About   Help   FAQ
Gene Expression Data
Assay Details
Assay
Reference: J:228563 Koscielny G, et al., The International Mouse Phenotyping Consortium Web Portal, a unified point of access for knockout mice and related phenotyping data. Nucleic Acids Res. 2014 Jan;42(Database issue):D802-9
Assay type: In situ reporter (knock in)
MGI Accession ID: MGI:6691273
Gene symbol: Psen1
Gene name: presenilin 1
Reporter: lacZ
Direct Detection
Results
Specimen JAX_705227: embryonic day 12.5; Psen1tm1.1(KOMP)Vlcg/Psen1+ (more )
Structure Level Pattern Image Note
TS20: embryo Present JAX_705227

Specimen JAX_705229: embryonic day 12.5; Psen1tm1.1(KOMP)Vlcg/Psen1+ (more )
Structure Level Pattern Image Note
TS20: embryo Present JAX_705229

Specimen JAX_705231: embryonic day 12.5; Psen1tm1.1(KOMP)Vlcg/Psen1+ (more )
Structure Level Pattern Image Note
TS20: embryo Present JAX_705231

Specimen JAX_705233: embryonic day 12.5; Psen1tm1.1(KOMP)Vlcg/Psen1+ (more )
Structure Level Pattern Image Note
TS20: embryo Present JAX_705233

Specimen JAX_1469694: embryonic day 12.5; Psen1tm1.1(KOMP)Vlcg/Psen1+ (more )
Structure Level Pattern Image Note
TS20: embryo Present JAX_1469694

Specimen JAX_1469695: embryonic day 12.5; Psen1tm1.1(KOMP)Vlcg/Psen1+ (more )
Structure Level Pattern Image Note
TS20: embryo Present JAX_1469695

Specimen JAX_1469696: embryonic day 12.5; Psen1tm1.1(KOMP)Vlcg/Psen1+ (more )
Structure Level Pattern Image Note
TS20: embryo Present JAX_1469696

Specimen JAX_1469697: embryonic day 12.5; Psen1tm1.1(KOMP)Vlcg/Psen1+ (more )
Structure Level Pattern Image Note
TS20: embryo Present JAX_1469697

Specimen JAX_1801576: postnatal adult; Psen1tm1.1(KOMP)Vlcg/Psen1+ (more )
Structure Level Pattern Image Note
TS28: submandibular gland Present JAX_1801576

Specimen JAX_1801577: postnatal adult; Psen1tm1.1(KOMP)Vlcg/Psen1+ (more )
Structure Level Pattern Image Note
TS28: bladder Present JAX_1801577

Specimen JAX_1801578: postnatal adult; Psen1tm1.1(KOMP)Vlcg/Psen1+ (more )
Structure Level Pattern Image Note
TS28: cartilage Present JAX_1801578

Specimen JAX_1801579: postnatal adult; Psen1tm1.1(KOMP)Vlcg/Psen1+ (more )
Structure Level Pattern Image Note
TS28: thyroid gland Present JAX_1801579

Specimen JAX_1801580: postnatal adult; Psen1tm1.1(KOMP)Vlcg/Psen1+ (more )
Structure Level Pattern Image Note
TS28: esophagus Present JAX_1801580

Specimen JAX_1801581: postnatal adult; Psen1tm1.1(KOMP)Vlcg/Psen1+ (more )
Structure Level Pattern Image Note
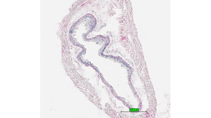
TS28: large intestine Present JAX_1801581

Specimen JAX_1801582: postnatal adult; Psen1tm1.1(KOMP)Vlcg/Psen1+ (more )
Structure Level Pattern Image Note
TS28: uterus Present JAX_1801582

Specimen JAX_1801583: postnatal adult; Psen1tm1.1(KOMP)Vlcg/Psen1+ (more )
Structure Level Pattern Image Note
TS28: trachea Present JAX_1801583

Specimen JAX_1801584: postnatal adult; Psen1tm1.1(KOMP)Vlcg/Psen1+ (more )
Structure Level Pattern Image Note
TS28: oviduct Present JAX_1801584

Specimen JAX_1801585: postnatal adult; Psen1tm1.1(KOMP)Vlcg/Psen1+ (more )
Structure Level Pattern Image Note
TS28: ovary Present JAX_1801585

Specimen JAX_1801586: postnatal adult; Psen1tm1.1(KOMP)Vlcg/Psen1+ (more )
Structure Level Pattern Image Note
TS28: mammary gland Present JAX_1801586

Specimen JAX_1801587: postnatal adult; Psen1tm1.1(KOMP)Vlcg/Psen1+ (more )
Structure Level Pattern Image Note
TS28: lymph node Present JAX_1801587

Specimen TCP_2460487: postnatal adult; Psen1tm1.1(KOMP)Vlcg/Psen1+ (more )
Structure Level Pattern Image Note
TS28: adrenal gland Present TCP_2460487

Specimen TCP_2460488: postnatal adult; Psen1tm1.1(KOMP)Vlcg/Psen1+ (more )
Structure Level Pattern Image Note
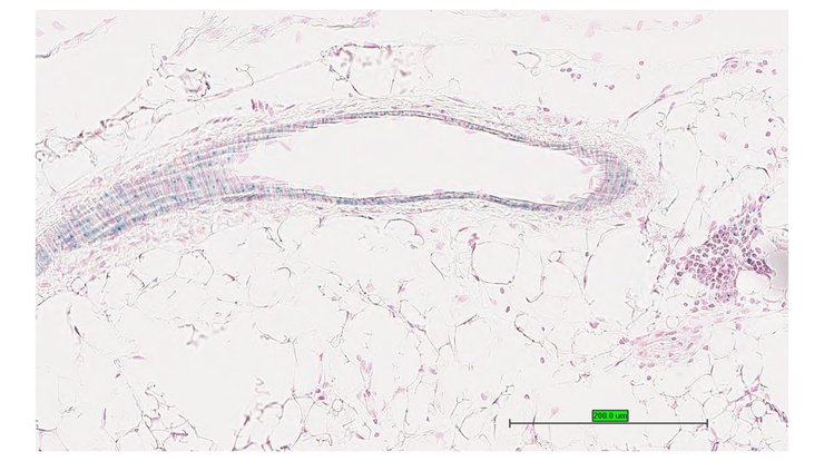
TS28: aorta Present TCP_2460488

Specimen TCP_2460489: postnatal adult; Psen1tm1.1(KOMP)Vlcg/Psen1+ (more )
Structure Level Pattern Image Note
TS28: brain Present TCP_2460489

Specimen TCP_2460490: postnatal adult; Psen1tm1.1(KOMP)Vlcg/Psen1+ (more )
Structure Level Pattern Image Note
TS28: cerebellum Present TCP_2460490

Specimen TCP_2460491: postnatal adult; Psen1tm1.1(KOMP)Vlcg/Psen1+ (more )
Structure Level Pattern Image Note
TS28: eye Present TCP_2460491

Specimen TCP_2460492: postnatal adult; Psen1tm1.1(KOMP)Vlcg/Psen1+ (more )
Structure Level Pattern Image Note
TS28: heart Present TCP_2460492

Specimen TCP_2460493: postnatal adult; Psen1tm1.1(KOMP)Vlcg/Psen1+ (more )
Structure Level Pattern Image Note
TS28: liver Present TCP_2460493

Specimen TCP_2460494: postnatal adult; Psen1tm1.1(KOMP)Vlcg/Psen1+ (more )
Structure Level Pattern Image Note
TS28: lung Present TCP_2460494

Specimen TCP_2460495: postnatal adult; Psen1tm1.1(KOMP)Vlcg/Psen1+ (more )
Structure Level Pattern Image Note
TS28: mammary gland Present TCP_2460495

Specimen TCP_2460496: postnatal adult; Psen1tm1.1(KOMP)Vlcg/Psen1+ (more )
Structure Level Pattern Image Note
TS28: skin Present TCP_2460496

Specimen TCP_2460497: postnatal adult; Psen1tm1.1(KOMP)Vlcg/Psen1+ (more )
Structure Level Pattern Image Note
TS28: pancreas Present TCP_2460497

Specimen TCP_2460498: postnatal adult; Psen1tm1.1(KOMP)Vlcg/Psen1+ (more )
Structure Level Pattern Image Note
TS28: spinal cord Present TCP_2460498

Specimen TCP_2460499: postnatal adult; Psen1tm1.1(KOMP)Vlcg/Psen1+ (more )
Structure Level Pattern Image Note
TS28: trachea Present TCP_2460499

Specimen JAX_1801588: postnatal adult; Psen1tm1.1(KOMP)Vlcg/Psen1+ (more )
Structure Level Pattern Image Note
TS28: thalamus Present JAX_1801588

Specimen JAX_1801589: postnatal adult; Psen1tm1.1(KOMP)Vlcg/Psen1+ (more )
Structure Level Pattern Image Note
TS28: midbrain Present JAX_1801589

Specimen JAX_1801590: postnatal adult; Psen1tm1.1(KOMP)Vlcg/Psen1+ (more )
Structure Level Pattern Image Note
TS28: vascular system Present JAX_1801590

Specimen JAX_1801591: postnatal adult; Psen1tm1.1(KOMP)Vlcg/Psen1+ (more )
Structure Level Pattern Image Note
TS28: epididymis Present JAX_1801591

Specimen JAX_1801592: postnatal adult; Psen1tm1.1(KOMP)Vlcg/Psen1+ (more )
Structure Level Pattern Image Note
TS28: brown fat Present JAX_1801592

Specimen JAX_1801593: postnatal adult; Psen1tm1.1(KOMP)Vlcg/Psen1+ (more )
Structure Level Pattern Image Note
TS28: bone marrow Present JAX_1801593

Specimen JAX_1801594: postnatal adult; Psen1tm1.1(KOMP)Vlcg/Psen1+ (more )
Structure Level Pattern Image Note
TS28: corpus striatum Present JAX_1801594

Specimen JAX_1801595: postnatal adult; Psen1tm1.1(KOMP)Vlcg/Psen1+ (more )
Structure Level Pattern Image Note
TS28: Peyer's patch Present JAX_1801595

Specimen JAX_1801596: postnatal adult; Psen1tm1.1(KOMP)Vlcg/Psen1+ (more )
Structure Level Pattern Image Note
TS28: peripheral nervous system Present JAX_1801596

Specimen JAX_1801597: postnatal adult; Psen1tm1.1(KOMP)Vlcg/Psen1+ (more )
Structure Level Pattern Image Note
TS28: olfactory lobe Present JAX_1801597

Specimen JAX_1801598: postnatal adult; Psen1tm1.1(KOMP)Vlcg/Psen1+ (more )
Structure Level Pattern Image Note
TS28: hypothalamus Present JAX_1801598

Specimen JAX_1801599: postnatal adult; Psen1tm1.1(KOMP)Vlcg/Psen1+ (more )
Structure Level Pattern Image Note
TS28: hippocampus Present JAX_1801599

Specimen JAX_1801600: postnatal adult; Psen1tm1.1(KOMP)Vlcg/Psen1+ (more )
Structure Level Pattern Image Note
TS28: cerebellum Present JAX_1801600

Specimen JAX_1801601: postnatal adult; Psen1tm1.1(KOMP)Vlcg/Psen1+ (more )
Structure Level Pattern Image Note
TS28: cerebral cortex Present JAX_1801601

Specimen JAX_1801602: postnatal adult; Psen1tm1.1(KOMP)Vlcg/Psen1+ (more )
Structure Level Pattern Image Note
TS28: brainstem Present JAX_1801602

Specimen JAX_1801603: postnatal adult; Psen1tm1.1(KOMP)Vlcg/Psen1+ (more )
Structure Level Pattern Image Note
TS28: spleen Present JAX_1801603

Specimen JAX_1801604: postnatal adult; Psen1tm1.1(KOMP)Vlcg/Psen1+ (more )
Structure Level Pattern Image Note
TS28: pancreas Present JAX_1801604

Specimen JAX_1801605: postnatal adult; Psen1tm1.1(KOMP)Vlcg/Psen1+ (more )
Structure Level Pattern Image Note
TS28: aorta Present JAX_1801605

Specimen JAX_1801606: postnatal adult; Psen1tm1.1(KOMP)Vlcg/Psen1+ (more )
Structure Level Pattern Image Note
TS28: lung Present JAX_1801606

Specimen JAX_1801607: postnatal adult; Psen1tm1.1(KOMP)Vlcg/Psen1+ (more )
Structure Level Pattern Image Note
TS28: white fat Present JAX_1801607

Specimen JAX_1801608: postnatal adult; Psen1tm1.1(KOMP)Vlcg/Psen1+ (more )
Structure Level Pattern Image Note
TS28: small intestine Present JAX_1801608

Specimen JAX_1801609: postnatal adult; Psen1tm1.1(KOMP)Vlcg/Psen1+ (more )
Structure Level Pattern Image Note
TS28: skeletal muscle tissue Present JAX_1801609

Specimen JAX_1801610: postnatal adult; Psen1tm1.1(KOMP)Vlcg/Psen1+ (more )
Structure Level Pattern Image Note
TS28: pituitary gland Present JAX_1801610

Specimen JAX_1801611: postnatal adult; Psen1tm1.1(KOMP)Vlcg/Psen1+ (more )
Structure Level Pattern Image Note
TS28: spinal cord Present JAX_1801611

Specimen JAX_1801612: postnatal adult; Psen1tm1.1(KOMP)Vlcg/Psen1+ (more )
Structure Level Pattern Image Note
TS28: thymus Present JAX_1801612

Specimen JAX_1801613: postnatal adult; Psen1tm1.1(KOMP)Vlcg/Psen1+ (more )
Structure Level Pattern Image Note
TS28: testis Present JAX_1801613

Specimen JAX_1801614: postnatal adult; Psen1tm1.1(KOMP)Vlcg/Psen1+ (more )
Structure Level Pattern Image Note
TS28: stomach Present JAX_1801614

Specimen JAX_1801615: postnatal adult; Psen1tm1.1(KOMP)Vlcg/Psen1+ (more )
Structure Level Pattern Image Note
TS28: skin Present JAX_1801615

Specimen JAX_1801616: postnatal adult; Psen1tm1.1(KOMP)Vlcg/Psen1+ (more )
Structure Level Pattern Image Note
TS28: liver Present JAX_1801616

Specimen JAX_1801617: postnatal adult; Psen1tm1.1(KOMP)Vlcg/Psen1+ (more )
Structure Level Pattern Image Note
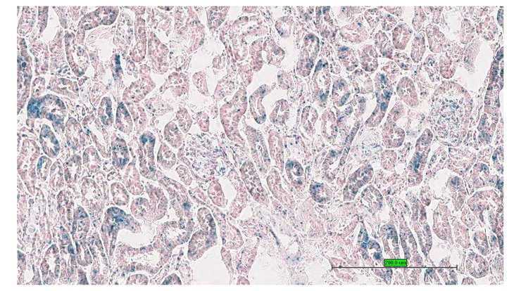
TS28: metanephros Present JAX_1801617 kidney

Specimen JAX_1801618: postnatal adult; Psen1tm1.1(KOMP)Vlcg/Psen1+ (more )
Structure Level Pattern Image Note
TS28: heart Present JAX_1801618

Specimen JAX_1801619: postnatal adult; Psen1tm1.1(KOMP)Vlcg/Psen1+ (more )
Structure Level Pattern Image Note
TS28: eye Present JAX_1801619

Specimen JAX_1801620: postnatal adult; Psen1tm1.1(KOMP)Vlcg/Psen1+ (more )
Structure Level Pattern Image Note
TS28: brain Present JAX_1801620

Specimen JAX_1801621: postnatal adult; Psen1tm1.1(KOMP)Vlcg/Psen1+ (more )
Structure Level Pattern Image Note
TS28: adrenal gland Present JAX_1801621

Specimen TCP_2460475: postnatal adult; Psen1tm1.1(KOMP)Vlcg/Psen1+ (more )
Structure Level Pattern Image Note
TS28: aorta Present TCP_2460475

Specimen TCP_2460476: postnatal adult; Psen1tm1.1(KOMP)Vlcg/Psen1+ (more )
Structure Level Pattern Image Note
TS28: adrenal gland Present TCP_2460476

Specimen TCP_2460477: postnatal adult; Psen1tm1.1(KOMP)Vlcg/Psen1+ (more )
Structure Level Pattern Image Note
TS28: brain Present TCP_2460477

Specimen TCP_2460478: postnatal adult; Psen1tm1.1(KOMP)Vlcg/Psen1+ (more )
Structure Level Pattern Image Note
TS28: cerebellum Present TCP_2460478

Specimen TCP_2460479: postnatal adult; Psen1tm1.1(KOMP)Vlcg/Psen1+ (more )
Structure Level Pattern Image Note
TS28: eye Present TCP_2460479

Specimen TCP_2460480: postnatal adult; Psen1tm1.1(KOMP)Vlcg/Psen1+ (more )
Structure Level Pattern Image Note
TS28: heart Present TCP_2460480

Specimen TCP_2460481: postnatal adult; Psen1tm1.1(KOMP)Vlcg/Psen1+ (more )
Structure Level Pattern Image Note
TS28: liver Present TCP_2460481

Specimen TCP_2460482: postnatal adult; Psen1tm1.1(KOMP)Vlcg/Psen1+ (more )
Structure Level Pattern Image Note
TS28: lung Present TCP_2460482

Specimen TCP_2460483: postnatal adult; Psen1tm1.1(KOMP)Vlcg/Psen1+ (more )
Structure Level Pattern Image Note
TS28: skin Present TCP_2460483

Specimen TCP_2460484: postnatal adult; Psen1tm1.1(KOMP)Vlcg/Psen1+ (more )
Structure Level Pattern Image Note
TS28: spinal cord Present TCP_2460484

Specimen TCP_2460485: postnatal adult; Psen1tm1.1(KOMP)Vlcg/Psen1+ (more )
Structure Level Pattern Image Note
TS28: trachea Present TCP_2460485

Specimen TCP_2460486: postnatal adult; Psen1tm1.1(KOMP)Vlcg/Psen1+ (more )
Structure Level Pattern Image Note
TS28: pancreas Present TCP_2460486

Specimen UC Davis_1878676: postnatal adult; Psen1tm1.1(KOMP)Vlcg/Psen1+ (more )
Structure Level Pattern Image Note
TS28: submandibular gland Present UC Davis_1878676

Specimen UC Davis_1878677: postnatal adult; Psen1tm1.1(KOMP)Vlcg/Psen1+ (more )
Structure Level Pattern Image Note
TS28: submandibular gland Present UC Davis_1878677

Specimen UC Davis_1878678: postnatal adult; Psen1tm1.1(KOMP)Vlcg/Psen1+ (more )
Structure Level Pattern Image Note
TS28: sublingual gland Present UC Davis_1878678

Specimen UC Davis_1878679: postnatal adult; Psen1tm1.1(KOMP)Vlcg/Psen1+ (more )
Structure Level Pattern Image Note
TS28: sublingual gland Present UC Davis_1878679

Specimen UC Davis_1878680: postnatal adult; Psen1tm1.1(KOMP)Vlcg/Psen1+ (more )
Structure Level Pattern Image Note
TS28: trachea Present UC Davis_1878680

Specimen UC Davis_1878681: postnatal adult; Psen1tm1.1(KOMP)Vlcg/Psen1+ (more )
Structure Level Pattern Image Note
TS28: esophagus Present UC Davis_1878681

Specimen UC Davis_1878682: postnatal adult; Psen1tm1.1(KOMP)Vlcg/Psen1+ (more )
Structure Level Pattern Image Note
TS28: esophagus Present UC Davis_1878682

Specimen UC Davis_1878684: postnatal adult; Psen1tm1.1(KOMP)Vlcg/Psen1+ (more )
Structure Level Pattern Image Note
TS28: lung Present UC Davis_1878684

Specimen UC Davis_1878685: postnatal adult; Psen1tm1.1(KOMP)Vlcg/Psen1+ (more )
Structure Level Pattern Image Note
TS28: lung Present UC Davis_1878685

Specimen UC Davis_1878686: postnatal adult; Psen1tm1.1(KOMP)Vlcg/Psen1+ (more )
Structure Level Pattern Image Note
TS28: thymus Present UC Davis_1878686

Specimen UC Davis_1878687: postnatal adult; Psen1tm1.1(KOMP)Vlcg/Psen1+ (more )
Structure Level Pattern Image Note
TS28: thymus Present UC Davis_1878687

Specimen UC Davis_1878690: postnatal adult; Psen1tm1.1(KOMP)Vlcg/Psen1+ (more )
Structure Level Pattern Image Note
TS28: stomach Present UC Davis_1878690

Specimen UC Davis_1878691: postnatal adult; Psen1tm1.1(KOMP)Vlcg/Psen1+ (more )
Structure Level Pattern Image Note
TS28: duodenum Present UC Davis_1878691

Specimen UC Davis_1878692: postnatal adult; Psen1tm1.1(KOMP)Vlcg/Psen1+ (more )
Structure Level Pattern Image Note
TS28: ileum Present UC Davis_1878692

Specimen UC Davis_1878693: postnatal adult; Psen1tm1.1(KOMP)Vlcg/Psen1+ (more )
Structure Level Pattern Image Note
TS28: colon Present UC Davis_1878693

Specimen UC Davis_1878694: postnatal adult; Psen1tm1.1(KOMP)Vlcg/Psen1+ (more )
Structure Level Pattern Image Note
TS28: colon Present UC Davis_1878694

Specimen UC Davis_1878695: postnatal adult; Psen1tm1.1(KOMP)Vlcg/Psen1+ (more )
Structure Level Pattern Image Note
TS28: spleen Present UC Davis_1878695

Specimen UC Davis_1878696: postnatal adult; Psen1tm1.1(KOMP)Vlcg/Psen1+ (more )
Structure Level Pattern Image Note
TS28: pancreas Present UC Davis_1878696

Specimen UC Davis_1878697: postnatal adult; Psen1tm1.1(KOMP)Vlcg/Psen1+ (more )
Structure Level Pattern Image Note
TS28: liver Present UC Davis_1878697

Specimen UC Davis_1878698: postnatal adult; Psen1tm1.1(KOMP)Vlcg/Psen1+ (more )
Structure Level Pattern Image Note
TS28: metanephros Present UC Davis_1878698 kidney

Specimen UC Davis_1878699: postnatal adult; Psen1tm1.1(KOMP)Vlcg/Psen1+ (more )
Structure Level Pattern Image Note
TS28: metanephros Present UC Davis_1878699 kidney

Specimen UC Davis_1878700: postnatal adult; Psen1tm1.1(KOMP)Vlcg/Psen1+ (more )
Structure Level Pattern Image Note
TS28: quadriceps femoris muscle Present UC Davis_1878700

Specimen UC Davis_1878701: postnatal adult; Psen1tm1.1(KOMP)Vlcg/Psen1+ (more )
Structure Level Pattern Image Note
TS28: sciatic nerve Present UC Davis_1878701

Specimen UC Davis_1878702: postnatal adult; Psen1tm1.1(KOMP)Vlcg/Psen1+ (more )
Structure Level Pattern Image Note
TS28: sciatic nerve Present UC Davis_1878702

Specimen UC Davis_1878703: postnatal adult; Psen1tm1.1(KOMP)Vlcg/Psen1+ (more )
Structure Level Pattern Image Note
TS28: sciatic nerve Present UC Davis_1878703

Specimen UC Davis_1878704: postnatal adult; Psen1tm1.1(KOMP)Vlcg/Psen1+ (more )
Structure Level Pattern Image Note
TS28: tongue Present UC Davis_1878704

Specimen UC Davis_1878705: postnatal adult; Psen1tm1.1(KOMP)Vlcg/Psen1+ (more )
Structure Level Pattern Image Note
TS28: tongue Present UC Davis_1878705

Specimen UC Davis_1878706: postnatal adult; Psen1tm1.1(KOMP)Vlcg/Psen1+ (more )
Structure Level Pattern Image Note
TS28: tongue Present UC Davis_1878706

Specimen UC Davis_1878707: postnatal adult; Psen1tm1.1(KOMP)Vlcg/Psen1+ (more )
Structure Level Pattern Image Note
TS28: diaphragm Present UC Davis_1878707

Specimen UC Davis_1878708: postnatal adult; Psen1tm1.1(KOMP)Vlcg/Psen1+ (more )
Structure Level Pattern Image Note
TS28: adrenal gland Present UC Davis_1878708

Specimen UC Davis_1878709: postnatal adult; Psen1tm1.1(KOMP)Vlcg/Psen1+ (more )
Structure Level Pattern Image Note
TS28: adrenal gland Present UC Davis_1878709

Specimen UC Davis_1878710: postnatal adult; Psen1tm1.1(KOMP)Vlcg/Psen1+ (more )
Structure Level Pattern Image Note
TS28: pituitary gland Present UC Davis_1878710

Specimen UC Davis_1878711: postnatal adult; Psen1tm1.1(KOMP)Vlcg/Psen1+ (more )
Structure Level Pattern Image Note
TS28: eye Present UC Davis_1878711

Specimen UC Davis_1878712: postnatal adult; Psen1tm1.1(KOMP)Vlcg/Psen1+ (more )
Structure Level Pattern Image Note
TS28: eye Present UC Davis_1878712

Specimen UC Davis_1878714: postnatal adult; Psen1tm1.1(KOMP)Vlcg/Psen1+ (more )
Structure Level Pattern Image Note
TS28: Harderian gland Present UC Davis_1878714

Specimen UC Davis_1878715: postnatal adult; Psen1tm1.1(KOMP)Vlcg/Psen1+ (more )
Structure Level Pattern Image Note
TS28: gonadal fat pad Present UC Davis_1878715

Specimen UC Davis_1878716: postnatal adult; Psen1tm1.1(KOMP)Vlcg/Psen1+ (more )
Structure Level Pattern Image Note
TS28: skin Present UC Davis_1878716

Specimen UC Davis_1878717: postnatal adult; Psen1tm1.1(KOMP)Vlcg/Psen1+ (more )
Structure Level Pattern Image Note
TS28: brown fat Present UC Davis_1878717

Specimen UC Davis_1878718: postnatal adult; Psen1tm1.1(KOMP)Vlcg/Psen1+ (more )
Structure Level Pattern Image Note
TS28: brown fat Present UC Davis_1878718

Specimen UC Davis_1878719: postnatal adult; Psen1tm1.1(KOMP)Vlcg/Psen1+ (more )
Structure Level Pattern Image Note
TS28: olfactory lobe Present UC Davis_1878719

Specimen UC Davis_1878721: postnatal adult; Psen1tm1.1(KOMP)Vlcg/Psen1+ (more )
Structure Level Pattern Image Note
TS28: midbrain Present UC Davis_1878721

Specimen UC Davis_1878723: postnatal adult; Psen1tm1.1(KOMP)Vlcg/Psen1+ (more )
Structure Level Pattern Image Note
TS28: cerebellum Present UC Davis_1878723

Specimen UC Davis_1878724: postnatal adult; Psen1tm1.1(KOMP)Vlcg/Psen1+ (more )
Structure Level Pattern Image Note
TS28: trigeminal nerve Present UC Davis_1878724

Specimen UC Davis_1878725: postnatal adult; Psen1tm1.1(KOMP)Vlcg/Psen1+ (more )
Structure Level Pattern Image Note
TS28: bladder Present UC Davis_1878725

Specimen UC Davis_1878726: postnatal adult; Psen1tm1.1(KOMP)Vlcg/Psen1+ (more )
Structure Level Pattern Image Note
TS28: testis Present UC Davis_1878726

Specimen UC Davis_1878727: postnatal adult; Psen1tm1.1(KOMP)Vlcg/Psen1+ (more )
Structure Level Pattern Image Note
TS28: epididymis Present UC Davis_1878727

Specimen UC Davis_1878728: postnatal adult; Psen1tm1.1(KOMP)Vlcg/Psen1+ (more )
Structure Level Pattern Image Note
TS28: epididymis Present UC Davis_1878728

Specimen UC Davis_1878729: postnatal adult; Psen1tm1.1(KOMP)Vlcg/Psen1+ (more )
Structure Level Pattern Image Note
TS28: penis Present UC Davis_1878729

Specimen UC Davis_1878730: postnatal adult; Psen1tm1.1(KOMP)Vlcg/Psen1+ (more )
Structure Level Pattern Image Note
TS28: penis Present UC Davis_1878730

Specimen UC Davis_1878731: postnatal adult; Psen1tm1.1(KOMP)Vlcg/Psen1+ (more )
Structure Level Pattern Image Note
TS28: bone marrow Present UC Davis_1878731

Specimen UC Davis_1878732: postnatal adult; Psen1tm1.1(KOMP)Vlcg/Psen1+ (more )
Structure Level Pattern Image Note
TS28: bone marrow Present UC Davis_1878732

Specimen UC Davis_1878733: postnatal adult; Psen1tm1.1(KOMP)Vlcg/Psen1+ (more )
Structure Level Pattern Image Note
TS28: ductus deferens Present UC Davis_1878733 vas deferens

Specimen UC Davis_1878734: postnatal adult; Psen1tm1.1(KOMP)Vlcg/Psen1+ (more )
Structure Level Pattern Image Note
TS28: ductus deferens Present UC Davis_1878734 vas deferens

Specimen UC Davis_1878738: postnatal adult; Psen1tm1.1(KOMP)Vlcg/Psen1+ (more )
Structure Level Pattern Image Note
TS28: seminal vesicle Present UC Davis_1878738 vesicular gland


Contributing Projects:
Mouse Genome Database (MGD), Gene Expression Database (GXD), Mouse Models of Human Cancer database (MMHCdb) (formerly Mouse Tumor Biology (MTB)), Gene Ontology (GO)
Citing These Resources
Funding Information
Warranty Disclaimer, Privacy Notice, Licensing, & Copyright
Send questions and comments to User Support.
last database update
01/20/2026
MGI 6.24
The Jackson Laboratory