About   Help   FAQ
Gene Expression Data
Assay Details
Assay
Reference: J:228563 Koscielny G, et al., The International Mouse Phenotyping Consortium Web Portal, a unified point of access for knockout mice and related phenotyping data. Nucleic Acids Res. 2014 Jan;42(Database issue):D802-9
Assay type: In situ reporter (knock in)
MGI Accession ID: MGI:6691370
Gene symbol: Klf9
Gene name: Kruppel-like transcription factor 9
Reporter: lacZ
Direct Detection
Results
Specimen UC Davis_1887846: postnatal adult; Klf9tm1.1(KOMP)Vlcg/Klf9+ (more )
Structure Level Pattern Image Note
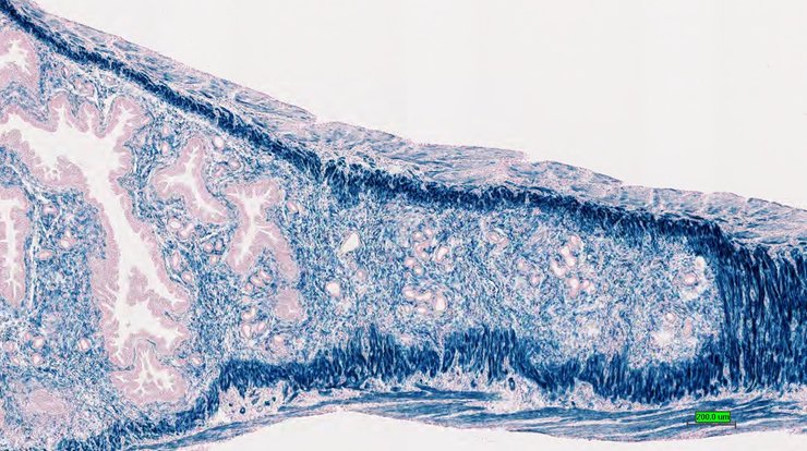
TS28: submandibular gland Present UC Davis_1887846

Specimen UC Davis_1887847: postnatal adult; Klf9tm1.1(KOMP)Vlcg/Klf9+ (more )
Structure Level Pattern Image Note
TS28: submandibular gland Present UC Davis_1887847

Specimen UC Davis_1887848: postnatal adult; Klf9tm1.1(KOMP)Vlcg/Klf9+ (more )
Structure Level Pattern Image Note
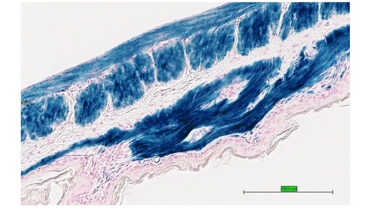
TS28: sublingual gland Present UC Davis_1887848

Specimen UC Davis_1887849: postnatal adult; Klf9tm1.1(KOMP)Vlcg/Klf9+ (more )
Structure Level Pattern Image Note
TS28: sublingual gland Present UC Davis_1887849

Specimen UC Davis_1887850: postnatal adult; Klf9tm1.1(KOMP)Vlcg/Klf9+ (more )
Structure Level Pattern Image Note
TS28: parotid gland Present UC Davis_1887850

Specimen UC Davis_1887851: postnatal adult; Klf9tm1.1(KOMP)Vlcg/Klf9+ (more )
Structure Level Pattern Image Note
TS28: parotid gland Present UC Davis_1887851

Specimen UC Davis_1887853: postnatal adult; Klf9tm1.1(KOMP)Vlcg/Klf9+ (more )
Structure Level Pattern Image Note
TS28: esophagus Absent UC Davis_1887853

Specimen UC Davis_1887854: postnatal adult; Klf9tm1.1(KOMP)Vlcg/Klf9+ (more )
Structure Level Pattern Image Note
TS28: esophagus Absent UC Davis_1887854

Specimen UC Davis_1887855: postnatal adult; Klf9tm1.1(KOMP)Vlcg/Klf9+ (more )
Structure Level Pattern Image Note
TS28: aorta Present UC Davis_1887855

Specimen UC Davis_1887856: postnatal adult; Klf9tm1.1(KOMP)Vlcg/Klf9+ (more )
Structure Level Pattern Image Note
TS28: aorta Present UC Davis_1887856

Specimen UC Davis_1887857: postnatal adult; Klf9tm1.1(KOMP)Vlcg/Klf9+ (more )
Structure Level Pattern Image Note
TS28: lung Present UC Davis_1887857

Specimen UC Davis_1887858: postnatal adult; Klf9tm1.1(KOMP)Vlcg/Klf9+ (more )
Structure Level Pattern Image Note
TS28: lung Present UC Davis_1887858

Specimen UC Davis_1887859: postnatal adult; Klf9tm1.1(KOMP)Vlcg/Klf9+ (more )
Structure Level Pattern Image Note
TS28: thymus Present UC Davis_1887859

Specimen UC Davis_1887860: postnatal adult; Klf9tm1.1(KOMP)Vlcg/Klf9+ (more )
Structure Level Pattern Image Note
TS28: thymus Present UC Davis_1887860

Specimen UC Davis_1887863: postnatal adult; Klf9tm1.1(KOMP)Vlcg/Klf9+ (more )
Structure Level Pattern Image Note
TS28: stomach Present UC Davis_1887863

Specimen UC Davis_1887864: postnatal adult; Klf9tm1.1(KOMP)Vlcg/Klf9+ (more )
Structure Level Pattern Image Note
TS28: stomach Present UC Davis_1887864

Specimen UC Davis_1887865: postnatal adult; Klf9tm1.1(KOMP)Vlcg/Klf9+ (more )
Structure Level Pattern Image Note
TS28: stomach Present UC Davis_1887865

Specimen UC Davis_1887866: postnatal adult; Klf9tm1.1(KOMP)Vlcg/Klf9+ (more )
Structure Level Pattern Image Note
TS28: duodenum Present UC Davis_1887866

Specimen UC Davis_1887867: postnatal adult; Klf9tm1.1(KOMP)Vlcg/Klf9+ (more )
Structure Level Pattern Image Note
TS28: jejunum Present UC Davis_1887867

Specimen UC Davis_1887868: postnatal adult; Klf9tm1.1(KOMP)Vlcg/Klf9+ (more )
Structure Level Pattern Image Note
TS28: ileum Present UC Davis_1887868

Specimen UC Davis_1887869: postnatal adult; Klf9tm1.1(KOMP)Vlcg/Klf9+ (more )
Structure Level Pattern Image Note
TS28: ileum Present UC Davis_1887869

Specimen UC Davis_1887870: postnatal adult; Klf9tm1.1(KOMP)Vlcg/Klf9+ (more )
Structure Level Pattern Image Note
TS28: colon Present UC Davis_1887870

Specimen UC Davis_1887871: postnatal adult; Klf9tm1.1(KOMP)Vlcg/Klf9+ (more )
Structure Level Pattern Image Note
TS28: colon Present UC Davis_1887871

Specimen UC Davis_1887872: postnatal adult; Klf9tm1.1(KOMP)Vlcg/Klf9+ (more )
Structure Level Pattern Image Note
TS28: cecum Present UC Davis_1887872

Specimen UC Davis_1887873: postnatal adult; Klf9tm1.1(KOMP)Vlcg/Klf9+ (more )
Structure Level Pattern Image Note
TS28: spleen Present UC Davis_1887873

Specimen UC Davis_1887874: postnatal adult; Klf9tm1.1(KOMP)Vlcg/Klf9+ (more )
Structure Level Pattern Image Note
TS28: spleen Present UC Davis_1887874

Specimen UC Davis_1887875: postnatal adult; Klf9tm1.1(KOMP)Vlcg/Klf9+ (more )
Structure Level Pattern Image Note
TS28: pancreas Present UC Davis_1887875

Specimen UC Davis_1887876: postnatal adult; Klf9tm1.1(KOMP)Vlcg/Klf9+ (more )
Structure Level Pattern Image Note
TS28: pancreas Present UC Davis_1887876

Specimen UC Davis_1887877: postnatal adult; Klf9tm1.1(KOMP)Vlcg/Klf9+ (more )
Structure Level Pattern Image Note
TS28: liver Present UC Davis_1887877

Specimen UC Davis_1887878: postnatal adult; Klf9tm1.1(KOMP)Vlcg/Klf9+ (more )
Structure Level Pattern Image Note
TS28: liver Present UC Davis_1887878

Specimen UC Davis_1887879: postnatal adult; Klf9tm1.1(KOMP)Vlcg/Klf9+ (more )
Structure Level Pattern Image Note
TS28: metanephros Present UC Davis_1887879 kidney

Specimen UC Davis_1887880: postnatal adult; Klf9tm1.1(KOMP)Vlcg/Klf9+ (more )
Structure Level Pattern Image Note
TS28: metanephros Present UC Davis_1887880 kidney

Specimen UC Davis_1887881: postnatal adult; Klf9tm1.1(KOMP)Vlcg/Klf9+ (more )
Structure Level Pattern Image Note
TS28: metanephros Present UC Davis_1887881 kidney

Specimen UC Davis_1887882: postnatal adult; Klf9tm1.1(KOMP)Vlcg/Klf9+ (more )
Structure Level Pattern Image Note
TS28: metanephros Present UC Davis_1887882 kidney

Specimen UC Davis_1887883: postnatal adult; Klf9tm1.1(KOMP)Vlcg/Klf9+ (more )
Structure Level Pattern Image Note
TS28: quadriceps femoris muscle Present UC Davis_1887883

Specimen UC Davis_1887884: postnatal adult; Klf9tm1.1(KOMP)Vlcg/Klf9+ (more )
Structure Level Pattern Image Note
TS28: quadriceps femoris muscle Present UC Davis_1887884

Specimen UC Davis_1887885: postnatal adult; Klf9tm1.1(KOMP)Vlcg/Klf9+ (more )
Structure Level Pattern Image Note
TS28: quadriceps femoris muscle Present UC Davis_1887885

Specimen UC Davis_1887886: postnatal adult; Klf9tm1.1(KOMP)Vlcg/Klf9+ (more )
Structure Level Pattern Image Note
TS28: sciatic nerve Present UC Davis_1887886

Specimen UC Davis_1887887: postnatal adult; Klf9tm1.1(KOMP)Vlcg/Klf9+ (more )
Structure Level Pattern Image Note
TS28: tongue Present UC Davis_1887887

Specimen UC Davis_1887888: postnatal adult; Klf9tm1.1(KOMP)Vlcg/Klf9+ (more )
Structure Level Pattern Image Note
TS28: tongue Present UC Davis_1887888

Specimen UC Davis_1887889: postnatal adult; Klf9tm1.1(KOMP)Vlcg/Klf9+ (more )
Structure Level Pattern Image Note
TS28: diaphragm Present UC Davis_1887889

Specimen UC Davis_1887890: postnatal adult; Klf9tm1.1(KOMP)Vlcg/Klf9+ (more )
Structure Level Pattern Image Note
TS28: adrenal gland Present UC Davis_1887890

Specimen UC Davis_1887891: postnatal adult; Klf9tm1.1(KOMP)Vlcg/Klf9+ (more )
Structure Level Pattern Image Note
TS28: pituitary gland Present UC Davis_1887891

Specimen UC Davis_1887892: postnatal adult; Klf9tm1.1(KOMP)Vlcg/Klf9+ (more )
Structure Level Pattern Image Note
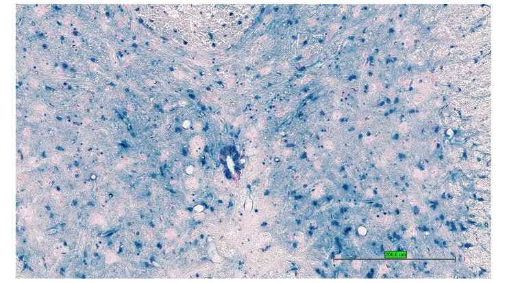
TS28: spinal cord Present UC Davis_1887892

Specimen UC Davis_1887893: postnatal adult; Klf9tm1.1(KOMP)Vlcg/Klf9+ (more )
Structure Level Pattern Image Note
TS28: spinal cord Present UC Davis_1887893

Specimen UC Davis_1887894: postnatal adult; Klf9tm1.1(KOMP)Vlcg/Klf9+ (more )
Structure Level Pattern Image Note
TS28: eye Present UC Davis_1887894

Specimen UC Davis_1887895: postnatal adult; Klf9tm1.1(KOMP)Vlcg/Klf9+ (more )
Structure Level Pattern Image Note
TS28: eye Present UC Davis_1887895

Specimen UC Davis_1887896: postnatal adult; Klf9tm1.1(KOMP)Vlcg/Klf9+ (more )
Structure Level Pattern Image Note
TS28: Harderian gland Present UC Davis_1887896

Specimen UC Davis_1887897: postnatal adult; Klf9tm1.1(KOMP)Vlcg/Klf9+ (more )
Structure Level Pattern Image Note
TS28: Harderian gland Present UC Davis_1887897

Specimen UC Davis_1887898: postnatal adult; Klf9tm1.1(KOMP)Vlcg/Klf9+ (more )
Structure Level Pattern Image Note
TS28: gonadal fat pad Present UC Davis_1887898

Specimen UC Davis_1887899: postnatal adult; Klf9tm1.1(KOMP)Vlcg/Klf9+ (more )
Structure Level Pattern Image Note
TS28: gonadal fat pad Present UC Davis_1887899

Specimen UC Davis_1887900: postnatal adult; Klf9tm1.1(KOMP)Vlcg/Klf9+ (more )
Structure Level Pattern Image Note
TS28: mesenteric adipose tissue Present UC Davis_1887900

Specimen UC Davis_1887901: postnatal adult; Klf9tm1.1(KOMP)Vlcg/Klf9+ (more )
Structure Level Pattern Image Note
TS28: skin Present UC Davis_1887901

Specimen UC Davis_1887902: postnatal adult; Klf9tm1.1(KOMP)Vlcg/Klf9+ (more )
Structure Level Pattern Image Note
TS28: skin Present UC Davis_1887902

Specimen UC Davis_1887903: postnatal adult; Klf9tm1.1(KOMP)Vlcg/Klf9+ (more )
Structure Level Pattern Image Note
TS28: brown fat Present UC Davis_1887903

Specimen UC Davis_1887904: postnatal adult; Klf9tm1.1(KOMP)Vlcg/Klf9+ (more )
Structure Level Pattern Image Note
TS28: brown fat Present UC Davis_1887904

Specimen UC Davis_1887905: postnatal adult; Klf9tm1.1(KOMP)Vlcg/Klf9+ (more )
Structure Level Pattern Image Note
TS28: olfactory lobe Present UC Davis_1887905

Specimen UC Davis_1887908: postnatal adult; Klf9tm1.1(KOMP)Vlcg/Klf9+ (more )
Structure Level Pattern Image Note
TS28: midbrain Present UC Davis_1887908

Specimen UC Davis_1887910: postnatal adult; Klf9tm1.1(KOMP)Vlcg/Klf9+ (more )
Structure Level Pattern Image Note
TS28: cerebellum Present UC Davis_1887910

Specimen UC Davis_1887911: postnatal adult; Klf9tm1.1(KOMP)Vlcg/Klf9+ (more )
Structure Level Pattern Image Note
TS28: cerebellum Present UC Davis_1887911

Specimen UC Davis_1887912: postnatal adult; Klf9tm1.1(KOMP)Vlcg/Klf9+ (more )
Structure Level Pattern Image Note
TS28: trigeminal nerve Present UC Davis_1887912

Specimen UC Davis_1887913: postnatal adult; Klf9tm1.1(KOMP)Vlcg/Klf9+ (more )
Structure Level Pattern Image Note
TS28: ovary Present UC Davis_1887913

Specimen UC Davis_1887914: postnatal adult; Klf9tm1.1(KOMP)Vlcg/Klf9+ (more )
Structure Level Pattern Image Note
TS28: ovary Present UC Davis_1887914

Specimen UC Davis_1887915: postnatal adult; Klf9tm1.1(KOMP)Vlcg/Klf9+ (more )
Structure Level Pattern Image Note
TS28: oviduct Present UC Davis_1887915

Specimen UC Davis_1887916: postnatal adult; Klf9tm1.1(KOMP)Vlcg/Klf9+ (more )
Structure Level Pattern Image Note
TS28: oviduct Present UC Davis_1887916

Specimen UC Davis_1887917: postnatal adult; Klf9tm1.1(KOMP)Vlcg/Klf9+ (more )
Structure Level Pattern Image Note
TS28: uterus Present UC Davis_1887917

Specimen UC Davis_1887918: postnatal adult; Klf9tm1.1(KOMP)Vlcg/Klf9+ (more )
Structure Level Pattern Image Note
TS28: uterus Present UC Davis_1887918

Specimen UC Davis_1887919: postnatal adult; Klf9tm1.1(KOMP)Vlcg/Klf9+ (more )
Structure Level Pattern Image Note
TS28: vagina Present UC Davis_1887919

Specimen UC Davis_1887920: postnatal adult; Klf9tm1.1(KOMP)Vlcg/Klf9+ (more )
Structure Level Pattern Image Note
TS28: vagina Present UC Davis_1887920

Specimen UC Davis_1887921: postnatal adult; Klf9tm1.1(KOMP)Vlcg/Klf9+ (more )
Structure Level Pattern Image Note
TS28: bladder Present UC Davis_1887921

Specimen UC Davis_1887923: postnatal adult; Klf9tm1.1(KOMP)Vlcg/Klf9+ (more )
Structure Level Pattern Image Note
TS28: mammary gland Present UC Davis_1887923

Specimen UC Davis_1887924: postnatal adult; Klf9tm1.1(KOMP)Vlcg/Klf9+ (more )
Structure Level Pattern Image Note
TS28: mammary gland Present UC Davis_1887924

Specimen UC Davis_1887927: postnatal adult; Klf9tm1.1(KOMP)Vlcg/Klf9+ (more )
Structure Level Pattern Image Note
TS28: submandibular gland Present UC Davis_1887927

Specimen UC Davis_1887928: postnatal adult; Klf9tm1.1(KOMP)Vlcg/Klf9+ (more )
Structure Level Pattern Image Note
TS28: submandibular gland Present UC Davis_1887928

Specimen UC Davis_1887929: postnatal adult; Klf9tm1.1(KOMP)Vlcg/Klf9+ (more )
Structure Level Pattern Image Note
TS28: submandibular gland Present UC Davis_1887929

Specimen UC Davis_1887930: postnatal adult; Klf9tm1.1(KOMP)Vlcg/Klf9+ (more )
Structure Level Pattern Image Note
TS28: esophagus Present UC Davis_1887930

Specimen UC Davis_1887931: postnatal adult; Klf9tm1.1(KOMP)Vlcg/Klf9+ (more )
Structure Level Pattern Image Note
TS28: esophagus Present UC Davis_1887931

Specimen UC Davis_1887932: postnatal adult; Klf9tm1.1(KOMP)Vlcg/Klf9+ (more )
Structure Level Pattern Image Note
TS28: thyroid gland Present UC Davis_1887932

Specimen UC Davis_1887935: postnatal adult; Klf9tm1.1(KOMP)Vlcg/Klf9+ (more )
Structure Level Pattern Image Note
TS28: parathyroid gland Present UC Davis_1887935

Specimen UC Davis_1887936: postnatal adult; Klf9tm1.1(KOMP)Vlcg/Klf9+ (more )
Structure Level Pattern Image Note
TS28: aorta Present UC Davis_1887936

Specimen UC Davis_1887937: postnatal adult; Klf9tm1.1(KOMP)Vlcg/Klf9+ (more )
Structure Level Pattern Image Note
TS28: lung Present UC Davis_1887937

Specimen UC Davis_1887938: postnatal adult; Klf9tm1.1(KOMP)Vlcg/Klf9+ (more )
Structure Level Pattern Image Note
TS28: lung Present UC Davis_1887938

Specimen UC Davis_1887939: postnatal adult; Klf9tm1.1(KOMP)Vlcg/Klf9+ (more )
Structure Level Pattern Image Note
TS28: thymus Present UC Davis_1887939

Specimen UC Davis_1887940: postnatal adult; Klf9tm1.1(KOMP)Vlcg/Klf9+ (more )
Structure Level Pattern Image Note
TS28: thymus Present UC Davis_1887940

Specimen UC Davis_1887945: postnatal adult; Klf9tm1.1(KOMP)Vlcg/Klf9+ (more )
Structure Level Pattern Image Note
TS28: mesenteric lymph node Present UC Davis_1887945

Specimen UC Davis_1887946: postnatal adult; Klf9tm1.1(KOMP)Vlcg/Klf9+ (more )
Structure Level Pattern Image Note
TS28: stomach Present UC Davis_1887946

Specimen UC Davis_1887947: postnatal adult; Klf9tm1.1(KOMP)Vlcg/Klf9+ (more )
Structure Level Pattern Image Note
TS28: stomach Present UC Davis_1887947

Specimen UC Davis_1887948: postnatal adult; Klf9tm1.1(KOMP)Vlcg/Klf9+ (more )
Structure Level Pattern Image Note
TS28: stomach Present UC Davis_1887948

Specimen UC Davis_1887949: postnatal adult; Klf9tm1.1(KOMP)Vlcg/Klf9+ (more )
Structure Level Pattern Image Note
TS28: stomach Present UC Davis_1887949

Specimen UC Davis_1887950: postnatal adult; Klf9tm1.1(KOMP)Vlcg/Klf9+ (more )
Structure Level Pattern Image Note
TS28: duodenum Present UC Davis_1887950

Specimen UC Davis_1887951: postnatal adult; Klf9tm1.1(KOMP)Vlcg/Klf9+ (more )
Structure Level Pattern Image Note
TS28: duodenum Present UC Davis_1887951

Specimen UC Davis_1887952: postnatal adult; Klf9tm1.1(KOMP)Vlcg/Klf9+ (more )
Structure Level Pattern Image Note
TS28: jejunum Present UC Davis_1887952

Specimen UC Davis_1887953: postnatal adult; Klf9tm1.1(KOMP)Vlcg/Klf9+ (more )
Structure Level Pattern Image Note
TS28: jejunum Present UC Davis_1887953

Specimen UC Davis_1887954: postnatal adult; Klf9tm1.1(KOMP)Vlcg/Klf9+ (more )
Structure Level Pattern Image Note
TS28: ileum Present UC Davis_1887954

Specimen UC Davis_1887955: postnatal adult; Klf9tm1.1(KOMP)Vlcg/Klf9+ (more )
Structure Level Pattern Image Note
TS28: colon Present UC Davis_1887955

Specimen UC Davis_1887956: postnatal adult; Klf9tm1.1(KOMP)Vlcg/Klf9+ (more )
Structure Level Pattern Image Note
TS28: colon Present UC Davis_1887956

Specimen UC Davis_1887957: postnatal adult; Klf9tm1.1(KOMP)Vlcg/Klf9+ (more )
Structure Level Pattern Image Note
TS28: cecum Present UC Davis_1887957

Specimen UC Davis_1887958: postnatal adult; Klf9tm1.1(KOMP)Vlcg/Klf9+ (more )
Structure Level Pattern Image Note
TS28: spleen Present UC Davis_1887958

Specimen UC Davis_1887959: postnatal adult; Klf9tm1.1(KOMP)Vlcg/Klf9+ (more )
Structure Level Pattern Image Note
TS28: spleen Present UC Davis_1887959

Specimen UC Davis_1887960: postnatal adult; Klf9tm1.1(KOMP)Vlcg/Klf9+ (more )
Structure Level Pattern Image Note
TS28: spleen Present UC Davis_1887960

Specimen UC Davis_1887961: postnatal adult; Klf9tm1.1(KOMP)Vlcg/Klf9+ (more )
Structure Level Pattern Image Note
TS28: pancreas Present UC Davis_1887961

Specimen UC Davis_1887962: postnatal adult; Klf9tm1.1(KOMP)Vlcg/Klf9+ (more )
Structure Level Pattern Image Note
TS28: pancreas Present UC Davis_1887962

Specimen UC Davis_1887963: postnatal adult; Klf9tm1.1(KOMP)Vlcg/Klf9+ (more )
Structure Level Pattern Image Note
TS28: liver Present UC Davis_1887963

Specimen UC Davis_1887964: postnatal adult; Klf9tm1.1(KOMP)Vlcg/Klf9+ (more )
Structure Level Pattern Image Note
TS28: liver Present UC Davis_1887964

Specimen UC Davis_1887965: postnatal adult; Klf9tm1.1(KOMP)Vlcg/Klf9+ (more )
Structure Level Pattern Image Note
TS28: liver Present UC Davis_1887965

Specimen UC Davis_1887966: postnatal adult; Klf9tm1.1(KOMP)Vlcg/Klf9+ (more )
Structure Level Pattern Image Note
TS28: metanephros Present UC Davis_1887966 kidney

Specimen UC Davis_1887967: postnatal adult; Klf9tm1.1(KOMP)Vlcg/Klf9+ (more )
Structure Level Pattern Image Note
TS28: metanephros Present UC Davis_1887967 kidney

Specimen UC Davis_1887968: postnatal adult; Klf9tm1.1(KOMP)Vlcg/Klf9+ (more )
Structure Level Pattern Image Note
TS28: metanephros Present UC Davis_1887968 kidney

Specimen UC Davis_1887969: postnatal adult; Klf9tm1.1(KOMP)Vlcg/Klf9+ (more )
Structure Level Pattern Image Note
TS28: metanephros Present UC Davis_1887969 kidney

Specimen UC Davis_1887970: postnatal adult; Klf9tm1.1(KOMP)Vlcg/Klf9+ (more )
Structure Level Pattern Image Note
TS28: quadriceps femoris muscle Present UC Davis_1887970

Specimen UC Davis_1887971: postnatal adult; Klf9tm1.1(KOMP)Vlcg/Klf9+ (more )
Structure Level Pattern Image Note
TS28: quadriceps femoris muscle Present UC Davis_1887971

Specimen UC Davis_1887972: postnatal adult; Klf9tm1.1(KOMP)Vlcg/Klf9+ (more )
Structure Level Pattern Image Note
TS28: tongue Present UC Davis_1887972

Specimen UC Davis_1887973: postnatal adult; Klf9tm1.1(KOMP)Vlcg/Klf9+ (more )
Structure Level Pattern Image Note
TS28: tongue Present UC Davis_1887973

Specimen UC Davis_1887974: postnatal adult; Klf9tm1.1(KOMP)Vlcg/Klf9+ (more )
Structure Level Pattern Image Note
TS28: tongue Present UC Davis_1887974

Specimen UC Davis_1887975: postnatal adult; Klf9tm1.1(KOMP)Vlcg/Klf9+ (more )
Structure Level Pattern Image Note
TS28: tongue Present UC Davis_1887975

Specimen UC Davis_1887976: postnatal adult; Klf9tm1.1(KOMP)Vlcg/Klf9+ (more )
Structure Level Pattern Image Note
TS28: diaphragm Present UC Davis_1887976

Specimen UC Davis_1887977: postnatal adult; Klf9tm1.1(KOMP)Vlcg/Klf9+ (more )
Structure Level Pattern Image Note
TS28: adrenal gland Present UC Davis_1887977

Specimen UC Davis_1887978: postnatal adult; Klf9tm1.1(KOMP)Vlcg/Klf9+ (more )
Structure Level Pattern Image Note
TS28: pituitary gland Present UC Davis_1887978

Specimen UC Davis_1887979: postnatal adult; Klf9tm1.1(KOMP)Vlcg/Klf9+ (more )
Structure Level Pattern Image Note
TS28: spinal cord Present UC Davis_1887979

Specimen UC Davis_1887980: postnatal adult; Klf9tm1.1(KOMP)Vlcg/Klf9+ (more )
Structure Level Pattern Image Note
TS28: spinal cord Present UC Davis_1887980

Specimen UC Davis_1887981: postnatal adult; Klf9tm1.1(KOMP)Vlcg/Klf9+ (more )
Structure Level Pattern Image Note
TS28: eye Present UC Davis_1887981

Specimen UC Davis_1887982: postnatal adult; Klf9tm1.1(KOMP)Vlcg/Klf9+ (more )
Structure Level Pattern Image Note
TS28: eye Present UC Davis_1887982

Specimen UC Davis_1887983: postnatal adult; Klf9tm1.1(KOMP)Vlcg/Klf9+ (more )
Structure Level Pattern Image Note
TS28: eye Present UC Davis_1887983

Specimen UC Davis_1887985: postnatal adult; Klf9tm1.1(KOMP)Vlcg/Klf9+ (more )
Structure Level Pattern Image Note
TS28: Harderian gland Present UC Davis_1887985

Specimen UC Davis_1887986: postnatal adult; Klf9tm1.1(KOMP)Vlcg/Klf9+ (more )
Structure Level Pattern Image Note
TS28: Harderian gland Present UC Davis_1887986

Specimen UC Davis_1887987: postnatal adult; Klf9tm1.1(KOMP)Vlcg/Klf9+ (more )
Structure Level Pattern Image Note
TS28: gonadal fat pad Present UC Davis_1887987

Specimen UC Davis_1887988: postnatal adult; Klf9tm1.1(KOMP)Vlcg/Klf9+ (more )
Structure Level Pattern Image Note
TS28: gonadal fat pad Present UC Davis_1887988

Specimen UC Davis_1887989: postnatal adult; Klf9tm1.1(KOMP)Vlcg/Klf9+ (more )
Structure Level Pattern Image Note
TS28: mesenteric adipose tissue Present UC Davis_1887989

Specimen UC Davis_1887990: postnatal adult; Klf9tm1.1(KOMP)Vlcg/Klf9+ (more )
Structure Level Pattern Image Note
TS28: skin Present UC Davis_1887990

Specimen UC Davis_1887991: postnatal adult; Klf9tm1.1(KOMP)Vlcg/Klf9+ (more )
Structure Level Pattern Image Note
TS28: skin Present UC Davis_1887991

Specimen UC Davis_1887992: postnatal adult; Klf9tm1.1(KOMP)Vlcg/Klf9+ (more )
Structure Level Pattern Image Note
TS28: brown fat Present UC Davis_1887992

Specimen UC Davis_1887993: postnatal adult; Klf9tm1.1(KOMP)Vlcg/Klf9+ (more )
Structure Level Pattern Image Note
TS28: brown fat Present UC Davis_1887993

Specimen UC Davis_1887994: postnatal adult; Klf9tm1.1(KOMP)Vlcg/Klf9+ (more )
Structure Level Pattern Image Note
TS28: olfactory lobe Present UC Davis_1887994

Specimen UC Davis_1887997: postnatal adult; Klf9tm1.1(KOMP)Vlcg/Klf9+ (more )
Structure Level Pattern Image Note
TS28: midbrain Present UC Davis_1887997

Specimen UC Davis_1887999: postnatal adult; Klf9tm1.1(KOMP)Vlcg/Klf9+ (more )
Structure Level Pattern Image Note
TS28: cerebellum Present UC Davis_1887999

Specimen UC Davis_1888000: postnatal adult; Klf9tm1.1(KOMP)Vlcg/Klf9+ (more )
Structure Level Pattern Image Note
TS28: trigeminal nerve Present UC Davis_1888000

Specimen UC Davis_1888001: postnatal adult; Klf9tm1.1(KOMP)Vlcg/Klf9+ (more )
Structure Level Pattern Image Note
TS28: trigeminal nerve Present UC Davis_1888001

Specimen UC Davis_1888002: postnatal adult; Klf9tm1.1(KOMP)Vlcg/Klf9+ (more )
Structure Level Pattern Image Note
TS28: bladder Present UC Davis_1888002

Specimen UC Davis_1888003: postnatal adult; Klf9tm1.1(KOMP)Vlcg/Klf9+ (more )
Structure Level Pattern Image Note
TS28: bladder Present UC Davis_1888003

Specimen UC Davis_1888004: postnatal adult; Klf9tm1.1(KOMP)Vlcg/Klf9+ (more )
Structure Level Pattern Image Note
TS28: testis Present UC Davis_1888004

Specimen UC Davis_1888005: postnatal adult; Klf9tm1.1(KOMP)Vlcg/Klf9+ (more )
Structure Level Pattern Image Note
TS28: testis Present UC Davis_1888005

Specimen UC Davis_1888006: postnatal adult; Klf9tm1.1(KOMP)Vlcg/Klf9+ (more )
Structure Level Pattern Image Note
TS28: epididymis Present UC Davis_1888006

Specimen UC Davis_1888007: postnatal adult; Klf9tm1.1(KOMP)Vlcg/Klf9+ (more )
Structure Level Pattern Image Note
TS28: epididymis Present UC Davis_1888007

Specimen UC Davis_1888008: postnatal adult; Klf9tm1.1(KOMP)Vlcg/Klf9+ (more )
Structure Level Pattern Image Note
TS28: prostate gland Present UC Davis_1888008

Specimen UC Davis_1888009: postnatal adult; Klf9tm1.1(KOMP)Vlcg/Klf9+ (more )
Structure Level Pattern Image Note
TS28: prostate gland Present UC Davis_1888009

Specimen UC Davis_1888010: postnatal adult; Klf9tm1.1(KOMP)Vlcg/Klf9+ (more )
Structure Level Pattern Image Note
TS28: penis Present UC Davis_1888010

Specimen UC Davis_1888011: postnatal adult; Klf9tm1.1(KOMP)Vlcg/Klf9+ (more )
Structure Level Pattern Image Note
TS28: penis Present UC Davis_1888011

Specimen UC Davis_1888012: postnatal adult; Klf9tm1.1(KOMP)Vlcg/Klf9+ (more )
Structure Level Pattern Image Note
TS28: ductus deferens Present UC Davis_1888012 vas deferens

Specimen UC Davis_1888016: postnatal adult; Klf9tm1.1(KOMP)Vlcg/Klf9+ (more )
Structure Level Pattern Image Note
TS28: seminal vesicle Present UC Davis_1888016 vesicular gland

Specimen UC Davis_1888017: postnatal adult; Klf9tm1.1(KOMP)Vlcg/Klf9+ (more )
Structure Level Pattern Image Note
TS28: seminal vesicle Present UC Davis_1888017 vesicular gland


Contributing Projects:
Mouse Genome Database (MGD), Gene Expression Database (GXD), Mouse Models of Human Cancer database (MMHCdb) (formerly Mouse Tumor Biology (MTB)), Gene Ontology (GO)
Citing These Resources
Funding Information
Warranty Disclaimer, Privacy Notice, Licensing, & Copyright
Send questions and comments to User Support.
last database update
01/20/2026
MGI 6.24
The Jackson Laboratory