About   Help   FAQ
Gene Expression Data
Assay Details
Assay
Reference: J:228563 Koscielny G, et al., The International Mouse Phenotyping Consortium Web Portal, a unified point of access for knockout mice and related phenotyping data. Nucleic Acids Res. 2014 Jan;42(Database issue):D802-9
Assay type: In situ reporter (knock in)
MGI Accession ID: MGI:6691139
Gene symbol: Fzd4
Gene name: frizzled class receptor 4
Reporter: lacZ
Direct Detection
Results
Specimen TCP_2460564: postnatal adult; Fzd4tm1.1(KOMP)Vlcg/Fzd4+ (more )
Structure Level Pattern Image Note
TS28: aorta Present TCP_2460564

Specimen TCP_2460565: postnatal adult; Fzd4tm1.1(KOMP)Vlcg/Fzd4+ (more )
Structure Level Pattern Image Note
TS28: brain Present TCP_2460565

Specimen TCP_2460566: postnatal adult; Fzd4tm1.1(KOMP)Vlcg/Fzd4+ (more )
Structure Level Pattern Image Note
TS28: brain Present TCP_2460566

Specimen TCP_2460567: postnatal adult; Fzd4tm1.1(KOMP)Vlcg/Fzd4+ (more )
Structure Level Pattern Image Note
TS28: cerebellum Present TCP_2460567

Specimen TCP_2460568: postnatal adult; Fzd4tm1.1(KOMP)Vlcg/Fzd4+ (more )
Structure Level Pattern Image Note
TS28: cerebellum Present TCP_2460568

Specimen TCP_2460569: postnatal adult; Fzd4tm1.1(KOMP)Vlcg/Fzd4+ (more )
Structure Level Pattern Image Note
TS28: eye Absent TCP_2460569

Specimen TCP_2460570: postnatal adult; Fzd4tm1.1(KOMP)Vlcg/Fzd4+ (more )
Structure Level Pattern Image Note
TS28: eye Absent TCP_2460570

Specimen TCP_2460571: postnatal adult; Fzd4tm1.1(KOMP)Vlcg/Fzd4+ (more )
Structure Level Pattern Image Note
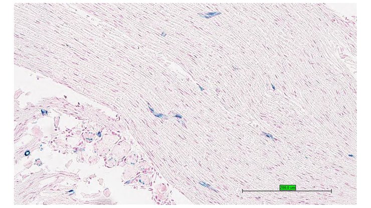
TS28: heart Absent TCP_2460571

Specimen TCP_2460572: postnatal adult; Fzd4tm1.1(KOMP)Vlcg/Fzd4+ (more )
Structure Level Pattern Image Note
TS28: liver Present TCP_2460572

Specimen TCP_2460573: postnatal adult; Fzd4tm1.1(KOMP)Vlcg/Fzd4+ (more )
Structure Level Pattern Image Note
TS28: lung Present TCP_2460573

Specimen TCP_2460574: postnatal adult; Fzd4tm1.1(KOMP)Vlcg/Fzd4+ (more )
Structure Level Pattern Image Note
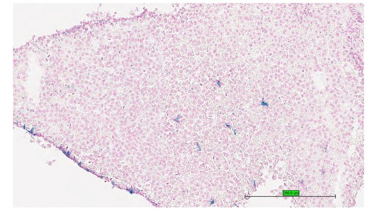
TS28: pancreas Present TCP_2460574

Specimen TCP_2460575: postnatal adult; Fzd4tm1.1(KOMP)Vlcg/Fzd4+ (more )
Structure Level Pattern Image Note
TS28: skin Present TCP_2460575

Specimen TCP_2460576: postnatal adult; Fzd4tm1.1(KOMP)Vlcg/Fzd4+ (more )
Structure Level Pattern Image Note
TS28: white fat Present TCP_2460576

Specimen UC Davis_1878310: postnatal adult; Fzd4tm1.1(KOMP)Vlcg/Fzd4+ (more )
Structure Level Pattern Image Note
TS28: submandibular gland Present UC Davis_1878310

Specimen UC Davis_1878311: postnatal adult; Fzd4tm1.1(KOMP)Vlcg/Fzd4+ (more )
Structure Level Pattern Image Note
TS28: submandibular gland Present UC Davis_1878311

Specimen UC Davis_1878312: postnatal adult; Fzd4tm1.1(KOMP)Vlcg/Fzd4+ (more )
Structure Level Pattern Image Note
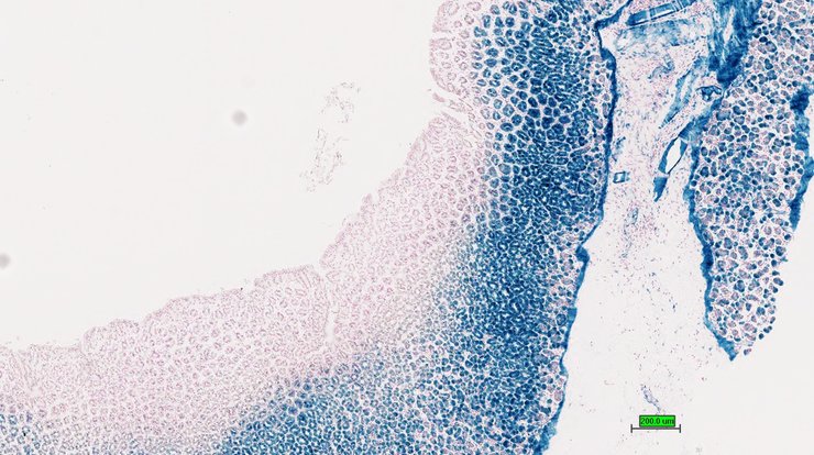
TS28: sublingual gland Present UC Davis_1878312

Specimen UC Davis_1878313: postnatal adult; Fzd4tm1.1(KOMP)Vlcg/Fzd4+ (more )
Structure Level Pattern Image Note
TS28: parotid gland Present UC Davis_1878313

Specimen UC Davis_1878315: postnatal adult; Fzd4tm1.1(KOMP)Vlcg/Fzd4+ (more )
Structure Level Pattern Image Note
TS28: trachea Present UC Davis_1878315

Specimen UC Davis_1878316: postnatal adult; Fzd4tm1.1(KOMP)Vlcg/Fzd4+ (more )
Structure Level Pattern Image Note
TS28: esophagus Present UC Davis_1878316

Specimen UC Davis_1878317: postnatal adult; Fzd4tm1.1(KOMP)Vlcg/Fzd4+ (more )
Structure Level Pattern Image Note
TS28: aorta Present UC Davis_1878317

Specimen UC Davis_1878318: postnatal adult; Fzd4tm1.1(KOMP)Vlcg/Fzd4+ (more )
Structure Level Pattern Image Note
TS28: lung Present UC Davis_1878318

Specimen UC Davis_1878319: postnatal adult; Fzd4tm1.1(KOMP)Vlcg/Fzd4+ (more )
Structure Level Pattern Image Note
TS28: lung Present UC Davis_1878319

Specimen UC Davis_1878320: postnatal adult; Fzd4tm1.1(KOMP)Vlcg/Fzd4+ (more )
Structure Level Pattern Image Note
TS28: thymus Present UC Davis_1878320

Specimen UC Davis_1878324: postnatal adult; Fzd4tm1.1(KOMP)Vlcg/Fzd4+ (more )
Structure Level Pattern Image Note
TS28: mesenteric lymph node Present UC Davis_1878324

Specimen UC Davis_1878325: postnatal adult; Fzd4tm1.1(KOMP)Vlcg/Fzd4+ (more )
Structure Level Pattern Image Note
TS28: stomach Present UC Davis_1878325

Specimen UC Davis_1878326: postnatal adult; Fzd4tm1.1(KOMP)Vlcg/Fzd4+ (more )
Structure Level Pattern Image Note
TS28: stomach Present UC Davis_1878326

Specimen UC Davis_1878327: postnatal adult; Fzd4tm1.1(KOMP)Vlcg/Fzd4+ (more )
Structure Level Pattern Image Note
TS28: stomach Present UC Davis_1878327

Specimen UC Davis_1878328: postnatal adult; Fzd4tm1.1(KOMP)Vlcg/Fzd4+ (more )
Structure Level Pattern Image Note
TS28: duodenum Present UC Davis_1878328

Specimen UC Davis_1878329: postnatal adult; Fzd4tm1.1(KOMP)Vlcg/Fzd4+ (more )
Structure Level Pattern Image Note
TS28: jejunum Present UC Davis_1878329

Specimen UC Davis_1878330: postnatal adult; Fzd4tm1.1(KOMP)Vlcg/Fzd4+ (more )
Structure Level Pattern Image Note
TS28: ileum Present UC Davis_1878330

Specimen UC Davis_1878331: postnatal adult; Fzd4tm1.1(KOMP)Vlcg/Fzd4+ (more )
Structure Level Pattern Image Note
TS28: colon Present UC Davis_1878331

Specimen UC Davis_1878332: postnatal adult; Fzd4tm1.1(KOMP)Vlcg/Fzd4+ (more )
Structure Level Pattern Image Note
TS28: colon Present UC Davis_1878332

Specimen UC Davis_1878333: postnatal adult; Fzd4tm1.1(KOMP)Vlcg/Fzd4+ (more )
Structure Level Pattern Image Note
TS28: cecum Present UC Davis_1878333

Specimen UC Davis_1878334: postnatal adult; Fzd4tm1.1(KOMP)Vlcg/Fzd4+ (more )
Structure Level Pattern Image Note
TS28: cecum Present UC Davis_1878334

Specimen UC Davis_1878335: postnatal adult; Fzd4tm1.1(KOMP)Vlcg/Fzd4+ (more )
Structure Level Pattern Image Note
TS28: spleen Present UC Davis_1878335

Specimen UC Davis_1878336: postnatal adult; Fzd4tm1.1(KOMP)Vlcg/Fzd4+ (more )
Structure Level Pattern Image Note
TS28: pancreas Present UC Davis_1878336

Specimen UC Davis_1878337: postnatal adult; Fzd4tm1.1(KOMP)Vlcg/Fzd4+ (more )
Structure Level Pattern Image Note
TS28: pancreas Present UC Davis_1878337

Specimen UC Davis_1878338: postnatal adult; Fzd4tm1.1(KOMP)Vlcg/Fzd4+ (more )
Structure Level Pattern Image Note
TS28: liver Present UC Davis_1878338

Specimen UC Davis_1878339: postnatal adult; Fzd4tm1.1(KOMP)Vlcg/Fzd4+ (more )
Structure Level Pattern Image Note
TS28: liver Present UC Davis_1878339

Specimen UC Davis_1878340: postnatal adult; Fzd4tm1.1(KOMP)Vlcg/Fzd4+ (more )
Structure Level Pattern Image Note
TS28: liver Present UC Davis_1878340

Specimen UC Davis_1878341: postnatal adult; Fzd4tm1.1(KOMP)Vlcg/Fzd4+ (more )
Structure Level Pattern Image Note
TS28: metanephros Present UC Davis_1878341 kidney

Specimen UC Davis_1878342: postnatal adult; Fzd4tm1.1(KOMP)Vlcg/Fzd4+ (more )
Structure Level Pattern Image Note
TS28: metanephros Present UC Davis_1878342 kidney

Specimen UC Davis_1878343: postnatal adult; Fzd4tm1.1(KOMP)Vlcg/Fzd4+ (more )
Structure Level Pattern Image Note
TS28: metanephros Present UC Davis_1878343 kidney

Specimen UC Davis_1878344: postnatal adult; Fzd4tm1.1(KOMP)Vlcg/Fzd4+ (more )
Structure Level Pattern Image Note
TS28: metanephros Present UC Davis_1878344 kidney

Specimen UC Davis_1878345: postnatal adult; Fzd4tm1.1(KOMP)Vlcg/Fzd4+ (more )
Structure Level Pattern Image Note
TS28: quadriceps femoris muscle Present UC Davis_1878345

Specimen UC Davis_1878346: postnatal adult; Fzd4tm1.1(KOMP)Vlcg/Fzd4+ (more )
Structure Level Pattern Image Note
TS28: quadriceps femoris muscle Present UC Davis_1878346

Specimen UC Davis_1878347: postnatal adult; Fzd4tm1.1(KOMP)Vlcg/Fzd4+ (more )
Structure Level Pattern Image Note
TS28: sciatic nerve Present UC Davis_1878347

Specimen UC Davis_1878348: postnatal adult; Fzd4tm1.1(KOMP)Vlcg/Fzd4+ (more )
Structure Level Pattern Image Note
TS28: tongue Present UC Davis_1878348

Specimen UC Davis_1878349: postnatal adult; Fzd4tm1.1(KOMP)Vlcg/Fzd4+ (more )
Structure Level Pattern Image Note
TS28: tongue Present UC Davis_1878349

Specimen UC Davis_1878350: postnatal adult; Fzd4tm1.1(KOMP)Vlcg/Fzd4+ (more )
Structure Level Pattern Image Note
TS28: tongue Present UC Davis_1878350

Specimen UC Davis_1878351: postnatal adult; Fzd4tm1.1(KOMP)Vlcg/Fzd4+ (more )
Structure Level Pattern Image Note
TS28: tongue Present UC Davis_1878351

Specimen UC Davis_1878352: postnatal adult; Fzd4tm1.1(KOMP)Vlcg/Fzd4+ (more )
Structure Level Pattern Image Note
TS28: diaphragm Present UC Davis_1878352

Specimen UC Davis_1878353: postnatal adult; Fzd4tm1.1(KOMP)Vlcg/Fzd4+ (more )
Structure Level Pattern Image Note
TS28: adrenal gland Present UC Davis_1878353

Specimen UC Davis_1878354: postnatal adult; Fzd4tm1.1(KOMP)Vlcg/Fzd4+ (more )
Structure Level Pattern Image Note
TS28: adrenal gland Present UC Davis_1878354

Specimen UC Davis_1878355: postnatal adult; Fzd4tm1.1(KOMP)Vlcg/Fzd4+ (more )
Structure Level Pattern Image Note
TS28: spinal cord Present UC Davis_1878355

Specimen UC Davis_1878356: postnatal adult; Fzd4tm1.1(KOMP)Vlcg/Fzd4+ (more )
Structure Level Pattern Image Note
TS28: spinal cord Present UC Davis_1878356

Specimen UC Davis_1878357: postnatal adult; Fzd4tm1.1(KOMP)Vlcg/Fzd4+ (more )
Structure Level Pattern Image Note
TS28: eye Present UC Davis_1878357

Specimen UC Davis_1878358: postnatal adult; Fzd4tm1.1(KOMP)Vlcg/Fzd4+ (more )
Structure Level Pattern Image Note
TS28: eye Present UC Davis_1878358

Specimen UC Davis_1878360: postnatal adult; Fzd4tm1.1(KOMP)Vlcg/Fzd4+ (more )
Structure Level Pattern Image Note
TS28: Harderian gland Present UC Davis_1878360

Specimen UC Davis_1878361: postnatal adult; Fzd4tm1.1(KOMP)Vlcg/Fzd4+ (more )
Structure Level Pattern Image Note
TS28: gonadal fat pad Present UC Davis_1878361

Specimen UC Davis_1878362: postnatal adult; Fzd4tm1.1(KOMP)Vlcg/Fzd4+ (more )
Structure Level Pattern Image Note
TS28: gonadal fat pad Present UC Davis_1878362

Specimen UC Davis_1878363: postnatal adult; Fzd4tm1.1(KOMP)Vlcg/Fzd4+ (more )
Structure Level Pattern Image Note
TS28: mesenteric adipose tissue Present UC Davis_1878363

Specimen UC Davis_1878364: postnatal adult; Fzd4tm1.1(KOMP)Vlcg/Fzd4+ (more )
Structure Level Pattern Image Note
TS28: mesenteric adipose tissue Present UC Davis_1878364

Specimen UC Davis_1878365: postnatal adult; Fzd4tm1.1(KOMP)Vlcg/Fzd4+ (more )
Structure Level Pattern Image Note
TS28: mesenteric adipose tissue Present UC Davis_1878365

Specimen UC Davis_1878366: postnatal adult; Fzd4tm1.1(KOMP)Vlcg/Fzd4+ (more )
Structure Level Pattern Image Note
TS28: skin Present UC Davis_1878366

Specimen UC Davis_1878367: postnatal adult; Fzd4tm1.1(KOMP)Vlcg/Fzd4+ (more )
Structure Level Pattern Image Note
TS28: brown fat Present UC Davis_1878367

Specimen UC Davis_1878368: postnatal adult; Fzd4tm1.1(KOMP)Vlcg/Fzd4+ (more )
Structure Level Pattern Image Note
TS28: brown fat Present UC Davis_1878368

Specimen UC Davis_1878369: postnatal adult; Fzd4tm1.1(KOMP)Vlcg/Fzd4+ (more )
Structure Level Pattern Image Note
TS28: olfactory lobe Present UC Davis_1878369

Specimen UC Davis_1878372: postnatal adult; Fzd4tm1.1(KOMP)Vlcg/Fzd4+ (more )
Structure Level Pattern Image Note
TS28: midbrain Present UC Davis_1878372

Specimen UC Davis_1878374: postnatal adult; Fzd4tm1.1(KOMP)Vlcg/Fzd4+ (more )
Structure Level Pattern Image Note
TS28: cerebellum Present UC Davis_1878374

Specimen UC Davis_1878375: postnatal adult; Fzd4tm1.1(KOMP)Vlcg/Fzd4+ (more )
Structure Level Pattern Image Note
TS28: trigeminal nerve Present UC Davis_1878375

Specimen UC Davis_1878376: postnatal adult; Fzd4tm1.1(KOMP)Vlcg/Fzd4+ (more )
Structure Level Pattern Image Note
TS28: ovary Present UC Davis_1878376

Specimen UC Davis_1878377: postnatal adult; Fzd4tm1.1(KOMP)Vlcg/Fzd4+ (more )
Structure Level Pattern Image Note
TS28: ovary Present UC Davis_1878377

Specimen UC Davis_1878378: postnatal adult; Fzd4tm1.1(KOMP)Vlcg/Fzd4+ (more )
Structure Level Pattern Image Note
TS28: ovary Present UC Davis_1878378

Specimen UC Davis_1878379: postnatal adult; Fzd4tm1.1(KOMP)Vlcg/Fzd4+ (more )
Structure Level Pattern Image Note
TS28: oviduct Present UC Davis_1878379

Specimen UC Davis_1878380: postnatal adult; Fzd4tm1.1(KOMP)Vlcg/Fzd4+ (more )
Structure Level Pattern Image Note
TS28: uterus Present UC Davis_1878380

Specimen UC Davis_1878381: postnatal adult; Fzd4tm1.1(KOMP)Vlcg/Fzd4+ (more )
Structure Level Pattern Image Note
TS28: uterus Present UC Davis_1878381

Specimen UC Davis_1878382: postnatal adult; Fzd4tm1.1(KOMP)Vlcg/Fzd4+ (more )
Structure Level Pattern Image Note
TS28: vagina Present UC Davis_1878382

Specimen UC Davis_1878383: postnatal adult; Fzd4tm1.1(KOMP)Vlcg/Fzd4+ (more )
Structure Level Pattern Image Note
TS28: bladder Present UC Davis_1878383

Specimen UC Davis_1878384: postnatal adult; Fzd4tm1.1(KOMP)Vlcg/Fzd4+ (more )
Structure Level Pattern Image Note
TS28: bladder Present UC Davis_1878384

Specimen UC Davis_1878386: postnatal adult; Fzd4tm1.1(KOMP)Vlcg/Fzd4+ (more )
Structure Level Pattern Image Note
TS28: bone marrow Present UC Davis_1878386

Specimen UC Davis_1878387: postnatal adult; Fzd4tm1.1(KOMP)Vlcg/Fzd4+ (more )
Structure Level Pattern Image Note
TS28: bone marrow Present UC Davis_1878387

Specimen TCP_2460552: postnatal adult; Fzd4tm1.1(KOMP)Vlcg/Fzd4+ (more )
Structure Level Pattern Image Note
TS28: aorta Present TCP_2460552

Specimen TCP_2460553: postnatal adult; Fzd4tm1.1(KOMP)Vlcg/Fzd4+ (more )
Structure Level Pattern Image Note
TS28: brain Present TCP_2460553

Specimen TCP_2460554: postnatal adult; Fzd4tm1.1(KOMP)Vlcg/Fzd4+ (more )
Structure Level Pattern Image Note
TS28: cerebellum Present TCP_2460554

Specimen TCP_2460555: postnatal adult; Fzd4tm1.1(KOMP)Vlcg/Fzd4+ (more )
Structure Level Pattern Image Note
TS28: cerebellum Present TCP_2460555

Specimen TCP_2460556: postnatal adult; Fzd4tm1.1(KOMP)Vlcg/Fzd4+ (more )
Structure Level Pattern Image Note
TS28: eye Present TCP_2460556

Specimen TCP_2460557: postnatal adult; Fzd4tm1.1(KOMP)Vlcg/Fzd4+ (more )
Structure Level Pattern Image Note
TS28: heart Absent TCP_2460557

Specimen TCP_2460558: postnatal adult; Fzd4tm1.1(KOMP)Vlcg/Fzd4+ (more )
Structure Level Pattern Image Note
TS28: liver Present TCP_2460558

Specimen TCP_2460559: postnatal adult; Fzd4tm1.1(KOMP)Vlcg/Fzd4+ (more )
Structure Level Pattern Image Note
TS28: lung Present TCP_2460559

Specimen TCP_2460560: postnatal adult; Fzd4tm1.1(KOMP)Vlcg/Fzd4+ (more )
Structure Level Pattern Image Note
TS28: pancreas Present TCP_2460560

Specimen TCP_2460561: postnatal adult; Fzd4tm1.1(KOMP)Vlcg/Fzd4+ (more )
Structure Level Pattern Image Note
TS28: skin Present TCP_2460561

Specimen TCP_2460562: postnatal adult; Fzd4tm1.1(KOMP)Vlcg/Fzd4+ (more )
Structure Level Pattern Image Note
TS28: white fat Present TCP_2460562

Specimen TCP_2460563: postnatal adult; Fzd4tm1.1(KOMP)Vlcg/Fzd4+ (more )
Structure Level Pattern Image Note
TS28: cerebellum Present TCP_2460563

Specimen UC Davis_1878388: postnatal adult; Fzd4tm1.1(KOMP)Vlcg/Fzd4+ (more )
Structure Level Pattern Image Note
TS28: submandibular gland Present UC Davis_1878388

Specimen UC Davis_1878389: postnatal adult; Fzd4tm1.1(KOMP)Vlcg/Fzd4+ (more )
Structure Level Pattern Image Note
TS28: submandibular gland Present UC Davis_1878389

Specimen UC Davis_1878390: postnatal adult; Fzd4tm1.1(KOMP)Vlcg/Fzd4+ (more )
Structure Level Pattern Image Note
TS28: sublingual gland Present UC Davis_1878390

Specimen UC Davis_1878391: postnatal adult; Fzd4tm1.1(KOMP)Vlcg/Fzd4+ (more )
Structure Level Pattern Image Note
TS28: sublingual gland Present UC Davis_1878391

Specimen UC Davis_1878392: postnatal adult; Fzd4tm1.1(KOMP)Vlcg/Fzd4+ (more )
Structure Level Pattern Image Note
TS28: parotid gland Present UC Davis_1878392

Specimen UC Davis_1878394: postnatal adult; Fzd4tm1.1(KOMP)Vlcg/Fzd4+ (more )
Structure Level Pattern Image Note
TS28: trachea Present UC Davis_1878394

Specimen UC Davis_1878395: postnatal adult; Fzd4tm1.1(KOMP)Vlcg/Fzd4+ (more )
Structure Level Pattern Image Note
TS28: trachea Present UC Davis_1878395

Specimen UC Davis_1878396: postnatal adult; Fzd4tm1.1(KOMP)Vlcg/Fzd4+ (more )
Structure Level Pattern Image Note
TS28: trachea Present UC Davis_1878396

Specimen UC Davis_1878397: postnatal adult; Fzd4tm1.1(KOMP)Vlcg/Fzd4+ (more )
Structure Level Pattern Image Note
TS28: esophagus Present UC Davis_1878397

Specimen UC Davis_1878398: postnatal adult; Fzd4tm1.1(KOMP)Vlcg/Fzd4+ (more )
Structure Level Pattern Image Note
TS28: esophagus Present UC Davis_1878398

Specimen UC Davis_1878399: postnatal adult; Fzd4tm1.1(KOMP)Vlcg/Fzd4+ (more )
Structure Level Pattern Image Note
TS28: thyroid gland Present UC Davis_1878399

Specimen UC Davis_1878402: postnatal adult; Fzd4tm1.1(KOMP)Vlcg/Fzd4+ (more )
Structure Level Pattern Image Note
TS28: parathyroid gland Present UC Davis_1878402

Specimen UC Davis_1878403: postnatal adult; Fzd4tm1.1(KOMP)Vlcg/Fzd4+ (more )
Structure Level Pattern Image Note
TS28: parathyroid gland Present UC Davis_1878403

Specimen UC Davis_1878404: postnatal adult; Fzd4tm1.1(KOMP)Vlcg/Fzd4+ (more )
Structure Level Pattern Image Note
TS28: parathyroid gland Present UC Davis_1878404

Specimen UC Davis_1878405: postnatal adult; Fzd4tm1.1(KOMP)Vlcg/Fzd4+ (more )
Structure Level Pattern Image Note
TS28: aorta Present UC Davis_1878405

Specimen UC Davis_1878406: postnatal adult; Fzd4tm1.1(KOMP)Vlcg/Fzd4+ (more )
Structure Level Pattern Image Note
TS28: lung Present UC Davis_1878406

Specimen UC Davis_1878407: postnatal adult; Fzd4tm1.1(KOMP)Vlcg/Fzd4+ (more )
Structure Level Pattern Image Note
TS28: thymus Present UC Davis_1878407

Specimen UC Davis_1878408: postnatal adult; Fzd4tm1.1(KOMP)Vlcg/Fzd4+ (more )
Structure Level Pattern Image Note
TS28: thymus Present UC Davis_1878408

Specimen UC Davis_1878414: postnatal adult; Fzd4tm1.1(KOMP)Vlcg/Fzd4+ (more )
Structure Level Pattern Image Note
TS28: mesenteric lymph node Present UC Davis_1878414

Specimen UC Davis_1878415: postnatal adult; Fzd4tm1.1(KOMP)Vlcg/Fzd4+ (more )
Structure Level Pattern Image Note
TS28: mesenteric lymph node Present UC Davis_1878415

Specimen UC Davis_1878416: postnatal adult; Fzd4tm1.1(KOMP)Vlcg/Fzd4+ (more )
Structure Level Pattern Image Note
TS28: stomach Present UC Davis_1878416

Specimen UC Davis_1878417: postnatal adult; Fzd4tm1.1(KOMP)Vlcg/Fzd4+ (more )
Structure Level Pattern Image Note
TS28: stomach Present UC Davis_1878417

Specimen UC Davis_1878418: postnatal adult; Fzd4tm1.1(KOMP)Vlcg/Fzd4+ (more )
Structure Level Pattern Image Note
TS28: stomach Present UC Davis_1878418

Specimen UC Davis_1878419: postnatal adult; Fzd4tm1.1(KOMP)Vlcg/Fzd4+ (more )
Structure Level Pattern Image Note
TS28: stomach Present UC Davis_1878419

Specimen UC Davis_1878420: postnatal adult; Fzd4tm1.1(KOMP)Vlcg/Fzd4+ (more )
Structure Level Pattern Image Note
TS28: duodenum Present UC Davis_1878420

Specimen UC Davis_1878421: postnatal adult; Fzd4tm1.1(KOMP)Vlcg/Fzd4+ (more )
Structure Level Pattern Image Note
TS28: duodenum Present UC Davis_1878421

Specimen UC Davis_1878422: postnatal adult; Fzd4tm1.1(KOMP)Vlcg/Fzd4+ (more )
Structure Level Pattern Image Note
TS28: jejunum Present UC Davis_1878422

Specimen UC Davis_1878423: postnatal adult; Fzd4tm1.1(KOMP)Vlcg/Fzd4+ (more )
Structure Level Pattern Image Note
TS28: ileum Present UC Davis_1878423

Specimen UC Davis_1878424: postnatal adult; Fzd4tm1.1(KOMP)Vlcg/Fzd4+ (more )
Structure Level Pattern Image Note
TS28: ileum Present UC Davis_1878424

Specimen UC Davis_1878425: postnatal adult; Fzd4tm1.1(KOMP)Vlcg/Fzd4+ (more )
Structure Level Pattern Image Note
TS28: colon Present UC Davis_1878425

Specimen UC Davis_1878426: postnatal adult; Fzd4tm1.1(KOMP)Vlcg/Fzd4+ (more )
Structure Level Pattern Image Note
TS28: colon Present UC Davis_1878426

Specimen UC Davis_1878427: postnatal adult; Fzd4tm1.1(KOMP)Vlcg/Fzd4+ (more )
Structure Level Pattern Image Note
TS28: cecum Present UC Davis_1878427

Specimen UC Davis_1878428: postnatal adult; Fzd4tm1.1(KOMP)Vlcg/Fzd4+ (more )
Structure Level Pattern Image Note
TS28: spleen Present UC Davis_1878428

Specimen UC Davis_1878429: postnatal adult; Fzd4tm1.1(KOMP)Vlcg/Fzd4+ (more )
Structure Level Pattern Image Note
TS28: spleen Present UC Davis_1878429

Specimen UC Davis_1878430: postnatal adult; Fzd4tm1.1(KOMP)Vlcg/Fzd4+ (more )
Structure Level Pattern Image Note
TS28: pancreas Present UC Davis_1878430

Specimen UC Davis_1878431: postnatal adult; Fzd4tm1.1(KOMP)Vlcg/Fzd4+ (more )
Structure Level Pattern Image Note
TS28: liver Present UC Davis_1878431

Specimen UC Davis_1878432: postnatal adult; Fzd4tm1.1(KOMP)Vlcg/Fzd4+ (more )
Structure Level Pattern Image Note
TS28: liver Present UC Davis_1878432

Specimen UC Davis_1878433: postnatal adult; Fzd4tm1.1(KOMP)Vlcg/Fzd4+ (more )
Structure Level Pattern Image Note
TS28: metanephros Present UC Davis_1878433 kidney

Specimen UC Davis_1878434: postnatal adult; Fzd4tm1.1(KOMP)Vlcg/Fzd4+ (more )
Structure Level Pattern Image Note
TS28: metanephros Present UC Davis_1878434 kidney

Specimen UC Davis_1878435: postnatal adult; Fzd4tm1.1(KOMP)Vlcg/Fzd4+ (more )
Structure Level Pattern Image Note
TS28: metanephros Present UC Davis_1878435 kidney

Specimen UC Davis_1878436: postnatal adult; Fzd4tm1.1(KOMP)Vlcg/Fzd4+ (more )
Structure Level Pattern Image Note
TS28: quadriceps femoris muscle Present UC Davis_1878436

Specimen UC Davis_1878437: postnatal adult; Fzd4tm1.1(KOMP)Vlcg/Fzd4+ (more )
Structure Level Pattern Image Note
TS28: quadriceps femoris muscle Present UC Davis_1878437

Specimen UC Davis_1878438: postnatal adult; Fzd4tm1.1(KOMP)Vlcg/Fzd4+ (more )
Structure Level Pattern Image Note
TS28: sciatic nerve Present UC Davis_1878438

Specimen UC Davis_1878439: postnatal adult; Fzd4tm1.1(KOMP)Vlcg/Fzd4+ (more )
Structure Level Pattern Image Note
TS28: tongue Present UC Davis_1878439

Specimen UC Davis_1878440: postnatal adult; Fzd4tm1.1(KOMP)Vlcg/Fzd4+ (more )
Structure Level Pattern Image Note
TS28: tongue Present UC Davis_1878440

Specimen UC Davis_1878441: postnatal adult; Fzd4tm1.1(KOMP)Vlcg/Fzd4+ (more )
Structure Level Pattern Image Note
TS28: diaphragm Present UC Davis_1878441

Specimen UC Davis_1878442: postnatal adult; Fzd4tm1.1(KOMP)Vlcg/Fzd4+ (more )
Structure Level Pattern Image Note
TS28: diaphragm Present UC Davis_1878442

Specimen UC Davis_1878443: postnatal adult; Fzd4tm1.1(KOMP)Vlcg/Fzd4+ (more )
Structure Level Pattern Image Note
TS28: adrenal gland Present UC Davis_1878443

Specimen UC Davis_1878444: postnatal adult; Fzd4tm1.1(KOMP)Vlcg/Fzd4+ (more )
Structure Level Pattern Image Note
TS28: adrenal gland Present UC Davis_1878444

Specimen UC Davis_1878445: postnatal adult; Fzd4tm1.1(KOMP)Vlcg/Fzd4+ (more )
Structure Level Pattern Image Note
TS28: pituitary gland Present UC Davis_1878445

Specimen UC Davis_1878446: postnatal adult; Fzd4tm1.1(KOMP)Vlcg/Fzd4+ (more )
Structure Level Pattern Image Note
TS28: pituitary gland Present UC Davis_1878446

Specimen UC Davis_1878447: postnatal adult; Fzd4tm1.1(KOMP)Vlcg/Fzd4+ (more )
Structure Level Pattern Image Note
TS28: spinal cord Present UC Davis_1878447

Specimen UC Davis_1878448: postnatal adult; Fzd4tm1.1(KOMP)Vlcg/Fzd4+ (more )
Structure Level Pattern Image Note
TS28: spinal cord Present UC Davis_1878448

Specimen UC Davis_1878449: postnatal adult; Fzd4tm1.1(KOMP)Vlcg/Fzd4+ (more )
Structure Level Pattern Image Note
TS28: eye Present UC Davis_1878449

Specimen UC Davis_1878450: postnatal adult; Fzd4tm1.1(KOMP)Vlcg/Fzd4+ (more )
Structure Level Pattern Image Note
TS28: Harderian gland Present UC Davis_1878450

Specimen UC Davis_1878451: postnatal adult; Fzd4tm1.1(KOMP)Vlcg/Fzd4+ (more )
Structure Level Pattern Image Note
TS28: skin Present UC Davis_1878451

Specimen UC Davis_1878452: postnatal adult; Fzd4tm1.1(KOMP)Vlcg/Fzd4+ (more )
Structure Level Pattern Image Note
TS28: skin Present UC Davis_1878452

Specimen UC Davis_1878453: postnatal adult; Fzd4tm1.1(KOMP)Vlcg/Fzd4+ (more )
Structure Level Pattern Image Note
TS28: brown fat Present UC Davis_1878453

Specimen UC Davis_1878454: postnatal adult; Fzd4tm1.1(KOMP)Vlcg/Fzd4+ (more )
Structure Level Pattern Image Note
TS28: brown fat Present UC Davis_1878454

Specimen UC Davis_1878455: postnatal adult; Fzd4tm1.1(KOMP)Vlcg/Fzd4+ (more )
Structure Level Pattern Image Note
TS28: olfactory lobe Present UC Davis_1878455

Specimen UC Davis_1878458: postnatal adult; Fzd4tm1.1(KOMP)Vlcg/Fzd4+ (more )
Structure Level Pattern Image Note
TS28: midbrain Present UC Davis_1878458

Specimen UC Davis_1878460: postnatal adult; Fzd4tm1.1(KOMP)Vlcg/Fzd4+ (more )
Structure Level Pattern Image Note
TS28: cerebellum Present UC Davis_1878460

Specimen UC Davis_1878461: postnatal adult; Fzd4tm1.1(KOMP)Vlcg/Fzd4+ (more )
Structure Level Pattern Image Note
TS28: trigeminal nerve Present UC Davis_1878461

Specimen UC Davis_1878462: postnatal adult; Fzd4tm1.1(KOMP)Vlcg/Fzd4+ (more )
Structure Level Pattern Image Note
TS28: trigeminal nerve Present UC Davis_1878462

Specimen UC Davis_1878463: postnatal adult; Fzd4tm1.1(KOMP)Vlcg/Fzd4+ (more )
Structure Level Pattern Image Note
TS28: bladder Present UC Davis_1878463

Specimen UC Davis_1878464: postnatal adult; Fzd4tm1.1(KOMP)Vlcg/Fzd4+ (more )
Structure Level Pattern Image Note
TS28: bladder Present UC Davis_1878464

Specimen UC Davis_1878465: postnatal adult; Fzd4tm1.1(KOMP)Vlcg/Fzd4+ (more )
Structure Level Pattern Image Note
TS28: testis Present UC Davis_1878465

Specimen UC Davis_1878466: postnatal adult; Fzd4tm1.1(KOMP)Vlcg/Fzd4+ (more )
Structure Level Pattern Image Note
TS28: testis Present UC Davis_1878466

Specimen UC Davis_1878467: postnatal adult; Fzd4tm1.1(KOMP)Vlcg/Fzd4+ (more )
Structure Level Pattern Image Note
TS28: epididymis Present UC Davis_1878467

Specimen UC Davis_1878468: postnatal adult; Fzd4tm1.1(KOMP)Vlcg/Fzd4+ (more )
Structure Level Pattern Image Note
TS28: epididymis Present UC Davis_1878468

Specimen UC Davis_1878469: postnatal adult; Fzd4tm1.1(KOMP)Vlcg/Fzd4+ (more )
Structure Level Pattern Image Note
TS28: epididymis Present UC Davis_1878469

Specimen UC Davis_1878470: postnatal adult; Fzd4tm1.1(KOMP)Vlcg/Fzd4+ (more )
Structure Level Pattern Image Note
TS28: prostate gland Present UC Davis_1878470

Specimen UC Davis_1878471: postnatal adult; Fzd4tm1.1(KOMP)Vlcg/Fzd4+ (more )
Structure Level Pattern Image Note
TS28: prostate gland Present UC Davis_1878471

Specimen UC Davis_1878472: postnatal adult; Fzd4tm1.1(KOMP)Vlcg/Fzd4+ (more )
Structure Level Pattern Image Note
TS28: penis Present UC Davis_1878472

Specimen UC Davis_1878473: postnatal adult; Fzd4tm1.1(KOMP)Vlcg/Fzd4+ (more )
Structure Level Pattern Image Note
TS28: penis Present UC Davis_1878473

Specimen UC Davis_1878474: postnatal adult; Fzd4tm1.1(KOMP)Vlcg/Fzd4+ (more )
Structure Level Pattern Image Note
TS28: penis Present UC Davis_1878474

Specimen UC Davis_1878475: postnatal adult; Fzd4tm1.1(KOMP)Vlcg/Fzd4+ (more )
Structure Level Pattern Image Note
TS28: bone marrow Present UC Davis_1878475

Specimen UC Davis_1878476: postnatal adult; Fzd4tm1.1(KOMP)Vlcg/Fzd4+ (more )
Structure Level Pattern Image Note
TS28: bone marrow Present UC Davis_1878476

Specimen UC Davis_1878477: postnatal adult; Fzd4tm1.1(KOMP)Vlcg/Fzd4+ (more )
Structure Level Pattern Image Note
TS28: ductus deferens Present UC Davis_1878477 vas deferens

Specimen UC Davis_1878478: postnatal adult; Fzd4tm1.1(KOMP)Vlcg/Fzd4+ (more )
Structure Level Pattern Image Note
TS28: ductus deferens Present UC Davis_1878478 vas deferens

Specimen UC Davis_1878484: postnatal adult; Fzd4tm1.1(KOMP)Vlcg/Fzd4+ (more )
Structure Level Pattern Image Note
TS28: seminal vesicle Present UC Davis_1878484 vesicular gland


Contributing Projects:
Mouse Genome Database (MGD), Gene Expression Database (GXD), Mouse Models of Human Cancer database (MMHCdb) (formerly Mouse Tumor Biology (MTB)), Gene Ontology (GO)
Citing These Resources
Funding Information
Warranty Disclaimer, Privacy Notice, Licensing, & Copyright
Send questions and comments to User Support.
last database update
12/30/2025
MGI 6.24
The Jackson Laboratory