About   Help   FAQ
Gene Expression Data
Assay Details
Assay
Reference: J:228563 Koscielny G, et al., The International Mouse Phenotyping Consortium Web Portal, a unified point of access for knockout mice and related phenotyping data. Nucleic Acids Res. 2014 Jan;42(Database issue):D802-9
Assay type: In situ reporter (knock in)
MGI Accession ID: MGI:6691141
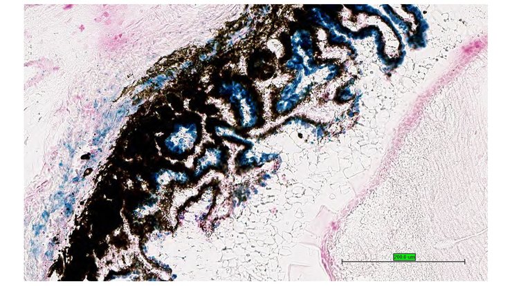
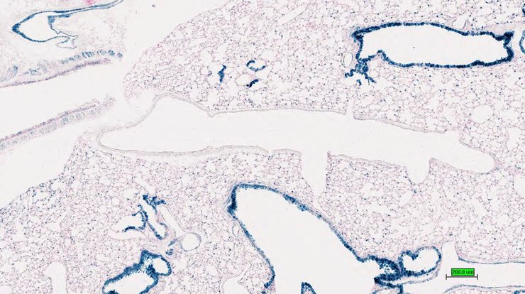
Gene symbol: Fzd5
Gene name: frizzled class receptor 5
Reporter: lacZ
Direct Detection
Results
Specimen UC Davis_1883355: postnatal adult; Fzd5tm1.1(KOMP)Vlcg/Fzd5+ (more )
Structure Level Pattern Image Note
TS28: submandibular gland Present UC Davis_1883355

Specimen UC Davis_1883356: postnatal adult; Fzd5tm1.1(KOMP)Vlcg/Fzd5+ (more )
Structure Level Pattern Image Note
TS28: sublingual gland Present UC Davis_1883356

Specimen UC Davis_1883357: postnatal adult; Fzd5tm1.1(KOMP)Vlcg/Fzd5+ (more )
Structure Level Pattern Image Note
TS28: sublingual gland Present UC Davis_1883357

Specimen UC Davis_1883358: postnatal adult; Fzd5tm1.1(KOMP)Vlcg/Fzd5+ (more )
Structure Level Pattern Image Note
TS28: parotid gland Present UC Davis_1883358

Specimen UC Davis_1883359: postnatal adult; Fzd5tm1.1(KOMP)Vlcg/Fzd5+ (more )
Structure Level Pattern Image Note
TS28: trachea Present UC Davis_1883359

Specimen UC Davis_1883360: postnatal adult; Fzd5tm1.1(KOMP)Vlcg/Fzd5+ (more )
Structure Level Pattern Image Note
TS28: trachea Present UC Davis_1883360

Specimen UC Davis_1883361: postnatal adult; Fzd5tm1.1(KOMP)Vlcg/Fzd5+ (more )
Structure Level Pattern Image Note
TS28: trachea Present UC Davis_1883361

Specimen UC Davis_1883362: postnatal adult; Fzd5tm1.1(KOMP)Vlcg/Fzd5+ (more )
Structure Level Pattern Image Note
TS28: esophagus Present UC Davis_1883362

Specimen UC Davis_1883363: postnatal adult; Fzd5tm1.1(KOMP)Vlcg/Fzd5+ (more )
Structure Level Pattern Image Note
TS28: thyroid gland Present UC Davis_1883363

Specimen UC Davis_1883367: postnatal adult; Fzd5tm1.1(KOMP)Vlcg/Fzd5+ (more )
Structure Level Pattern Image Note
TS28: aorta Present UC Davis_1883367

Specimen UC Davis_1883368: postnatal adult; Fzd5tm1.1(KOMP)Vlcg/Fzd5+ (more )
Structure Level Pattern Image Note
TS28: lung Present UC Davis_1883368

Specimen UC Davis_1883369: postnatal adult; Fzd5tm1.1(KOMP)Vlcg/Fzd5+ (more )
Structure Level Pattern Image Note
TS28: lung Present UC Davis_1883369

Specimen UC Davis_1883370: postnatal adult; Fzd5tm1.1(KOMP)Vlcg/Fzd5+ (more )
Structure Level Pattern Image Note
TS28: lung Present UC Davis_1883370

Specimen UC Davis_1883371: postnatal adult; Fzd5tm1.1(KOMP)Vlcg/Fzd5+ (more )
Structure Level Pattern Image Note
TS28: lung Present UC Davis_1883371

Specimen UC Davis_1883374: postnatal adult; Fzd5tm1.1(KOMP)Vlcg/Fzd5+ (more )
Structure Level Pattern Image Note
TS28: stomach Present UC Davis_1883374

Specimen UC Davis_1883375: postnatal adult; Fzd5tm1.1(KOMP)Vlcg/Fzd5+ (more )
Structure Level Pattern Image Note
TS28: stomach Present UC Davis_1883375

Specimen UC Davis_1883376: postnatal adult; Fzd5tm1.1(KOMP)Vlcg/Fzd5+ (more )
Structure Level Pattern Image Note
TS28: stomach Present UC Davis_1883376

Specimen UC Davis_1883377: postnatal adult; Fzd5tm1.1(KOMP)Vlcg/Fzd5+ (more )
Structure Level Pattern Image Note
TS28: duodenum Present UC Davis_1883377

Specimen UC Davis_1883378: postnatal adult; Fzd5tm1.1(KOMP)Vlcg/Fzd5+ (more )
Structure Level Pattern Image Note
TS28: duodenum Present UC Davis_1883378

Specimen UC Davis_1883379: postnatal adult; Fzd5tm1.1(KOMP)Vlcg/Fzd5+ (more )
Structure Level Pattern Image Note
TS28: jejunum Present UC Davis_1883379

Specimen UC Davis_1883380: postnatal adult; Fzd5tm1.1(KOMP)Vlcg/Fzd5+ (more )
Structure Level Pattern Image Note
TS28: ileum Present UC Davis_1883380

Specimen UC Davis_1883381: postnatal adult; Fzd5tm1.1(KOMP)Vlcg/Fzd5+ (more )
Structure Level Pattern Image Note
TS28: ileum Present UC Davis_1883381

Specimen UC Davis_1883382: postnatal adult; Fzd5tm1.1(KOMP)Vlcg/Fzd5+ (more )
Structure Level Pattern Image Note
TS28: colon Present UC Davis_1883382

Specimen UC Davis_1883383: postnatal adult; Fzd5tm1.1(KOMP)Vlcg/Fzd5+ (more )
Structure Level Pattern Image Note
TS28: cecum Present UC Davis_1883383

Specimen UC Davis_1883384: postnatal adult; Fzd5tm1.1(KOMP)Vlcg/Fzd5+ (more )
Structure Level Pattern Image Note
TS28: spleen Present UC Davis_1883384

Specimen UC Davis_1883385: postnatal adult; Fzd5tm1.1(KOMP)Vlcg/Fzd5+ (more )
Structure Level Pattern Image Note
TS28: spleen Present UC Davis_1883385

Specimen UC Davis_1883386: postnatal adult; Fzd5tm1.1(KOMP)Vlcg/Fzd5+ (more )
Structure Level Pattern Image Note
TS28: spleen Present UC Davis_1883386

Specimen UC Davis_1883387: postnatal adult; Fzd5tm1.1(KOMP)Vlcg/Fzd5+ (more )
Structure Level Pattern Image Note
TS28: pancreas Present UC Davis_1883387

Specimen UC Davis_1883388: postnatal adult; Fzd5tm1.1(KOMP)Vlcg/Fzd5+ (more )
Structure Level Pattern Image Note
TS28: pancreas Present UC Davis_1883388

Specimen UC Davis_1883389: postnatal adult; Fzd5tm1.1(KOMP)Vlcg/Fzd5+ (more )
Structure Level Pattern Image Note
TS28: pancreas Present UC Davis_1883389

Specimen UC Davis_1883390: postnatal adult; Fzd5tm1.1(KOMP)Vlcg/Fzd5+ (more )
Structure Level Pattern Image Note
TS28: metanephros Present UC Davis_1883390 kidney

Specimen UC Davis_1883391: postnatal adult; Fzd5tm1.1(KOMP)Vlcg/Fzd5+ (more )
Structure Level Pattern Image Note
TS28: metanephros Present UC Davis_1883391 kidney

Specimen UC Davis_1883392: postnatal adult; Fzd5tm1.1(KOMP)Vlcg/Fzd5+ (more )
Structure Level Pattern Image Note
TS28: quadriceps femoris muscle Present UC Davis_1883392

Specimen UC Davis_1883393: postnatal adult; Fzd5tm1.1(KOMP)Vlcg/Fzd5+ (more )
Structure Level Pattern Image Note
TS28: quadriceps femoris muscle Present UC Davis_1883393

Specimen UC Davis_1883394: postnatal adult; Fzd5tm1.1(KOMP)Vlcg/Fzd5+ (more )
Structure Level Pattern Image Note
TS28: tongue Present UC Davis_1883394

Specimen UC Davis_1883395: postnatal adult; Fzd5tm1.1(KOMP)Vlcg/Fzd5+ (more )
Structure Level Pattern Image Note
TS28: tongue Present UC Davis_1883395

Specimen UC Davis_1883396: postnatal adult; Fzd5tm1.1(KOMP)Vlcg/Fzd5+ (more )
Structure Level Pattern Image Note
TS28: adrenal gland Present UC Davis_1883396

Specimen UC Davis_1883397: postnatal adult; Fzd5tm1.1(KOMP)Vlcg/Fzd5+ (more )
Structure Level Pattern Image Note
TS28: adrenal gland Present UC Davis_1883397

Specimen UC Davis_1883398: postnatal adult; Fzd5tm1.1(KOMP)Vlcg/Fzd5+ (more )
Structure Level Pattern Image Note
TS28: adrenal gland Present UC Davis_1883398

Specimen UC Davis_1883399: postnatal adult; Fzd5tm1.1(KOMP)Vlcg/Fzd5+ (more )
Structure Level Pattern Image Note
TS28: pituitary gland Present UC Davis_1883399

Specimen UC Davis_1883400: postnatal adult; Fzd5tm1.1(KOMP)Vlcg/Fzd5+ (more )
Structure Level Pattern Image Note
TS28: pituitary gland Present UC Davis_1883400

Specimen UC Davis_1883401: postnatal adult; Fzd5tm1.1(KOMP)Vlcg/Fzd5+ (more )
Structure Level Pattern Image Note
TS28: spinal cord Absent UC Davis_1883401

Specimen UC Davis_1883402: postnatal adult; Fzd5tm1.1(KOMP)Vlcg/Fzd5+ (more )
Structure Level Pattern Image Note
TS28: spinal cord Absent UC Davis_1883402

Specimen UC Davis_1883403: postnatal adult; Fzd5tm1.1(KOMP)Vlcg/Fzd5+ (more )
Structure Level Pattern Image Note
TS28: eye Present UC Davis_1883403

Specimen UC Davis_1883404: postnatal adult; Fzd5tm1.1(KOMP)Vlcg/Fzd5+ (more )
Structure Level Pattern Image Note
TS28: eye Present UC Davis_1883404

Specimen UC Davis_1883405: postnatal adult; Fzd5tm1.1(KOMP)Vlcg/Fzd5+ (more )
Structure Level Pattern Image Note
TS28: eye Present UC Davis_1883405

Specimen UC Davis_1883407: postnatal adult; Fzd5tm1.1(KOMP)Vlcg/Fzd5+ (more )
Structure Level Pattern Image Note
TS28: Harderian gland Present UC Davis_1883407

Specimen UC Davis_1883408: postnatal adult; Fzd5tm1.1(KOMP)Vlcg/Fzd5+ (more )
Structure Level Pattern Image Note
TS28: Harderian gland Present UC Davis_1883408

Specimen UC Davis_1883409: postnatal adult; Fzd5tm1.1(KOMP)Vlcg/Fzd5+ (more )
Structure Level Pattern Image Note
TS28: skin Present UC Davis_1883409

Specimen UC Davis_1883410: postnatal adult; Fzd5tm1.1(KOMP)Vlcg/Fzd5+ (more )
Structure Level Pattern Image Note
TS28: skin Present UC Davis_1883410

Specimen UC Davis_1883411: postnatal adult; Fzd5tm1.1(KOMP)Vlcg/Fzd5+ (more )
Structure Level Pattern Image Note
TS28: skin Present UC Davis_1883411

Specimen UC Davis_1883412: postnatal adult; Fzd5tm1.1(KOMP)Vlcg/Fzd5+ (more )
Structure Level Pattern Image Note
TS28: olfactory lobe Present UC Davis_1883412

Specimen UC Davis_1883415: postnatal adult; Fzd5tm1.1(KOMP)Vlcg/Fzd5+ (more )
Structure Level Pattern Image Note
TS28: midbrain Present UC Davis_1883415

Specimen UC Davis_1883416: postnatal adult; Fzd5tm1.1(KOMP)Vlcg/Fzd5+ (more )
Structure Level Pattern Image Note
TS28: midbrain Present UC Davis_1883416

Specimen UC Davis_1883418: postnatal adult; Fzd5tm1.1(KOMP)Vlcg/Fzd5+ (more )
Structure Level Pattern Image Note
TS28: cerebellum Present UC Davis_1883418

Specimen UC Davis_1883419: postnatal adult; Fzd5tm1.1(KOMP)Vlcg/Fzd5+ (more )
Structure Level Pattern Image Note
TS28: bladder Present UC Davis_1883419

Specimen UC Davis_1883420: postnatal adult; Fzd5tm1.1(KOMP)Vlcg/Fzd5+ (more )
Structure Level Pattern Image Note
TS28: bladder Present UC Davis_1883420

Specimen UC Davis_1883421: postnatal adult; Fzd5tm1.1(KOMP)Vlcg/Fzd5+ (more )
Structure Level Pattern Image Note
TS28: testis Present UC Davis_1883421

Specimen UC Davis_1883422: postnatal adult; Fzd5tm1.1(KOMP)Vlcg/Fzd5+ (more )
Structure Level Pattern Image Note
TS28: testis Present UC Davis_1883422

Specimen UC Davis_1883423: postnatal adult; Fzd5tm1.1(KOMP)Vlcg/Fzd5+ (more )
Structure Level Pattern Image Note
TS28: testis Present UC Davis_1883423

Specimen UC Davis_1883424: postnatal adult; Fzd5tm1.1(KOMP)Vlcg/Fzd5+ (more )
Structure Level Pattern Image Note
TS28: epididymis Present UC Davis_1883424

Specimen UC Davis_1883425: postnatal adult; Fzd5tm1.1(KOMP)Vlcg/Fzd5+ (more )
Structure Level Pattern Image Note
TS28: epididymis Present UC Davis_1883425

Specimen UC Davis_1883426: postnatal adult; Fzd5tm1.1(KOMP)Vlcg/Fzd5+ (more )
Structure Level Pattern Image Note
TS28: epididymis Present UC Davis_1883426

Specimen UC Davis_1883427: postnatal adult; Fzd5tm1.1(KOMP)Vlcg/Fzd5+ (more )
Structure Level Pattern Image Note
TS28: penis Present UC Davis_1883427

Specimen UC Davis_1883428: postnatal adult; Fzd5tm1.1(KOMP)Vlcg/Fzd5+ (more )
Structure Level Pattern Image Note
TS28: penis Present UC Davis_1883428

Specimen UC Davis_1883429: postnatal adult; Fzd5tm1.1(KOMP)Vlcg/Fzd5+ (more )
Structure Level Pattern Image Note
TS28: penis Present UC Davis_1883429

Specimen UC Davis_1883430: postnatal adult; Fzd5tm1.1(KOMP)Vlcg/Fzd5+ (more )
Structure Level Pattern Image Note
TS28: bone marrow Present UC Davis_1883430

Specimen UC Davis_1883431: postnatal adult; Fzd5tm1.1(KOMP)Vlcg/Fzd5+ (more )
Structure Level Pattern Image Note
TS28: bone marrow Present UC Davis_1883431

Specimen UC Davis_1883436: postnatal adult; Fzd5tm1.1(KOMP)Vlcg/Fzd5+ (more )
Structure Level Pattern Image Note
TS28: seminal vesicle Present UC Davis_1883436 vesicular gland

Specimen UC Davis_1883437: postnatal adult; Fzd5tm1.1(KOMP)Vlcg/Fzd5+ (more )
Structure Level Pattern Image Note
TS28: seminal vesicle Present UC Davis_1883437 vesicular gland

Specimen UC Davis_1883438: postnatal adult; Fzd5tm1.1(KOMP)Vlcg/Fzd5+ (more )
Structure Level Pattern Image Note
TS28: seminal vesicle Present UC Davis_1883438 vesicular gland


Contributing Projects:
Mouse Genome Database (MGD), Gene Expression Database (GXD), Mouse Models of Human Cancer database (MMHCdb) (formerly Mouse Tumor Biology (MTB)), Gene Ontology (GO)
Citing These Resources
Funding Information
Warranty Disclaimer, Privacy Notice, Licensing, & Copyright
Send questions and comments to User Support.
last database update
01/20/2026
MGI 6.24
The Jackson Laboratory