About   Help   FAQ
Gene Expression Data
Assay Details
Assay
Reference: J:162220 Magdaleno S, et al., BGEM: an in situ hybridization database of gene expression in the embryonic and adult mouse nervous system. PLoS Biol. 2006 Apr;4(4):e86
Assay type: RNA in situ
MGI Accession ID: MGI:4944695
Gene symbol: Ly6h
Gene name: lymphocyte antigen 6 family member H
Probe: g00110
Probe preparation: Antisense labelled with P33 RNA
Visualized with: Autoradiography
Results
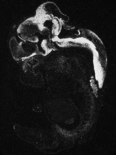
Specimen g00110 E11.5: embryonic day 11.5 (more )
Structure Level Pattern Image Note
TS19: diencephalon Present Regionally restricted g00110_sj_g9_061_e11 , g00110_sj_g9_111_e11 Expression was region specific and scattered.
TS19: midbrain Present Regionally restricted g00110_sj_g9_061_e11 , g00110_sj_g9_111_e11 Expression was region specific and scattered.
TS19: hindbrain Present Regionally restricted g00110_sj_g9_111_e11 , g00110_sj_g9_061_e11 Expression was region specific and scattered.
TS19: future spinal cord Present Regionally restricted g00110_sj_g9_111_e11 , g00110_sj_g9_061_e11 Expression was region specific and scattered.
TS19: telencephalon Present Regionally restricted g00110_sj_g9_061_e11 , g00110_sj_g9_111_e11 Expression was region specific and scattered.

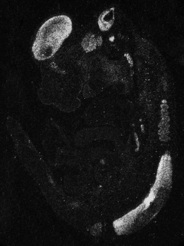
Specimen g00110 E15.5: embryonic day 15.5 (more )
Structure Level Pattern Image Note
TS23: cerebellum Present Widespread g00110_sj_g9_061_e15 , g00110_sj_g9_111_e15 , g00110_sj_g9_011_e15
TS23: ganglionic eminence Present Regionally restricted g00110_sj_g9_011_e15 , g00110_sj_g9_061_e15 , g00110_sj_g9_111_e15 Expression was region specific and scattered.
TS23: hindbrain Present Widespread g00110_sj_g9_061_e15 , g00110_sj_g9_111_e15 , g00110_sj_g9_011_e15
TS23: hippocampus Present Regionally restricted g00110_sj_g9_011_e15 , g00110_sj_g9_111_e15 , g00110_sj_g9_061_e15 Expression was region specific and scattered.
TS23: hypothalamus Present Widespread g00110_sj_g9_011_e15 , g00110_sj_g9_061_e15 , g00110_sj_g9_111_e15
TS23: midbrain Present Widespread g00110_sj_g9_111_e15 , g00110_sj_g9_011_e15 , g00110_sj_g9_061_e15
TS23: neocortex Present Regionally restricted g00110_sj_g9_011_e15 , g00110_sj_g9_061_e15 , g00110_sj_g9_111_e15 Expression was region specific and scattered.
TS23: main olfactory bulb Present Regionally restricted g00110_sj_g9_011_e15 , g00110_sj_g9_061_e15 , g00110_sj_g9_111_e15 Expression was region specific and scattered.
TS23: retina Present Regionally restricted g00110_sj_g9_061_e15 , g00110_sj_g9_011_e15 , g00110_sj_g9_111_e15
TS23: spinal cord Present Regionally restricted g00110_sj_g9_061_e15 , g00110_sj_g9_111_e15 , g00110_sj_g9_011_e15 Expression was region specific and scattered.

Specimen g00110 P7: postnatal day 7 (more )
Structure Level Pattern Image Note
TS28: cerebellum Present Regionally restricted g00110_sj_g22_126_p7 , g00110_sj_g22_026_p7 , g00110_sj_g22_076_p7 Expression was region specific and scattered.
TS28: retina Present Regionally restricted g00110_sj_g22_026_p7 , g00110_sj_g22_076_p7 , g00110_sj_g22_126_p7
TS28: amygdala Strong Regionally restricted g00110_sj_g22_126_p7 , g00110_sj_g22_026_p7 , g00110_sj_g22_076_p7 Expression was region specific and scattered.
TS28: basal ganglia Strong Regionally restricted g00110_sj_g22_126_p7 , g00110_sj_g22_076_p7 , g00110_sj_g22_026_p7 Expression was region specific and scattered.
TS28: brainstem Strong Regionally restricted g00110_sj_g22_126_p7 , g00110_sj_g22_026_p7 , g00110_sj_g22_076_p7 Expression was region specific and scattered.
TS28: cerebral cortex Strong Regionally restricted g00110_sj_g22_126_p7 , g00110_sj_g22_076_p7 , g00110_sj_g22_026_p7 Expression was region specific and scattered.
TS28: hippocampus Strong Regionally restricted g00110_sj_g22_126_p7 , g00110_sj_g22_076_p7 , g00110_sj_g22_026_p7 Expression was region specific and scattered.
TS28: hypothalamus Strong Regionally restricted g00110_sj_g22_126_p7 , g00110_sj_g22_026_p7 , g00110_sj_g22_076_p7 Expression was region specific and scattered.
TS28: midbrain Strong Regionally restricted g00110_sj_g22_076_p7 , g00110_sj_g22_126_p7 , g00110_sj_g22_026_p7 Expression was region specific and scattered.
TS28: main olfactory bulb Strong Regionally restricted g00110_sj_g22_076_p7 , g00110_sj_g22_126_p7 , g00110_sj_g22_026_p7 Expression was region specific and scattered.
TS28: spinal cord Strong Regionally restricted g00110_sj_g22_126_p7 , g00110_sj_g22_026_p7 , g00110_sj_g22_076_p7 Expression was region specific and scattered.
TS28: thalamus Strong Regionally restricted g00110_sj_g22_076_p7 , g00110_sj_g22_026_p7 , g00110_sj_g22_126_p7 Expression was region specific and scattered.
TS28: choroid plexus Absent g00110_sj_g22_026_p7 , g00110_sj_g22_076_p7 , g00110_sj_g22_126_p7


Contributing Projects:
Mouse Genome Database (MGD), Gene Expression Database (GXD), Mouse Models of Human Cancer database (MMHCdb) (formerly Mouse Tumor Biology (MTB)), Gene Ontology (GO)
Citing These Resources
Funding Information
Warranty Disclaimer, Privacy Notice, Licensing, & Copyright
Send questions and comments to User Support.
last database update
12/30/2025
MGI 6.24
The Jackson Laboratory