Dlg5
Gene name: discs large MAGUK scaffold protein 5
Reporter: lacZ
Direct Detection
Results
Specimen UC Davis_1879475: postnatal adult; Dlg5tm1b(EUCOMM)Wtsi/Dlg5+ (more )
Structure Level Pattern Image Note
TS28: submandibular gland Present UC Davis_1879475

Specimen UC Davis_1879476: postnatal adult; Dlg5tm1b(EUCOMM)Wtsi/Dlg5+ (more )
Structure Level Pattern Image Note
TS28: sublingual gland Present UC Davis_1879476

Specimen UC Davis_1879477: postnatal adult; Dlg5tm1b(EUCOMM)Wtsi/Dlg5+ (more )
Structure Level Pattern Image Note
TS28: thymus Present UC Davis_1879477

Specimen UC Davis_1879479: postnatal adult; Dlg5tm1b(EUCOMM)Wtsi/Dlg5+ (more )
Structure Level Pattern Image Note
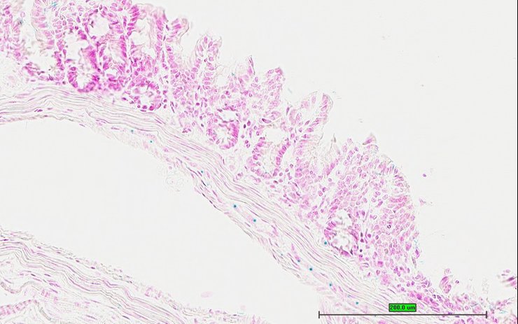
TS28: stomach Present UC Davis_1879479

Specimen UC Davis_1879480: postnatal adult; Dlg5tm1b(EUCOMM)Wtsi/Dlg5+ (more )
Structure Level Pattern Image Note
TS28: stomach Present UC Davis_1879480

Specimen UC Davis_1879481: postnatal adult; Dlg5tm1b(EUCOMM)Wtsi/Dlg5+ (more )
Structure Level Pattern Image Note
TS28: jejunum Present UC Davis_1879481

Specimen UC Davis_1879482: postnatal adult; Dlg5tm1b(EUCOMM)Wtsi/Dlg5+ (more )
Structure Level Pattern Image Note
TS28: ileum Present UC Davis_1879482

Specimen UC Davis_1879483: postnatal adult; Dlg5tm1b(EUCOMM)Wtsi/Dlg5+ (more )
Structure Level Pattern Image Note
TS28: colon Present UC Davis_1879483

Specimen UC Davis_1879484: postnatal adult; Dlg5tm1b(EUCOMM)Wtsi/Dlg5+ (more )
Structure Level Pattern Image Note
TS28: colon Present UC Davis_1879484

Specimen UC Davis_1879485: postnatal adult; Dlg5tm1b(EUCOMM)Wtsi/Dlg5+ (more )
Structure Level Pattern Image Note
TS28: cecum Present UC Davis_1879485

Specimen UC Davis_1879486: postnatal adult; Dlg5tm1b(EUCOMM)Wtsi/Dlg5+ (more )
Structure Level Pattern Image Note
TS28: spleen Present UC Davis_1879486

Specimen UC Davis_1879487: postnatal adult; Dlg5tm1b(EUCOMM)Wtsi/Dlg5+ (more )
Structure Level Pattern Image Note
TS28: metanephros Present UC Davis_1879487 kidney

Specimen UC Davis_1879488: postnatal adult; Dlg5tm1b(EUCOMM)Wtsi/Dlg5+ (more )
Structure Level Pattern Image Note
TS28: metanephros Present UC Davis_1879488 kidney

Specimen UC Davis_1879489: postnatal adult; Dlg5tm1b(EUCOMM)Wtsi/Dlg5+ (more )
Structure Level Pattern Image Note
TS28: quadriceps femoris muscle Present UC Davis_1879489

Specimen UC Davis_1879490: postnatal adult; Dlg5tm1b(EUCOMM)Wtsi/Dlg5+ (more )
Structure Level Pattern Image Note
TS28: tongue Present UC Davis_1879490

Specimen UC Davis_1879491: postnatal adult; Dlg5tm1b(EUCOMM)Wtsi/Dlg5+ (more )
Structure Level Pattern Image Note
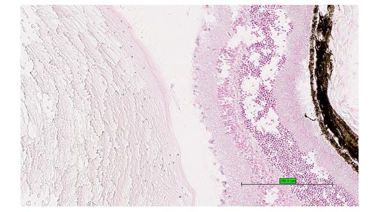
TS28: eye Present UC Davis_1879491

Specimen UC Davis_1879492: postnatal adult; Dlg5tm1b(EUCOMM)Wtsi/Dlg5+ (more )
Structure Level Pattern Image Note
TS28: eye Present UC Davis_1879492

Specimen UC Davis_1879493: postnatal adult; Dlg5tm1b(EUCOMM)Wtsi/Dlg5+ (more )
Structure Level Pattern Image Note
TS28: Harderian gland Present UC Davis_1879493

Specimen UC Davis_1879494: postnatal adult; Dlg5tm1b(EUCOMM)Wtsi/Dlg5+ (more )
Structure Level Pattern Image Note
TS28: Harderian gland Present UC Davis_1879494

Specimen UC Davis_1879495: postnatal adult; Dlg5tm1b(EUCOMM)Wtsi/Dlg5+ (more )
Structure Level Pattern Image Note
TS28: gonadal fat pad Present UC Davis_1879495

Specimen UC Davis_1879496: postnatal adult; Dlg5tm1b(EUCOMM)Wtsi/Dlg5+ (more )
Structure Level Pattern Image Note
TS28: mesenteric adipose tissue Present UC Davis_1879496

Specimen UC Davis_1879497: postnatal adult; Dlg5tm1b(EUCOMM)Wtsi/Dlg5+ (more )
Structure Level Pattern Image Note
TS28: skin Present UC Davis_1879497

Specimen UC Davis_1879498: postnatal adult; Dlg5tm1b(EUCOMM)Wtsi/Dlg5+ (more )
Structure Level Pattern Image Note
TS28: skin Present UC Davis_1879498

Specimen UC Davis_1879499: postnatal adult; Dlg5tm1b(EUCOMM)Wtsi/Dlg5+ (more )
Structure Level Pattern Image Note
TS28: olfactory lobe Present UC Davis_1879499

Specimen UC Davis_1879502: postnatal adult; Dlg5tm1b(EUCOMM)Wtsi/Dlg5+ (more )
Structure Level Pattern Image Note
TS28: midbrain Present UC Davis_1879502

Specimen UC Davis_1879504: postnatal adult; Dlg5tm1b(EUCOMM)Wtsi/Dlg5+ (more )
Structure Level Pattern Image Note
TS28: ovary Present UC Davis_1879504

Specimen UC Davis_1879505: postnatal adult; Dlg5tm1b(EUCOMM)Wtsi/Dlg5+ (more )
Structure Level Pattern Image Note
TS28: oviduct Present UC Davis_1879505

Specimen UC Davis_1879506: postnatal adult; Dlg5tm1b(EUCOMM)Wtsi/Dlg5+ (more )
Structure Level Pattern Image Note
TS28: uterus Present UC Davis_1879506

Specimen UC Davis_1879507: postnatal adult; Dlg5tm1b(EUCOMM)Wtsi/Dlg5+ (more )
Structure Level Pattern Image Note
TS28: uterus Present UC Davis_1879507

Specimen UC Davis_1879508: postnatal adult; Dlg5tm1b(EUCOMM)Wtsi/Dlg5+ (more )
Structure Level Pattern Image Note
TS28: vagina Present UC Davis_1879508

Specimen UC Davis_1879509: postnatal adult; Dlg5tm1b(EUCOMM)Wtsi/Dlg5+ (more )
Structure Level Pattern Image Note
TS28: vagina Present UC Davis_1879509

Specimen UC Davis_1879510: postnatal adult; Dlg5tm1b(EUCOMM)Wtsi/Dlg5+ (more )
Structure Level Pattern Image Note
TS28: bladder Present UC Davis_1879510

Specimen UC Davis_1879511: postnatal adult; Dlg5tm1b(EUCOMM)Wtsi/Dlg5+ (more )
Structure Level Pattern Image Note
TS28: bladder Present UC Davis_1879511

Specimen UC Davis_1879514: postnatal adult; Dlg5tm1b(EUCOMM)Wtsi/Dlg5+ (more )
Structure Level Pattern Image Note
TS28: mammary gland Present UC Davis_1879514

Specimen UC Davis_1879515: postnatal adult; Dlg5tm1b(EUCOMM)Wtsi/Dlg5+ (more )
Structure Level Pattern Image Note
TS28: submandibular gland Present UC Davis_1879515

Specimen UC Davis_1879516: postnatal adult; Dlg5tm1b(EUCOMM)Wtsi/Dlg5+ (more )
Structure Level Pattern Image Note
TS28: sublingual gland Present UC Davis_1879516

Specimen UC Davis_1879517: postnatal adult; Dlg5tm1b(EUCOMM)Wtsi/Dlg5+ (more )
Structure Level Pattern Image Note
TS28: parotid gland Present UC Davis_1879517

Specimen UC Davis_1879518: postnatal adult; Dlg5tm1b(EUCOMM)Wtsi/Dlg5+ (more )
Structure Level Pattern Image Note
TS28: esophagus Present UC Davis_1879518

Specimen UC Davis_1879521: postnatal adult; Dlg5tm1b(EUCOMM)Wtsi/Dlg5+ (more )
Structure Level Pattern Image Note
TS28: lung Present UC Davis_1879521

Specimen UC Davis_1879522: postnatal adult; Dlg5tm1b(EUCOMM)Wtsi/Dlg5+ (more )
Structure Level Pattern Image Note
TS28: thymus Present UC Davis_1879522

Specimen UC Davis_1879525: postnatal adult; Dlg5tm1b(EUCOMM)Wtsi/Dlg5+ (more )
Structure Level Pattern Image Note
TS28: stomach Present UC Davis_1879525

Specimen UC Davis_1879526: postnatal adult; Dlg5tm1b(EUCOMM)Wtsi/Dlg5+ (more )
Structure Level Pattern Image Note
TS28: stomach Present UC Davis_1879526

Specimen UC Davis_1879527: postnatal adult; Dlg5tm1b(EUCOMM)Wtsi/Dlg5+ (more )
Structure Level Pattern Image Note
TS28: stomach Present UC Davis_1879527

Specimen UC Davis_1879528: postnatal adult; Dlg5tm1b(EUCOMM)Wtsi/Dlg5+ (more )
Structure Level Pattern Image Note
TS28: duodenum Present UC Davis_1879528

Specimen UC Davis_1879529: postnatal adult; Dlg5tm1b(EUCOMM)Wtsi/Dlg5+ (more )
Structure Level Pattern Image Note
TS28: jejunum Present UC Davis_1879529

Specimen UC Davis_1879530: postnatal adult; Dlg5tm1b(EUCOMM)Wtsi/Dlg5+ (more )
Structure Level Pattern Image Note
TS28: ileum Present UC Davis_1879530

Specimen UC Davis_1879531: postnatal adult; Dlg5tm1b(EUCOMM)Wtsi/Dlg5+ (more )
Structure Level Pattern Image Note
TS28: colon Present UC Davis_1879531

Specimen UC Davis_1879532: postnatal adult; Dlg5tm1b(EUCOMM)Wtsi/Dlg5+ (more )
Structure Level Pattern Image Note
TS28: colon Present UC Davis_1879532

Specimen UC Davis_1879533: postnatal adult; Dlg5tm1b(EUCOMM)Wtsi/Dlg5+ (more )
Structure Level Pattern Image Note
TS28: spleen Present UC Davis_1879533

Specimen UC Davis_1879534: postnatal adult; Dlg5tm1b(EUCOMM)Wtsi/Dlg5+ (more )
Structure Level Pattern Image Note
TS28: spleen Present UC Davis_1879534

Specimen UC Davis_1879535: postnatal adult; Dlg5tm1b(EUCOMM)Wtsi/Dlg5+ (more )
Structure Level Pattern Image Note
TS28: metanephros Present UC Davis_1879535 kidney

Specimen UC Davis_1879536: postnatal adult; Dlg5tm1b(EUCOMM)Wtsi/Dlg5+ (more )
Structure Level Pattern Image Note
TS28: metanephros Present UC Davis_1879536 kidney

Specimen UC Davis_1879537: postnatal adult; Dlg5tm1b(EUCOMM)Wtsi/Dlg5+ (more )
Structure Level Pattern Image Note
TS28: metanephros Present UC Davis_1879537 kidney

Specimen UC Davis_1879538: postnatal adult; Dlg5tm1b(EUCOMM)Wtsi/Dlg5+ (more )
Structure Level Pattern Image Note
TS28: quadriceps femoris muscle Present UC Davis_1879538

Specimen UC Davis_1879539: postnatal adult; Dlg5tm1b(EUCOMM)Wtsi/Dlg5+ (more )
Structure Level Pattern Image Note
TS28: tongue Present UC Davis_1879539

Specimen UC Davis_1879540: postnatal adult; Dlg5tm1b(EUCOMM)Wtsi/Dlg5+ (more )
Structure Level Pattern Image Note
TS28: tongue Present UC Davis_1879540

Specimen UC Davis_1879541: postnatal adult; Dlg5tm1b(EUCOMM)Wtsi/Dlg5+ (more )
Structure Level Pattern Image Note
TS28: adrenal gland Present UC Davis_1879541

Specimen UC Davis_1879542: postnatal adult; Dlg5tm1b(EUCOMM)Wtsi/Dlg5+ (more )
Structure Level Pattern Image Note
TS28: pituitary gland Present UC Davis_1879542

Specimen UC Davis_1879543: postnatal adult; Dlg5tm1b(EUCOMM)Wtsi/Dlg5+ (more )
Structure Level Pattern Image Note
TS28: spinal cord Present UC Davis_1879543

Specimen UC Davis_1879544: postnatal adult; Dlg5tm1b(EUCOMM)Wtsi/Dlg5+ (more )
Structure Level Pattern Image Note
TS28: eye Present UC Davis_1879544

Specimen UC Davis_1879545: postnatal adult; Dlg5tm1b(EUCOMM)Wtsi/Dlg5+ (more )
Structure Level Pattern Image Note
TS28: Harderian gland Present UC Davis_1879545

Specimen UC Davis_1879546: postnatal adult; Dlg5tm1b(EUCOMM)Wtsi/Dlg5+ (more )
Structure Level Pattern Image Note
TS28: skin Present UC Davis_1879546

Specimen UC Davis_1879547: postnatal adult; Dlg5tm1b(EUCOMM)Wtsi/Dlg5+ (more )
Structure Level Pattern Image Note
TS28: skin Present UC Davis_1879547

Specimen UC Davis_1879548: postnatal adult; Dlg5tm1b(EUCOMM)Wtsi/Dlg5+ (more )
Structure Level Pattern Image Note
TS28: olfactory lobe Present UC Davis_1879548

Specimen UC Davis_1879550: postnatal adult; Dlg5tm1b(EUCOMM)Wtsi/Dlg5+ (more )
Structure Level Pattern Image Note
TS28: midbrain Present UC Davis_1879550

Specimen UC Davis_1879552: postnatal adult; Dlg5tm1b(EUCOMM)Wtsi/Dlg5+ (more )
Structure Level Pattern Image Note
TS28: cerebellum Present UC Davis_1879552

Specimen UC Davis_1879553: postnatal adult; Dlg5tm1b(EUCOMM)Wtsi/Dlg5+ (more )
Structure Level Pattern Image Note
TS28: trigeminal nerve Present UC Davis_1879553

Specimen UC Davis_1879554: postnatal adult; Dlg5tm1b(EUCOMM)Wtsi/Dlg5+ (more )
Structure Level Pattern Image Note
TS28: bladder Present UC Davis_1879554

Specimen UC Davis_1879555: postnatal adult; Dlg5tm1b(EUCOMM)Wtsi/Dlg5+ (more )
Structure Level Pattern Image Note
TS28: bladder Present UC Davis_1879555

Specimen UC Davis_1879556: postnatal adult; Dlg5tm1b(EUCOMM)Wtsi/Dlg5+ (more )
Structure Level Pattern Image Note
TS28: testis Present UC Davis_1879556

Specimen UC Davis_1879557: postnatal adult; Dlg5tm1b(EUCOMM)Wtsi/Dlg5+ (more )
Structure Level Pattern Image Note
TS28: epididymis Present UC Davis_1879557

Specimen UC Davis_1879558: postnatal adult; Dlg5tm1b(EUCOMM)Wtsi/Dlg5+ (more )
Structure Level Pattern Image Note
TS28: epididymis Present UC Davis_1879558

Specimen UC Davis_1879559: postnatal adult; Dlg5tm1b(EUCOMM)Wtsi/Dlg5+ (more )
Structure Level Pattern Image Note
TS28: prostate gland Present UC Davis_1879559

Specimen UC Davis_1879560: postnatal adult; Dlg5tm1b(EUCOMM)Wtsi/Dlg5+ (more )
Structure Level Pattern Image Note
TS28: prostate gland Present UC Davis_1879560

Specimen UC Davis_1879561: postnatal adult; Dlg5tm1b(EUCOMM)Wtsi/Dlg5+ (more )
Structure Level Pattern Image Note
TS28: penis Present UC Davis_1879561

Specimen UC Davis_1879562: postnatal adult; Dlg5tm1b(EUCOMM)Wtsi/Dlg5+ (more )
Structure Level Pattern Image Note
TS28: penis Present UC Davis_1879562

Specimen UC Davis_1879565: postnatal adult; Dlg5tm1b(EUCOMM)Wtsi/Dlg5+ (more )
Structure Level Pattern Image Note
TS28: ductus deferens Present UC Davis_1879565 vas deferens

Specimen UC Davis_1879566: postnatal adult; Dlg5tm1b(EUCOMM)Wtsi/Dlg5+ (more )
Structure Level Pattern Image Note
TS28: ductus deferens Present UC Davis_1879566 vas deferens

Specimen UC Davis_1879568: postnatal adult; Dlg5tm1b(EUCOMM)Wtsi/Dlg5+ (more )
Structure Level Pattern Image Note
TS28: seminal vesicle Present UC Davis_1879568 vesicular gland

Specimen UC Davis_1879569: postnatal adult; Dlg5tm1b(EUCOMM)Wtsi/Dlg5+ (more )
Structure Level Pattern Image Note
TS28: seminal vesicle Present UC Davis_1879569 vesicular gland


Contributing Projects:
Mouse Genome Database (MGD), Gene Expression Database (GXD), Mouse Models of Human Cancer database (MMHCdb) (formerly Mouse Tumor Biology (MTB)), Gene Ontology (GO)
Citing These Resources
Funding Information
Warranty Disclaimer, Privacy Notice, Licensing, & Copyright
Send questions and comments to User Support.
last database update
10/07/2025
MGI 6.24
The Jackson Laboratory