About   Help   FAQ
Gene Expression Data
Assay Details
Assay
Reference: J:228563 Koscielny G, et al., The International Mouse Phenotyping Consortium Web Portal, a unified point of access for knockout mice and related phenotyping data. Nucleic Acids Res. 2014 Jan;42(Database issue):D802-9
Assay type: In situ reporter (knock in)
MGI Accession ID: MGI:6691045
Gene symbol: Atf6b
Gene name: activating transcription factor 6 beta
Reporter: lacZ
Direct Detection
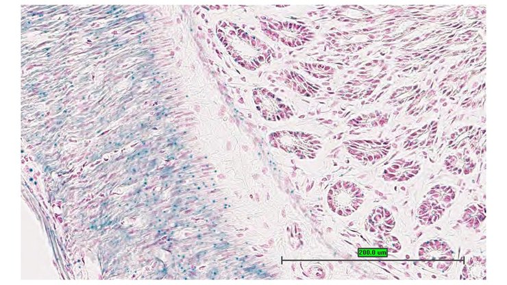
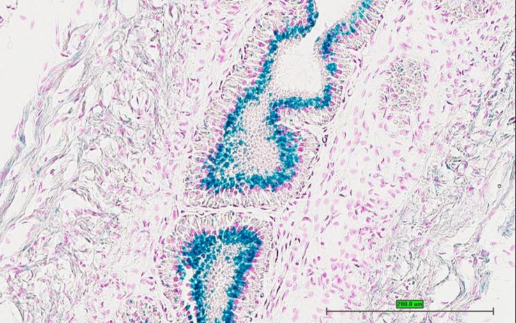
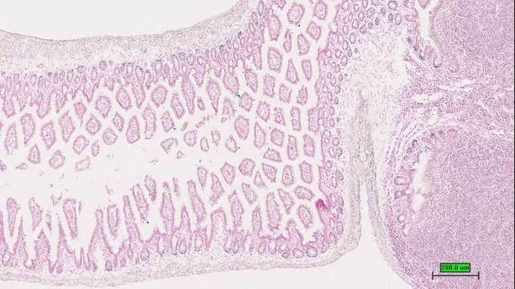
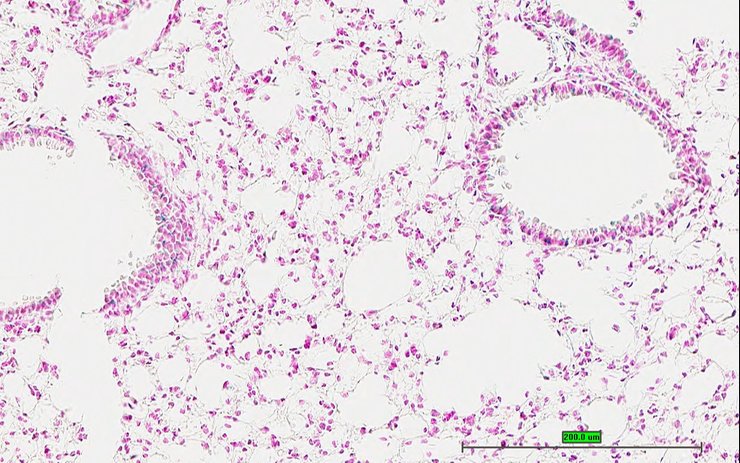
Results
Specimen UC Davis_1870075: postnatal adult; Atf6btm1.1(KOMP)Vlcg/Atf6b+ (more )
Structure Level Pattern Image Note
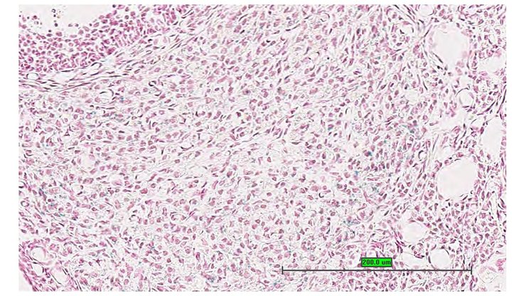
TS28: submandibular gland Present UC Davis_1870075

Specimen UC Davis_1870076: postnatal adult; Atf6btm1.1(KOMP)Vlcg/Atf6b+ (more )
Structure Level Pattern Image Note
TS28: sublingual gland Present UC Davis_1870076

Specimen UC Davis_1870077: postnatal adult; Atf6btm1.1(KOMP)Vlcg/Atf6b+ (more )
Structure Level Pattern Image Note
TS28: parotid gland Present UC Davis_1870077

Specimen UC Davis_1870079: postnatal adult; Atf6btm1.1(KOMP)Vlcg/Atf6b+ (more )
Structure Level Pattern Image Note
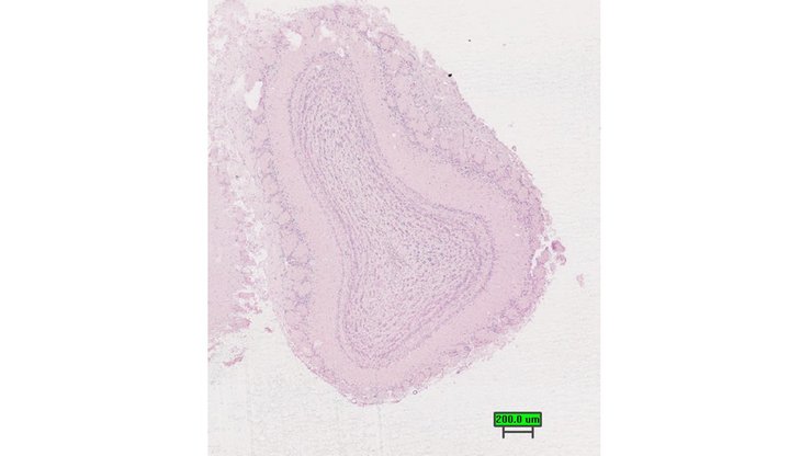
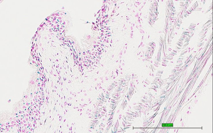
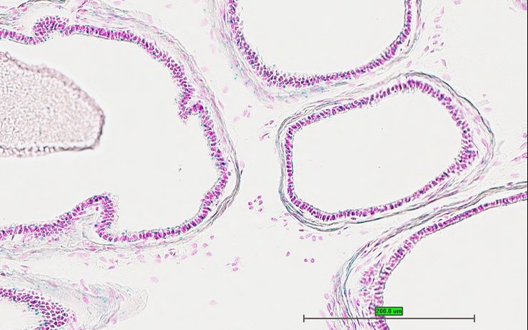
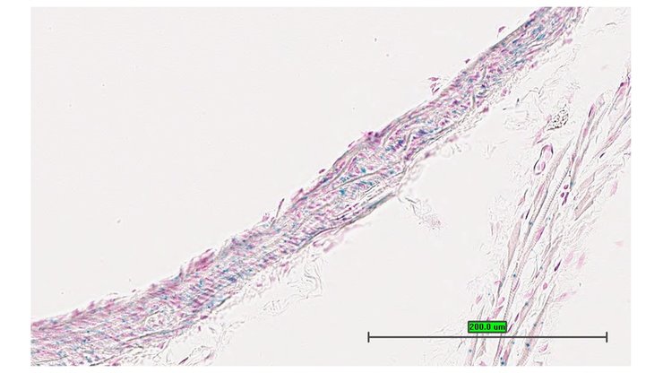
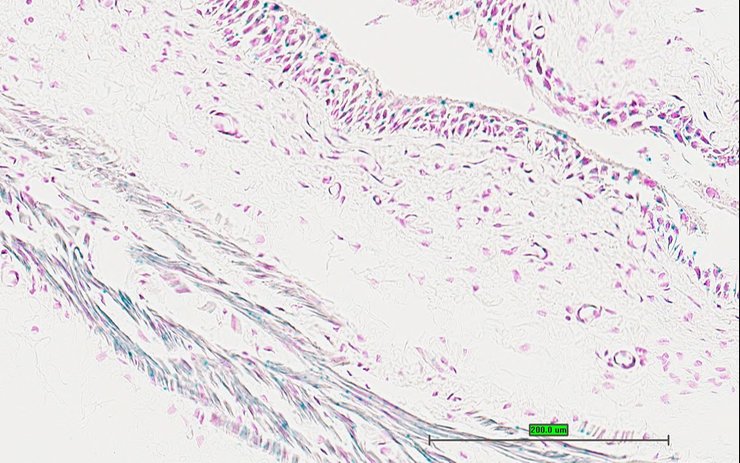
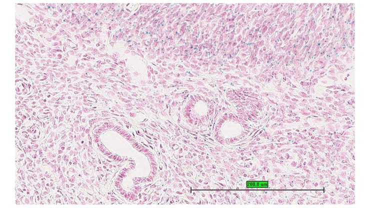
TS28: trachea Present UC Davis_1870079

Specimen UC Davis_1870080: postnatal adult; Atf6btm1.1(KOMP)Vlcg/Atf6b+ (more )
Structure Level Pattern Image Note
TS28: trachea Present UC Davis_1870080

Specimen UC Davis_1870081: postnatal adult; Atf6btm1.1(KOMP)Vlcg/Atf6b+ (more )
Structure Level Pattern Image Note
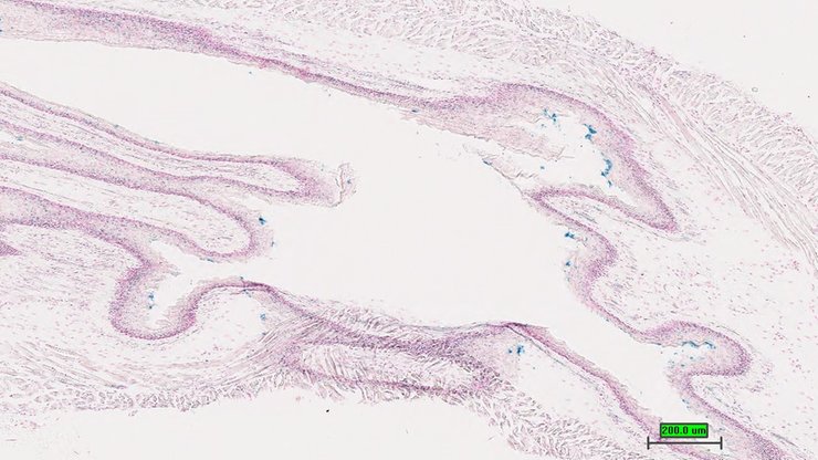
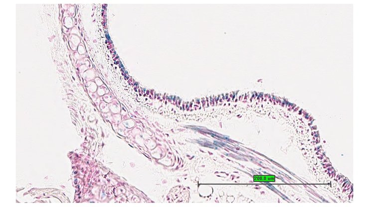
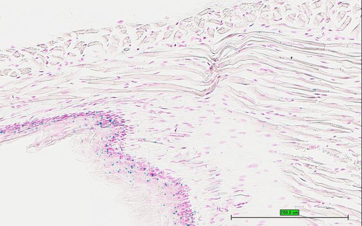
TS28: esophagus Present UC Davis_1870081

Specimen UC Davis_1870082: postnatal adult; Atf6btm1.1(KOMP)Vlcg/Atf6b+ (more )
Structure Level Pattern Image Note
TS28: esophagus Present UC Davis_1870082

Specimen UC Davis_1870083: postnatal adult; Atf6btm1.1(KOMP)Vlcg/Atf6b+ (more )
Structure Level Pattern Image Note
TS28: esophagus Present UC Davis_1870083

Specimen UC Davis_1870084: postnatal adult; Atf6btm1.1(KOMP)Vlcg/Atf6b+ (more )
Structure Level Pattern Image Note
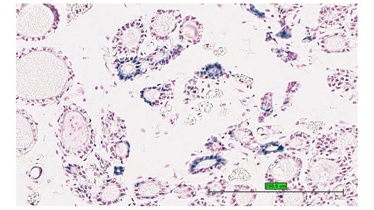
TS28: thyroid gland Present UC Davis_1870084

Specimen UC Davis_1870085: postnatal adult; Atf6btm1.1(KOMP)Vlcg/Atf6b+ (more )
Structure Level Pattern Image Note
TS28: thyroid gland Present UC Davis_1870085

Specimen UC Davis_1870086: postnatal adult; Atf6btm1.1(KOMP)Vlcg/Atf6b+ (more )
Structure Level Pattern Image Note
TS28: parathyroid gland Present UC Davis_1870086

Specimen UC Davis_1870087: postnatal adult; Atf6btm1.1(KOMP)Vlcg/Atf6b+ (more )
Structure Level Pattern Image Note
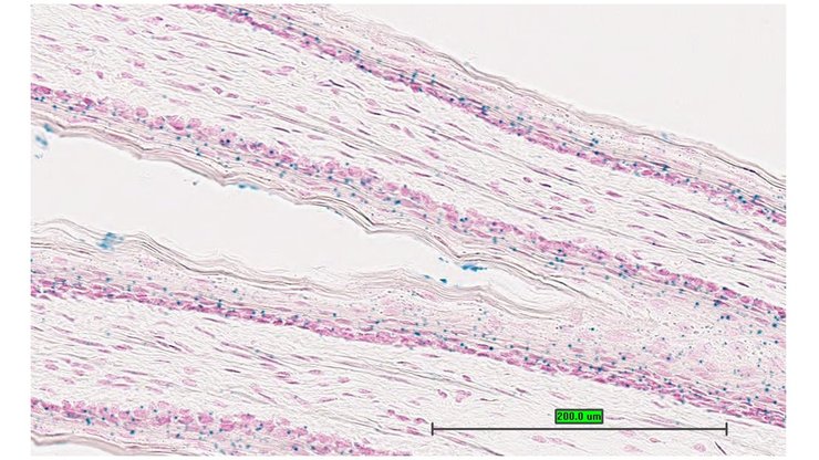
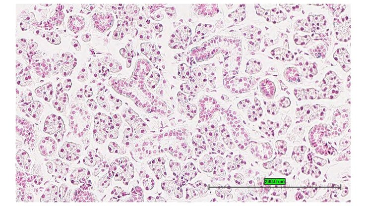
TS28: aorta Present UC Davis_1870087

Specimen UC Davis_1870088: postnatal adult; Atf6btm1.1(KOMP)Vlcg/Atf6b+ (more )
Structure Level Pattern Image Note
TS28: lung Present UC Davis_1870088

Specimen UC Davis_1870089: postnatal adult; Atf6btm1.1(KOMP)Vlcg/Atf6b+ (more )
Structure Level Pattern Image Note
TS28: lung Present UC Davis_1870089

Specimen UC Davis_1870092: postnatal adult; Atf6btm1.1(KOMP)Vlcg/Atf6b+ (more )
Structure Level Pattern Image Note
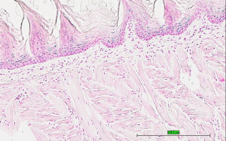
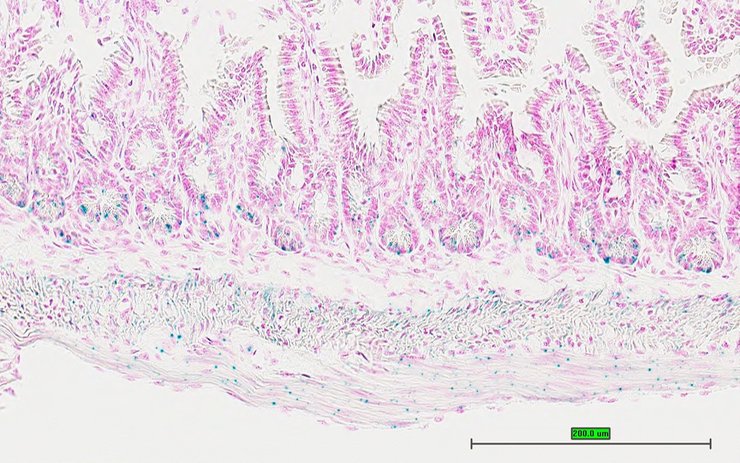
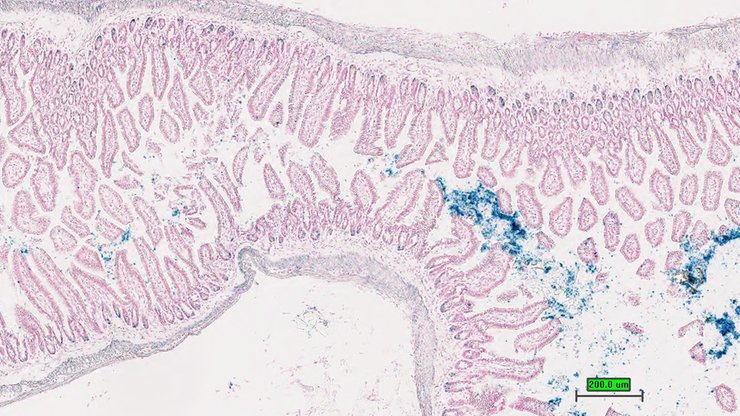
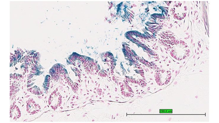
TS28: stomach Present UC Davis_1870092

Specimen UC Davis_1870093: postnatal adult; Atf6btm1.1(KOMP)Vlcg/Atf6b+ (more )
Structure Level Pattern Image Note
TS28: stomach Present UC Davis_1870093

Specimen UC Davis_1870094: postnatal adult; Atf6btm1.1(KOMP)Vlcg/Atf6b+ (more )
Structure Level Pattern Image Note
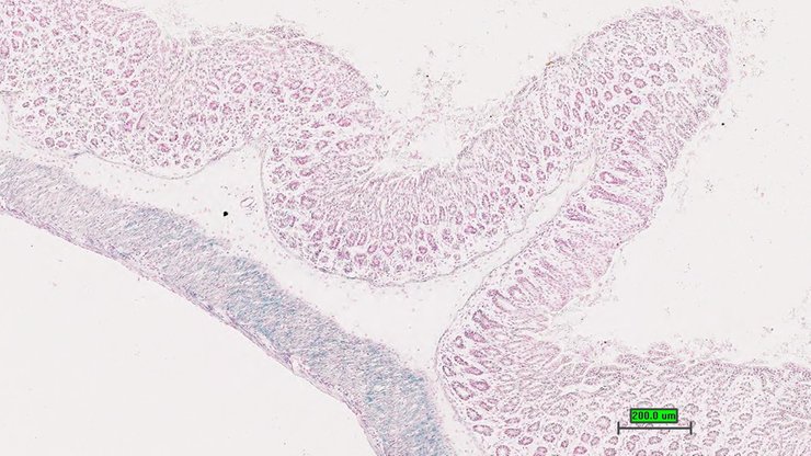
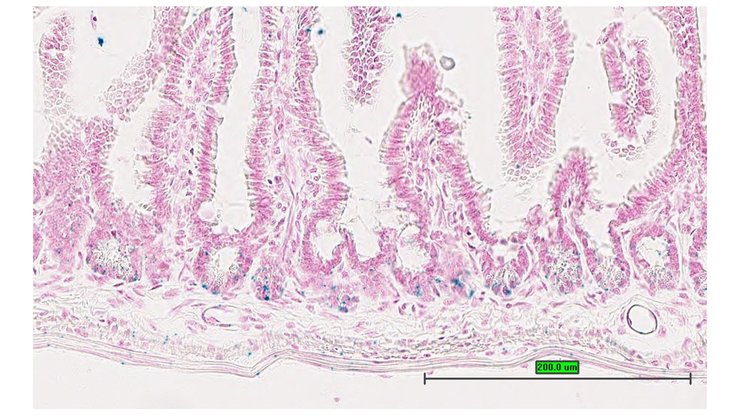
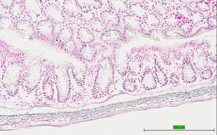
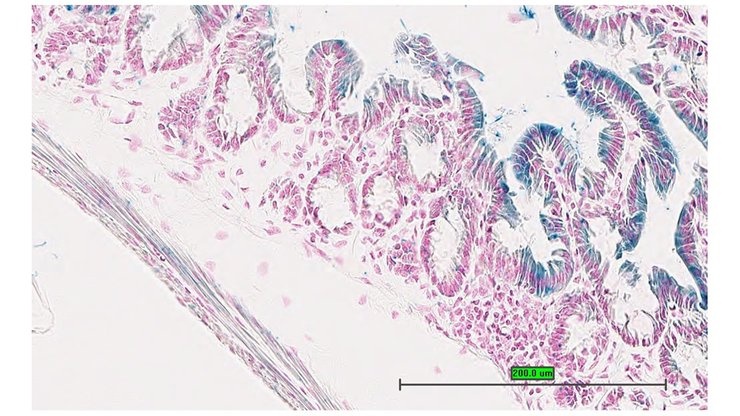
TS28: duodenum Present UC Davis_1870094

Specimen UC Davis_1870095: postnatal adult; Atf6btm1.1(KOMP)Vlcg/Atf6b+ (more )
Structure Level Pattern Image Note
TS28: jejunum Present UC Davis_1870095

Specimen UC Davis_1870096: postnatal adult; Atf6btm1.1(KOMP)Vlcg/Atf6b+ (more )
Structure Level Pattern Image Note
TS28: jejunum Present UC Davis_1870096

Specimen UC Davis_1870097: postnatal adult; Atf6btm1.1(KOMP)Vlcg/Atf6b+ (more )
Structure Level Pattern Image Note
TS28: ileum Present UC Davis_1870097

Specimen UC Davis_1870098: postnatal adult; Atf6btm1.1(KOMP)Vlcg/Atf6b+ (more )
Structure Level Pattern Image Note
TS28: ileum Present UC Davis_1870098

Specimen UC Davis_1870099: postnatal adult; Atf6btm1.1(KOMP)Vlcg/Atf6b+ (more )
Structure Level Pattern Image Note
TS28: colon Present UC Davis_1870099

Specimen UC Davis_1870100: postnatal adult; Atf6btm1.1(KOMP)Vlcg/Atf6b+ (more )
Structure Level Pattern Image Note
TS28: colon Present UC Davis_1870100

Specimen UC Davis_1870101: postnatal adult; Atf6btm1.1(KOMP)Vlcg/Atf6b+ (more )
Structure Level Pattern Image Note
TS28: cecum Present UC Davis_1870101

Specimen UC Davis_1870102: postnatal adult; Atf6btm1.1(KOMP)Vlcg/Atf6b+ (more )
Structure Level Pattern Image Note
TS28: cecum Present UC Davis_1870102

Specimen UC Davis_1870103: postnatal adult; Atf6btm1.1(KOMP)Vlcg/Atf6b+ (more )
Structure Level Pattern Image Note
TS28: cecum Present UC Davis_1870103

Specimen UC Davis_1870104: postnatal adult; Atf6btm1.1(KOMP)Vlcg/Atf6b+ (more )
Structure Level Pattern Image Note
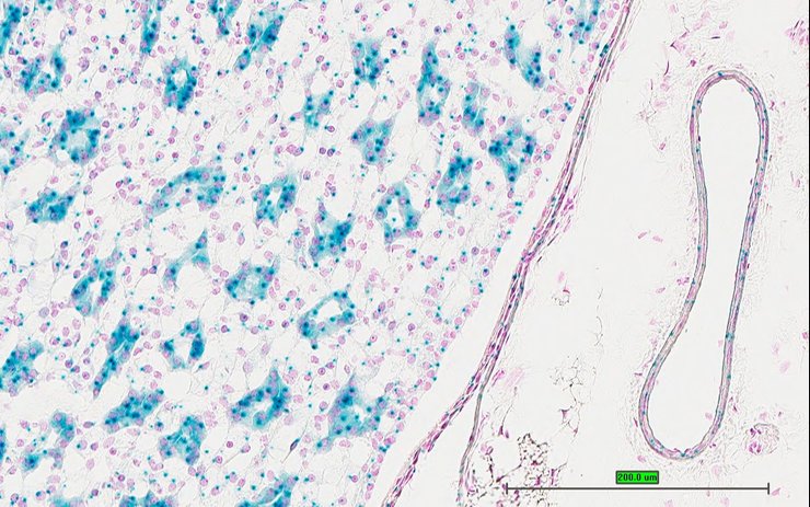
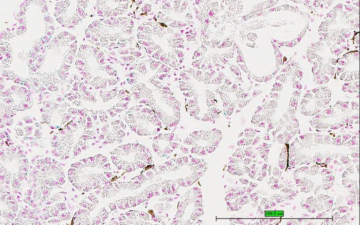
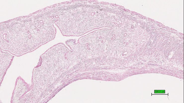
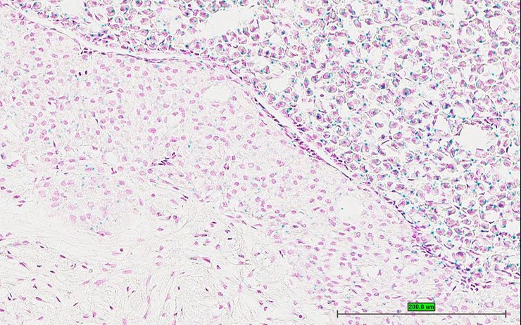
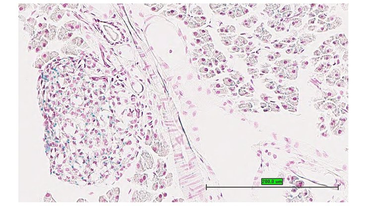
TS28: pancreas Present UC Davis_1870104

Specimen UC Davis_1870105: postnatal adult; Atf6btm1.1(KOMP)Vlcg/Atf6b+ (more )
Structure Level Pattern Image Note
TS28: pancreas Present UC Davis_1870105

Specimen UC Davis_1870106: postnatal adult; Atf6btm1.1(KOMP)Vlcg/Atf6b+ (more )
Structure Level Pattern Image Note
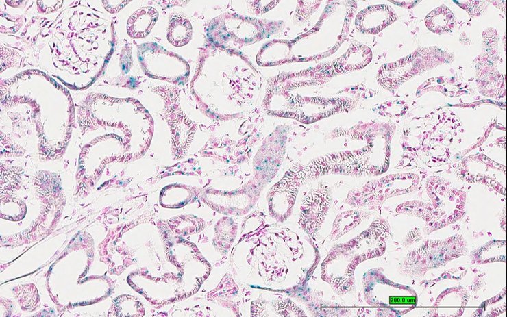
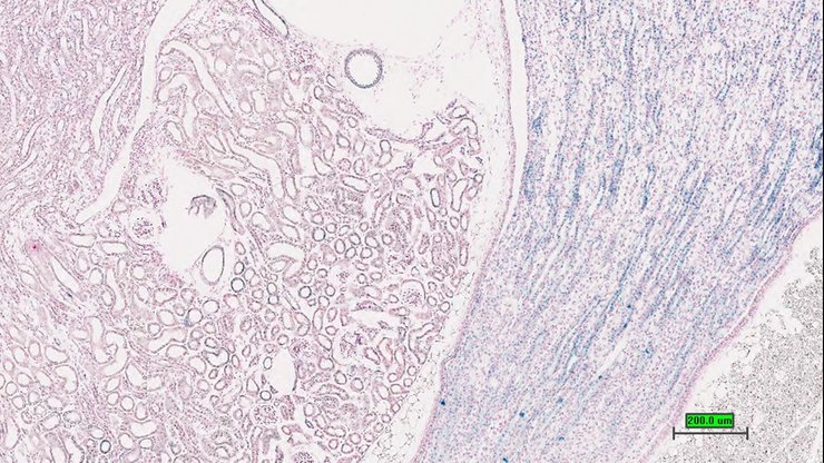
TS28: metanephros Present UC Davis_1870106 kidney

Specimen UC Davis_1870107: postnatal adult; Atf6btm1.1(KOMP)Vlcg/Atf6b+ (more )
Structure Level Pattern Image Note
TS28: metanephros Present UC Davis_1870107 kidney

Specimen UC Davis_1870108: postnatal adult; Atf6btm1.1(KOMP)Vlcg/Atf6b+ (more )
Structure Level Pattern Image Note
TS28: tongue Present UC Davis_1870108

Specimen UC Davis_1870109: postnatal adult; Atf6btm1.1(KOMP)Vlcg/Atf6b+ (more )
Structure Level Pattern Image Note
TS28: pituitary gland Present UC Davis_1870109

Specimen UC Davis_1870110: postnatal adult; Atf6btm1.1(KOMP)Vlcg/Atf6b+ (more )
Structure Level Pattern Image Note
TS28: pituitary gland Present UC Davis_1870110

Specimen UC Davis_1870111: postnatal adult; Atf6btm1.1(KOMP)Vlcg/Atf6b+ (more )
Structure Level Pattern Image Note
TS28: spinal cord Present UC Davis_1870111

Specimen UC Davis_1870112: postnatal adult; Atf6btm1.1(KOMP)Vlcg/Atf6b+ (more )
Structure Level Pattern Image Note
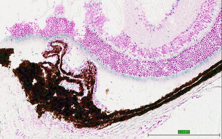
TS28: eye Present UC Davis_1870112

Specimen UC Davis_1870113: postnatal adult; Atf6btm1.1(KOMP)Vlcg/Atf6b+ (more )
Structure Level Pattern Image Note
TS28: eye Present UC Davis_1870113

Specimen UC Davis_1870115: postnatal adult; Atf6btm1.1(KOMP)Vlcg/Atf6b+ (more )
Structure Level Pattern Image Note
TS28: Harderian gland Present UC Davis_1870115

Specimen UC Davis_1870116: postnatal adult; Atf6btm1.1(KOMP)Vlcg/Atf6b+ (more )
Structure Level Pattern Image Note
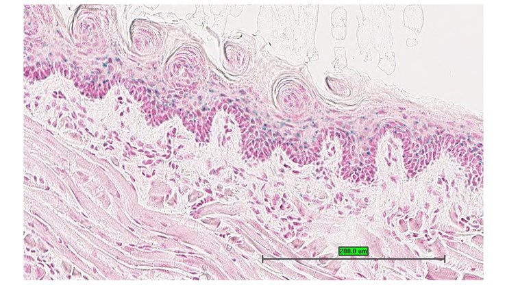
TS28: skin Present UC Davis_1870116

Specimen UC Davis_1870117: postnatal adult; Atf6btm1.1(KOMP)Vlcg/Atf6b+ (more )
Structure Level Pattern Image Note
TS28: skin Present UC Davis_1870117

Specimen UC Davis_1870118: postnatal adult; Atf6btm1.1(KOMP)Vlcg/Atf6b+ (more )
Structure Level Pattern Image Note
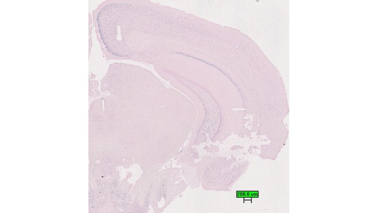
TS28: olfactory lobe Present UC Davis_1870118

Specimen UC Davis_1870121: postnatal adult; Atf6btm1.1(KOMP)Vlcg/Atf6b+ (more )
Structure Level Pattern Image Note
TS28: midbrain Present UC Davis_1870121

Specimen UC Davis_1870122: postnatal adult; Atf6btm1.1(KOMP)Vlcg/Atf6b+ (more )
Structure Level Pattern Image Note
TS28: midbrain Present UC Davis_1870122

Specimen UC Davis_1870124: postnatal adult; Atf6btm1.1(KOMP)Vlcg/Atf6b+ (more )
Structure Level Pattern Image Note
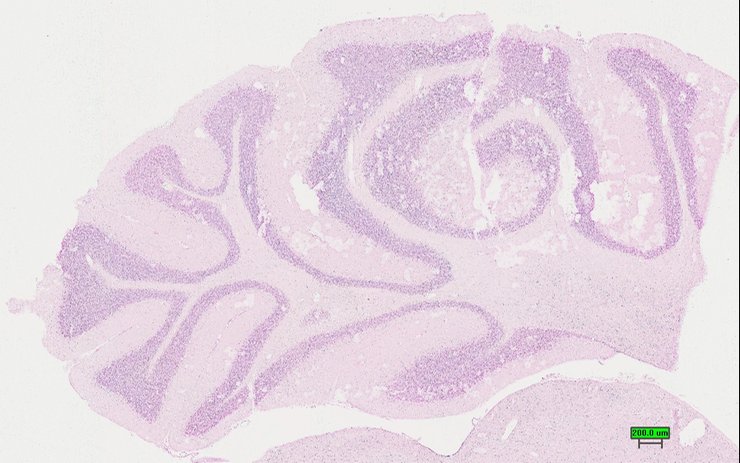
TS28: cerebellum Present UC Davis_1870124

Specimen UC Davis_1870125: postnatal adult; Atf6btm1.1(KOMP)Vlcg/Atf6b+ (more )
Structure Level Pattern Image Note
TS28: trigeminal nerve Present UC Davis_1870125

Specimen UC Davis_1870126: postnatal adult; Atf6btm1.1(KOMP)Vlcg/Atf6b+ (more )
Structure Level Pattern Image Note
TS28: trigeminal nerve Present UC Davis_1870126

Specimen UC Davis_1870127: postnatal adult; Atf6btm1.1(KOMP)Vlcg/Atf6b+ (more )
Structure Level Pattern Image Note
TS28: ovary Present UC Davis_1870127

Specimen UC Davis_1870128: postnatal adult; Atf6btm1.1(KOMP)Vlcg/Atf6b+ (more )
Structure Level Pattern Image Note
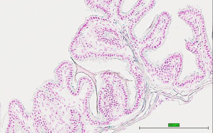
TS28: oviduct Present UC Davis_1870128

Specimen UC Davis_1870129: postnatal adult; Atf6btm1.1(KOMP)Vlcg/Atf6b+ (more )
Structure Level Pattern Image Note
TS28: uterus Present UC Davis_1870129

Specimen UC Davis_1870130: postnatal adult; Atf6btm1.1(KOMP)Vlcg/Atf6b+ (more )
Structure Level Pattern Image Note
TS28: uterus Present UC Davis_1870130

Specimen UC Davis_1870131: postnatal adult; Atf6btm1.1(KOMP)Vlcg/Atf6b+ (more )
Structure Level Pattern Image Note
TS28: uterus Present UC Davis_1870131

Specimen UC Davis_1870132: postnatal adult; Atf6btm1.1(KOMP)Vlcg/Atf6b+ (more )
Structure Level Pattern Image Note
TS28: vagina Present UC Davis_1870132

Specimen UC Davis_1870133: postnatal adult; Atf6btm1.1(KOMP)Vlcg/Atf6b+ (more )
Structure Level Pattern Image Note
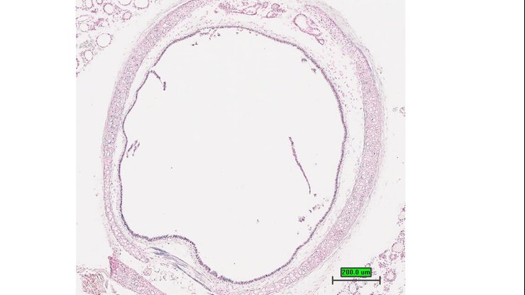
TS28: bladder Present UC Davis_1870133

Specimen UC Davis_1870134: postnatal adult; Atf6btm1.1(KOMP)Vlcg/Atf6b+ (more )
Structure Level Pattern Image Note
TS28: bladder Present UC Davis_1870134

Specimen UC Davis_1870136: postnatal adult; Atf6btm1.1(KOMP)Vlcg/Atf6b+ (more )
Structure Level Pattern Image Note
TS28: sublingual gland Present UC Davis_1870136

Specimen UC Davis_1870137: postnatal adult; Atf6btm1.1(KOMP)Vlcg/Atf6b+ (more )
Structure Level Pattern Image Note
TS28: parotid gland Present UC Davis_1870137

Specimen UC Davis_1870138: postnatal adult; Atf6btm1.1(KOMP)Vlcg/Atf6b+ (more )
Structure Level Pattern Image Note
TS28: trachea Present UC Davis_1870138

Specimen UC Davis_1870139: postnatal adult; Atf6btm1.1(KOMP)Vlcg/Atf6b+ (more )
Structure Level Pattern Image Note
TS28: esophagus Present UC Davis_1870139

Specimen UC Davis_1870140: postnatal adult; Atf6btm1.1(KOMP)Vlcg/Atf6b+ (more )
Structure Level Pattern Image Note
TS28: esophagus Present UC Davis_1870140

Specimen UC Davis_1870141: postnatal adult; Atf6btm1.1(KOMP)Vlcg/Atf6b+ (more )
Structure Level Pattern Image Note
TS28: thyroid gland Absent UC Davis_1870141

Specimen UC Davis_1870143: postnatal adult; Atf6btm1.1(KOMP)Vlcg/Atf6b+ (more )
Structure Level Pattern Image Note
TS28: aorta Present UC Davis_1870143

Specimen UC Davis_1870144: postnatal adult; Atf6btm1.1(KOMP)Vlcg/Atf6b+ (more )
Structure Level Pattern Image Note
TS28: lung Present UC Davis_1870144

Specimen UC Davis_1870145: postnatal adult; Atf6btm1.1(KOMP)Vlcg/Atf6b+ (more )
Structure Level Pattern Image Note
TS28: lung Present UC Davis_1870145

Specimen UC Davis_1870146: postnatal adult; Atf6btm1.1(KOMP)Vlcg/Atf6b+ (more )
Structure Level Pattern Image Note
TS28: thymus Present UC Davis_1870146

Specimen UC Davis_1870149: postnatal adult; Atf6btm1.1(KOMP)Vlcg/Atf6b+ (more )
Structure Level Pattern Image Note
TS28: stomach Present UC Davis_1870149

Specimen UC Davis_1870150: postnatal adult; Atf6btm1.1(KOMP)Vlcg/Atf6b+ (more )
Structure Level Pattern Image Note
TS28: stomach Present UC Davis_1870150

Specimen UC Davis_1870151: postnatal adult; Atf6btm1.1(KOMP)Vlcg/Atf6b+ (more )
Structure Level Pattern Image Note
TS28: stomach Present UC Davis_1870151

Specimen UC Davis_1870152: postnatal adult; Atf6btm1.1(KOMP)Vlcg/Atf6b+ (more )
Structure Level Pattern Image Note
TS28: stomach Present UC Davis_1870152

Specimen UC Davis_1870153: postnatal adult; Atf6btm1.1(KOMP)Vlcg/Atf6b+ (more )
Structure Level Pattern Image Note
TS28: duodenum Present UC Davis_1870153

Specimen UC Davis_1870154: postnatal adult; Atf6btm1.1(KOMP)Vlcg/Atf6b+ (more )
Structure Level Pattern Image Note
TS28: jejunum Present UC Davis_1870154

Specimen UC Davis_1870155: postnatal adult; Atf6btm1.1(KOMP)Vlcg/Atf6b+ (more )
Structure Level Pattern Image Note
TS28: ileum Present UC Davis_1870155

Specimen UC Davis_1870156: postnatal adult; Atf6btm1.1(KOMP)Vlcg/Atf6b+ (more )
Structure Level Pattern Image Note
TS28: colon Present UC Davis_1870156

Specimen UC Davis_1870157: postnatal adult; Atf6btm1.1(KOMP)Vlcg/Atf6b+ (more )
Structure Level Pattern Image Note
TS28: colon Present UC Davis_1870157

Specimen UC Davis_1870158: postnatal adult; Atf6btm1.1(KOMP)Vlcg/Atf6b+ (more )
Structure Level Pattern Image Note
TS28: colon Present UC Davis_1870158

Specimen UC Davis_1870159: postnatal adult; Atf6btm1.1(KOMP)Vlcg/Atf6b+ (more )
Structure Level Pattern Image Note
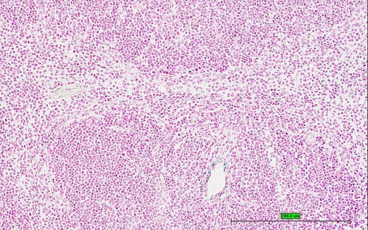
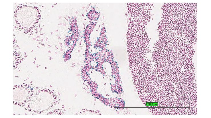
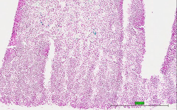
TS28: spleen Present UC Davis_1870159

Specimen UC Davis_1870160: postnatal adult; Atf6btm1.1(KOMP)Vlcg/Atf6b+ (more )
Structure Level Pattern Image Note
TS28: spleen Present UC Davis_1870160

Specimen UC Davis_1870161: postnatal adult; Atf6btm1.1(KOMP)Vlcg/Atf6b+ (more )
Structure Level Pattern Image Note
TS28: pancreas Present UC Davis_1870161

Specimen UC Davis_1870162: postnatal adult; Atf6btm1.1(KOMP)Vlcg/Atf6b+ (more )
Structure Level Pattern Image Note
TS28: pancreas Present UC Davis_1870162

Specimen UC Davis_1870163: postnatal adult; Atf6btm1.1(KOMP)Vlcg/Atf6b+ (more )
Structure Level Pattern Image Note
TS28: pancreas Present UC Davis_1870163

Specimen UC Davis_1870164: postnatal adult; Atf6btm1.1(KOMP)Vlcg/Atf6b+ (more )
Structure Level Pattern Image Note
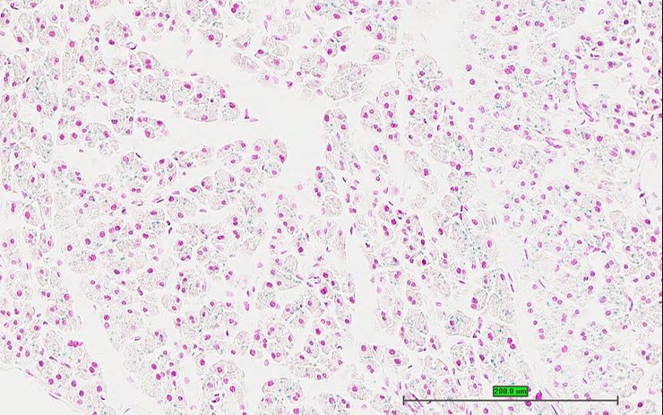
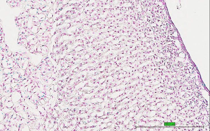
TS28: liver Present UC Davis_1870164

Specimen UC Davis_1870165: postnatal adult; Atf6btm1.1(KOMP)Vlcg/Atf6b+ (more )
Structure Level Pattern Image Note
TS28: metanephros Present UC Davis_1870165 kidney

Specimen UC Davis_1870166: postnatal adult; Atf6btm1.1(KOMP)Vlcg/Atf6b+ (more )
Structure Level Pattern Image Note
TS28: metanephros Present UC Davis_1870166 kidney

Specimen UC Davis_1870167: postnatal adult; Atf6btm1.1(KOMP)Vlcg/Atf6b+ (more )
Structure Level Pattern Image Note
TS28: metanephros Present UC Davis_1870167 kidney

Specimen UC Davis_1870168: postnatal adult; Atf6btm1.1(KOMP)Vlcg/Atf6b+ (more )
Structure Level Pattern Image Note
TS28: metanephros Present UC Davis_1870168 kidney

Specimen UC Davis_1870169: postnatal adult; Atf6btm1.1(KOMP)Vlcg/Atf6b+ (more )
Structure Level Pattern Image Note
TS28: metanephros Present UC Davis_1870169 kidney

Specimen UC Davis_1870170: postnatal adult; Atf6btm1.1(KOMP)Vlcg/Atf6b+ (more )
Structure Level Pattern Image Note
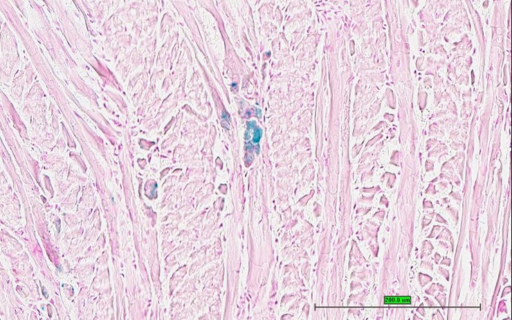
TS28: quadriceps femoris muscle Present UC Davis_1870170

Specimen UC Davis_1870171: postnatal adult; Atf6btm1.1(KOMP)Vlcg/Atf6b+ (more )
Structure Level Pattern Image Note
TS28: quadriceps femoris muscle Present UC Davis_1870171

Specimen UC Davis_1870172: postnatal adult; Atf6btm1.1(KOMP)Vlcg/Atf6b+ (more )
Structure Level Pattern Image Note
TS28: quadriceps femoris muscle Present UC Davis_1870172

Specimen UC Davis_1870173: postnatal adult; Atf6btm1.1(KOMP)Vlcg/Atf6b+ (more )
Structure Level Pattern Image Note
TS28: tongue Present UC Davis_1870173

Specimen UC Davis_1870174: postnatal adult; Atf6btm1.1(KOMP)Vlcg/Atf6b+ (more )
Structure Level Pattern Image Note
TS28: tongue Present UC Davis_1870174

Specimen UC Davis_1870175: postnatal adult; Atf6btm1.1(KOMP)Vlcg/Atf6b+ (more )
Structure Level Pattern Image Note
TS28: tongue Present UC Davis_1870175

Specimen UC Davis_1870176: postnatal adult; Atf6btm1.1(KOMP)Vlcg/Atf6b+ (more )
Structure Level Pattern Image Note
TS28: tongue Present UC Davis_1870176

Specimen UC Davis_1870177: postnatal adult; Atf6btm1.1(KOMP)Vlcg/Atf6b+ (more )
Structure Level Pattern Image Note
TS28: adrenal gland Present UC Davis_1870177

Specimen UC Davis_1870178: postnatal adult; Atf6btm1.1(KOMP)Vlcg/Atf6b+ (more )
Structure Level Pattern Image Note
TS28: pituitary gland Present UC Davis_1870178

Specimen UC Davis_1870179: postnatal adult; Atf6btm1.1(KOMP)Vlcg/Atf6b+ (more )
Structure Level Pattern Image Note
TS28: spinal cord Present UC Davis_1870179

Specimen UC Davis_1870180: postnatal adult; Atf6btm1.1(KOMP)Vlcg/Atf6b+ (more )
Structure Level Pattern Image Note
TS28: spinal cord Present UC Davis_1870180

Specimen UC Davis_1870181: postnatal adult; Atf6btm1.1(KOMP)Vlcg/Atf6b+ (more )
Structure Level Pattern Image Note
TS28: spinal cord Present UC Davis_1870181

Specimen UC Davis_1870182: postnatal adult; Atf6btm1.1(KOMP)Vlcg/Atf6b+ (more )
Structure Level Pattern Image Note
TS28: eye Present UC Davis_1870182

Specimen UC Davis_1870183: postnatal adult; Atf6btm1.1(KOMP)Vlcg/Atf6b+ (more )
Structure Level Pattern Image Note
TS28: eye Present UC Davis_1870183

Specimen UC Davis_1870184: postnatal adult; Atf6btm1.1(KOMP)Vlcg/Atf6b+ (more )
Structure Level Pattern Image Note
TS28: eye Present UC Davis_1870184

Specimen UC Davis_1870186: postnatal adult; Atf6btm1.1(KOMP)Vlcg/Atf6b+ (more )
Structure Level Pattern Image Note
TS28: Harderian gland Present UC Davis_1870186

Specimen UC Davis_1870187: postnatal adult; Atf6btm1.1(KOMP)Vlcg/Atf6b+ (more )
Structure Level Pattern Image Note
TS28: mesenteric adipose tissue Present UC Davis_1870187

Specimen UC Davis_1870188: postnatal adult; Atf6btm1.1(KOMP)Vlcg/Atf6b+ (more )
Structure Level Pattern Image Note
TS28: skin Present UC Davis_1870188

Specimen UC Davis_1870189: postnatal adult; Atf6btm1.1(KOMP)Vlcg/Atf6b+ (more )
Structure Level Pattern Image Note
TS28: brown fat Present UC Davis_1870189

Specimen UC Davis_1870190: postnatal adult; Atf6btm1.1(KOMP)Vlcg/Atf6b+ (more )
Structure Level Pattern Image Note
TS28: olfactory lobe Present UC Davis_1870190

Specimen UC Davis_1870194: postnatal adult; Atf6btm1.1(KOMP)Vlcg/Atf6b+ (more )
Structure Level Pattern Image Note
TS28: midbrain Present UC Davis_1870194

Specimen UC Davis_1870196: postnatal adult; Atf6btm1.1(KOMP)Vlcg/Atf6b+ (more )
Structure Level Pattern Image Note
TS28: cerebellum Present UC Davis_1870196

Specimen UC Davis_1870197: postnatal adult; Atf6btm1.1(KOMP)Vlcg/Atf6b+ (more )
Structure Level Pattern Image Note
TS28: trigeminal nerve Present UC Davis_1870197

Specimen UC Davis_1870198: postnatal adult; Atf6btm1.1(KOMP)Vlcg/Atf6b+ (more )
Structure Level Pattern Image Note
TS28: bladder Present UC Davis_1870198

Specimen UC Davis_1870199: postnatal adult; Atf6btm1.1(KOMP)Vlcg/Atf6b+ (more )
Structure Level Pattern Image Note
TS28: bladder Present UC Davis_1870199

Specimen UC Davis_1870200: postnatal adult; Atf6btm1.1(KOMP)Vlcg/Atf6b+ (more )
Structure Level Pattern Image Note
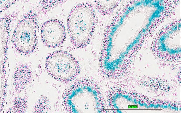
TS28: testis Present UC Davis_1870200

Specimen UC Davis_1870201: postnatal adult; Atf6btm1.1(KOMP)Vlcg/Atf6b+ (more )
Structure Level Pattern Image Note
TS28: testis Present UC Davis_1870201

Specimen UC Davis_1870202: postnatal adult; Atf6btm1.1(KOMP)Vlcg/Atf6b+ (more )
Structure Level Pattern Image Note
TS28: testis Present UC Davis_1870202

Specimen UC Davis_1870203: postnatal adult; Atf6btm1.1(KOMP)Vlcg/Atf6b+ (more )
Structure Level Pattern Image Note
TS28: epididymis Present UC Davis_1870203

Specimen UC Davis_1870204: postnatal adult; Atf6btm1.1(KOMP)Vlcg/Atf6b+ (more )
Structure Level Pattern Image Note
TS28: prostate gland Present UC Davis_1870204

Specimen UC Davis_1870205: postnatal adult; Atf6btm1.1(KOMP)Vlcg/Atf6b+ (more )
Structure Level Pattern Image Note
TS28: penis Present UC Davis_1870205

Specimen UC Davis_1870206: postnatal adult; Atf6btm1.1(KOMP)Vlcg/Atf6b+ (more )
Structure Level Pattern Image Note
TS28: penis Present UC Davis_1870206

Specimen UC Davis_1870207: postnatal adult; Atf6btm1.1(KOMP)Vlcg/Atf6b+ (more )
Structure Level Pattern Image Note
TS28: ductus deferens Present UC Davis_1870207 vas deferens

Specimen UC Davis_1870210: postnatal adult; Atf6btm1.1(KOMP)Vlcg/Atf6b+ (more )
Structure Level Pattern Image Note
TS28: seminal vesicle Present UC Davis_1870210 vesicular gland

Specimen UC Davis_1870211: postnatal adult; Atf6btm1.1(KOMP)Vlcg/Atf6b+ (more )
Structure Level Pattern Image Note
TS28: seminal vesicle Present UC Davis_1870211 vesicular gland


Contributing Projects:
Mouse Genome Database (MGD), Gene Expression Database (GXD), Mouse Models of Human Cancer database (MMHCdb) (formerly Mouse Tumor Biology (MTB)), Gene Ontology (GO)
Citing These Resources
Funding Information
Warranty Disclaimer, Privacy Notice, Licensing, & Copyright
Send questions and comments to User Support.
last database update
01/20/2026
MGI 6.24
The Jackson Laboratory