About   Help   FAQ
Gene Expression Data
Assay Details
Assay
Reference: J:101679 Deltagen Inc, NIH initiative supporting placement of Deltagen, Inc. mice into public repositories. MGI Direct Data Submission. 2005;
Assay type: In situ reporter (knock in)
MGI Accession ID: MGI:3639217
Gene symbol: Adamts5
Gene name: ADAM metallopeptidase with thrombospondin type 1 motif 5
Reporter: lacZ
Direct Detection
Results
Specimen Mouse 455865 - Image 99253751: postnatal day 53; Adamts5tm1Dgen/Adamts5+ (more )
Structure Level Pattern Image Note
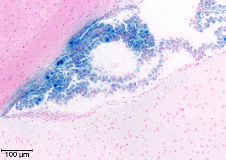
TS28: telencephalon Strong Regionally restricted 99253751 There is scattered expression in the cerebral meninges.
TS28: meninges Strong Regionally restricted 99253751 There is scattered expression in the cerebral meninges.

Specimen Mouse 455865 - Image 99253752: postnatal day 53; Adamts5tm1Dgen/Adamts5+ (more )
Structure Level Pattern Image Note
TS28: amygdala Weak 99253752 There is occasional staining in the amygdala.

Specimen Mouse 455865 - Image 99253753: postnatal day 53; Adamts5tm1Dgen/Adamts5+ (more )
Structure Level Pattern Image Note
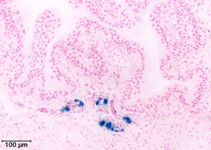
TS28: telencephalon Strong Regionally restricted 99253753 There is scattered expression in the blood vessels of the cerebrum.
TS28: blood vessel Strong Regionally restricted 99253753 There is scattered expression in the blood vessels of the cerebrum.

Specimen Mouse 455865 - Image 99253754: postnatal day 53; Adamts5tm1Dgen/Adamts5+ (more )
Structure Level Pattern Image Note
TS28: telencephalon Strong Regionally restricted 99253754 Expression is present in practically all cells of the choroid plexus of the cerebrum.
TS28: choroid plexus Strong Regionally restricted 99253754 Expression is present in practically all cells of the choroid plexus of the cerebrum.

Specimen Mouse 455865 - Image 99253755: postnatal day 53; Adamts5tm1Dgen/Adamts5+ (more )
Structure Level Pattern Image Note
TS28: brain ventricle Weak Regionally restricted 99253755 There is occasional staining in a ventricle in the cerebrum.

Specimen Mouse 455865 - Image 99253756: postnatal day 53; Adamts5tm1Dgen/Adamts5+ (more )
Structure Level Pattern Image Note
TS28: hypothalamus Weak 99253756 There is occasional staining in the hypothalamus.

Specimen Mouse 455865 - Image 99253757: postnatal day 53; Adamts5tm1Dgen/Adamts5+ (more )
Structure Level Pattern Image Note
TS28: neurohypophysis pars nervosa Strong 99253757 Expression is frequently seen in the pars nervosa.

Specimen Mouse 455865 - Image 99253758: postnatal day 53; Adamts5tm1Dgen/Adamts5+ (more )
Structure Level Pattern Image Note
TS28: adenohypophysis pars anterior Moderate 99253758 There is occasional staining in the pars distalis.

Specimen Mouse 455865 - Image 99253759: postnatal day 53; Adamts5tm1Dgen/Adamts5+ (more )
Structure Level Pattern Image Note
TS28: adenohypophysis pars intermedia Moderate 99253759 There is occasional staining in the pars intermedia.

Specimen Mouse 455865 - Image 99253760: postnatal day 53; Adamts5tm1Dgen/Adamts5+ (more )
Structure Level Pattern Image Note
TS28: cerebellum white matter Strong 99253760 There is occasional staining in the white matter.

Specimen Mouse 455865 - Image 99253761: postnatal day 53; Adamts5tm1Dgen/Adamts5+ (more )
Structure Level Pattern Image Note
TS28: cerebellum granule cell layer Strong 99253761 There is occasional staining in the granule layer.

Specimen Mouse 455865 - Image 99253762: postnatal day 53; Adamts5tm1Dgen/Adamts5+ (more )
Structure Level Pattern Image Note
TS28: cerebellum molecular layer Moderate 99253762 There is occasional staining in the molecular layer.

Specimen Mouse 455865 - Image 99253763: postnatal day 53; Adamts5tm1Dgen/Adamts5+ (more )
Structure Level Pattern Image Note
TS28: brainstem Strong 99253763 There is occasional staining in the brainstem.

Specimen Mouse 455865 - Image 99253764: postnatal day 53; Adamts5tm1Dgen/Adamts5+ (more )
Structure Level Pattern Image Note
TS28: cerebellum Strong Regionally restricted 99253764 There is occasional staining in the meninges of the cerebellum.
TS28: meninges Strong Regionally restricted 99253764 There is occasional staining in the meninges of the cerebellum.

Specimen Mouse 455865 - Image 99253765: postnatal day 53; Adamts5tm1Dgen/Adamts5+ (more )
Structure Level Pattern Image Note
TS28: spinal cord dorsal horn Weak 99253765 There is occasional staining in the dorsal horns.

Specimen Mouse 455865 - Image 99253766: postnatal day 53; Adamts5tm1Dgen/Adamts5+ (more )
Structure Level Pattern Image Note
TS28: spinal cord ventral horn Weak 99253766 There is occasional staining in the ventral horns.

Specimen Mouse 455865 - Image 99253767: postnatal day 53; Adamts5tm1Dgen/Adamts5+ (more )
Structure Level Pattern Image Note
TS28: spinal cord white matter Moderate 99253767 There is occasional staining in the white matter.

Specimen Mouse 455865 - Image 99253768: postnatal day 53; Adamts5tm1Dgen/Adamts5+ (more )
Structure Level Pattern Image Note
TS28: pancreatic acinus Very strong 99253768 There is scattered expression in the acini.

Specimen Mouse 455865 - Image 99253769: postnatal day 53; Adamts5tm1Dgen/Adamts5+ (more )
Structure Level Pattern Image Note
TS28: pancreas Very strong Regionally restricted 99253769 Expression is frequently seen in the blood vessels of the pancreas.
TS28: blood vessel Very strong Regionally restricted 99253769 Expression is frequently seen in the blood vessels of the pancreas.

Specimen Mouse 455865 - Image 99253770: postnatal day 53; Adamts5tm1Dgen/Adamts5+ (more )
Structure Level Pattern Image Note
TS28: islets of Langerhans Moderate 99253770 There is occasional staining in the islets of Langerhans.

Specimen Mouse 455865 - Image 99253771: postnatal day 53; Adamts5tm1Dgen/Adamts5+ (more )
Structure Level Pattern Image Note
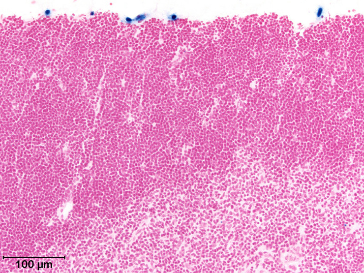
TS28: spleen capsule Very strong 99253771 There is scattered expression in the capsule.

Specimen Mouse 455865 - Image 99253772: postnatal day 53; Adamts5tm1Dgen/Adamts5+ (more )
Structure Level Pattern Image Note
TS28: spleen trabeculum Strong 99253772 There is scattered expression in the trabeculae.

Specimen Mouse 455865 - Image 99253773: postnatal day 53; Adamts5tm1Dgen/Adamts5+ (more )
Structure Level Pattern Image Note
TS28: spleen white pulp Strong 99253773 There is occasional staining in the white pulp.

Specimen Mouse 455865 - Image 99253774: postnatal day 53; Adamts5tm1Dgen/Adamts5+ (more )
Structure Level Pattern Image Note
TS28: spleen red pulp Moderate 99253774 There is scattered expression in the red pulp.

Specimen Mouse 455865 - Image 99253775: postnatal day 53; Adamts5tm1Dgen/Adamts5+ (more )
Structure Level Pattern Image Note
TS28: lymph node Strong 99253775 There is scattered expression in the lymph nodes.

Specimen Mouse 455865 - Image 99253777: postnatal day 53; Adamts5tm1Dgen/Adamts5+ (more )
Structure Level Pattern Image Note
TS28: lymph node capsule Strong 99253777 There is scattered expression in the capsule.

Specimen Mouse 455865 - Image 99253778: postnatal day 53; Adamts5tm1Dgen/Adamts5+ (more )
Structure Level Pattern Image Note
TS28: bladder Very strong Regionally restricted 99253778 Expression is frequently seen in the blood vessels of the urinary bladder.
TS28: blood vessel Very strong Regionally restricted 99253778 Expression is frequently seen in the blood vessels of the urinary bladder.

Specimen Mouse 455865 - Image 99253779: postnatal day 53; Adamts5tm1Dgen/Adamts5+ (more )
Structure Level Pattern Image Note
TS28: lamina propria of bladder Very strong 99253779 There is scattered expression in the muscularis.

Specimen Mouse 455865 - Image 99253781: postnatal day 53; Adamts5tm1Dgen/Adamts5+ (more )
Structure Level Pattern Image Note
TS28: lamina propria of bladder Moderate 99253781 There is occasional staining in the lamina propria.

Specimen Mouse 455865 - Image 99253783: postnatal day 53; Adamts5tm1Dgen/Adamts5+ (more )
Structure Level Pattern Image Note
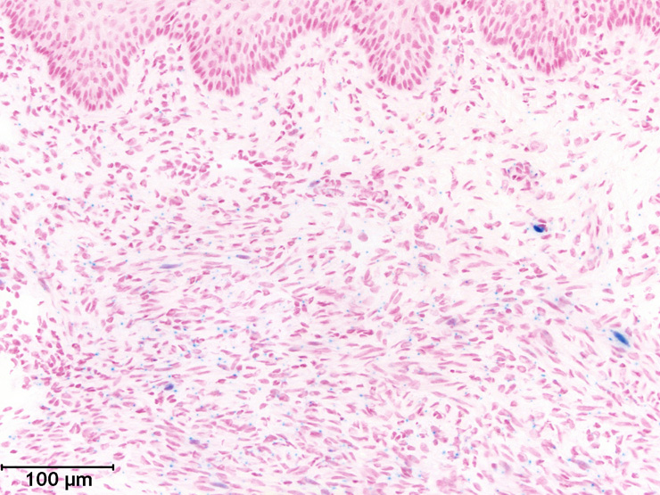
TS28: prostate gland Very strong Regionally restricted 99253783 There is scattered expression in the stroma.

Specimen Mouse 455865 - Image 99253785: postnatal day 53; Adamts5tm1Dgen/Adamts5+ (more )
Structure Level Pattern Image Note
TS28: prostate gland Strong Regionally restricted 99253785 There is scattered expression in the ganglia.

Specimen Mouse 455865 - Image 99254083: postnatal day 53; Adamts5tm1Dgen/Adamts5+ (more )
Structure Level Pattern Image Note
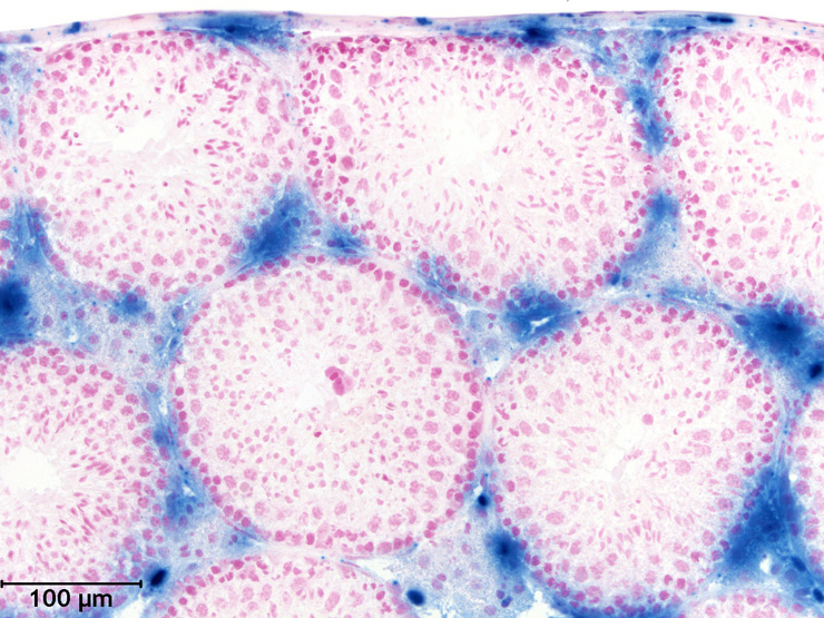
TS28: interstitium of the testis Very strong 99254083 Expression is frequently seen in the interstitium.

Specimen Mouse 455865 - Image 99254084: postnatal day 53; Adamts5tm1Dgen/Adamts5+ (more )
Structure Level Pattern Image Note
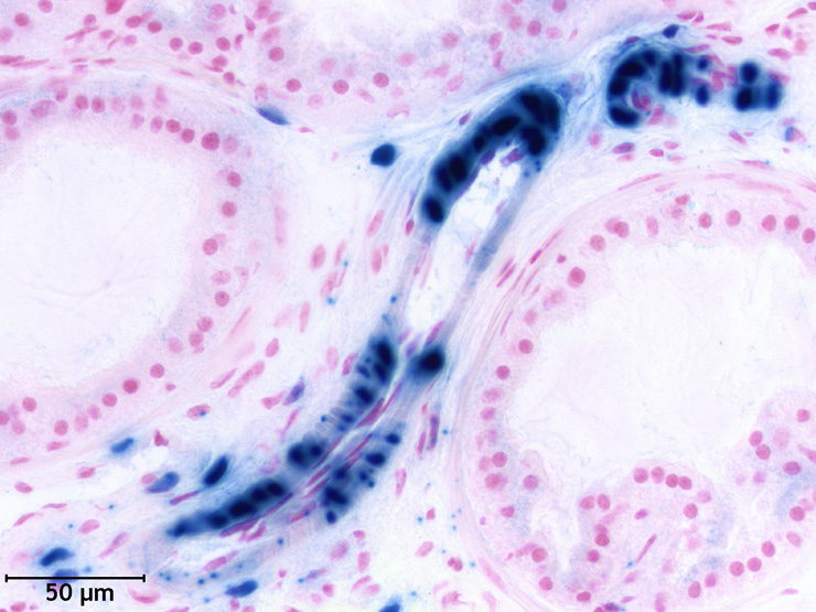
TS28: testis Very strong Regionally restricted 99254084 Expression is frequently seen in the tunica albuginea.

Specimen Mouse 455865 - Image 99254085: postnatal day 53; Adamts5tm1Dgen/Adamts5+ (more )
Structure Level Pattern Image Note
TS28: testis Very strong Regionally restricted 99254085 Expression is present in practically all cells of the blood vessels of the testis.
TS28: blood vessel Very strong Regionally restricted 99254085 Expression is present in practically all cells of the blood vessels of the testis.

Specimen Mouse 455865 - Image 99254086: postnatal day 53; Adamts5tm1Dgen/Adamts5+ (more )
Structure Level Pattern Image Note
TS28: prostate gland Very strong Regionally restricted 99254086 Expression is present in practically all cells of the blood vessels of the prostate gland.
TS28: blood vessel Very strong Regionally restricted 99254086 Expression is present in practically all cells of the blood vessels of the prostate gland.

Specimen Mouse 455865 - Image 99254091: postnatal day 53; Adamts5tm1Dgen/Adamts5+ (more )
Structure Level Pattern Image Note
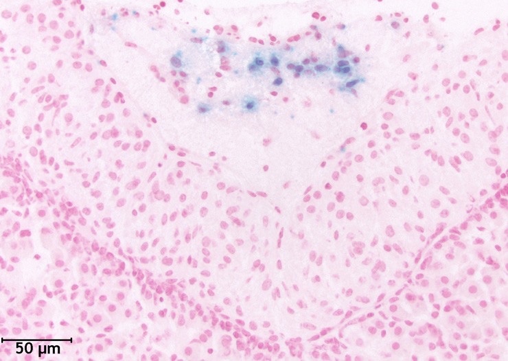
TS28: adrenal gland Very strong Regionally restricted 99254091 Expression is present in practically all cells of the capsule.

Specimen Mouse 455865 - Image 99254093: postnatal day 53; Adamts5tm1Dgen/Adamts5+ (more )
Structure Level Pattern Image Note
TS28: adrenal cortex Strong 99254093 There is scattered expression in the cortex.

Specimen Mouse 455865 - Image 99254095: postnatal day 53; Adamts5tm1Dgen/Adamts5+ (more )
Structure Level Pattern Image Note
TS28: adrenal medulla Strong 99254095 There is occasional staining in the medulla.

Specimen Mouse 455865 - Image 99254099: postnatal day 53; Adamts5tm1Dgen/Adamts5+ (more )
Structure Level Pattern Image Note
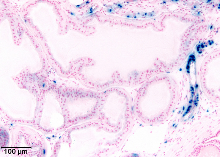
TS28: renal papilla Very strong 99254099 Expression is frequently seen in the papilla.

Specimen Mouse 455865 - Image 99254101: postnatal day 53; Adamts5tm1Dgen/Adamts5+ (more )
Structure Level Pattern Image Note
TS28: renal pelvis Weak 99254101 There is occasional staining in the kidney pelvis.

Specimen Mouse 455865 - Image 99254104: postnatal day 53; Adamts5tm1Dgen/Adamts5+ (more )
Structure Level Pattern Image Note
TS28: renal tubule Strong 99254104 There is occasional staining in the tubules.

Specimen Mouse 455865 - Image 99254107: postnatal day 53; Adamts5tm1Dgen/Adamts5+ (more )
Structure Level Pattern Image Note
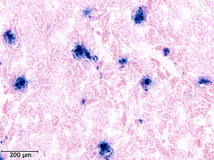
TS28: glomerular tuft Very strong 99254107 Expression is present in practically all cells of the glomeruli.

Specimen Mouse 455865 - Image 99254111: postnatal day 53; Adamts5tm1Dgen/Adamts5+ (more )
Structure Level Pattern Image Note
TS28: heart valve Strong 99254111 Expression is frequently seen in the valves.

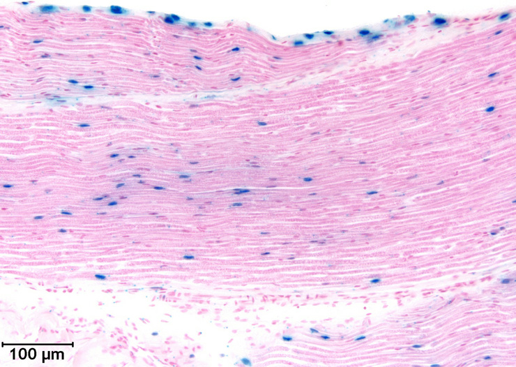
Specimen Mouse 455865 - Image 99254114: postnatal day 53; Adamts5tm1Dgen/Adamts5+ (more )
Structure Level Pattern Image Note
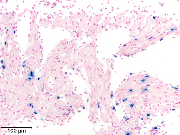
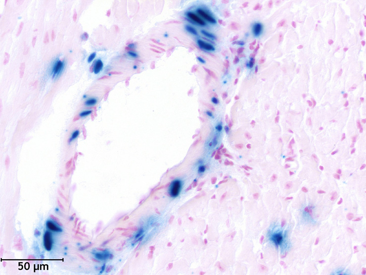
TS28: heart ventricle Very strong 99254114 Expression is frequently seen in the ventricles.

Specimen Mouse 455865 - Image 99254119: postnatal day 53; Adamts5tm1Dgen/Adamts5+ (more )
Structure Level Pattern Image Note
TS28: heart Very strong Regionally restricted 99254119 Expression is frequently seen in the blood vessels of the heart.
TS28: blood vessel Very strong Regionally restricted 99254119 Expression is frequently seen in the blood vessels of the heart.

Specimen Mouse 455865 - Image 99254121: postnatal day 53; Adamts5tm1Dgen/Adamts5+ (more )
Structure Level Pattern Image Note
TS28: heart atrium Very strong 99254121 There is scattered expression in the atrium.

Specimen Mouse 455865 - Image 99254128: postnatal day 53; Adamts5tm1Dgen/Adamts5+ (more )
Structure Level Pattern Image Note
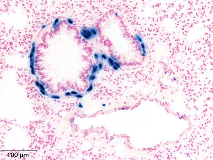
TS28: bronchiole Very strong Regionally restricted 99254128 Expression is frequently seen in the smooth muscle cells of the bronchioles.

Specimen Mouse 455865 - Image 99254130: postnatal day 53; Adamts5tm1Dgen/Adamts5+ (more )
Structure Level Pattern Image Note
TS28: bronchiole epithelium Moderate 99254130 There is scattered expression in the epithelial cells.

Specimen Mouse 455865 - Image 99254132: postnatal day 53; Adamts5tm1Dgen/Adamts5+ (more )
Structure Level Pattern Image Note
TS28: lung Strong Regionally restricted 99254132 Expression is frequently seen in the blood vessels of the lung.
TS28: blood vessel Strong Regionally restricted 99254132 Expression is frequently seen in the blood vessels of the lung.

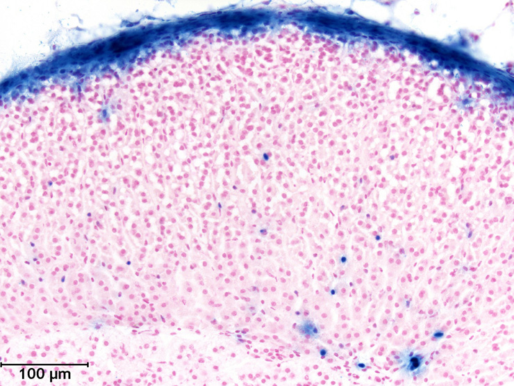
Specimen Mouse 455865 - Image 99254133: postnatal day 53; Adamts5tm1Dgen/Adamts5+ (more )
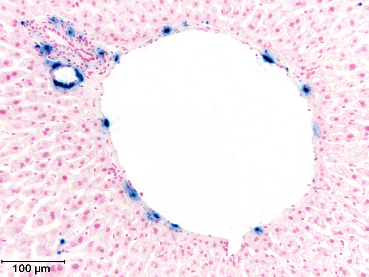
Structure Level Pattern Image Note
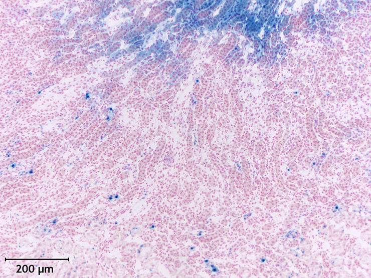
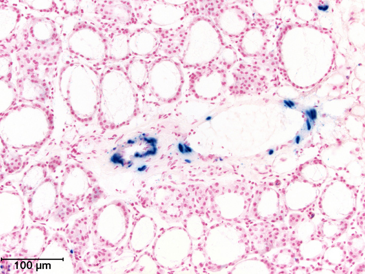
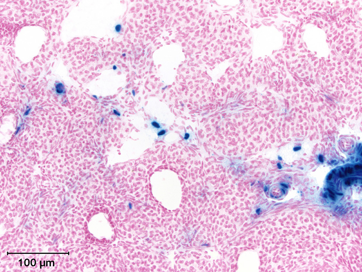
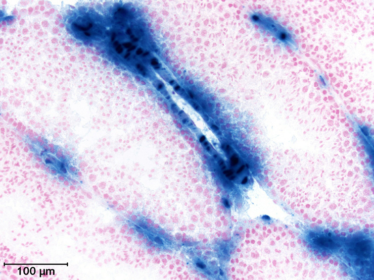
TS28: liver Very strong Regionally restricted 99254133 Expression is frequently seen in the blood vessels of the liver.
TS28: blood vessel Very strong Regionally restricted 99254133 Expression is frequently seen in the blood vessels of the liver.

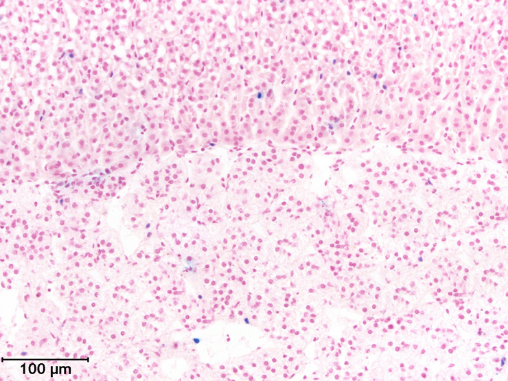
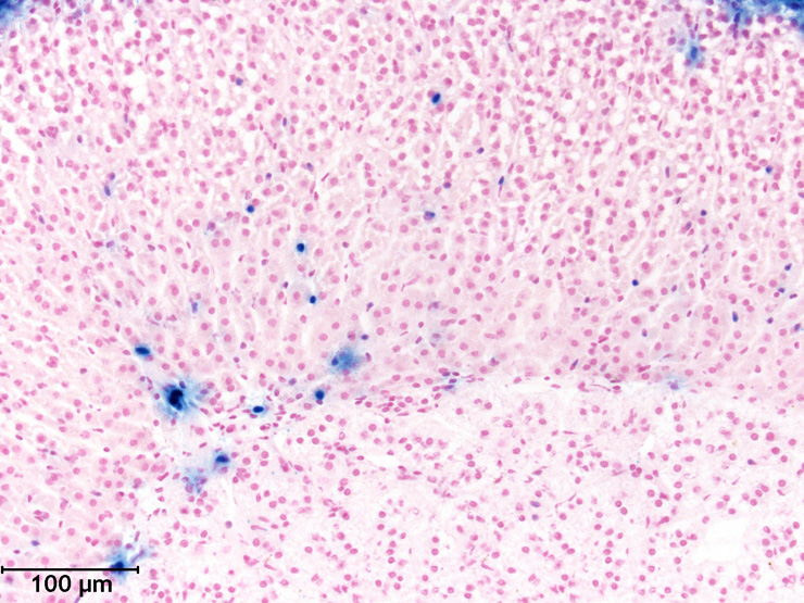
Specimen Mouse 455865 - Image 99254136: postnatal day 53; Adamts5tm1Dgen/Adamts5+ (more )
Structure Level Pattern Image Note
TS28: bile duct Strong 99254136 There is scattered expression in the bile duct.

Specimen Mouse 455865 - Image 99254139: postnatal day 53; Adamts5tm1Dgen/Adamts5+ (more )
Structure Level Pattern Image Note
TS28: lens Strong 99254139 Expression is frequently seen in the lens.

Specimen Mouse 455865 - Image 99254140: postnatal day 53; Adamts5tm1Dgen/Adamts5+ (more )
Structure Level Pattern Image Note
TS28: cornea Strong 99254140 There is scattered expression in the cornea.

Specimen Mouse 455865 - Image 99254166: postnatal day 53; Adamts5tm1Dgen/Adamts5+ (more )
Structure Level Pattern Image Note
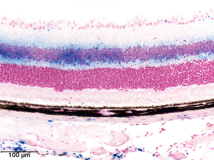
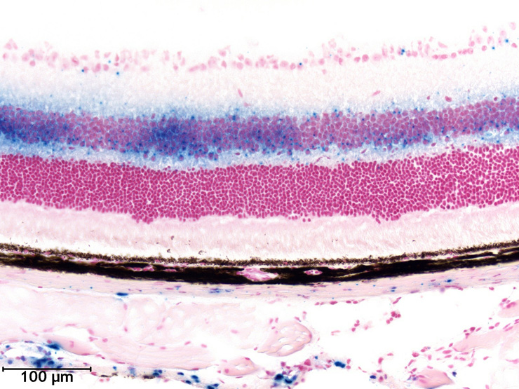
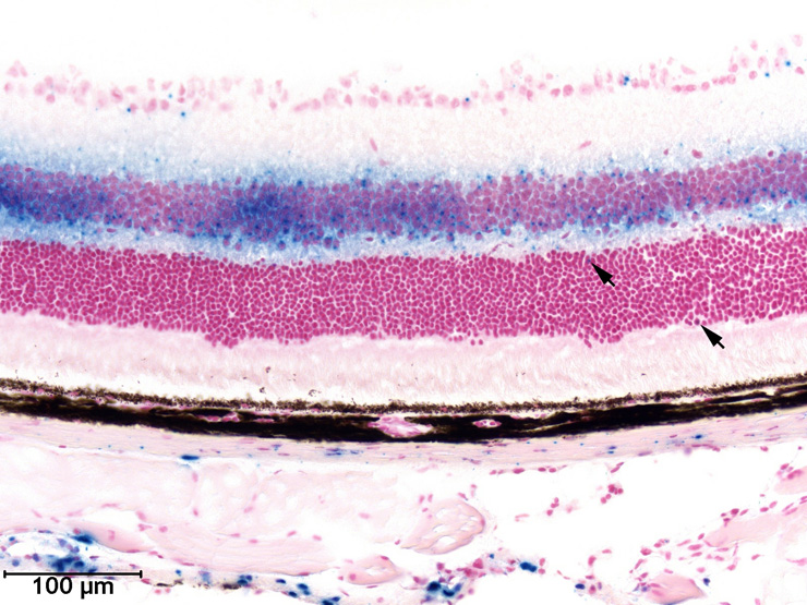
TS28: retina Strong 99254166 There is scattered expression in the retina.

Specimen Mouse 455865 - Image 99254181: postnatal day 53; Adamts5tm1Dgen/Adamts5+ (more )
Structure Level Pattern Image Note
TS28: sclera Strong 99254181 Expression is frequently seen in the sclera.

Specimen Mouse 455865 - Image 99254182: postnatal day 53; Adamts5tm1Dgen/Adamts5+ (more )
Structure Level Pattern Image Note
TS28: retina inner nuclear layer Strong 99254182 Expression is frequently seen in the inner nuclear layer.

Specimen Mouse 455865 - Image 99254183: postnatal day 53; Adamts5tm1Dgen/Adamts5+ (more )
Structure Level Pattern Image Note
TS28: retina ganglion cell layer Strong 99254183 There is scattered expression in the ganglion cell layer.

Specimen Mouse 455865 - Image 99254184: postnatal day 53; Adamts5tm1Dgen/Adamts5+ (more )
Structure Level Pattern Image Note
TS28: retina outer nuclear layer Moderate 99254184 There is occasional staining in the outer nuclear layer.

Specimen Mouse 455865 - Image 99254189: postnatal day 53; Adamts5tm1Dgen/Adamts5+ (more )
Structure Level Pattern Image Note
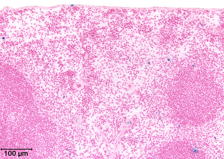
TS28: thymus thin fibrous capsule Very strong 99254189 There is scattered expression in the capsule.

Specimen Mouse 455865 - Image 99254192: postnatal day 53; Adamts5tm1Dgen/Adamts5+ (more )
Structure Level Pattern Image Note
TS28: thymus Very strong Regionally restricted 99254192 Expression is frequently seen in the blood vessels of the thymus.
TS28: blood vessel Very strong Regionally restricted 99254192 Expression is frequently seen in the blood vessels of the thymus.

Specimen Mouse 455865 - Image 99254193: postnatal day 53; Adamts5tm1Dgen/Adamts5+ (more )
Structure Level Pattern Image Note
TS28: thyroid gland Very strong Regionally restricted 99254193 Expression is frequently seen in the blood vessels of the thyroid gland.
TS28: blood vessel Very strong Regionally restricted 99254193 Expression is frequently seen in the blood vessels of the thyroid gland.

Specimen Mouse 455865 - Image 99254197: postnatal day 53; Adamts5tm1Dgen/Adamts5+ (more )
Structure Level Pattern Image Note
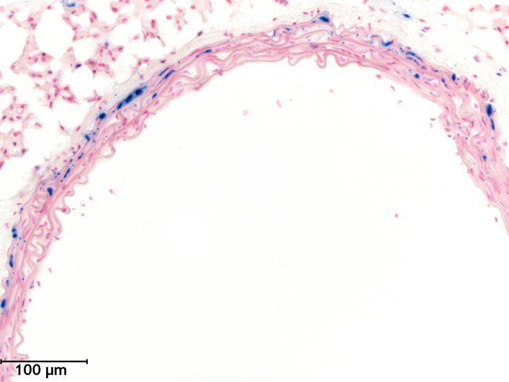
TS28: aorta Strong Regionally restricted 99254197 There is scattered expression in the periaortic adipose tissue.
TS28: adipose tissue Strong Regionally restricted 99254197 There is scattered expression in the periaortic adipose tissue.

Specimen Mouse 455865 - Image 99254198: postnatal day 53; Adamts5tm1Dgen/Adamts5+ (more )
Structure Level Pattern Image Note
TS28: aorta Very strong 99254198 There is scattered expression in the aorta.

Specimen Mouse 455865 - Image 99254199: postnatal day 53; Adamts5tm1Dgen/Adamts5+ (more )
Structure Level Pattern Image Note
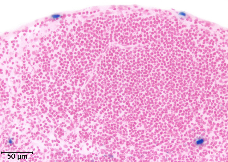
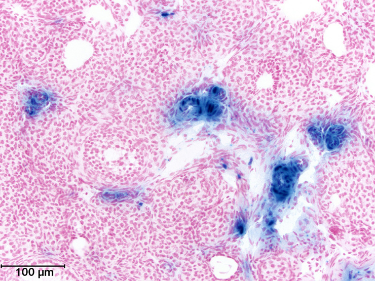
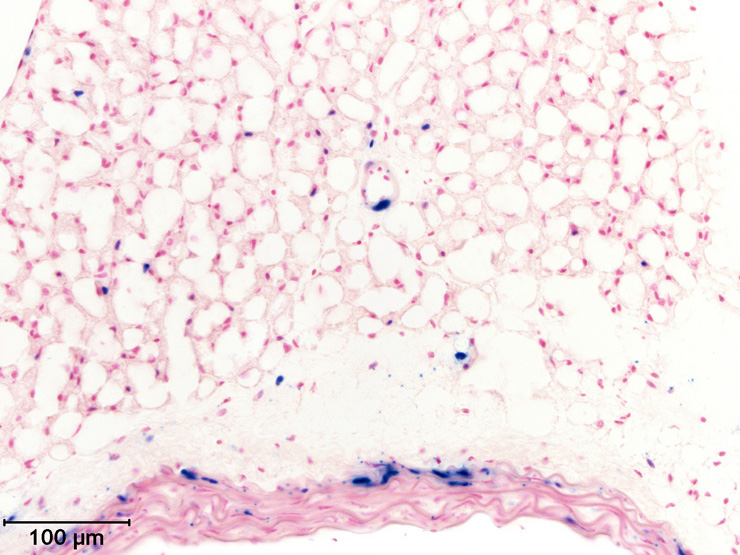
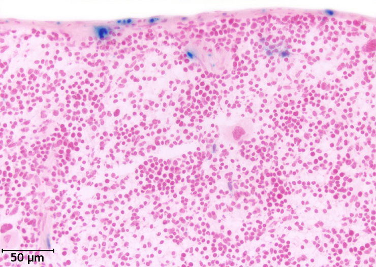
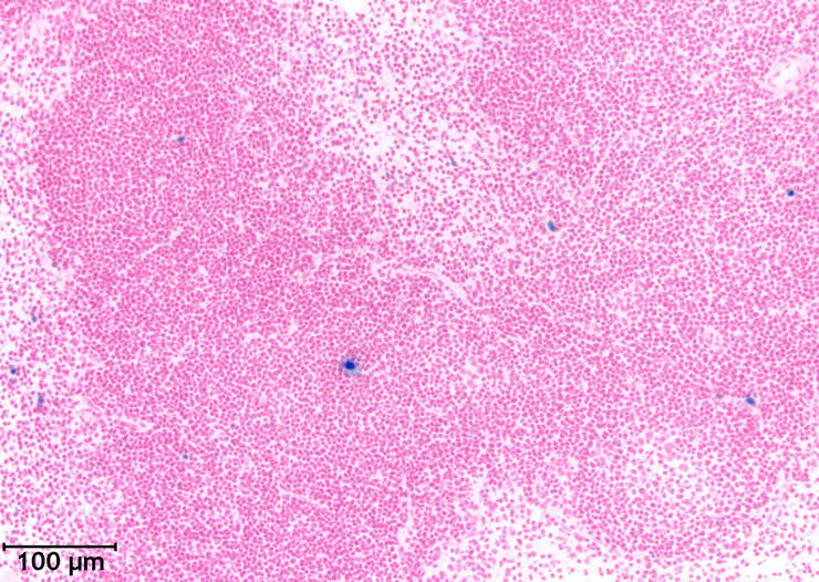
TS28: bone marrow Very strong 99254199 There is occasional staining in the bone marrow.

Specimen Mouse 455865 - Image 99254295: postnatal day 53; Adamts5tm1Dgen/Adamts5+ (more )
Structure Level Pattern Image Note
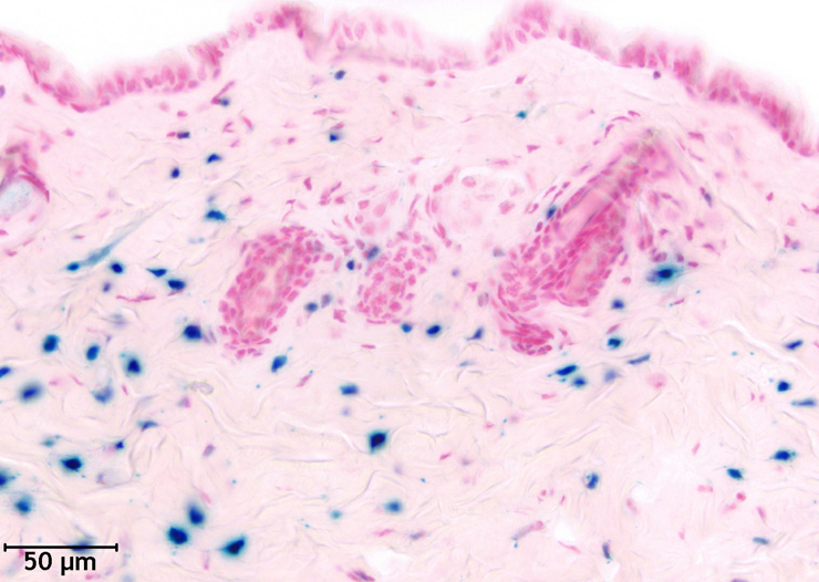
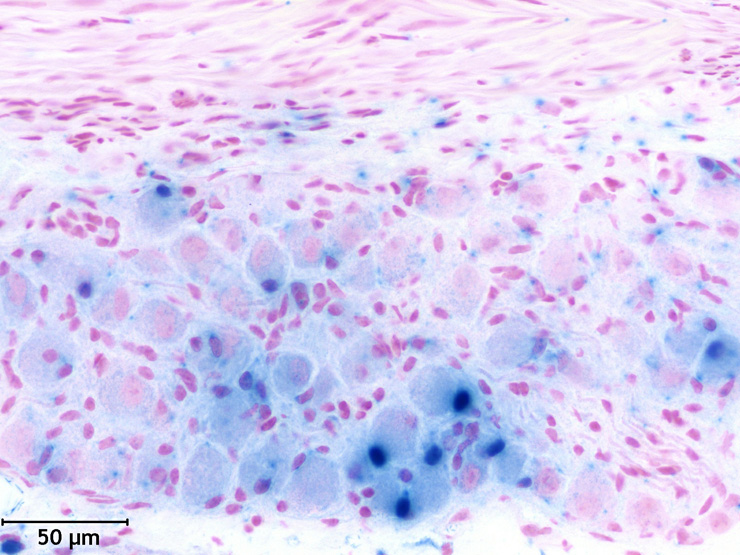
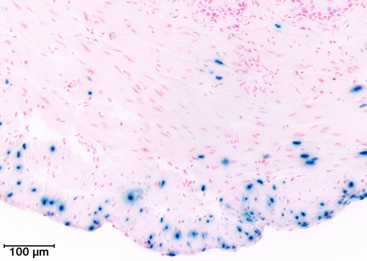
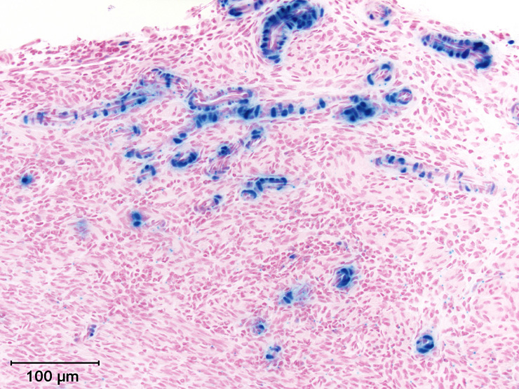
TS28: dermis Very strong 99254295 Expression is frequently seen in the dermis.

Specimen Mouse 455865 - Image 99254296: postnatal day 53; Adamts5tm1Dgen/Adamts5+ (more )
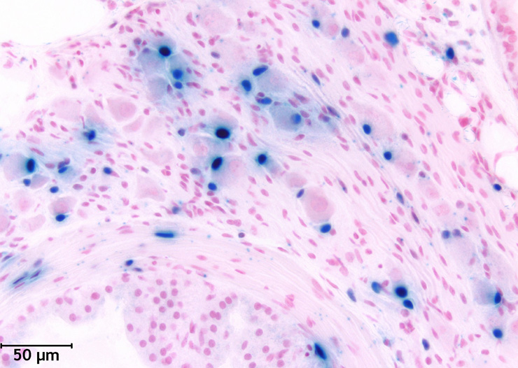
Structure Level Pattern Image Note
TS28: sciatic nerve Very strong 99254296 Expression is frequently seen in the sciatic nerve.

Specimen Mouse 455865 - Image 99254297: postnatal day 53; Adamts5tm1Dgen/Adamts5+ (more )
Structure Level Pattern Image Note
TS28: skeletal muscle Strong 99254297 There is scattered expression in the skeletal muscle.

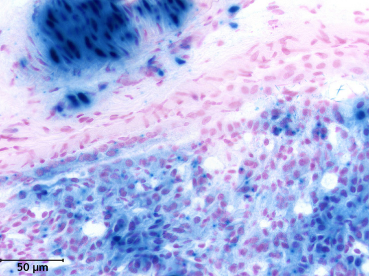
Specimen Mouse 455865 - Image 99255807: postnatal day 53; Adamts5tm1Dgen/Adamts5+ (more )
Structure Level Pattern Image Note
TS28: cerebellum Purkinje cell layer Strong 99255807 There is occasional staining in the Purkinje layer.

Specimen Mouse 455865 - Image 99256416: postnatal day 53; Adamts5tm1Dgen/Adamts5+ (more )
Structure Level Pattern Image Note
TS28: renal medulla Very strong 99256416 There is occasional staining in the medulla.

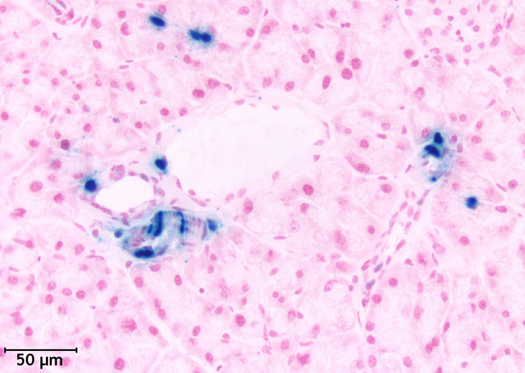
Specimen Mouse 455865 - Image 99256417: postnatal day 53; Adamts5tm1Dgen/Adamts5+ (more )
Structure Level Pattern Image Note
TS28: liver Very strong 99256417 There is scattered expression in the liver.

Specimen Mouse 455865 - Image 99256418: postnatal day 53; Adamts5tm1Dgen/Adamts5+ (more )
Structure Level Pattern Image Note
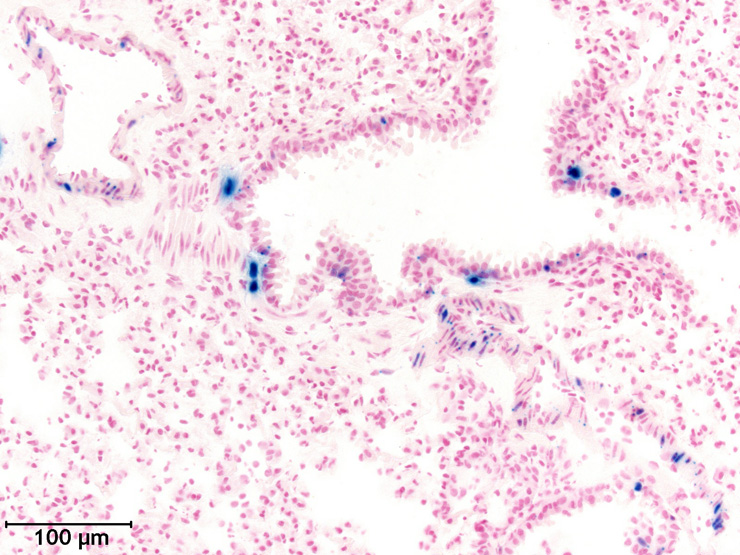
TS28: trachea Strong 99256418 There is scattered expression in the trachea.

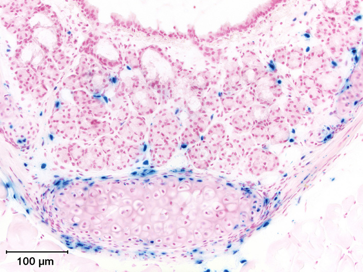
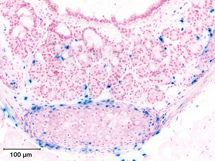
Specimen Mouse 455865 - Image 99256419: postnatal day 53; Adamts5tm1Dgen/Adamts5+ (more )
Structure Level Pattern Image Note
TS28: trachea cartilage Very strong 99256419 There is scattered expression in the cartilage.

Specimen Mouse 455865: postnatal day 53; Adamts5tm1Dgen/Adamts5+ (more )
Structure Level Pattern Image Note
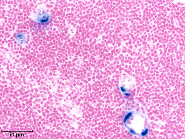
TS28: spleen Very strong Regionally restricted There is scattered expression in the blood vessels of the spleen.
TS28: blood vessel Present Regionally restricted In blood vessels very strong expression is frequently seen in kidney; very strong, scattered expression in spleen; strong, scattered expression in skeletal muscle and brainstem; and moderate, scattered expression in cerebellum and spinal cord.
TS28: skeletal muscle Strong Regionally restricted There is scattered expression in the blood vessels of the skeletal muscle.
TS28: cerebellum Moderate Regionally restricted There is scattered expression in the blood vessels of the cerebellum.
TS28: brainstem Strong Regionally restricted There is scattered expression in the blood vessels of the brainstem.
TS28: spinal cord Moderate Regionally restricted There is scattered expression in the blood vessels of the spinal cord.
TS28: metanephros Very strong Regionally restricted Expression is frequently seen in the blood vessels of the kidney.

Specimen Mouse 455876 - Image 99252387: postnatal day 53; Adamts5tm1Dgen/Adamts5+ (more )
Structure Level Pattern Image Note
TS28: brainstem Very strong 99252387 There is scattered expression in the brainstem.

Specimen Mouse 455876 - Image 99252388: postnatal day 53; Adamts5tm1Dgen/Adamts5+ (more )
Structure Level Pattern Image Note
TS28: brain Very strong 99252388 There is scattered expression in the brain.

Specimen Mouse 455876 - Image 99252389: postnatal day 53; Adamts5tm1Dgen/Adamts5+ (more )
Structure Level Pattern Image Note
TS28: telencephalon Very strong 99252389 There is scattered expression in the cerebrum.

Specimen Mouse 455876 - Image 99252390: postnatal day 53; Adamts5tm1Dgen/Adamts5+ (more )
Structure Level Pattern Image Note
TS28: cerebellum Very strong 99252390 Expression is frequently seen in the cerebellum.

Specimen Mouse 455876 - Image 99253851: postnatal day 53; Adamts5tm1Dgen/Adamts5+ (more )
Structure Level Pattern Image Note
TS28: bone marrow Strong 99253851 There is occasional staining in the bone marrow.

Specimen Mouse 455876 - Image 99254074: postnatal day 53; Adamts5tm1Dgen/Adamts5+ (more )
Structure Level Pattern Image Note
TS28: endometrium stroma Weak 99254074 There is scattered expression in the endometrial stroma.

Specimen Mouse 455876 - Image 99254076: postnatal day 53; Adamts5tm1Dgen/Adamts5+ (more )
Structure Level Pattern Image Note
TS28: myometrium Weak 99254076 There is scattered expression in the myometrium.

Specimen Mouse 455876 - Image 99254077: postnatal day 53; Adamts5tm1Dgen/Adamts5+ (more )
Structure Level Pattern Image Note
TS28: cervix uteri Very strong Regionally restricted 99254077 Expression is frequently seen in the ganglia.

Specimen Mouse 455876 - Image 99254078: postnatal day 53; Adamts5tm1Dgen/Adamts5+ (more )
Structure Level Pattern Image Note
TS28: cervix uteri Moderate Regionally restricted 99254078 Expression is frequently seen in the smooth muscle layer.

Specimen Mouse 455876 - Image 99254079: postnatal day 53; Adamts5tm1Dgen/Adamts5+ (more )
Structure Level Pattern Image Note
TS28: cervix uteri Weak Regionally restricted 99254079 There is scattered expression in the stroma.

Specimen Mouse 455876 - Image 99254081: postnatal day 53; Adamts5tm1Dgen/Adamts5+ (more )
Structure Level Pattern Image Note
TS28: ovary Very strong Regionally restricted 99254081 Expression is frequently seen in the blood vessels of the ovary.
TS28: blood vessel Very strong Regionally restricted 99254081 Expression is frequently seen in the blood vessels of the ovary.

Specimen Mouse 455876 - Image 99254082: postnatal day 53; Adamts5tm1Dgen/Adamts5+ (more )
Structure Level Pattern Image Note
TS28: ovary follicle Weak Regionally restricted 99254082 There is occasional staining in the corpus luteum.

Specimen Mouse 455876 - Image 99256420: postnatal day 53; Adamts5tm1Dgen/Adamts5+ (more )
Structure Level Pattern Image Note
TS28: uterus Very strong Regionally restricted 99256420 Expression is frequently seen in the blood vessels of the uterus.
TS28: blood vessel Very strong Regionally restricted 99256420 Expression is frequently seen in the blood vessels of the uterus.

Specimen Mouse 455876 - Image 99256421: postnatal day 53; Adamts5tm1Dgen/Adamts5+ (more )
Structure Level Pattern Image Note
TS28: ovary Strong Regionally restricted 99256421 There is scattered expression in the stroma.

Specimen Mouse 455876: postnatal day 53; Adamts5tm1Dgen/Adamts5+ (more )
Structure Level Pattern Image Note
TS28: cervix uteri Strong Regionally restricted Expression is frequently seen in the blood vessels of the cervix.
TS28: blood vessel Strong Regionally restricted Expression is frequently seen in the blood vessels of the cervix.


Contributing Projects:
Mouse Genome Database (MGD), Gene Expression Database (GXD), Mouse Models of Human Cancer database (MMHCdb) (formerly Mouse Tumor Biology (MTB)), Gene Ontology (GO)
Citing These Resources
Funding Information
Warranty Disclaimer, Privacy Notice, Licensing, & Copyright
Send questions and comments to User Support.
last database update
12/30/2025
MGI 6.24
The Jackson Laboratory