About   Help   FAQ
Gene Expression Data
Assay Details
Assay
Reference: J:228563 Koscielny G, et al., The International Mouse Phenotyping Consortium Web Portal, a unified point of access for knockout mice and related phenotyping data. Nucleic Acids Res. 2014 Jan;42(Database issue):D802-9
Assay type: In situ reporter (knock in)
MGI Accession ID: MGI:6691163
Gene symbol: Nxn
Gene name: nucleoredoxin
Reporter: lacZ
Direct Detection
Results
Specimen JAX_1618711: embryonic day 12.5; Nxntm1b(EUCOMM)Wtsi/Nxn+ (more )
Structure Level Pattern Image Note
TS20: embryo Present JAX_1618711

Specimen JAX_1618712: embryonic day 12.5; Nxntm1b(EUCOMM)Wtsi/Nxn+ (more )
Structure Level Pattern Image Note
TS20: embryo Present JAX_1618712

Specimen JAX_1618713: embryonic day 12.5; Nxntm1b(EUCOMM)Wtsi/Nxn+ (more )
Structure Level Pattern Image Note
TS20: embryo Present JAX_1618713

Specimen JAX_1618714: embryonic day 12.5; Nxntm1b(EUCOMM)Wtsi/Nxn+ (more )
Structure Level Pattern Image Note
TS20: embryo Present JAX_1618714

Specimen JAX_610837: embryonic day 12.5; Nxntm1b(EUCOMM)Wtsi/Nxn+ (more )
Structure Level Pattern Image Note
TS20: embryo Present JAX_610837

Specimen JAX_610839: embryonic day 12.5; Nxntm1b(EUCOMM)Wtsi/Nxn+ (more )
Structure Level Pattern Image Note
TS20: embryo Present JAX_610839

Specimen JAX_610841: embryonic day 12.5; Nxntm1b(EUCOMM)Wtsi/Nxn+ (more )
Structure Level Pattern Image Note
TS20: embryo Present JAX_610841

Specimen JAX_610843: embryonic day 12.5; Nxntm1b(EUCOMM)Wtsi/Nxn+ (more )
Structure Level Pattern Image Note
TS20: embryo Present JAX_610843

Specimen JAX_610845: embryonic day 12.5; Nxntm1b(EUCOMM)Wtsi/Nxn+ (more )
Structure Level Pattern Image Note
TS20: embryo Present JAX_610845

Specimen JAX_610847: embryonic day 12.5; Nxntm1b(EUCOMM)Wtsi/Nxn+ (more )
Structure Level Pattern Image Note
TS20: embryo Present JAX_610847

Specimen JAX_610849: embryonic day 12.5; Nxntm1b(EUCOMM)Wtsi/Nxn+ (more )
Structure Level Pattern Image Note
TS20: embryo Present JAX_610849

Specimen JAX_610851: embryonic day 12.5; Nxntm1b(EUCOMM)Wtsi/Nxn+ (more )
Structure Level Pattern Image Note
TS20: embryo Present JAX_610851

Specimen RBRC_735223: embryonic day 12.5; Nxntm1b(EUCOMM)Wtsi/Nxn+ (more )
Structure Level Pattern Image Note
TS20: head Present RBRC_735223

Specimen RBRC_735225: embryonic day 12.5; Nxntm1b(EUCOMM)Wtsi/Nxn+ (more )
Structure Level Pattern Image Note
TS20: embryo Present RBRC_735225

Specimen RBRC_735227: embryonic day 12.5; Nxntm1b(EUCOMM)Wtsi/Nxn+ (more )
Structure Level Pattern Image Note
TS20: head Present RBRC_735227

Specimen RBRC_735229: embryonic day 12.5; Nxntm1b(EUCOMM)Wtsi/Nxn+ (more )
Structure Level Pattern Image Note
TS20: eye Present RBRC_735229

Specimen RBRC_735231: embryonic day 12.5; Nxntm1b(EUCOMM)Wtsi/Nxn+ (more )
Structure Level Pattern Image Note
TS20: maxillary process Present RBRC_735231

Specimen RBRC_735233: embryonic day 12.5; Nxntm1b(EUCOMM)Wtsi/Nxn+ (more )
Structure Level Pattern Image Note
TS20: embryo Present RBRC_735233

Specimen RBRC_735235: embryonic day 12.5; Nxntm1b(EUCOMM)Wtsi/Nxn+ (more )
Structure Level Pattern Image Note
TS20: forelimb Present RBRC_735235

Specimen RBRC_735237: embryonic day 12.5; Nxntm1b(EUCOMM)Wtsi/Nxn+ (more )
Structure Level Pattern Image Note
TS20: embryo Present RBRC_735237

Specimen RBRC_735239: embryonic day 12.5; Nxntm1b(EUCOMM)Wtsi/Nxn+ (more )
Structure Level Pattern Image Note
TS20: head Present RBRC_735239

Specimen RBRC_735241: embryonic day 12.5; Nxntm1b(EUCOMM)Wtsi/Nxn+ (more )
Structure Level Pattern Image Note
TS20: head Present RBRC_735241

Specimen RBRC_735243: embryonic day 12.5; Nxntm1b(EUCOMM)Wtsi/Nxn+ (more )
Structure Level Pattern Image Note
TS20: embryo Present RBRC_735243

Specimen RBRC_735245: embryonic day 12.5; Nxntm1b(EUCOMM)Wtsi/Nxn+ (more )
Structure Level Pattern Image Note
TS20: tail Present RBRC_735245

Specimen RBRC_735247: embryonic day 12.5; Nxntm1b(EUCOMM)Wtsi/Nxn+ (more )
Structure Level Pattern Image Note
TS20: hindlimb Present RBRC_735247

Specimen RBRC_735249: embryonic day 12.5; Nxntm1b(EUCOMM)Wtsi/Nxn+ (more )
Structure Level Pattern Image Note
TS20: embryo Present RBRC_735249

Specimen RBRC_735251: embryonic day 12.5; Nxntm1b(EUCOMM)Wtsi/Nxn+ (more )
Structure Level Pattern Image Note
TS20: head Present RBRC_735251

Specimen RBRC_735253: embryonic day 12.5; Nxntm1b(EUCOMM)Wtsi/Nxn+ (more )
Structure Level Pattern Image Note
TS20: tail Present RBRC_735253

Specimen RBRC_735255: embryonic day 12.5; Nxntm1b(EUCOMM)Wtsi/Nxn+ (more )
Structure Level Pattern Image Note
TS20: tail Present RBRC_735255

Specimen RBRC_735257: embryonic day 12.5; Nxntm1b(EUCOMM)Wtsi/Nxn+ (more )
Structure Level Pattern Image Note
TS20: tail Present RBRC_735257

Specimen RBRC_735259: embryonic day 12.5; Nxntm1b(EUCOMM)Wtsi/Nxn+ (more )
Structure Level Pattern Image Note
TS20: embryo Present RBRC_735259

Specimen RBRC_735261: embryonic day 12.5; Nxntm1b(EUCOMM)Wtsi/Nxn+ (more )
Structure Level Pattern Image Note
TS20: embryo Present RBRC_735261

Specimen RBRC_735263: embryonic day 12.5; Nxntm1b(EUCOMM)Wtsi/Nxn+ (more )
Structure Level Pattern Image Note
TS20: embryo Present RBRC_735263

Specimen RBRC_735265: embryonic day 12.5; Nxntm1b(EUCOMM)Wtsi/Nxn+ (more )
Structure Level Pattern Image Note
TS20: heart Ambiguous RBRC_735265

Specimen RBRC_735267: embryonic day 12.5; Nxntm1b(EUCOMM)Wtsi/Nxn+ (more )
Structure Level Pattern Image Note
TS20: heart Ambiguous RBRC_735267

Specimen RBRC_735269: embryonic day 12.5; Nxntm1b(EUCOMM)Wtsi/Nxn+ (more )
Structure Level Pattern Image Note
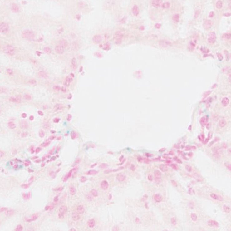
TS20: liver Absent RBRC_735269

Specimen RBRC_735271: embryonic day 12.5; Nxntm1b(EUCOMM)Wtsi/Nxn+ (more )
Structure Level Pattern Image Note
TS20: head Present RBRC_735271

Specimen RBRC_735273: embryonic day 12.5; Nxntm1b(EUCOMM)Wtsi/Nxn+ (more )
Structure Level Pattern Image Note
TS20: head Present RBRC_735273

Specimen RBRC_735275: embryonic day 12.5; Nxntm1b(EUCOMM)Wtsi/Nxn+ (more )
Structure Level Pattern Image Note
TS20: head Present RBRC_735275

Specimen RBRC_735277: embryonic day 12.5; Nxntm1b(EUCOMM)Wtsi/Nxn+ (more )
Structure Level Pattern Image Note
TS20: head Present RBRC_735277

Specimen RBRC_735279: embryonic day 12.5; Nxntm1b(EUCOMM)Wtsi/Nxn+ (more )
Structure Level Pattern Image Note
TS20: head Present RBRC_735279

Specimen RBRC_735281: embryonic day 12.5; Nxntm1b(EUCOMM)Wtsi/Nxn+ (more )
Structure Level Pattern Image Note
TS20: head Present RBRC_735281

Specimen RBRC_735283: embryonic day 12.5; Nxntm1b(EUCOMM)Wtsi/Nxn+ (more )
Structure Level Pattern Image Note
TS20: eye Present RBRC_735283

Specimen RBRC_735285: embryonic day 12.5; Nxntm1b(EUCOMM)Wtsi/Nxn+ (more )
Structure Level Pattern Image Note
TS20: embryo Present RBRC_735285

Specimen RBRC_735287: embryonic day 12.5; Nxntm1b(EUCOMM)Wtsi/Nxn+ (more )
Structure Level Pattern Image Note
TS20: head Present RBRC_735287

Specimen RBRC_735289: embryonic day 12.5; Nxntm1b(EUCOMM)Wtsi/Nxn+ (more )
Structure Level Pattern Image Note
TS20: eye Present RBRC_735289

Specimen RBRC_735291: embryonic day 12.5; Nxntm1b(EUCOMM)Wtsi/Nxn+ (more )
Structure Level Pattern Image Note
TS20: mandibular process Present RBRC_735291
TS20: maxillary process Present RBRC_735291

Specimen RBRC_735293: embryonic day 12.5; Nxntm1b(EUCOMM)Wtsi/Nxn+ (more )
Structure Level Pattern Image Note
TS20: tail Present RBRC_735293

Specimen RBRC_735295: embryonic day 12.5; Nxntm1b(EUCOMM)Wtsi/Nxn+ (more )
Structure Level Pattern Image Note
TS20: embryo Present RBRC_735295

Specimen RBRC_735297: embryonic day 12.5; Nxntm1b(EUCOMM)Wtsi/Nxn+ (more )
Structure Level Pattern Image Note
TS20: head Present RBRC_735297

Specimen RBRC_735299: embryonic day 12.5; Nxntm1b(EUCOMM)Wtsi/Nxn+ (more )
Structure Level Pattern Image Note
TS20: head Present RBRC_735299

Specimen RBRC_735301: embryonic day 12.5; Nxntm1b(EUCOMM)Wtsi/Nxn+ (more )
Structure Level Pattern Image Note
TS20: forelimb Present RBRC_735301

Specimen RBRC_735303: embryonic day 12.5; Nxntm1b(EUCOMM)Wtsi/Nxn+ (more )
Structure Level Pattern Image Note
TS20: hindlimb Present RBRC_735303

Specimen RBRC_735305: embryonic day 12.5; Nxntm1b(EUCOMM)Wtsi/Nxn+ (more )
Structure Level Pattern Image Note
TS20: embryo Present RBRC_735305

Specimen RBRC_735307: embryonic day 12.5; Nxntm1b(EUCOMM)Wtsi/Nxn+ (more )
Structure Level Pattern Image Note
TS20: head Present RBRC_735307

Specimen RBRC_735309: embryonic day 12.5; Nxntm1b(EUCOMM)Wtsi/Nxn+ (more )
Structure Level Pattern Image Note
TS20: embryo Present RBRC_735309

Specimen RBRC_735311: embryonic day 12.5; Nxntm1b(EUCOMM)Wtsi/Nxn+ (more )
Structure Level Pattern Image Note
TS20: embryo Present RBRC_735311

Specimen RBRC_735313: embryonic day 12.5; Nxntm1b(EUCOMM)Wtsi/Nxn+ (more )
Structure Level Pattern Image Note
TS20: embryo Present RBRC_735313

Specimen RBRC_735315: embryonic day 12.5; Nxntm1b(EUCOMM)Wtsi/Nxn+ (more )
Structure Level Pattern Image Note
TS20: embryo Present RBRC_735315

Specimen RBRC_735317: embryonic day 12.5; Nxntm1b(EUCOMM)Wtsi/Nxn+ (more )
Structure Level Pattern Image Note
TS20: embryo Present RBRC_735317

Specimen RBRC_735319: embryonic day 12.5; Nxntm1b(EUCOMM)Wtsi/Nxn+ (more )
Structure Level Pattern Image Note
TS20: embryo Present RBRC_735319

Specimen RBRC_735321: embryonic day 12.5; Nxntm1b(EUCOMM)Wtsi/Nxn+ (more )
Structure Level Pattern Image Note
TS20: heart Ambiguous RBRC_735321

Specimen RBRC_735323: embryonic day 12.5; Nxntm1b(EUCOMM)Wtsi/Nxn+ (more )
Structure Level Pattern Image Note
TS20: heart Ambiguous RBRC_735323

Specimen RBRC_735325: embryonic day 12.5; Nxntm1b(EUCOMM)Wtsi/Nxn+ (more )
Structure Level Pattern Image Note
TS20: liver Absent RBRC_735325

Specimen RBRC_735327: embryonic day 12.5; Nxntm1b(EUCOMM)Wtsi/Nxn+ (more )
Structure Level Pattern Image Note
TS20: head Present RBRC_735327

Specimen RBRC_735329: embryonic day 12.5; Nxntm1b(EUCOMM)Wtsi/Nxn+ (more )
Structure Level Pattern Image Note
TS20: head Present RBRC_735329

Specimen RBRC_735331: embryonic day 12.5; Nxntm1b(EUCOMM)Wtsi/Nxn+ (more )
Structure Level Pattern Image Note
TS20: head Present RBRC_735331

Specimen RBRC_735333: embryonic day 12.5; Nxntm1b(EUCOMM)Wtsi/Nxn+ (more )
Structure Level Pattern Image Note
TS20: head Present RBRC_735333

Specimen RBRC_735335: embryonic day 12.5; Nxntm1b(EUCOMM)Wtsi/Nxn+ (more )
Structure Level Pattern Image Note
TS20: head Present RBRC_735335

Specimen RBRC_735337: embryonic day 12.5; Nxntm1b(EUCOMM)Wtsi/Nxn+ (more )
Structure Level Pattern Image Note
TS20: head Present RBRC_735337

Specimen BCM_1060975: postnatal adult; Nxntm1a(EUCOMM)Wtsi/Nxn+ (more )
Structure Level Pattern Image Note
TS28: brain Present BCM_1060975
TS28: brainstem Present BCM_1060975
TS28: cerebellum Present BCM_1060975
TS28: cerebral cortex Present BCM_1060975
TS28: hippocampus Present BCM_1060975
TS28: hypothalamus Present BCM_1060975
TS28: olfactory lobe Present BCM_1060975
TS28: corpus striatum Present BCM_1060975

Specimen BCM_1060977: postnatal adult; Nxntm1a(EUCOMM)Wtsi/Nxn+ (more )
Structure Level Pattern Image Note
TS28: gallbladder Present BCM_1060977

Specimen BCM_1060979: postnatal adult; Nxntm1a(EUCOMM)Wtsi/Nxn+ (more )
Structure Level Pattern Image Note
TS28: bone Present BCM_1060979
TS28: cartilage Present BCM_1060979
TS28: skeletal muscle tissue Present BCM_1060979

Specimen BCM_1060981: postnatal adult; Nxntm1a(EUCOMM)Wtsi/Nxn+ (more )
Structure Level Pattern Image Note
TS28: mammary gland Present BCM_1060981

Specimen BCM_1060983: postnatal adult; Nxntm1a(EUCOMM)Wtsi/Nxn+ (more )
Structure Level Pattern Image Note
TS28: skin Present BCM_1060983

Specimen BCM_1060985: postnatal adult; Nxntm1a(EUCOMM)Wtsi/Nxn+ (more )
Structure Level Pattern Image Note
TS28: skin Present BCM_1060985

Specimen BCM_1060987: postnatal adult; Nxntm1a(EUCOMM)Wtsi/Nxn+ (more )
Structure Level Pattern Image Note
TS28: ovary Present BCM_1060987
TS28: oviduct Present BCM_1060987
TS28: uterus Present BCM_1060987

Specimen BCM_1060989: postnatal adult; Nxntm1a(EUCOMM)Wtsi/Nxn+ (more )
Structure Level Pattern Image Note
TS28: metanephros Present BCM_1060989 kidney

Specimen BCM_1060991: postnatal adult; Nxntm1a(EUCOMM)Wtsi/Nxn+ (more )
Structure Level Pattern Image Note
TS28: mesenteric lymph node Present BCM_1060991

Specimen BCM_1060993: postnatal adult; Nxntm1a(EUCOMM)Wtsi/Nxn+ (more )
Structure Level Pattern Image Note
TS28: aorta Present BCM_1060993
TS28: vascular system Present BCM_1060993

Specimen BCM_1060997: postnatal adult; Nxntm1a(EUCOMM)Wtsi/Nxn+ (more )
Structure Level Pattern Image Note
TS28: peripheral nervous system Present BCM_1060997
TS28: pituitary gland Present BCM_1060997
TS28: trigeminal nerve Present BCM_1060997

Specimen CCP-IMG_2127907: postnatal adult; Nxntm1b(EUCOMM)Wtsi/Nxn+ (more )
Structure Level Pattern Image Note
TS28: thymus Absent CCP-IMG_2127907

Specimen CCP-IMG_2127908: postnatal adult; Nxntm1b(EUCOMM)Wtsi/Nxn+ (more )
Structure Level Pattern Image Note
TS28: thyroid gland Absent CCP-IMG_2127908

Specimen CCP-IMG_2127910: postnatal adult; Nxntm1b(EUCOMM)Wtsi/Nxn+ (more )
Structure Level Pattern Image Note
TS28: quadriceps femoris muscle Present CCP-IMG_2127910

Specimen CCP-IMG_2127911: postnatal adult; Nxntm1b(EUCOMM)Wtsi/Nxn+ (more )
Structure Level Pattern Image Note
TS28: skin Present CCP-IMG_2127911

Specimen CCP-IMG_2127912: postnatal adult; Nxntm1b(EUCOMM)Wtsi/Nxn+ (more )
Structure Level Pattern Image Note
TS28: diaphragm Present CCP-IMG_2127912

Specimen CCP-IMG_2127913: postnatal adult; Nxntm1b(EUCOMM)Wtsi/Nxn+ (more )
Structure Level Pattern Image Note
TS28: spleen Present CCP-IMG_2127913

Specimen CCP-IMG_2127914: postnatal adult; Nxntm1b(EUCOMM)Wtsi/Nxn+ (more )
Structure Level Pattern Image Note
TS28: jejunum Present CCP-IMG_2127914

Specimen CCP-IMG_2127915: postnatal adult; Nxntm1b(EUCOMM)Wtsi/Nxn+ (more )
Structure Level Pattern Image Note
TS28: colon Present CCP-IMG_2127915

Specimen CCP-IMG_2127916: postnatal adult; Nxntm1b(EUCOMM)Wtsi/Nxn+ (more )
Structure Level Pattern Image Note
TS28: brainstem Present CCP-IMG_2127916

Specimen CCP-IMG_2127917: postnatal adult; Nxntm1b(EUCOMM)Wtsi/Nxn+ (more )
Structure Level Pattern Image Note
TS28: white fat Present CCP-IMG_2127917

Specimen CCP-IMG_2127918: postnatal adult; Nxntm1b(EUCOMM)Wtsi/Nxn+ (more )
Structure Level Pattern Image Note
TS28: cranium Present CCP-IMG_2127918

Specimen CCP-IMG_2127919: postnatal adult; Nxntm1b(EUCOMM)Wtsi/Nxn+ (more )
Structure Level Pattern Image Note
TS28: large intestine Present CCP-IMG_2127919

Specimen CCP-IMG_2127920: postnatal adult; Nxntm1b(EUCOMM)Wtsi/Nxn+ (more )
Structure Level Pattern Image Note
TS28: trachea Present CCP-IMG_2127920

Specimen CCP-IMG_2127921: postnatal adult; Nxntm1b(EUCOMM)Wtsi/Nxn+ (more )
Structure Level Pattern Image Note
TS28: gallbladder Present CCP-IMG_2127921

Specimen CCP-IMG_2127922: postnatal adult; Nxntm1b(EUCOMM)Wtsi/Nxn+ (more )
Structure Level Pattern Image Note
TS28: aorta Present CCP-IMG_2127922

Specimen CCP-IMG_2127923: postnatal adult; Nxntm1b(EUCOMM)Wtsi/Nxn+ (more )
Structure Level Pattern Image Note
TS28: ileum Present CCP-IMG_2127923

Specimen CCP-IMG_2127924: postnatal adult; Nxntm1b(EUCOMM)Wtsi/Nxn+ (more )
Structure Level Pattern Image Note
TS28: hippocampus Present CCP-IMG_2127924

Specimen CCP-IMG_2127925: postnatal adult; Nxntm1b(EUCOMM)Wtsi/Nxn+ (more )
Structure Level Pattern Image Note
TS28: oral epithelium Present CCP-IMG_2127925

Specimen CCP-IMG_2127926: postnatal adult; Nxntm1b(EUCOMM)Wtsi/Nxn+ (more )
Structure Level Pattern Image Note
TS28: cerebral cortex Present CCP-IMG_2127926

Specimen CCP-IMG_2127927: postnatal adult; Nxntm1b(EUCOMM)Wtsi/Nxn+ (more )
Structure Level Pattern Image Note
TS28: eye Present CCP-IMG_2127927

Specimen CCP-IMG_2127928: postnatal adult; Nxntm1b(EUCOMM)Wtsi/Nxn+ (more )
Structure Level Pattern Image Note
TS28: oviduct Present CCP-IMG_2127928

Specimen CCP-IMG_2127929: postnatal adult; Nxntm1b(EUCOMM)Wtsi/Nxn+ (more )
Structure Level Pattern Image Note
TS28: vagina Present CCP-IMG_2127929

Specimen CCP-IMG_2127930: postnatal adult; Nxntm1b(EUCOMM)Wtsi/Nxn+ (more )
Structure Level Pattern Image Note
TS28: vascular system Present CCP-IMG_2127930

Specimen CCP-IMG_2127931: postnatal adult; Nxntm1b(EUCOMM)Wtsi/Nxn+ (more )
Structure Level Pattern Image Note
TS28: small intestine Present CCP-IMG_2127931

Specimen CCP-IMG_2127932: postnatal adult; Nxntm1b(EUCOMM)Wtsi/Nxn+ (more )
Structure Level Pattern Image Note
TS28: brown fat Present CCP-IMG_2127932

Specimen CCP-IMG_2127933: postnatal adult; Nxntm1b(EUCOMM)Wtsi/Nxn+ (more )
Structure Level Pattern Image Note
TS28: tongue Present CCP-IMG_2127933

Specimen CCP-IMG_2127934: postnatal adult; Nxntm1b(EUCOMM)Wtsi/Nxn+ (more )
Structure Level Pattern Image Note
TS28: hypothalamus Present CCP-IMG_2127934

Specimen CCP-IMG_2127935: postnatal adult; Nxntm1b(EUCOMM)Wtsi/Nxn+ (more )
Structure Level Pattern Image Note
TS28: Peyer's patch Absent CCP-IMG_2127935

Specimen CCP-IMG_2127936: postnatal adult; Nxntm1b(EUCOMM)Wtsi/Nxn+ (more )
Structure Level Pattern Image Note
TS28: duodenum Present CCP-IMG_2127936

Specimen CCP-IMG_2127937: postnatal adult; Nxntm1b(EUCOMM)Wtsi/Nxn+ (more )
Structure Level Pattern Image Note
TS28: spinal cord Absent CCP-IMG_2127937

Specimen CCP-IMG_2127938: postnatal adult; Nxntm1b(EUCOMM)Wtsi/Nxn+ (more )
Structure Level Pattern Image Note
TS28: parathyroid gland Present CCP-IMG_2127938

Specimen CCP-IMG_2127939: postnatal adult; Nxntm1b(EUCOMM)Wtsi/Nxn+ (more )
Structure Level Pattern Image Note
TS28: Harderian gland Absent CCP-IMG_2127939

Specimen CCP-IMG_2127940: postnatal adult; Nxntm1b(EUCOMM)Wtsi/Nxn+ (more )
Structure Level Pattern Image Note
TS28: lower urinary tract Present CCP-IMG_2127940

Specimen CCP-IMG_2127941: postnatal adult; Nxntm1b(EUCOMM)Wtsi/Nxn+ (more )
Structure Level Pattern Image Note
TS28: lung Present CCP-IMG_2127941

Specimen CCP-IMG_2127942: postnatal adult; Nxntm1b(EUCOMM)Wtsi/Nxn+ (more )
Structure Level Pattern Image Note
TS28: liver Absent CCP-IMG_2127942

Specimen CCP-IMG_2127943: postnatal adult; Nxntm1b(EUCOMM)Wtsi/Nxn+ (more )
Structure Level Pattern Image Note
TS28: skeletal muscle tissue Present CCP-IMG_2127943

Specimen CCP-IMG_2127944: postnatal adult; Nxntm1b(EUCOMM)Wtsi/Nxn+ (more )
Structure Level Pattern Image Note
TS28: bladder Present CCP-IMG_2127944

Specimen CCP-IMG_2127945: postnatal adult; Nxntm1b(EUCOMM)Wtsi/Nxn+ (more )
Structure Level Pattern Image Note
TS28: lymph node Absent CCP-IMG_2127945

Specimen CCP-IMG_2127946: postnatal adult; Nxntm1b(EUCOMM)Wtsi/Nxn+ (more )
Structure Level Pattern Image Note
TS28: adrenal gland Present CCP-IMG_2127946

Specimen CCP-IMG_2127947: postnatal adult; Nxntm1b(EUCOMM)Wtsi/Nxn+ (more )
Structure Level Pattern Image Note
TS28: corpus striatum Present CCP-IMG_2127947

Specimen CCP-IMG_2127948: postnatal adult; Nxntm1b(EUCOMM)Wtsi/Nxn+ (more )
Structure Level Pattern Image Note
TS28: submandibular gland Present CCP-IMG_2127948

Specimen CCP-IMG_2127949: postnatal adult; Nxntm1b(EUCOMM)Wtsi/Nxn+ (more )
Structure Level Pattern Image Note
TS28: brain Present CCP-IMG_2127949

Specimen CCP-IMG_2127950: postnatal adult; Nxntm1b(EUCOMM)Wtsi/Nxn+ (more )
Structure Level Pattern Image Note
TS28: stomach Present CCP-IMG_2127950

Specimen CCP-IMG_2127951: postnatal adult; Nxntm1b(EUCOMM)Wtsi/Nxn+ (more )
Structure Level Pattern Image Note
TS28: pancreas Present CCP-IMG_2127951

Specimen CCP-IMG_2127952: postnatal adult; Nxntm1b(EUCOMM)Wtsi/Nxn+ (more )
Structure Level Pattern Image Note
TS28: heart Present CCP-IMG_2127952

Specimen CCP-IMG_2127953: postnatal adult; Nxntm1b(EUCOMM)Wtsi/Nxn+ (more )
Structure Level Pattern Image Note
TS28: pituitary gland Present CCP-IMG_2127953

Specimen CCP-IMG_2127954: postnatal adult; Nxntm1b(EUCOMM)Wtsi/Nxn+ (more )
Structure Level Pattern Image Note
TS28: esophagus Present CCP-IMG_2127954

Specimen CCP-IMG_2127955: postnatal adult; Nxntm1b(EUCOMM)Wtsi/Nxn+ (more )
Structure Level Pattern Image Note
TS28: uterus Present CCP-IMG_2127955

Specimen CCP-IMG_2127957: postnatal adult; Nxntm1b(EUCOMM)Wtsi/Nxn+ (more )
Structure Level Pattern Image Note
TS28: metanephros Present CCP-IMG_2127957 kidney

Specimen CCP-IMG_2127958: postnatal adult; Nxntm1b(EUCOMM)Wtsi/Nxn+ (more )
Structure Level Pattern Image Note
TS28: hindlimb Present CCP-IMG_2127958

Specimen CCP-IMG_2127959: postnatal adult; Nxntm1b(EUCOMM)Wtsi/Nxn+ (more )
Structure Level Pattern Image Note
TS28: ovary Present CCP-IMG_2127959

Specimen CCP-IMG_2127960: postnatal adult; Nxntm1b(EUCOMM)Wtsi/Nxn+ (more )
Structure Level Pattern Image Note
TS28: peripheral nervous system Present CCP-IMG_2127960

Specimen CCP-IMG_2127961: postnatal adult; Nxntm1b(EUCOMM)Wtsi/Nxn+ (more )
Structure Level Pattern Image Note
TS28: thoracic segment skeleton Present CCP-IMG_2127961 chest bone

Specimen CCP-IMG_2127962: postnatal adult; Nxntm1b(EUCOMM)Wtsi/Nxn+ (more )
Structure Level Pattern Image Note
TS28: cecum Present CCP-IMG_2127962

Specimen CCP-IMG_2127963: postnatal adult; Nxntm1b(EUCOMM)Wtsi/Nxn+ (more )
Structure Level Pattern Image Note
TS28: cartilage Present CCP-IMG_2127963

Specimen CCP-IMG_2127964: postnatal adult; Nxntm1b(EUCOMM)Wtsi/Nxn+ (more )
Structure Level Pattern Image Note
TS28: mammary gland Present CCP-IMG_2127964

Specimen CCP-IMG_2127965: postnatal adult; Nxntm1b(EUCOMM)Wtsi/Nxn+ (more )
Structure Level Pattern Image Note
TS28: olfactory lobe Present CCP-IMG_2127965

Specimen CCP-IMG_2127966: postnatal adult; Nxntm1b(EUCOMM)Wtsi/Nxn+ (more )
Structure Level Pattern Image Note
TS28: bone Present CCP-IMG_2127966

Specimen CCP-IMG_2127967: postnatal adult; Nxntm1b(EUCOMM)Wtsi/Nxn+ (more )
Structure Level Pattern Image Note
TS28: cerebellum Present CCP-IMG_2127967

Specimen HMGU_1366563: postnatal adult; Nxntm1b(EUCOMM)Wtsi/Nxn+ (more )
Structure Level Pattern Image Note
TS28: uterus Present HMGU_1366563

Specimen HMGU_1366564: postnatal adult; Nxntm1b(EUCOMM)Wtsi/Nxn+ (more )
Structure Level Pattern Image Note
TS28: pituitary gland Present HMGU_1366564

Specimen HMGU_1366565: postnatal adult; Nxntm1b(EUCOMM)Wtsi/Nxn+ (more )
Structure Level Pattern Image Note
TS28: brain Present HMGU_1366565

Specimen HMGU_1366566: postnatal adult; Nxntm1b(EUCOMM)Wtsi/Nxn+ (more )
Structure Level Pattern Image Note
TS28: cecum Present HMGU_1366566

Specimen HMGU_1366567: postnatal adult; Nxntm1b(EUCOMM)Wtsi/Nxn+ (more )
Structure Level Pattern Image Note
TS28: lung Present HMGU_1366567

Specimen HMGU_1366568: postnatal adult; Nxntm1b(EUCOMM)Wtsi/Nxn+ (more )
Structure Level Pattern Image Note
TS28: metanephros Present HMGU_1366568 kidney

Specimen HMGU_1366569: postnatal adult; Nxntm1b(EUCOMM)Wtsi/Nxn+ (more )
Structure Level Pattern Image Note
TS28: submandibular gland Present HMGU_1366569

Specimen JAX_1801727: postnatal adult; Nxntm1b(EUCOMM)Wtsi/Nxn+ (more )
Structure Level Pattern Image Note
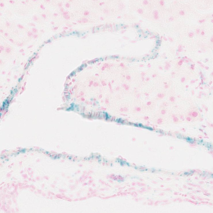
TS28: vascular system Present JAX_1801727

Specimen JAX_1801728: postnatal adult; Nxntm1b(EUCOMM)Wtsi/Nxn+ (more )
Structure Level Pattern Image Note
TS28: submandibular gland Present JAX_1801728

Specimen JAX_1801729: postnatal adult; Nxntm1b(EUCOMM)Wtsi/Nxn+ (more )
Structure Level Pattern Image Note
TS28: bladder Present JAX_1801729

Specimen JAX_1801730: postnatal adult; Nxntm1b(EUCOMM)Wtsi/Nxn+ (more )
Structure Level Pattern Image Note
TS28: Peyer's patch Present JAX_1801730

Specimen JAX_1801731: postnatal adult; Nxntm1b(EUCOMM)Wtsi/Nxn+ (more )
Structure Level Pattern Image Note
TS28: cartilage Present JAX_1801731

Specimen JAX_1801732: postnatal adult; Nxntm1b(EUCOMM)Wtsi/Nxn+ (more )
Structure Level Pattern Image Note
TS28: small intestine Present JAX_1801732

Specimen JAX_1801734: postnatal adult; Nxntm1b(EUCOMM)Wtsi/Nxn+ (more )
Structure Level Pattern Image Note
TS28: esophagus Present JAX_1801734

Specimen JAX_1801735: postnatal adult; Nxntm1b(EUCOMM)Wtsi/Nxn+ (more )
Structure Level Pattern Image Note
TS28: large intestine Present JAX_1801735

Specimen JAX_1801736: postnatal adult; Nxntm1b(EUCOMM)Wtsi/Nxn+ (more )
Structure Level Pattern Image Note
TS28: uterus Present JAX_1801736

Specimen JAX_1801737: postnatal adult; Nxntm1b(EUCOMM)Wtsi/Nxn+ (more )
Structure Level Pattern Image Note
TS28: trachea Present JAX_1801737

Specimen JAX_1801738: postnatal adult; Nxntm1b(EUCOMM)Wtsi/Nxn+ (more )
Structure Level Pattern Image Note
TS28: stomach Present JAX_1801738

Specimen JAX_1801739: postnatal adult; Nxntm1b(EUCOMM)Wtsi/Nxn+ (more )
Structure Level Pattern Image Note
TS28: oviduct Present JAX_1801739

Specimen JAX_1801740: postnatal adult; Nxntm1b(EUCOMM)Wtsi/Nxn+ (more )
Structure Level Pattern Image Note
TS28: ovary Present JAX_1801740

Specimen JAX_1801741: postnatal adult; Nxntm1b(EUCOMM)Wtsi/Nxn+ (more )
Structure Level Pattern Image Note
TS28: mammary gland Present JAX_1801741

Specimen JAX_1801742: postnatal adult; Nxntm1b(EUCOMM)Wtsi/Nxn+ (more )
Structure Level Pattern Image Note
TS28: lymph node Present JAX_1801742

Specimen JAX_1801743: postnatal adult; Nxntm1b(EUCOMM)Wtsi/Nxn+ (more )
Structure Level Pattern Image Note
TS28: liver Present JAX_1801743

Specimen JAX_1801744: postnatal adult; Nxntm1b(EUCOMM)Wtsi/Nxn+ (more )
Structure Level Pattern Image Note
TS28: adrenal gland Present JAX_1801744

Specimen MRC Harwell_890137: postnatal adult; Nxntm1b(EUCOMM)Wtsi/Nxn+ (more )
Structure Level Pattern Image Note
TS28: metanephros Present MRC Harwell_890137 kidney
TS28: vascular system Present MRC Harwell_890137

Specimen MRC Harwell_890139: postnatal adult; Nxntm1b(EUCOMM)Wtsi/Nxn+ (more )
Structure Level Pattern Image Note
TS28: ovary Present MRC Harwell_890139
TS28: oviduct Present MRC Harwell_890139
TS28: uterus Present MRC Harwell_890139

Specimen MRC Harwell_890141: postnatal adult; Nxntm1b(EUCOMM)Wtsi/Nxn+ (more )
Structure Level Pattern Image Note
TS28: skin Present MRC Harwell_890141

Specimen MRC Harwell_890143: postnatal adult; Nxntm1b(EUCOMM)Wtsi/Nxn+ (more )
Structure Level Pattern Image Note
TS28: esophagus Present MRC Harwell_890143
TS28: stomach Present MRC Harwell_890143

Specimen MRC Harwell_890145: postnatal adult; Nxntm1b(EUCOMM)Wtsi/Nxn+ (more )
Structure Level Pattern Image Note
TS28: lymph node Present MRC Harwell_890145

Specimen MRC Harwell_890147: postnatal adult; Nxntm1b(EUCOMM)Wtsi/Nxn+ (more )
Structure Level Pattern Image Note
TS28: large intestine Present MRC Harwell_890147

Specimen MRC Harwell_890149: postnatal adult; Nxntm1b(EUCOMM)Wtsi/Nxn+ (more )
Structure Level Pattern Image Note
TS28: adrenal gland Present MRC Harwell_890149

Specimen MRC Harwell_890151: postnatal adult; Nxntm1b(EUCOMM)Wtsi/Nxn+ (more )
Structure Level Pattern Image Note
TS28: aorta Present MRC Harwell_890151
TS28: vascular system Present MRC Harwell_890151

Specimen MRC Harwell_890153: postnatal adult; Nxntm1b(EUCOMM)Wtsi/Nxn+ (more )
Structure Level Pattern Image Note
TS28: lung Present MRC Harwell_890153

Specimen MRC Harwell_890155: postnatal adult; Nxntm1b(EUCOMM)Wtsi/Nxn+ (more )
Structure Level Pattern Image Note
TS28: mammary gland Present MRC Harwell_890155

Specimen MRC Harwell_890157: postnatal adult; Nxntm1b(EUCOMM)Wtsi/Nxn+ (more )
Structure Level Pattern Image Note
TS28: peripheral nervous system Present MRC Harwell_890157
TS28: pituitary gland Present MRC Harwell_890157

Specimen RBRC_961797: postnatal adult; Nxntm1b(EUCOMM)Wtsi/Nxn+ (more )
Structure Level Pattern Image Note
TS28: main olfactory bulb Present RBRC_961797

Specimen RBRC_961799: postnatal adult; Nxntm1b(EUCOMM)Wtsi/Nxn+ (more )
Structure Level Pattern Image Note
TS28: main olfactory bulb Present RBRC_961799

Specimen RBRC_961801: postnatal adult; Nxntm1b(EUCOMM)Wtsi/Nxn+ (more )
Structure Level Pattern Image Note
TS28: brain Present RBRC_961801

Specimen RBRC_961803: postnatal adult; Nxntm1b(EUCOMM)Wtsi/Nxn+ (more )
Structure Level Pattern Image Note
TS28: brain Present RBRC_961803

Specimen RBRC_961805: postnatal adult; Nxntm1b(EUCOMM)Wtsi/Nxn+ (more )
Structure Level Pattern Image Note
TS28: brain Present RBRC_961805

Specimen RBRC_961807: postnatal adult; Nxntm1b(EUCOMM)Wtsi/Nxn+ (more )
Structure Level Pattern Image Note
TS28: brain Present RBRC_961807

Specimen RBRC_961809: postnatal adult; Nxntm1b(EUCOMM)Wtsi/Nxn+ (more )
Structure Level Pattern Image Note
TS28: brain Present RBRC_961809

Specimen RBRC_961811: postnatal adult; Nxntm1b(EUCOMM)Wtsi/Nxn+ (more )
Structure Level Pattern Image Note
TS28: brain Present RBRC_961811

Specimen RBRC_961813: postnatal adult; Nxntm1b(EUCOMM)Wtsi/Nxn+ (more )
Structure Level Pattern Image Note
TS28: brain Present RBRC_961813

Specimen RBRC_961815: postnatal adult; Nxntm1b(EUCOMM)Wtsi/Nxn+ (more )
Structure Level Pattern Image Note
TS28: brain Present RBRC_961815

Specimen RBRC_961817: postnatal adult; Nxntm1b(EUCOMM)Wtsi/Nxn+ (more )
Structure Level Pattern Image Note
TS28: brain Present RBRC_961817

Specimen RBRC_961819: postnatal adult; Nxntm1b(EUCOMM)Wtsi/Nxn+ (more )
Structure Level Pattern Image Note
TS28: brain Present RBRC_961819

Specimen RBRC_961821: postnatal adult; Nxntm1b(EUCOMM)Wtsi/Nxn+ (more )
Structure Level Pattern Image Note
TS28: brain Present RBRC_961821

Specimen RBRC_961823: postnatal adult; Nxntm1b(EUCOMM)Wtsi/Nxn+ (more )
Structure Level Pattern Image Note
TS28: brain Present RBRC_961823

Specimen RBRC_961825: postnatal adult; Nxntm1b(EUCOMM)Wtsi/Nxn+ (more )
Structure Level Pattern Image Note
TS28: brain Present RBRC_961825

Specimen RBRC_961827: postnatal adult; Nxntm1b(EUCOMM)Wtsi/Nxn+ (more )
Structure Level Pattern Image Note
TS28: brain Present RBRC_961827

Specimen RBRC_961829: postnatal adult; Nxntm1b(EUCOMM)Wtsi/Nxn+ (more )
Structure Level Pattern Image Note
TS28: brain Present RBRC_961829

Specimen RBRC_961831: postnatal adult; Nxntm1b(EUCOMM)Wtsi/Nxn+ (more )
Structure Level Pattern Image Note
TS28: brain Present RBRC_961831

Specimen RBRC_961833: postnatal adult; Nxntm1b(EUCOMM)Wtsi/Nxn+ (more )
Structure Level Pattern Image Note
TS28: brain Present RBRC_961833

Specimen RBRC_961835: postnatal adult; Nxntm1b(EUCOMM)Wtsi/Nxn+ (more )
Structure Level Pattern Image Note
TS28: brain Present RBRC_961835

Specimen RBRC_961837: postnatal adult; Nxntm1b(EUCOMM)Wtsi/Nxn+ (more )
Structure Level Pattern Image Note
TS28: brain Present RBRC_961837

Specimen RBRC_961839: postnatal adult; Nxntm1b(EUCOMM)Wtsi/Nxn+ (more )
Structure Level Pattern Image Note
TS28: brain Present RBRC_961839

Specimen RBRC_961841: postnatal adult; Nxntm1b(EUCOMM)Wtsi/Nxn+ (more )
Structure Level Pattern Image Note
TS28: pituitary gland Present RBRC_961841
TS28: trigeminal nerve Present RBRC_961841

Specimen RBRC_961843: postnatal adult; Nxntm1b(EUCOMM)Wtsi/Nxn+ (more )
Structure Level Pattern Image Note
TS28: pituitary gland Present RBRC_961843

Specimen RBRC_961845: postnatal adult; Nxntm1b(EUCOMM)Wtsi/Nxn+ (more )
Structure Level Pattern Image Note
TS28: thoracic segment skeleton Present RBRC_961845 chest bone

Specimen RBRC_961847: postnatal adult; Nxntm1b(EUCOMM)Wtsi/Nxn+ (more )
Structure Level Pattern Image Note
TS28: thoracic segment skeleton Present RBRC_961847 chest bone

Specimen RBRC_961849: postnatal adult; Nxntm1b(EUCOMM)Wtsi/Nxn+ (more )
Structure Level Pattern Image Note
TS28: Harderian gland Present RBRC_961849

Specimen RBRC_961851: postnatal adult; Nxntm1b(EUCOMM)Wtsi/Nxn+ (more )
Structure Level Pattern Image Note
TS28: eye Present RBRC_961851

Specimen RBRC_961853: postnatal adult; Nxntm1b(EUCOMM)Wtsi/Nxn+ (more )
Structure Level Pattern Image Note
TS28: sublingual gland Present RBRC_961853
TS28: submandibular gland Ambiguous RBRC_961853

Specimen RBRC_961855: postnatal adult; Nxntm1b(EUCOMM)Wtsi/Nxn+ (more )
Structure Level Pattern Image Note
TS28: parotid gland Present RBRC_961855

Specimen RBRC_961857: postnatal adult; Nxntm1b(EUCOMM)Wtsi/Nxn+ (more )
Structure Level Pattern Image Note
TS28: thyroid gland Ambiguous RBRC_961857

Specimen RBRC_961859: postnatal adult; Nxntm1b(EUCOMM)Wtsi/Nxn+ (more )
Structure Level Pattern Image Note
TS28: trachea Present RBRC_961859

Specimen RBRC_961861: postnatal adult; Nxntm1b(EUCOMM)Wtsi/Nxn+ (more )
Structure Level Pattern Image Note
TS28: lung Present RBRC_961861

Specimen RBRC_961863: postnatal adult; Nxntm1b(EUCOMM)Wtsi/Nxn+ (more )
Structure Level Pattern Image Note
TS28: lung Present RBRC_961863

Specimen RBRC_961865: postnatal adult; Nxntm1b(EUCOMM)Wtsi/Nxn+ (more )
Structure Level Pattern Image Note
TS28: tongue Present RBRC_961865

Specimen RBRC_961867: postnatal adult; Nxntm1b(EUCOMM)Wtsi/Nxn+ (more )
Structure Level Pattern Image Note
TS28: tongue Present RBRC_961867

Specimen RBRC_961869: postnatal adult; Nxntm1b(EUCOMM)Wtsi/Nxn+ (more )
Structure Level Pattern Image Note
TS28: tongue Present RBRC_961869

Specimen RBRC_961871: postnatal adult; Nxntm1b(EUCOMM)Wtsi/Nxn+ (more )
Structure Level Pattern Image Note
TS28: tongue Present RBRC_961871

Specimen RBRC_961873: postnatal adult; Nxntm1b(EUCOMM)Wtsi/Nxn+ (more )
Structure Level Pattern Image Note
TS28: esophagus Present RBRC_961873

Specimen RBRC_961875: postnatal adult; Nxntm1b(EUCOMM)Wtsi/Nxn+ (more )
Structure Level Pattern Image Note
TS28: aorta Present RBRC_961875

Specimen RBRC_961877: postnatal adult; Nxntm1b(EUCOMM)Wtsi/Nxn+ (more )
Structure Level Pattern Image Note
TS28: thymus Ambiguous RBRC_961877

Specimen RBRC_961879: postnatal adult; Nxntm1b(EUCOMM)Wtsi/Nxn+ (more )
Structure Level Pattern Image Note
TS28: thymus Ambiguous RBRC_961879

Specimen RBRC_961881: postnatal adult; Nxntm1b(EUCOMM)Wtsi/Nxn+ (more )
Structure Level Pattern Image Note
TS28: heart Present RBRC_961881

Specimen RBRC_961883: postnatal adult; Nxntm1b(EUCOMM)Wtsi/Nxn+ (more )
Structure Level Pattern Image Note
TS28: heart Present RBRC_961883

Specimen RBRC_961885: postnatal adult; Nxntm1b(EUCOMM)Wtsi/Nxn+ (more )
Structure Level Pattern Image Note
TS28: diaphragm Present RBRC_961885

Specimen RBRC_961887: postnatal adult; Nxntm1b(EUCOMM)Wtsi/Nxn+ (more )
Structure Level Pattern Image Note
TS28: gallbladder Present RBRC_961887

Specimen RBRC_961889: postnatal adult; Nxntm1b(EUCOMM)Wtsi/Nxn+ (more )
Structure Level Pattern Image Note
TS28: liver Ambiguous RBRC_961889

Specimen RBRC_961891: postnatal adult; Nxntm1b(EUCOMM)Wtsi/Nxn+ (more )
Structure Level Pattern Image Note
TS28: liver Ambiguous RBRC_961891

Specimen RBRC_961893: postnatal adult; Nxntm1b(EUCOMM)Wtsi/Nxn+ (more )
Structure Level Pattern Image Note
TS28: spleen Ambiguous RBRC_961893

Specimen RBRC_961895: postnatal adult; Nxntm1b(EUCOMM)Wtsi/Nxn+ (more )
Structure Level Pattern Image Note
TS28: spleen Ambiguous RBRC_961895

Specimen RBRC_961897: postnatal adult; Nxntm1b(EUCOMM)Wtsi/Nxn+ (more )
Structure Level Pattern Image Note
TS28: mesenteric adipose tissue Present RBRC_961897

Specimen RBRC_961899: postnatal adult; Nxntm1b(EUCOMM)Wtsi/Nxn+ (more )
Structure Level Pattern Image Note
TS28: mesenteric lymph node Ambiguous RBRC_961899

Specimen RBRC_961901: postnatal adult; Nxntm1b(EUCOMM)Wtsi/Nxn+ (more )
Structure Level Pattern Image Note
TS28: adrenal gland Present RBRC_961901

Specimen RBRC_961903: postnatal adult; Nxntm1b(EUCOMM)Wtsi/Nxn+ (more )
Structure Level Pattern Image Note
TS28: metanephros Present RBRC_961903 kidney

Specimen RBRC_961905: postnatal adult; Nxntm1b(EUCOMM)Wtsi/Nxn+ (more )
Structure Level Pattern Image Note
TS28: metanephros Present RBRC_961905 kidney

Specimen RBRC_961907: postnatal adult; Nxntm1b(EUCOMM)Wtsi/Nxn+ (more )
Structure Level Pattern Image Note
TS28: metanephros Present RBRC_961907 kidney

Specimen RBRC_961909: postnatal adult; Nxntm1b(EUCOMM)Wtsi/Nxn+ (more )
Structure Level Pattern Image Note
TS28: metanephros Present RBRC_961909 kidney

Specimen RBRC_961911: postnatal adult; Nxntm1b(EUCOMM)Wtsi/Nxn+ (more )
Structure Level Pattern Image Note
TS28: metanephros Present RBRC_961911 kidney

Specimen RBRC_961913: postnatal adult; Nxntm1b(EUCOMM)Wtsi/Nxn+ (more )
Structure Level Pattern Image Note
TS28: metanephros Present RBRC_961913 kidney

Specimen RBRC_961915: postnatal adult; Nxntm1b(EUCOMM)Wtsi/Nxn+ (more )
Structure Level Pattern Image Note
TS28: metanephros Present RBRC_961915 kidney

Specimen RBRC_961917: postnatal adult; Nxntm1b(EUCOMM)Wtsi/Nxn+ (more )
Structure Level Pattern Image Note
TS28: metanephros Present RBRC_961917 kidney

Specimen RBRC_961919: postnatal adult; Nxntm1b(EUCOMM)Wtsi/Nxn+ (more )
Structure Level Pattern Image Note
TS28: stomach Present RBRC_961919

Specimen RBRC_961921: postnatal adult; Nxntm1b(EUCOMM)Wtsi/Nxn+ (more )
Structure Level Pattern Image Note
TS28: stomach Present RBRC_961921

Specimen RBRC_961923: postnatal adult; Nxntm1b(EUCOMM)Wtsi/Nxn+ (more )
Structure Level Pattern Image Note
TS28: stomach Present RBRC_961923

Specimen RBRC_961925: postnatal adult; Nxntm1b(EUCOMM)Wtsi/Nxn+ (more )
Structure Level Pattern Image Note
TS28: stomach Present RBRC_961925

Specimen RBRC_961927: postnatal adult; Nxntm1b(EUCOMM)Wtsi/Nxn+ (more )
Structure Level Pattern Image Note
TS28: stomach Present RBRC_961927

Specimen RBRC_961929: postnatal adult; Nxntm1b(EUCOMM)Wtsi/Nxn+ (more )
Structure Level Pattern Image Note
TS28: stomach Present RBRC_961929

Specimen RBRC_961931: postnatal adult; Nxntm1b(EUCOMM)Wtsi/Nxn+ (more )
Structure Level Pattern Image Note
TS28: duodenum Present RBRC_961931

Specimen RBRC_961933: postnatal adult; Nxntm1b(EUCOMM)Wtsi/Nxn+ (more )
Structure Level Pattern Image Note
TS28: duodenum Present RBRC_961933

Specimen RBRC_961935: postnatal adult; Nxntm1b(EUCOMM)Wtsi/Nxn+ (more )
Structure Level Pattern Image Note
TS28: jejunum Present RBRC_961935

Specimen RBRC_961937: postnatal adult; Nxntm1b(EUCOMM)Wtsi/Nxn+ (more )
Structure Level Pattern Image Note
TS28: jejunum Present RBRC_961937

Specimen RBRC_961939: postnatal adult; Nxntm1b(EUCOMM)Wtsi/Nxn+ (more )
Structure Level Pattern Image Note
TS28: ileum Present RBRC_961939

Specimen RBRC_961941: postnatal adult; Nxntm1b(EUCOMM)Wtsi/Nxn+ (more )
Structure Level Pattern Image Note
TS28: ileum Present RBRC_961941

Specimen RBRC_961943: postnatal adult; Nxntm1b(EUCOMM)Wtsi/Nxn+ (more )
Structure Level Pattern Image Note
TS28: cecum Present RBRC_961943

Specimen RBRC_961945: postnatal adult; Nxntm1b(EUCOMM)Wtsi/Nxn+ (more )
Structure Level Pattern Image Note
TS28: cecum Present RBRC_961945

Specimen RBRC_961947: postnatal adult; Nxntm1b(EUCOMM)Wtsi/Nxn+ (more )
Structure Level Pattern Image Note
TS28: large intestine Present RBRC_961947

Specimen RBRC_961949: postnatal adult; Nxntm1b(EUCOMM)Wtsi/Nxn+ (more )
Structure Level Pattern Image Note
TS28: large intestine Present RBRC_961949

Specimen RBRC_961951: postnatal adult; Nxntm1b(EUCOMM)Wtsi/Nxn+ (more )
Structure Level Pattern Image Note
TS28: sciatic nerve Present RBRC_961951

Specimen RBRC_961953: postnatal adult; Nxntm1b(EUCOMM)Wtsi/Nxn+ (more )
Structure Level Pattern Image Note
TS28: sciatic nerve Present RBRC_961953

Specimen RBRC_961955: postnatal adult; Nxntm1b(EUCOMM)Wtsi/Nxn+ (more )
Structure Level Pattern Image Note
TS28: lymph node Ambiguous RBRC_961955

Specimen RBRC_961957: postnatal adult; Nxntm1b(EUCOMM)Wtsi/Nxn+ (more )
Structure Level Pattern Image Note
TS28: skin Present RBRC_961957

Specimen RBRC_961959: postnatal adult; Nxntm1b(EUCOMM)Wtsi/Nxn+ (more )
Structure Level Pattern Image Note
TS28: bone Ambiguous RBRC_961959

Specimen RBRC_961961: postnatal adult; Nxntm1b(EUCOMM)Wtsi/Nxn+ (more )
Structure Level Pattern Image Note
TS28: bone Ambiguous RBRC_961961

Specimen RBRC_961963: postnatal adult; Nxntm1b(EUCOMM)Wtsi/Nxn+ (more )
Structure Level Pattern Image Note
TS28: bone Ambiguous RBRC_961963

Specimen RBRC_961965: postnatal adult; Nxntm1b(EUCOMM)Wtsi/Nxn+ (more )
Structure Level Pattern Image Note
TS28: quadriceps femoris muscle Present RBRC_961965

Specimen RBRC_961967: postnatal adult; Nxntm1b(EUCOMM)Wtsi/Nxn+ (more )
Structure Level Pattern Image Note
TS28: quadriceps femoris muscle Present RBRC_961967

Specimen RBRC_961969: postnatal adult; Nxntm1b(EUCOMM)Wtsi/Nxn+ (more )
Structure Level Pattern Image Note
TS28: bladder Present RBRC_961969

Specimen RBRC_961971: postnatal adult; Nxntm1b(EUCOMM)Wtsi/Nxn+ (more )
Structure Level Pattern Image Note
TS28: bladder Present RBRC_961971

Specimen RBRC_961973: postnatal adult; Nxntm1b(EUCOMM)Wtsi/Nxn+ (more )
Structure Level Pattern Image Note
TS28: bladder Present RBRC_961973

Specimen RBRC_961975: postnatal adult; Nxntm1b(EUCOMM)Wtsi/Nxn+ (more )
Structure Level Pattern Image Note
TS28: ovary Present RBRC_961975

Specimen RBRC_961977: postnatal adult; Nxntm1b(EUCOMM)Wtsi/Nxn+ (more )
Structure Level Pattern Image Note
TS28: oviduct Present RBRC_961977

Specimen RBRC_961979: postnatal adult; Nxntm1b(EUCOMM)Wtsi/Nxn+ (more )
Structure Level Pattern Image Note
TS28: uterus Present RBRC_961979

Specimen RBRC_961981: postnatal adult; Nxntm1b(EUCOMM)Wtsi/Nxn+ (more )
Structure Level Pattern Image Note
TS28: vagina Present RBRC_961981

Specimen RBRC_961983: postnatal adult; Nxntm1b(EUCOMM)Wtsi/Nxn+ (more )
Structure Level Pattern Image Note
TS28: mammary gland Present RBRC_961983

Specimen RBRC_961985: postnatal adult; Nxntm1b(EUCOMM)Wtsi/Nxn+ (more )
Structure Level Pattern Image Note
TS28: mammary gland Present RBRC_961985

Specimen RBRC_961987: postnatal adult; Nxntm1b(EUCOMM)Wtsi/Nxn+ (more )
Structure Level Pattern Image Note
TS28: spinal cord Present RBRC_961987

Specimen RBRC_961989: postnatal adult; Nxntm1b(EUCOMM)Wtsi/Nxn+ (more )
Structure Level Pattern Image Note
TS28: spinal cord Present RBRC_961989

Specimen RBRC_961991: postnatal adult; Nxntm1b(EUCOMM)Wtsi/Nxn+ (more )
Structure Level Pattern Image Note
TS28: spinal cord Present RBRC_961991

Specimen RBRC_961993: postnatal adult; Nxntm1b(EUCOMM)Wtsi/Nxn+ (more )
Structure Level Pattern Image Note
TS28: spinal cord Present RBRC_961993

Specimen TCP_2460210: postnatal adult; Nxntm1b(EUCOMM)Wtsi/Nxn+ (more )
Structure Level Pattern Image Note
TS28: cerebellum Present TCP_2460210

Specimen TCP_2460211: postnatal adult; Nxntm1b(EUCOMM)Wtsi/Nxn+ (more )
Structure Level Pattern Image Note
TS28: eye Present TCP_2460211

Specimen TCP_2460212: postnatal adult; Nxntm1b(EUCOMM)Wtsi/Nxn+ (more )
Structure Level Pattern Image Note
TS28: eye Present TCP_2460212

Specimen TCP_2460213: postnatal adult; Nxntm1b(EUCOMM)Wtsi/Nxn+ (more )
Structure Level Pattern Image Note
TS28: lung Present TCP_2460213

Specimen TCP_2460214: postnatal adult; Nxntm1b(EUCOMM)Wtsi/Nxn+ (more )
Structure Level Pattern Image Note
TS28: lung Present TCP_2460214

Specimen TCP_2460215: postnatal adult; Nxntm1b(EUCOMM)Wtsi/Nxn+ (more )
Structure Level Pattern Image Note
TS28: mammary gland Present TCP_2460215

Specimen TCP_2460216: postnatal adult; Nxntm1b(EUCOMM)Wtsi/Nxn+ (more )
Structure Level Pattern Image Note
TS28: mammary gland Present TCP_2460216

Specimen TCP_2460217: postnatal adult; Nxntm1b(EUCOMM)Wtsi/Nxn+ (more )
Structure Level Pattern Image Note
TS28: ovary Present TCP_2460217

Specimen TCP_2460218: postnatal adult; Nxntm1b(EUCOMM)Wtsi/Nxn+ (more )
Structure Level Pattern Image Note
TS28: spleen Present TCP_2460218

Specimen TCP_2460219: postnatal adult; Nxntm1b(EUCOMM)Wtsi/Nxn+ (more )
Structure Level Pattern Image Note
TS28: spleen Present TCP_2460219

Specimen TCP_2460220: postnatal adult; Nxntm1b(EUCOMM)Wtsi/Nxn+ (more )
Structure Level Pattern Image Note
TS28: uterus Present TCP_2460220

Specimen TCP_2460221: postnatal adult; Nxntm1b(EUCOMM)Wtsi/Nxn+ (more )
Structure Level Pattern Image Note
TS28: uterus Present TCP_2460221

Specimen BCM_1060945: postnatal adult; Nxntm1a(EUCOMM)Wtsi/Nxn+ (more )
Structure Level Pattern Image Note
TS28: trachea Present BCM_1060945

Specimen BCM_1060947: postnatal adult; Nxntm1a(EUCOMM)Wtsi/Nxn+ (more )
Structure Level Pattern Image Note
TS28: adrenal gland Present BCM_1060947

Specimen BCM_1060949: postnatal adult; Nxntm1a(EUCOMM)Wtsi/Nxn+ (more )
Structure Level Pattern Image Note
TS28: spinal cord Present BCM_1060949

Specimen BCM_1060951: postnatal adult; Nxntm1a(EUCOMM)Wtsi/Nxn+ (more )
Structure Level Pattern Image Note
TS28: spinal cord Present BCM_1060951

Specimen BCM_1060953: postnatal adult; Nxntm1a(EUCOMM)Wtsi/Nxn+ (more )
Structure Level Pattern Image Note
TS28: large intestine Present BCM_1060953

Specimen BCM_1060955: postnatal adult; Nxntm1a(EUCOMM)Wtsi/Nxn+ (more )
Structure Level Pattern Image Note
TS28: Peyer's patch Ambiguous BCM_1060955
TS28: small intestine Present BCM_1060955

Specimen BCM_1060957: postnatal adult; Nxntm1a(EUCOMM)Wtsi/Nxn+ (more )
Structure Level Pattern Image Note
TS28: esophagus Present BCM_1060957
TS28: stomach Present BCM_1060957

Specimen BCM_1060959: postnatal adult; Nxntm1a(EUCOMM)Wtsi/Nxn+ (more )
Structure Level Pattern Image Note
TS28: testis Present BCM_1060959
TS28: ductus deferens Ambiguous BCM_1060959 vas deferens

Specimen BCM_1060961: postnatal adult; Nxntm1a(EUCOMM)Wtsi/Nxn+ (more )
Structure Level Pattern Image Note
TS28: lower urinary tract Present BCM_1060961
TS28: prostate gland Present BCM_1060961

Specimen BCM_1060963: postnatal adult; Nxntm1a(EUCOMM)Wtsi/Nxn+ (more )
Structure Level Pattern Image Note
TS28: lower urinary tract Present BCM_1060963
TS28: prostate gland Present BCM_1060963

Specimen BCM_1060965: postnatal adult; Nxntm1a(EUCOMM)Wtsi/Nxn+ (more )
Structure Level Pattern Image Note
TS28: bone Present BCM_1060965
TS28: cartilage Present BCM_1060965
TS28: skeletal muscle tissue Present BCM_1060965

Specimen BCM_1060967: postnatal adult; Nxntm1a(EUCOMM)Wtsi/Nxn+ (more )
Structure Level Pattern Image Note
TS28: oral epithelium Present BCM_1060967

Specimen BCM_1060969: postnatal adult; Nxntm1a(EUCOMM)Wtsi/Nxn+ (more )
Structure Level Pattern Image Note
TS28: brain Present BCM_1060969
TS28: brainstem Present BCM_1060969
TS28: cerebellum Present BCM_1060969
TS28: cerebral cortex Present BCM_1060969
TS28: hippocampus Present BCM_1060969
TS28: olfactory lobe Present BCM_1060969
TS28: peripheral nervous system Present BCM_1060969
TS28: corpus striatum Present BCM_1060969

Specimen BCM_1060971: postnatal adult; Nxntm1a(EUCOMM)Wtsi/Nxn+ (more )
Structure Level Pattern Image Note
TS28: brain Present BCM_1060971
TS28: brainstem Present BCM_1060971
TS28: cerebellum Present BCM_1060971
TS28: cerebral cortex Present BCM_1060971
TS28: hippocampus Present BCM_1060971
TS28: olfactory lobe Present BCM_1060971
TS28: peripheral nervous system Present BCM_1060971
TS28: corpus striatum Present BCM_1060971

Specimen BCM_1060973: postnatal adult; Nxntm1a(EUCOMM)Wtsi/Nxn+ (more )
Structure Level Pattern Image Note
TS28: metanephros Present BCM_1060973 kidney

Specimen CCP-IMG_2127847: postnatal adult; Nxntm1b(EUCOMM)Wtsi/Nxn+ (more )
Structure Level Pattern Image Note
TS28: thymus Present CCP-IMG_2127847

Specimen CCP-IMG_2127848: postnatal adult; Nxntm1b(EUCOMM)Wtsi/Nxn+ (more )
Structure Level Pattern Image Note
TS28: thyroid gland Absent CCP-IMG_2127848

Specimen CCP-IMG_2127850: postnatal adult; Nxntm1b(EUCOMM)Wtsi/Nxn+ (more )
Structure Level Pattern Image Note
TS28: quadriceps femoris muscle Present CCP-IMG_2127850

Specimen CCP-IMG_2127851: postnatal adult; Nxntm1b(EUCOMM)Wtsi/Nxn+ (more )
Structure Level Pattern Image Note
TS28: skin Present CCP-IMG_2127851

Specimen CCP-IMG_2127852: postnatal adult; Nxntm1b(EUCOMM)Wtsi/Nxn+ (more )
Structure Level Pattern Image Note
TS28: diaphragm Present CCP-IMG_2127852

Specimen CCP-IMG_2127853: postnatal adult; Nxntm1b(EUCOMM)Wtsi/Nxn+ (more )
Structure Level Pattern Image Note
TS28: spleen Present CCP-IMG_2127853

Specimen CCP-IMG_2127854: postnatal adult; Nxntm1b(EUCOMM)Wtsi/Nxn+ (more )
Structure Level Pattern Image Note
TS28: jejunum Present CCP-IMG_2127854

Specimen CCP-IMG_2127855: postnatal adult; Nxntm1b(EUCOMM)Wtsi/Nxn+ (more )
Structure Level Pattern Image Note
TS28: colon Present CCP-IMG_2127855

Specimen CCP-IMG_2127856: postnatal adult; Nxntm1b(EUCOMM)Wtsi/Nxn+ (more )
Structure Level Pattern Image Note
TS28: brainstem Present CCP-IMG_2127856

Specimen CCP-IMG_2127857: postnatal adult; Nxntm1b(EUCOMM)Wtsi/Nxn+ (more )
Structure Level Pattern Image Note
TS28: white fat Absent CCP-IMG_2127857

Specimen CCP-IMG_2127858: postnatal adult; Nxntm1b(EUCOMM)Wtsi/Nxn+ (more )
Structure Level Pattern Image Note
TS28: cranium Present CCP-IMG_2127858

Specimen CCP-IMG_2127859: postnatal adult; Nxntm1b(EUCOMM)Wtsi/Nxn+ (more )
Structure Level Pattern Image Note
TS28: large intestine Present CCP-IMG_2127859

Specimen CCP-IMG_2127860: postnatal adult; Nxntm1b(EUCOMM)Wtsi/Nxn+ (more )
Structure Level Pattern Image Note
TS28: trachea Present CCP-IMG_2127860

Specimen CCP-IMG_2127861: postnatal adult; Nxntm1b(EUCOMM)Wtsi/Nxn+ (more )
Structure Level Pattern Image Note
TS28: gallbladder Present CCP-IMG_2127861

Specimen CCP-IMG_2127862: postnatal adult; Nxntm1b(EUCOMM)Wtsi/Nxn+ (more )
Structure Level Pattern Image Note
TS28: aorta Present CCP-IMG_2127862

Specimen CCP-IMG_2127863: postnatal adult; Nxntm1b(EUCOMM)Wtsi/Nxn+ (more )
Structure Level Pattern Image Note
TS28: ileum Present CCP-IMG_2127863

Specimen CCP-IMG_2127864: postnatal adult; Nxntm1b(EUCOMM)Wtsi/Nxn+ (more )
Structure Level Pattern Image Note
TS28: testis Present CCP-IMG_2127864

Specimen CCP-IMG_2127865: postnatal adult; Nxntm1b(EUCOMM)Wtsi/Nxn+ (more )
Structure Level Pattern Image Note
TS28: hippocampus Present CCP-IMG_2127865

Specimen CCP-IMG_2127866: postnatal adult; Nxntm1b(EUCOMM)Wtsi/Nxn+ (more )
Structure Level Pattern Image Note
TS28: oral epithelium Present CCP-IMG_2127866

Specimen CCP-IMG_2127867: postnatal adult; Nxntm1b(EUCOMM)Wtsi/Nxn+ (more )
Structure Level Pattern Image Note
TS28: cerebral cortex Present CCP-IMG_2127867

Specimen CCP-IMG_2127868: postnatal adult; Nxntm1b(EUCOMM)Wtsi/Nxn+ (more )
Structure Level Pattern Image Note
TS28: eye Present CCP-IMG_2127868

Specimen CCP-IMG_2127869: postnatal adult; Nxntm1b(EUCOMM)Wtsi/Nxn+ (more )
Structure Level Pattern Image Note
TS28: vascular system Present CCP-IMG_2127869

Specimen CCP-IMG_2127870: postnatal adult; Nxntm1b(EUCOMM)Wtsi/Nxn+ (more )
Structure Level Pattern Image Note
TS28: small intestine Present CCP-IMG_2127870

Specimen CCP-IMG_2127871: postnatal adult; Nxntm1b(EUCOMM)Wtsi/Nxn+ (more )
Structure Level Pattern Image Note
TS28: brown fat Present CCP-IMG_2127871

Specimen CCP-IMG_2127872: postnatal adult; Nxntm1b(EUCOMM)Wtsi/Nxn+ (more )
Structure Level Pattern Image Note
TS28: tongue Present CCP-IMG_2127872

Specimen CCP-IMG_2127873: postnatal adult; Nxntm1b(EUCOMM)Wtsi/Nxn+ (more )
Structure Level Pattern Image Note
TS28: hypothalamus Present CCP-IMG_2127873

Specimen CCP-IMG_2127874: postnatal adult; Nxntm1b(EUCOMM)Wtsi/Nxn+ (more )
Structure Level Pattern Image Note
TS28: Peyer's patch Present CCP-IMG_2127874

Specimen CCP-IMG_2127875: postnatal adult; Nxntm1b(EUCOMM)Wtsi/Nxn+ (more )
Structure Level Pattern Image Note
TS28: duodenum Present CCP-IMG_2127875

Specimen CCP-IMG_2127876: postnatal adult; Nxntm1b(EUCOMM)Wtsi/Nxn+ (more )
Structure Level Pattern Image Note
TS28: spinal cord Absent CCP-IMG_2127876

Specimen CCP-IMG_2127877: postnatal adult; Nxntm1b(EUCOMM)Wtsi/Nxn+ (more )
Structure Level Pattern Image Note
TS28: parathyroid gland Present CCP-IMG_2127877

Specimen CCP-IMG_2127878: postnatal adult; Nxntm1b(EUCOMM)Wtsi/Nxn+ (more )
Structure Level Pattern Image Note
TS28: Harderian gland Present CCP-IMG_2127878

Specimen CCP-IMG_2127879: postnatal adult; Nxntm1b(EUCOMM)Wtsi/Nxn+ (more )
Structure Level Pattern Image Note
TS28: lower urinary tract Present CCP-IMG_2127879

Specimen CCP-IMG_2127880: postnatal adult; Nxntm1b(EUCOMM)Wtsi/Nxn+ (more )
Structure Level Pattern Image Note
TS28: lung Present CCP-IMG_2127880

Specimen CCP-IMG_2127881: postnatal adult; Nxntm1b(EUCOMM)Wtsi/Nxn+ (more )
Structure Level Pattern Image Note
TS28: liver Absent CCP-IMG_2127881

Specimen CCP-IMG_2127882: postnatal adult; Nxntm1b(EUCOMM)Wtsi/Nxn+ (more )
Structure Level Pattern Image Note
TS28: skeletal muscle tissue Present CCP-IMG_2127882

Specimen CCP-IMG_2127883: postnatal adult; Nxntm1b(EUCOMM)Wtsi/Nxn+ (more )
Structure Level Pattern Image Note
TS28: bladder Present CCP-IMG_2127883

Specimen CCP-IMG_2127884: postnatal adult; Nxntm1b(EUCOMM)Wtsi/Nxn+ (more )
Structure Level Pattern Image Note
TS28: lymph node Absent CCP-IMG_2127884

Specimen CCP-IMG_2127885: postnatal adult; Nxntm1b(EUCOMM)Wtsi/Nxn+ (more )
Structure Level Pattern Image Note
TS28: adrenal gland Present CCP-IMG_2127885

Specimen CCP-IMG_2127886: postnatal adult; Nxntm1b(EUCOMM)Wtsi/Nxn+ (more )
Structure Level Pattern Image Note
TS28: corpus striatum Present CCP-IMG_2127886

Specimen CCP-IMG_2127887: postnatal adult; Nxntm1b(EUCOMM)Wtsi/Nxn+ (more )
Structure Level Pattern Image Note
TS28: submandibular gland Present CCP-IMG_2127887

Specimen CCP-IMG_2127888: postnatal adult; Nxntm1b(EUCOMM)Wtsi/Nxn+ (more )
Structure Level Pattern Image Note
TS28: brain Present CCP-IMG_2127888

Specimen CCP-IMG_2127889: postnatal adult; Nxntm1b(EUCOMM)Wtsi/Nxn+ (more )
Structure Level Pattern Image Note
TS28: stomach Present CCP-IMG_2127889

Specimen CCP-IMG_2127890: postnatal adult; Nxntm1b(EUCOMM)Wtsi/Nxn+ (more )
Structure Level Pattern Image Note
TS28: pancreas Present CCP-IMG_2127890

Specimen CCP-IMG_2127891: postnatal adult; Nxntm1b(EUCOMM)Wtsi/Nxn+ (more )
Structure Level Pattern Image Note
TS28: heart Present CCP-IMG_2127891

Specimen CCP-IMG_2127892: postnatal adult; Nxntm1b(EUCOMM)Wtsi/Nxn+ (more )
Structure Level Pattern Image Note
TS28: pituitary gland Present CCP-IMG_2127892

Specimen CCP-IMG_2127893: postnatal adult; Nxntm1b(EUCOMM)Wtsi/Nxn+ (more )
Structure Level Pattern Image Note
TS28: esophagus Present CCP-IMG_2127893

Specimen CCP-IMG_2127895: postnatal adult; Nxntm1b(EUCOMM)Wtsi/Nxn+ (more )
Structure Level Pattern Image Note
TS28: metanephros Present CCP-IMG_2127895 kidney

Specimen CCP-IMG_2127896: postnatal adult; Nxntm1b(EUCOMM)Wtsi/Nxn+ (more )
Structure Level Pattern Image Note
TS28: hindlimb Present CCP-IMG_2127896

Specimen CCP-IMG_2127897: postnatal adult; Nxntm1b(EUCOMM)Wtsi/Nxn+ (more )
Structure Level Pattern Image Note
TS28: prostate gland Present CCP-IMG_2127897

Specimen CCP-IMG_2127898: postnatal adult; Nxntm1b(EUCOMM)Wtsi/Nxn+ (more )
Structure Level Pattern Image Note
TS28: peripheral nervous system Present CCP-IMG_2127898

Specimen CCP-IMG_2127899: postnatal adult; Nxntm1b(EUCOMM)Wtsi/Nxn+ (more )
Structure Level Pattern Image Note
TS28: thoracic segment skeleton Present CCP-IMG_2127899 chest bone

Specimen CCP-IMG_2127900: postnatal adult; Nxntm1b(EUCOMM)Wtsi/Nxn+ (more )
Structure Level Pattern Image Note
TS28: cecum Present CCP-IMG_2127900

Specimen CCP-IMG_2127901: postnatal adult; Nxntm1b(EUCOMM)Wtsi/Nxn+ (more )
Structure Level Pattern Image Note
TS28: cartilage Present CCP-IMG_2127901

Specimen CCP-IMG_2127902: postnatal adult; Nxntm1b(EUCOMM)Wtsi/Nxn+ (more )
Structure Level Pattern Image Note
TS28: olfactory lobe Present CCP-IMG_2127902

Specimen CCP-IMG_2127903: postnatal adult; Nxntm1b(EUCOMM)Wtsi/Nxn+ (more )
Structure Level Pattern Image Note
TS28: penis Present CCP-IMG_2127903

Specimen CCP-IMG_2127904: postnatal adult; Nxntm1b(EUCOMM)Wtsi/Nxn+ (more )
Structure Level Pattern Image Note
TS28: bone Present CCP-IMG_2127904

Specimen CCP-IMG_2127905: postnatal adult; Nxntm1b(EUCOMM)Wtsi/Nxn+ (more )
Structure Level Pattern Image Note
TS28: cerebellum Present CCP-IMG_2127905

Specimen HMGU_692237: postnatal adult; Nxntm1b(EUCOMM)Wtsi/Nxn+ (more )
Structure Level Pattern Image Note
TS28: testis Present HMGU_692237

Specimen HMGU_692239: postnatal adult; Nxntm1b(EUCOMM)Wtsi/Nxn+ (more )
Structure Level Pattern Image Note
TS28: pituitary gland Present HMGU_692239

Specimen HMGU_692241: postnatal adult; Nxntm1b(EUCOMM)Wtsi/Nxn+ (more )
Structure Level Pattern Image Note
TS28: brain Present HMGU_692241

Specimen HMGU_692243: postnatal adult; Nxntm1b(EUCOMM)Wtsi/Nxn+ (more )
Structure Level Pattern Image Note
TS28: cecum Present HMGU_692243

Specimen HMGU_692245: postnatal adult; Nxntm1b(EUCOMM)Wtsi/Nxn+ (more )
Structure Level Pattern Image Note
TS28: lung Present HMGU_692245

Specimen HMGU_692247: postnatal adult; Nxntm1b(EUCOMM)Wtsi/Nxn+ (more )
Structure Level Pattern Image Note
TS28: metanephros Present HMGU_692247 kidney

Specimen HMGU_692249: postnatal adult; Nxntm1b(EUCOMM)Wtsi/Nxn+ (more )
Structure Level Pattern Image Note
TS28: stomach Present HMGU_692249

Specimen HMGU_692251: postnatal adult; Nxntm1b(EUCOMM)Wtsi/Nxn+ (more )
Structure Level Pattern Image Note
TS28: submandibular gland Present HMGU_692251

Specimen JAX_1801703: postnatal adult; Nxntm1b(EUCOMM)Wtsi/Nxn+ (more )
Structure Level Pattern Image Note
TS28: thalamus Present JAX_1801703

Specimen JAX_1801704: postnatal adult; Nxntm1b(EUCOMM)Wtsi/Nxn+ (more )
Structure Level Pattern Image Note
TS28: midbrain Present JAX_1801704

Specimen JAX_1801705: postnatal adult; Nxntm1b(EUCOMM)Wtsi/Nxn+ (more )
Structure Level Pattern Image Note
TS28: epididymis Present JAX_1801705

Specimen JAX_1801706: postnatal adult; Nxntm1b(EUCOMM)Wtsi/Nxn+ (more )
Structure Level Pattern Image Note
TS28: corpus striatum Present JAX_1801706

Specimen JAX_1801707: postnatal adult; Nxntm1b(EUCOMM)Wtsi/Nxn+ (more )
Structure Level Pattern Image Note
TS28: peripheral nervous system Present JAX_1801707

Specimen JAX_1801708: postnatal adult; Nxntm1b(EUCOMM)Wtsi/Nxn+ (more )
Structure Level Pattern Image Note
TS28: olfactory lobe Present JAX_1801708

Specimen JAX_1801709: postnatal adult; Nxntm1b(EUCOMM)Wtsi/Nxn+ (more )
Structure Level Pattern Image Note
TS28: hypothalamus Present JAX_1801709

Specimen JAX_1801710: postnatal adult; Nxntm1b(EUCOMM)Wtsi/Nxn+ (more )
Structure Level Pattern Image Note
TS28: hippocampus Present JAX_1801710

Specimen JAX_1801711: postnatal adult; Nxntm1b(EUCOMM)Wtsi/Nxn+ (more )
Structure Level Pattern Image Note
TS28: cerebellum Present JAX_1801711

Specimen JAX_1801712: postnatal adult; Nxntm1b(EUCOMM)Wtsi/Nxn+ (more )
Structure Level Pattern Image Note
TS28: cerebral cortex Present JAX_1801712

Specimen JAX_1801713: postnatal adult; Nxntm1b(EUCOMM)Wtsi/Nxn+ (more )
Structure Level Pattern Image Note
TS28: brainstem Present JAX_1801713

Specimen JAX_1801714: postnatal adult; Nxntm1b(EUCOMM)Wtsi/Nxn+ (more )
Structure Level Pattern Image Note
TS28: spleen Present JAX_1801714

Specimen JAX_1801715: postnatal adult; Nxntm1b(EUCOMM)Wtsi/Nxn+ (more )
Structure Level Pattern Image Note
TS28: aorta Present JAX_1801715

Specimen JAX_1801716: postnatal adult; Nxntm1b(EUCOMM)Wtsi/Nxn+ (more )
Structure Level Pattern Image Note
TS28: lung Present JAX_1801716

Specimen JAX_1801717: postnatal adult; Nxntm1b(EUCOMM)Wtsi/Nxn+ (more )
Structure Level Pattern Image Note
TS28: skeletal muscle tissue Present JAX_1801717

Specimen JAX_1801718: postnatal adult; Nxntm1b(EUCOMM)Wtsi/Nxn+ (more )
Structure Level Pattern Image Note
TS28: pituitary gland Present JAX_1801718

Specimen JAX_1801719: postnatal adult; Nxntm1b(EUCOMM)Wtsi/Nxn+ (more )
Structure Level Pattern Image Note
TS28: spinal cord Present JAX_1801719

Specimen JAX_1801720: postnatal adult; Nxntm1b(EUCOMM)Wtsi/Nxn+ (more )
Structure Level Pattern Image Note
TS28: thymus Present JAX_1801720

Specimen JAX_1801721: postnatal adult; Nxntm1b(EUCOMM)Wtsi/Nxn+ (more )
Structure Level Pattern Image Note
TS28: testis Present JAX_1801721

Specimen JAX_1801722: postnatal adult; Nxntm1b(EUCOMM)Wtsi/Nxn+ (more )
Structure Level Pattern Image Note
TS28: skin Present JAX_1801722

Specimen JAX_1801723: postnatal adult; Nxntm1b(EUCOMM)Wtsi/Nxn+ (more )
Structure Level Pattern Image Note
TS28: metanephros Present JAX_1801723 kidney

Specimen JAX_1801724: postnatal adult; Nxntm1b(EUCOMM)Wtsi/Nxn+ (more )
Structure Level Pattern Image Note
TS28: heart Present JAX_1801724

Specimen JAX_1801725: postnatal adult; Nxntm1b(EUCOMM)Wtsi/Nxn+ (more )
Structure Level Pattern Image Note
TS28: eye Present JAX_1801725

Specimen JAX_1801726: postnatal adult; Nxntm1b(EUCOMM)Wtsi/Nxn+ (more )
Structure Level Pattern Image Note
TS28: brain Present JAX_1801726

Specimen MRC Harwell_890159: postnatal adult; Nxntm1b(EUCOMM)Wtsi/Nxn+ (more )
Structure Level Pattern Image Note
TS28: cartilage Present MRC Harwell_890159
TS28: parathyroid gland Present MRC Harwell_890159
TS28: thyroid gland Present MRC Harwell_890159
TS28: trachea Present MRC Harwell_890159

Specimen MRC Harwell_890161: postnatal adult; Nxntm1b(EUCOMM)Wtsi/Nxn+ (more )
Structure Level Pattern Image Note
TS28: brain Present MRC Harwell_890161
TS28: brainstem Present MRC Harwell_890161
TS28: cerebellum Present MRC Harwell_890161
TS28: cerebral cortex Present MRC Harwell_890161
TS28: hippocampus Present MRC Harwell_890161
TS28: hypothalamus Present MRC Harwell_890161
TS28: olfactory lobe Present MRC Harwell_890161
TS28: corpus striatum Present MRC Harwell_890161

Specimen MRC Harwell_890163: postnatal adult; Nxntm1b(EUCOMM)Wtsi/Nxn+ (more )
Structure Level Pattern Image Note
TS28: thymus Present MRC Harwell_890163

Specimen MRC Harwell_890165: postnatal adult; Nxntm1b(EUCOMM)Wtsi/Nxn+ (more )
Structure Level Pattern Image Note
TS28: Peyer's patch Present MRC Harwell_890165
TS28: small intestine Present MRC Harwell_890165

Specimen MRC Harwell_890167: postnatal adult; Nxntm1b(EUCOMM)Wtsi/Nxn+ (more )
Structure Level Pattern Image Note
TS28: brain Present MRC Harwell_890167
TS28: cerebral cortex Present MRC Harwell_890167
TS28: hippocampus Present MRC Harwell_890167
TS28: corpus striatum Present MRC Harwell_890167

Specimen MRC Harwell_890169: postnatal adult; Nxntm1b(EUCOMM)Wtsi/Nxn+ (more )
Structure Level Pattern Image Note
TS28: lower urinary tract Present MRC Harwell_890169
TS28: prostate gland Present MRC Harwell_890169

Specimen MRC Harwell_890171: postnatal adult; Nxntm1b(EUCOMM)Wtsi/Nxn+ (more )
Structure Level Pattern Image Note
TS28: oral epithelium Present MRC Harwell_890171

Specimen MRC Harwell_890173: postnatal adult; Nxntm1b(EUCOMM)Wtsi/Nxn+ (more )
Structure Level Pattern Image Note
TS28: eye Present MRC Harwell_890173

Specimen MRC Harwell_890175: postnatal adult; Nxntm1b(EUCOMM)Wtsi/Nxn+ (more )
Structure Level Pattern Image Note
TS28: gallbladder Present MRC Harwell_890175

Specimen MRC Harwell_890177: postnatal adult; Nxntm1b(EUCOMM)Wtsi/Nxn+ (more )
Structure Level Pattern Image Note
TS28: bone Ambiguous MRC Harwell_890177
TS28: cartilage Present MRC Harwell_890177
TS28: skeletal muscle tissue Present MRC Harwell_890177
TS28: vascular system Present MRC Harwell_890177

Specimen MRC Harwell_890179: postnatal adult; Nxntm1b(EUCOMM)Wtsi/Nxn+ (more )
Structure Level Pattern Image Note
TS28: spinal cord Present MRC Harwell_890179

Specimen MRC Harwell_890181: postnatal adult; Nxntm1b(EUCOMM)Wtsi/Nxn+ (more )
Structure Level Pattern Image Note
TS28: testis Present MRC Harwell_890181

Specimen MRC Harwell_890183: postnatal adult; Nxntm1b(EUCOMM)Wtsi/Nxn+ (more )
Structure Level Pattern Image Note
TS28: brain Present MRC Harwell_890183
TS28: brainstem Present MRC Harwell_890183
TS28: cerebellum Present MRC Harwell_890183
TS28: cerebral cortex Present MRC Harwell_890183
TS28: hippocampus Present MRC Harwell_890183
TS28: hypothalamus Present MRC Harwell_890183
TS28: olfactory lobe Present MRC Harwell_890183
TS28: corpus striatum Present MRC Harwell_890183

Specimen RBRC_961575: postnatal adult; Nxntm1b(EUCOMM)Wtsi/Nxn+ (more )
Structure Level Pattern Image Note
TS28: main olfactory bulb Present RBRC_961575

Specimen RBRC_961577: postnatal adult; Nxntm1b(EUCOMM)Wtsi/Nxn+ (more )
Structure Level Pattern Image Note
TS28: main olfactory bulb Present RBRC_961577

Specimen RBRC_961579: postnatal adult; Nxntm1b(EUCOMM)Wtsi/Nxn+ (more )
Structure Level Pattern Image Note
TS28: brain Present RBRC_961579

Specimen RBRC_961581: postnatal adult; Nxntm1b(EUCOMM)Wtsi/Nxn+ (more )
Structure Level Pattern Image Note
TS28: brain Present RBRC_961581

Specimen RBRC_961583: postnatal adult; Nxntm1b(EUCOMM)Wtsi/Nxn+ (more )
Structure Level Pattern Image Note
TS28: brain Present RBRC_961583

Specimen RBRC_961585: postnatal adult; Nxntm1b(EUCOMM)Wtsi/Nxn+ (more )
Structure Level Pattern Image Note
TS28: brain Present RBRC_961585

Specimen RBRC_961587: postnatal adult; Nxntm1b(EUCOMM)Wtsi/Nxn+ (more )
Structure Level Pattern Image Note
TS28: brain Present RBRC_961587

Specimen RBRC_961589: postnatal adult; Nxntm1b(EUCOMM)Wtsi/Nxn+ (more )
Structure Level Pattern Image Note
TS28: brain Present RBRC_961589

Specimen RBRC_961591: postnatal adult; Nxntm1b(EUCOMM)Wtsi/Nxn+ (more )
Structure Level Pattern Image Note
TS28: brain Present RBRC_961591

Specimen RBRC_961593: postnatal adult; Nxntm1b(EUCOMM)Wtsi/Nxn+ (more )
Structure Level Pattern Image Note
TS28: brain Present RBRC_961593

Specimen RBRC_961595: postnatal adult; Nxntm1b(EUCOMM)Wtsi/Nxn+ (more )
Structure Level Pattern Image Note
TS28: brain Present RBRC_961595

Specimen RBRC_961597: postnatal adult; Nxntm1b(EUCOMM)Wtsi/Nxn+ (more )
Structure Level Pattern Image Note
TS28: brain Present RBRC_961597

Specimen RBRC_961599: postnatal adult; Nxntm1b(EUCOMM)Wtsi/Nxn+ (more )
Structure Level Pattern Image Note
TS28: brain Present RBRC_961599

Specimen RBRC_961601: postnatal adult; Nxntm1b(EUCOMM)Wtsi/Nxn+ (more )
Structure Level Pattern Image Note
TS28: brain Present RBRC_961601

Specimen RBRC_961603: postnatal adult; Nxntm1b(EUCOMM)Wtsi/Nxn+ (more )
Structure Level Pattern Image Note
TS28: brain Present RBRC_961603

Specimen RBRC_961605: postnatal adult; Nxntm1b(EUCOMM)Wtsi/Nxn+ (more )
Structure Level Pattern Image Note
TS28: brain Present RBRC_961605

Specimen RBRC_961607: postnatal adult; Nxntm1b(EUCOMM)Wtsi/Nxn+ (more )
Structure Level Pattern Image Note
TS28: brain Present RBRC_961607

Specimen RBRC_961609: postnatal adult; Nxntm1b(EUCOMM)Wtsi/Nxn+ (more )
Structure Level Pattern Image Note
TS28: brain Present RBRC_961609

Specimen RBRC_961611: postnatal adult; Nxntm1b(EUCOMM)Wtsi/Nxn+ (more )
Structure Level Pattern Image Note
TS28: brain Present RBRC_961611

Specimen RBRC_961613: postnatal adult; Nxntm1b(EUCOMM)Wtsi/Nxn+ (more )
Structure Level Pattern Image Note
TS28: brain Present RBRC_961613

Specimen RBRC_961615: postnatal adult; Nxntm1b(EUCOMM)Wtsi/Nxn+ (more )
Structure Level Pattern Image Note
TS28: brain Present RBRC_961615

Specimen RBRC_961617: postnatal adult; Nxntm1b(EUCOMM)Wtsi/Nxn+ (more )
Structure Level Pattern Image Note
TS28: brain Present RBRC_961617

Specimen RBRC_961619: postnatal adult; Nxntm1b(EUCOMM)Wtsi/Nxn+ (more )
Structure Level Pattern Image Note
TS28: brain Present RBRC_961619

Specimen RBRC_961621: postnatal adult; Nxntm1b(EUCOMM)Wtsi/Nxn+ (more )
Structure Level Pattern Image Note
TS28: brain Present RBRC_961621

Specimen RBRC_961623: postnatal adult; Nxntm1b(EUCOMM)Wtsi/Nxn+ (more )
Structure Level Pattern Image Note
TS28: brain Present RBRC_961623

Specimen RBRC_961625: postnatal adult; Nxntm1b(EUCOMM)Wtsi/Nxn+ (more )
Structure Level Pattern Image Note
TS28: brain Present RBRC_961625

Specimen RBRC_961627: postnatal adult; Nxntm1b(EUCOMM)Wtsi/Nxn+ (more )
Structure Level Pattern Image Note
TS28: brain Present RBRC_961627

Specimen RBRC_961629: postnatal adult; Nxntm1b(EUCOMM)Wtsi/Nxn+ (more )
Structure Level Pattern Image Note
TS28: brain Present RBRC_961629

Specimen RBRC_961631: postnatal adult; Nxntm1b(EUCOMM)Wtsi/Nxn+ (more )
Structure Level Pattern Image Note
TS28: brain Present RBRC_961631

Specimen RBRC_961633: postnatal adult; Nxntm1b(EUCOMM)Wtsi/Nxn+ (more )
Structure Level Pattern Image Note
TS28: brain Present RBRC_961633

Specimen RBRC_961635: postnatal adult; Nxntm1b(EUCOMM)Wtsi/Nxn+ (more )
Structure Level Pattern Image Note
TS28: brain Present RBRC_961635

Specimen RBRC_961637: postnatal adult; Nxntm1b(EUCOMM)Wtsi/Nxn+ (more )
Structure Level Pattern Image Note
TS28: pituitary gland Present RBRC_961637
TS28: trigeminal nerve Present RBRC_961637

Specimen RBRC_961639: postnatal adult; Nxntm1b(EUCOMM)Wtsi/Nxn+ (more )
Structure Level Pattern Image Note
TS28: pituitary gland Present RBRC_961639

Specimen RBRC_961641: postnatal adult; Nxntm1b(EUCOMM)Wtsi/Nxn+ (more )
Structure Level Pattern Image Note
TS28: thoracic segment skeleton Present RBRC_961641 chest bone

Specimen RBRC_961643: postnatal adult; Nxntm1b(EUCOMM)Wtsi/Nxn+ (more )
Structure Level Pattern Image Note
TS28: thoracic segment skeleton Present RBRC_961643 chest bone

Specimen RBRC_961645: postnatal adult; Nxntm1b(EUCOMM)Wtsi/Nxn+ (more )
Structure Level Pattern Image Note
TS28: Harderian gland Present RBRC_961645

Specimen RBRC_961647: postnatal adult; Nxntm1b(EUCOMM)Wtsi/Nxn+ (more )
Structure Level Pattern Image Note
TS28: Harderian gland Present RBRC_961647

Specimen RBRC_961649: postnatal adult; Nxntm1b(EUCOMM)Wtsi/Nxn+ (more )
Structure Level Pattern Image Note
TS28: eye Present RBRC_961649

Specimen RBRC_961651: postnatal adult; Nxntm1b(EUCOMM)Wtsi/Nxn+ (more )
Structure Level Pattern Image Note
TS28: eye Present RBRC_961651

Specimen RBRC_961653: postnatal adult; Nxntm1b(EUCOMM)Wtsi/Nxn+ (more )
Structure Level Pattern Image Note
TS28: sublingual gland Present RBRC_961653
TS28: submandibular gland Ambiguous RBRC_961653

Specimen RBRC_961655: postnatal adult; Nxntm1b(EUCOMM)Wtsi/Nxn+ (more )
Structure Level Pattern Image Note
TS28: parotid gland Present RBRC_961655

Specimen RBRC_961657: postnatal adult; Nxntm1b(EUCOMM)Wtsi/Nxn+ (more )
Structure Level Pattern Image Note
TS28: thyroid gland Ambiguous RBRC_961657

Specimen RBRC_961659: postnatal adult; Nxntm1b(EUCOMM)Wtsi/Nxn+ (more )
Structure Level Pattern Image Note
TS28: trachea Present RBRC_961659

Specimen RBRC_961661: postnatal adult; Nxntm1b(EUCOMM)Wtsi/Nxn+ (more )
Structure Level Pattern Image Note
TS28: lung Present RBRC_961661

Specimen RBRC_961663: postnatal adult; Nxntm1b(EUCOMM)Wtsi/Nxn+ (more )
Structure Level Pattern Image Note
TS28: lung Present RBRC_961663

Specimen RBRC_961665: postnatal adult; Nxntm1b(EUCOMM)Wtsi/Nxn+ (more )
Structure Level Pattern Image Note
TS28: lung Present RBRC_961665

Specimen RBRC_961667: postnatal adult; Nxntm1b(EUCOMM)Wtsi/Nxn+ (more )
Structure Level Pattern Image Note
TS28: tongue Present RBRC_961667

Specimen RBRC_961669: postnatal adult; Nxntm1b(EUCOMM)Wtsi/Nxn+ (more )
Structure Level Pattern Image Note
TS28: tongue Present RBRC_961669

Specimen RBRC_961671: postnatal adult; Nxntm1b(EUCOMM)Wtsi/Nxn+ (more )
Structure Level Pattern Image Note
TS28: tongue Present RBRC_961671

Specimen RBRC_961673: postnatal adult; Nxntm1b(EUCOMM)Wtsi/Nxn+ (more )
Structure Level Pattern Image Note
TS28: esophagus Present RBRC_961673

Specimen RBRC_961675: postnatal adult; Nxntm1b(EUCOMM)Wtsi/Nxn+ (more )
Structure Level Pattern Image Note
TS28: esophagus Present RBRC_961675

Specimen RBRC_961677: postnatal adult; Nxntm1b(EUCOMM)Wtsi/Nxn+ (more )
Structure Level Pattern Image Note
TS28: aorta Present RBRC_961677

Specimen RBRC_961679: postnatal adult; Nxntm1b(EUCOMM)Wtsi/Nxn+ (more )
Structure Level Pattern Image Note
TS28: thymus Ambiguous RBRC_961679

Specimen RBRC_961681: postnatal adult; Nxntm1b(EUCOMM)Wtsi/Nxn+ (more )
Structure Level Pattern Image Note
TS28: heart Present RBRC_961681

Specimen RBRC_961683: postnatal adult; Nxntm1b(EUCOMM)Wtsi/Nxn+ (more )
Structure Level Pattern Image Note
TS28: heart Present RBRC_961683

Specimen RBRC_961685: postnatal adult; Nxntm1b(EUCOMM)Wtsi/Nxn+ (more )
Structure Level Pattern Image Note
TS28: diaphragm Present RBRC_961685

Specimen RBRC_961687: postnatal adult; Nxntm1b(EUCOMM)Wtsi/Nxn+ (more )
Structure Level Pattern Image Note
TS28: gallbladder Present RBRC_961687

Specimen RBRC_961689: postnatal adult; Nxntm1b(EUCOMM)Wtsi/Nxn+ (more )
Structure Level Pattern Image Note
TS28: liver Ambiguous RBRC_961689

Specimen RBRC_961691: postnatal adult; Nxntm1b(EUCOMM)Wtsi/Nxn+ (more )
Structure Level Pattern Image Note
TS28: liver Ambiguous RBRC_961691

Specimen RBRC_961693: postnatal adult; Nxntm1b(EUCOMM)Wtsi/Nxn+ (more )
Structure Level Pattern Image Note
TS28: spleen Ambiguous RBRC_961693

Specimen RBRC_961695: postnatal adult; Nxntm1b(EUCOMM)Wtsi/Nxn+ (more )
Structure Level Pattern Image Note
TS28: pancreas Absent RBRC_961695

Specimen RBRC_961697: postnatal adult; Nxntm1b(EUCOMM)Wtsi/Nxn+ (more )
Structure Level Pattern Image Note
TS28: mesenteric adipose tissue Present RBRC_961697

Specimen RBRC_961699: postnatal adult; Nxntm1b(EUCOMM)Wtsi/Nxn+ (more )
Structure Level Pattern Image Note
TS28: mesenteric lymph node Ambiguous RBRC_961699

Specimen RBRC_961701: postnatal adult; Nxntm1b(EUCOMM)Wtsi/Nxn+ (more )
Structure Level Pattern Image Note
TS28: adrenal gland Present RBRC_961701

Specimen RBRC_961703: postnatal adult; Nxntm1b(EUCOMM)Wtsi/Nxn+ (more )
Structure Level Pattern Image Note
TS28: adrenal gland Present RBRC_961703

Specimen RBRC_961705: postnatal adult; Nxntm1b(EUCOMM)Wtsi/Nxn+ (more )
Structure Level Pattern Image Note
TS28: metanephros Present RBRC_961705 kidney

Specimen RBRC_961707: postnatal adult; Nxntm1b(EUCOMM)Wtsi/Nxn+ (more )
Structure Level Pattern Image Note
TS28: metanephros Present RBRC_961707 kidney

Specimen RBRC_961709: postnatal adult; Nxntm1b(EUCOMM)Wtsi/Nxn+ (more )
Structure Level Pattern Image Note
TS28: metanephros Present RBRC_961709 kidney

Specimen RBRC_961711: postnatal adult; Nxntm1b(EUCOMM)Wtsi/Nxn+ (more )
Structure Level Pattern Image Note
TS28: metanephros Present RBRC_961711 kidney

Specimen RBRC_961713: postnatal adult; Nxntm1b(EUCOMM)Wtsi/Nxn+ (more )
Structure Level Pattern Image Note
TS28: metanephros Present RBRC_961713 kidney

Specimen RBRC_961715: postnatal adult; Nxntm1b(EUCOMM)Wtsi/Nxn+ (more )
Structure Level Pattern Image Note
TS28: metanephros Present RBRC_961715 kidney

Specimen RBRC_961717: postnatal adult; Nxntm1b(EUCOMM)Wtsi/Nxn+ (more )
Structure Level Pattern Image Note
TS28: metanephros Present RBRC_961717 kidney

Specimen RBRC_961719: postnatal adult; Nxntm1b(EUCOMM)Wtsi/Nxn+ (more )
Structure Level Pattern Image Note
TS28: metanephros Present RBRC_961719 kidney

Specimen RBRC_961721: postnatal adult; Nxntm1b(EUCOMM)Wtsi/Nxn+ (more )
Structure Level Pattern Image Note
TS28: metanephros Present RBRC_961721 kidney

Specimen RBRC_961723: postnatal adult; Nxntm1b(EUCOMM)Wtsi/Nxn+ (more )
Structure Level Pattern Image Note
TS28: stomach Present RBRC_961723

Specimen RBRC_961725: postnatal adult; Nxntm1b(EUCOMM)Wtsi/Nxn+ (more )
Structure Level Pattern Image Note
TS28: stomach Present RBRC_961725

Specimen RBRC_961727: postnatal adult; Nxntm1b(EUCOMM)Wtsi/Nxn+ (more )
Structure Level Pattern Image Note
TS28: stomach Present RBRC_961727

Specimen RBRC_961729: postnatal adult; Nxntm1b(EUCOMM)Wtsi/Nxn+ (more )
Structure Level Pattern Image Note
TS28: stomach Present RBRC_961729

Specimen RBRC_961731: postnatal adult; Nxntm1b(EUCOMM)Wtsi/Nxn+ (more )
Structure Level Pattern Image Note
TS28: stomach Present RBRC_961731

Specimen RBRC_961733: postnatal adult; Nxntm1b(EUCOMM)Wtsi/Nxn+ (more )
Structure Level Pattern Image Note
TS28: duodenum Present RBRC_961733

Specimen RBRC_961735: postnatal adult; Nxntm1b(EUCOMM)Wtsi/Nxn+ (more )
Structure Level Pattern Image Note
TS28: duodenum Present RBRC_961735

Specimen RBRC_961737: postnatal adult; Nxntm1b(EUCOMM)Wtsi/Nxn+ (more )
Structure Level Pattern Image Note
TS28: jejunum Present RBRC_961737

Specimen RBRC_961739: postnatal adult; Nxntm1b(EUCOMM)Wtsi/Nxn+ (more )
Structure Level Pattern Image Note
TS28: jejunum Present RBRC_961739

Specimen RBRC_961741: postnatal adult; Nxntm1b(EUCOMM)Wtsi/Nxn+ (more )
Structure Level Pattern Image Note
TS28: ileum Present RBRC_961741

Specimen RBRC_961743: postnatal adult; Nxntm1b(EUCOMM)Wtsi/Nxn+ (more )
Structure Level Pattern Image Note
TS28: ileum Present RBRC_961743

Specimen RBRC_961745: postnatal adult; Nxntm1b(EUCOMM)Wtsi/Nxn+ (more )
Structure Level Pattern Image Note
TS28: cecum Present RBRC_961745

Specimen RBRC_961747: postnatal adult; Nxntm1b(EUCOMM)Wtsi/Nxn+ (more )
Structure Level Pattern Image Note
TS28: cecum Present RBRC_961747

Specimen RBRC_961749: postnatal adult; Nxntm1b(EUCOMM)Wtsi/Nxn+ (more )
Structure Level Pattern Image Note
TS28: large intestine Present RBRC_961749

Specimen RBRC_961751: postnatal adult; Nxntm1b(EUCOMM)Wtsi/Nxn+ (more )
Structure Level Pattern Image Note
TS28: large intestine Present RBRC_961751

Specimen RBRC_961753: postnatal adult; Nxntm1b(EUCOMM)Wtsi/Nxn+ (more )
Structure Level Pattern Image Note
TS28: sciatic nerve Present RBRC_961753

Specimen RBRC_961755: postnatal adult; Nxntm1b(EUCOMM)Wtsi/Nxn+ (more )
Structure Level Pattern Image Note
TS28: lymph node Ambiguous RBRC_961755

Specimen RBRC_961757: postnatal adult; Nxntm1b(EUCOMM)Wtsi/Nxn+ (more )
Structure Level Pattern Image Note
TS28: skin Present RBRC_961757

Specimen RBRC_961759: postnatal adult; Nxntm1b(EUCOMM)Wtsi/Nxn+ (more )
Structure Level Pattern Image Note
TS28: bone Ambiguous RBRC_961759

Specimen RBRC_961761: postnatal adult; Nxntm1b(EUCOMM)Wtsi/Nxn+ (more )
Structure Level Pattern Image Note
TS28: bone Ambiguous RBRC_961761

Specimen RBRC_961763: postnatal adult; Nxntm1b(EUCOMM)Wtsi/Nxn+ (more )
Structure Level Pattern Image Note
TS28: quadriceps femoris muscle Present RBRC_961763

Specimen RBRC_961765: postnatal adult; Nxntm1b(EUCOMM)Wtsi/Nxn+ (more )
Structure Level Pattern Image Note
TS28: brown fat Absent RBRC_961765

Specimen RBRC_961767: postnatal adult; Nxntm1b(EUCOMM)Wtsi/Nxn+ (more )
Structure Level Pattern Image Note
TS28: bladder Present RBRC_961767

Specimen RBRC_961769: postnatal adult; Nxntm1b(EUCOMM)Wtsi/Nxn+ (more )
Structure Level Pattern Image Note
TS28: bladder Present RBRC_961769

Specimen RBRC_961771: postnatal adult; Nxntm1b(EUCOMM)Wtsi/Nxn+ (more )
Structure Level Pattern Image Note
TS28: bladder Present RBRC_961771

Specimen RBRC_961773: postnatal adult; Nxntm1b(EUCOMM)Wtsi/Nxn+ (more )
Structure Level Pattern Image Note
TS28: penis Present RBRC_961773

Specimen RBRC_961775: postnatal adult; Nxntm1b(EUCOMM)Wtsi/Nxn+ (more )
Structure Level Pattern Image Note
TS28: epididymis Ambiguous RBRC_961775
TS28: testis Present RBRC_961775

Specimen RBRC_961777: postnatal adult; Nxntm1b(EUCOMM)Wtsi/Nxn+ (more )
Structure Level Pattern Image Note
TS28: testis Present RBRC_961777

Specimen RBRC_961779: postnatal adult; Nxntm1b(EUCOMM)Wtsi/Nxn+ (more )
Structure Level Pattern Image Note
TS28: testis Present RBRC_961779

Specimen RBRC_961781: postnatal adult; Nxntm1b(EUCOMM)Wtsi/Nxn+ (more )
Structure Level Pattern Image Note
TS28: testis Present RBRC_961781

Specimen RBRC_961783: postnatal adult; Nxntm1b(EUCOMM)Wtsi/Nxn+ (more )
Structure Level Pattern Image Note
TS28: seminal vesicle Present RBRC_961783 vesicular gland

Specimen RBRC_961785: postnatal adult; Nxntm1b(EUCOMM)Wtsi/Nxn+ (more )
Structure Level Pattern Image Note
TS28: seminal vesicle Present RBRC_961785 vesicular gland

Specimen RBRC_961787: postnatal adult; Nxntm1b(EUCOMM)Wtsi/Nxn+ (more )
Structure Level Pattern Image Note
TS28: prostate gland Present RBRC_961787

Specimen RBRC_961789: postnatal adult; Nxntm1b(EUCOMM)Wtsi/Nxn+ (more )
Structure Level Pattern Image Note
TS28: spinal cord Present RBRC_961789

Specimen RBRC_961791: postnatal adult; Nxntm1b(EUCOMM)Wtsi/Nxn+ (more )
Structure Level Pattern Image Note
TS28: spinal cord Present RBRC_961791

Specimen RBRC_961793: postnatal adult; Nxntm1b(EUCOMM)Wtsi/Nxn+ (more )
Structure Level Pattern Image Note
TS28: spinal cord Present RBRC_961793

Specimen RBRC_961795: postnatal adult; Nxntm1b(EUCOMM)Wtsi/Nxn+ (more )
Structure Level Pattern Image Note
TS28: spinal cord Present RBRC_961795

Specimen TCP_2460198: postnatal adult; Nxntm1b(EUCOMM)Wtsi/Nxn+ (more )
Structure Level Pattern Image Note
TS28: brain Present TCP_2460198

Specimen TCP_2460199: postnatal adult; Nxntm1b(EUCOMM)Wtsi/Nxn+ (more )
Structure Level Pattern Image Note
TS28: brain Present TCP_2460199

Specimen TCP_2460200: postnatal adult; Nxntm1b(EUCOMM)Wtsi/Nxn+ (more )
Structure Level Pattern Image Note
TS28: brainstem Present TCP_2460200

Specimen TCP_2460201: postnatal adult; Nxntm1b(EUCOMM)Wtsi/Nxn+ (more )
Structure Level Pattern Image Note
TS28: cerebellum Absent TCP_2460201

Specimen TCP_2460202: postnatal adult; Nxntm1b(EUCOMM)Wtsi/Nxn+ (more )
Structure Level Pattern Image Note
TS28: cerebellum Absent TCP_2460202

Specimen TCP_2460203: postnatal adult; Nxntm1b(EUCOMM)Wtsi/Nxn+ (more )
Structure Level Pattern Image Note
TS28: eye Present TCP_2460203

Specimen TCP_2460204: postnatal adult; Nxntm1b(EUCOMM)Wtsi/Nxn+ (more )
Structure Level Pattern Image Note
TS28: eye Present TCP_2460204

Specimen TCP_2460205: postnatal adult; Nxntm1b(EUCOMM)Wtsi/Nxn+ (more )
Structure Level Pattern Image Note
TS28: heart Absent TCP_2460205

Specimen TCP_2460206: postnatal adult; Nxntm1b(EUCOMM)Wtsi/Nxn+ (more )
Structure Level Pattern Image Note
TS28: heart Absent TCP_2460206

Specimen TCP_2460207: postnatal adult; Nxntm1b(EUCOMM)Wtsi/Nxn+ (more )
Structure Level Pattern Image Note
TS28: skin Present TCP_2460207

Specimen TCP_2460208: postnatal adult; Nxntm1b(EUCOMM)Wtsi/Nxn+ (more )
Structure Level Pattern Image Note
TS28: spleen Present TCP_2460208

Specimen TCP_2460209: postnatal adult; Nxntm1b(EUCOMM)Wtsi/Nxn+ (more )
Structure Level Pattern Image Note
TS28: spleen Present TCP_2460209


Contributing Projects:
Mouse Genome Database (MGD), Gene Expression Database (GXD), Mouse Models of Human Cancer database (MMHCdb) (formerly Mouse Tumor Biology (MTB)), Gene Ontology (GO)
Citing These Resources
Funding Information
Warranty Disclaimer, Privacy Notice, Licensing, & Copyright
Send questions and comments to User Support.
last database update
03/24/2026
MGI 6.24
The Jackson Laboratory