About   Help   FAQ
Gene Expression Data
Assay Details
Assay
Reference: J:228563 Koscielny G, et al., The International Mouse Phenotyping Consortium Web Portal, a unified point of access for knockout mice and related phenotyping data. Nucleic Acids Res. 2014 Jan;42(Database issue):D802-9
Assay type: In situ reporter (knock in)
MGI Accession ID: MGI:6691751
Gene symbol: Mettl16
Gene name: methyltransferase 16, N6-methyladenosine
Reporter: lacZ
Direct Detection
Results
Specimen JAX_1469987: embryonic day 12.5; Mettl16tm1b(KOMP)Mbp/Mettl16+ (more )
Structure Level Pattern Image Note
TS20: embryo Present JAX_1469987

Specimen JAX_1469988: embryonic day 12.5; Mettl16tm1b(KOMP)Mbp/Mettl16+ (more )
Structure Level Pattern Image Note
TS20: embryo Present JAX_1469988

Specimen JAX_1469989: embryonic day 12.5; Mettl16tm1b(KOMP)Mbp/Mettl16+ (more )
Structure Level Pattern Image Note
TS20: embryo Present JAX_1469989

Specimen JAX_1469990: embryonic day 12.5; Mettl16tm1b(KOMP)Mbp/Mettl16+ (more )
Structure Level Pattern Image Note
TS20: embryo Present JAX_1469990

Specimen JAX_927751: embryonic day 12.5; Mettl16tm1b(KOMP)Mbp/Mettl16+ (more )
Structure Level Pattern Image Note
TS20: embryo Present JAX_927751

Specimen JAX_927753: embryonic day 12.5; Mettl16tm1b(KOMP)Mbp/Mettl16+ (more )
Structure Level Pattern Image Note
TS20: embryo Present JAX_927753

Specimen JAX_927755: embryonic day 12.5; Mettl16tm1b(KOMP)Mbp/Mettl16+ (more )
Structure Level Pattern Image Note
TS20: embryo Present JAX_927755

Specimen JAX_927757: embryonic day 12.5; Mettl16tm1b(KOMP)Mbp/Mettl16+ (more )
Structure Level Pattern Image Note
TS20: embryo Present JAX_927757

Specimen JAX_1804236: postnatal adult; Mettl16tm1b(KOMP)Mbp/Mettl16+ (more )
Structure Level Pattern Image Note
TS28: bladder Present JAX_1804236

Specimen JAX_1804237: postnatal adult; Mettl16tm1b(KOMP)Mbp/Mettl16+ (more )
Structure Level Pattern Image Note
TS28: spleen Present JAX_1804237

Specimen JAX_1804238: postnatal adult; Mettl16tm1b(KOMP)Mbp/Mettl16+ (more )
Structure Level Pattern Image Note
TS28: pancreas Present JAX_1804238

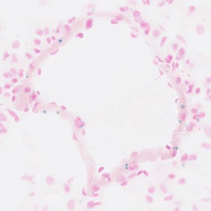
Specimen JAX_1804239: postnatal adult; Mettl16tm1b(KOMP)Mbp/Mettl16+ (more )
Structure Level Pattern Image Note
TS28: aorta Present JAX_1804239

Specimen JAX_1804240: postnatal adult; Mettl16tm1b(KOMP)Mbp/Mettl16+ (more )
Structure Level Pattern Image Note
TS28: uterus Present JAX_1804240

Specimen JAX_1804241: postnatal adult; Mettl16tm1b(KOMP)Mbp/Mettl16+ (more )
Structure Level Pattern Image Note
TS28: thymus Present JAX_1804241

Specimen JAX_1804242: postnatal adult; Mettl16tm1b(KOMP)Mbp/Mettl16+ (more )
Structure Level Pattern Image Note
TS28: skin Present JAX_1804242

Specimen JAX_1804243: postnatal adult; Mettl16tm1b(KOMP)Mbp/Mettl16+ (more )
Structure Level Pattern Image Note
TS28: oviduct Present JAX_1804243

Specimen JAX_1804244: postnatal adult; Mettl16tm1b(KOMP)Mbp/Mettl16+ (more )
Structure Level Pattern Image Note
TS28: ovary Present JAX_1804244

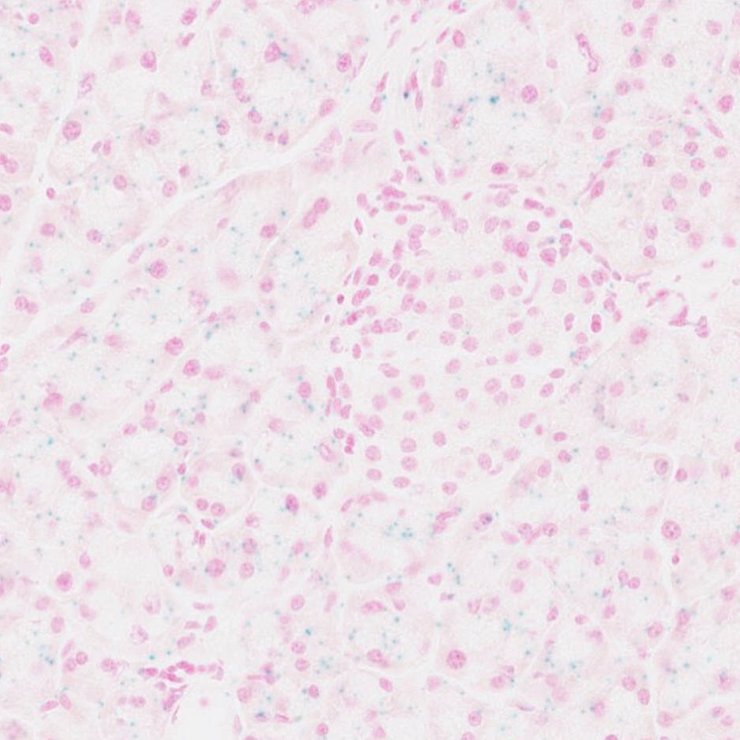
Specimen JAX_1804245: postnatal adult; Mettl16tm1b(KOMP)Mbp/Mettl16+ (more )
Structure Level Pattern Image Note
TS28: metanephros Present JAX_1804245 kidney

Specimen JAX_1804246: postnatal adult; Mettl16tm1b(KOMP)Mbp/Mettl16+ (more )
Structure Level Pattern Image Note
TS28: heart Present JAX_1804246

Specimen JAX_1804247: postnatal adult; Mettl16tm1b(KOMP)Mbp/Mettl16+ (more )
Structure Level Pattern Image Note
TS28: adrenal gland Present JAX_1804247

Specimen JAX_737159: postnatal adult; Mettl16tm1b(KOMP)Mbp/Mettl16+ (more )
Structure Level Pattern Image Note
TS28: thalamus Present JAX_737159

Specimen JAX_737161: postnatal adult; Mettl16tm1b(KOMP)Mbp/Mettl16+ (more )
Structure Level Pattern Image Note
TS28: midbrain Present JAX_737161

Specimen JAX_737163: postnatal adult; Mettl16tm1b(KOMP)Mbp/Mettl16+ (more )
Structure Level Pattern Image Note
TS28: vascular system Present JAX_737163

Specimen JAX_737165: postnatal adult; Mettl16tm1b(KOMP)Mbp/Mettl16+ (more )
Structure Level Pattern Image Note
TS28: epididymis Present JAX_737165

Specimen JAX_737167: postnatal adult; Mettl16tm1b(KOMP)Mbp/Mettl16+ (more )
Structure Level Pattern Image Note
TS28: submandibular gland Present JAX_737167

Specimen JAX_737169: postnatal adult; Mettl16tm1b(KOMP)Mbp/Mettl16+ (more )
Structure Level Pattern Image Note
TS28: corpus striatum Present JAX_737169

Specimen JAX_737171: postnatal adult; Mettl16tm1b(KOMP)Mbp/Mettl16+ (more )
Structure Level Pattern Image Note
TS28: Peyer's patch Present JAX_737171

Specimen JAX_737173: postnatal adult; Mettl16tm1b(KOMP)Mbp/Mettl16+ (more )
Structure Level Pattern Image Note
TS28: peripheral nervous system Present JAX_737173

Specimen JAX_737175: postnatal adult; Mettl16tm1b(KOMP)Mbp/Mettl16+ (more )
Structure Level Pattern Image Note
TS28: olfactory lobe Present JAX_737175

Specimen JAX_737177: postnatal adult; Mettl16tm1b(KOMP)Mbp/Mettl16+ (more )
Structure Level Pattern Image Note
TS28: hypothalamus Present JAX_737177

Specimen JAX_737179: postnatal adult; Mettl16tm1b(KOMP)Mbp/Mettl16+ (more )
Structure Level Pattern Image Note
TS28: hippocampus Present JAX_737179

Specimen JAX_737181: postnatal adult; Mettl16tm1b(KOMP)Mbp/Mettl16+ (more )
Structure Level Pattern Image Note
TS28: cerebellum Present JAX_737181

Specimen JAX_737183: postnatal adult; Mettl16tm1b(KOMP)Mbp/Mettl16+ (more )
Structure Level Pattern Image Note
TS28: cerebral cortex Present JAX_737183

Specimen JAX_737185: postnatal adult; Mettl16tm1b(KOMP)Mbp/Mettl16+ (more )
Structure Level Pattern Image Note
TS28: cartilage Present JAX_737185

Specimen JAX_737187: postnatal adult; Mettl16tm1b(KOMP)Mbp/Mettl16+ (more )
Structure Level Pattern Image Note
TS28: brainstem Present JAX_737187

Specimen JAX_737189: postnatal adult; Mettl16tm1b(KOMP)Mbp/Mettl16+ (more )
Structure Level Pattern Image Note
TS28: lung Present JAX_737189

Specimen JAX_737191: postnatal adult; Mettl16tm1b(KOMP)Mbp/Mettl16+ (more )
Structure Level Pattern Image Note
TS28: small intestine Present JAX_737191

Specimen JAX_737193: postnatal adult; Mettl16tm1b(KOMP)Mbp/Mettl16+ (more )
Structure Level Pattern Image Note
TS28: pituitary gland Present JAX_737193

Specimen JAX_737195: postnatal adult; Mettl16tm1b(KOMP)Mbp/Mettl16+ (more )
Structure Level Pattern Image Note
TS28: esophagus Present JAX_737195

Specimen JAX_737197: postnatal adult; Mettl16tm1b(KOMP)Mbp/Mettl16+ (more )
Structure Level Pattern Image Note
TS28: large intestine Present JAX_737197

Specimen JAX_737199: postnatal adult; Mettl16tm1b(KOMP)Mbp/Mettl16+ (more )
Structure Level Pattern Image Note
TS28: trachea Present JAX_737199

Specimen JAX_737201: postnatal adult; Mettl16tm1b(KOMP)Mbp/Mettl16+ (more )
Structure Level Pattern Image Note
TS28: testis Present JAX_737201

Specimen JAX_737203: postnatal adult; Mettl16tm1b(KOMP)Mbp/Mettl16+ (more )
Structure Level Pattern Image Note
TS28: stomach Present JAX_737203

Specimen JAX_737205: postnatal adult; Mettl16tm1b(KOMP)Mbp/Mettl16+ (more )
Structure Level Pattern Image Note
TS28: eye Present JAX_737205

Specimen JAX_737207: postnatal adult; Mettl16tm1b(KOMP)Mbp/Mettl16+ (more )
Structure Level Pattern Image Note
TS28: brain Present JAX_737207


Contributing Projects:
Mouse Genome Database (MGD), Gene Expression Database (GXD), Mouse Models of Human Cancer database (MMHCdb) (formerly Mouse Tumor Biology (MTB)), Gene Ontology (GO)
Citing These Resources
Funding Information
Warranty Disclaimer, Privacy Notice, Licensing, & Copyright
Send questions and comments to User Support.
last database update
12/30/2025
MGI 6.24
The Jackson Laboratory