About   Help   FAQ
Gene Expression Data
Assay Details
Assay
Reference: J:228563 Koscielny G, et al., The International Mouse Phenotyping Consortium Web Portal, a unified point of access for knockout mice and related phenotyping data. Nucleic Acids Res. 2014 Jan;42(Database issue):D802-9
Assay type: In situ reporter (knock in)
MGI Accession ID: MGI:6691816
Gene symbol: Bacc1
Gene name: BPTF associated chromatin complex component 1
Reporter: lacZ
Direct Detection
Results
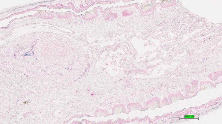
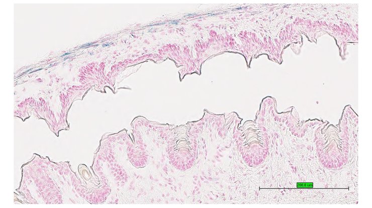
Specimen UC Davis_1878162: postnatal adult; Bacc1tm1.1(KOMP)Vlcg/Bacc1+ (more )
Structure Level Pattern Image Note
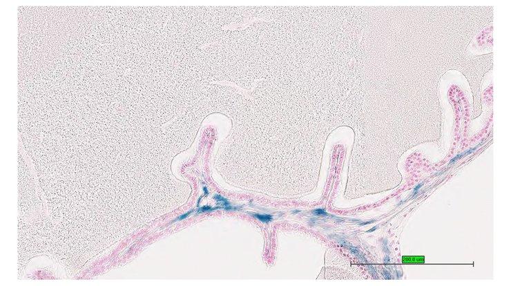
TS28: submandibular gland Present UC Davis_1878162

Specimen UC Davis_1878163: postnatal adult; Bacc1tm1.1(KOMP)Vlcg/Bacc1+ (more )
Structure Level Pattern Image Note
TS28: submandibular gland Present UC Davis_1878163

Specimen UC Davis_1878164: postnatal adult; Bacc1tm1.1(KOMP)Vlcg/Bacc1+ (more )
Structure Level Pattern Image Note
TS28: sublingual gland Present UC Davis_1878164

Specimen UC Davis_1878165: postnatal adult; Bacc1tm1.1(KOMP)Vlcg/Bacc1+ (more )
Structure Level Pattern Image Note
TS28: sublingual gland Present UC Davis_1878165

Specimen UC Davis_1878166: postnatal adult; Bacc1tm1.1(KOMP)Vlcg/Bacc1+ (more )
Structure Level Pattern Image Note
TS28: parotid gland Present UC Davis_1878166

Specimen UC Davis_1878169: postnatal adult; Bacc1tm1.1(KOMP)Vlcg/Bacc1+ (more )
Structure Level Pattern Image Note
TS28: trachea Present UC Davis_1878169

Specimen UC Davis_1878170: postnatal adult; Bacc1tm1.1(KOMP)Vlcg/Bacc1+ (more )
Structure Level Pattern Image Note
TS28: esophagus Present UC Davis_1878170

Specimen UC Davis_1878171: postnatal adult; Bacc1tm1.1(KOMP)Vlcg/Bacc1+ (more )
Structure Level Pattern Image Note
TS28: thyroid gland Present UC Davis_1878171

Specimen UC Davis_1878172: postnatal adult; Bacc1tm1.1(KOMP)Vlcg/Bacc1+ (more )
Structure Level Pattern Image Note
TS28: aorta Present UC Davis_1878172

Specimen UC Davis_1878173: postnatal adult; Bacc1tm1.1(KOMP)Vlcg/Bacc1+ (more )
Structure Level Pattern Image Note
TS28: lung Present UC Davis_1878173

Specimen UC Davis_1878174: postnatal adult; Bacc1tm1.1(KOMP)Vlcg/Bacc1+ (more )
Structure Level Pattern Image Note
TS28: lung Present UC Davis_1878174

Specimen UC Davis_1878175: postnatal adult; Bacc1tm1.1(KOMP)Vlcg/Bacc1+ (more )
Structure Level Pattern Image Note
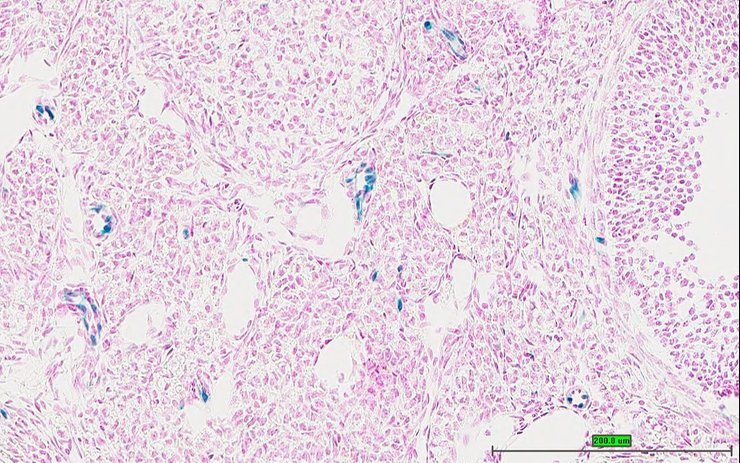
TS28: thymus Present UC Davis_1878175

Specimen UC Davis_1878176: postnatal adult; Bacc1tm1.1(KOMP)Vlcg/Bacc1+ (more )
Structure Level Pattern Image Note
TS28: thymus Present UC Davis_1878176

Specimen UC Davis_1878179: postnatal adult; Bacc1tm1.1(KOMP)Vlcg/Bacc1+ (more )
Structure Level Pattern Image Note
TS28: mesenteric lymph node Present UC Davis_1878179

Specimen UC Davis_1878180: postnatal adult; Bacc1tm1.1(KOMP)Vlcg/Bacc1+ (more )
Structure Level Pattern Image Note
TS28: mesenteric lymph node Present UC Davis_1878180

Specimen UC Davis_1878181: postnatal adult; Bacc1tm1.1(KOMP)Vlcg/Bacc1+ (more )
Structure Level Pattern Image Note
TS28: stomach Present UC Davis_1878181

Specimen UC Davis_1878182: postnatal adult; Bacc1tm1.1(KOMP)Vlcg/Bacc1+ (more )
Structure Level Pattern Image Note
TS28: stomach Present UC Davis_1878182

Specimen UC Davis_1878183: postnatal adult; Bacc1tm1.1(KOMP)Vlcg/Bacc1+ (more )
Structure Level Pattern Image Note
TS28: duodenum Present UC Davis_1878183

Specimen UC Davis_1878184: postnatal adult; Bacc1tm1.1(KOMP)Vlcg/Bacc1+ (more )
Structure Level Pattern Image Note
TS28: duodenum Present UC Davis_1878184

Specimen UC Davis_1878185: postnatal adult; Bacc1tm1.1(KOMP)Vlcg/Bacc1+ (more )
Structure Level Pattern Image Note
TS28: colon Present UC Davis_1878185

Specimen UC Davis_1878186: postnatal adult; Bacc1tm1.1(KOMP)Vlcg/Bacc1+ (more )
Structure Level Pattern Image Note
TS28: spleen Present UC Davis_1878186

Specimen UC Davis_1878187: postnatal adult; Bacc1tm1.1(KOMP)Vlcg/Bacc1+ (more )
Structure Level Pattern Image Note
TS28: spleen Present UC Davis_1878187

Specimen UC Davis_1878188: postnatal adult; Bacc1tm1.1(KOMP)Vlcg/Bacc1+ (more )
Structure Level Pattern Image Note
TS28: pancreas Present UC Davis_1878188

Specimen UC Davis_1878189: postnatal adult; Bacc1tm1.1(KOMP)Vlcg/Bacc1+ (more )
Structure Level Pattern Image Note
TS28: metanephros Present UC Davis_1878189 kidney

Specimen UC Davis_1878190: postnatal adult; Bacc1tm1.1(KOMP)Vlcg/Bacc1+ (more )
Structure Level Pattern Image Note
TS28: metanephros Present UC Davis_1878190 kidney

Specimen UC Davis_1878191: postnatal adult; Bacc1tm1.1(KOMP)Vlcg/Bacc1+ (more )
Structure Level Pattern Image Note
TS28: metanephros Present UC Davis_1878191 kidney

Specimen UC Davis_1878192: postnatal adult; Bacc1tm1.1(KOMP)Vlcg/Bacc1+ (more )
Structure Level Pattern Image Note
TS28: quadriceps femoris muscle Present UC Davis_1878192

Specimen UC Davis_1878193: postnatal adult; Bacc1tm1.1(KOMP)Vlcg/Bacc1+ (more )
Structure Level Pattern Image Note
TS28: quadriceps femoris muscle Present UC Davis_1878193

Specimen UC Davis_1878194: postnatal adult; Bacc1tm1.1(KOMP)Vlcg/Bacc1+ (more )
Structure Level Pattern Image Note
TS28: quadriceps femoris muscle Present UC Davis_1878194

Specimen UC Davis_1878195: postnatal adult; Bacc1tm1.1(KOMP)Vlcg/Bacc1+ (more )
Structure Level Pattern Image Note
TS28: sciatic nerve Present UC Davis_1878195

Specimen UC Davis_1878196: postnatal adult; Bacc1tm1.1(KOMP)Vlcg/Bacc1+ (more )
Structure Level Pattern Image Note
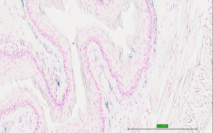
TS28: tongue Present UC Davis_1878196

Specimen UC Davis_1878197: postnatal adult; Bacc1tm1.1(KOMP)Vlcg/Bacc1+ (more )
Structure Level Pattern Image Note
TS28: diaphragm Present UC Davis_1878197

Specimen UC Davis_1878198: postnatal adult; Bacc1tm1.1(KOMP)Vlcg/Bacc1+ (more )
Structure Level Pattern Image Note
TS28: adrenal gland Present UC Davis_1878198

Specimen UC Davis_1878199: postnatal adult; Bacc1tm1.1(KOMP)Vlcg/Bacc1+ (more )
Structure Level Pattern Image Note
TS28: pituitary gland Present UC Davis_1878199

Specimen UC Davis_1878200: postnatal adult; Bacc1tm1.1(KOMP)Vlcg/Bacc1+ (more )
Structure Level Pattern Image Note
TS28: pituitary gland Present UC Davis_1878200

Specimen UC Davis_1878201: postnatal adult; Bacc1tm1.1(KOMP)Vlcg/Bacc1+ (more )
Structure Level Pattern Image Note
TS28: spinal cord Present UC Davis_1878201

Specimen UC Davis_1878202: postnatal adult; Bacc1tm1.1(KOMP)Vlcg/Bacc1+ (more )
Structure Level Pattern Image Note
TS28: spinal cord Present UC Davis_1878202

Specimen UC Davis_1878203: postnatal adult; Bacc1tm1.1(KOMP)Vlcg/Bacc1+ (more )
Structure Level Pattern Image Note
TS28: eye Present UC Davis_1878203

Specimen UC Davis_1878204: postnatal adult; Bacc1tm1.1(KOMP)Vlcg/Bacc1+ (more )
Structure Level Pattern Image Note
TS28: eye Present UC Davis_1878204

Specimen UC Davis_1878205: postnatal adult; Bacc1tm1.1(KOMP)Vlcg/Bacc1+ (more )
Structure Level Pattern Image Note
TS28: eye Present UC Davis_1878205

Specimen UC Davis_1878207: postnatal adult; Bacc1tm1.1(KOMP)Vlcg/Bacc1+ (more )
Structure Level Pattern Image Note
TS28: Harderian gland Present UC Davis_1878207

Specimen UC Davis_1878208: postnatal adult; Bacc1tm1.1(KOMP)Vlcg/Bacc1+ (more )
Structure Level Pattern Image Note
TS28: gonadal fat pad Present UC Davis_1878208

Specimen UC Davis_1878209: postnatal adult; Bacc1tm1.1(KOMP)Vlcg/Bacc1+ (more )
Structure Level Pattern Image Note
TS28: gonadal fat pad Present UC Davis_1878209

Specimen UC Davis_1878210: postnatal adult; Bacc1tm1.1(KOMP)Vlcg/Bacc1+ (more )
Structure Level Pattern Image Note
TS28: mesenteric adipose tissue Present UC Davis_1878210

Specimen UC Davis_1878211: postnatal adult; Bacc1tm1.1(KOMP)Vlcg/Bacc1+ (more )
Structure Level Pattern Image Note
TS28: skin Present UC Davis_1878211

Specimen UC Davis_1878212: postnatal adult; Bacc1tm1.1(KOMP)Vlcg/Bacc1+ (more )
Structure Level Pattern Image Note
TS28: skin Present UC Davis_1878212

Specimen UC Davis_1878213: postnatal adult; Bacc1tm1.1(KOMP)Vlcg/Bacc1+ (more )
Structure Level Pattern Image Note
TS28: brown fat Present UC Davis_1878213

Specimen UC Davis_1878214: postnatal adult; Bacc1tm1.1(KOMP)Vlcg/Bacc1+ (more )
Structure Level Pattern Image Note
TS28: brown fat Present UC Davis_1878214

Specimen UC Davis_1878215: postnatal adult; Bacc1tm1.1(KOMP)Vlcg/Bacc1+ (more )
Structure Level Pattern Image Note
TS28: olfactory lobe Present UC Davis_1878215

Specimen UC Davis_1878218: postnatal adult; Bacc1tm1.1(KOMP)Vlcg/Bacc1+ (more )
Structure Level Pattern Image Note
TS28: midbrain Present UC Davis_1878218

Specimen UC Davis_1878220: postnatal adult; Bacc1tm1.1(KOMP)Vlcg/Bacc1+ (more )
Structure Level Pattern Image Note
TS28: cerebellum Present UC Davis_1878220

Specimen UC Davis_1878221: postnatal adult; Bacc1tm1.1(KOMP)Vlcg/Bacc1+ (more )
Structure Level Pattern Image Note
TS28: trigeminal nerve Present UC Davis_1878221

Specimen UC Davis_1878222: postnatal adult; Bacc1tm1.1(KOMP)Vlcg/Bacc1+ (more )
Structure Level Pattern Image Note
TS28: ovary Present UC Davis_1878222

Specimen UC Davis_1878223: postnatal adult; Bacc1tm1.1(KOMP)Vlcg/Bacc1+ (more )
Structure Level Pattern Image Note
TS28: oviduct Present UC Davis_1878223

Specimen UC Davis_1878224: postnatal adult; Bacc1tm1.1(KOMP)Vlcg/Bacc1+ (more )
Structure Level Pattern Image Note
TS28: uterus Present UC Davis_1878224

Specimen UC Davis_1878225: postnatal adult; Bacc1tm1.1(KOMP)Vlcg/Bacc1+ (more )
Structure Level Pattern Image Note
TS28: uterus Present UC Davis_1878225

Specimen UC Davis_1878226: postnatal adult; Bacc1tm1.1(KOMP)Vlcg/Bacc1+ (more )
Structure Level Pattern Image Note
TS28: vagina Present UC Davis_1878226

Specimen UC Davis_1878227: postnatal adult; Bacc1tm1.1(KOMP)Vlcg/Bacc1+ (more )
Structure Level Pattern Image Note
TS28: bladder Present UC Davis_1878227

Specimen UC Davis_1878092: postnatal adult; Bacc1tm1.1(KOMP)Vlcg/Bacc1+ (more )
Structure Level Pattern Image Note
TS28: sublingual gland Present UC Davis_1878092

Specimen UC Davis_1878093: postnatal adult; Bacc1tm1.1(KOMP)Vlcg/Bacc1+ (more )
Structure Level Pattern Image Note
TS28: sublingual gland Present UC Davis_1878093

Specimen UC Davis_1878094: postnatal adult; Bacc1tm1.1(KOMP)Vlcg/Bacc1+ (more )
Structure Level Pattern Image Note
TS28: trachea Present UC Davis_1878094

Specimen UC Davis_1878095: postnatal adult; Bacc1tm1.1(KOMP)Vlcg/Bacc1+ (more )
Structure Level Pattern Image Note
TS28: trachea Present UC Davis_1878095

Specimen UC Davis_1878097: postnatal adult; Bacc1tm1.1(KOMP)Vlcg/Bacc1+ (more )
Structure Level Pattern Image Note
TS28: lung Present UC Davis_1878097

Specimen UC Davis_1878098: postnatal adult; Bacc1tm1.1(KOMP)Vlcg/Bacc1+ (more )
Structure Level Pattern Image Note
TS28: lung Present UC Davis_1878098

Specimen UC Davis_1878099: postnatal adult; Bacc1tm1.1(KOMP)Vlcg/Bacc1+ (more )
Structure Level Pattern Image Note
TS28: lung Present UC Davis_1878099

Specimen UC Davis_1878100: postnatal adult; Bacc1tm1.1(KOMP)Vlcg/Bacc1+ (more )
Structure Level Pattern Image Note
TS28: thymus Present UC Davis_1878100

Specimen UC Davis_1878101: postnatal adult; Bacc1tm1.1(KOMP)Vlcg/Bacc1+ (more )
Structure Level Pattern Image Note
TS28: thymus Present UC Davis_1878101

Specimen UC Davis_1878104: postnatal adult; Bacc1tm1.1(KOMP)Vlcg/Bacc1+ (more )
Structure Level Pattern Image Note
TS28: mesenteric lymph node Present UC Davis_1878104

Specimen UC Davis_1878105: postnatal adult; Bacc1tm1.1(KOMP)Vlcg/Bacc1+ (more )
Structure Level Pattern Image Note
TS28: stomach Present UC Davis_1878105

Specimen UC Davis_1878106: postnatal adult; Bacc1tm1.1(KOMP)Vlcg/Bacc1+ (more )
Structure Level Pattern Image Note
TS28: stomach Present UC Davis_1878106

Specimen UC Davis_1878107: postnatal adult; Bacc1tm1.1(KOMP)Vlcg/Bacc1+ (more )
Structure Level Pattern Image Note
TS28: duodenum Present UC Davis_1878107

Specimen UC Davis_1878108: postnatal adult; Bacc1tm1.1(KOMP)Vlcg/Bacc1+ (more )
Structure Level Pattern Image Note
TS28: duodenum Present UC Davis_1878108

Specimen UC Davis_1878109: postnatal adult; Bacc1tm1.1(KOMP)Vlcg/Bacc1+ (more )
Structure Level Pattern Image Note
TS28: jejunum Present UC Davis_1878109

Specimen UC Davis_1878110: postnatal adult; Bacc1tm1.1(KOMP)Vlcg/Bacc1+ (more )
Structure Level Pattern Image Note
TS28: jejunum Present UC Davis_1878110

Specimen UC Davis_1878111: postnatal adult; Bacc1tm1.1(KOMP)Vlcg/Bacc1+ (more )
Structure Level Pattern Image Note
TS28: ileum Present UC Davis_1878111

Specimen UC Davis_1878112: postnatal adult; Bacc1tm1.1(KOMP)Vlcg/Bacc1+ (more )
Structure Level Pattern Image Note
TS28: ileum Present UC Davis_1878112

Specimen UC Davis_1878113: postnatal adult; Bacc1tm1.1(KOMP)Vlcg/Bacc1+ (more )
Structure Level Pattern Image Note
TS28: colon Present UC Davis_1878113

Specimen UC Davis_1878114: postnatal adult; Bacc1tm1.1(KOMP)Vlcg/Bacc1+ (more )
Structure Level Pattern Image Note
TS28: colon Present UC Davis_1878114

Specimen UC Davis_1878115: postnatal adult; Bacc1tm1.1(KOMP)Vlcg/Bacc1+ (more )
Structure Level Pattern Image Note
TS28: colon Present UC Davis_1878115

Specimen UC Davis_1878116: postnatal adult; Bacc1tm1.1(KOMP)Vlcg/Bacc1+ (more )
Structure Level Pattern Image Note
TS28: cecum Present UC Davis_1878116

Specimen UC Davis_1878117: postnatal adult; Bacc1tm1.1(KOMP)Vlcg/Bacc1+ (more )
Structure Level Pattern Image Note
TS28: spleen Present UC Davis_1878117

Specimen UC Davis_1878118: postnatal adult; Bacc1tm1.1(KOMP)Vlcg/Bacc1+ (more )
Structure Level Pattern Image Note
TS28: pancreas Present UC Davis_1878118

Specimen UC Davis_1878119: postnatal adult; Bacc1tm1.1(KOMP)Vlcg/Bacc1+ (more )
Structure Level Pattern Image Note
TS28: liver Present UC Davis_1878119

Specimen UC Davis_1878120: postnatal adult; Bacc1tm1.1(KOMP)Vlcg/Bacc1+ (more )
Structure Level Pattern Image Note
TS28: liver Present UC Davis_1878120

Specimen UC Davis_1878121: postnatal adult; Bacc1tm1.1(KOMP)Vlcg/Bacc1+ (more )
Structure Level Pattern Image Note
TS28: metanephros Present UC Davis_1878121 kidney

Specimen UC Davis_1878122: postnatal adult; Bacc1tm1.1(KOMP)Vlcg/Bacc1+ (more )
Structure Level Pattern Image Note
TS28: metanephros Present UC Davis_1878122 kidney

Specimen UC Davis_1878123: postnatal adult; Bacc1tm1.1(KOMP)Vlcg/Bacc1+ (more )
Structure Level Pattern Image Note
TS28: metanephros Present UC Davis_1878123 kidney

Specimen UC Davis_1878124: postnatal adult; Bacc1tm1.1(KOMP)Vlcg/Bacc1+ (more )
Structure Level Pattern Image Note
TS28: pituitary gland Present UC Davis_1878124

Specimen UC Davis_1878125: postnatal adult; Bacc1tm1.1(KOMP)Vlcg/Bacc1+ (more )
Structure Level Pattern Image Note
TS28: pituitary gland Present UC Davis_1878125

Specimen UC Davis_1878126: postnatal adult; Bacc1tm1.1(KOMP)Vlcg/Bacc1+ (more )
Structure Level Pattern Image Note
TS28: spinal cord Present UC Davis_1878126

Specimen UC Davis_1878127: postnatal adult; Bacc1tm1.1(KOMP)Vlcg/Bacc1+ (more )
Structure Level Pattern Image Note
TS28: eye Present UC Davis_1878127

Specimen UC Davis_1878128: postnatal adult; Bacc1tm1.1(KOMP)Vlcg/Bacc1+ (more )
Structure Level Pattern Image Note
TS28: Harderian gland Present UC Davis_1878128

Specimen UC Davis_1878129: postnatal adult; Bacc1tm1.1(KOMP)Vlcg/Bacc1+ (more )
Structure Level Pattern Image Note
TS28: gonadal fat pad Present UC Davis_1878129

Specimen UC Davis_1878130: postnatal adult; Bacc1tm1.1(KOMP)Vlcg/Bacc1+ (more )
Structure Level Pattern Image Note
TS28: mesenteric adipose tissue Present UC Davis_1878130

Specimen UC Davis_1878131: postnatal adult; Bacc1tm1.1(KOMP)Vlcg/Bacc1+ (more )
Structure Level Pattern Image Note
TS28: skin Present UC Davis_1878131

Specimen UC Davis_1878132: postnatal adult; Bacc1tm1.1(KOMP)Vlcg/Bacc1+ (more )
Structure Level Pattern Image Note
TS28: skin Present UC Davis_1878132

Specimen UC Davis_1878133: postnatal adult; Bacc1tm1.1(KOMP)Vlcg/Bacc1+ (more )
Structure Level Pattern Image Note
TS28: brown fat Present UC Davis_1878133

Specimen UC Davis_1878134: postnatal adult; Bacc1tm1.1(KOMP)Vlcg/Bacc1+ (more )
Structure Level Pattern Image Note
TS28: olfactory lobe Present UC Davis_1878134

Specimen UC Davis_1878135: postnatal adult; Bacc1tm1.1(KOMP)Vlcg/Bacc1+ (more )
Structure Level Pattern Image Note
TS28: olfactory lobe Present UC Davis_1878135

Specimen UC Davis_1878139: postnatal adult; Bacc1tm1.1(KOMP)Vlcg/Bacc1+ (more )
Structure Level Pattern Image Note
TS28: midbrain Present UC Davis_1878139

Specimen UC Davis_1878140: postnatal adult; Bacc1tm1.1(KOMP)Vlcg/Bacc1+ (more )
Structure Level Pattern Image Note
TS28: midbrain Present UC Davis_1878140

Specimen UC Davis_1878142: postnatal adult; Bacc1tm1.1(KOMP)Vlcg/Bacc1+ (more )
Structure Level Pattern Image Note
TS28: cerebellum Present UC Davis_1878142

Specimen UC Davis_1878143: postnatal adult; Bacc1tm1.1(KOMP)Vlcg/Bacc1+ (more )
Structure Level Pattern Image Note
TS28: trigeminal nerve Present UC Davis_1878143

Specimen UC Davis_1878144: postnatal adult; Bacc1tm1.1(KOMP)Vlcg/Bacc1+ (more )
Structure Level Pattern Image Note
TS28: bladder Present UC Davis_1878144

Specimen UC Davis_1878145: postnatal adult; Bacc1tm1.1(KOMP)Vlcg/Bacc1+ (more )
Structure Level Pattern Image Note
TS28: bladder Present UC Davis_1878145

Specimen UC Davis_1878146: postnatal adult; Bacc1tm1.1(KOMP)Vlcg/Bacc1+ (more )
Structure Level Pattern Image Note
TS28: testis Present UC Davis_1878146

Specimen UC Davis_1878147: postnatal adult; Bacc1tm1.1(KOMP)Vlcg/Bacc1+ (more )
Structure Level Pattern Image Note
TS28: testis Present UC Davis_1878147

Specimen UC Davis_1878148: postnatal adult; Bacc1tm1.1(KOMP)Vlcg/Bacc1+ (more )
Structure Level Pattern Image Note
TS28: epididymis Present UC Davis_1878148

Specimen UC Davis_1878149: postnatal adult; Bacc1tm1.1(KOMP)Vlcg/Bacc1+ (more )
Structure Level Pattern Image Note
TS28: epididymis Present UC Davis_1878149

Specimen UC Davis_1878150: postnatal adult; Bacc1tm1.1(KOMP)Vlcg/Bacc1+ (more )
Structure Level Pattern Image Note
TS28: epididymis Present UC Davis_1878150

Specimen UC Davis_1878151: postnatal adult; Bacc1tm1.1(KOMP)Vlcg/Bacc1+ (more )
Structure Level Pattern Image Note
TS28: prostate gland Present UC Davis_1878151

Specimen UC Davis_1878152: postnatal adult; Bacc1tm1.1(KOMP)Vlcg/Bacc1+ (more )
Structure Level Pattern Image Note
TS28: penis Present UC Davis_1878152

Specimen UC Davis_1878153: postnatal adult; Bacc1tm1.1(KOMP)Vlcg/Bacc1+ (more )
Structure Level Pattern Image Note
TS28: penis Present UC Davis_1878153

Specimen UC Davis_1878154: postnatal adult; Bacc1tm1.1(KOMP)Vlcg/Bacc1+ (more )
Structure Level Pattern Image Note
TS28: penis Present UC Davis_1878154

Specimen UC Davis_1878155: postnatal adult; Bacc1tm1.1(KOMP)Vlcg/Bacc1+ (more )
Structure Level Pattern Image Note
TS28: ductus deferens Present UC Davis_1878155 vas deferens

Specimen UC Davis_1878156: postnatal adult; Bacc1tm1.1(KOMP)Vlcg/Bacc1+ (more )
Structure Level Pattern Image Note
TS28: ductus deferens Present UC Davis_1878156 vas deferens

Specimen UC Davis_1878159: postnatal adult; Bacc1tm1.1(KOMP)Vlcg/Bacc1+ (more )
Structure Level Pattern Image Note
TS28: seminal vesicle Present UC Davis_1878159 vesicular gland

Specimen UC Davis_1878160: postnatal adult; Bacc1tm1.1(KOMP)Vlcg/Bacc1+ (more )
Structure Level Pattern Image Note
TS28: seminal vesicle Present UC Davis_1878160 vesicular gland

Specimen UC Davis_1878161: postnatal adult; Bacc1tm1.1(KOMP)Vlcg/Bacc1+ (more )
Structure Level Pattern Image Note
TS28: seminal vesicle Present UC Davis_1878161 vesicular gland


Contributing Projects:
Mouse Genome Database (MGD), Gene Expression Database (GXD), Mouse Models of Human Cancer database (MMHCdb) (formerly Mouse Tumor Biology (MTB)), Gene Ontology (GO)
Citing These Resources
Funding Information
Warranty Disclaimer, Privacy Notice, Licensing, & Copyright
Send questions and comments to User Support.
last database update
01/20/2026
MGI 6.24
The Jackson Laboratory