About   Help   FAQ
Gene Expression Data
Assay Details
Assay
Reference: J:228563 Koscielny G, et al., The International Mouse Phenotyping Consortium Web Portal, a unified point of access for knockout mice and related phenotyping data. Nucleic Acids Res. 2014 Jan;42(Database issue):D802-9
Assay type: In situ reporter (knock in)
MGI Accession ID: MGI:6690925
Gene symbol: Ap1g1
Gene name: adaptor protein complex AP-1, gamma 1 subunit
Reporter: lacZ
Direct Detection
Results
Specimen JAX_1263543: embryonic day 12.5; Ap1g1tm1b(EUCOMM)Hmgu/Ap1g1+ (more )
Structure Level Pattern Image Note
TS20: embryo Present JAX_1263543

Specimen JAX_1263545: embryonic day 12.5; Ap1g1tm1b(EUCOMM)Hmgu/Ap1g1+ (more )
Structure Level Pattern Image Note
TS20: embryo Present JAX_1263545

Specimen JAX_1263547: embryonic day 12.5; Ap1g1tm1b(EUCOMM)Hmgu/Ap1g1+ (more )
Structure Level Pattern Image Note
TS20: embryo Present JAX_1263547

Specimen JAX_1263549: embryonic day 12.5; Ap1g1tm1b(EUCOMM)Hmgu/Ap1g1+ (more )
Structure Level Pattern Image Note
TS20: embryo Present JAX_1263549

Specimen JAX_1263551: embryonic day 12.5; Ap1g1tm1b(EUCOMM)Hmgu/Ap1g1+ (more )
Structure Level Pattern Image Note
TS20: embryo Present JAX_1263551

Specimen JAX_1263553: embryonic day 12.5; Ap1g1tm1b(EUCOMM)Hmgu/Ap1g1+ (more )
Structure Level Pattern Image Note
TS20: embryo Present JAX_1263553

Specimen JAX_1263555: embryonic day 12.5; Ap1g1tm1b(EUCOMM)Hmgu/Ap1g1+ (more )
Structure Level Pattern Image Note
TS20: embryo Present JAX_1263555

Specimen JAX_1263557: embryonic day 12.5; Ap1g1tm1b(EUCOMM)Hmgu/Ap1g1+ (more )
Structure Level Pattern Image Note
TS20: embryo Present JAX_1263557

Specimen JAX_1372938: postnatal adult; Ap1g1tm1b(EUCOMM)Hmgu/Ap1g1+ (more )
Structure Level Pattern Image Note
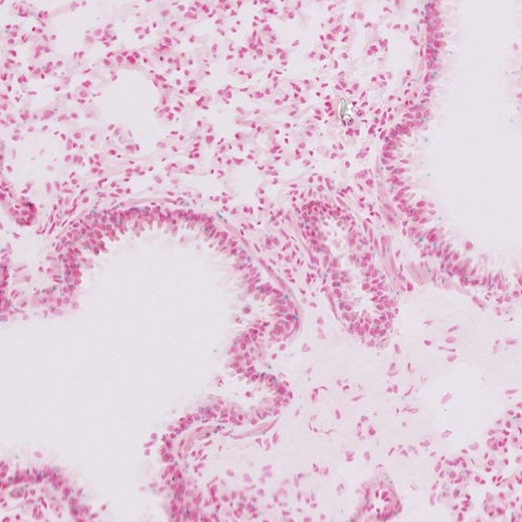
TS28: lung Present JAX_1372938

Specimen JAX_1372939: postnatal adult; Ap1g1tm1b(EUCOMM)Hmgu/Ap1g1+ (more )
Structure Level Pattern Image Note
TS28: esophagus Present JAX_1372939

Specimen JAX_1372940: postnatal adult; Ap1g1tm1b(EUCOMM)Hmgu/Ap1g1+ (more )
Structure Level Pattern Image Note
TS28: large intestine Present JAX_1372940

Specimen JAX_1372941: postnatal adult; Ap1g1tm1b(EUCOMM)Hmgu/Ap1g1+ (more )
Structure Level Pattern Image Note
TS28: uterus Present JAX_1372941

Specimen JAX_1372942: postnatal adult; Ap1g1tm1b(EUCOMM)Hmgu/Ap1g1+ (more )
Structure Level Pattern Image Note
TS28: oviduct Present JAX_1372942

Specimen JAX_1372944: postnatal adult; Ap1g1tm1b(EUCOMM)Hmgu/Ap1g1+ (more )
Structure Level Pattern Image Note
TS28: eye Present JAX_1372944

Specimen JAX_1372906: postnatal adult; Ap1g1tm1b(EUCOMM)Hmgu/Ap1g1+ (more )
Structure Level Pattern Image Note
TS28: midbrain Present JAX_1372906

Specimen JAX_1372907: postnatal adult; Ap1g1tm1b(EUCOMM)Hmgu/Ap1g1+ (more )
Structure Level Pattern Image Note
TS28: vascular system Present JAX_1372907

Specimen JAX_1372908: postnatal adult; Ap1g1tm1b(EUCOMM)Hmgu/Ap1g1+ (more )
Structure Level Pattern Image Note
TS28: epididymis Present JAX_1372908

Specimen JAX_1372909: postnatal adult; Ap1g1tm1b(EUCOMM)Hmgu/Ap1g1+ (more )
Structure Level Pattern Image Note
TS28: submandibular gland Present JAX_1372909

Specimen JAX_1372910: postnatal adult; Ap1g1tm1b(EUCOMM)Hmgu/Ap1g1+ (more )
Structure Level Pattern Image Note
TS28: bladder Present JAX_1372910

Specimen JAX_1372911: postnatal adult; Ap1g1tm1b(EUCOMM)Hmgu/Ap1g1+ (more )
Structure Level Pattern Image Note
TS28: corpus striatum Present JAX_1372911

Specimen JAX_1372912: postnatal adult; Ap1g1tm1b(EUCOMM)Hmgu/Ap1g1+ (more )
Structure Level Pattern Image Note
TS28: peripheral nervous system Present JAX_1372912

Specimen JAX_1372913: postnatal adult; Ap1g1tm1b(EUCOMM)Hmgu/Ap1g1+ (more )
Structure Level Pattern Image Note
TS28: olfactory lobe Present JAX_1372913

Specimen JAX_1372914: postnatal adult; Ap1g1tm1b(EUCOMM)Hmgu/Ap1g1+ (more )
Structure Level Pattern Image Note
TS28: hypothalamus Present JAX_1372914

Specimen JAX_1372915: postnatal adult; Ap1g1tm1b(EUCOMM)Hmgu/Ap1g1+ (more )
Structure Level Pattern Image Note
TS28: hippocampus Present JAX_1372915

Specimen JAX_1372916: postnatal adult; Ap1g1tm1b(EUCOMM)Hmgu/Ap1g1+ (more )
Structure Level Pattern Image Note
TS28: cerebellum Present JAX_1372916

Specimen JAX_1372917: postnatal adult; Ap1g1tm1b(EUCOMM)Hmgu/Ap1g1+ (more )
Structure Level Pattern Image Note
TS28: cerebral cortex Present JAX_1372917

Specimen JAX_1372918: postnatal adult; Ap1g1tm1b(EUCOMM)Hmgu/Ap1g1+ (more )
Structure Level Pattern Image Note
TS28: cartilage Present JAX_1372918

Specimen JAX_1372919: postnatal adult; Ap1g1tm1b(EUCOMM)Hmgu/Ap1g1+ (more )
Structure Level Pattern Image Note
TS28: brainstem Present JAX_1372919

Specimen JAX_1372920: postnatal adult; Ap1g1tm1b(EUCOMM)Hmgu/Ap1g1+ (more )
Structure Level Pattern Image Note
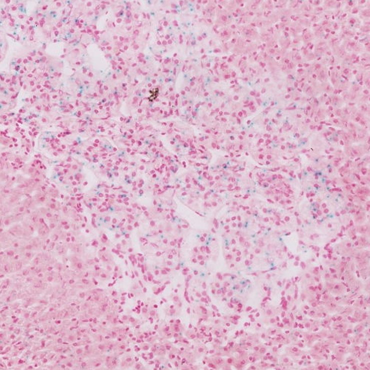
TS28: spleen Present JAX_1372920

Specimen JAX_1372921: postnatal adult; Ap1g1tm1b(EUCOMM)Hmgu/Ap1g1+ (more )
Structure Level Pattern Image Note
TS28: pancreas Present JAX_1372921

Specimen JAX_1372922: postnatal adult; Ap1g1tm1b(EUCOMM)Hmgu/Ap1g1+ (more )
Structure Level Pattern Image Note
TS28: aorta Present JAX_1372922

Specimen JAX_1372923: postnatal adult; Ap1g1tm1b(EUCOMM)Hmgu/Ap1g1+ (more )
Structure Level Pattern Image Note
TS28: lung Present JAX_1372923

Specimen JAX_1372924: postnatal adult; Ap1g1tm1b(EUCOMM)Hmgu/Ap1g1+ (more )
Structure Level Pattern Image Note
TS28: small intestine Present JAX_1372924

Specimen JAX_1372925: postnatal adult; Ap1g1tm1b(EUCOMM)Hmgu/Ap1g1+ (more )
Structure Level Pattern Image Note
TS28: pituitary gland Present JAX_1372925

Specimen JAX_1372926: postnatal adult; Ap1g1tm1b(EUCOMM)Hmgu/Ap1g1+ (more )
Structure Level Pattern Image Note
TS28: spinal cord Present JAX_1372926

Specimen JAX_1372927: postnatal adult; Ap1g1tm1b(EUCOMM)Hmgu/Ap1g1+ (more )
Structure Level Pattern Image Note
TS28: esophagus Present JAX_1372927

Specimen JAX_1372928: postnatal adult; Ap1g1tm1b(EUCOMM)Hmgu/Ap1g1+ (more )
Structure Level Pattern Image Note
TS28: trachea Present JAX_1372928

Specimen JAX_1372929: postnatal adult; Ap1g1tm1b(EUCOMM)Hmgu/Ap1g1+ (more )
Structure Level Pattern Image Note
TS28: thymus Present JAX_1372929

Specimen JAX_1372930: postnatal adult; Ap1g1tm1b(EUCOMM)Hmgu/Ap1g1+ (more )
Structure Level Pattern Image Note
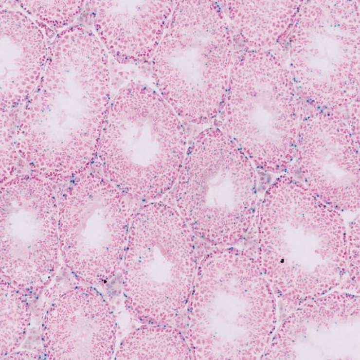
TS28: testis Present JAX_1372930

Specimen JAX_1372931: postnatal adult; Ap1g1tm1b(EUCOMM)Hmgu/Ap1g1+ (more )
Structure Level Pattern Image Note
TS28: stomach Present JAX_1372931

Specimen JAX_1372932: postnatal adult; Ap1g1tm1b(EUCOMM)Hmgu/Ap1g1+ (more )
Structure Level Pattern Image Note
TS28: skin Present JAX_1372932

Specimen JAX_1372933: postnatal adult; Ap1g1tm1b(EUCOMM)Hmgu/Ap1g1+ (more )
Structure Level Pattern Image Note
TS28: metanephros Present JAX_1372933 kidney

Specimen JAX_1372934: postnatal adult; Ap1g1tm1b(EUCOMM)Hmgu/Ap1g1+ (more )
Structure Level Pattern Image Note
TS28: heart Present JAX_1372934

Specimen JAX_1372935: postnatal adult; Ap1g1tm1b(EUCOMM)Hmgu/Ap1g1+ (more )
Structure Level Pattern Image Note
TS28: eye Present JAX_1372935

Specimen JAX_1372936: postnatal adult; Ap1g1tm1b(EUCOMM)Hmgu/Ap1g1+ (more )
Structure Level Pattern Image Note
TS28: brain Present JAX_1372936

Specimen JAX_1372937: postnatal adult; Ap1g1tm1b(EUCOMM)Hmgu/Ap1g1+ (more )
Structure Level Pattern Image Note
TS28: adrenal gland Present JAX_1372937


Contributing Projects:
Mouse Genome Database (MGD), Gene Expression Database (GXD), Mouse Models of Human Cancer database (MMHCdb) (formerly Mouse Tumor Biology (MTB)), Gene Ontology (GO)
Citing These Resources
Funding Information
Warranty Disclaimer, Privacy Notice, Licensing, & Copyright
Send questions and comments to User Support.
last database update
01/06/2026
MGI 6.24
The Jackson Laboratory