About   Help   FAQ
Gene Expression Data
Assay Details
Assay
Reference: J:101679 Deltagen Inc, NIH initiative supporting placement of Deltagen, Inc. mice into public repositories. MGI Direct Data Submission. 2005;
Assay type: In situ reporter (knock in)
MGI Accession ID: MGI:3639189
Gene symbol: Casp12
Gene name: caspase 12
Reporter: lacZ
Direct Detection
Results
Specimen Mouse 135983 - Image 12261336: postnatal day 50; Casp12tm1Dgen/Casp12+ (more )
Structure Level Pattern Image Note
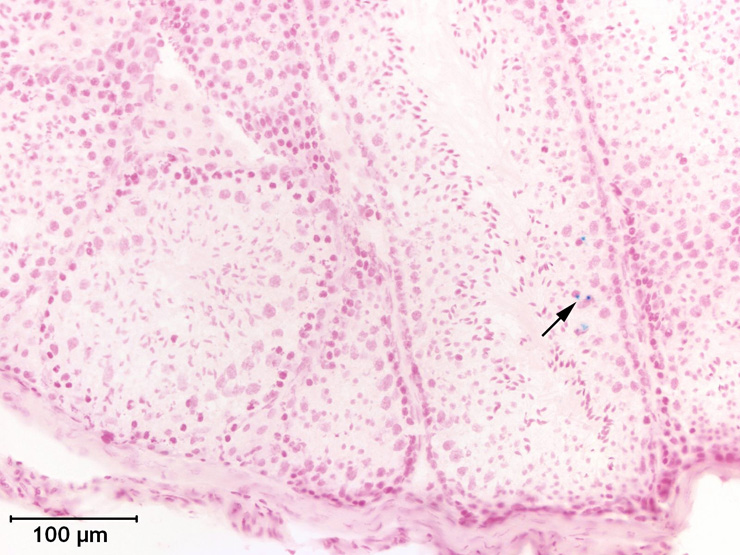
TS28: seminiferous tubule Very strong 12261336 There is occasional staining in the seminiferous tubules.

Specimen Mouse 135983 - Image 12261338: postnatal day 50; Casp12tm1Dgen/Casp12+ (more )
Structure Level Pattern Image Note
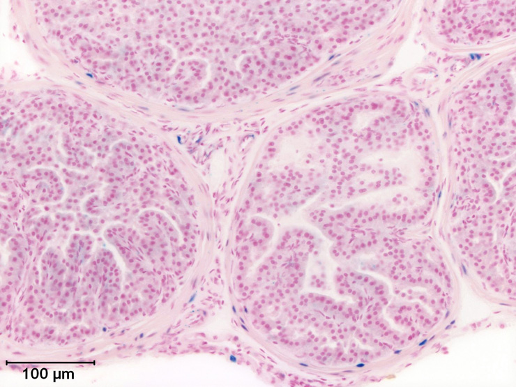
TS28: testis Strong Regionally restricted 12261338 There is occasional staining in the tunica albuginea.

Specimen Mouse 135983 - Image 12261340: postnatal day 50; Casp12tm1Dgen/Casp12+ (more )
Structure Level Pattern Image Note
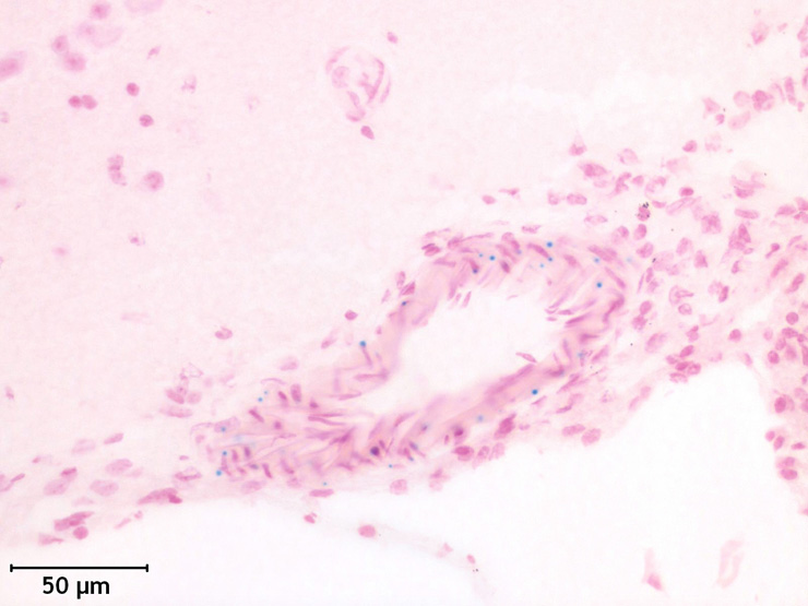
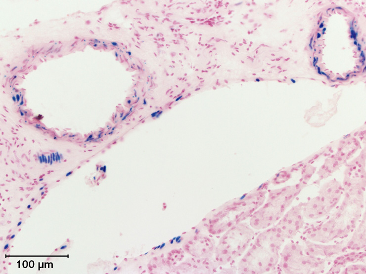
TS28: testis Weak Regionally restricted 12261340 There is scattered expression in the blood vessels of the testis.
TS28: blood vessel Weak Regionally restricted 12261340 There is scattered expression in the blood vessels of the testis.

Specimen Mouse 135983 - Image 12262039: postnatal day 50; Casp12tm1Dgen/Casp12+ (more )
Structure Level Pattern Image Note
TS28: neocortex region Strong 12262039 There is scattered expression in the somatosensory cortex.

Specimen Mouse 135983 - Image 12262040: postnatal day 50; Casp12tm1Dgen/Casp12+ (more )
Structure Level Pattern Image Note
TS28: neocortex region Strong 12262040 Expression is frequently seen in the somatosensory cortex.

Specimen Mouse 135983 - Image 12262041: postnatal day 50; Casp12tm1Dgen/Casp12+ (more )
Structure Level Pattern Image Note
TS28: telencephalon Strong Regionally restricted 12262041 Expression is frequently seen in the blood vessels of the cerebrum.
TS28: blood vessel Strong Regionally restricted 12262041 Expression is frequently seen in the blood vessels of the cerebrum.

Specimen Mouse 135983 - Image 12262042: postnatal day 50; Casp12tm1Dgen/Casp12+ (more )
Structure Level Pattern Image Note
TS28: hippocampus Trace 12262042 There is occasional staining in the hippocampus.

Specimen Mouse 135983 - Image 12262043: postnatal day 50; Casp12tm1Dgen/Casp12+ (more )
Structure Level Pattern Image Note
TS28: lateral ventricle Moderate 12262043 There is scattered expression in the lateral ventricle.

Specimen Mouse 135983 - Image 12262044: postnatal day 50; Casp12tm1Dgen/Casp12+ (more )
Structure Level Pattern Image Note
TS28: accumbens nucleus Trace 12262044 There is scattered expression in the nucleus accumbens.

Specimen Mouse 135983 - Image 12262048: postnatal day 50; Casp12tm1Dgen/Casp12+ (more )
Structure Level Pattern Image Note
TS28: caudate-putamen Moderate 12262048 There is scattered expression in the caudate-putamen.

Specimen Mouse 135983 - Image 12262049: postnatal day 50; Casp12tm1Dgen/Casp12+ (more )
Structure Level Pattern Image Note
TS28: caudate-putamen Moderate 12262049 There is scattered expression in the caudate-putamen.

Specimen Mouse 135983 - Image 12288449: postnatal day 50; Casp12tm1Dgen/Casp12+ (more )
Structure Level Pattern Image Note
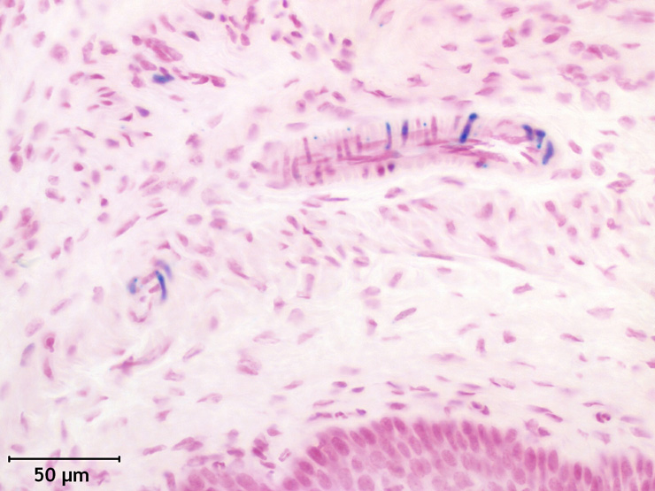
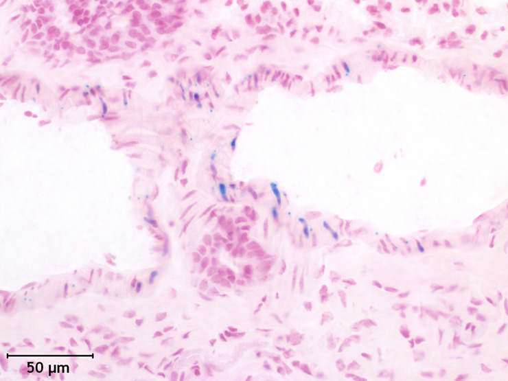
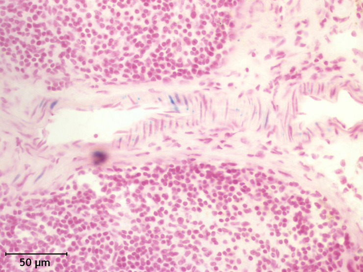
TS28: penis Strong Regionally restricted 12288449 Expression is frequently seen in the smooth muscle cells.

Specimen Mouse 135983 - Image 12288450: postnatal day 50; Casp12tm1Dgen/Casp12+ (more )
Structure Level Pattern Image Note
TS28: penis Moderate Regionally restricted 12288450 There is scattered expression in the nerves of the penis.
TS28: nerve Moderate Regionally restricted 12288450 There is scattered expression in the nerves of the penis.

Specimen Mouse 135983 - Image 12294336: postnatal day 50; Casp12tm1Dgen/Casp12+ (more )
Structure Level Pattern Image Note
TS28: cerebellum granule cell layer Weak Regionally restricted 12294336 There is occasional staining in the basket cells.

Specimen Mouse 135983 - Image 12294337: postnatal day 50; Casp12tm1Dgen/Casp12+ (more )
Structure Level Pattern Image Note
TS28: cerebellum molecular layer Moderate 12294337 Expression is frequently seen in the molecular layer.

Specimen Mouse 135983 - Image 12294338: postnatal day 50; Casp12tm1Dgen/Casp12+ (more )
Structure Level Pattern Image Note
TS28: cerebellum Purkinje cell layer Moderate Regionally restricted 12294338 Expression is frequently seen in the basket cells.

Specimen Mouse 135983 - Image 12294345: postnatal day 50; Casp12tm1Dgen/Casp12+ (more )
Structure Level Pattern Image Note
TS28: seminal vesicle Moderate Regionally restricted 12294345 Expression is frequently seen in the myocytes of the capsule.

Specimen Mouse 135983 - Image 12294347: postnatal day 50; Casp12tm1Dgen/Casp12+ (more )
Structure Level Pattern Image Note
TS28: seminal vesicle Strong Regionally restricted 12294347 Expression is frequently seen in the blood vessels of the seminal vesicles.
TS28: blood vessel Strong Regionally restricted 12294347 Expression is frequently seen in the blood vessels of the seminal vesicles.

Specimen Mouse 135983 - Image 12294349: postnatal day 50; Casp12tm1Dgen/Casp12+ (more )
Structure Level Pattern Image Note
TS28: anterior prostate gland Strong Regionally restricted 12294349 Expression is frequently seen in the blood vessels of the coagulating gland.
TS28: blood vessel Strong Regionally restricted 12294349 Expression is frequently seen in the blood vessels of the coagulating gland.

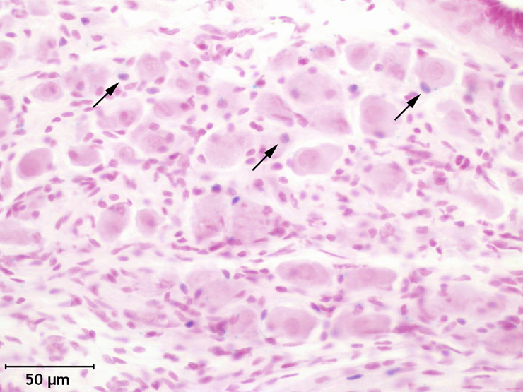
Specimen Mouse 135983 - Image 12294351: postnatal day 50; Casp12tm1Dgen/Casp12+ (more )
Structure Level Pattern Image Note
TS28: anterior prostate gland Strong Regionally restricted 12294351 Expression is frequently seen in the myocytes of the capsule.

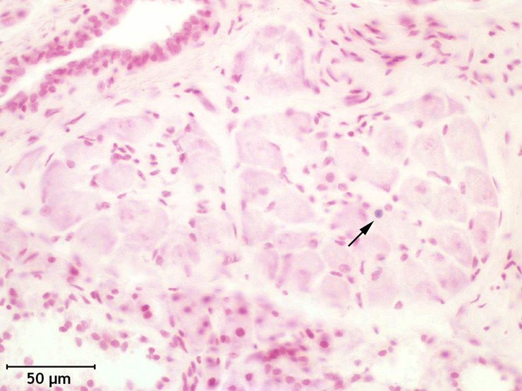
Specimen Mouse 135983 - Image 12294353: postnatal day 50; Casp12tm1Dgen/Casp12+ (more )
Structure Level Pattern Image Note
TS28: prostate gland smooth muscle Moderate Regionally restricted 12294353 There is scattered expression in the myocytes of the capsule.

Specimen Mouse 135983 - Image 12294355: postnatal day 50; Casp12tm1Dgen/Casp12+ (more )
Structure Level Pattern Image Note
TS28: prostate gland Strong Regionally restricted 12294355 Expression is frequently seen in the blood vessels of the prostate gland.
TS28: blood vessel Strong Regionally restricted 12294355 Expression is frequently seen in the blood vessels of the prostate gland.

Specimen Mouse 135983 - Image 12294357: postnatal day 50; Casp12tm1Dgen/Casp12+ (more )
Structure Level Pattern Image Note
TS28: prostate gland Weak Regionally restricted 12294357 There is scattered expression in the ganglia.

Specimen Mouse 135983 - Image 12294365: postnatal day 50; Casp12tm1Dgen/Casp12+ (more )
Structure Level Pattern Image Note
TS28: lamina propria of bladder Trace 12294365 There is occasional staining in the smooth muscle cells.

Specimen Mouse 135983 - Image 12311266: postnatal day 50; Casp12tm1Dgen/Casp12+ (more )
Structure Level Pattern Image Note
TS28: cerebellum Weak Regionally restricted 12311266 There is scattered expression in the cerebellar peduncle.

Specimen Mouse 135983 - Image 12311267: postnatal day 50; Casp12tm1Dgen/Casp12+ (more )
Structure Level Pattern Image Note
TS28: 4th ventricle Moderate 12311267 Expression is frequently seen in the ventricle.

Specimen Mouse 135983 - Image 12311268: postnatal day 50; Casp12tm1Dgen/Casp12+ (more )
Structure Level Pattern Image Note
TS28: cerebellum white matter Trace 12311268 There is scattered expression in the white matter.

Specimen Mouse 135983 - Image 12311269: postnatal day 50; Casp12tm1Dgen/Casp12+ (more )
Structure Level Pattern Image Note
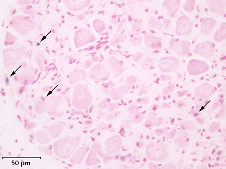
TS28: spinal cord Trace Regionally restricted 12311269 There is occasional staining in the motor neurons.

Specimen Mouse 135983 - Image 12311270: postnatal day 50; Casp12tm1Dgen/Casp12+ (more )
Structure Level Pattern Image Note
TS28: adrenal cortex Moderate 12311270 Expression is frequently seen in the cortex.

Specimen Mouse 135983 - Image 12311271: postnatal day 50; Casp12tm1Dgen/Casp12+ (more )
Structure Level Pattern Image Note
TS28: adrenal gland Strong Regionally restricted 12311271 Expression is frequently seen in the blood vessels of the adrenal gland.
TS28: blood vessel Strong Regionally restricted 12311271 Expression is frequently seen in the blood vessels of the adrenal gland.

Specimen Mouse 135983 - Image 12311272: postnatal day 50; Casp12tm1Dgen/Casp12+ (more )
Structure Level Pattern Image Note
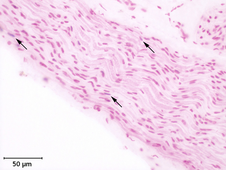
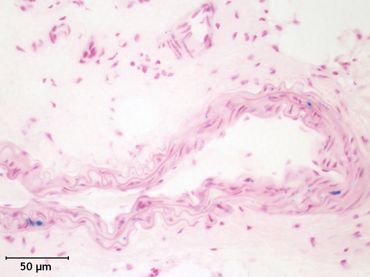
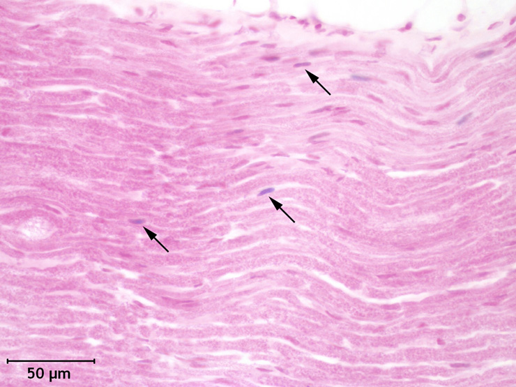
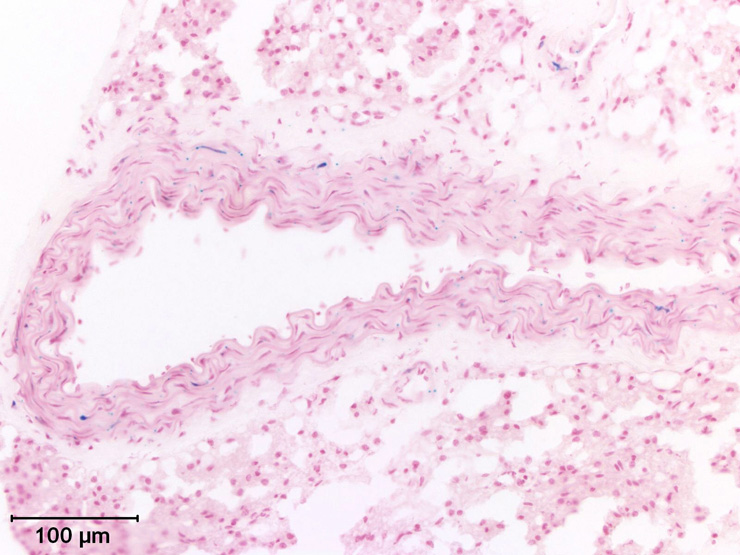
TS28: aorta Moderate Regionally restricted 12311272 Expression is frequently seen in the tunica media.

Specimen Mouse 135983 - Image 12311273: postnatal day 50; Casp12tm1Dgen/Casp12+ (more )
Structure Level Pattern Image Note
TS28: spleen Moderate Regionally restricted 12311273 Expression is frequently seen in the blood vessels of the spleen.
TS28: blood vessel Moderate Regionally restricted 12311273 Expression is frequently seen in the blood vessels of the spleen.

Specimen Mouse 135983 - Image 12311280: postnatal day 50; Casp12tm1Dgen/Casp12+ (more )
Structure Level Pattern Image Note
TS28: salivary gland Moderate Regionally restricted 12311280 There is scattered expression in the ganglia.

Specimen Mouse 135983 - Image 12311281: postnatal day 50; Casp12tm1Dgen/Casp12+ (more )
Structure Level Pattern Image Note
TS28: aorta Moderate Regionally restricted 12311281 Expression is frequently seen in the tunica media.

Specimen Mouse 135983 - Image 12316227: postnatal day 50; Casp12tm1Dgen/Casp12+ (more )
Structure Level Pattern Image Note
TS28: heart valve Weak 12316227 Expression is frequently seen in the valves.

Specimen Mouse 135983 - Image 12339818: postnatal day 50; Casp12tm1Dgen/Casp12+ (more )
Structure Level Pattern Image Note
TS28: heart Moderate Regionally restricted 12339818 There is scattered expression in the blood vessels of the heart.
TS28: blood vessel Moderate Regionally restricted 12339818 There is scattered expression in the blood vessels of the heart.

Specimen Mouse 135983 - Image 12339819: postnatal day 50; Casp12tm1Dgen/Casp12+ (more )
Structure Level Pattern Image Note
TS28: lung Strong Regionally restricted 12339819 Expression is frequently seen in the blood vessels of the lung.
TS28: blood vessel Strong Regionally restricted 12339819 Expression is frequently seen in the blood vessels of the lung.

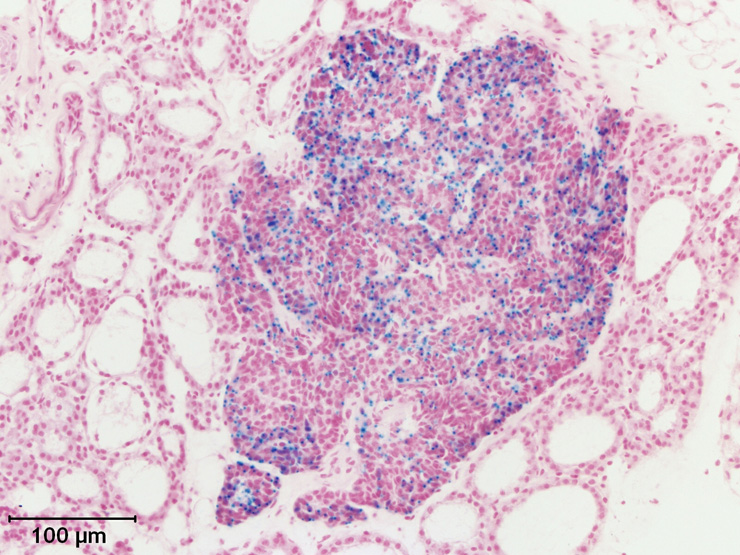
Specimen Mouse 135983 - Image 12564044: postnatal day 50; Casp12tm1Dgen/Casp12+ (more )
Structure Level Pattern Image Note
TS28: metanephros Very strong Regionally restricted 12564044 Expression is frequently seen in the blood vessels of the kidney.
TS28: blood vessel Very strong Regionally restricted 12564044 Expression is frequently seen in the blood vessels of the kidney.

Specimen Mouse 135983 - Image 12564045: postnatal day 50; Casp12tm1Dgen/Casp12+ (more )
Structure Level Pattern Image Note
TS28: thyroid gland Weak Regionally restricted 12564045 Expression is frequently seen in the blood vessels of the thyroid gland.
TS28: blood vessel Weak Regionally restricted 12564045 Expression is frequently seen in the blood vessels of the thyroid gland.

Specimen Mouse 135983 - Image 12564046: postnatal day 50; Casp12tm1Dgen/Casp12+ (more )
Structure Level Pattern Image Note
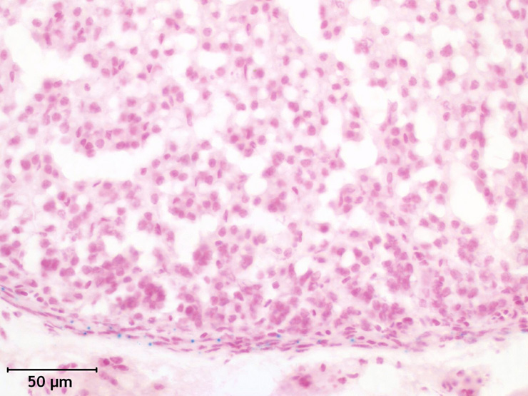
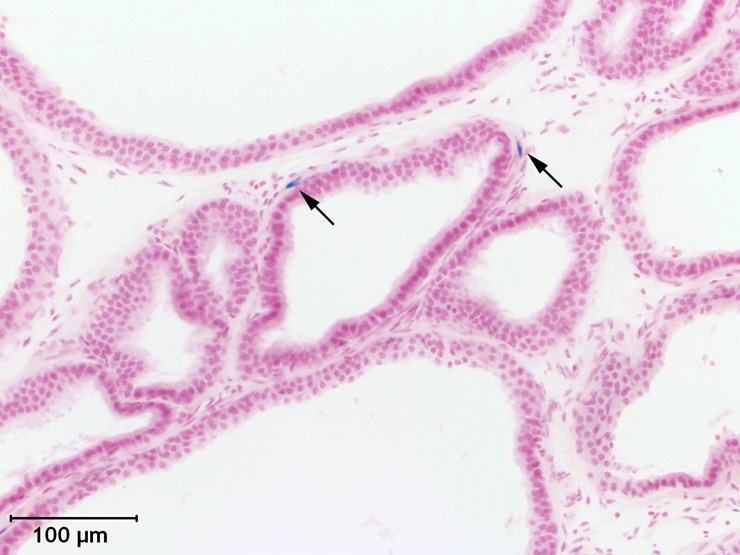
TS28: parathyroid gland Very strong 12564046 Expression is present in practically all cells of the parathyroid gland.

Specimen Mouse 135983 - Image 12564047: postnatal day 50; Casp12tm1Dgen/Casp12+ (more )
Structure Level Pattern Image Note
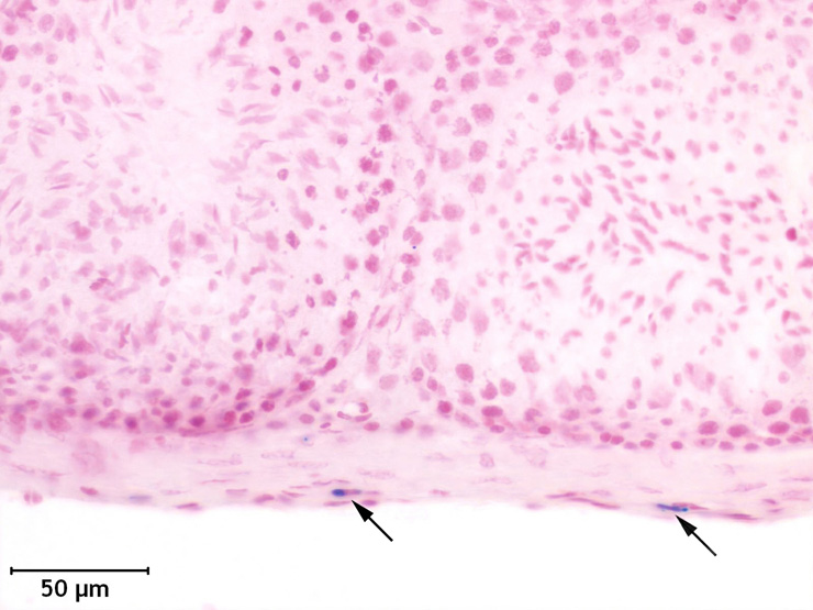
TS28: larynx Weak Regionally restricted 12564047 There is scattered expression in the ganglia.

Specimen Mouse 135983 - Image 12564048: postnatal day 50; Casp12tm1Dgen/Casp12+ (more )
Structure Level Pattern Image Note
TS28: larynx Moderate Regionally restricted 12564048 Expression is frequently seen in the blood vessels of the larynx.
TS28: blood vessel Moderate Regionally restricted 12564048 Expression is frequently seen in the blood vessels of the larynx.

Specimen Mouse 135983 - Image 12564049: postnatal day 50; Casp12tm1Dgen/Casp12+ (more )
Structure Level Pattern Image Note
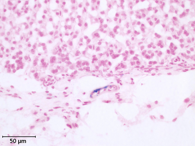
TS28: sciatic nerve Moderate 12564049 There is scattered expression in the sciatic nerve.

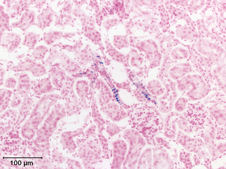
Specimen Mouse 135983 - Image 12564051: postnatal day 50; Casp12tm1Dgen/Casp12+ (more )
Structure Level Pattern Image Note
TS28: metanephros Very strong Regionally restricted 12564051 Expression is frequently seen in the arterioles of the kidney.
TS28: arteriole Very strong Regionally restricted 12564051 Expression is frequently seen in the arterioles of the kidney.

Specimen Mouse 135983 - Image 12564053: postnatal day 50; Casp12tm1Dgen/Casp12+ (more )
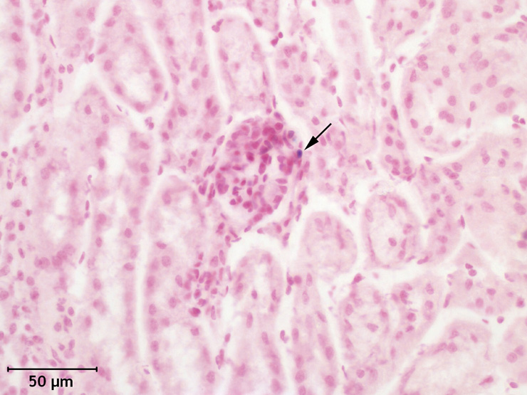
Structure Level Pattern Image Note
TS28: glomerular tuft Moderate 12564053 There is occasional staining in the glomeruli.

Specimen Mouse 135983 - Image 12564055: postnatal day 50; Casp12tm1Dgen/Casp12+ (more )
Structure Level Pattern Image Note
TS28: tongue Moderate 12564055 There is occasional staining in the tongue, including scattered expression in the blood vessels of the tongue.
TS28: blood vessel Moderate Regionally restricted 12564055 There is scattered expression in the blood vessels of the tongue.

Specimen Mouse 135983 - Image 12568922: postnatal day 50; Casp12tm1Dgen/Casp12+ (more )
Structure Level Pattern Image Note
TS28: trachea Weak Regionally restricted 12568922 There is scattered expression in the nerves of the trachea.
TS28: nerve Weak Regionally restricted 12568922 There is scattered expression in the nerves of the trachea.

Specimen Mouse 135983: postnatal day 50; Casp12tm1Dgen/Casp12+ (more )
Structure Level Pattern Image Note
TS28: esophagus Absent
TS28: gallbladder Absent
TS28: liver Absent
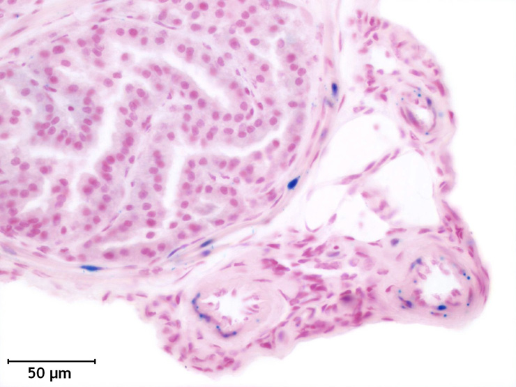
TS28: pancreas Moderate Regionally restricted Expression is frequently seen in the blood vessels of the pancreas.
TS28: blood vessel Present Regionally restricted In blood vessels, moderate expression is frequently seen in the pancreas; weak, scattered expression in the salivary gland and lymph nodes; and moderate, scattered expression in the penis.
TS28: salivary gland Weak Regionally restricted There is scattered expression in the blood vessels of the salivary gland.
TS28: pituitary gland Absent
TS28: bone marrow Absent
TS28: lymph node Weak Regionally restricted There is scattered expression in the blood vessels of the lymph node.
TS28: thymus Absent
TS28: pinna Absent There is no expression in the pinna of ear.
TS28: skin Absent
TS28: penis Moderate Regionally restricted There is scattered expression in the blood vessels of the penis.
TS28: skeletal muscle Absent
TS28: brainstem Absent
TS28: trachea blood vessel Trace Expression is frequently seen in the blood vessels of the trachea.

Specimen Mouse 135984 - Image 12337343: postnatal day 127; Casp12tm1Dgen/Casp12+ (more )
Structure Level Pattern Image Note
TS28: telencephalon Weak 12337343 There is scattered expression in the cerebrum.

Specimen Mouse 135984 - Image 12337344: postnatal day 127; Casp12tm1Dgen/Casp12+ (more )
Structure Level Pattern Image Note
TS28: telencephalon Weak 12337344 There is scattered expression in the cerebrum.

Specimen Mouse 135984 - Image 12337345: postnatal day 127; Casp12tm1Dgen/Casp12+ (more )
Structure Level Pattern Image Note
TS28: main olfactory bulb Weak 12337345 There is scattered expression in the olfactory bulb.

Specimen Mouse 135984 - Image 12568923: postnatal day 127; Casp12tm1Dgen/Casp12+ (more )
Structure Level Pattern Image Note
TS28: telencephalon Trace Regionally restricted 12568923 There is scattered expression in the blood vessels of the cerebrum.
TS28: blood vessel Trace Regionally restricted 12568923 There is scattered expression in the blood vessels of the cerebrum.

Specimen Mouse 135984 - Image 12568924: postnatal day 127; Casp12tm1Dgen/Casp12+ (more )
Structure Level Pattern Image Note
TS28: telencephalon Weak 12568924 There is scattered expression in the cerebrum.

Specimen Mouse 135984 - Image 12568926: postnatal day 127; Casp12tm1Dgen/Casp12+ (more )
Structure Level Pattern Image Note
TS28: cerebellum Strong 12568926 Expression is present in practically all cells of the cerebellum.

Specimen Mouse 135984 - Image 12568927: postnatal day 127; Casp12tm1Dgen/Casp12+ (more )
Structure Level Pattern Image Note
TS28: cerebellum Strong 12568927 Expression is present in practically all cells of the cerebellum.

Specimen Mouse 135984: postnatal day 127; Casp12tm1Dgen/Casp12+ (more )
Structure Level Pattern Image Note
TS28: brainstem Absent

Specimen Mouse 135993 - Image 12333545: postnatal day 50; Casp12tm1Dgen/Casp12+ (more )
Structure Level Pattern Image Note
TS28: ovary Strong Regionally restricted 12333545 Expression is frequently seen in the blood vessels of the ovary.
TS28: blood vessel Strong Regionally restricted 12333545 Expression is frequently seen in the blood vessels of the ovary.

Specimen Mouse 135993 - Image 12333546: postnatal day 50; Casp12tm1Dgen/Casp12+ (more )
Structure Level Pattern Image Note
TS28: uterus Strong Regionally restricted 12333546 Expression is frequently seen in the blood vessels of the uterus.
TS28: blood vessel Strong Regionally restricted 12333546 Expression is frequently seen in the blood vessels of the uterus.

Specimen Mouse 135993 - Image 12564056: postnatal day 50; Casp12tm1Dgen/Casp12+ (more )
Structure Level Pattern Image Note
TS28: cervix uteri Strong Regionally restricted 12564056 Expression is frequently seen in the ganglia.

Specimen Mouse 135993 - Image 12568979: postnatal day 50; Casp12tm1Dgen/Casp12+ (more )
Structure Level Pattern Image Note
TS28: vagina Strong Regionally restricted 12568979 Expression is frequently seen in the blood vessels of the vagina.
TS28: blood vessel Strong Regionally restricted 12568979 Expression is frequently seen in the blood vessels of the vagina.

Specimen Mouse 135993 - Image 12568980: postnatal day 50; Casp12tm1Dgen/Casp12+ (more )
Structure Level Pattern Image Note
TS28: lamina propria of bladder Moderate 12568980 There is scattered expression in the smooth muscle cells.

Specimen Mouse 135993 - Image 12929790: postnatal day 50; Casp12tm1Dgen/Casp12+ (more )
Structure Level Pattern Image Note
TS28: hypothalamus Trace 12929790 There is scattered expression in the hypothalamus.

Specimen Mouse 135993: postnatal day 50; Casp12tm1Dgen/Casp12+ (more )
Structure Level Pattern Image Note
TS28: pituitary gland Absent
TS28: cervix uteri Strong Regionally restricted Expression is frequently seen in the blood vessels of the cervix.
TS28: blood vessel Present Regionally restricted Strong expression is frequently seen in the blood vessels of the cervix. Moderate expression is frequently seen in the blood vessels of the harderian gland.
TS28: bone marrow Absent
TS28: thymus Absent
TS28: cerebellum Moderate Expression is present in practically all cells of the cerebellum.
TS28: telencephalon Moderate There is scattered expression in the cerebrum.
TS28: thalamus Trace There is scattered expression in the thalamus.
TS28: brainstem Absent
TS28: spinal cord Absent
TS28: eye Absent


Contributing Projects:
Mouse Genome Database (MGD), Gene Expression Database (GXD), Mouse Models of Human Cancer database (MMHCdb) (formerly Mouse Tumor Biology (MTB)), Gene Ontology (GO)
Citing These Resources
Funding Information
Warranty Disclaimer, Privacy Notice, Licensing, & Copyright
Send questions and comments to User Support.
last database update
01/20/2026
MGI 6.24
The Jackson Laboratory