About   Help   FAQ
Gene Expression Data
Assay Details
Assay
Reference: J:228563 Koscielny G, et al., The International Mouse Phenotyping Consortium Web Portal, a unified point of access for knockout mice and related phenotyping data. Nucleic Acids Res. 2014 Jan;42(Database issue):D802-9
Assay type: In situ reporter (knock in)
MGI Accession ID: MGI:6690928
Gene symbol: Wnt11
Gene name: wingless-type MMTV integration site family, member 11
Reporter: lacZ
Direct Detection
Results
Specimen UC Davis_1871768: postnatal adult; Wnt11tm1.1(KOMP)Vlcg/Wnt11+ (more )
Structure Level Pattern Image Note
TS28: trachea Present UC Davis_1871768

Specimen UC Davis_1871769: postnatal adult; Wnt11tm1.1(KOMP)Vlcg/Wnt11+ (more )
Structure Level Pattern Image Note
TS28: lung Present UC Davis_1871769

Specimen UC Davis_1871770: postnatal adult; Wnt11tm1.1(KOMP)Vlcg/Wnt11+ (more )
Structure Level Pattern Image Note
TS28: lung Present UC Davis_1871770

Specimen UC Davis_1871771: postnatal adult; Wnt11tm1.1(KOMP)Vlcg/Wnt11+ (more )
Structure Level Pattern Image Note
TS28: lung Present UC Davis_1871771

Specimen UC Davis_1871776: postnatal adult; Wnt11tm1.1(KOMP)Vlcg/Wnt11+ (more )
Structure Level Pattern Image Note
TS28: stomach Present UC Davis_1871776

Specimen UC Davis_1871777: postnatal adult; Wnt11tm1.1(KOMP)Vlcg/Wnt11+ (more )
Structure Level Pattern Image Note
TS28: stomach Present UC Davis_1871777

Specimen UC Davis_1871778: postnatal adult; Wnt11tm1.1(KOMP)Vlcg/Wnt11+ (more )
Structure Level Pattern Image Note
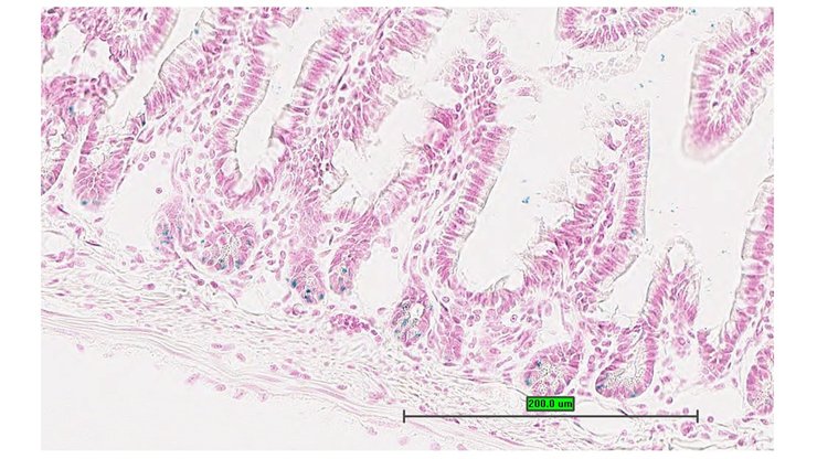
TS28: ileum Present UC Davis_1871778

Specimen UC Davis_1871779: postnatal adult; Wnt11tm1.1(KOMP)Vlcg/Wnt11+ (more )
Structure Level Pattern Image Note
TS28: colon Present UC Davis_1871779

Specimen UC Davis_1871780: postnatal adult; Wnt11tm1.1(KOMP)Vlcg/Wnt11+ (more )
Structure Level Pattern Image Note
TS28: colon Present UC Davis_1871780

Specimen UC Davis_1871781: postnatal adult; Wnt11tm1.1(KOMP)Vlcg/Wnt11+ (more )
Structure Level Pattern Image Note
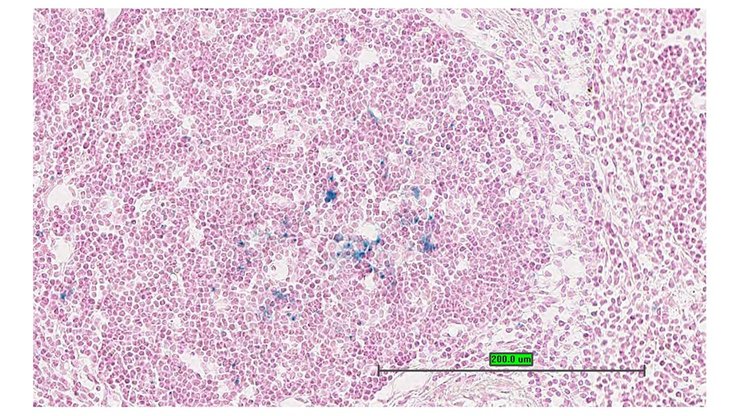
TS28: spleen Present UC Davis_1871781

Specimen UC Davis_1871782: postnatal adult; Wnt11tm1.1(KOMP)Vlcg/Wnt11+ (more )
Structure Level Pattern Image Note
TS28: spleen Present UC Davis_1871782

Specimen UC Davis_1871783: postnatal adult; Wnt11tm1.1(KOMP)Vlcg/Wnt11+ (more )
Structure Level Pattern Image Note
TS28: metanephros Present UC Davis_1871783 kidney

Specimen UC Davis_1871784: postnatal adult; Wnt11tm1.1(KOMP)Vlcg/Wnt11+ (more )
Structure Level Pattern Image Note
TS28: metanephros Present UC Davis_1871784 kidney

Specimen UC Davis_1871785: postnatal adult; Wnt11tm1.1(KOMP)Vlcg/Wnt11+ (more )
Structure Level Pattern Image Note
TS28: metanephros Present UC Davis_1871785 kidney

Specimen UC Davis_1871786: postnatal adult; Wnt11tm1.1(KOMP)Vlcg/Wnt11+ (more )
Structure Level Pattern Image Note
TS28: metanephros Present UC Davis_1871786 kidney

Specimen UC Davis_1871787: postnatal adult; Wnt11tm1.1(KOMP)Vlcg/Wnt11+ (more )
Structure Level Pattern Image Note
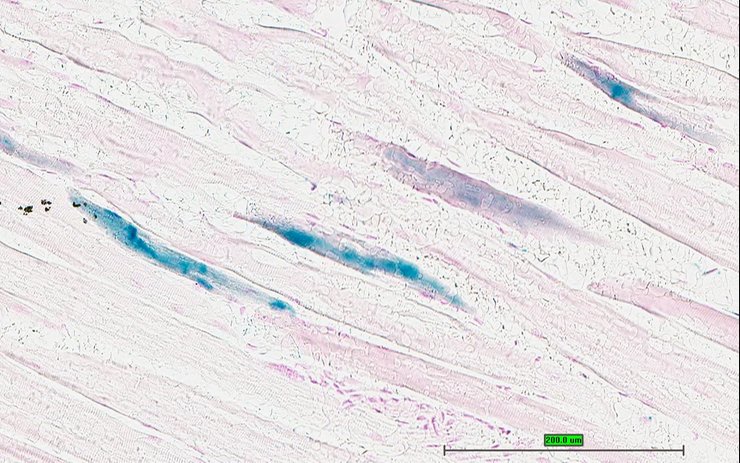
TS28: quadriceps femoris muscle Present UC Davis_1871787

Specimen UC Davis_1871788: postnatal adult; Wnt11tm1.1(KOMP)Vlcg/Wnt11+ (more )
Structure Level Pattern Image Note
TS28: quadriceps femoris muscle Present UC Davis_1871788

Specimen UC Davis_1871789: postnatal adult; Wnt11tm1.1(KOMP)Vlcg/Wnt11+ (more )
Structure Level Pattern Image Note
TS28: tongue Present UC Davis_1871789

Specimen UC Davis_1871790: postnatal adult; Wnt11tm1.1(KOMP)Vlcg/Wnt11+ (more )
Structure Level Pattern Image Note
TS28: tongue Present UC Davis_1871790

Specimen UC Davis_1871791: postnatal adult; Wnt11tm1.1(KOMP)Vlcg/Wnt11+ (more )
Structure Level Pattern Image Note
TS28: tongue Present UC Davis_1871791

Specimen UC Davis_1871792: postnatal adult; Wnt11tm1.1(KOMP)Vlcg/Wnt11+ (more )
Structure Level Pattern Image Note
TS28: diaphragm Present UC Davis_1871792

Specimen UC Davis_1871793: postnatal adult; Wnt11tm1.1(KOMP)Vlcg/Wnt11+ (more )
Structure Level Pattern Image Note
TS28: spinal cord Present UC Davis_1871793

Specimen UC Davis_1871794: postnatal adult; Wnt11tm1.1(KOMP)Vlcg/Wnt11+ (more )
Structure Level Pattern Image Note
TS28: spinal cord Present UC Davis_1871794

Specimen UC Davis_1871795: postnatal adult; Wnt11tm1.1(KOMP)Vlcg/Wnt11+ (more )
Structure Level Pattern Image Note
TS28: spinal cord Present UC Davis_1871795

Specimen UC Davis_1871796: postnatal adult; Wnt11tm1.1(KOMP)Vlcg/Wnt11+ (more )
Structure Level Pattern Image Note
TS28: eye Present UC Davis_1871796

Specimen UC Davis_1871797: postnatal adult; Wnt11tm1.1(KOMP)Vlcg/Wnt11+ (more )
Structure Level Pattern Image Note
TS28: eye Present UC Davis_1871797

Specimen UC Davis_1871798: postnatal adult; Wnt11tm1.1(KOMP)Vlcg/Wnt11+ (more )
Structure Level Pattern Image Note
TS28: skin Present UC Davis_1871798

Specimen UC Davis_1871799: postnatal adult; Wnt11tm1.1(KOMP)Vlcg/Wnt11+ (more )
Structure Level Pattern Image Note
TS28: skin Present UC Davis_1871799

Specimen UC Davis_1871800: postnatal adult; Wnt11tm1.1(KOMP)Vlcg/Wnt11+ (more )
Structure Level Pattern Image Note
TS28: brown fat Present UC Davis_1871800

Specimen UC Davis_1871801: postnatal adult; Wnt11tm1.1(KOMP)Vlcg/Wnt11+ (more )
Structure Level Pattern Image Note
TS28: brown fat Present UC Davis_1871801

Specimen UC Davis_1871803: postnatal adult; Wnt11tm1.1(KOMP)Vlcg/Wnt11+ (more )
Structure Level Pattern Image Note
TS28: midbrain Present UC Davis_1871803

Specimen UC Davis_1871805: postnatal adult; Wnt11tm1.1(KOMP)Vlcg/Wnt11+ (more )
Structure Level Pattern Image Note
TS28: cerebellum Present UC Davis_1871805

Specimen UC Davis_1871806: postnatal adult; Wnt11tm1.1(KOMP)Vlcg/Wnt11+ (more )
Structure Level Pattern Image Note
TS28: ovary Present UC Davis_1871806

Specimen UC Davis_1871807: postnatal adult; Wnt11tm1.1(KOMP)Vlcg/Wnt11+ (more )
Structure Level Pattern Image Note
TS28: oviduct Present UC Davis_1871807

Specimen UC Davis_1871808: postnatal adult; Wnt11tm1.1(KOMP)Vlcg/Wnt11+ (more )
Structure Level Pattern Image Note
TS28: oviduct Present UC Davis_1871808

Specimen UC Davis_1871809: postnatal adult; Wnt11tm1.1(KOMP)Vlcg/Wnt11+ (more )
Structure Level Pattern Image Note
TS28: uterus Present UC Davis_1871809

Specimen UC Davis_1871810: postnatal adult; Wnt11tm1.1(KOMP)Vlcg/Wnt11+ (more )
Structure Level Pattern Image Note
TS28: uterus Present UC Davis_1871810

Specimen UC Davis_1871811: postnatal adult; Wnt11tm1.1(KOMP)Vlcg/Wnt11+ (more )
Structure Level Pattern Image Note
TS28: vagina Present UC Davis_1871811

Specimen UC Davis_1871812: postnatal adult; Wnt11tm1.1(KOMP)Vlcg/Wnt11+ (more )
Structure Level Pattern Image Note
TS28: bladder Present UC Davis_1871812

Specimen UC Davis_1871813: postnatal adult; Wnt11tm1.1(KOMP)Vlcg/Wnt11+ (more )
Structure Level Pattern Image Note
TS28: mammary gland Present UC Davis_1871813

Specimen UC Davis_1871816: postnatal adult; Wnt11tm1.1(KOMP)Vlcg/Wnt11+ (more )
Structure Level Pattern Image Note
TS28: trachea Present UC Davis_1871816

Specimen UC Davis_1871817: postnatal adult; Wnt11tm1.1(KOMP)Vlcg/Wnt11+ (more )
Structure Level Pattern Image Note
TS28: trachea Present UC Davis_1871817

Specimen UC Davis_1871820: postnatal adult; Wnt11tm1.1(KOMP)Vlcg/Wnt11+ (more )
Structure Level Pattern Image Note
TS28: lung Present UC Davis_1871820

Specimen UC Davis_1871821: postnatal adult; Wnt11tm1.1(KOMP)Vlcg/Wnt11+ (more )
Structure Level Pattern Image Note
TS28: lung Present UC Davis_1871821

Specimen UC Davis_1871822: postnatal adult; Wnt11tm1.1(KOMP)Vlcg/Wnt11+ (more )
Structure Level Pattern Image Note
TS28: lung Present UC Davis_1871822

Specimen UC Davis_1871824: postnatal adult; Wnt11tm1.1(KOMP)Vlcg/Wnt11+ (more )
Structure Level Pattern Image Note
TS28: stomach Present UC Davis_1871824

Specimen UC Davis_1871825: postnatal adult; Wnt11tm1.1(KOMP)Vlcg/Wnt11+ (more )
Structure Level Pattern Image Note
TS28: stomach Present UC Davis_1871825

Specimen UC Davis_1871826: postnatal adult; Wnt11tm1.1(KOMP)Vlcg/Wnt11+ (more )
Structure Level Pattern Image Note
TS28: ileum Present UC Davis_1871826

Specimen UC Davis_1871827: postnatal adult; Wnt11tm1.1(KOMP)Vlcg/Wnt11+ (more )
Structure Level Pattern Image Note
TS28: colon Present UC Davis_1871827

Specimen UC Davis_1871828: postnatal adult; Wnt11tm1.1(KOMP)Vlcg/Wnt11+ (more )
Structure Level Pattern Image Note
TS28: colon Present UC Davis_1871828

Specimen UC Davis_1871829: postnatal adult; Wnt11tm1.1(KOMP)Vlcg/Wnt11+ (more )
Structure Level Pattern Image Note
TS28: spleen Present UC Davis_1871829

Specimen UC Davis_1871830: postnatal adult; Wnt11tm1.1(KOMP)Vlcg/Wnt11+ (more )
Structure Level Pattern Image Note
TS28: spleen Present UC Davis_1871830

Specimen UC Davis_1871831: postnatal adult; Wnt11tm1.1(KOMP)Vlcg/Wnt11+ (more )
Structure Level Pattern Image Note
TS28: spleen Present UC Davis_1871831

Specimen UC Davis_1871832: postnatal adult; Wnt11tm1.1(KOMP)Vlcg/Wnt11+ (more )
Structure Level Pattern Image Note
TS28: spleen Present UC Davis_1871832

Specimen UC Davis_1871833: postnatal adult; Wnt11tm1.1(KOMP)Vlcg/Wnt11+ (more )
Structure Level Pattern Image Note
TS28: metanephros Present UC Davis_1871833 kidney

Specimen UC Davis_1871834: postnatal adult; Wnt11tm1.1(KOMP)Vlcg/Wnt11+ (more )
Structure Level Pattern Image Note
TS28: metanephros Present UC Davis_1871834 kidney

Specimen UC Davis_1871835: postnatal adult; Wnt11tm1.1(KOMP)Vlcg/Wnt11+ (more )
Structure Level Pattern Image Note
TS28: metanephros Present UC Davis_1871835 kidney

Specimen UC Davis_1871836: postnatal adult; Wnt11tm1.1(KOMP)Vlcg/Wnt11+ (more )
Structure Level Pattern Image Note
TS28: metanephros Present UC Davis_1871836 kidney

Specimen UC Davis_1871837: postnatal adult; Wnt11tm1.1(KOMP)Vlcg/Wnt11+ (more )
Structure Level Pattern Image Note
TS28: tongue Present UC Davis_1871837

Specimen UC Davis_1871838: postnatal adult; Wnt11tm1.1(KOMP)Vlcg/Wnt11+ (more )
Structure Level Pattern Image Note
TS28: tongue Present UC Davis_1871838

Specimen UC Davis_1871839: postnatal adult; Wnt11tm1.1(KOMP)Vlcg/Wnt11+ (more )
Structure Level Pattern Image Note
TS28: tongue Present UC Davis_1871839

Specimen UC Davis_1871840: postnatal adult; Wnt11tm1.1(KOMP)Vlcg/Wnt11+ (more )
Structure Level Pattern Image Note
TS28: spinal cord Present UC Davis_1871840

Specimen UC Davis_1871841: postnatal adult; Wnt11tm1.1(KOMP)Vlcg/Wnt11+ (more )
Structure Level Pattern Image Note
TS28: spinal cord Present UC Davis_1871841

Specimen UC Davis_1871842: postnatal adult; Wnt11tm1.1(KOMP)Vlcg/Wnt11+ (more )
Structure Level Pattern Image Note
TS28: skin Present UC Davis_1871842

Specimen UC Davis_1871843: postnatal adult; Wnt11tm1.1(KOMP)Vlcg/Wnt11+ (more )
Structure Level Pattern Image Note
TS28: skin Present UC Davis_1871843

Specimen UC Davis_1871844: postnatal adult; Wnt11tm1.1(KOMP)Vlcg/Wnt11+ (more )
Structure Level Pattern Image Note
TS28: skin Present UC Davis_1871844

Specimen UC Davis_1871845: postnatal adult; Wnt11tm1.1(KOMP)Vlcg/Wnt11+ (more )
Structure Level Pattern Image Note
TS28: skin Present UC Davis_1871845

Specimen UC Davis_1871847: postnatal adult; Wnt11tm1.1(KOMP)Vlcg/Wnt11+ (more )
Structure Level Pattern Image Note
TS28: midbrain Present UC Davis_1871847

Specimen UC Davis_1871849: postnatal adult; Wnt11tm1.1(KOMP)Vlcg/Wnt11+ (more )
Structure Level Pattern Image Note
TS28: bladder Present UC Davis_1871849

Specimen UC Davis_1871850: postnatal adult; Wnt11tm1.1(KOMP)Vlcg/Wnt11+ (more )
Structure Level Pattern Image Note
TS28: bladder Present UC Davis_1871850

Specimen UC Davis_1871851: postnatal adult; Wnt11tm1.1(KOMP)Vlcg/Wnt11+ (more )
Structure Level Pattern Image Note
TS28: bladder Present UC Davis_1871851

Specimen UC Davis_1871852: postnatal adult; Wnt11tm1.1(KOMP)Vlcg/Wnt11+ (more )
Structure Level Pattern Image Note
TS28: testis Present UC Davis_1871852

Specimen UC Davis_1871853: postnatal adult; Wnt11tm1.1(KOMP)Vlcg/Wnt11+ (more )
Structure Level Pattern Image Note
TS28: testis Present UC Davis_1871853

Specimen UC Davis_1871854: postnatal adult; Wnt11tm1.1(KOMP)Vlcg/Wnt11+ (more )
Structure Level Pattern Image Note
TS28: testis Present UC Davis_1871854

Specimen UC Davis_1871855: postnatal adult; Wnt11tm1.1(KOMP)Vlcg/Wnt11+ (more )
Structure Level Pattern Image Note
TS28: epididymis Present UC Davis_1871855

Specimen UC Davis_1871856: postnatal adult; Wnt11tm1.1(KOMP)Vlcg/Wnt11+ (more )
Structure Level Pattern Image Note
TS28: epididymis Present UC Davis_1871856

Specimen UC Davis_1871857: postnatal adult; Wnt11tm1.1(KOMP)Vlcg/Wnt11+ (more )
Structure Level Pattern Image Note
TS28: prostate gland Present UC Davis_1871857

Specimen UC Davis_1871858: postnatal adult; Wnt11tm1.1(KOMP)Vlcg/Wnt11+ (more )
Structure Level Pattern Image Note
TS28: prostate gland Present UC Davis_1871858

Specimen UC Davis_1871859: postnatal adult; Wnt11tm1.1(KOMP)Vlcg/Wnt11+ (more )
Structure Level Pattern Image Note
TS28: penis Present UC Davis_1871859

Specimen UC Davis_1871860: postnatal adult; Wnt11tm1.1(KOMP)Vlcg/Wnt11+ (more )
Structure Level Pattern Image Note
TS28: penis Present UC Davis_1871860

Specimen UC Davis_1871861: postnatal adult; Wnt11tm1.1(KOMP)Vlcg/Wnt11+ (more )
Structure Level Pattern Image Note
TS28: penis Present UC Davis_1871861

Specimen UC Davis_1871862: postnatal adult; Wnt11tm1.1(KOMP)Vlcg/Wnt11+ (more )
Structure Level Pattern Image Note
TS28: ductus deferens Present UC Davis_1871862 vas deferens

Specimen UC Davis_1871863: postnatal adult; Wnt11tm1.1(KOMP)Vlcg/Wnt11+ (more )
Structure Level Pattern Image Note
TS28: ductus deferens Present UC Davis_1871863 vas deferens

Specimen UC Davis_1871864: postnatal adult; Wnt11tm1.1(KOMP)Vlcg/Wnt11+ (more )
Structure Level Pattern Image Note
TS28: ductus deferens Present UC Davis_1871864 vas deferens


Contributing Projects:
Mouse Genome Database (MGD), Gene Expression Database (GXD), Mouse Models of Human Cancer database (MMHCdb) (formerly Mouse Tumor Biology (MTB)), Gene Ontology (GO)
Citing These Resources
Funding Information
Warranty Disclaimer, Privacy Notice, Licensing, & Copyright
Send questions and comments to User Support.
last database update
12/30/2025
MGI 6.24
The Jackson Laboratory