About   Help   FAQ
Gene Expression Data
Assay Details
Assay
Reference: J:101679 Deltagen Inc, NIH initiative supporting placement of Deltagen, Inc. mice into public repositories. MGI Direct Data Submission. 2005;
Assay type: In situ reporter (knock in)
MGI Accession ID: MGI:3639248
Gene symbol: Adipor2
Gene name: adiponectin receptor 2
Reporter: lacZ
Direct Detection
Results
Specimen Mouse 413304 - Image 99249207: postnatal day 68; Adipor2tm1Dgen/Adipor2+ (more )
Structure Level Pattern Image Note
TS28: brain Very strong 99249207 Expression is present in practically all cells of the brain.

Specimen Mouse 413304 - Image 99249208: postnatal day 68; Adipor2tm1Dgen/Adipor2+ (more )
Structure Level Pattern Image Note
TS28: telencephalon Very strong 99249208 Expression is present in practically all cells of the cerebrum.

Specimen Mouse 413304 - Image 99249209: postnatal day 68; Adipor2tm1Dgen/Adipor2+ (more )
Structure Level Pattern Image Note
TS28: cerebellum Very strong 99249209 Expression is present in practically all cells of the cerebellum.

Specimen Mouse 413304 - Image 99249210: postnatal day 68; Adipor2tm1Dgen/Adipor2+ (more )
Structure Level Pattern Image Note
TS28: brainstem Very strong 99249210 Expression is present in practically all cells of the brainstem.

Specimen Mouse 413304 - Image 99249387: postnatal day 68; Adipor2tm1Dgen/Adipor2+ (more )
Structure Level Pattern Image Note
TS28: ovary follicle Weak 99249387 Expression is frequently seen in the follicle.

Specimen Mouse 413304 - Image 99249388: postnatal day 68; Adipor2tm1Dgen/Adipor2+ (more )
Structure Level Pattern Image Note
TS28: ovary Weak Regionally restricted 99249388 There is scattered expression in the stroma.

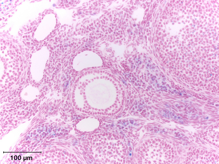
Specimen Mouse 413304 - Image 99249389: postnatal day 68; Adipor2tm1Dgen/Adipor2+ (more )
Structure Level Pattern Image Note
TS28: ovary follicle Strong Regionally restricted 99249389 Expression is present in practically all cells of the corpus luteum.

Specimen Mouse 413304 - Image 99249391: postnatal day 68; Adipor2tm1Dgen/Adipor2+ (more )
Structure Level Pattern Image Note
TS28: myometrium Strong 99249391 Expression is present in practically all cells of the myometrium.

Specimen Mouse 413304 - Image 99249393: postnatal day 68; Adipor2tm1Dgen/Adipor2+ (more )
Structure Level Pattern Image Note
TS28: endometrium epithelium Strong 99249393 Expression is frequently seen in the endometrial epithelium.

Specimen Mouse 413304 - Image 99249394: postnatal day 68; Adipor2tm1Dgen/Adipor2+ (more )
Structure Level Pattern Image Note
TS28: endometrium stroma Weak 99249394 There is scattered expression in the endometrial stroma.

Specimen Mouse 413304 - Image 99249395: postnatal day 68; Adipor2tm1Dgen/Adipor2+ (more )
Structure Level Pattern Image Note
TS28: endometrium glandular epithelium Weak 99249395 Expression is frequently seen in the endometrial gland.

Specimen Mouse 413304 - Image 99249397: postnatal day 68; Adipor2tm1Dgen/Adipor2+ (more )
Structure Level Pattern Image Note
TS28: epithelial layer of cervix uteri Weak 99249397 There is scattered expression in the epithelium.

Specimen Mouse 413304 - Image 99249401: postnatal day 68; Adipor2tm1Dgen/Adipor2+ (more )
Structure Level Pattern Image Note
TS28: cervix uteri Weak Regionally restricted 99249401 Expression is frequently seen in the smooth muscle layer.

Specimen Mouse 413304 - Image 99256468: postnatal day 68; Adipor2tm1Dgen/Adipor2+ (more )
Structure Level Pattern Image Note
TS28: ovary Moderate Regionally restricted 99256468 Expression is frequently seen in the blood vessels of the ovary.
TS28: blood vessel Moderate Regionally restricted 99256468 Expression is frequently seen in the blood vessels of the ovary.

Specimen Mouse 413304: postnatal day 68; Adipor2tm1Dgen/Adipor2+ (more )
Structure Level Pattern Image Note
TS28: cervix uteri Strong Regionally restricted Expression is frequently seen in the blood vessels of the cervix.
TS28: blood vessel Present Regionally restricted Strong expression is frequently seen in the blood vessels of the cervix. There is moderate, scattered expression in the blood vessels of the uterus.
TS28: uterus Moderate Regionally restricted There is scattered expression in the blood vessels of the uterus.

Specimen Mouse 419027 - Image 99249430: postnatal day 50; Adipor2tm1Dgen/Adipor2+ (more )
Structure Level Pattern Image Note
TS28: amygdala Strong 99249430 Expression is present in practically all cells of the amygdala.

Specimen Mouse 419027 - Image 99249431: postnatal day 50; Adipor2tm1Dgen/Adipor2+ (more )
Structure Level Pattern Image Note
TS28: caudate-putamen Strong 99249431 Expression is frequently seen in the caudate-putamen.

Specimen Mouse 419027 - Image 99249432: postnatal day 50; Adipor2tm1Dgen/Adipor2+ (more )
Structure Level Pattern Image Note
TS28: telencephalon Strong Regionally restricted 99249432 Expression is present in practically all cells of the choroid plexus of the cerebrum.
TS28: choroid plexus Strong Regionally restricted 99249432 Expression is present in practically all cells of the choroid plexus of the cerebrum.

Specimen Mouse 419027 - Image 99249433: postnatal day 50; Adipor2tm1Dgen/Adipor2+ (more )
Structure Level Pattern Image Note
TS28: cerebral cortex Strong 99249433 Expression is present in practically all cells of the cortex.

Specimen Mouse 419027 - Image 99249434: postnatal day 50; Adipor2tm1Dgen/Adipor2+ (more )
Structure Level Pattern Image Note
TS28: hypothalamus Strong 99249434 Expression is present in practically all cells of the hypothalamus.

Specimen Mouse 419027 - Image 99249435: postnatal day 50; Adipor2tm1Dgen/Adipor2+ (more )
Structure Level Pattern Image Note
TS28: thalamus Very strong 99249435 Expression is present in practically all cells of the thalamus.

Specimen Mouse 419027 - Image 99249436: postnatal day 50; Adipor2tm1Dgen/Adipor2+ (more )
Structure Level Pattern Image Note
TS28: hippocampus Very strong 99249436 Expression is present in practically all cells of the hippocampus.

Specimen Mouse 419027 - Image 99249443: postnatal day 50; Adipor2tm1Dgen/Adipor2+ (more )
Structure Level Pattern Image Note
TS28: brain ventricle Very strong Regionally restricted 99249443 Expression is present in practically all cells of a ventricle in the cerebrum.

Specimen Mouse 419027 - Image 99249444: postnatal day 50; Adipor2tm1Dgen/Adipor2+ (more )
Structure Level Pattern Image Note
TS28: telencephalon Moderate Regionally restricted 99249444 Expression is frequently seen in the blood vessels of the cerebrum.
TS28: blood vessel Moderate Regionally restricted 99249444 Expression is frequently seen in the blood vessels of the cerebrum.

Specimen Mouse 419027 - Image 99249445: postnatal day 50; Adipor2tm1Dgen/Adipor2+ (more )
Structure Level Pattern Image Note
TS28: telencephalon Strong Regionally restricted 99249445 Expression is frequently seen in the cerebral meninges.
TS28: meninges Strong Regionally restricted 99249445 Expression is frequently seen in the cerebral meninges.

Specimen Mouse 419027 - Image 99249446: postnatal day 50; Adipor2tm1Dgen/Adipor2+ (more )
Structure Level Pattern Image Note
TS28: cerebellum granule cell layer Very strong 99249446 Expression is present in practically all cells of the granular layer.

Specimen Mouse 419027 - Image 99249447: postnatal day 50; Adipor2tm1Dgen/Adipor2+ (more )
Structure Level Pattern Image Note
TS28: cerebellum molecular layer Strong 99249447 Expression is frequently seen in the molecular layer.

Specimen Mouse 419027 - Image 99249448: postnatal day 50; Adipor2tm1Dgen/Adipor2+ (more )
Structure Level Pattern Image Note
TS28: cerebellum Purkinje cell layer Very strong 99249448 Expression is present in practically all cells of the Purkinje layer.

Specimen Mouse 419027 - Image 99249449: postnatal day 50; Adipor2tm1Dgen/Adipor2+ (more )
Structure Level Pattern Image Note
TS28: cerebellum white matter Very strong 99249449 Expression is present in practically all cells of the white matter.

Specimen Mouse 419027 - Image 99249450: postnatal day 50; Adipor2tm1Dgen/Adipor2+ (more )
Structure Level Pattern Image Note
TS28: brainstem Very strong 99249450 Expression is present in practically all cells of the brainstem.

Specimen Mouse 419027 - Image 99249451: postnatal day 50; Adipor2tm1Dgen/Adipor2+ (more )
Structure Level Pattern Image Note
TS28: spinal cord central canal Very strong 99249451 Expression is present in practically all cells of the central canal.

Specimen Mouse 419027 - Image 99249452: postnatal day 50; Adipor2tm1Dgen/Adipor2+ (more )
Structure Level Pattern Image Note
TS28: spinal cord gray matter Very strong 99249452 Expression is frequently seen in the grey matter.

Specimen Mouse 419027 - Image 99249456: postnatal day 50; Adipor2tm1Dgen/Adipor2+ (more )
Structure Level Pattern Image Note
TS28: adenohypophysis pars anterior Strong 99249456 Expression is frequently seen in the pars distalis.

Specimen Mouse 419027 - Image 99249457: postnatal day 50; Adipor2tm1Dgen/Adipor2+ (more )
Structure Level Pattern Image Note
TS28: adenohypophysis pars intermedia Strong 99249457 Expression is frequently seen in the pars intermedia.

Specimen Mouse 419027 - Image 99249458: postnatal day 50; Adipor2tm1Dgen/Adipor2+ (more )
Structure Level Pattern Image Note
TS28: neurohypophysis pars nervosa Strong 99249458 There is scattered expression in the pars nervosa.

Specimen Mouse 419027 - Image 99249496: postnatal day 50; Adipor2tm1Dgen/Adipor2+ (more )
Structure Level Pattern Image Note
TS28: pancreatic acinus Strong 99249496 Expression is frequently seen in the acini.

Specimen Mouse 419027 - Image 99249497: postnatal day 50; Adipor2tm1Dgen/Adipor2+ (more )
Structure Level Pattern Image Note
TS28: islets of Langerhans Strong 99249497 Expression is frequently seen in the islets of Langerhans.

Specimen Mouse 419027 - Image 99249498: postnatal day 50; Adipor2tm1Dgen/Adipor2+ (more )
Structure Level Pattern Image Note
TS28: pancreas Strong Regionally restricted 99249498 Expression is frequently seen in the blood vessels of the pancreas.
TS28: blood vessel Strong Regionally restricted 99249498 Expression is frequently seen in the blood vessels of the pancreas.

Specimen Mouse 419027 - Image 99249499: postnatal day 50; Adipor2tm1Dgen/Adipor2+ (more )
Structure Level Pattern Image Note
TS28: spleen Moderate Regionally restricted 99249499 Expression is frequently seen in the blood vessels of the spleen.
TS28: blood vessel Moderate Regionally restricted 99249499 Expression is frequently seen in the blood vessels of the spleen.

Specimen Mouse 419027 - Image 99249500: postnatal day 50; Adipor2tm1Dgen/Adipor2+ (more )
Structure Level Pattern Image Note
TS28: spleen capsule Moderate 99249500 There is occasional staining in the capsule.

Specimen Mouse 419027 - Image 99249501: postnatal day 50; Adipor2tm1Dgen/Adipor2+ (more )
Structure Level Pattern Image Note
TS28: spleen white pulp Strong 99249501 There is occasional staining in the white pulp.

Specimen Mouse 419027 - Image 99249504: postnatal day 50; Adipor2tm1Dgen/Adipor2+ (more )
Structure Level Pattern Image Note
TS28: interstitium of the testis Weak 99249504 There is scattered expression in the interstitium.

Specimen Mouse 419027 - Image 99249505: postnatal day 50; Adipor2tm1Dgen/Adipor2+ (more )
Structure Level Pattern Image Note
TS28: seminiferous tubule Very strong 99249505 There is scattered expression in the seminiferous tubules.

Specimen Mouse 419027 - Image 99249506: postnatal day 50; Adipor2tm1Dgen/Adipor2+ (more )
Structure Level Pattern Image Note
TS28: testis Weak Regionally restricted 99249506 There is occasional staining in the tunica albuginea.

Specimen Mouse 419027 - Image 99249508: postnatal day 50; Adipor2tm1Dgen/Adipor2+ (more )
Structure Level Pattern Image Note
TS28: urothelium of bladder Very strong Regionally restricted 99249508 Expression is present in practically all cells of the epithelium.

Specimen Mouse 419027 - Image 99249509: postnatal day 50; Adipor2tm1Dgen/Adipor2+ (more )
Structure Level Pattern Image Note
TS28: lamina propria of bladder Very strong 99249509 Expression is frequently seen in the muscularis.

Specimen Mouse 419027 - Image 99249510: postnatal day 50; Adipor2tm1Dgen/Adipor2+ (more )
Structure Level Pattern Image Note
TS28: lamina propria of bladder Weak 99249510 Expression is frequently seen in the lamina propria.

Specimen Mouse 419027 - Image 99249511: postnatal day 50; Adipor2tm1Dgen/Adipor2+ (more )
Structure Level Pattern Image Note
TS28: bladder Moderate Regionally restricted 99249511 There is scattered expression in the blood vessels of the urinary bladder.
TS28: blood vessel Moderate Regionally restricted 99249511 There is scattered expression in the blood vessels of the urinary bladder.

Specimen Mouse 419027 - Image 99249512: postnatal day 50; Adipor2tm1Dgen/Adipor2+ (more )
Structure Level Pattern Image Note
TS28: adrenal cortex Moderate 99249512 Expression is frequently seen in the cortex.

Specimen Mouse 419027 - Image 99249515: postnatal day 50; Adipor2tm1Dgen/Adipor2+ (more )
Structure Level Pattern Image Note
TS28: renal cortex Strong 99249515 Expression is frequently seen in the cortex.

Specimen Mouse 419027 - Image 99249516: postnatal day 50; Adipor2tm1Dgen/Adipor2+ (more )
Structure Level Pattern Image Note
TS28: glomerular tuft Moderate 99249516 There is occasional staining in the glomeruli.

Specimen Mouse 419027 - Image 99249517: postnatal day 50; Adipor2tm1Dgen/Adipor2+ (more )
Structure Level Pattern Image Note
TS28: renal tubule Strong 99249517 Expression is frequently seen in the tubules.

Specimen Mouse 419027 - Image 99249518: postnatal day 50; Adipor2tm1Dgen/Adipor2+ (more )
Structure Level Pattern Image Note
TS28: renal medulla Strong 99249518 Expression is frequently seen in the medulla.

Specimen Mouse 419027 - Image 99249519: postnatal day 50; Adipor2tm1Dgen/Adipor2+ (more )
Structure Level Pattern Image Note
TS28: renal papilla Very strong 99249519 Expression is frequently seen in the papilla.

Specimen Mouse 419027 - Image 99249520: postnatal day 50; Adipor2tm1Dgen/Adipor2+ (more )
Structure Level Pattern Image Note
TS28: renal pelvis Strong 99249520 Expression is frequently seen in the kidney pelvis.

Specimen Mouse 419027 - Image 99249521: postnatal day 50; Adipor2tm1Dgen/Adipor2+ (more )
Structure Level Pattern Image Note
TS28: heart atrium Very strong 99249521 Expression is frequently seen in the atrium.

Specimen Mouse 419027 - Image 99249523: postnatal day 50; Adipor2tm1Dgen/Adipor2+ (more )
Structure Level Pattern Image Note
TS28: liver Very strong 99249523 Expression is present in practically all cells of the liver.

Specimen Mouse 419027 - Image 99249524: postnatal day 50; Adipor2tm1Dgen/Adipor2+ (more )
Structure Level Pattern Image Note
TS28: lung alveolus Strong 99249524 There is scattered expression in the alveoli.

Specimen Mouse 419027 - Image 99249525: postnatal day 50; Adipor2tm1Dgen/Adipor2+ (more )
Structure Level Pattern Image Note
TS28: bronchiole Very strong 99249525 Expression is frequently seen in the bronchioles.

Specimen Mouse 419027 - Image 99249527: postnatal day 50; Adipor2tm1Dgen/Adipor2+ (more )
Structure Level Pattern Image Note
TS28: lung Strong Regionally restricted 99249527 Expression is present in practically all cells of the blood vessels of the lung.
TS28: blood vessel Strong Regionally restricted 99249527 Expression is present in practically all cells of the blood vessels of the lung.

Specimen Mouse 419027 - Image 99249528: postnatal day 50; Adipor2tm1Dgen/Adipor2+ (more )
Structure Level Pattern Image Note
TS28: lens Strong 99249528 Expression is frequently seen in the lens.

Specimen Mouse 419027 - Image 99249531: postnatal day 50; Adipor2tm1Dgen/Adipor2+ (more )
Structure Level Pattern Image Note
TS28: ciliary body Very strong 99249531 Expression is present in practically all cells of the ciliary body.

Specimen Mouse 419027 - Image 99249535: postnatal day 50; Adipor2tm1Dgen/Adipor2+ (more )
Structure Level Pattern Image Note
TS28: cornea Moderate 99249535 There is scattered expression in the cornea.

Specimen Mouse 419027 - Image 99249539: postnatal day 50; Adipor2tm1Dgen/Adipor2+ (more )
Structure Level Pattern Image Note
TS28: retina Strong 99249539 There is scattered expression in the retina.

Specimen Mouse 419027 - Image 99249544: postnatal day 50; Adipor2tm1Dgen/Adipor2+ (more )
Structure Level Pattern Image Note
TS28: retina ganglion cell layer Very strong 99249544 Expression is frequently seen in the ganglion cell layer.

Specimen Mouse 419027 - Image 99249546: postnatal day 50; Adipor2tm1Dgen/Adipor2+ (more )
Structure Level Pattern Image Note
TS28: retina inner nuclear layer Strong 99249546 There is scattered expression in the inner nuclear layer.

Specimen Mouse 419027 - Image 99249553: postnatal day 50; Adipor2tm1Dgen/Adipor2+ (more )
Structure Level Pattern Image Note
TS28: pigmented retinal epithelium Very strong 99249553 Expression is frequently seen in the pigment layer.

Specimen Mouse 419027 - Image 99249556: postnatal day 50; Adipor2tm1Dgen/Adipor2+ (more )
Structure Level Pattern Image Note
TS28: sclera Moderate 99249556 There is scattered expression in the sclera.

Specimen Mouse 419027 - Image 99249559: postnatal day 50; Adipor2tm1Dgen/Adipor2+ (more )
Structure Level Pattern Image Note
TS28: thymus medullary core Strong 99249559 There is scattered expression in the medulla.

Specimen Mouse 419027 - Image 99249563: postnatal day 50; Adipor2tm1Dgen/Adipor2+ (more )
Structure Level Pattern Image Note
TS28: thymus Strong Regionally restricted 99249563 Expression is frequently seen in the blood vessels of the thymus.
TS28: blood vessel Strong Regionally restricted 99249563 Expression is frequently seen in the blood vessels of the thymus.

Specimen Mouse 419027 - Image 99249564: postnatal day 50; Adipor2tm1Dgen/Adipor2+ (more )
Structure Level Pattern Image Note
TS28: aorta Very strong Regionally restricted 99249564 Expression is present in practically all cells of the periaortic adipose tissue.
TS28: adipose tissue Very strong Regionally restricted 99249564 Expression is present in practically all cells of the periaortic adipose tissue.

Specimen Mouse 419027 - Image 99249566: postnatal day 50; Adipor2tm1Dgen/Adipor2+ (more )
Structure Level Pattern Image Note
TS28: aorta Strong 99249566 Expression is frequently seen in the aorta.

Specimen Mouse 419027 - Image 99249595: postnatal day 50; Adipor2tm1Dgen/Adipor2+ (more )
Structure Level Pattern Image Note
TS28: trachea Strong 99249595 Expression is frequently seen in the trachea.

Specimen Mouse 419027 - Image 99249597: postnatal day 50; Adipor2tm1Dgen/Adipor2+ (more )
Structure Level Pattern Image Note
TS28: trachea cartilage Strong 99249597 Expression is frequently seen in the cartilage.

Specimen Mouse 419027 - Image 99249598: postnatal day 50; Adipor2tm1Dgen/Adipor2+ (more )
Structure Level Pattern Image Note
TS28: thyroid gland Strong 99249598 There is scattered expression in the thyroid gland.

Specimen Mouse 419027 - Image 99249599: postnatal day 50; Adipor2tm1Dgen/Adipor2+ (more )
Structure Level Pattern Image Note
TS28: sciatic nerve Strong 99249599 Expression is frequently seen in the sciatic nerve.

Specimen Mouse 419027 - Image 99249606: postnatal day 50; Adipor2tm1Dgen/Adipor2+ (more )
Structure Level Pattern Image Note
TS28: skeletal muscle Strong Regionally restricted 99249606 Expression is frequently seen in the blood vessels of the skeletal muscle.
TS28: blood vessel Strong Regionally restricted 99249606 Expression is frequently seen in the blood vessels of the skeletal muscle.

Specimen Mouse 419027 - Image 99249608: postnatal day 50; Adipor2tm1Dgen/Adipor2+ (more )
Structure Level Pattern Image Note
TS28: skeletal muscle Strong 99249608 Expression is frequently seen in the skeletal muscle.

Specimen Mouse 419027 - Image 99249609: postnatal day 50; Adipor2tm1Dgen/Adipor2+ (more )
Structure Level Pattern Image Note
TS28: skin Strong Regionally restricted 99249609 There is scattered expression in the blood vessels of the skin.
TS28: blood vessel Strong Regionally restricted 99249609 There is scattered expression in the blood vessels of the skin.

Specimen Mouse 419027 - Image 99249611: postnatal day 50; Adipor2tm1Dgen/Adipor2+ (more )
Structure Level Pattern Image Note
TS28: epidermis Very strong 99249611 Expression is frequently seen in the epidermis.

Specimen Mouse 419027 - Image 99249614: postnatal day 50; Adipor2tm1Dgen/Adipor2+ (more )
Structure Level Pattern Image Note
TS28: dermis Strong 99249614 There is scattered expression in the dermis.

Specimen Mouse 419027 - Image 99249615: postnatal day 50; Adipor2tm1Dgen/Adipor2+ (more )
Structure Level Pattern Image Note
TS28: hair follicle Moderate 99249615 There is scattered expression in the hair follicles.

Specimen Mouse 419027 - Image 99256357: postnatal day 50; Adipor2tm1Dgen/Adipor2+ (more )
Structure Level Pattern Image Note
TS28: spleen red pulp Trace 99256357 There is scattered expression in the red pulp.

Specimen Mouse 419027 - Image 99256358: postnatal day 50; Adipor2tm1Dgen/Adipor2+ (more )
Structure Level Pattern Image Note
TS28: testis Weak Regionally restricted 99256358 Expression is frequently seen in the blood vessels of the testis.
TS28: blood vessel Weak Regionally restricted 99256358 Expression is frequently seen in the blood vessels of the testis.

Specimen Mouse 419027 - Image 99256390: postnatal day 50; Adipor2tm1Dgen/Adipor2+ (more )
Structure Level Pattern Image Note
TS28: metanephros Strong 99256390 Expression is frequently seen in the kidney.

Specimen Mouse 419027 - Image 99256401: postnatal day 50; Adipor2tm1Dgen/Adipor2+ (more )
Structure Level Pattern Image Note
TS28: metanephros Strong Regionally restricted 99256401 Expression is frequently seen in the blood vessels of the kidney.
TS28: blood vessel Strong Regionally restricted 99256401 Expression is frequently seen in the blood vessels of the kidney.

Specimen Mouse 419027 - Image 99256402: postnatal day 50; Adipor2tm1Dgen/Adipor2+ (more )
Structure Level Pattern Image Note
TS28: heart valve Strong 99256402 Expression is frequently seen in the valves.

Specimen Mouse 419027 - Image 99256403: postnatal day 50; Adipor2tm1Dgen/Adipor2+ (more )
Structure Level Pattern Image Note
TS28: heart Strong Regionally restricted 99256403 Expression is frequently seen in the blood vessels of the heart.
TS28: blood vessel Strong Regionally restricted 99256403 Expression is frequently seen in the blood vessels of the heart.

Specimen Mouse 419027 - Image 99256404: postnatal day 50; Adipor2tm1Dgen/Adipor2+ (more )
Structure Level Pattern Image Note
TS28: bile duct Weak 99256404 There is scattered expression in the bile duct.

Specimen Mouse 419027 - Image 99256405: postnatal day 50; Adipor2tm1Dgen/Adipor2+ (more )
Structure Level Pattern Image Note
TS28: liver Strong Regionally restricted 99256405 Expression is frequently seen in the blood vessels of the liver.
TS28: blood vessel Strong Regionally restricted 99256405 Expression is frequently seen in the blood vessels of the liver.

Specimen Mouse 419027 - Image 99256466: postnatal day 50; Adipor2tm1Dgen/Adipor2+ (more )
Structure Level Pattern Image Note
TS28: sebaceous gland Strong 99256466 There is scattered expression in the sebaceous gland.

Specimen Mouse 419027 - Image 99256467: postnatal day 50; Adipor2tm1Dgen/Adipor2+ (more )
Structure Level Pattern Image Note
TS28: bone marrow Weak 99256467 There is scattered expression in the bone marrow.

Specimen Mouse 419027 - Image 99256944: postnatal day 50; Adipor2tm1Dgen/Adipor2+ (more )
Structure Level Pattern Image Note
TS28: spinal cord dorsal horn Strong 99256944 Expression is frequently seen in the dorsal horns.

Specimen Mouse 419027 - Image 99256945: postnatal day 50; Adipor2tm1Dgen/Adipor2+ (more )
Structure Level Pattern Image Note
TS28: spinal cord white matter Strong 99256945 Expression is frequently seen in the white matter.

Specimen Mouse 419027 - Image 99256946: postnatal day 50; Adipor2tm1Dgen/Adipor2+ (more )
Structure Level Pattern Image Note
TS28: spinal cord ventral horn Very strong 99256946 Expression is frequently seen in the ventral horns.

Specimen Mouse 419027 - Image 99256947: postnatal day 50; Adipor2tm1Dgen/Adipor2+ (more )
Structure Level Pattern Image Note
TS28: lymph node Strong 99256947 There is scattered expression in the lymph nodes.

Specimen Mouse 419027 - Image 99256948: postnatal day 50; Adipor2tm1Dgen/Adipor2+ (more )
Structure Level Pattern Image Note
TS28: prostate gland Strong Regionally restricted 99256948 There is scattered expression in the ganglia.

Specimen Mouse 419027 - Image 99256949: postnatal day 50; Adipor2tm1Dgen/Adipor2+ (more )
Structure Level Pattern Image Note
TS28: prostate epithelium Very strong 99256949 Expression is present in practically all cells of the epithelium.

Specimen Mouse 419027 - Image 99256950: postnatal day 50; Adipor2tm1Dgen/Adipor2+ (more )
Structure Level Pattern Image Note
TS28: prostate gland Weak Regionally restricted 99256950 Expression is frequently seen in the stroma.

Specimen Mouse 419027 - Image 99256951: postnatal day 50; Adipor2tm1Dgen/Adipor2+ (more )
Structure Level Pattern Image Note
TS28: adrenal medulla Strong 99256951 Expression is frequently seen in the medulla.

Specimen Mouse 419027 - Image 99256952: postnatal day 50; Adipor2tm1Dgen/Adipor2+ (more )
Structure Level Pattern Image Note
TS28: heart ventricle Very strong 99256952 Expression is frequently seen in the ventricles.

Specimen Mouse 419027 - Image 99256953: postnatal day 50; Adipor2tm1Dgen/Adipor2+ (more )
Structure Level Pattern Image Note
TS28: thymus cortex Moderate 99256953 There is scattered expression in the cortex.


Contributing Projects:
Mouse Genome Database (MGD), Gene Expression Database (GXD), Mouse Models of Human Cancer database (MMHCdb) (formerly Mouse Tumor Biology (MTB)), Gene Ontology (GO)
Citing These Resources
Funding Information
Warranty Disclaimer, Privacy Notice, Licensing, & Copyright
Send questions and comments to User Support.
last database update
10/07/2025
MGI 6.24
The Jackson Laboratory