About   Help   FAQ
Gene Expression Data
Assay Details
Assay
Reference: J:228563 Koscielny G, et al., The International Mouse Phenotyping Consortium Web Portal, a unified point of access for knockout mice and related phenotyping data. Nucleic Acids Res. 2014 Jan;42(Database issue):D802-9
Assay type: In situ reporter (knock in)
MGI Accession ID: MGI:6691462
Gene symbol: Clpx
Gene name: caseinolytic mitochondrial matrix peptidase chaperone subunit
Reporter: lacZ
Direct Detection
Results
Specimen JAX_1268127: embryonic day 12.5; Clpxtm1.1(KOMP)Vlcg/Clpx+ (more )
Structure Level Pattern Image Note
TS20: embryo Present JAX_1268127

Specimen JAX_1268129: embryonic day 12.5; Clpxtm1.1(KOMP)Vlcg/Clpx+ (more )
Structure Level Pattern Image Note
TS20: embryo Present JAX_1268129

Specimen JAX_1268131: embryonic day 12.5; Clpxtm1.1(KOMP)Vlcg/Clpx+ (more )
Structure Level Pattern Image Note
TS20: embryo Present JAX_1268131

Specimen JAX_1268133: embryonic day 12.5; Clpxtm1.1(KOMP)Vlcg/Clpx+ (more )
Structure Level Pattern Image Note
TS20: embryo Present JAX_1268133

Specimen JAX_1268135: embryonic day 12.5; Clpxtm1.1(KOMP)Vlcg/Clpx+ (more )
Structure Level Pattern Image Note
TS20: embryo Present JAX_1268135

Specimen JAX_1268137: embryonic day 12.5; Clpxtm1.1(KOMP)Vlcg/Clpx+ (more )
Structure Level Pattern Image Note
TS20: embryo Present JAX_1268137

Specimen JAX_1268139: embryonic day 12.5; Clpxtm1.1(KOMP)Vlcg/Clpx+ (more )
Structure Level Pattern Image Note
TS20: embryo Present JAX_1268139

Specimen JAX_1268141: embryonic day 12.5; Clpxtm1.1(KOMP)Vlcg/Clpx+ (more )
Structure Level Pattern Image Note
TS20: embryo Present JAX_1268141

Specimen JAX_1373265: postnatal adult; Clpxtm1.1(KOMP)Vlcg/Clpx+ (more )
Structure Level Pattern Image Note
TS28: spleen Present JAX_1373265

Specimen JAX_1373266: postnatal adult; Clpxtm1.1(KOMP)Vlcg/Clpx+ (more )
Structure Level Pattern Image Note
TS28: pancreas Present JAX_1373266

Specimen JAX_1373267: postnatal adult; Clpxtm1.1(KOMP)Vlcg/Clpx+ (more )
Structure Level Pattern Image Note
TS28: pituitary gland Present JAX_1373267

Specimen JAX_1373268: postnatal adult; Clpxtm1.1(KOMP)Vlcg/Clpx+ (more )
Structure Level Pattern Image Note
TS28: uterus Present JAX_1373268

Specimen JAX_1373269: postnatal adult; Clpxtm1.1(KOMP)Vlcg/Clpx+ (more )
Structure Level Pattern Image Note
TS28: oviduct Present JAX_1373269

Specimen JAX_1373270: postnatal adult; Clpxtm1.1(KOMP)Vlcg/Clpx+ (more )
Structure Level Pattern Image Note
TS28: ovary Present JAX_1373270

Specimen JAX_1373271: postnatal adult; Clpxtm1.1(KOMP)Vlcg/Clpx+ (more )
Structure Level Pattern Image Note
TS28: mammary gland Present JAX_1373271

Specimen JAX_1373272: postnatal adult; Clpxtm1.1(KOMP)Vlcg/Clpx+ (more )
Structure Level Pattern Image Note
TS28: liver Present JAX_1373272

Specimen JAX_1373273: postnatal adult; Clpxtm1.1(KOMP)Vlcg/Clpx+ (more )
Structure Level Pattern Image Note
TS28: metanephros Present JAX_1373273 kidney

Specimen JAX_1373274: postnatal adult; Clpxtm1.1(KOMP)Vlcg/Clpx+ (more )
Structure Level Pattern Image Note
TS28: adrenal gland Present JAX_1373274

Specimen JAX_1373275: postnatal adult; Clpxtm1.1(KOMP)Vlcg/Clpx+ (more )
Structure Level Pattern Image Note
TS28: thalamus Present JAX_1373275

Specimen JAX_1373276: postnatal adult; Clpxtm1.1(KOMP)Vlcg/Clpx+ (more )
Structure Level Pattern Image Note
TS28: midbrain Present JAX_1373276

Specimen JAX_1373277: postnatal adult; Clpxtm1.1(KOMP)Vlcg/Clpx+ (more )
Structure Level Pattern Image Note
TS28: vascular system Present JAX_1373277

Specimen JAX_1373278: postnatal adult; Clpxtm1.1(KOMP)Vlcg/Clpx+ (more )
Structure Level Pattern Image Note
TS28: epididymis Present JAX_1373278

Specimen JAX_1373279: postnatal adult; Clpxtm1.1(KOMP)Vlcg/Clpx+ (more )
Structure Level Pattern Image Note
TS28: submandibular gland Present JAX_1373279

Specimen JAX_1373280: postnatal adult; Clpxtm1.1(KOMP)Vlcg/Clpx+ (more )
Structure Level Pattern Image Note
TS28: brown fat Present JAX_1373280

Specimen JAX_1373281: postnatal adult; Clpxtm1.1(KOMP)Vlcg/Clpx+ (more )
Structure Level Pattern Image Note
TS28: bladder Present JAX_1373281

Specimen JAX_1373282: postnatal adult; Clpxtm1.1(KOMP)Vlcg/Clpx+ (more )
Structure Level Pattern Image Note
TS28: corpus striatum Present JAX_1373282

Specimen JAX_1373283: postnatal adult; Clpxtm1.1(KOMP)Vlcg/Clpx+ (more )
Structure Level Pattern Image Note
TS28: Peyer's patch Present JAX_1373283

Specimen JAX_1373284: postnatal adult; Clpxtm1.1(KOMP)Vlcg/Clpx+ (more )
Structure Level Pattern Image Note
TS28: peripheral nervous system Present JAX_1373284

Specimen JAX_1373285: postnatal adult; Clpxtm1.1(KOMP)Vlcg/Clpx+ (more )
Structure Level Pattern Image Note
TS28: olfactory lobe Present JAX_1373285

Specimen JAX_1373286: postnatal adult; Clpxtm1.1(KOMP)Vlcg/Clpx+ (more )
Structure Level Pattern Image Note
TS28: hypothalamus Present JAX_1373286

Specimen JAX_1373287: postnatal adult; Clpxtm1.1(KOMP)Vlcg/Clpx+ (more )
Structure Level Pattern Image Note
TS28: hippocampus Present JAX_1373287

Specimen JAX_1373288: postnatal adult; Clpxtm1.1(KOMP)Vlcg/Clpx+ (more )
Structure Level Pattern Image Note
TS28: cerebellum Present JAX_1373288

Specimen JAX_1373289: postnatal adult; Clpxtm1.1(KOMP)Vlcg/Clpx+ (more )
Structure Level Pattern Image Note
TS28: cerebral cortex Present JAX_1373289

Specimen JAX_1373290: postnatal adult; Clpxtm1.1(KOMP)Vlcg/Clpx+ (more )
Structure Level Pattern Image Note
TS28: cartilage Present JAX_1373290

Specimen JAX_1373291: postnatal adult; Clpxtm1.1(KOMP)Vlcg/Clpx+ (more )
Structure Level Pattern Image Note
TS28: brainstem Present JAX_1373291

Specimen JAX_1373292: postnatal adult; Clpxtm1.1(KOMP)Vlcg/Clpx+ (more )
Structure Level Pattern Image Note
TS28: aorta Present JAX_1373292

Specimen JAX_1373293: postnatal adult; Clpxtm1.1(KOMP)Vlcg/Clpx+ (more )
Structure Level Pattern Image Note
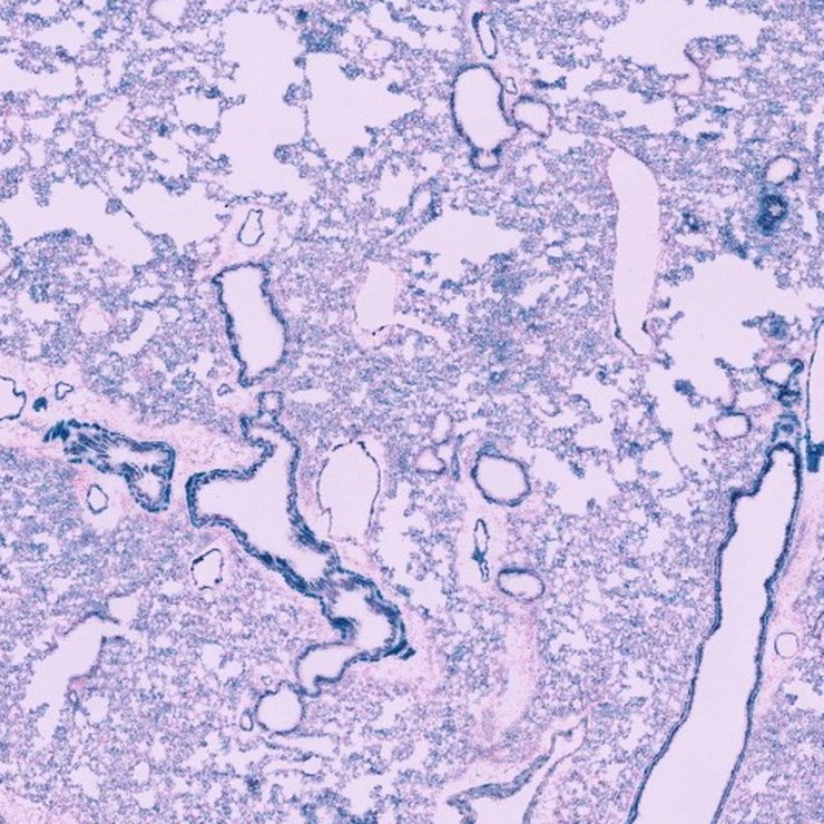
TS28: lung Present JAX_1373293

Specimen JAX_1373294: postnatal adult; Clpxtm1.1(KOMP)Vlcg/Clpx+ (more )
Structure Level Pattern Image Note
TS28: white fat Present JAX_1373294

Specimen JAX_1373295: postnatal adult; Clpxtm1.1(KOMP)Vlcg/Clpx+ (more )
Structure Level Pattern Image Note
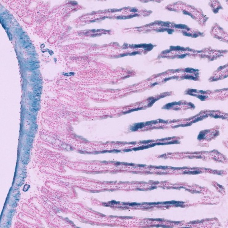
TS28: small intestine Present JAX_1373295

Specimen JAX_1373296: postnatal adult; Clpxtm1.1(KOMP)Vlcg/Clpx+ (more )
Structure Level Pattern Image Note
TS28: skeletal muscle tissue Present JAX_1373296

Specimen JAX_1373297: postnatal adult; Clpxtm1.1(KOMP)Vlcg/Clpx+ (more )
Structure Level Pattern Image Note
TS28: thyroid gland Present JAX_1373297

Specimen JAX_1373298: postnatal adult; Clpxtm1.1(KOMP)Vlcg/Clpx+ (more )
Structure Level Pattern Image Note
TS28: spinal cord Present JAX_1373298

Specimen JAX_1373299: postnatal adult; Clpxtm1.1(KOMP)Vlcg/Clpx+ (more )
Structure Level Pattern Image Note
TS28: esophagus Present JAX_1373299

Specimen JAX_1373300: postnatal adult; Clpxtm1.1(KOMP)Vlcg/Clpx+ (more )
Structure Level Pattern Image Note
TS28: large intestine Present JAX_1373300

Specimen JAX_1373301: postnatal adult; Clpxtm1.1(KOMP)Vlcg/Clpx+ (more )
Structure Level Pattern Image Note
TS28: trachea Present JAX_1373301

Specimen JAX_1373302: postnatal adult; Clpxtm1.1(KOMP)Vlcg/Clpx+ (more )
Structure Level Pattern Image Note
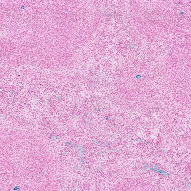
TS28: thymus Present JAX_1373302

Specimen JAX_1373303: postnatal adult; Clpxtm1.1(KOMP)Vlcg/Clpx+ (more )
Structure Level Pattern Image Note
TS28: testis Present JAX_1373303

Specimen JAX_1373304: postnatal adult; Clpxtm1.1(KOMP)Vlcg/Clpx+ (more )
Structure Level Pattern Image Note
TS28: stomach Present JAX_1373304

Specimen JAX_1373305: postnatal adult; Clpxtm1.1(KOMP)Vlcg/Clpx+ (more )
Structure Level Pattern Image Note
TS28: skin Present JAX_1373305

Specimen JAX_1373306: postnatal adult; Clpxtm1.1(KOMP)Vlcg/Clpx+ (more )
Structure Level Pattern Image Note
TS28: lymph node Present JAX_1373306

Specimen JAX_1373307: postnatal adult; Clpxtm1.1(KOMP)Vlcg/Clpx+ (more )
Structure Level Pattern Image Note
TS28: heart Present JAX_1373307

Specimen JAX_1373308: postnatal adult; Clpxtm1.1(KOMP)Vlcg/Clpx+ (more )
Structure Level Pattern Image Note
TS28: eye Present JAX_1373308

Specimen JAX_1373309: postnatal adult; Clpxtm1.1(KOMP)Vlcg/Clpx+ (more )
Structure Level Pattern Image Note
TS28: brain Present JAX_1373309


Contributing Projects:
Mouse Genome Database (MGD), Gene Expression Database (GXD), Mouse Models of Human Cancer database (MMHCdb) (formerly Mouse Tumor Biology (MTB)), Gene Ontology (GO)
Citing These Resources
Funding Information
Warranty Disclaimer, Privacy Notice, Licensing, & Copyright
Send questions and comments to User Support.
last database update
01/20/2026
MGI 6.24
The Jackson Laboratory