About   Help   FAQ
Gene Expression Data
Assay Details
Assay
Reference: J:228563 Koscielny G, et al., The International Mouse Phenotyping Consortium Web Portal, a unified point of access for knockout mice and related phenotyping data. Nucleic Acids Res. 2014 Jan;42(Database issue):D802-9
Assay type: In situ reporter (knock in)
MGI Accession ID: MGI:6691854
Gene symbol: Tmem97
Gene name: transmembrane protein 97
Reporter: lacZ
Direct Detection
Results
Specimen UC Davis_1851807: postnatal adult; Tmem97tm1.1(KOMP)Vlcg/Tmem97+ (more )
Structure Level Pattern Image Note
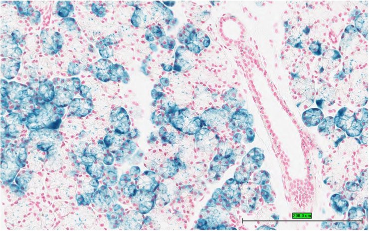
TS28: submandibular gland Present UC Davis_1851807

Specimen UC Davis_1851808: postnatal adult; Tmem97tm1.1(KOMP)Vlcg/Tmem97+ (more )
Structure Level Pattern Image Note
TS28: submandibular gland Present UC Davis_1851808

Specimen UC Davis_1851809: postnatal adult; Tmem97tm1.1(KOMP)Vlcg/Tmem97+ (more )
Structure Level Pattern Image Note
TS28: sublingual gland Present UC Davis_1851809

Specimen UC Davis_1851810: postnatal adult; Tmem97tm1.1(KOMP)Vlcg/Tmem97+ (more )
Structure Level Pattern Image Note
TS28: sublingual gland Present UC Davis_1851810

Specimen UC Davis_1851811: postnatal adult; Tmem97tm1.1(KOMP)Vlcg/Tmem97+ (more )
Structure Level Pattern Image Note
TS28: sublingual gland Present UC Davis_1851811

Specimen UC Davis_1851812: postnatal adult; Tmem97tm1.1(KOMP)Vlcg/Tmem97+ (more )
Structure Level Pattern Image Note
TS28: trachea Present UC Davis_1851812

Specimen UC Davis_1851813: postnatal adult; Tmem97tm1.1(KOMP)Vlcg/Tmem97+ (more )
Structure Level Pattern Image Note
TS28: thyroid gland Present UC Davis_1851813

Specimen UC Davis_1851814: postnatal adult; Tmem97tm1.1(KOMP)Vlcg/Tmem97+ (more )
Structure Level Pattern Image Note
TS28: parathyroid gland Present UC Davis_1851814

Specimen UC Davis_1851815: postnatal adult; Tmem97tm1.1(KOMP)Vlcg/Tmem97+ (more )
Structure Level Pattern Image Note
TS28: stomach Present UC Davis_1851815

Specimen UC Davis_1851816: postnatal adult; Tmem97tm1.1(KOMP)Vlcg/Tmem97+ (more )
Structure Level Pattern Image Note
TS28: stomach Present UC Davis_1851816

Specimen UC Davis_1851817: postnatal adult; Tmem97tm1.1(KOMP)Vlcg/Tmem97+ (more )
Structure Level Pattern Image Note
TS28: stomach Present UC Davis_1851817

Specimen UC Davis_1851818: postnatal adult; Tmem97tm1.1(KOMP)Vlcg/Tmem97+ (more )
Structure Level Pattern Image Note
TS28: stomach Present UC Davis_1851818

Specimen UC Davis_1851819: postnatal adult; Tmem97tm1.1(KOMP)Vlcg/Tmem97+ (more )
Structure Level Pattern Image Note
TS28: stomach Present UC Davis_1851819

Specimen UC Davis_1851820: postnatal adult; Tmem97tm1.1(KOMP)Vlcg/Tmem97+ (more )
Structure Level Pattern Image Note
TS28: duodenum Present UC Davis_1851820

Specimen UC Davis_1851821: postnatal adult; Tmem97tm1.1(KOMP)Vlcg/Tmem97+ (more )
Structure Level Pattern Image Note
TS28: duodenum Present UC Davis_1851821

Specimen UC Davis_1851822: postnatal adult; Tmem97tm1.1(KOMP)Vlcg/Tmem97+ (more )
Structure Level Pattern Image Note
TS28: colon Present UC Davis_1851822

Specimen UC Davis_1851823: postnatal adult; Tmem97tm1.1(KOMP)Vlcg/Tmem97+ (more )
Structure Level Pattern Image Note
TS28: spleen Present UC Davis_1851823

Specimen UC Davis_1851824: postnatal adult; Tmem97tm1.1(KOMP)Vlcg/Tmem97+ (more )
Structure Level Pattern Image Note
TS28: spleen Present UC Davis_1851824

Specimen UC Davis_1851825: postnatal adult; Tmem97tm1.1(KOMP)Vlcg/Tmem97+ (more )
Structure Level Pattern Image Note
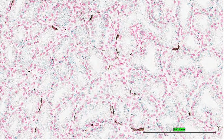
TS28: pancreas Present UC Davis_1851825

Specimen UC Davis_1851826: postnatal adult; Tmem97tm1.1(KOMP)Vlcg/Tmem97+ (more )
Structure Level Pattern Image Note
TS28: pancreas Present UC Davis_1851826

Specimen UC Davis_1851827: postnatal adult; Tmem97tm1.1(KOMP)Vlcg/Tmem97+ (more )
Structure Level Pattern Image Note
TS28: pancreas Present UC Davis_1851827

Specimen UC Davis_1851828: postnatal adult; Tmem97tm1.1(KOMP)Vlcg/Tmem97+ (more )
Structure Level Pattern Image Note
TS28: pancreas Present UC Davis_1851828

Specimen UC Davis_1851829: postnatal adult; Tmem97tm1.1(KOMP)Vlcg/Tmem97+ (more )
Structure Level Pattern Image Note
TS28: liver Present UC Davis_1851829

Specimen UC Davis_1851830: postnatal adult; Tmem97tm1.1(KOMP)Vlcg/Tmem97+ (more )
Structure Level Pattern Image Note
TS28: liver Present UC Davis_1851830

Specimen UC Davis_1851831: postnatal adult; Tmem97tm1.1(KOMP)Vlcg/Tmem97+ (more )
Structure Level Pattern Image Note
TS28: metanephros Present UC Davis_1851831 kidney

Specimen UC Davis_1851832: postnatal adult; Tmem97tm1.1(KOMP)Vlcg/Tmem97+ (more )
Structure Level Pattern Image Note
TS28: metanephros Present UC Davis_1851832 kidney

Specimen UC Davis_1851833: postnatal adult; Tmem97tm1.1(KOMP)Vlcg/Tmem97+ (more )
Structure Level Pattern Image Note
TS28: metanephros Present UC Davis_1851833 kidney

Specimen UC Davis_1851834: postnatal adult; Tmem97tm1.1(KOMP)Vlcg/Tmem97+ (more )
Structure Level Pattern Image Note
TS28: tongue Present UC Davis_1851834

Specimen UC Davis_1851835: postnatal adult; Tmem97tm1.1(KOMP)Vlcg/Tmem97+ (more )
Structure Level Pattern Image Note
TS28: adrenal gland Present UC Davis_1851835

Specimen UC Davis_1851836: postnatal adult; Tmem97tm1.1(KOMP)Vlcg/Tmem97+ (more )
Structure Level Pattern Image Note
TS28: adrenal gland Present UC Davis_1851836

Specimen UC Davis_1851837: postnatal adult; Tmem97tm1.1(KOMP)Vlcg/Tmem97+ (more )
Structure Level Pattern Image Note
TS28: adrenal gland Present UC Davis_1851837

Specimen UC Davis_1851838: postnatal adult; Tmem97tm1.1(KOMP)Vlcg/Tmem97+ (more )
Structure Level Pattern Image Note
TS28: pituitary gland Present UC Davis_1851838

Specimen UC Davis_1851839: postnatal adult; Tmem97tm1.1(KOMP)Vlcg/Tmem97+ (more )
Structure Level Pattern Image Note
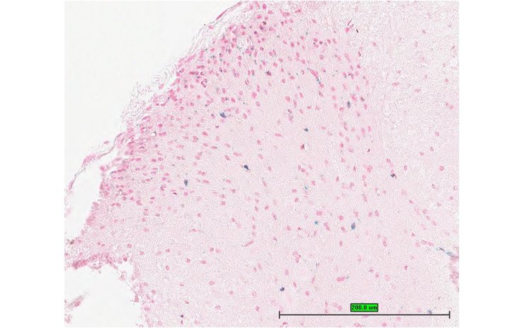
TS28: spinal cord Present UC Davis_1851839

Specimen UC Davis_1851840: postnatal adult; Tmem97tm1.1(KOMP)Vlcg/Tmem97+ (more )
Structure Level Pattern Image Note
TS28: eye Present UC Davis_1851840

Specimen UC Davis_1851842: postnatal adult; Tmem97tm1.1(KOMP)Vlcg/Tmem97+ (more )
Structure Level Pattern Image Note
TS28: Harderian gland Present UC Davis_1851842

Specimen UC Davis_1851843: postnatal adult; Tmem97tm1.1(KOMP)Vlcg/Tmem97+ (more )
Structure Level Pattern Image Note
TS28: Harderian gland Present UC Davis_1851843

Specimen UC Davis_1851844: postnatal adult; Tmem97tm1.1(KOMP)Vlcg/Tmem97+ (more )
Structure Level Pattern Image Note
TS28: Harderian gland Present UC Davis_1851844

Specimen UC Davis_1851845: postnatal adult; Tmem97tm1.1(KOMP)Vlcg/Tmem97+ (more )
Structure Level Pattern Image Note
TS28: olfactory lobe Present UC Davis_1851845

Specimen UC Davis_1851849: postnatal adult; Tmem97tm1.1(KOMP)Vlcg/Tmem97+ (more )
Structure Level Pattern Image Note
TS28: midbrain Present UC Davis_1851849

Specimen UC Davis_1851851: postnatal adult; Tmem97tm1.1(KOMP)Vlcg/Tmem97+ (more )
Structure Level Pattern Image Note
TS28: cerebellum Present UC Davis_1851851

Specimen UC Davis_1851921: postnatal adult; Tmem97tm1.1(KOMP)Vlcg/Tmem97+ (more )
Structure Level Pattern Image Note
TS28: metanephros Present UC Davis_1851921 kidney

Specimen UC Davis_1851922: postnatal adult; Tmem97tm1.1(KOMP)Vlcg/Tmem97+ (more )
Structure Level Pattern Image Note
TS28: eye Present UC Davis_1851922

Specimen UC Davis_1851923: postnatal adult; Tmem97tm1.1(KOMP)Vlcg/Tmem97+ (more )
Structure Level Pattern Image Note
TS28: stomach Present UC Davis_1851923

Specimen UC Davis_1851924: postnatal adult; Tmem97tm1.1(KOMP)Vlcg/Tmem97+ (more )
Structure Level Pattern Image Note
TS28: parathyroid gland Present UC Davis_1851924

Specimen UC Davis_1851852: postnatal adult; Tmem97tm1.1(KOMP)Vlcg/Tmem97+ (more )
Structure Level Pattern Image Note
TS28: sublingual gland Present UC Davis_1851852

Specimen UC Davis_1851853: postnatal adult; Tmem97tm1.1(KOMP)Vlcg/Tmem97+ (more )
Structure Level Pattern Image Note
TS28: sublingual gland Present UC Davis_1851853

Specimen UC Davis_1851854: postnatal adult; Tmem97tm1.1(KOMP)Vlcg/Tmem97+ (more )
Structure Level Pattern Image Note
TS28: sublingual gland Present UC Davis_1851854

Specimen UC Davis_1851855: postnatal adult; Tmem97tm1.1(KOMP)Vlcg/Tmem97+ (more )
Structure Level Pattern Image Note
TS28: stomach Present UC Davis_1851855

Specimen UC Davis_1851856: postnatal adult; Tmem97tm1.1(KOMP)Vlcg/Tmem97+ (more )
Structure Level Pattern Image Note
TS28: stomach Present UC Davis_1851856

Specimen UC Davis_1851857: postnatal adult; Tmem97tm1.1(KOMP)Vlcg/Tmem97+ (more )
Structure Level Pattern Image Note
TS28: stomach Present UC Davis_1851857

Specimen UC Davis_1851858: postnatal adult; Tmem97tm1.1(KOMP)Vlcg/Tmem97+ (more )
Structure Level Pattern Image Note
TS28: ileum Present UC Davis_1851858

Specimen UC Davis_1851859: postnatal adult; Tmem97tm1.1(KOMP)Vlcg/Tmem97+ (more )
Structure Level Pattern Image Note
TS28: ileum Present UC Davis_1851859

Specimen UC Davis_1851860: postnatal adult; Tmem97tm1.1(KOMP)Vlcg/Tmem97+ (more )
Structure Level Pattern Image Note
TS28: ileum Present UC Davis_1851860

Specimen UC Davis_1851861: postnatal adult; Tmem97tm1.1(KOMP)Vlcg/Tmem97+ (more )
Structure Level Pattern Image Note
TS28: colon Present UC Davis_1851861

Specimen UC Davis_1851862: postnatal adult; Tmem97tm1.1(KOMP)Vlcg/Tmem97+ (more )
Structure Level Pattern Image Note
TS28: colon Present UC Davis_1851862

Specimen UC Davis_1851863: postnatal adult; Tmem97tm1.1(KOMP)Vlcg/Tmem97+ (more )
Structure Level Pattern Image Note
TS28: pancreas Present UC Davis_1851863

Specimen UC Davis_1851864: postnatal adult; Tmem97tm1.1(KOMP)Vlcg/Tmem97+ (more )
Structure Level Pattern Image Note
TS28: pancreas Present UC Davis_1851864

Specimen UC Davis_1851865: postnatal adult; Tmem97tm1.1(KOMP)Vlcg/Tmem97+ (more )
Structure Level Pattern Image Note
TS28: pancreas Present UC Davis_1851865

Specimen UC Davis_1851866: postnatal adult; Tmem97tm1.1(KOMP)Vlcg/Tmem97+ (more )
Structure Level Pattern Image Note
TS28: liver Present UC Davis_1851866

Specimen UC Davis_1851867: postnatal adult; Tmem97tm1.1(KOMP)Vlcg/Tmem97+ (more )
Structure Level Pattern Image Note
TS28: liver Present UC Davis_1851867

Specimen UC Davis_1851868: postnatal adult; Tmem97tm1.1(KOMP)Vlcg/Tmem97+ (more )
Structure Level Pattern Image Note
TS28: liver Present UC Davis_1851868

Specimen UC Davis_1851869: postnatal adult; Tmem97tm1.1(KOMP)Vlcg/Tmem97+ (more )
Structure Level Pattern Image Note
TS28: metanephros Present UC Davis_1851869 kidney

Specimen UC Davis_1851870: postnatal adult; Tmem97tm1.1(KOMP)Vlcg/Tmem97+ (more )
Structure Level Pattern Image Note
TS28: metanephros Present UC Davis_1851870 kidney

Specimen UC Davis_1851871: postnatal adult; Tmem97tm1.1(KOMP)Vlcg/Tmem97+ (more )
Structure Level Pattern Image Note
TS28: metanephros Present UC Davis_1851871 kidney

Specimen UC Davis_1851872: postnatal adult; Tmem97tm1.1(KOMP)Vlcg/Tmem97+ (more )
Structure Level Pattern Image Note
TS28: spinal cord Present UC Davis_1851872

Specimen UC Davis_1851873: postnatal adult; Tmem97tm1.1(KOMP)Vlcg/Tmem97+ (more )
Structure Level Pattern Image Note
TS28: spinal cord Present UC Davis_1851873

Specimen UC Davis_1851874: postnatal adult; Tmem97tm1.1(KOMP)Vlcg/Tmem97+ (more )
Structure Level Pattern Image Note
TS28: eye Present UC Davis_1851874

Specimen UC Davis_1851875: postnatal adult; Tmem97tm1.1(KOMP)Vlcg/Tmem97+ (more )
Structure Level Pattern Image Note
TS28: eye Present UC Davis_1851875

Specimen UC Davis_1851876: postnatal adult; Tmem97tm1.1(KOMP)Vlcg/Tmem97+ (more )
Structure Level Pattern Image Note
TS28: eye Present UC Davis_1851876

Specimen UC Davis_1851877: postnatal adult; Tmem97tm1.1(KOMP)Vlcg/Tmem97+ (more )
Structure Level Pattern Image Note
TS28: eye Present UC Davis_1851877

Specimen UC Davis_1851878: postnatal adult; Tmem97tm1.1(KOMP)Vlcg/Tmem97+ (more )
Structure Level Pattern Image Note
TS28: Harderian gland Present UC Davis_1851878

Specimen UC Davis_1851879: postnatal adult; Tmem97tm1.1(KOMP)Vlcg/Tmem97+ (more )
Structure Level Pattern Image Note
TS28: Harderian gland Present UC Davis_1851879

Specimen UC Davis_1851880: postnatal adult; Tmem97tm1.1(KOMP)Vlcg/Tmem97+ (more )
Structure Level Pattern Image Note
TS28: Harderian gland Present UC Davis_1851880

Specimen UC Davis_1851881: postnatal adult; Tmem97tm1.1(KOMP)Vlcg/Tmem97+ (more )
Structure Level Pattern Image Note
TS28: olfactory lobe Present UC Davis_1851881

Specimen UC Davis_1851883: postnatal adult; Tmem97tm1.1(KOMP)Vlcg/Tmem97+ (more )
Structure Level Pattern Image Note
TS28: midbrain Present UC Davis_1851883

Specimen UC Davis_1851885: postnatal adult; Tmem97tm1.1(KOMP)Vlcg/Tmem97+ (more )
Structure Level Pattern Image Note
TS28: cerebellum Present UC Davis_1851885

Specimen UC Davis_1851886: postnatal adult; Tmem97tm1.1(KOMP)Vlcg/Tmem97+ (more )
Structure Level Pattern Image Note
TS28: testis Present UC Davis_1851886

Specimen UC Davis_1851887: postnatal adult; Tmem97tm1.1(KOMP)Vlcg/Tmem97+ (more )
Structure Level Pattern Image Note
TS28: testis Present UC Davis_1851887

Specimen UC Davis_1851888: postnatal adult; Tmem97tm1.1(KOMP)Vlcg/Tmem97+ (more )
Structure Level Pattern Image Note
TS28: testis Present UC Davis_1851888

Specimen UC Davis_1851889: postnatal adult; Tmem97tm1.1(KOMP)Vlcg/Tmem97+ (more )
Structure Level Pattern Image Note
TS28: epididymis Present UC Davis_1851889

Specimen UC Davis_1851890: postnatal adult; Tmem97tm1.1(KOMP)Vlcg/Tmem97+ (more )
Structure Level Pattern Image Note
TS28: epididymis Present UC Davis_1851890

Specimen UC Davis_1851891: postnatal adult; Tmem97tm1.1(KOMP)Vlcg/Tmem97+ (more )
Structure Level Pattern Image Note
TS28: epididymis Present UC Davis_1851891

Specimen UC Davis_1851892: postnatal adult; Tmem97tm1.1(KOMP)Vlcg/Tmem97+ (more )
Structure Level Pattern Image Note
TS28: ductus deferens Present UC Davis_1851892 vas deferens

Specimen UC Davis_1851893: postnatal adult; Tmem97tm1.1(KOMP)Vlcg/Tmem97+ (more )
Structure Level Pattern Image Note
TS28: ductus deferens Present UC Davis_1851893 vas deferens

Specimen UC Davis_1851894: postnatal adult; Tmem97tm1.1(KOMP)Vlcg/Tmem97+ (more )
Structure Level Pattern Image Note
TS28: ductus deferens Present UC Davis_1851894 vas deferens

Specimen UC Davis_1851898: postnatal adult; Tmem97tm1.1(KOMP)Vlcg/Tmem97+ (more )
Structure Level Pattern Image Note
TS28: pancreas Present UC Davis_1851898

Specimen UC Davis_1851899: postnatal adult; Tmem97tm1.1(KOMP)Vlcg/Tmem97+ (more )
Structure Level Pattern Image Note
TS28: olfactory lobe Present UC Davis_1851899

Specimen UC Davis_1851902: postnatal adult; Tmem97tm1.1(KOMP)Vlcg/Tmem97+ (more )
Structure Level Pattern Image Note
TS28: midbrain Present UC Davis_1851902

Specimen UC Davis_1851904: postnatal adult; Tmem97tm1.1(KOMP)Vlcg/Tmem97+ (more )
Structure Level Pattern Image Note
TS28: cerebellum Present UC Davis_1851904

Specimen UC Davis_1851905: postnatal adult; Tmem97tm1.1(KOMP)Vlcg/Tmem97+ (more )
Structure Level Pattern Image Note
TS28: brain Present UC Davis_1851905

Specimen UC Davis_1851906: postnatal adult; Tmem97tm1.1(KOMP)Vlcg/Tmem97+ (more )
Structure Level Pattern Image Note
TS28: adrenal gland Present UC Davis_1851906

Specimen UC Davis_1851907: postnatal adult; Tmem97tm1.1(KOMP)Vlcg/Tmem97+ (more )
Structure Level Pattern Image Note
TS28: liver Present UC Davis_1851907

Specimen UC Davis_1851908: postnatal adult; Tmem97tm1.1(KOMP)Vlcg/Tmem97+ (more )
Structure Level Pattern Image Note
TS28: liver Present UC Davis_1851908

Specimen UC Davis_1851910: postnatal adult; Tmem97tm1.1(KOMP)Vlcg/Tmem97+ (more )
Structure Level Pattern Image Note
TS28: spinal cord Present UC Davis_1851910

Specimen UC Davis_1851911: postnatal adult; Tmem97tm1.1(KOMP)Vlcg/Tmem97+ (more )
Structure Level Pattern Image Note
TS28: pituitary gland Present UC Davis_1851911

Specimen UC Davis_1851912: postnatal adult; Tmem97tm1.1(KOMP)Vlcg/Tmem97+ (more )
Structure Level Pattern Image Note
TS28: Harderian gland Present UC Davis_1851912

Specimen UC Davis_1851913: postnatal adult; Tmem97tm1.1(KOMP)Vlcg/Tmem97+ (more )
Structure Level Pattern Image Note
TS28: duodenum Present UC Davis_1851913

Specimen UC Davis_1851914: postnatal adult; Tmem97tm1.1(KOMP)Vlcg/Tmem97+ (more )
Structure Level Pattern Image Note
TS28: jejunum Present UC Davis_1851914

Specimen UC Davis_1851915: postnatal adult; Tmem97tm1.1(KOMP)Vlcg/Tmem97+ (more )
Structure Level Pattern Image Note
TS28: ileum Present UC Davis_1851915

Specimen UC Davis_1851916: postnatal adult; Tmem97tm1.1(KOMP)Vlcg/Tmem97+ (more )
Structure Level Pattern Image Note
TS28: colon Present UC Davis_1851916

Specimen UC Davis_1851917: postnatal adult; Tmem97tm1.1(KOMP)Vlcg/Tmem97+ (more )
Structure Level Pattern Image Note
TS28: testis Present UC Davis_1851917

Specimen UC Davis_1851918: postnatal adult; Tmem97tm1.1(KOMP)Vlcg/Tmem97+ (more )
Structure Level Pattern Image Note
TS28: epididymis Present UC Davis_1851918

Specimen UC Davis_1851920: postnatal adult; Tmem97tm1.1(KOMP)Vlcg/Tmem97+ (more )
Structure Level Pattern Image Note
TS28: thoracic segment skeleton Present UC Davis_1851920 chest bone


Contributing Projects:
Mouse Genome Database (MGD), Gene Expression Database (GXD), Mouse Models of Human Cancer database (MMHCdb) (formerly Mouse Tumor Biology (MTB)), Gene Ontology (GO)
Citing These Resources
Funding Information
Warranty Disclaimer, Privacy Notice, Licensing, & Copyright
Send questions and comments to User Support.
last database update
01/20/2026
MGI 6.24
The Jackson Laboratory