About   Help   FAQ
Gene Expression Data
Assay Details
Assay
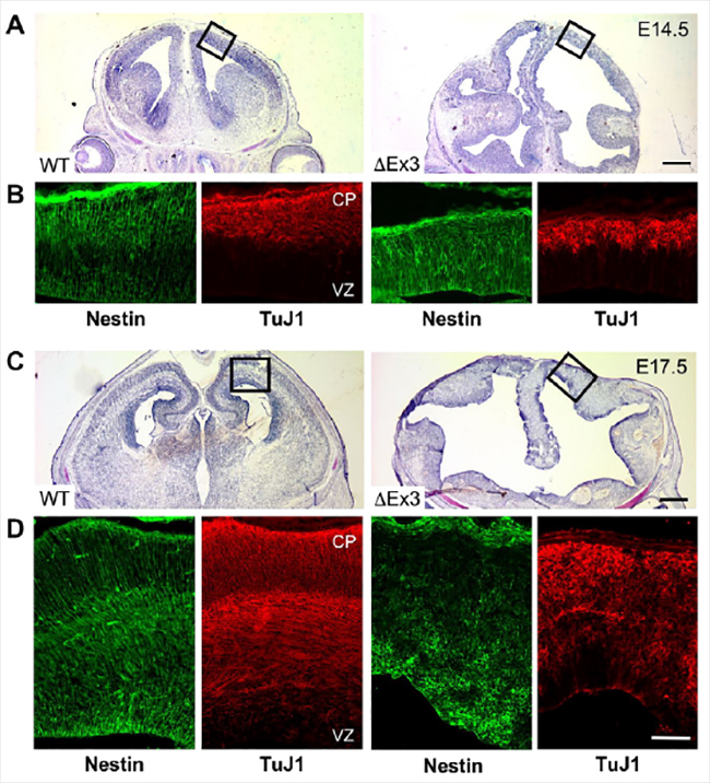
Reference: J:124867 Wrobel CN, et al., Persistent expression of stabilized beta-catenin delays maturation of radial glial cells into intermediate progenitors. Dev Biol. 2007 Sep 15;309(2):285-97
Assay type: Immunohistochemistry
MGI Accession ID: MGI:6376108
Gene symbol: Tubb3
Gene name: tubulin, beta 3 class III
Antibody: anti-TuJ1
Detection system: Secondary antibody coupled to Alexa Fluor 555
Results
Specimen 2B WT: embryonic day 14.5 (more )
Structure Level Pattern Image Note
TS22: cerebral cortex Present 2B TuJ1 WT

Specimen 2B: embryonic day 14.5; Ctnnb1tm1Mmt/Ctnnb1+, Tg(Nes-cre)1Kln/0 (more )
Note: Conditional mutant.
Structure Level Pattern Image Note
TS22: cerebral cortex Present 2B TuJ1 deltaEx3

Specimen 2D WT: embryonic day 17.5 (more )
Structure Level Pattern Image Note
TS25: cerebral cortex Present 2D TuJ1 WT

Specimen 2D: embryonic day 17.5; Ctnnb1tm1Mmt/Ctnnb1+, Tg(Nes-cre)1Kln/0 (more )
Note: Conditional mutant.
Structure Level Pattern Image Note
TS25: cerebral cortex Present 2D TuJ1 deltaEx3


Contributing Projects:
Mouse Genome Database (MGD), Gene Expression Database (GXD), Mouse Models of Human Cancer database (MMHCdb) (formerly Mouse Tumor Biology (MTB)), Gene Ontology (GO)
Citing These Resources
Funding Information
Warranty Disclaimer, Privacy Notice, Licensing, & Copyright
Send questions and comments to User Support.
last database update
04/14/2026
MGI 6.24
The Jackson Laboratory