About   Help   FAQ
Gene Expression Data
Assay Details
Assay
Reference: J:228563 Koscielny G, et al., The International Mouse Phenotyping Consortium Web Portal, a unified point of access for knockout mice and related phenotyping data. Nucleic Acids Res. 2014 Jan;42(Database issue):D802-9
Assay type: In situ reporter (knock in)
MGI Accession ID: MGI:6691261
Gene symbol: Rasa3
Gene name: RAS p21 protein activator 3
Reporter: lacZ
Direct Detection
Results
Specimen JAX_1618570: embryonic day 12.5; Rasa3tm1b(KOMP)J/Rasa3+ (more )
Structure Level Pattern Image Note
TS20: embryo Present JAX_1618570

Specimen JAX_1618571: embryonic day 12.5; Rasa3tm1b(KOMP)J/Rasa3+ (more )
Structure Level Pattern Image Note
TS20: embryo Present JAX_1618571

Specimen JAX_1618572: embryonic day 12.5; Rasa3tm1b(KOMP)J/Rasa3+ (more )
Structure Level Pattern Image Note
TS20: embryo Present JAX_1618572

Specimen JAX_1618573: embryonic day 12.5; Rasa3tm1b(KOMP)J/Rasa3+ (more )
Structure Level Pattern Image Note
TS20: embryo Present JAX_1618573

Specimen JAX_610565: embryonic day 12.5; Rasa3tm1b(KOMP)J/Rasa3+ (more )
Structure Level Pattern Image Note
TS20: embryo Present JAX_610565

Specimen JAX_610567: embryonic day 12.5; Rasa3tm1b(KOMP)J/Rasa3+ (more )
Structure Level Pattern Image Note
TS20: embryo Present JAX_610567

Specimen JAX_610569: embryonic day 12.5; Rasa3tm1b(KOMP)J/Rasa3+ (more )
Structure Level Pattern Image Note
TS20: embryo Present JAX_610569

Specimen JAX_610571: embryonic day 12.5; Rasa3tm1b(KOMP)J/Rasa3+ (more )
Structure Level Pattern Image Note
TS20: embryo Present JAX_610571

Specimen JAX_610573: embryonic day 12.5; Rasa3tm1b(KOMP)J/Rasa3+ (more )
Structure Level Pattern Image Note
TS20: embryo Present JAX_610573

Specimen JAX_610575: embryonic day 12.5; Rasa3tm1b(KOMP)J/Rasa3+ (more )
Structure Level Pattern Image Note
TS20: embryo Present JAX_610575

Specimen JAX_610577: embryonic day 12.5; Rasa3tm1b(KOMP)J/Rasa3+ (more )
Structure Level Pattern Image Note
TS20: embryo Present JAX_610577

Specimen JAX_610579: embryonic day 12.5; Rasa3tm1b(KOMP)J/Rasa3+ (more )
Structure Level Pattern Image Note
TS20: embryo Present JAX_610579

Specimen JAX_1800311: postnatal adult; Rasa3tm1b(KOMP)J/Rasa3+ (more )
Structure Level Pattern Image Note
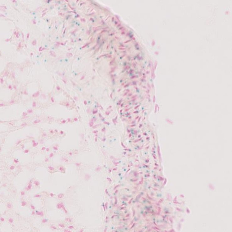
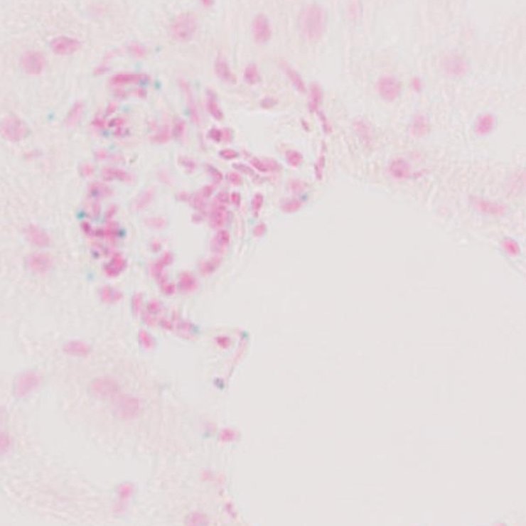
TS28: vascular system Present JAX_1800311

Specimen JAX_1800312: postnatal adult; Rasa3tm1b(KOMP)J/Rasa3+ (more )
Structure Level Pattern Image Note
TS28: submandibular gland Present JAX_1800312

Specimen JAX_1800313: postnatal adult; Rasa3tm1b(KOMP)J/Rasa3+ (more )
Structure Level Pattern Image Note
TS28: brown fat Present JAX_1800313

Specimen JAX_1800314: postnatal adult; Rasa3tm1b(KOMP)J/Rasa3+ (more )
Structure Level Pattern Image Note
TS28: bladder Present JAX_1800314

Specimen JAX_1800315: postnatal adult; Rasa3tm1b(KOMP)J/Rasa3+ (more )
Structure Level Pattern Image Note
TS28: peripheral nervous system Present JAX_1800315

Specimen JAX_1800316: postnatal adult; Rasa3tm1b(KOMP)J/Rasa3+ (more )
Structure Level Pattern Image Note
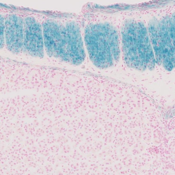
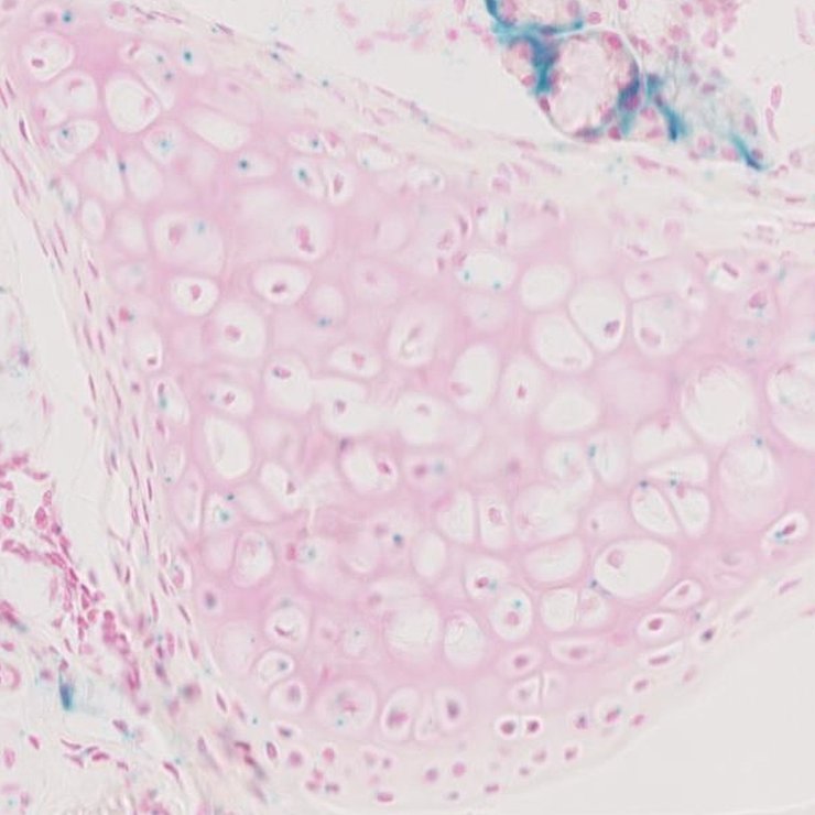
TS28: cartilage Present JAX_1800316

Specimen JAX_1800317: postnatal adult; Rasa3tm1b(KOMP)J/Rasa3+ (more )
Structure Level Pattern Image Note
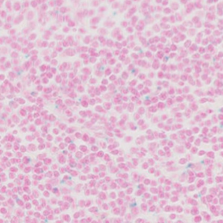
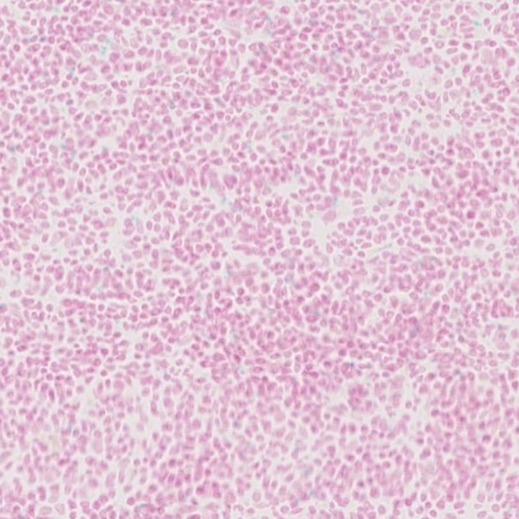
TS28: spleen Present JAX_1800317

Specimen JAX_1800318: postnatal adult; Rasa3tm1b(KOMP)J/Rasa3+ (more )
Structure Level Pattern Image Note
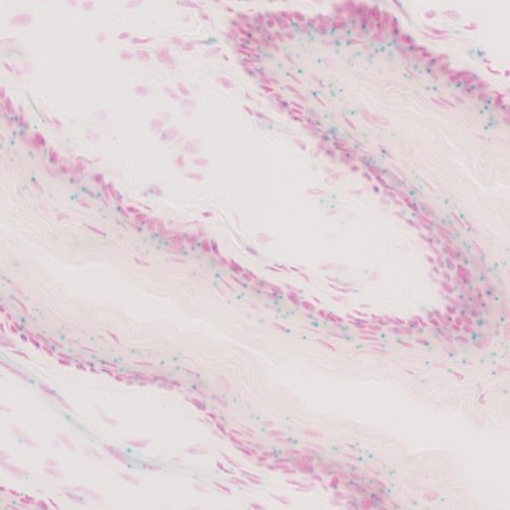
TS28: aorta Present JAX_1800318

Specimen JAX_1800319: postnatal adult; Rasa3tm1b(KOMP)J/Rasa3+ (more )
Structure Level Pattern Image Note
TS28: white fat Present JAX_1800319

Specimen JAX_1800320: postnatal adult; Rasa3tm1b(KOMP)J/Rasa3+ (more )
Structure Level Pattern Image Note
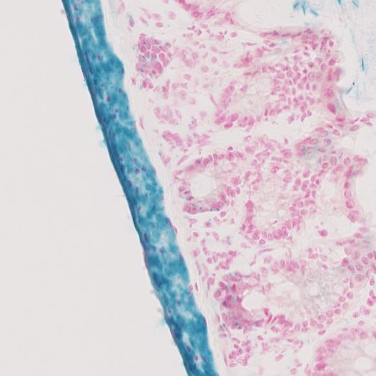
TS28: small intestine Present JAX_1800320

Specimen JAX_1800321: postnatal adult; Rasa3tm1b(KOMP)J/Rasa3+ (more )
Structure Level Pattern Image Note
TS28: skeletal muscle tissue Present JAX_1800321

Specimen JAX_1800322: postnatal adult; Rasa3tm1b(KOMP)J/Rasa3+ (more )
Structure Level Pattern Image Note
TS28: esophagus Present JAX_1800322

Specimen JAX_1800323: postnatal adult; Rasa3tm1b(KOMP)J/Rasa3+ (more )
Structure Level Pattern Image Note
TS28: uterus Present JAX_1800323

Specimen JAX_1800324: postnatal adult; Rasa3tm1b(KOMP)J/Rasa3+ (more )
Structure Level Pattern Image Note
TS28: trachea Present JAX_1800324

Specimen JAX_1800325: postnatal adult; Rasa3tm1b(KOMP)J/Rasa3+ (more )
Structure Level Pattern Image Note
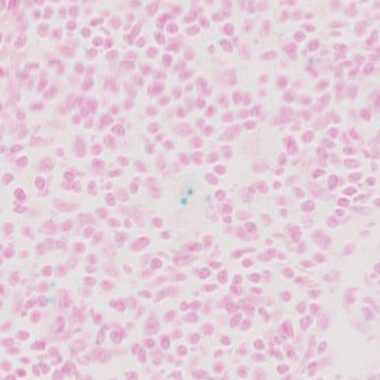
TS28: thymus Present JAX_1800325

Specimen JAX_1800326: postnatal adult; Rasa3tm1b(KOMP)J/Rasa3+ (more )
Structure Level Pattern Image Note
TS28: stomach Present JAX_1800326

Specimen JAX_1800327: postnatal adult; Rasa3tm1b(KOMP)J/Rasa3+ (more )
Structure Level Pattern Image Note
TS28: skin Present JAX_1800327

Specimen JAX_1800328: postnatal adult; Rasa3tm1b(KOMP)J/Rasa3+ (more )
Structure Level Pattern Image Note
TS28: oviduct Present JAX_1800328

Specimen JAX_1800329: postnatal adult; Rasa3tm1b(KOMP)J/Rasa3+ (more )
Structure Level Pattern Image Note
TS28: ovary Present JAX_1800329

Specimen JAX_1800330: postnatal adult; Rasa3tm1b(KOMP)J/Rasa3+ (more )
Structure Level Pattern Image Note
TS28: mammary gland Present JAX_1800330

Specimen JAX_1800331: postnatal adult; Rasa3tm1b(KOMP)J/Rasa3+ (more )
Structure Level Pattern Image Note
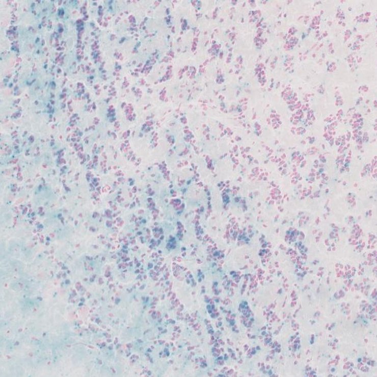
TS28: lymph node Present JAX_1800331

Specimen JAX_1800332: postnatal adult; Rasa3tm1b(KOMP)J/Rasa3+ (more )
Structure Level Pattern Image Note
TS28: liver Present JAX_1800332

Specimen JAX_1800333: postnatal adult; Rasa3tm1b(KOMP)J/Rasa3+ (more )
Structure Level Pattern Image Note
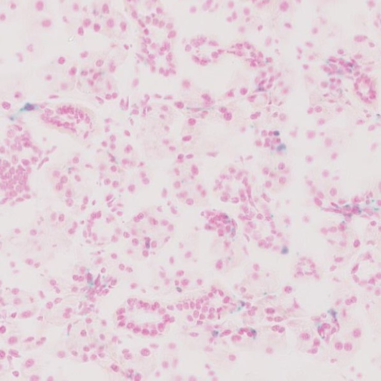
TS28: metanephros Present JAX_1800333 kidney

Specimen JAX_1800334: postnatal adult; Rasa3tm1b(KOMP)J/Rasa3+ (more )
Structure Level Pattern Image Note
TS28: heart Present JAX_1800334

Specimen JAX_1800335: postnatal adult; Rasa3tm1b(KOMP)J/Rasa3+ (more )
Structure Level Pattern Image Note
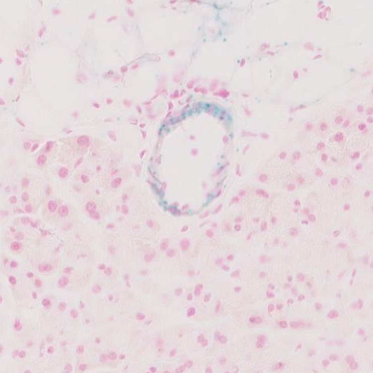
TS28: adrenal gland Present JAX_1800335

Specimen JAX_1800336: postnatal adult; Rasa3tm1b(KOMP)J/Rasa3+ (more )
Structure Level Pattern Image Note
TS28: thalamus Present JAX_1800336

Specimen JAX_1800337: postnatal adult; Rasa3tm1b(KOMP)J/Rasa3+ (more )
Structure Level Pattern Image Note
TS28: midbrain Present JAX_1800337

Specimen JAX_1800338: postnatal adult; Rasa3tm1b(KOMP)J/Rasa3+ (more )
Structure Level Pattern Image Note
TS28: epididymis Present JAX_1800338

Specimen JAX_1800339: postnatal adult; Rasa3tm1b(KOMP)J/Rasa3+ (more )
Structure Level Pattern Image Note
TS28: submandibular gland Present JAX_1800339

Specimen JAX_1800340: postnatal adult; Rasa3tm1b(KOMP)J/Rasa3+ (more )
Structure Level Pattern Image Note
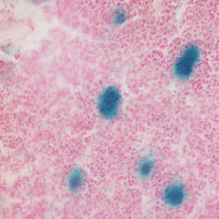
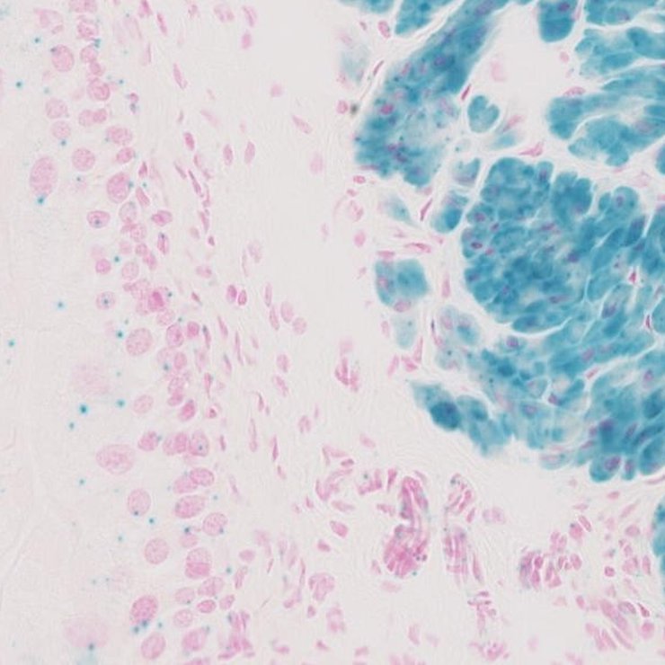
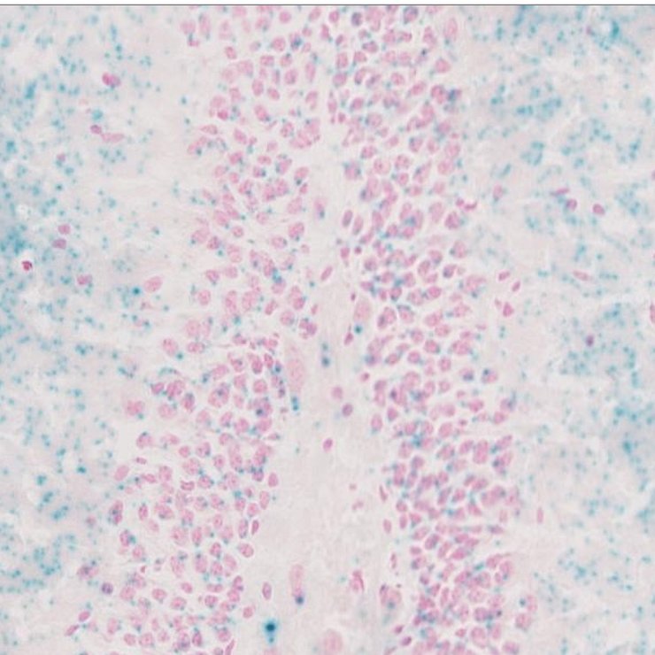
TS28: bone marrow Present JAX_1800340

Specimen JAX_1800341: postnatal adult; Rasa3tm1b(KOMP)J/Rasa3+ (more )
Structure Level Pattern Image Note
TS28: corpus striatum Present JAX_1800341

Specimen JAX_1800342: postnatal adult; Rasa3tm1b(KOMP)J/Rasa3+ (more )
Structure Level Pattern Image Note
TS28: Peyer's patch Present JAX_1800342

Specimen JAX_1800343: postnatal adult; Rasa3tm1b(KOMP)J/Rasa3+ (more )
Structure Level Pattern Image Note
TS28: olfactory lobe Present JAX_1800343

Specimen JAX_1800344: postnatal adult; Rasa3tm1b(KOMP)J/Rasa3+ (more )
Structure Level Pattern Image Note
TS28: hypothalamus Present JAX_1800344

Specimen JAX_1800345: postnatal adult; Rasa3tm1b(KOMP)J/Rasa3+ (more )
Structure Level Pattern Image Note
TS28: hippocampus Present JAX_1800345

Specimen JAX_1800346: postnatal adult; Rasa3tm1b(KOMP)J/Rasa3+ (more )
Structure Level Pattern Image Note
TS28: cerebellum Present JAX_1800346

Specimen JAX_1800347: postnatal adult; Rasa3tm1b(KOMP)J/Rasa3+ (more )
Structure Level Pattern Image Note
TS28: cerebral cortex Present JAX_1800347

Specimen JAX_1800348: postnatal adult; Rasa3tm1b(KOMP)J/Rasa3+ (more )
Structure Level Pattern Image Note
TS28: brainstem Present JAX_1800348

Specimen JAX_1800349: postnatal adult; Rasa3tm1b(KOMP)J/Rasa3+ (more )
Structure Level Pattern Image Note
TS28: lung Present JAX_1800349

Specimen JAX_1800350: postnatal adult; Rasa3tm1b(KOMP)J/Rasa3+ (more )
Structure Level Pattern Image Note
TS28: pituitary gland Present JAX_1800350

Specimen JAX_1800351: postnatal adult; Rasa3tm1b(KOMP)J/Rasa3+ (more )
Structure Level Pattern Image Note
TS28: spinal cord Present JAX_1800351

Specimen JAX_1800352: postnatal adult; Rasa3tm1b(KOMP)J/Rasa3+ (more )
Structure Level Pattern Image Note
TS28: large intestine Present JAX_1800352

Specimen JAX_1800353: postnatal adult; Rasa3tm1b(KOMP)J/Rasa3+ (more )
Structure Level Pattern Image Note
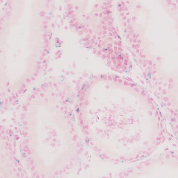
TS28: testis Present JAX_1800353

Specimen JAX_1800354: postnatal adult; Rasa3tm1b(KOMP)J/Rasa3+ (more )
Structure Level Pattern Image Note
TS28: eye Present JAX_1800354

Specimen JAX_1800355: postnatal adult; Rasa3tm1b(KOMP)J/Rasa3+ (more )
Structure Level Pattern Image Note
TS28: brain Present JAX_1800355


Contributing Projects:
Mouse Genome Database (MGD), Gene Expression Database (GXD), Mouse Models of Human Cancer database (MMHCdb) (formerly Mouse Tumor Biology (MTB)), Gene Ontology (GO)
Citing These Resources
Funding Information
Warranty Disclaimer, Privacy Notice, Licensing, & Copyright
Send questions and comments to User Support.
last database update
12/30/2025
MGI 6.24
The Jackson Laboratory