About   Help   FAQ
Gene Expression Data
Assay Details
Assay
Reference: J:228563 Koscielny G, et al., The International Mouse Phenotyping Consortium Web Portal, a unified point of access for knockout mice and related phenotyping data. Nucleic Acids Res. 2014 Jan;42(Database issue):D802-9
Assay type: In situ reporter (knock in)
MGI Accession ID: MGI:6691193
Gene symbol: Psme1
Gene name: proteasome (prosome, macropain) activator subunit 1 (PA28 alpha)
Reporter: lacZ
Direct Detection
Results
Specimen UC Davis_1877954: postnatal adult; Psme1tm1.1(KOMP)Vlcg/Psme1+ (more )
Structure Level Pattern Image Note
TS28: submandibular gland Present UC Davis_1877954

Specimen UC Davis_1877955: postnatal adult; Psme1tm1.1(KOMP)Vlcg/Psme1+ (more )
Structure Level Pattern Image Note
TS28: submandibular gland Present UC Davis_1877955

Specimen UC Davis_1877956: postnatal adult; Psme1tm1.1(KOMP)Vlcg/Psme1+ (more )
Structure Level Pattern Image Note
TS28: submandibular gland Present UC Davis_1877956

Specimen UC Davis_1877957: postnatal adult; Psme1tm1.1(KOMP)Vlcg/Psme1+ (more )
Structure Level Pattern Image Note
TS28: sublingual gland Present UC Davis_1877957

Specimen UC Davis_1877958: postnatal adult; Psme1tm1.1(KOMP)Vlcg/Psme1+ (more )
Structure Level Pattern Image Note
TS28: sublingual gland Present UC Davis_1877958

Specimen UC Davis_1877959: postnatal adult; Psme1tm1.1(KOMP)Vlcg/Psme1+ (more )
Structure Level Pattern Image Note
TS28: sublingual gland Present UC Davis_1877959

Specimen UC Davis_1877960: postnatal adult; Psme1tm1.1(KOMP)Vlcg/Psme1+ (more )
Structure Level Pattern Image Note
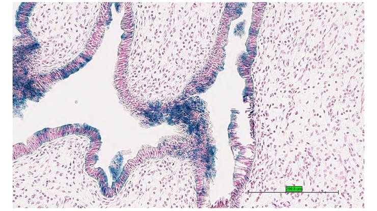
TS28: esophagus Present UC Davis_1877960

Specimen UC Davis_1877961: postnatal adult; Psme1tm1.1(KOMP)Vlcg/Psme1+ (more )
Structure Level Pattern Image Note
TS28: lung Present UC Davis_1877961

Specimen UC Davis_1877962: postnatal adult; Psme1tm1.1(KOMP)Vlcg/Psme1+ (more )
Structure Level Pattern Image Note
TS28: lung Present UC Davis_1877962

Specimen UC Davis_1877963: postnatal adult; Psme1tm1.1(KOMP)Vlcg/Psme1+ (more )
Structure Level Pattern Image Note
TS28: thymus Present UC Davis_1877963

Specimen UC Davis_1877964: postnatal adult; Psme1tm1.1(KOMP)Vlcg/Psme1+ (more )
Structure Level Pattern Image Note
TS28: thymus Present UC Davis_1877964

Specimen UC Davis_1877967: postnatal adult; Psme1tm1.1(KOMP)Vlcg/Psme1+ (more )
Structure Level Pattern Image Note
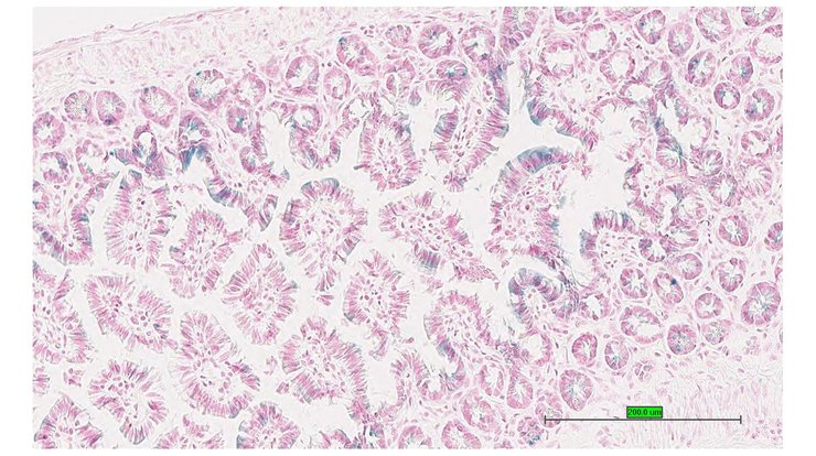
TS28: stomach Present UC Davis_1877967

Specimen UC Davis_1877968: postnatal adult; Psme1tm1.1(KOMP)Vlcg/Psme1+ (more )
Structure Level Pattern Image Note
TS28: stomach Present UC Davis_1877968

Specimen UC Davis_1877969: postnatal adult; Psme1tm1.1(KOMP)Vlcg/Psme1+ (more )
Structure Level Pattern Image Note
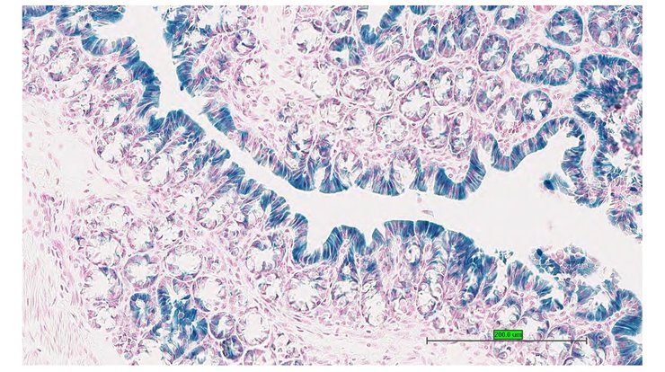
TS28: ileum Present UC Davis_1877969

Specimen UC Davis_1877970: postnatal adult; Psme1tm1.1(KOMP)Vlcg/Psme1+ (more )
Structure Level Pattern Image Note
TS28: colon Present UC Davis_1877970

Specimen UC Davis_1877971: postnatal adult; Psme1tm1.1(KOMP)Vlcg/Psme1+ (more )
Structure Level Pattern Image Note
TS28: colon Present UC Davis_1877971

Specimen UC Davis_1877972: postnatal adult; Psme1tm1.1(KOMP)Vlcg/Psme1+ (more )
Structure Level Pattern Image Note
TS28: cecum Present UC Davis_1877972

Specimen UC Davis_1877973: postnatal adult; Psme1tm1.1(KOMP)Vlcg/Psme1+ (more )
Structure Level Pattern Image Note
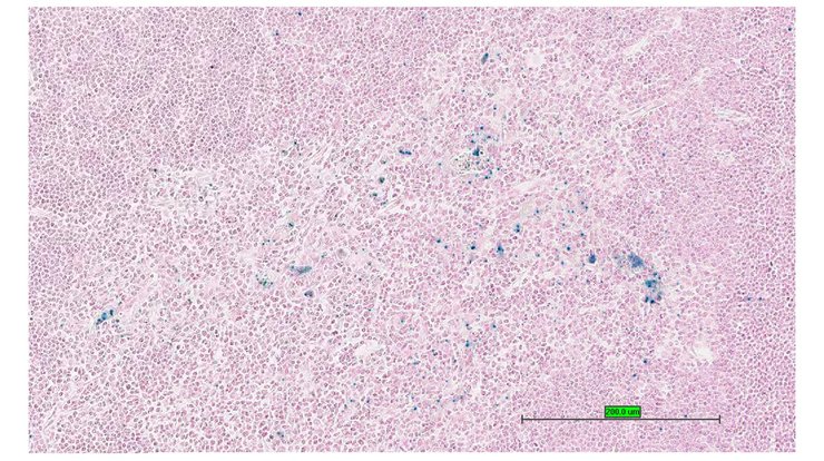
TS28: liver Present UC Davis_1877973

Specimen UC Davis_1877974: postnatal adult; Psme1tm1.1(KOMP)Vlcg/Psme1+ (more )
Structure Level Pattern Image Note
TS28: liver Present UC Davis_1877974

Specimen UC Davis_1877975: postnatal adult; Psme1tm1.1(KOMP)Vlcg/Psme1+ (more )
Structure Level Pattern Image Note
TS28: metanephros Present UC Davis_1877975 kidney

Specimen UC Davis_1877976: postnatal adult; Psme1tm1.1(KOMP)Vlcg/Psme1+ (more )
Structure Level Pattern Image Note
TS28: metanephros Present UC Davis_1877976 kidney

Specimen UC Davis_1877977: postnatal adult; Psme1tm1.1(KOMP)Vlcg/Psme1+ (more )
Structure Level Pattern Image Note
TS28: quadriceps femoris muscle Present UC Davis_1877977

Specimen UC Davis_1877978: postnatal adult; Psme1tm1.1(KOMP)Vlcg/Psme1+ (more )
Structure Level Pattern Image Note
TS28: quadriceps femoris muscle Present UC Davis_1877978

Specimen UC Davis_1877979: postnatal adult; Psme1tm1.1(KOMP)Vlcg/Psme1+ (more )
Structure Level Pattern Image Note
TS28: tongue Present UC Davis_1877979

Specimen UC Davis_1877980: postnatal adult; Psme1tm1.1(KOMP)Vlcg/Psme1+ (more )
Structure Level Pattern Image Note
TS28: tongue Present UC Davis_1877980

Specimen UC Davis_1877981: postnatal adult; Psme1tm1.1(KOMP)Vlcg/Psme1+ (more )
Structure Level Pattern Image Note
TS28: tongue Present UC Davis_1877981

Specimen UC Davis_1877982: postnatal adult; Psme1tm1.1(KOMP)Vlcg/Psme1+ (more )
Structure Level Pattern Image Note
TS28: diaphragm Present UC Davis_1877982

Specimen UC Davis_1877983: postnatal adult; Psme1tm1.1(KOMP)Vlcg/Psme1+ (more )
Structure Level Pattern Image Note
TS28: adrenal gland Present UC Davis_1877983

Specimen UC Davis_1877984: postnatal adult; Psme1tm1.1(KOMP)Vlcg/Psme1+ (more )
Structure Level Pattern Image Note
TS28: Harderian gland Present UC Davis_1877984

Specimen UC Davis_1877985: postnatal adult; Psme1tm1.1(KOMP)Vlcg/Psme1+ (more )
Structure Level Pattern Image Note
TS28: skin Present UC Davis_1877985

Specimen UC Davis_1877986: postnatal adult; Psme1tm1.1(KOMP)Vlcg/Psme1+ (more )
Structure Level Pattern Image Note
TS28: skin Present UC Davis_1877986

Specimen UC Davis_1877989: postnatal adult; Psme1tm1.1(KOMP)Vlcg/Psme1+ (more )
Structure Level Pattern Image Note
TS28: midbrain Present UC Davis_1877989

Specimen UC Davis_1877992: postnatal adult; Psme1tm1.1(KOMP)Vlcg/Psme1+ (more )
Structure Level Pattern Image Note
TS28: cerebellum Present UC Davis_1877992

Specimen UC Davis_1877993: postnatal adult; Psme1tm1.1(KOMP)Vlcg/Psme1+ (more )
Structure Level Pattern Image Note
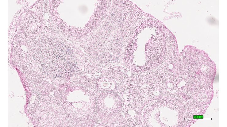
TS28: ovary Present UC Davis_1877993

Specimen UC Davis_1877994: postnatal adult; Psme1tm1.1(KOMP)Vlcg/Psme1+ (more )
Structure Level Pattern Image Note
TS28: ovary Present UC Davis_1877994

Specimen UC Davis_1877995: postnatal adult; Psme1tm1.1(KOMP)Vlcg/Psme1+ (more )
Structure Level Pattern Image Note
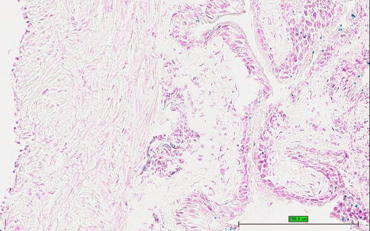
TS28: oviduct Present UC Davis_1877995

Specimen UC Davis_1877996: postnatal adult; Psme1tm1.1(KOMP)Vlcg/Psme1+ (more )
Structure Level Pattern Image Note
TS28: oviduct Present UC Davis_1877996

Specimen UC Davis_1877997: postnatal adult; Psme1tm1.1(KOMP)Vlcg/Psme1+ (more )
Structure Level Pattern Image Note
TS28: uterus Present UC Davis_1877997

Specimen UC Davis_1877998: postnatal adult; Psme1tm1.1(KOMP)Vlcg/Psme1+ (more )
Structure Level Pattern Image Note
TS28: uterus Present UC Davis_1877998

Specimen UC Davis_1877999: postnatal adult; Psme1tm1.1(KOMP)Vlcg/Psme1+ (more )
Structure Level Pattern Image Note
TS28: vagina Present UC Davis_1877999

Specimen UC Davis_1878000: postnatal adult; Psme1tm1.1(KOMP)Vlcg/Psme1+ (more )
Structure Level Pattern Image Note
TS28: vagina Present UC Davis_1878000

Specimen UC Davis_1878001: postnatal adult; Psme1tm1.1(KOMP)Vlcg/Psme1+ (more )
Structure Level Pattern Image Note
TS28: mammary gland Present UC Davis_1878001

Specimen UC Davis_1878002: postnatal adult; Psme1tm1.1(KOMP)Vlcg/Psme1+ (more )
Structure Level Pattern Image Note
TS28: mammary gland Present UC Davis_1878002

Specimen UC Davis_1878003: postnatal adult; Psme1tm1.1(KOMP)Vlcg/Psme1+ (more )
Structure Level Pattern Image Note
TS28: submandibular gland Present UC Davis_1878003

Specimen UC Davis_1878004: postnatal adult; Psme1tm1.1(KOMP)Vlcg/Psme1+ (more )
Structure Level Pattern Image Note
TS28: sublingual gland Present UC Davis_1878004

Specimen UC Davis_1878005: postnatal adult; Psme1tm1.1(KOMP)Vlcg/Psme1+ (more )
Structure Level Pattern Image Note
TS28: parotid gland Present UC Davis_1878005

Specimen UC Davis_1878007: postnatal adult; Psme1tm1.1(KOMP)Vlcg/Psme1+ (more )
Structure Level Pattern Image Note
TS28: trachea Present UC Davis_1878007

Specimen UC Davis_1878008: postnatal adult; Psme1tm1.1(KOMP)Vlcg/Psme1+ (more )
Structure Level Pattern Image Note
TS28: esophagus Present UC Davis_1878008

Specimen UC Davis_1878009: postnatal adult; Psme1tm1.1(KOMP)Vlcg/Psme1+ (more )
Structure Level Pattern Image Note
TS28: esophagus Present UC Davis_1878009

Specimen UC Davis_1878011: postnatal adult; Psme1tm1.1(KOMP)Vlcg/Psme1+ (more )
Structure Level Pattern Image Note
TS28: aorta Present UC Davis_1878011

Specimen UC Davis_1878012: postnatal adult; Psme1tm1.1(KOMP)Vlcg/Psme1+ (more )
Structure Level Pattern Image Note
TS28: aorta Present UC Davis_1878012

Specimen UC Davis_1878013: postnatal adult; Psme1tm1.1(KOMP)Vlcg/Psme1+ (more )
Structure Level Pattern Image Note
TS28: lung Present UC Davis_1878013

Specimen UC Davis_1878014: postnatal adult; Psme1tm1.1(KOMP)Vlcg/Psme1+ (more )
Structure Level Pattern Image Note
TS28: lung Present UC Davis_1878014

Specimen UC Davis_1878015: postnatal adult; Psme1tm1.1(KOMP)Vlcg/Psme1+ (more )
Structure Level Pattern Image Note
TS28: lung Present UC Davis_1878015

Specimen UC Davis_1878016: postnatal adult; Psme1tm1.1(KOMP)Vlcg/Psme1+ (more )
Structure Level Pattern Image Note
TS28: thymus Present UC Davis_1878016

Specimen UC Davis_1878017: postnatal adult; Psme1tm1.1(KOMP)Vlcg/Psme1+ (more )
Structure Level Pattern Image Note
TS28: thymus Present UC Davis_1878017

Specimen UC Davis_1878021: postnatal adult; Psme1tm1.1(KOMP)Vlcg/Psme1+ (more )
Structure Level Pattern Image Note
TS28: stomach Present UC Davis_1878021

Specimen UC Davis_1878022: postnatal adult; Psme1tm1.1(KOMP)Vlcg/Psme1+ (more )
Structure Level Pattern Image Note
TS28: stomach Present UC Davis_1878022

Specimen UC Davis_1878023: postnatal adult; Psme1tm1.1(KOMP)Vlcg/Psme1+ (more )
Structure Level Pattern Image Note
TS28: stomach Present UC Davis_1878023

Specimen UC Davis_1878024: postnatal adult; Psme1tm1.1(KOMP)Vlcg/Psme1+ (more )
Structure Level Pattern Image Note
TS28: jejunum Present UC Davis_1878024

Specimen UC Davis_1878025: postnatal adult; Psme1tm1.1(KOMP)Vlcg/Psme1+ (more )
Structure Level Pattern Image Note
TS28: jejunum Present UC Davis_1878025

Specimen UC Davis_1878026: postnatal adult; Psme1tm1.1(KOMP)Vlcg/Psme1+ (more )
Structure Level Pattern Image Note
TS28: ileum Present UC Davis_1878026

Specimen UC Davis_1878027: postnatal adult; Psme1tm1.1(KOMP)Vlcg/Psme1+ (more )
Structure Level Pattern Image Note
TS28: colon Present UC Davis_1878027

Specimen UC Davis_1878028: postnatal adult; Psme1tm1.1(KOMP)Vlcg/Psme1+ (more )
Structure Level Pattern Image Note
TS28: spleen Present UC Davis_1878028

Specimen UC Davis_1878029: postnatal adult; Psme1tm1.1(KOMP)Vlcg/Psme1+ (more )
Structure Level Pattern Image Note
TS28: spleen Present UC Davis_1878029

Specimen UC Davis_1878030: postnatal adult; Psme1tm1.1(KOMP)Vlcg/Psme1+ (more )
Structure Level Pattern Image Note
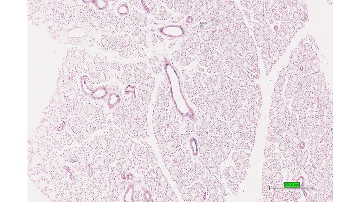
TS28: pancreas Present UC Davis_1878030

Specimen UC Davis_1878031: postnatal adult; Psme1tm1.1(KOMP)Vlcg/Psme1+ (more )
Structure Level Pattern Image Note
TS28: liver Present UC Davis_1878031

Specimen UC Davis_1878032: postnatal adult; Psme1tm1.1(KOMP)Vlcg/Psme1+ (more )
Structure Level Pattern Image Note
TS28: liver Present UC Davis_1878032

Specimen UC Davis_1878033: postnatal adult; Psme1tm1.1(KOMP)Vlcg/Psme1+ (more )
Structure Level Pattern Image Note
TS28: liver Present UC Davis_1878033

Specimen UC Davis_1878034: postnatal adult; Psme1tm1.1(KOMP)Vlcg/Psme1+ (more )
Structure Level Pattern Image Note
TS28: metanephros Present UC Davis_1878034 kidney

Specimen UC Davis_1878035: postnatal adult; Psme1tm1.1(KOMP)Vlcg/Psme1+ (more )
Structure Level Pattern Image Note
TS28: metanephros Present UC Davis_1878035 kidney

Specimen UC Davis_1878036: postnatal adult; Psme1tm1.1(KOMP)Vlcg/Psme1+ (more )
Structure Level Pattern Image Note
TS28: metanephros Present UC Davis_1878036 kidney

Specimen UC Davis_1878037: postnatal adult; Psme1tm1.1(KOMP)Vlcg/Psme1+ (more )
Structure Level Pattern Image Note
TS28: metanephros Present UC Davis_1878037 kidney

Specimen UC Davis_1878038: postnatal adult; Psme1tm1.1(KOMP)Vlcg/Psme1+ (more )
Structure Level Pattern Image Note
TS28: quadriceps femoris muscle Present UC Davis_1878038

Specimen UC Davis_1878039: postnatal adult; Psme1tm1.1(KOMP)Vlcg/Psme1+ (more )
Structure Level Pattern Image Note
TS28: quadriceps femoris muscle Present UC Davis_1878039

Specimen UC Davis_1878040: postnatal adult; Psme1tm1.1(KOMP)Vlcg/Psme1+ (more )
Structure Level Pattern Image Note
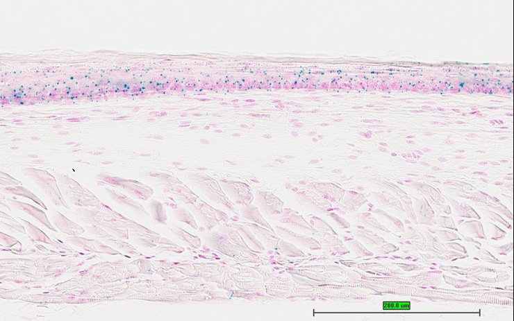
TS28: tongue Absent UC Davis_1878040

Specimen UC Davis_1878041: postnatal adult; Psme1tm1.1(KOMP)Vlcg/Psme1+ (more )
Structure Level Pattern Image Note
TS28: tongue Absent UC Davis_1878041

Specimen UC Davis_1878042: postnatal adult; Psme1tm1.1(KOMP)Vlcg/Psme1+ (more )
Structure Level Pattern Image Note
TS28: tongue Absent UC Davis_1878042

Specimen UC Davis_1878043: postnatal adult; Psme1tm1.1(KOMP)Vlcg/Psme1+ (more )
Structure Level Pattern Image Note
TS28: diaphragm Present UC Davis_1878043

Specimen UC Davis_1878044: postnatal adult; Psme1tm1.1(KOMP)Vlcg/Psme1+ (more )
Structure Level Pattern Image Note
TS28: adrenal gland Present UC Davis_1878044

Specimen UC Davis_1878045: postnatal adult; Psme1tm1.1(KOMP)Vlcg/Psme1+ (more )
Structure Level Pattern Image Note
TS28: eye Present UC Davis_1878045

Specimen UC Davis_1878047: postnatal adult; Psme1tm1.1(KOMP)Vlcg/Psme1+ (more )
Structure Level Pattern Image Note
TS28: Harderian gland Present UC Davis_1878047

Specimen UC Davis_1878048: postnatal adult; Psme1tm1.1(KOMP)Vlcg/Psme1+ (more )
Structure Level Pattern Image Note
TS28: Harderian gland Present UC Davis_1878048

Specimen UC Davis_1878049: postnatal adult; Psme1tm1.1(KOMP)Vlcg/Psme1+ (more )
Structure Level Pattern Image Note
TS28: Harderian gland Present UC Davis_1878049

Specimen UC Davis_1878050: postnatal adult; Psme1tm1.1(KOMP)Vlcg/Psme1+ (more )
Structure Level Pattern Image Note
TS28: gonadal fat pad Present UC Davis_1878050

Specimen UC Davis_1878051: postnatal adult; Psme1tm1.1(KOMP)Vlcg/Psme1+ (more )
Structure Level Pattern Image Note
TS28: mesenteric adipose tissue Present UC Davis_1878051

Specimen UC Davis_1878052: postnatal adult; Psme1tm1.1(KOMP)Vlcg/Psme1+ (more )
Structure Level Pattern Image Note
TS28: skin Present UC Davis_1878052

Specimen UC Davis_1878053: postnatal adult; Psme1tm1.1(KOMP)Vlcg/Psme1+ (more )
Structure Level Pattern Image Note
TS28: skin Present UC Davis_1878053

Specimen UC Davis_1878054: postnatal adult; Psme1tm1.1(KOMP)Vlcg/Psme1+ (more )
Structure Level Pattern Image Note
TS28: brown fat Present UC Davis_1878054

Specimen UC Davis_1878057: postnatal adult; Psme1tm1.1(KOMP)Vlcg/Psme1+ (more )
Structure Level Pattern Image Note
TS28: midbrain Present UC Davis_1878057

Specimen UC Davis_1878059: postnatal adult; Psme1tm1.1(KOMP)Vlcg/Psme1+ (more )
Structure Level Pattern Image Note
TS28: cerebellum Present UC Davis_1878059

Specimen UC Davis_1878060: postnatal adult; Psme1tm1.1(KOMP)Vlcg/Psme1+ (more )
Structure Level Pattern Image Note
TS28: bladder Present UC Davis_1878060

Specimen UC Davis_1878061: postnatal adult; Psme1tm1.1(KOMP)Vlcg/Psme1+ (more )
Structure Level Pattern Image Note
TS28: testis Present UC Davis_1878061

Specimen UC Davis_1878062: postnatal adult; Psme1tm1.1(KOMP)Vlcg/Psme1+ (more )
Structure Level Pattern Image Note
TS28: testis Present UC Davis_1878062

Specimen UC Davis_1878063: postnatal adult; Psme1tm1.1(KOMP)Vlcg/Psme1+ (more )
Structure Level Pattern Image Note
TS28: epididymis Present UC Davis_1878063

Specimen UC Davis_1878064: postnatal adult; Psme1tm1.1(KOMP)Vlcg/Psme1+ (more )
Structure Level Pattern Image Note
TS28: epididymis Present UC Davis_1878064

Specimen UC Davis_1878065: postnatal adult; Psme1tm1.1(KOMP)Vlcg/Psme1+ (more )
Structure Level Pattern Image Note
TS28: penis Present UC Davis_1878065

Specimen UC Davis_1878066: postnatal adult; Psme1tm1.1(KOMP)Vlcg/Psme1+ (more )
Structure Level Pattern Image Note
TS28: ductus deferens Present UC Davis_1878066 vas deferens


Contributing Projects:
Mouse Genome Database (MGD), Gene Expression Database (GXD), Mouse Models of Human Cancer database (MMHCdb) (formerly Mouse Tumor Biology (MTB)), Gene Ontology (GO)
Citing These Resources
Funding Information
Warranty Disclaimer, Privacy Notice, Licensing, & Copyright
Send questions and comments to User Support.
last database update
03/24/2026
MGI 6.24
The Jackson Laboratory