About   Help   FAQ
Gene Expression Data
Assay Details
Assay
Reference: J:228563 Koscielny G, et al., The International Mouse Phenotyping Consortium Web Portal, a unified point of access for knockout mice and related phenotyping data. Nucleic Acids Res. 2014 Jan;42(Database issue):D802-9
Assay type: In situ reporter (knock in)
MGI Accession ID: MGI:6691769
Gene symbol: Rer1
Gene name: retention in endoplasmic reticulum sorting receptor 1
Reporter: lacZ
Direct Detection
Results
Specimen JAX_1330183: embryonic day 12.5; Rer1tm1.1(KOMP)Vlcg/Rer1+ (more )
Structure Level Pattern Image Note
TS20: embryo Present JAX_1330183

Specimen JAX_1330184: embryonic day 12.5; Rer1tm1.1(KOMP)Vlcg/Rer1+ (more )
Structure Level Pattern Image Note
TS20: embryo Present JAX_1330184

Specimen JAX_1330185: embryonic day 12.5; Rer1tm1.1(KOMP)Vlcg/Rer1+ (more )
Structure Level Pattern Image Note
TS20: embryo Present JAX_1330185

Specimen JAX_1330186: embryonic day 12.5; Rer1tm1.1(KOMP)Vlcg/Rer1+ (more )
Structure Level Pattern Image Note
TS20: embryo Present JAX_1330186

Specimen JAX_1330187: embryonic day 12.5; Rer1tm1.1(KOMP)Vlcg/Rer1+ (more )
Structure Level Pattern Image Note
TS20: embryo Present JAX_1330187

Specimen JAX_1330188: embryonic day 12.5; Rer1tm1.1(KOMP)Vlcg/Rer1+ (more )
Structure Level Pattern Image Note
TS20: embryo Present JAX_1330188

Specimen JAX_1330189: embryonic day 12.5; Rer1tm1.1(KOMP)Vlcg/Rer1+ (more )
Structure Level Pattern Image Note
TS20: embryo Present JAX_1330189

Specimen JAX_1330190: embryonic day 12.5; Rer1tm1.1(KOMP)Vlcg/Rer1+ (more )
Structure Level Pattern Image Note
TS20: embryo Present JAX_1330190

Specimen JAX_1373980: postnatal adult; Rer1tm1.1(KOMP)Vlcg/Rer1+ (more )
Structure Level Pattern Image Note
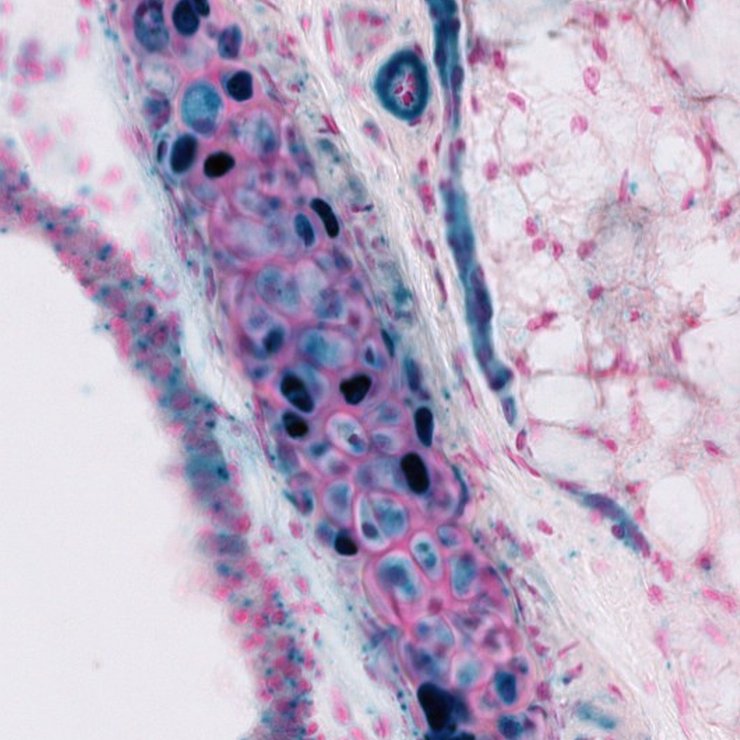
TS28: submandibular gland Present JAX_1373980

Specimen JAX_1373981: postnatal adult; Rer1tm1.1(KOMP)Vlcg/Rer1+ (more )
Structure Level Pattern Image Note
TS28: brown fat Present JAX_1373981

Specimen JAX_1373982: postnatal adult; Rer1tm1.1(KOMP)Vlcg/Rer1+ (more )
Structure Level Pattern Image Note
TS28: bladder Present JAX_1373982

Specimen JAX_1373983: postnatal adult; Rer1tm1.1(KOMP)Vlcg/Rer1+ (more )
Structure Level Pattern Image Note
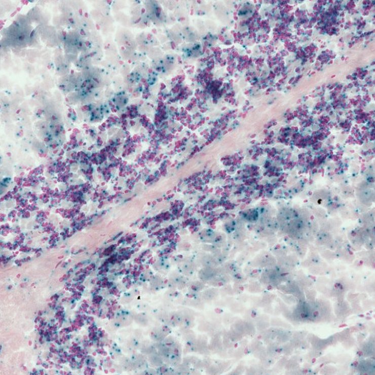
TS28: Peyer's patch Present JAX_1373983

Specimen JAX_1373984: postnatal adult; Rer1tm1.1(KOMP)Vlcg/Rer1+ (more )
Structure Level Pattern Image Note
TS28: peripheral nervous system Present JAX_1373984

Specimen JAX_1373985: postnatal adult; Rer1tm1.1(KOMP)Vlcg/Rer1+ (more )
Structure Level Pattern Image Note
TS28: spleen Present JAX_1373985

Specimen JAX_1373986: postnatal adult; Rer1tm1.1(KOMP)Vlcg/Rer1+ (more )
Structure Level Pattern Image Note
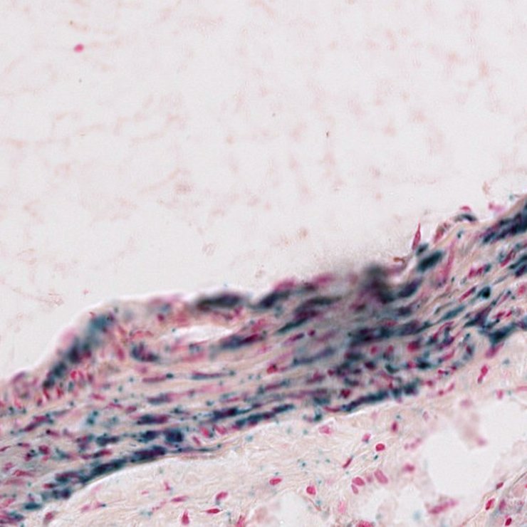
TS28: aorta Present JAX_1373986

Specimen JAX_1373987: postnatal adult; Rer1tm1.1(KOMP)Vlcg/Rer1+ (more )
Structure Level Pattern Image Note
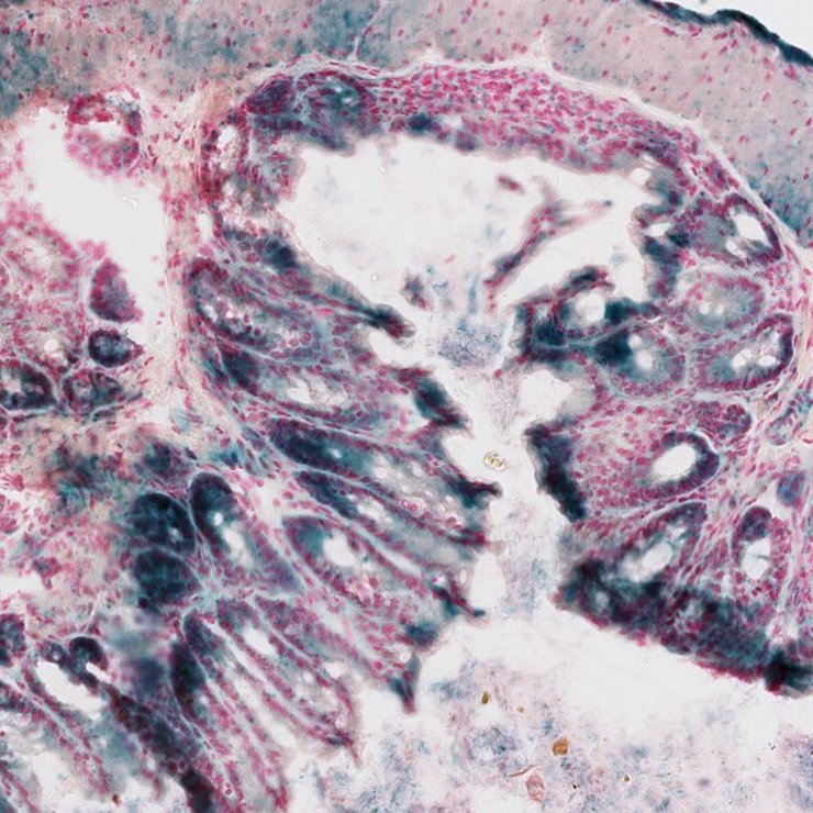
TS28: small intestine Present JAX_1373987

Specimen JAX_1373988: postnatal adult; Rer1tm1.1(KOMP)Vlcg/Rer1+ (more )
Structure Level Pattern Image Note
TS28: pituitary gland Present JAX_1373988

Specimen JAX_1373989: postnatal adult; Rer1tm1.1(KOMP)Vlcg/Rer1+ (more )
Structure Level Pattern Image Note
TS28: large intestine Present JAX_1373989

Specimen JAX_1373990: postnatal adult; Rer1tm1.1(KOMP)Vlcg/Rer1+ (more )
Structure Level Pattern Image Note
TS28: uterus Present JAX_1373990

Specimen JAX_1373991: postnatal adult; Rer1tm1.1(KOMP)Vlcg/Rer1+ (more )
Structure Level Pattern Image Note
TS28: trachea Present JAX_1373991

Specimen JAX_1373992: postnatal adult; Rer1tm1.1(KOMP)Vlcg/Rer1+ (more )
Structure Level Pattern Image Note
TS28: thymus Present JAX_1373992

Specimen JAX_1373993: postnatal adult; Rer1tm1.1(KOMP)Vlcg/Rer1+ (more )
Structure Level Pattern Image Note
TS28: stomach Present JAX_1373993

Specimen JAX_1373994: postnatal adult; Rer1tm1.1(KOMP)Vlcg/Rer1+ (more )
Structure Level Pattern Image Note
TS28: oviduct Present JAX_1373994

Specimen JAX_1373995: postnatal adult; Rer1tm1.1(KOMP)Vlcg/Rer1+ (more )
Structure Level Pattern Image Note
TS28: ovary Present JAX_1373995

Specimen JAX_1373996: postnatal adult; Rer1tm1.1(KOMP)Vlcg/Rer1+ (more )
Structure Level Pattern Image Note
TS28: mammary gland Present JAX_1373996

Specimen JAX_1373997: postnatal adult; Rer1tm1.1(KOMP)Vlcg/Rer1+ (more )
Structure Level Pattern Image Note
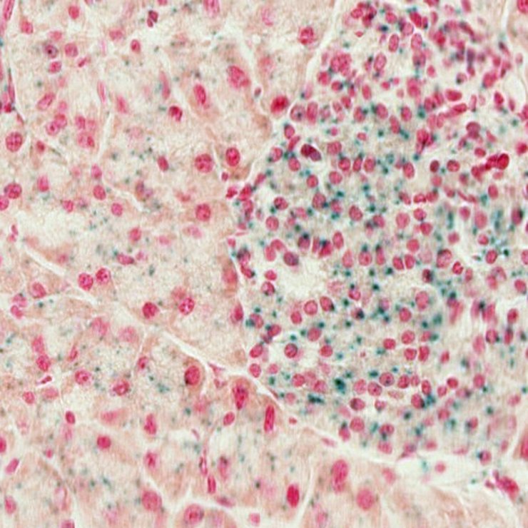
TS28: liver Present JAX_1373997

Specimen JAX_1373998: postnatal adult; Rer1tm1.1(KOMP)Vlcg/Rer1+ (more )
Structure Level Pattern Image Note
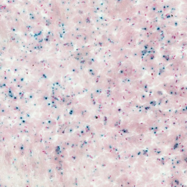
TS28: brain Present JAX_1373998

Specimen JAX_1373999: postnatal adult; Rer1tm1.1(KOMP)Vlcg/Rer1+ (more )
Structure Level Pattern Image Note
TS28: thalamus Present JAX_1373999

Specimen JAX_1374000: postnatal adult; Rer1tm1.1(KOMP)Vlcg/Rer1+ (more )
Structure Level Pattern Image Note
TS28: midbrain Present JAX_1374000

Specimen JAX_1374001: postnatal adult; Rer1tm1.1(KOMP)Vlcg/Rer1+ (more )
Structure Level Pattern Image Note
TS28: vascular system Present JAX_1374001

Specimen JAX_1374002: postnatal adult; Rer1tm1.1(KOMP)Vlcg/Rer1+ (more )
Structure Level Pattern Image Note
TS28: epididymis Present JAX_1374002

Specimen JAX_1374003: postnatal adult; Rer1tm1.1(KOMP)Vlcg/Rer1+ (more )
Structure Level Pattern Image Note
TS28: bone Present JAX_1374003

Specimen JAX_1374004: postnatal adult; Rer1tm1.1(KOMP)Vlcg/Rer1+ (more )
Structure Level Pattern Image Note
TS28: corpus striatum Present JAX_1374004

Specimen JAX_1374005: postnatal adult; Rer1tm1.1(KOMP)Vlcg/Rer1+ (more )
Structure Level Pattern Image Note
TS28: olfactory lobe Present JAX_1374005

Specimen JAX_1374006: postnatal adult; Rer1tm1.1(KOMP)Vlcg/Rer1+ (more )
Structure Level Pattern Image Note
TS28: hypothalamus Present JAX_1374006

Specimen JAX_1374007: postnatal adult; Rer1tm1.1(KOMP)Vlcg/Rer1+ (more )
Structure Level Pattern Image Note
TS28: hippocampus Present JAX_1374007

Specimen JAX_1374008: postnatal adult; Rer1tm1.1(KOMP)Vlcg/Rer1+ (more )
Structure Level Pattern Image Note
TS28: cerebellum Present JAX_1374008

Specimen JAX_1374009: postnatal adult; Rer1tm1.1(KOMP)Vlcg/Rer1+ (more )
Structure Level Pattern Image Note
TS28: cerebral cortex Present JAX_1374009

Specimen JAX_1374010: postnatal adult; Rer1tm1.1(KOMP)Vlcg/Rer1+ (more )
Structure Level Pattern Image Note
TS28: cartilage Present JAX_1374010

Specimen JAX_1374011: postnatal adult; Rer1tm1.1(KOMP)Vlcg/Rer1+ (more )
Structure Level Pattern Image Note
TS28: brainstem Present JAX_1374011

Specimen JAX_1374012: postnatal adult; Rer1tm1.1(KOMP)Vlcg/Rer1+ (more )
Structure Level Pattern Image Note
TS28: pancreas Present JAX_1374012

Specimen JAX_1374013: postnatal adult; Rer1tm1.1(KOMP)Vlcg/Rer1+ (more )
Structure Level Pattern Image Note
TS28: lung Present JAX_1374013

Specimen JAX_1374014: postnatal adult; Rer1tm1.1(KOMP)Vlcg/Rer1+ (more )
Structure Level Pattern Image Note
TS28: white fat Present JAX_1374014

Specimen JAX_1374015: postnatal adult; Rer1tm1.1(KOMP)Vlcg/Rer1+ (more )
Structure Level Pattern Image Note
TS28: skeletal muscle tissue Present JAX_1374015

Specimen JAX_1374016: postnatal adult; Rer1tm1.1(KOMP)Vlcg/Rer1+ (more )
Structure Level Pattern Image Note
TS28: thyroid gland Present JAX_1374016

Specimen JAX_1374017: postnatal adult; Rer1tm1.1(KOMP)Vlcg/Rer1+ (more )
Structure Level Pattern Image Note
TS28: spinal cord Present JAX_1374017

Specimen JAX_1374018: postnatal adult; Rer1tm1.1(KOMP)Vlcg/Rer1+ (more )
Structure Level Pattern Image Note
TS28: esophagus Present JAX_1374018

Specimen JAX_1374019: postnatal adult; Rer1tm1.1(KOMP)Vlcg/Rer1+ (more )
Structure Level Pattern Image Note
TS28: testis Present JAX_1374019

Specimen JAX_1374020: postnatal adult; Rer1tm1.1(KOMP)Vlcg/Rer1+ (more )
Structure Level Pattern Image Note
TS28: skin Present JAX_1374020

Specimen JAX_1374021: postnatal adult; Rer1tm1.1(KOMP)Vlcg/Rer1+ (more )
Structure Level Pattern Image Note
TS28: lymph node Present JAX_1374021

Specimen JAX_1374022: postnatal adult; Rer1tm1.1(KOMP)Vlcg/Rer1+ (more )
Structure Level Pattern Image Note
TS28: metanephros Present JAX_1374022 kidney

Specimen JAX_1374023: postnatal adult; Rer1tm1.1(KOMP)Vlcg/Rer1+ (more )
Structure Level Pattern Image Note
TS28: heart Present JAX_1374023

Specimen JAX_1374024: postnatal adult; Rer1tm1.1(KOMP)Vlcg/Rer1+ (more )
Structure Level Pattern Image Note
TS28: eye Present JAX_1374024

Specimen JAX_1374025: postnatal adult; Rer1tm1.1(KOMP)Vlcg/Rer1+ (more )
Structure Level Pattern Image Note
TS28: adrenal gland Present JAX_1374025


Contributing Projects:
Mouse Genome Database (MGD), Gene Expression Database (GXD), Mouse Models of Human Cancer database (MMHCdb) (formerly Mouse Tumor Biology (MTB)), Gene Ontology (GO)
Citing These Resources
Funding Information
Warranty Disclaimer, Privacy Notice, Licensing, & Copyright
Send questions and comments to User Support.
last database update
01/20/2026
MGI 6.24
The Jackson Laboratory