About   Help   FAQ
Gene Expression Data
Assay Details
Assay
Reference: J:228563 Koscielny G, et al., The International Mouse Phenotyping Consortium Web Portal, a unified point of access for knockout mice and related phenotyping data. Nucleic Acids Res. 2014 Jan;42(Database issue):D802-9
Assay type: In situ reporter (knock in)
MGI Accession ID: MGI:6691447
Gene symbol: Arih2
Gene name: ariadne RBR E3 ubiquitin protein ligase 2
Reporter: lacZ
Direct Detection
Results
Specimen TCP_2460398: postnatal adult; Arih2tm1.1(KOMP)Vlcg/Arih2+ (more )
Structure Level Pattern Image Note
TS28: brown fat Present TCP_2460398

Specimen TCP_2460399: postnatal adult; Arih2tm1.1(KOMP)Vlcg/Arih2+ (more )
Structure Level Pattern Image Note
TS28: lung Present TCP_2460399

Specimen TCP_2460400: postnatal adult; Arih2tm1.1(KOMP)Vlcg/Arih2+ (more )
Structure Level Pattern Image Note
TS28: pancreas Present TCP_2460400

Specimen TCP_2460401: postnatal adult; Arih2tm1.1(KOMP)Vlcg/Arih2+ (more )
Structure Level Pattern Image Note
TS28: skin Present TCP_2460401

Specimen TCP_2460403: postnatal adult; Arih2tm1.1(KOMP)Vlcg/Arih2+ (more )
Structure Level Pattern Image Note
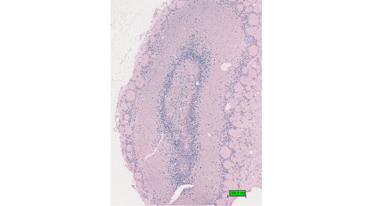
TS28: spinal cord Present TCP_2460403

Specimen TCP_2460404: postnatal adult; Arih2tm1.1(KOMP)Vlcg/Arih2+ (more )
Structure Level Pattern Image Note
TS28: corpus striatum Present TCP_2460404

Specimen UC Davis_1877266: postnatal adult; Arih2tm1.1(KOMP)Vlcg/Arih2+ (more )
Structure Level Pattern Image Note
TS28: submandibular gland Present UC Davis_1877266

Specimen UC Davis_1877267: postnatal adult; Arih2tm1.1(KOMP)Vlcg/Arih2+ (more )
Structure Level Pattern Image Note
TS28: submandibular gland Present UC Davis_1877267

Specimen UC Davis_1877268: postnatal adult; Arih2tm1.1(KOMP)Vlcg/Arih2+ (more )
Structure Level Pattern Image Note
TS28: sublingual gland Present UC Davis_1877268

Specimen UC Davis_1877269: postnatal adult; Arih2tm1.1(KOMP)Vlcg/Arih2+ (more )
Structure Level Pattern Image Note
TS28: parotid gland Present UC Davis_1877269

Specimen UC Davis_1877271: postnatal adult; Arih2tm1.1(KOMP)Vlcg/Arih2+ (more )
Structure Level Pattern Image Note
TS28: trachea Present UC Davis_1877271

Specimen UC Davis_1877272: postnatal adult; Arih2tm1.1(KOMP)Vlcg/Arih2+ (more )
Structure Level Pattern Image Note
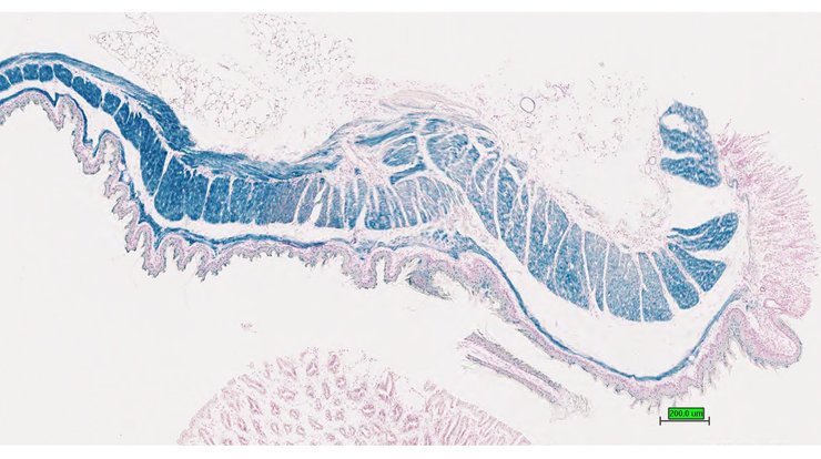
TS28: esophagus Present UC Davis_1877272

Specimen UC Davis_1877273: postnatal adult; Arih2tm1.1(KOMP)Vlcg/Arih2+ (more )
Structure Level Pattern Image Note
TS28: esophagus Present UC Davis_1877273

Specimen UC Davis_1877274: postnatal adult; Arih2tm1.1(KOMP)Vlcg/Arih2+ (more )
Structure Level Pattern Image Note
TS28: thyroid gland Present UC Davis_1877274

Specimen UC Davis_1877275: postnatal adult; Arih2tm1.1(KOMP)Vlcg/Arih2+ (more )
Structure Level Pattern Image Note
TS28: aorta Present UC Davis_1877275

Specimen UC Davis_1877276: postnatal adult; Arih2tm1.1(KOMP)Vlcg/Arih2+ (more )
Structure Level Pattern Image Note
TS28: lung Present UC Davis_1877276

Specimen UC Davis_1877277: postnatal adult; Arih2tm1.1(KOMP)Vlcg/Arih2+ (more )
Structure Level Pattern Image Note
TS28: lung Present UC Davis_1877277

Specimen UC Davis_1877278: postnatal adult; Arih2tm1.1(KOMP)Vlcg/Arih2+ (more )
Structure Level Pattern Image Note
TS28: thymus Present UC Davis_1877278

Specimen UC Davis_1877279: postnatal adult; Arih2tm1.1(KOMP)Vlcg/Arih2+ (more )
Structure Level Pattern Image Note
TS28: thymus Present UC Davis_1877279

Specimen UC Davis_1877285: postnatal adult; Arih2tm1.1(KOMP)Vlcg/Arih2+ (more )
Structure Level Pattern Image Note
TS28: mesenteric lymph node Present UC Davis_1877285

Specimen UC Davis_1877286: postnatal adult; Arih2tm1.1(KOMP)Vlcg/Arih2+ (more )
Structure Level Pattern Image Note
TS28: stomach Present UC Davis_1877286

Specimen UC Davis_1877287: postnatal adult; Arih2tm1.1(KOMP)Vlcg/Arih2+ (more )
Structure Level Pattern Image Note
TS28: stomach Present UC Davis_1877287

Specimen UC Davis_1877288: postnatal adult; Arih2tm1.1(KOMP)Vlcg/Arih2+ (more )
Structure Level Pattern Image Note
TS28: duodenum Present UC Davis_1877288

Specimen UC Davis_1877289: postnatal adult; Arih2tm1.1(KOMP)Vlcg/Arih2+ (more )
Structure Level Pattern Image Note
TS28: ileum Present UC Davis_1877289

Specimen UC Davis_1877290: postnatal adult; Arih2tm1.1(KOMP)Vlcg/Arih2+ (more )
Structure Level Pattern Image Note
TS28: colon Present UC Davis_1877290

Specimen UC Davis_1877291: postnatal adult; Arih2tm1.1(KOMP)Vlcg/Arih2+ (more )
Structure Level Pattern Image Note
TS28: colon Present UC Davis_1877291

Specimen UC Davis_1877292: postnatal adult; Arih2tm1.1(KOMP)Vlcg/Arih2+ (more )
Structure Level Pattern Image Note
TS28: cecum Present UC Davis_1877292

Specimen UC Davis_1877293: postnatal adult; Arih2tm1.1(KOMP)Vlcg/Arih2+ (more )
Structure Level Pattern Image Note
TS28: spleen Present UC Davis_1877293

Specimen UC Davis_1877294: postnatal adult; Arih2tm1.1(KOMP)Vlcg/Arih2+ (more )
Structure Level Pattern Image Note
TS28: spleen Present UC Davis_1877294

Specimen UC Davis_1877295: postnatal adult; Arih2tm1.1(KOMP)Vlcg/Arih2+ (more )
Structure Level Pattern Image Note
TS28: spleen Present UC Davis_1877295

Specimen UC Davis_1877296: postnatal adult; Arih2tm1.1(KOMP)Vlcg/Arih2+ (more )
Structure Level Pattern Image Note
TS28: pancreas Present UC Davis_1877296

Specimen UC Davis_1877297: postnatal adult; Arih2tm1.1(KOMP)Vlcg/Arih2+ (more )
Structure Level Pattern Image Note
TS28: liver Present UC Davis_1877297

Specimen UC Davis_1877298: postnatal adult; Arih2tm1.1(KOMP)Vlcg/Arih2+ (more )
Structure Level Pattern Image Note
TS28: liver Present UC Davis_1877298

Specimen UC Davis_1877299: postnatal adult; Arih2tm1.1(KOMP)Vlcg/Arih2+ (more )
Structure Level Pattern Image Note
TS28: metanephros Present UC Davis_1877299 kidney

Specimen UC Davis_1877300: postnatal adult; Arih2tm1.1(KOMP)Vlcg/Arih2+ (more )
Structure Level Pattern Image Note
TS28: metanephros Present UC Davis_1877300 kidney

Specimen UC Davis_1877301: postnatal adult; Arih2tm1.1(KOMP)Vlcg/Arih2+ (more )
Structure Level Pattern Image Note
TS28: metanephros Present UC Davis_1877301 kidney

Specimen UC Davis_1877302: postnatal adult; Arih2tm1.1(KOMP)Vlcg/Arih2+ (more )
Structure Level Pattern Image Note
TS28: quadriceps femoris muscle Present UC Davis_1877302

Specimen UC Davis_1877303: postnatal adult; Arih2tm1.1(KOMP)Vlcg/Arih2+ (more )
Structure Level Pattern Image Note
TS28: quadriceps femoris muscle Present UC Davis_1877303

Specimen UC Davis_1877304: postnatal adult; Arih2tm1.1(KOMP)Vlcg/Arih2+ (more )
Structure Level Pattern Image Note
TS28: quadriceps femoris muscle Present UC Davis_1877304

Specimen UC Davis_1877305: postnatal adult; Arih2tm1.1(KOMP)Vlcg/Arih2+ (more )
Structure Level Pattern Image Note
TS28: sciatic nerve Present UC Davis_1877305

Specimen UC Davis_1877306: postnatal adult; Arih2tm1.1(KOMP)Vlcg/Arih2+ (more )
Structure Level Pattern Image Note
TS28: tongue Present UC Davis_1877306

Specimen UC Davis_1877307: postnatal adult; Arih2tm1.1(KOMP)Vlcg/Arih2+ (more )
Structure Level Pattern Image Note
TS28: tongue Present UC Davis_1877307

Specimen UC Davis_1877308: postnatal adult; Arih2tm1.1(KOMP)Vlcg/Arih2+ (more )
Structure Level Pattern Image Note
TS28: tongue Present UC Davis_1877308

Specimen UC Davis_1877309: postnatal adult; Arih2tm1.1(KOMP)Vlcg/Arih2+ (more )
Structure Level Pattern Image Note
TS28: tongue Present UC Davis_1877309

Specimen UC Davis_1877310: postnatal adult; Arih2tm1.1(KOMP)Vlcg/Arih2+ (more )
Structure Level Pattern Image Note
TS28: diaphragm Present UC Davis_1877310

Specimen UC Davis_1877311: postnatal adult; Arih2tm1.1(KOMP)Vlcg/Arih2+ (more )
Structure Level Pattern Image Note
TS28: adrenal gland Present UC Davis_1877311

Specimen UC Davis_1877312: postnatal adult; Arih2tm1.1(KOMP)Vlcg/Arih2+ (more )
Structure Level Pattern Image Note
TS28: adrenal gland Present UC Davis_1877312

Specimen UC Davis_1877313: postnatal adult; Arih2tm1.1(KOMP)Vlcg/Arih2+ (more )
Structure Level Pattern Image Note
TS28: spinal cord Present UC Davis_1877313

Specimen UC Davis_1877314: postnatal adult; Arih2tm1.1(KOMP)Vlcg/Arih2+ (more )
Structure Level Pattern Image Note
TS28: spinal cord Present UC Davis_1877314

Specimen UC Davis_1877315: postnatal adult; Arih2tm1.1(KOMP)Vlcg/Arih2+ (more )
Structure Level Pattern Image Note
TS28: eye Present UC Davis_1877315

Specimen UC Davis_1877316: postnatal adult; Arih2tm1.1(KOMP)Vlcg/Arih2+ (more )
Structure Level Pattern Image Note
TS28: eye Present UC Davis_1877316

Specimen UC Davis_1877317: postnatal adult; Arih2tm1.1(KOMP)Vlcg/Arih2+ (more )
Structure Level Pattern Image Note
TS28: eye Present UC Davis_1877317

Specimen UC Davis_1877319: postnatal adult; Arih2tm1.1(KOMP)Vlcg/Arih2+ (more )
Structure Level Pattern Image Note
TS28: Harderian gland Present UC Davis_1877319

Specimen UC Davis_1877320: postnatal adult; Arih2tm1.1(KOMP)Vlcg/Arih2+ (more )
Structure Level Pattern Image Note
TS28: gonadal fat pad Present UC Davis_1877320

Specimen UC Davis_1877321: postnatal adult; Arih2tm1.1(KOMP)Vlcg/Arih2+ (more )
Structure Level Pattern Image Note
TS28: gonadal fat pad Present UC Davis_1877321

Specimen UC Davis_1877322: postnatal adult; Arih2tm1.1(KOMP)Vlcg/Arih2+ (more )
Structure Level Pattern Image Note
TS28: mesenteric adipose tissue Present UC Davis_1877322

Specimen UC Davis_1877323: postnatal adult; Arih2tm1.1(KOMP)Vlcg/Arih2+ (more )
Structure Level Pattern Image Note
TS28: mesenteric adipose tissue Present UC Davis_1877323

Specimen UC Davis_1877324: postnatal adult; Arih2tm1.1(KOMP)Vlcg/Arih2+ (more )
Structure Level Pattern Image Note
TS28: skin Present UC Davis_1877324

Specimen UC Davis_1877325: postnatal adult; Arih2tm1.1(KOMP)Vlcg/Arih2+ (more )
Structure Level Pattern Image Note
TS28: skin Present UC Davis_1877325

Specimen UC Davis_1877326: postnatal adult; Arih2tm1.1(KOMP)Vlcg/Arih2+ (more )
Structure Level Pattern Image Note
TS28: brown fat Present UC Davis_1877326

Specimen UC Davis_1877327: postnatal adult; Arih2tm1.1(KOMP)Vlcg/Arih2+ (more )
Structure Level Pattern Image Note
TS28: brown fat Present UC Davis_1877327

Specimen UC Davis_1877331: postnatal adult; Arih2tm1.1(KOMP)Vlcg/Arih2+ (more )
Structure Level Pattern Image Note
TS28: midbrain Present UC Davis_1877331

Specimen UC Davis_1877333: postnatal adult; Arih2tm1.1(KOMP)Vlcg/Arih2+ (more )
Structure Level Pattern Image Note
TS28: cerebellum Present UC Davis_1877333

Specimen UC Davis_1877334: postnatal adult; Arih2tm1.1(KOMP)Vlcg/Arih2+ (more )
Structure Level Pattern Image Note
TS28: trigeminal nerve Present UC Davis_1877334

Specimen UC Davis_1877335: postnatal adult; Arih2tm1.1(KOMP)Vlcg/Arih2+ (more )
Structure Level Pattern Image Note
TS28: trigeminal nerve Present UC Davis_1877335

Specimen UC Davis_1877336: postnatal adult; Arih2tm1.1(KOMP)Vlcg/Arih2+ (more )
Structure Level Pattern Image Note
TS28: ovary Present UC Davis_1877336

Specimen UC Davis_1877337: postnatal adult; Arih2tm1.1(KOMP)Vlcg/Arih2+ (more )
Structure Level Pattern Image Note
TS28: ovary Present UC Davis_1877337

Specimen UC Davis_1877338: postnatal adult; Arih2tm1.1(KOMP)Vlcg/Arih2+ (more )
Structure Level Pattern Image Note
TS28: oviduct Present UC Davis_1877338

Specimen UC Davis_1877339: postnatal adult; Arih2tm1.1(KOMP)Vlcg/Arih2+ (more )
Structure Level Pattern Image Note
TS28: uterus Present UC Davis_1877339

Specimen UC Davis_1877340: postnatal adult; Arih2tm1.1(KOMP)Vlcg/Arih2+ (more )
Structure Level Pattern Image Note
TS28: bladder Present UC Davis_1877340

Specimen UC Davis_1877341: postnatal adult; Arih2tm1.1(KOMP)Vlcg/Arih2+ (more )
Structure Level Pattern Image Note
TS28: blood Present UC Davis_1877341

Specimen UC Davis_1877342: postnatal adult; Arih2tm1.1(KOMP)Vlcg/Arih2+ (more )
Structure Level Pattern Image Note
TS28: blood Present UC Davis_1877342

Specimen UC Davis_1877343: postnatal adult; Arih2tm1.1(KOMP)Vlcg/Arih2+ (more )
Structure Level Pattern Image Note
TS28: blood Present UC Davis_1877343

Specimen UC Davis_1877344: postnatal adult; Arih2tm1.1(KOMP)Vlcg/Arih2+ (more )
Structure Level Pattern Image Note
TS28: blood Present UC Davis_1877344

Specimen UC Davis_1877345: postnatal adult; Arih2tm1.1(KOMP)Vlcg/Arih2+ (more )
Structure Level Pattern Image Note
TS28: bone marrow Present UC Davis_1877345

Specimen UC Davis_1877346: postnatal adult; Arih2tm1.1(KOMP)Vlcg/Arih2+ (more )
Structure Level Pattern Image Note
TS28: bone marrow Present UC Davis_1877346

Specimen UC Davis_1877347: postnatal adult; Arih2tm1.1(KOMP)Vlcg/Arih2+ (more )
Structure Level Pattern Image Note
TS28: mammary gland Present UC Davis_1877347

Specimen UC Davis_1877348: postnatal adult; Arih2tm1.1(KOMP)Vlcg/Arih2+ (more )
Structure Level Pattern Image Note
TS28: mammary gland Present UC Davis_1877348

Specimen TCP_2460392: postnatal adult; Arih2tm1.1(KOMP)Vlcg/Arih2+ (more )
Structure Level Pattern Image Note
TS28: brown fat Present TCP_2460392

Specimen TCP_2460393: postnatal adult; Arih2tm1.1(KOMP)Vlcg/Arih2+ (more )
Structure Level Pattern Image Note
TS28: lung Present TCP_2460393

Specimen TCP_2460394: postnatal adult; Arih2tm1.1(KOMP)Vlcg/Arih2+ (more )
Structure Level Pattern Image Note
TS28: pancreas Present TCP_2460394

Specimen TCP_2460395: postnatal adult; Arih2tm1.1(KOMP)Vlcg/Arih2+ (more )
Structure Level Pattern Image Note
TS28: skin Present TCP_2460395

Specimen TCP_2460397: postnatal adult; Arih2tm1.1(KOMP)Vlcg/Arih2+ (more )
Structure Level Pattern Image Note
TS28: spinal cord Present TCP_2460397

Specimen UC Davis_1877168: postnatal adult; Arih2tm1.1(KOMP)Vlcg/Arih2+ (more )
Structure Level Pattern Image Note
TS28: submandibular gland Present UC Davis_1877168

Specimen UC Davis_1877169: postnatal adult; Arih2tm1.1(KOMP)Vlcg/Arih2+ (more )
Structure Level Pattern Image Note
TS28: submandibular gland Present UC Davis_1877169

Specimen UC Davis_1877170: postnatal adult; Arih2tm1.1(KOMP)Vlcg/Arih2+ (more )
Structure Level Pattern Image Note
TS28: sublingual gland Present UC Davis_1877170

Specimen UC Davis_1877171: postnatal adult; Arih2tm1.1(KOMP)Vlcg/Arih2+ (more )
Structure Level Pattern Image Note
TS28: sublingual gland Present UC Davis_1877171

Specimen UC Davis_1877172: postnatal adult; Arih2tm1.1(KOMP)Vlcg/Arih2+ (more )
Structure Level Pattern Image Note
TS28: parotid gland Present UC Davis_1877172

Specimen UC Davis_1877173: postnatal adult; Arih2tm1.1(KOMP)Vlcg/Arih2+ (more )
Structure Level Pattern Image Note
TS28: parotid gland Present UC Davis_1877173

Specimen UC Davis_1877175: postnatal adult; Arih2tm1.1(KOMP)Vlcg/Arih2+ (more )
Structure Level Pattern Image Note
TS28: trachea Present UC Davis_1877175

Specimen UC Davis_1877176: postnatal adult; Arih2tm1.1(KOMP)Vlcg/Arih2+ (more )
Structure Level Pattern Image Note
TS28: esophagus Present UC Davis_1877176

Specimen UC Davis_1877177: postnatal adult; Arih2tm1.1(KOMP)Vlcg/Arih2+ (more )
Structure Level Pattern Image Note
TS28: esophagus Present UC Davis_1877177

Specimen UC Davis_1877178: postnatal adult; Arih2tm1.1(KOMP)Vlcg/Arih2+ (more )
Structure Level Pattern Image Note
TS28: esophagus Present UC Davis_1877178

Specimen UC Davis_1877179: postnatal adult; Arih2tm1.1(KOMP)Vlcg/Arih2+ (more )
Structure Level Pattern Image Note
TS28: thyroid gland Present UC Davis_1877179

Specimen UC Davis_1877182: postnatal adult; Arih2tm1.1(KOMP)Vlcg/Arih2+ (more )
Structure Level Pattern Image Note
TS28: parathyroid gland Present UC Davis_1877182

Specimen UC Davis_1877183: postnatal adult; Arih2tm1.1(KOMP)Vlcg/Arih2+ (more )
Structure Level Pattern Image Note
TS28: aorta Present UC Davis_1877183

Specimen UC Davis_1877184: postnatal adult; Arih2tm1.1(KOMP)Vlcg/Arih2+ (more )
Structure Level Pattern Image Note
TS28: aorta Present UC Davis_1877184

Specimen UC Davis_1877185: postnatal adult; Arih2tm1.1(KOMP)Vlcg/Arih2+ (more )
Structure Level Pattern Image Note
TS28: lung Present UC Davis_1877185

Specimen UC Davis_1877186: postnatal adult; Arih2tm1.1(KOMP)Vlcg/Arih2+ (more )
Structure Level Pattern Image Note
TS28: lung Present UC Davis_1877186

Specimen UC Davis_1877187: postnatal adult; Arih2tm1.1(KOMP)Vlcg/Arih2+ (more )
Structure Level Pattern Image Note
TS28: thymus Present UC Davis_1877187

Specimen UC Davis_1877188: postnatal adult; Arih2tm1.1(KOMP)Vlcg/Arih2+ (more )
Structure Level Pattern Image Note
TS28: thymus Present UC Davis_1877188

Specimen UC Davis_1877192: postnatal adult; Arih2tm1.1(KOMP)Vlcg/Arih2+ (more )
Structure Level Pattern Image Note
TS28: mesenteric lymph node Present UC Davis_1877192

Specimen UC Davis_1877193: postnatal adult; Arih2tm1.1(KOMP)Vlcg/Arih2+ (more )
Structure Level Pattern Image Note
TS28: stomach Present UC Davis_1877193

Specimen UC Davis_1877194: postnatal adult; Arih2tm1.1(KOMP)Vlcg/Arih2+ (more )
Structure Level Pattern Image Note
TS28: stomach Present UC Davis_1877194

Specimen UC Davis_1877195: postnatal adult; Arih2tm1.1(KOMP)Vlcg/Arih2+ (more )
Structure Level Pattern Image Note
TS28: stomach Present UC Davis_1877195

Specimen UC Davis_1877196: postnatal adult; Arih2tm1.1(KOMP)Vlcg/Arih2+ (more )
Structure Level Pattern Image Note
TS28: duodenum Present UC Davis_1877196

Specimen UC Davis_1877197: postnatal adult; Arih2tm1.1(KOMP)Vlcg/Arih2+ (more )
Structure Level Pattern Image Note
TS28: ileum Present UC Davis_1877197

Specimen UC Davis_1877198: postnatal adult; Arih2tm1.1(KOMP)Vlcg/Arih2+ (more )
Structure Level Pattern Image Note
TS28: ileum Present UC Davis_1877198

Specimen UC Davis_1877199: postnatal adult; Arih2tm1.1(KOMP)Vlcg/Arih2+ (more )
Structure Level Pattern Image Note
TS28: ileum Present UC Davis_1877199

Specimen UC Davis_1877200: postnatal adult; Arih2tm1.1(KOMP)Vlcg/Arih2+ (more )
Structure Level Pattern Image Note
TS28: ileum Present UC Davis_1877200

Specimen UC Davis_1877201: postnatal adult; Arih2tm1.1(KOMP)Vlcg/Arih2+ (more )
Structure Level Pattern Image Note
TS28: colon Present UC Davis_1877201

Specimen UC Davis_1877202: postnatal adult; Arih2tm1.1(KOMP)Vlcg/Arih2+ (more )
Structure Level Pattern Image Note
TS28: colon Present UC Davis_1877202

Specimen UC Davis_1877203: postnatal adult; Arih2tm1.1(KOMP)Vlcg/Arih2+ (more )
Structure Level Pattern Image Note
TS28: cecum Present UC Davis_1877203

Specimen UC Davis_1877204: postnatal adult; Arih2tm1.1(KOMP)Vlcg/Arih2+ (more )
Structure Level Pattern Image Note
TS28: spleen Present UC Davis_1877204

Specimen UC Davis_1877205: postnatal adult; Arih2tm1.1(KOMP)Vlcg/Arih2+ (more )
Structure Level Pattern Image Note
TS28: pancreas Present UC Davis_1877205

Specimen UC Davis_1877206: postnatal adult; Arih2tm1.1(KOMP)Vlcg/Arih2+ (more )
Structure Level Pattern Image Note
TS28: liver Present UC Davis_1877206

Specimen UC Davis_1877207: postnatal adult; Arih2tm1.1(KOMP)Vlcg/Arih2+ (more )
Structure Level Pattern Image Note
TS28: liver Present UC Davis_1877207

Specimen UC Davis_1877208: postnatal adult; Arih2tm1.1(KOMP)Vlcg/Arih2+ (more )
Structure Level Pattern Image Note
TS28: metanephros Present UC Davis_1877208 kidney

Specimen UC Davis_1877209: postnatal adult; Arih2tm1.1(KOMP)Vlcg/Arih2+ (more )
Structure Level Pattern Image Note
TS28: metanephros Present UC Davis_1877209 kidney

Specimen UC Davis_1877210: postnatal adult; Arih2tm1.1(KOMP)Vlcg/Arih2+ (more )
Structure Level Pattern Image Note
TS28: metanephros Present UC Davis_1877210 kidney

Specimen UC Davis_1877211: postnatal adult; Arih2tm1.1(KOMP)Vlcg/Arih2+ (more )
Structure Level Pattern Image Note
TS28: quadriceps femoris muscle Present UC Davis_1877211

Specimen UC Davis_1877212: postnatal adult; Arih2tm1.1(KOMP)Vlcg/Arih2+ (more )
Structure Level Pattern Image Note
TS28: quadriceps femoris muscle Present UC Davis_1877212

Specimen UC Davis_1877213: postnatal adult; Arih2tm1.1(KOMP)Vlcg/Arih2+ (more )
Structure Level Pattern Image Note
TS28: sciatic nerve Present UC Davis_1877213

Specimen UC Davis_1877214: postnatal adult; Arih2tm1.1(KOMP)Vlcg/Arih2+ (more )
Structure Level Pattern Image Note
TS28: tongue Present UC Davis_1877214

Specimen UC Davis_1877215: postnatal adult; Arih2tm1.1(KOMP)Vlcg/Arih2+ (more )
Structure Level Pattern Image Note
TS28: tongue Present UC Davis_1877215

Specimen UC Davis_1877216: postnatal adult; Arih2tm1.1(KOMP)Vlcg/Arih2+ (more )
Structure Level Pattern Image Note
TS28: tongue Present UC Davis_1877216

Specimen UC Davis_1877217: postnatal adult; Arih2tm1.1(KOMP)Vlcg/Arih2+ (more )
Structure Level Pattern Image Note
TS28: diaphragm Present UC Davis_1877217

Specimen UC Davis_1877218: postnatal adult; Arih2tm1.1(KOMP)Vlcg/Arih2+ (more )
Structure Level Pattern Image Note
TS28: diaphragm Present UC Davis_1877218

Specimen UC Davis_1877219: postnatal adult; Arih2tm1.1(KOMP)Vlcg/Arih2+ (more )
Structure Level Pattern Image Note
TS28: adrenal gland Present UC Davis_1877219

Specimen UC Davis_1877220: postnatal adult; Arih2tm1.1(KOMP)Vlcg/Arih2+ (more )
Structure Level Pattern Image Note
TS28: adrenal gland Present UC Davis_1877220

Specimen UC Davis_1877221: postnatal adult; Arih2tm1.1(KOMP)Vlcg/Arih2+ (more )
Structure Level Pattern Image Note
TS28: pituitary gland Present UC Davis_1877221

Specimen UC Davis_1877222: postnatal adult; Arih2tm1.1(KOMP)Vlcg/Arih2+ (more )
Structure Level Pattern Image Note
TS28: spinal cord Present UC Davis_1877222

Specimen UC Davis_1877223: postnatal adult; Arih2tm1.1(KOMP)Vlcg/Arih2+ (more )
Structure Level Pattern Image Note
TS28: spinal cord Present UC Davis_1877223

Specimen UC Davis_1877224: postnatal adult; Arih2tm1.1(KOMP)Vlcg/Arih2+ (more )
Structure Level Pattern Image Note
TS28: eye Present UC Davis_1877224

Specimen UC Davis_1877225: postnatal adult; Arih2tm1.1(KOMP)Vlcg/Arih2+ (more )
Structure Level Pattern Image Note
TS28: eye Present UC Davis_1877225

Specimen UC Davis_1877228: postnatal adult; Arih2tm1.1(KOMP)Vlcg/Arih2+ (more )
Structure Level Pattern Image Note
TS28: Harderian gland Present UC Davis_1877228

Specimen UC Davis_1877229: postnatal adult; Arih2tm1.1(KOMP)Vlcg/Arih2+ (more )
Structure Level Pattern Image Note
TS28: gonadal fat pad Present UC Davis_1877229

Specimen UC Davis_1877230: postnatal adult; Arih2tm1.1(KOMP)Vlcg/Arih2+ (more )
Structure Level Pattern Image Note
TS28: mesenteric adipose tissue Present UC Davis_1877230

Specimen UC Davis_1877231: postnatal adult; Arih2tm1.1(KOMP)Vlcg/Arih2+ (more )
Structure Level Pattern Image Note
TS28: skin Present UC Davis_1877231

Specimen UC Davis_1877232: postnatal adult; Arih2tm1.1(KOMP)Vlcg/Arih2+ (more )
Structure Level Pattern Image Note
TS28: skin Present UC Davis_1877232

Specimen UC Davis_1877233: postnatal adult; Arih2tm1.1(KOMP)Vlcg/Arih2+ (more )
Structure Level Pattern Image Note
TS28: brown fat Present UC Davis_1877233

Specimen UC Davis_1877234: postnatal adult; Arih2tm1.1(KOMP)Vlcg/Arih2+ (more )
Structure Level Pattern Image Note
TS28: olfactory lobe Present UC Davis_1877234

Specimen UC Davis_1877235: postnatal adult; Arih2tm1.1(KOMP)Vlcg/Arih2+ (more )
Structure Level Pattern Image Note
TS28: olfactory lobe Present UC Davis_1877235

Specimen UC Davis_1877238: postnatal adult; Arih2tm1.1(KOMP)Vlcg/Arih2+ (more )
Structure Level Pattern Image Note
TS28: midbrain Present UC Davis_1877238

Specimen UC Davis_1877241: postnatal adult; Arih2tm1.1(KOMP)Vlcg/Arih2+ (more )
Structure Level Pattern Image Note
TS28: cerebellum Present UC Davis_1877241

Specimen UC Davis_1877242: postnatal adult; Arih2tm1.1(KOMP)Vlcg/Arih2+ (more )
Structure Level Pattern Image Note
TS28: trigeminal nerve Present UC Davis_1877242

Specimen UC Davis_1877243: postnatal adult; Arih2tm1.1(KOMP)Vlcg/Arih2+ (more )
Structure Level Pattern Image Note
TS28: trigeminal nerve Present UC Davis_1877243

Specimen UC Davis_1877244: postnatal adult; Arih2tm1.1(KOMP)Vlcg/Arih2+ (more )
Structure Level Pattern Image Note
TS28: bladder Present UC Davis_1877244

Specimen UC Davis_1877245: postnatal adult; Arih2tm1.1(KOMP)Vlcg/Arih2+ (more )
Structure Level Pattern Image Note
TS28: bladder Present UC Davis_1877245

Specimen UC Davis_1877246: postnatal adult; Arih2tm1.1(KOMP)Vlcg/Arih2+ (more )
Structure Level Pattern Image Note
TS28: bladder Present UC Davis_1877246

Specimen UC Davis_1877247: postnatal adult; Arih2tm1.1(KOMP)Vlcg/Arih2+ (more )
Structure Level Pattern Image Note
TS28: testis Present UC Davis_1877247

Specimen UC Davis_1877248: postnatal adult; Arih2tm1.1(KOMP)Vlcg/Arih2+ (more )
Structure Level Pattern Image Note
TS28: testis Present UC Davis_1877248

Specimen UC Davis_1877249: postnatal adult; Arih2tm1.1(KOMP)Vlcg/Arih2+ (more )
Structure Level Pattern Image Note
TS28: epididymis Present UC Davis_1877249

Specimen UC Davis_1877250: postnatal adult; Arih2tm1.1(KOMP)Vlcg/Arih2+ (more )
Structure Level Pattern Image Note
TS28: epididymis Present UC Davis_1877250

Specimen UC Davis_1877251: postnatal adult; Arih2tm1.1(KOMP)Vlcg/Arih2+ (more )
Structure Level Pattern Image Note
TS28: epididymis Present UC Davis_1877251

Specimen UC Davis_1877252: postnatal adult; Arih2tm1.1(KOMP)Vlcg/Arih2+ (more )
Structure Level Pattern Image Note
TS28: epididymis Present UC Davis_1877252

Specimen UC Davis_1877253: postnatal adult; Arih2tm1.1(KOMP)Vlcg/Arih2+ (more )
Structure Level Pattern Image Note
TS28: prostate gland Present UC Davis_1877253

Specimen UC Davis_1877254: postnatal adult; Arih2tm1.1(KOMP)Vlcg/Arih2+ (more )
Structure Level Pattern Image Note
TS28: penis Present UC Davis_1877254

Specimen UC Davis_1877255: postnatal adult; Arih2tm1.1(KOMP)Vlcg/Arih2+ (more )
Structure Level Pattern Image Note
TS28: penis Present UC Davis_1877255

Specimen UC Davis_1877256: postnatal adult; Arih2tm1.1(KOMP)Vlcg/Arih2+ (more )
Structure Level Pattern Image Note
TS28: penis Present UC Davis_1877256

Specimen UC Davis_1877257: postnatal adult; Arih2tm1.1(KOMP)Vlcg/Arih2+ (more )
Structure Level Pattern Image Note
TS28: blood Present UC Davis_1877257

Specimen UC Davis_1877258: postnatal adult; Arih2tm1.1(KOMP)Vlcg/Arih2+ (more )
Structure Level Pattern Image Note
TS28: bone marrow Present UC Davis_1877258

Specimen UC Davis_1877259: postnatal adult; Arih2tm1.1(KOMP)Vlcg/Arih2+ (more )
Structure Level Pattern Image Note
TS28: ductus deferens Present UC Davis_1877259 vas deferens

Specimen UC Davis_1877260: postnatal adult; Arih2tm1.1(KOMP)Vlcg/Arih2+ (more )
Structure Level Pattern Image Note
TS28: ductus deferens Present UC Davis_1877260 vas deferens

Specimen UC Davis_1877264: postnatal adult; Arih2tm1.1(KOMP)Vlcg/Arih2+ (more )
Structure Level Pattern Image Note
TS28: seminal vesicle Present UC Davis_1877264 vesicular gland

Specimen UC Davis_1877265: postnatal adult; Arih2tm1.1(KOMP)Vlcg/Arih2+ (more )
Structure Level Pattern Image Note
TS28: seminal vesicle Present UC Davis_1877265 vesicular gland


Contributing Projects:
Mouse Genome Database (MGD), Gene Expression Database (GXD), Mouse Models of Human Cancer database (MMHCdb) (formerly Mouse Tumor Biology (MTB)), Gene Ontology (GO)
Citing These Resources
Funding Information
Warranty Disclaimer, Privacy Notice, Licensing, & Copyright
Send questions and comments to User Support.
last database update
12/30/2025
MGI 6.24
The Jackson Laboratory