About   Help   FAQ
Gene Expression Data
Assay Details
Assay
Reference: J:228563 Koscielny G, et al., The International Mouse Phenotyping Consortium Web Portal, a unified point of access for knockout mice and related phenotyping data. Nucleic Acids Res. 2014 Jan;42(Database issue):D802-9
Assay type: In situ reporter (knock in)
MGI Accession ID: MGI:6691097
Gene symbol: Ifng
Gene name: interferon gamma
Reporter: lacZ
Direct Detection
Results
Specimen UC Davis_1880901: postnatal adult; Ifngtm1.1(KOMP)Vlcg/Ifng+ (more )
Structure Level Pattern Image Note
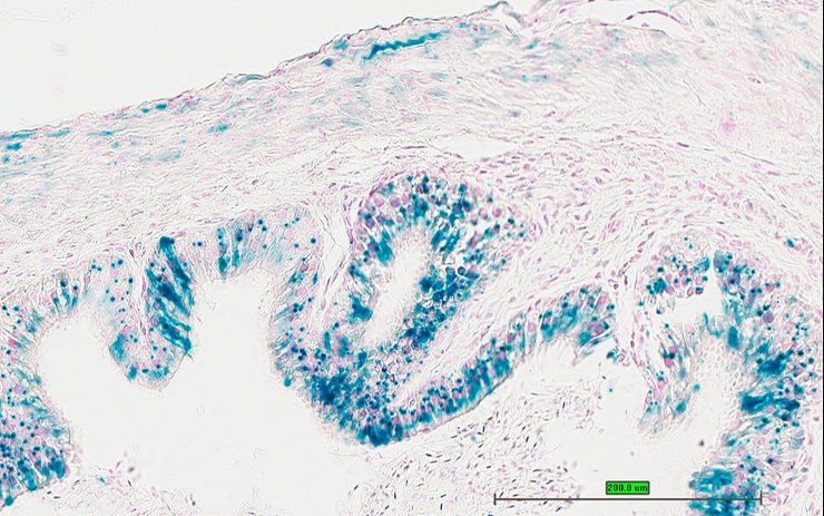
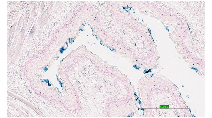
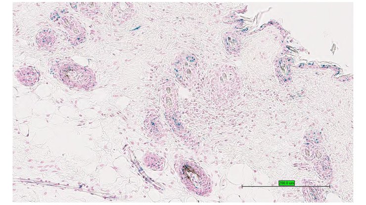
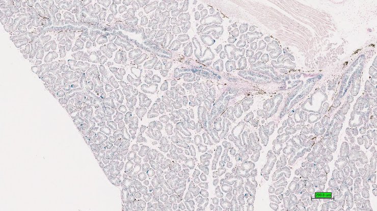
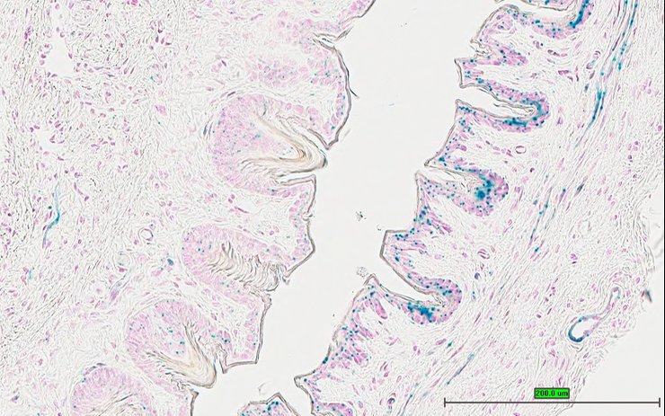
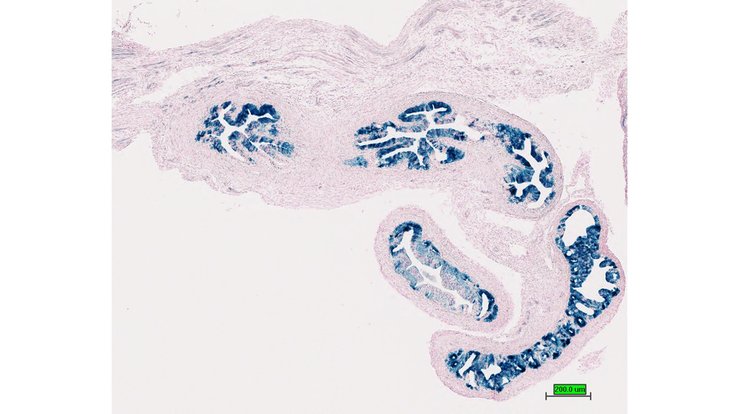
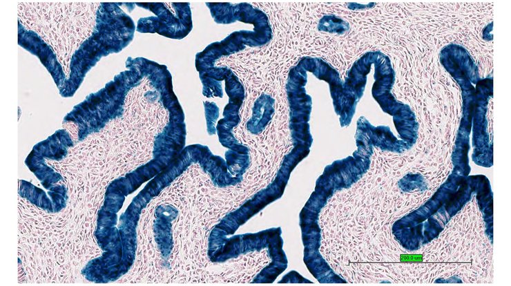
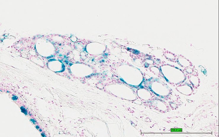
TS28: submandibular gland Present UC Davis_1880901

Specimen UC Davis_1880902: postnatal adult; Ifngtm1.1(KOMP)Vlcg/Ifng+ (more )
Structure Level Pattern Image Note
TS28: submandibular gland Present UC Davis_1880902

Specimen UC Davis_1880903: postnatal adult; Ifngtm1.1(KOMP)Vlcg/Ifng+ (more )
Structure Level Pattern Image Note
TS28: submandibular gland Present UC Davis_1880903

Specimen UC Davis_1880904: postnatal adult; Ifngtm1.1(KOMP)Vlcg/Ifng+ (more )
Structure Level Pattern Image Note
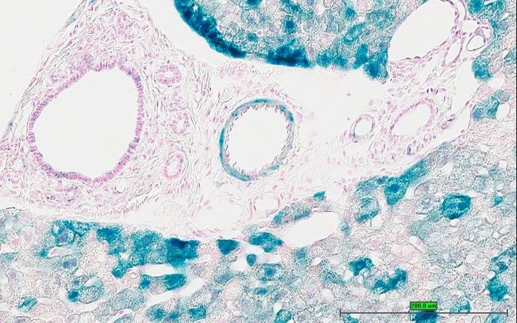
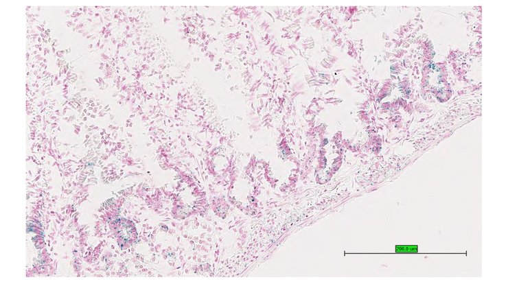
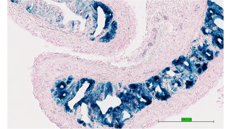
TS28: sublingual gland Present UC Davis_1880904

Specimen UC Davis_1880905: postnatal adult; Ifngtm1.1(KOMP)Vlcg/Ifng+ (more )
Structure Level Pattern Image Note
TS28: sublingual gland Present UC Davis_1880905

Specimen UC Davis_1880906: postnatal adult; Ifngtm1.1(KOMP)Vlcg/Ifng+ (more )
Structure Level Pattern Image Note
TS28: parotid gland Present UC Davis_1880906

Specimen UC Davis_1880907: postnatal adult; Ifngtm1.1(KOMP)Vlcg/Ifng+ (more )
Structure Level Pattern Image Note
TS28: parotid gland Present UC Davis_1880907

Specimen UC Davis_1880909: postnatal adult; Ifngtm1.1(KOMP)Vlcg/Ifng+ (more )
Structure Level Pattern Image Note
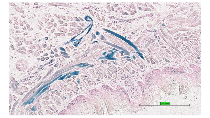
TS28: trachea Present UC Davis_1880909

Specimen UC Davis_1880910: postnatal adult; Ifngtm1.1(KOMP)Vlcg/Ifng+ (more )
Structure Level Pattern Image Note
TS28: trachea Present UC Davis_1880910

Specimen UC Davis_1880911: postnatal adult; Ifngtm1.1(KOMP)Vlcg/Ifng+ (more )
Structure Level Pattern Image Note
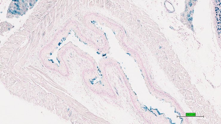
TS28: esophagus Present UC Davis_1880911

Specimen UC Davis_1880912: postnatal adult; Ifngtm1.1(KOMP)Vlcg/Ifng+ (more )
Structure Level Pattern Image Note
TS28: esophagus Present UC Davis_1880912

Specimen UC Davis_1880913: postnatal adult; Ifngtm1.1(KOMP)Vlcg/Ifng+ (more )
Structure Level Pattern Image Note
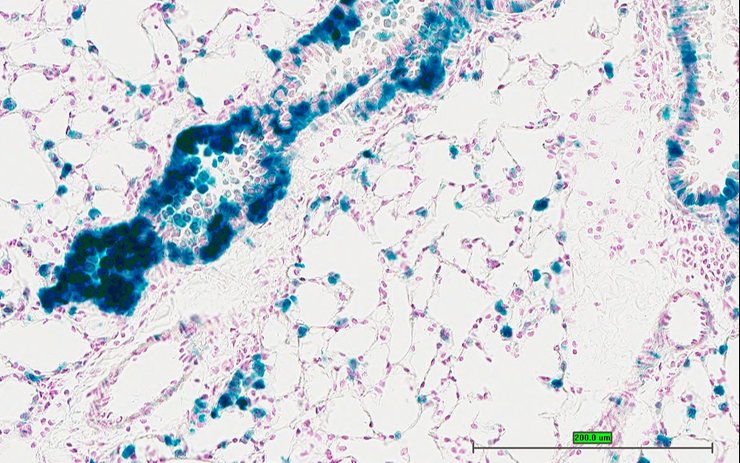
TS28: lung Present UC Davis_1880913

Specimen UC Davis_1880914: postnatal adult; Ifngtm1.1(KOMP)Vlcg/Ifng+ (more )
Structure Level Pattern Image Note
TS28: lung Present UC Davis_1880914

Specimen UC Davis_1880915: postnatal adult; Ifngtm1.1(KOMP)Vlcg/Ifng+ (more )
Structure Level Pattern Image Note
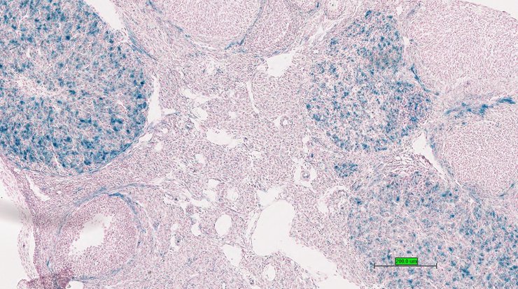
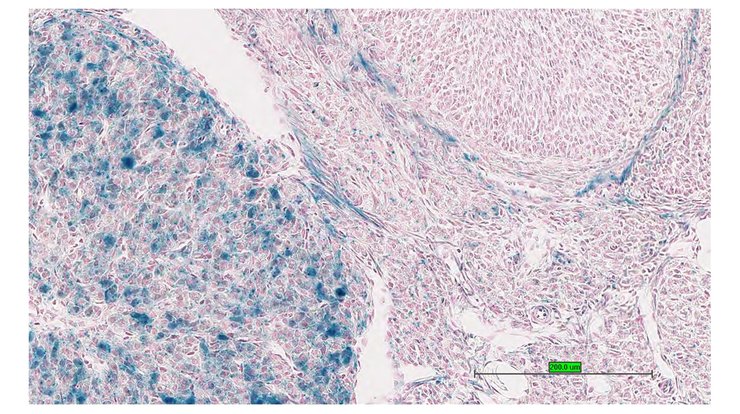
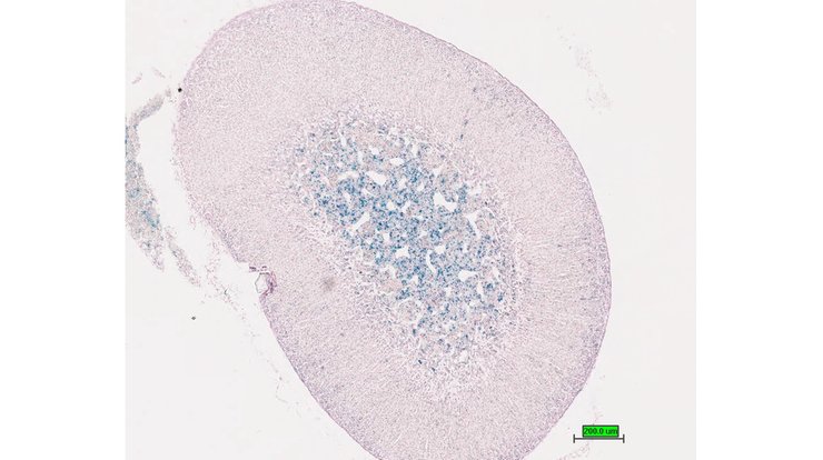
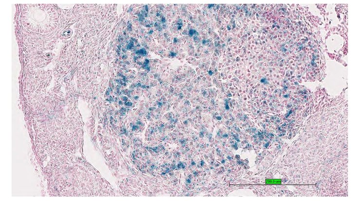
TS28: thymus Present UC Davis_1880915

Specimen UC Davis_1880921: postnatal adult; Ifngtm1.1(KOMP)Vlcg/Ifng+ (more )
Structure Level Pattern Image Note
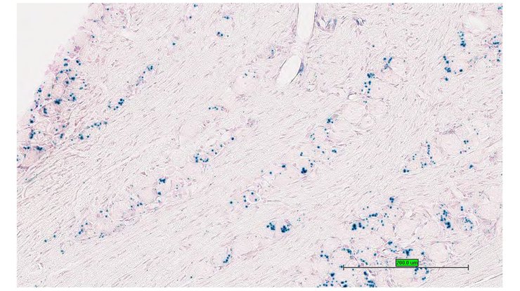
TS28: stomach Present UC Davis_1880921

Specimen UC Davis_1880922: postnatal adult; Ifngtm1.1(KOMP)Vlcg/Ifng+ (more )
Structure Level Pattern Image Note
TS28: stomach Present UC Davis_1880922

Specimen UC Davis_1880923: postnatal adult; Ifngtm1.1(KOMP)Vlcg/Ifng+ (more )
Structure Level Pattern Image Note
TS28: duodenum Present UC Davis_1880923

Specimen UC Davis_1880924: postnatal adult; Ifngtm1.1(KOMP)Vlcg/Ifng+ (more )
Structure Level Pattern Image Note
TS28: ileum Present UC Davis_1880924

Specimen UC Davis_1880925: postnatal adult; Ifngtm1.1(KOMP)Vlcg/Ifng+ (more )
Structure Level Pattern Image Note
TS28: ileum Present UC Davis_1880925

Specimen UC Davis_1880926: postnatal adult; Ifngtm1.1(KOMP)Vlcg/Ifng+ (more )
Structure Level Pattern Image Note
TS28: colon Present UC Davis_1880926

Specimen UC Davis_1880927: postnatal adult; Ifngtm1.1(KOMP)Vlcg/Ifng+ (more )
Structure Level Pattern Image Note
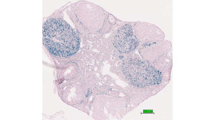
TS28: spleen Present UC Davis_1880927

Specimen UC Davis_1880928: postnatal adult; Ifngtm1.1(KOMP)Vlcg/Ifng+ (more )
Structure Level Pattern Image Note
TS28: spleen Present UC Davis_1880928

Specimen UC Davis_1880929: postnatal adult; Ifngtm1.1(KOMP)Vlcg/Ifng+ (more )
Structure Level Pattern Image Note
TS28: spleen Present UC Davis_1880929

Specimen UC Davis_1880930: postnatal adult; Ifngtm1.1(KOMP)Vlcg/Ifng+ (more )
Structure Level Pattern Image Note
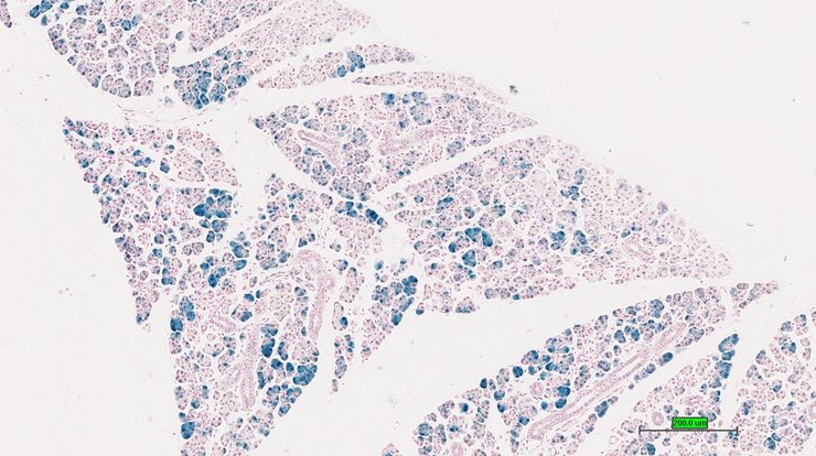
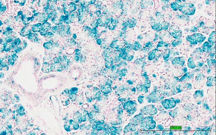
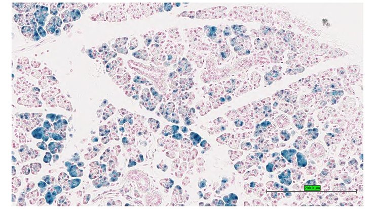
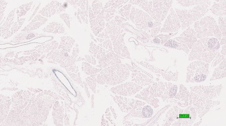
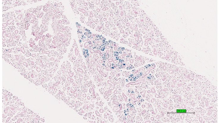
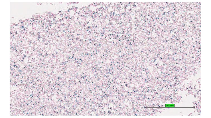
TS28: pancreas Present UC Davis_1880930

Specimen UC Davis_1880931: postnatal adult; Ifngtm1.1(KOMP)Vlcg/Ifng+ (more )
Structure Level Pattern Image Note
TS28: pancreas Present UC Davis_1880931

Specimen UC Davis_1880932: postnatal adult; Ifngtm1.1(KOMP)Vlcg/Ifng+ (more )
Structure Level Pattern Image Note
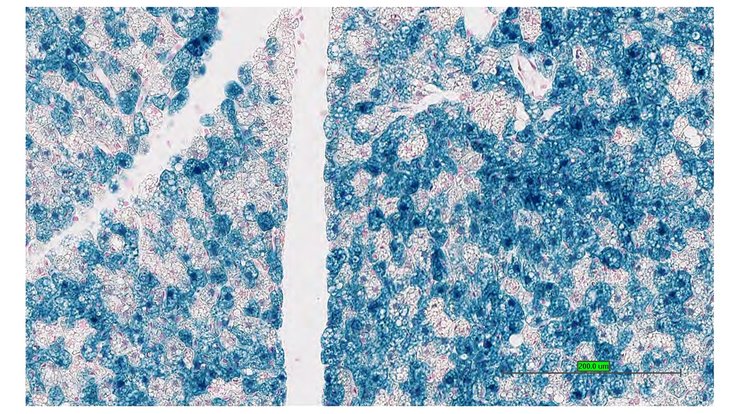
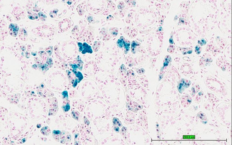
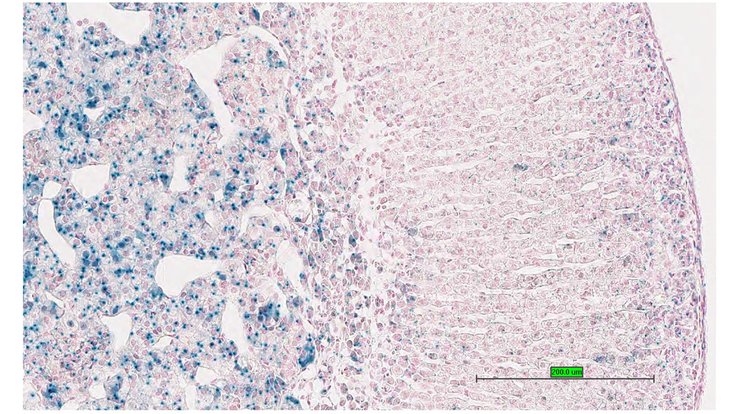
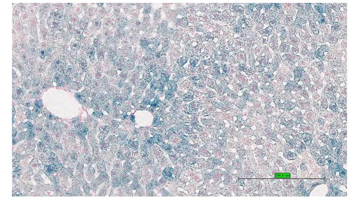
TS28: liver Present UC Davis_1880932

Specimen UC Davis_1880933: postnatal adult; Ifngtm1.1(KOMP)Vlcg/Ifng+ (more )
Structure Level Pattern Image Note
TS28: liver Present UC Davis_1880933

Specimen UC Davis_1880934: postnatal adult; Ifngtm1.1(KOMP)Vlcg/Ifng+ (more )
Structure Level Pattern Image Note
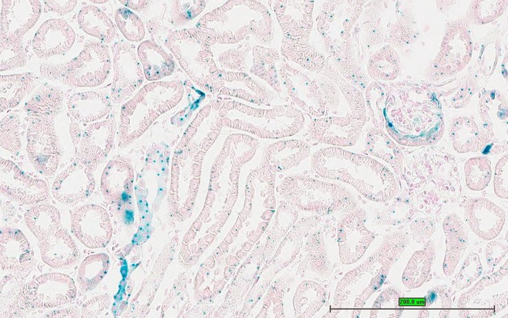
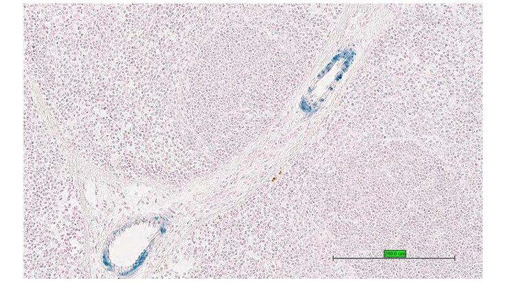
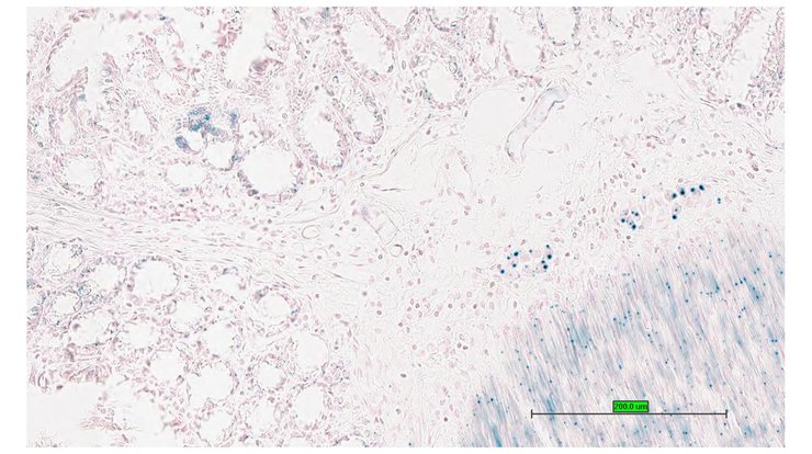
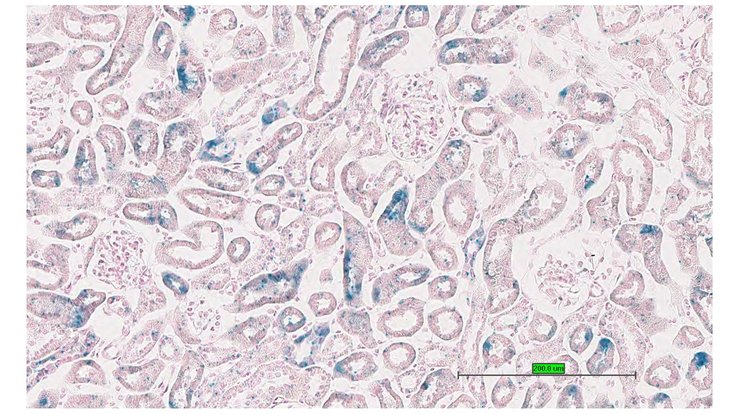
TS28: metanephros Present UC Davis_1880934 kidney

Specimen UC Davis_1880935: postnatal adult; Ifngtm1.1(KOMP)Vlcg/Ifng+ (more )
Structure Level Pattern Image Note
TS28: metanephros Present UC Davis_1880935 kidney

Specimen UC Davis_1880936: postnatal adult; Ifngtm1.1(KOMP)Vlcg/Ifng+ (more )
Structure Level Pattern Image Note
TS28: metanephros Present UC Davis_1880936 kidney

Specimen UC Davis_1880937: postnatal adult; Ifngtm1.1(KOMP)Vlcg/Ifng+ (more )
Structure Level Pattern Image Note
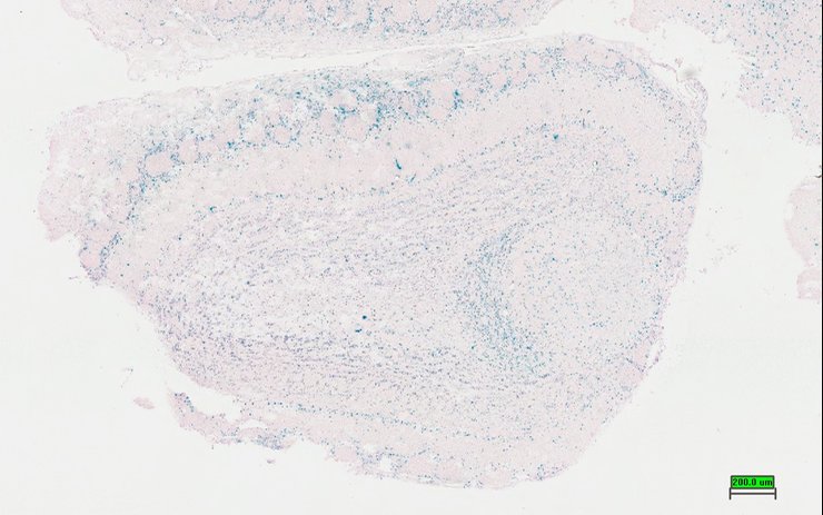
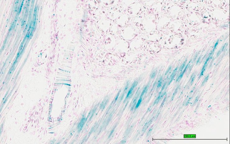
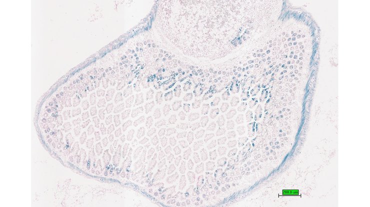
TS28: quadriceps femoris muscle Present UC Davis_1880937

Specimen UC Davis_1880938: postnatal adult; Ifngtm1.1(KOMP)Vlcg/Ifng+ (more )
Structure Level Pattern Image Note
TS28: quadriceps femoris muscle Present UC Davis_1880938

Specimen UC Davis_1880939: postnatal adult; Ifngtm1.1(KOMP)Vlcg/Ifng+ (more )
Structure Level Pattern Image Note
TS28: quadriceps femoris muscle Present UC Davis_1880939

Specimen UC Davis_1880940: postnatal adult; Ifngtm1.1(KOMP)Vlcg/Ifng+ (more )
Structure Level Pattern Image Note
TS28: quadriceps femoris muscle Present UC Davis_1880940

Specimen UC Davis_1880941: postnatal adult; Ifngtm1.1(KOMP)Vlcg/Ifng+ (more )
Structure Level Pattern Image Note
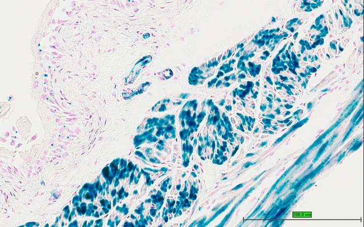
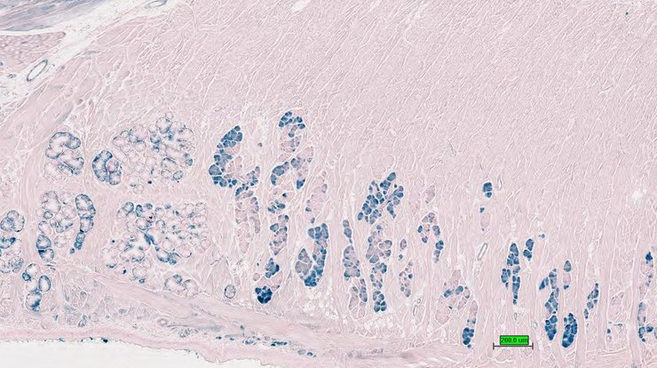
TS28: tongue Present UC Davis_1880941

Specimen UC Davis_1880942: postnatal adult; Ifngtm1.1(KOMP)Vlcg/Ifng+ (more )
Structure Level Pattern Image Note
TS28: tongue Present UC Davis_1880942

Specimen UC Davis_1880943: postnatal adult; Ifngtm1.1(KOMP)Vlcg/Ifng+ (more )
Structure Level Pattern Image Note
TS28: tongue Present UC Davis_1880943

Specimen UC Davis_1880944: postnatal adult; Ifngtm1.1(KOMP)Vlcg/Ifng+ (more )
Structure Level Pattern Image Note
TS28: diaphragm Present UC Davis_1880944

Specimen UC Davis_1880945: postnatal adult; Ifngtm1.1(KOMP)Vlcg/Ifng+ (more )
Structure Level Pattern Image Note
TS28: adrenal gland Present UC Davis_1880945

Specimen UC Davis_1880946: postnatal adult; Ifngtm1.1(KOMP)Vlcg/Ifng+ (more )
Structure Level Pattern Image Note
TS28: adrenal gland Present UC Davis_1880946

Specimen UC Davis_1880947: postnatal adult; Ifngtm1.1(KOMP)Vlcg/Ifng+ (more )
Structure Level Pattern Image Note
TS28: pituitary gland Present UC Davis_1880947

Specimen UC Davis_1880948: postnatal adult; Ifngtm1.1(KOMP)Vlcg/Ifng+ (more )
Structure Level Pattern Image Note
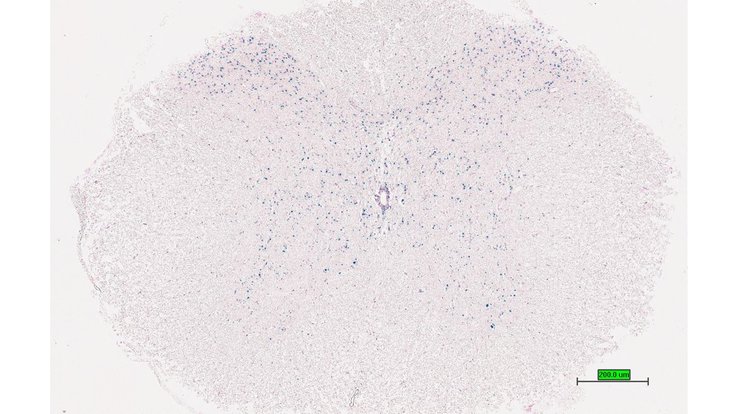
TS28: spinal cord Present UC Davis_1880948

Specimen UC Davis_1880949: postnatal adult; Ifngtm1.1(KOMP)Vlcg/Ifng+ (more )
Structure Level Pattern Image Note
TS28: spinal cord Present UC Davis_1880949

Specimen UC Davis_1880950: postnatal adult; Ifngtm1.1(KOMP)Vlcg/Ifng+ (more )
Structure Level Pattern Image Note
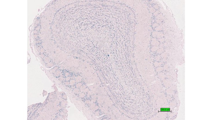
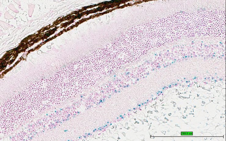
TS28: eye Present UC Davis_1880950

Specimen UC Davis_1880951: postnatal adult; Ifngtm1.1(KOMP)Vlcg/Ifng+ (more )
Structure Level Pattern Image Note
TS28: eye Present UC Davis_1880951

Specimen UC Davis_1880952: postnatal adult; Ifngtm1.1(KOMP)Vlcg/Ifng+ (more )
Structure Level Pattern Image Note
TS28: eye Present UC Davis_1880952

Specimen UC Davis_1880954: postnatal adult; Ifngtm1.1(KOMP)Vlcg/Ifng+ (more )
Structure Level Pattern Image Note
TS28: Harderian gland Present UC Davis_1880954

Specimen UC Davis_1880955: postnatal adult; Ifngtm1.1(KOMP)Vlcg/Ifng+ (more )
Structure Level Pattern Image Note
TS28: Harderian gland Present UC Davis_1880955

Specimen UC Davis_1880956: postnatal adult; Ifngtm1.1(KOMP)Vlcg/Ifng+ (more )
Structure Level Pattern Image Note
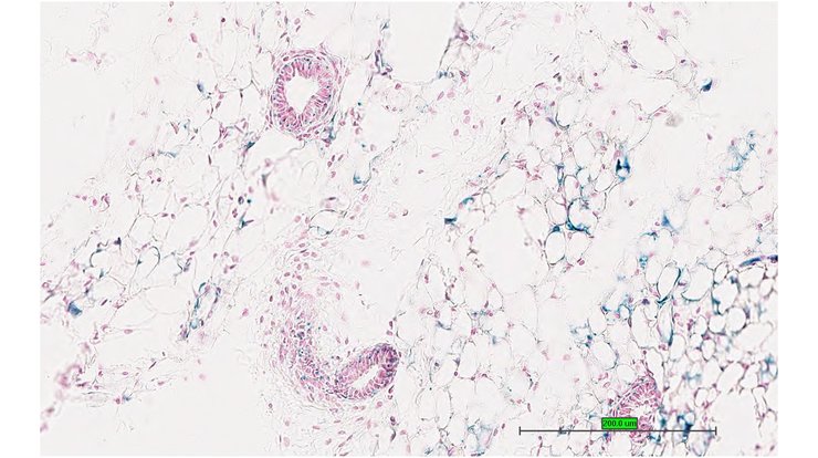
TS28: gonadal fat pad Present UC Davis_1880956

Specimen UC Davis_1880957: postnatal adult; Ifngtm1.1(KOMP)Vlcg/Ifng+ (more )
Structure Level Pattern Image Note
TS28: gonadal fat pad Present UC Davis_1880957

Specimen UC Davis_1880958: postnatal adult; Ifngtm1.1(KOMP)Vlcg/Ifng+ (more )
Structure Level Pattern Image Note
TS28: gonadal fat pad Present UC Davis_1880958

Specimen UC Davis_1880959: postnatal adult; Ifngtm1.1(KOMP)Vlcg/Ifng+ (more )
Structure Level Pattern Image Note
TS28: gonadal fat pad Present UC Davis_1880959

Specimen UC Davis_1880960: postnatal adult; Ifngtm1.1(KOMP)Vlcg/Ifng+ (more )
Structure Level Pattern Image Note
TS28: mesenteric adipose tissue Present UC Davis_1880960

Specimen UC Davis_1880961: postnatal adult; Ifngtm1.1(KOMP)Vlcg/Ifng+ (more )
Structure Level Pattern Image Note
TS28: mesenteric adipose tissue Present UC Davis_1880961

Specimen UC Davis_1880962: postnatal adult; Ifngtm1.1(KOMP)Vlcg/Ifng+ (more )
Structure Level Pattern Image Note
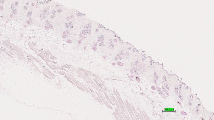
TS28: skin Present UC Davis_1880962

Specimen UC Davis_1880963: postnatal adult; Ifngtm1.1(KOMP)Vlcg/Ifng+ (more )
Structure Level Pattern Image Note
TS28: skin Present UC Davis_1880963

Specimen UC Davis_1880964: postnatal adult; Ifngtm1.1(KOMP)Vlcg/Ifng+ (more )
Structure Level Pattern Image Note
TS28: skin Present UC Davis_1880964

Specimen UC Davis_1880965: postnatal adult; Ifngtm1.1(KOMP)Vlcg/Ifng+ (more )
Structure Level Pattern Image Note
TS28: brown fat Present UC Davis_1880965

Specimen UC Davis_1880966: postnatal adult; Ifngtm1.1(KOMP)Vlcg/Ifng+ (more )
Structure Level Pattern Image Note
TS28: brown fat Present UC Davis_1880966

Specimen UC Davis_1880967: postnatal adult; Ifngtm1.1(KOMP)Vlcg/Ifng+ (more )
Structure Level Pattern Image Note
TS28: olfactory lobe Present UC Davis_1880967

Specimen UC Davis_1880970: postnatal adult; Ifngtm1.1(KOMP)Vlcg/Ifng+ (more )
Structure Level Pattern Image Note
TS28: midbrain Present UC Davis_1880970

Specimen UC Davis_1880972: postnatal adult; Ifngtm1.1(KOMP)Vlcg/Ifng+ (more )
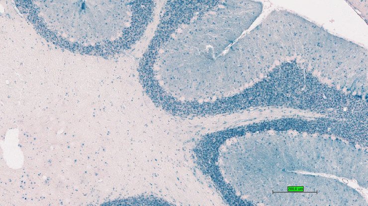
Structure Level Pattern Image Note
TS28: cerebellum Present UC Davis_1880972

Specimen UC Davis_1880973: postnatal adult; Ifngtm1.1(KOMP)Vlcg/Ifng+ (more )
Structure Level Pattern Image Note
TS28: cerebellum Present UC Davis_1880973

Specimen UC Davis_1880974: postnatal adult; Ifngtm1.1(KOMP)Vlcg/Ifng+ (more )
Structure Level Pattern Image Note
TS28: trigeminal nerve Present UC Davis_1880974

Specimen UC Davis_1880975: postnatal adult; Ifngtm1.1(KOMP)Vlcg/Ifng+ (more )
Structure Level Pattern Image Note
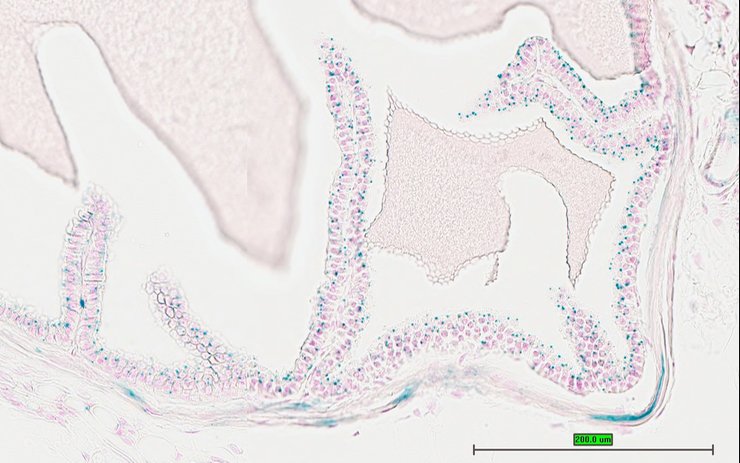
TS28: ovary Present UC Davis_1880975

Specimen UC Davis_1880976: postnatal adult; Ifngtm1.1(KOMP)Vlcg/Ifng+ (more )
Structure Level Pattern Image Note
TS28: ovary Present UC Davis_1880976

Specimen UC Davis_1880977: postnatal adult; Ifngtm1.1(KOMP)Vlcg/Ifng+ (more )
Structure Level Pattern Image Note
TS28: ovary Present UC Davis_1880977

Specimen UC Davis_1880978: postnatal adult; Ifngtm1.1(KOMP)Vlcg/Ifng+ (more )
Structure Level Pattern Image Note
TS28: ovary Present UC Davis_1880978

Specimen UC Davis_1880979: postnatal adult; Ifngtm1.1(KOMP)Vlcg/Ifng+ (more )
Structure Level Pattern Image Note
TS28: ovary Present UC Davis_1880979

Specimen UC Davis_1880980: postnatal adult; Ifngtm1.1(KOMP)Vlcg/Ifng+ (more )
Structure Level Pattern Image Note
TS28: oviduct Present UC Davis_1880980

Specimen UC Davis_1880981: postnatal adult; Ifngtm1.1(KOMP)Vlcg/Ifng+ (more )
Structure Level Pattern Image Note
TS28: oviduct Present UC Davis_1880981

Specimen UC Davis_1880982: postnatal adult; Ifngtm1.1(KOMP)Vlcg/Ifng+ (more )
Structure Level Pattern Image Note
TS28: uterus Present UC Davis_1880982

Specimen UC Davis_1880983: postnatal adult; Ifngtm1.1(KOMP)Vlcg/Ifng+ (more )
Structure Level Pattern Image Note
TS28: uterus Present UC Davis_1880983

Specimen UC Davis_1880984: postnatal adult; Ifngtm1.1(KOMP)Vlcg/Ifng+ (more )
Structure Level Pattern Image Note
TS28: bladder Present UC Davis_1880984

Specimen UC Davis_1880985: postnatal adult; Ifngtm1.1(KOMP)Vlcg/Ifng+ (more )
Structure Level Pattern Image Note
TS28: mammary gland Present UC Davis_1880985

Specimen UC Davis_1880986: postnatal adult; Ifngtm1.1(KOMP)Vlcg/Ifng+ (more )
Structure Level Pattern Image Note
TS28: submandibular gland Present UC Davis_1880986

Specimen UC Davis_1880987: postnatal adult; Ifngtm1.1(KOMP)Vlcg/Ifng+ (more )
Structure Level Pattern Image Note
TS28: sublingual gland Present UC Davis_1880987

Specimen UC Davis_1880988: postnatal adult; Ifngtm1.1(KOMP)Vlcg/Ifng+ (more )
Structure Level Pattern Image Note
TS28: parotid gland Present UC Davis_1880988

Specimen UC Davis_1880989: postnatal adult; Ifngtm1.1(KOMP)Vlcg/Ifng+ (more )
Structure Level Pattern Image Note
TS28: trachea Present UC Davis_1880989

Specimen UC Davis_1880990: postnatal adult; Ifngtm1.1(KOMP)Vlcg/Ifng+ (more )
Structure Level Pattern Image Note
TS28: esophagus Present UC Davis_1880990

Specimen UC Davis_1880991: postnatal adult; Ifngtm1.1(KOMP)Vlcg/Ifng+ (more )
Structure Level Pattern Image Note
TS28: thyroid gland Present UC Davis_1880991

Specimen UC Davis_1880993: postnatal adult; Ifngtm1.1(KOMP)Vlcg/Ifng+ (more )
Structure Level Pattern Image Note
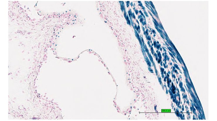
TS28: aorta Present UC Davis_1880993

Specimen UC Davis_1880994: postnatal adult; Ifngtm1.1(KOMP)Vlcg/Ifng+ (more )
Structure Level Pattern Image Note
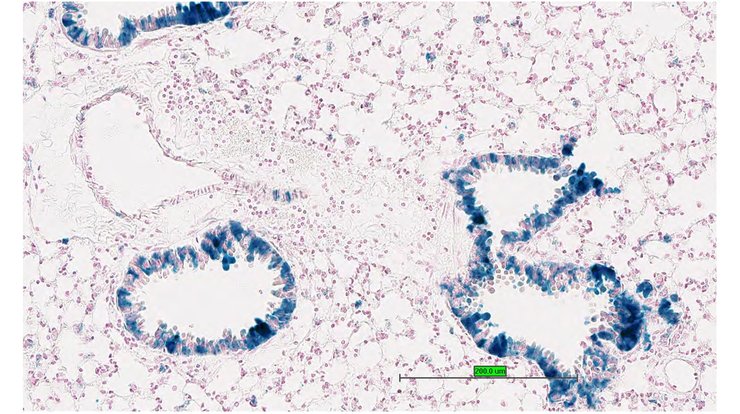
TS28: lung Present UC Davis_1880994

Specimen UC Davis_1880995: postnatal adult; Ifngtm1.1(KOMP)Vlcg/Ifng+ (more )
Structure Level Pattern Image Note
TS28: lung Present UC Davis_1880995

Specimen UC Davis_1880996: postnatal adult; Ifngtm1.1(KOMP)Vlcg/Ifng+ (more )
Structure Level Pattern Image Note
TS28: thymus Present UC Davis_1880996

Specimen UC Davis_1880999: postnatal adult; Ifngtm1.1(KOMP)Vlcg/Ifng+ (more )
Structure Level Pattern Image Note
TS28: stomach Present UC Davis_1880999

Specimen UC Davis_1881000: postnatal adult; Ifngtm1.1(KOMP)Vlcg/Ifng+ (more )
Structure Level Pattern Image Note
TS28: stomach Present UC Davis_1881000

Specimen UC Davis_1881001: postnatal adult; Ifngtm1.1(KOMP)Vlcg/Ifng+ (more )
Structure Level Pattern Image Note
TS28: ileum Present UC Davis_1881001

Specimen UC Davis_1881002: postnatal adult; Ifngtm1.1(KOMP)Vlcg/Ifng+ (more )
Structure Level Pattern Image Note
TS28: colon Present UC Davis_1881002

Specimen UC Davis_1881003: postnatal adult; Ifngtm1.1(KOMP)Vlcg/Ifng+ (more )
Structure Level Pattern Image Note
TS28: spleen Present UC Davis_1881003

Specimen UC Davis_1881004: postnatal adult; Ifngtm1.1(KOMP)Vlcg/Ifng+ (more )
Structure Level Pattern Image Note
TS28: pancreas Present UC Davis_1881004

Specimen UC Davis_1881005: postnatal adult; Ifngtm1.1(KOMP)Vlcg/Ifng+ (more )
Structure Level Pattern Image Note
TS28: liver Present UC Davis_1881005

Specimen UC Davis_1881006: postnatal adult; Ifngtm1.1(KOMP)Vlcg/Ifng+ (more )
Structure Level Pattern Image Note
TS28: liver Present UC Davis_1881006

Specimen UC Davis_1881007: postnatal adult; Ifngtm1.1(KOMP)Vlcg/Ifng+ (more )
Structure Level Pattern Image Note
TS28: liver Present UC Davis_1881007

Specimen UC Davis_1881008: postnatal adult; Ifngtm1.1(KOMP)Vlcg/Ifng+ (more )
Structure Level Pattern Image Note
TS28: metanephros Present UC Davis_1881008 kidney

Specimen UC Davis_1881009: postnatal adult; Ifngtm1.1(KOMP)Vlcg/Ifng+ (more )
Structure Level Pattern Image Note
TS28: metanephros Present UC Davis_1881009 kidney

Specimen UC Davis_1881010: postnatal adult; Ifngtm1.1(KOMP)Vlcg/Ifng+ (more )
Structure Level Pattern Image Note
TS28: metanephros Present UC Davis_1881010 kidney

Specimen UC Davis_1881011: postnatal adult; Ifngtm1.1(KOMP)Vlcg/Ifng+ (more )
Structure Level Pattern Image Note
TS28: quadriceps femoris muscle Present UC Davis_1881011

Specimen UC Davis_1881012: postnatal adult; Ifngtm1.1(KOMP)Vlcg/Ifng+ (more )
Structure Level Pattern Image Note
TS28: quadriceps femoris muscle Present UC Davis_1881012

Specimen UC Davis_1881013: postnatal adult; Ifngtm1.1(KOMP)Vlcg/Ifng+ (more )
Structure Level Pattern Image Note
TS28: tongue Present UC Davis_1881013

Specimen UC Davis_1881014: postnatal adult; Ifngtm1.1(KOMP)Vlcg/Ifng+ (more )
Structure Level Pattern Image Note
TS28: tongue Present UC Davis_1881014

Specimen UC Davis_1881015: postnatal adult; Ifngtm1.1(KOMP)Vlcg/Ifng+ (more )
Structure Level Pattern Image Note
TS28: diaphragm Present UC Davis_1881015

Specimen UC Davis_1881016: postnatal adult; Ifngtm1.1(KOMP)Vlcg/Ifng+ (more )
Structure Level Pattern Image Note
TS28: adrenal gland Present UC Davis_1881016

Specimen UC Davis_1881017: postnatal adult; Ifngtm1.1(KOMP)Vlcg/Ifng+ (more )
Structure Level Pattern Image Note
TS28: spinal cord Present UC Davis_1881017

Specimen UC Davis_1881018: postnatal adult; Ifngtm1.1(KOMP)Vlcg/Ifng+ (more )
Structure Level Pattern Image Note
TS28: eye Present UC Davis_1881018

Specimen UC Davis_1881019: postnatal adult; Ifngtm1.1(KOMP)Vlcg/Ifng+ (more )
Structure Level Pattern Image Note
TS28: eye Present UC Davis_1881019

Specimen UC Davis_1881020: postnatal adult; Ifngtm1.1(KOMP)Vlcg/Ifng+ (more )
Structure Level Pattern Image Note
TS28: eye Present UC Davis_1881020

Specimen UC Davis_1881022: postnatal adult; Ifngtm1.1(KOMP)Vlcg/Ifng+ (more )
Structure Level Pattern Image Note
TS28: Harderian gland Present UC Davis_1881022

Specimen UC Davis_1881023: postnatal adult; Ifngtm1.1(KOMP)Vlcg/Ifng+ (more )
Structure Level Pattern Image Note
TS28: gonadal fat pad Present UC Davis_1881023

Specimen UC Davis_1881024: postnatal adult; Ifngtm1.1(KOMP)Vlcg/Ifng+ (more )
Structure Level Pattern Image Note
TS28: mesenteric adipose tissue Present UC Davis_1881024

Specimen UC Davis_1881025: postnatal adult; Ifngtm1.1(KOMP)Vlcg/Ifng+ (more )
Structure Level Pattern Image Note
TS28: skin Absent UC Davis_1881025

Specimen UC Davis_1881026: postnatal adult; Ifngtm1.1(KOMP)Vlcg/Ifng+ (more )
Structure Level Pattern Image Note
TS28: brown fat Present UC Davis_1881026

Specimen UC Davis_1881027: postnatal adult; Ifngtm1.1(KOMP)Vlcg/Ifng+ (more )
Structure Level Pattern Image Note
TS28: brown fat Present UC Davis_1881027

Specimen UC Davis_1881028: postnatal adult; Ifngtm1.1(KOMP)Vlcg/Ifng+ (more )
Structure Level Pattern Image Note
TS28: olfactory lobe Present UC Davis_1881028

Specimen UC Davis_1881032: postnatal adult; Ifngtm1.1(KOMP)Vlcg/Ifng+ (more )
Structure Level Pattern Image Note
TS28: midbrain Present UC Davis_1881032

Specimen UC Davis_1881034: postnatal adult; Ifngtm1.1(KOMP)Vlcg/Ifng+ (more )
Structure Level Pattern Image Note
TS28: cerebellum Present UC Davis_1881034

Specimen UC Davis_1881035: postnatal adult; Ifngtm1.1(KOMP)Vlcg/Ifng+ (more )
Structure Level Pattern Image Note
TS28: trigeminal nerve Present UC Davis_1881035

Specimen UC Davis_1881036: postnatal adult; Ifngtm1.1(KOMP)Vlcg/Ifng+ (more )
Structure Level Pattern Image Note
TS28: bladder Present UC Davis_1881036

Specimen UC Davis_1881037: postnatal adult; Ifngtm1.1(KOMP)Vlcg/Ifng+ (more )
Structure Level Pattern Image Note
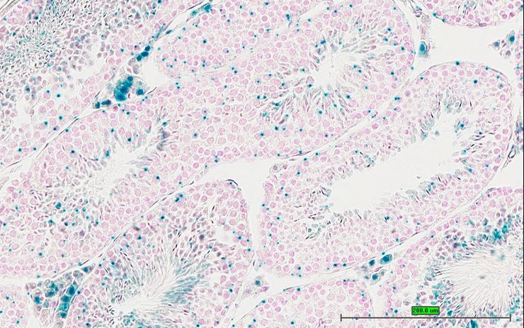
TS28: testis Present UC Davis_1881037

Specimen UC Davis_1881038: postnatal adult; Ifngtm1.1(KOMP)Vlcg/Ifng+ (more )
Structure Level Pattern Image Note
TS28: testis Present UC Davis_1881038

Specimen UC Davis_1881039: postnatal adult; Ifngtm1.1(KOMP)Vlcg/Ifng+ (more )
Structure Level Pattern Image Note
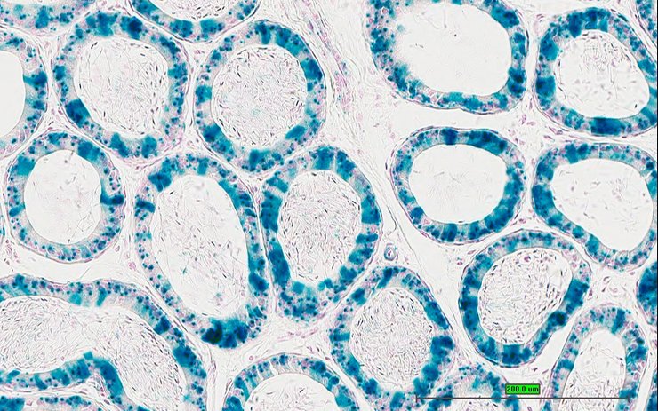
TS28: epididymis Present UC Davis_1881039

Specimen UC Davis_1881040: postnatal adult; Ifngtm1.1(KOMP)Vlcg/Ifng+ (more )
Structure Level Pattern Image Note
TS28: epididymis Present UC Davis_1881040

Specimen UC Davis_1881041: postnatal adult; Ifngtm1.1(KOMP)Vlcg/Ifng+ (more )
Structure Level Pattern Image Note
TS28: penis Present UC Davis_1881041

Specimen UC Davis_1881042: postnatal adult; Ifngtm1.1(KOMP)Vlcg/Ifng+ (more )
Structure Level Pattern Image Note
TS28: penis Present UC Davis_1881042

Specimen UC Davis_1881043: postnatal adult; Ifngtm1.1(KOMP)Vlcg/Ifng+ (more )
Structure Level Pattern Image Note
TS28: ductus deferens Present UC Davis_1881043 vas deferens

Specimen UC Davis_1881046: postnatal adult; Ifngtm1.1(KOMP)Vlcg/Ifng+ (more )
Structure Level Pattern Image Note
TS28: seminal vesicle Present UC Davis_1881046 vesicular gland


Contributing Projects:
Mouse Genome Database (MGD), Gene Expression Database (GXD), Mouse Models of Human Cancer database (MMHCdb) (formerly Mouse Tumor Biology (MTB)), Gene Ontology (GO)
Citing These Resources
Funding Information
Warranty Disclaimer, Privacy Notice, Licensing, & Copyright
Send questions and comments to User Support.
last database update
12/30/2025
MGI 6.24
The Jackson Laboratory