About   Help   FAQ
Gene Expression Data
Assay Details
Assay
Reference: J:228563 Koscielny G, et al., The International Mouse Phenotyping Consortium Web Portal, a unified point of access for knockout mice and related phenotyping data. Nucleic Acids Res. 2014 Jan;42(Database issue):D802-9
Assay type: In situ reporter (knock in)
MGI Accession ID: MGI:6691868
Gene symbol: Ctdspl
Gene name: CTD small phosphatase like
Reporter: lacZ
Direct Detection
Results
Specimen UC Davis_1862803: postnatal adult; Ctdspltm1.1(KOMP)Mbp/Ctdspl+ (more )
Structure Level Pattern Image Note
TS28: submandibular gland Present UC Davis_1862803

Specimen UC Davis_1862804: postnatal adult; Ctdspltm1.1(KOMP)Mbp/Ctdspl+ (more )
Structure Level Pattern Image Note
TS28: submandibular gland Present UC Davis_1862804

Specimen UC Davis_1862805: postnatal adult; Ctdspltm1.1(KOMP)Mbp/Ctdspl+ (more )
Structure Level Pattern Image Note
TS28: submandibular gland Present UC Davis_1862805

Specimen UC Davis_1862806: postnatal adult; Ctdspltm1.1(KOMP)Mbp/Ctdspl+ (more )
Structure Level Pattern Image Note
TS28: sublingual gland Present UC Davis_1862806

Specimen UC Davis_1862807: postnatal adult; Ctdspltm1.1(KOMP)Mbp/Ctdspl+ (more )
Structure Level Pattern Image Note
TS28: sublingual gland Present UC Davis_1862807

Specimen UC Davis_1862808: postnatal adult; Ctdspltm1.1(KOMP)Mbp/Ctdspl+ (more )
Structure Level Pattern Image Note
TS28: sublingual gland Present UC Davis_1862808

Specimen UC Davis_1862809: postnatal adult; Ctdspltm1.1(KOMP)Mbp/Ctdspl+ (more )
Structure Level Pattern Image Note
TS28: trachea Present UC Davis_1862809

Specimen UC Davis_1862810: postnatal adult; Ctdspltm1.1(KOMP)Mbp/Ctdspl+ (more )
Structure Level Pattern Image Note
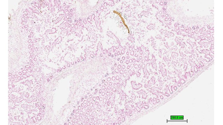
TS28: duodenum Present UC Davis_1862810

Specimen UC Davis_1862811: postnatal adult; Ctdspltm1.1(KOMP)Mbp/Ctdspl+ (more )
Structure Level Pattern Image Note
TS28: ileum Present UC Davis_1862811

Specimen UC Davis_1862812: postnatal adult; Ctdspltm1.1(KOMP)Mbp/Ctdspl+ (more )
Structure Level Pattern Image Note
TS28: ileum Present UC Davis_1862812

Specimen UC Davis_1862813: postnatal adult; Ctdspltm1.1(KOMP)Mbp/Ctdspl+ (more )
Structure Level Pattern Image Note
TS28: ileum Present UC Davis_1862813

Specimen UC Davis_1862814: postnatal adult; Ctdspltm1.1(KOMP)Mbp/Ctdspl+ (more )
Structure Level Pattern Image Note
TS28: ileum Present UC Davis_1862814

Specimen UC Davis_1862815: postnatal adult; Ctdspltm1.1(KOMP)Mbp/Ctdspl+ (more )
Structure Level Pattern Image Note
TS28: colon Absent UC Davis_1862815

Specimen UC Davis_1862816: postnatal adult; Ctdspltm1.1(KOMP)Mbp/Ctdspl+ (more )
Structure Level Pattern Image Note
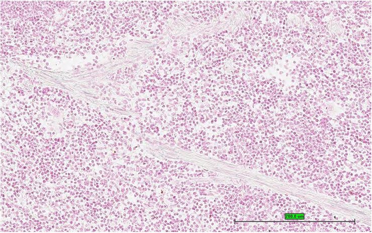
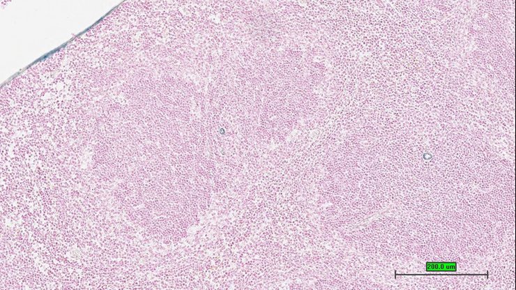
TS28: spleen Present UC Davis_1862816

Specimen UC Davis_1862817: postnatal adult; Ctdspltm1.1(KOMP)Mbp/Ctdspl+ (more )
Structure Level Pattern Image Note
TS28: spleen Present UC Davis_1862817

Specimen UC Davis_1862818: postnatal adult; Ctdspltm1.1(KOMP)Mbp/Ctdspl+ (more )
Structure Level Pattern Image Note
TS28: spleen Present UC Davis_1862818

Specimen UC Davis_1862819: postnatal adult; Ctdspltm1.1(KOMP)Mbp/Ctdspl+ (more )
Structure Level Pattern Image Note
TS28: metanephros Present UC Davis_1862819 kidney

Specimen UC Davis_1862820: postnatal adult; Ctdspltm1.1(KOMP)Mbp/Ctdspl+ (more )
Structure Level Pattern Image Note
TS28: metanephros Present UC Davis_1862820 kidney

Specimen UC Davis_1862821: postnatal adult; Ctdspltm1.1(KOMP)Mbp/Ctdspl+ (more )
Structure Level Pattern Image Note
TS28: metanephros Present UC Davis_1862821 kidney

Specimen UC Davis_1862822: postnatal adult; Ctdspltm1.1(KOMP)Mbp/Ctdspl+ (more )
Structure Level Pattern Image Note
TS28: tongue Present UC Davis_1862822

Specimen UC Davis_1862823: postnatal adult; Ctdspltm1.1(KOMP)Mbp/Ctdspl+ (more )
Structure Level Pattern Image Note
TS28: skin Present UC Davis_1862823

Specimen UC Davis_1862824: postnatal adult; Ctdspltm1.1(KOMP)Mbp/Ctdspl+ (more )
Structure Level Pattern Image Note
TS28: skin Present UC Davis_1862824

Specimen UC Davis_1862825: postnatal adult; Ctdspltm1.1(KOMP)Mbp/Ctdspl+ (more )
Structure Level Pattern Image Note
TS28: skin Present UC Davis_1862825

Specimen UC Davis_1862826: postnatal adult; Ctdspltm1.1(KOMP)Mbp/Ctdspl+ (more )
Structure Level Pattern Image Note
TS28: olfactory lobe Present UC Davis_1862826

Specimen UC Davis_1862830: postnatal adult; Ctdspltm1.1(KOMP)Mbp/Ctdspl+ (more )
Structure Level Pattern Image Note
TS28: midbrain Present UC Davis_1862830

Specimen UC Davis_1862831: postnatal adult; Ctdspltm1.1(KOMP)Mbp/Ctdspl+ (more )
Structure Level Pattern Image Note
TS28: uterus Present UC Davis_1862831

Specimen UC Davis_1862832: postnatal adult; Ctdspltm1.1(KOMP)Mbp/Ctdspl+ (more )
Structure Level Pattern Image Note
TS28: uterus Present UC Davis_1862832

Specimen UC Davis_1862833: postnatal adult; Ctdspltm1.1(KOMP)Mbp/Ctdspl+ (more )
Structure Level Pattern Image Note
TS28: vagina Present UC Davis_1862833

Specimen UC Davis_1862834: postnatal adult; Ctdspltm1.1(KOMP)Mbp/Ctdspl+ (more )
Structure Level Pattern Image Note
TS28: vagina Present UC Davis_1862834

Specimen UC Davis_1862835: postnatal adult; Ctdspltm1.1(KOMP)Mbp/Ctdspl+ (more )
Structure Level Pattern Image Note
TS28: vagina Present UC Davis_1862835

Specimen UC Davis_1862878: postnatal adult; Ctdspltm1.1(KOMP)Mbp/Ctdspl+ (more )
Structure Level Pattern Image Note
TS28: ovary Present UC Davis_1862878

Specimen UC Davis_1862879: postnatal adult; Ctdspltm1.1(KOMP)Mbp/Ctdspl+ (more )
Structure Level Pattern Image Note
TS28: oviduct Present UC Davis_1862879

Specimen UC Davis_1862880: postnatal adult; Ctdspltm1.1(KOMP)Mbp/Ctdspl+ (more )
Structure Level Pattern Image Note
TS28: uterus Present UC Davis_1862880

Specimen UC Davis_1862772: postnatal adult; Ctdspltm1.1(KOMP)Mbp/Ctdspl+ (more )
Structure Level Pattern Image Note
TS28: submandibular gland Present UC Davis_1862772

Specimen UC Davis_1862773: postnatal adult; Ctdspltm1.1(KOMP)Mbp/Ctdspl+ (more )
Structure Level Pattern Image Note
TS28: trachea Present UC Davis_1862773

Specimen UC Davis_1862774: postnatal adult; Ctdspltm1.1(KOMP)Mbp/Ctdspl+ (more )
Structure Level Pattern Image Note
TS28: stomach Present UC Davis_1862774

Specimen UC Davis_1862775: postnatal adult; Ctdspltm1.1(KOMP)Mbp/Ctdspl+ (more )
Structure Level Pattern Image Note
TS28: duodenum Present UC Davis_1862775

Specimen UC Davis_1862776: postnatal adult; Ctdspltm1.1(KOMP)Mbp/Ctdspl+ (more )
Structure Level Pattern Image Note
TS28: ileum Present UC Davis_1862776

Specimen UC Davis_1862777: postnatal adult; Ctdspltm1.1(KOMP)Mbp/Ctdspl+ (more )
Structure Level Pattern Image Note
TS28: colon Present UC Davis_1862777

Specimen UC Davis_1862778: postnatal adult; Ctdspltm1.1(KOMP)Mbp/Ctdspl+ (more )
Structure Level Pattern Image Note
TS28: spleen Present UC Davis_1862778

Specimen UC Davis_1862779: postnatal adult; Ctdspltm1.1(KOMP)Mbp/Ctdspl+ (more )
Structure Level Pattern Image Note
TS28: spleen Present UC Davis_1862779

Specimen UC Davis_1862780: postnatal adult; Ctdspltm1.1(KOMP)Mbp/Ctdspl+ (more )
Structure Level Pattern Image Note
TS28: spleen Present UC Davis_1862780

Specimen UC Davis_1862781: postnatal adult; Ctdspltm1.1(KOMP)Mbp/Ctdspl+ (more )
Structure Level Pattern Image Note
TS28: metanephros Present UC Davis_1862781 kidney

Specimen UC Davis_1862782: postnatal adult; Ctdspltm1.1(KOMP)Mbp/Ctdspl+ (more )
Structure Level Pattern Image Note
TS28: metanephros Present UC Davis_1862782 kidney

Specimen UC Davis_1862783: postnatal adult; Ctdspltm1.1(KOMP)Mbp/Ctdspl+ (more )
Structure Level Pattern Image Note
TS28: metanephros Present UC Davis_1862783 kidney

Specimen UC Davis_1862784: postnatal adult; Ctdspltm1.1(KOMP)Mbp/Ctdspl+ (more )
Structure Level Pattern Image Note
TS28: metanephros Present UC Davis_1862784 kidney

Specimen UC Davis_1862785: postnatal adult; Ctdspltm1.1(KOMP)Mbp/Ctdspl+ (more )
Structure Level Pattern Image Note
TS28: eye Present UC Davis_1862785

Specimen UC Davis_1862786: postnatal adult; Ctdspltm1.1(KOMP)Mbp/Ctdspl+ (more )
Structure Level Pattern Image Note
TS28: skin Present UC Davis_1862786

Specimen UC Davis_1862787: postnatal adult; Ctdspltm1.1(KOMP)Mbp/Ctdspl+ (more )
Structure Level Pattern Image Note
TS28: skin Present UC Davis_1862787

Specimen UC Davis_1862788: postnatal adult; Ctdspltm1.1(KOMP)Mbp/Ctdspl+ (more )
Structure Level Pattern Image Note
TS28: skin Present UC Davis_1862788

Specimen UC Davis_1862789: postnatal adult; Ctdspltm1.1(KOMP)Mbp/Ctdspl+ (more )
Structure Level Pattern Image Note
TS28: olfactory lobe Present UC Davis_1862789

Specimen UC Davis_1862793: postnatal adult; Ctdspltm1.1(KOMP)Mbp/Ctdspl+ (more )
Structure Level Pattern Image Note
TS28: midbrain Present UC Davis_1862793

Specimen UC Davis_1862795: postnatal adult; Ctdspltm1.1(KOMP)Mbp/Ctdspl+ (more )
Structure Level Pattern Image Note
TS28: testis Present UC Davis_1862795

Specimen UC Davis_1862796: postnatal adult; Ctdspltm1.1(KOMP)Mbp/Ctdspl+ (more )
Structure Level Pattern Image Note
TS28: testis Present UC Davis_1862796

Specimen UC Davis_1862797: postnatal adult; Ctdspltm1.1(KOMP)Mbp/Ctdspl+ (more )
Structure Level Pattern Image Note
TS28: epididymis Present UC Davis_1862797

Specimen UC Davis_1862798: postnatal adult; Ctdspltm1.1(KOMP)Mbp/Ctdspl+ (more )
Structure Level Pattern Image Note
TS28: penis Present UC Davis_1862798

Specimen UC Davis_1862799: postnatal adult; Ctdspltm1.1(KOMP)Mbp/Ctdspl+ (more )
Structure Level Pattern Image Note
TS28: penis Present UC Davis_1862799

Specimen UC Davis_1862800: postnatal adult; Ctdspltm1.1(KOMP)Mbp/Ctdspl+ (more )
Structure Level Pattern Image Note
TS28: ductus deferens Present UC Davis_1862800 vas deferens

Specimen UC Davis_1862802: postnatal adult; Ctdspltm1.1(KOMP)Mbp/Ctdspl+ (more )
Structure Level Pattern Image Note
TS28: seminal vesicle Present UC Davis_1862802 vesicular gland

Specimen UC Davis_1862838: postnatal adult; Ctdspltm1.1(KOMP)Mbp/Ctdspl+ (more )
Structure Level Pattern Image Note
TS28: tongue Present UC Davis_1862838

Specimen UC Davis_1862839: postnatal adult; Ctdspltm1.1(KOMP)Mbp/Ctdspl+ (more )
Structure Level Pattern Image Note
TS28: pancreas Present UC Davis_1862839

Specimen UC Davis_1862840: postnatal adult; Ctdspltm1.1(KOMP)Mbp/Ctdspl+ (more )
Structure Level Pattern Image Note
TS28: sciatic nerve Present UC Davis_1862840

Specimen UC Davis_1862841: postnatal adult; Ctdspltm1.1(KOMP)Mbp/Ctdspl+ (more )
Structure Level Pattern Image Note
TS28: olfactory lobe Present UC Davis_1862841

Specimen UC Davis_1862844: postnatal adult; Ctdspltm1.1(KOMP)Mbp/Ctdspl+ (more )
Structure Level Pattern Image Note
TS28: midbrain Present UC Davis_1862844

Specimen UC Davis_1862846: postnatal adult; Ctdspltm1.1(KOMP)Mbp/Ctdspl+ (more )
Structure Level Pattern Image Note
TS28: cerebellum Present UC Davis_1862846

Specimen UC Davis_1862847: postnatal adult; Ctdspltm1.1(KOMP)Mbp/Ctdspl+ (more )
Structure Level Pattern Image Note
TS28: brain Present UC Davis_1862847

Specimen UC Davis_1862849: postnatal adult; Ctdspltm1.1(KOMP)Mbp/Ctdspl+ (more )
Structure Level Pattern Image Note
TS28: lung Present UC Davis_1862849

Specimen UC Davis_1862850: postnatal adult; Ctdspltm1.1(KOMP)Mbp/Ctdspl+ (more )
Structure Level Pattern Image Note
TS28: aorta Present UC Davis_1862850

Specimen UC Davis_1862852: postnatal adult; Ctdspltm1.1(KOMP)Mbp/Ctdspl+ (more )
Structure Level Pattern Image Note
TS28: metanephros Present UC Davis_1862852 kidney

Specimen UC Davis_1862853: postnatal adult; Ctdspltm1.1(KOMP)Mbp/Ctdspl+ (more )
Structure Level Pattern Image Note
TS28: adrenal gland Present UC Davis_1862853

Specimen UC Davis_1862854: postnatal adult; Ctdspltm1.1(KOMP)Mbp/Ctdspl+ (more )
Structure Level Pattern Image Note
TS28: skin Present UC Davis_1862854

Specimen UC Davis_1862856: postnatal adult; Ctdspltm1.1(KOMP)Mbp/Ctdspl+ (more )
Structure Level Pattern Image Note
TS28: trachea Present UC Davis_1862856

Specimen UC Davis_1862858: postnatal adult; Ctdspltm1.1(KOMP)Mbp/Ctdspl+ (more )
Structure Level Pattern Image Note
TS28: esophagus Present UC Davis_1862858

Specimen UC Davis_1862859: postnatal adult; Ctdspltm1.1(KOMP)Mbp/Ctdspl+ (more )
Structure Level Pattern Image Note
TS28: thyroid gland Present UC Davis_1862859

Specimen UC Davis_1862860: postnatal adult; Ctdspltm1.1(KOMP)Mbp/Ctdspl+ (more )
Structure Level Pattern Image Note
TS28: spinal cord Present UC Davis_1862860

Specimen UC Davis_1862861: postnatal adult; Ctdspltm1.1(KOMP)Mbp/Ctdspl+ (more )
Structure Level Pattern Image Note
TS28: pituitary gland Present UC Davis_1862861

Specimen UC Davis_1862862: postnatal adult; Ctdspltm1.1(KOMP)Mbp/Ctdspl+ (more )
Structure Level Pattern Image Note
TS28: eye Present UC Davis_1862862

Specimen UC Davis_1862863: postnatal adult; Ctdspltm1.1(KOMP)Mbp/Ctdspl+ (more )
Structure Level Pattern Image Note
TS28: Harderian gland Present UC Davis_1862863

Specimen UC Davis_1862864: postnatal adult; Ctdspltm1.1(KOMP)Mbp/Ctdspl+ (more )
Structure Level Pattern Image Note
TS28: stomach Present UC Davis_1862864

Specimen UC Davis_1862865: postnatal adult; Ctdspltm1.1(KOMP)Mbp/Ctdspl+ (more )
Structure Level Pattern Image Note
TS28: colon Present UC Davis_1862865

Specimen UC Davis_1862866: postnatal adult; Ctdspltm1.1(KOMP)Mbp/Ctdspl+ (more )
Structure Level Pattern Image Note
TS28: mesenteric adipose tissue Present UC Davis_1862866

Specimen UC Davis_1862867: postnatal adult; Ctdspltm1.1(KOMP)Mbp/Ctdspl+ (more )
Structure Level Pattern Image Note
TS28: bladder Present UC Davis_1862867

Specimen UC Davis_1862868: postnatal adult; Ctdspltm1.1(KOMP)Mbp/Ctdspl+ (more )
Structure Level Pattern Image Note
TS28: gonadal fat pad Present UC Davis_1862868

Specimen UC Davis_1862869: postnatal adult; Ctdspltm1.1(KOMP)Mbp/Ctdspl+ (more )
Structure Level Pattern Image Note
TS28: testis Present UC Davis_1862869

Specimen UC Davis_1862870: postnatal adult; Ctdspltm1.1(KOMP)Mbp/Ctdspl+ (more )
Structure Level Pattern Image Note
TS28: prostate gland Present UC Davis_1862870

Specimen UC Davis_1862871: postnatal adult; Ctdspltm1.1(KOMP)Mbp/Ctdspl+ (more )
Structure Level Pattern Image Note
TS28: seminal vesicle Present UC Davis_1862871 vesicular gland

Specimen UC Davis_1862872: postnatal adult; Ctdspltm1.1(KOMP)Mbp/Ctdspl+ (more )
Structure Level Pattern Image Note
TS28: ductus deferens Present UC Davis_1862872 vas deferens

Specimen UC Davis_1862874: postnatal adult; Ctdspltm1.1(KOMP)Mbp/Ctdspl+ (more )
Structure Level Pattern Image Note
TS28: gallbladder Present UC Davis_1862874

Specimen UC Davis_1862875: postnatal adult; Ctdspltm1.1(KOMP)Mbp/Ctdspl+ (more )
Structure Level Pattern Image Note
TS28: thoracic segment skeleton Present UC Davis_1862875 chest bone

Specimen UC Davis_1862876: postnatal adult; Ctdspltm1.1(KOMP)Mbp/Ctdspl+ (more )
Structure Level Pattern Image Note
TS28: thoracic segment skeleton Present UC Davis_1862876 chest bone


Contributing Projects:
Mouse Genome Database (MGD), Gene Expression Database (GXD), Mouse Models of Human Cancer database (MMHCdb) (formerly Mouse Tumor Biology (MTB)), Gene Ontology (GO)
Citing These Resources
Funding Information
Warranty Disclaimer, Privacy Notice, Licensing, & Copyright
Send questions and comments to User Support.
last database update
12/30/2025
MGI 6.24
The Jackson Laboratory