About   Help   FAQ
Gene Expression Data
Assay Details
Assay
Reference: J:101679 Deltagen Inc, NIH initiative supporting placement of Deltagen, Inc. mice into public repositories. MGI Direct Data Submission. 2005;
Assay type: In situ reporter (knock in)
MGI Accession ID: MGI:3639181
Gene symbol: Fzd1
Gene name: frizzled class receptor 1
Reporter: lacZ
Direct Detection
Results
Specimen Mouse 233378 - Image 99208662: postnatal day 75; Fzd1tm1Dgen/Fzd1+ (more )
Structure Level Pattern Image Note
TS28: heart atrium Strong 99208662 There is scattered expression in the atrium.

Specimen Mouse 233378 - Image 99208664: postnatal day 75; Fzd1tm1Dgen/Fzd1+ (more )
Structure Level Pattern Image Note
TS28: heart ventricle Strong 99208664 There is scattered expression in the ventricles.

Specimen Mouse 233378 - Image 99246070: postnatal day 75; Fzd1tm1Dgen/Fzd1+ (more )
Structure Level Pattern Image Note
TS28: adenohypophysis pars anterior Strong 99246070 Expression is frequently seen in the pars distalis.

Specimen Mouse 233378 - Image 99246071: postnatal day 75; Fzd1tm1Dgen/Fzd1+ (more )
Structure Level Pattern Image Note
TS28: adenohypophysis pars intermedia Moderate 99246071 There is occasional staining in the pars intermedia.

Specimen Mouse 233378 - Image 99246072: postnatal day 75; Fzd1tm1Dgen/Fzd1+ (more )
Structure Level Pattern Image Note
TS28: neurohypophysis pars nervosa Very strong 99246072 There is scattered expression in the pars nervosa.

Specimen Mouse 233378 - Image 99246120: postnatal day 75; Fzd1tm1Dgen/Fzd1+ (more )
Structure Level Pattern Image Note
TS28: cerebellum Very strong 99246120 Expression is frequently seen in the cerebellum.

Specimen Mouse 233378 - Image 99246123: postnatal day 75; Fzd1tm1Dgen/Fzd1+ (more )
Structure Level Pattern Image Note
TS28: brainstem Very strong 99246123 There is scattered expression in the brainstem.

Specimen Mouse 233378 - Image 99246129: postnatal day 75; Fzd1tm1Dgen/Fzd1+ (more )
Structure Level Pattern Image Note
TS28: brainstem Strong Regionally restricted 99246129 There is scattered expression in the blood vessels of the brainstem.
TS28: blood vessel Strong Regionally restricted 99246129 There is scattered expression in the blood vessels of the brainstem.

Specimen Mouse 233378 - Image 99246132: postnatal day 75; Fzd1tm1Dgen/Fzd1+ (more )
Structure Level Pattern Image Note
TS28: brainstem Strong Regionally restricted 99246132 Expression is frequently seen in the brainstem meninges.
TS28: meninges Strong Regionally restricted 99246132 Expression is frequently seen in the brainstem meninges.

Specimen Mouse 233378 - Image 99246139: postnatal day 75; Fzd1tm1Dgen/Fzd1+ (more )
Structure Level Pattern Image Note
TS28: cerebellum granule cell layer Very strong 99246139 There is scattered expression in the granule layer.

Specimen Mouse 233378 - Image 99246145: postnatal day 75; Fzd1tm1Dgen/Fzd1+ (more )
Structure Level Pattern Image Note
TS28: cerebellum white matter Very strong 99246145 There is scattered expression in the white matter.

Specimen Mouse 233378 - Image 99246156: postnatal day 75; Fzd1tm1Dgen/Fzd1+ (more )
Structure Level Pattern Image Note
TS28: cerebellum molecular layer Moderate 99246156 Expression is frequently seen in the molecular layer.

Specimen Mouse 233378 - Image 99246161: postnatal day 75; Fzd1tm1Dgen/Fzd1+ (more )
Structure Level Pattern Image Note
TS28: cerebellum Purkinje cell layer Very strong 99246161 Expression is present in practically all cells of the Purkinje layer.

Specimen Mouse 233378 - Image 99246166: postnatal day 75; Fzd1tm1Dgen/Fzd1+ (more )
Structure Level Pattern Image Note
TS28: cerebellum Very strong Regionally restricted 99246166 There is scattered expression in the meninges of the cerebellum.
TS28: meninges Very strong Regionally restricted 99246166 There is scattered expression in the meninges of the cerebellum.

Specimen Mouse 233378 - Image 99246168: postnatal day 75; Fzd1tm1Dgen/Fzd1+ (more )
Structure Level Pattern Image Note
TS28: pituitary gland Strong 99246168 There is scattered expression in the pituitary gland.

Specimen Mouse 233378 - Image 99246169: postnatal day 75; Fzd1tm1Dgen/Fzd1+ (more )
Structure Level Pattern Image Note
TS28: spinal cord central canal Very strong 99246169 Expression is frequently seen in the central canal.

Specimen Mouse 233378 - Image 99246170: postnatal day 75; Fzd1tm1Dgen/Fzd1+ (more )
Structure Level Pattern Image Note
TS28: spinal cord dorsal horn Very strong 99246170 Expression is frequently seen in the dorsal horns.

Specimen Mouse 233378 - Image 99246171: postnatal day 75; Fzd1tm1Dgen/Fzd1+ (more )
Structure Level Pattern Image Note
TS28: spinal cord ventral horn Very strong 99246171 There is scattered expression in the ventral horns.

Specimen Mouse 233378 - Image 99246175: postnatal day 75; Fzd1tm1Dgen/Fzd1+ (more )
Structure Level Pattern Image Note
TS28: spinal cord Strong Regionally restricted 99246175 There is occasional staining in the nerves of the spinal cord.
TS28: nerve Strong Regionally restricted 99246175 There is occasional staining in the nerves of the spinal cord.

Specimen Mouse 233378 - Image 99246179: postnatal day 75; Fzd1tm1Dgen/Fzd1+ (more )
Structure Level Pattern Image Note
TS28: spinal cord white matter Very strong 99246179 There is scattered expression in the white matter.

Specimen Mouse 233378 - Image 99246180: postnatal day 75; Fzd1tm1Dgen/Fzd1+ (more )
Structure Level Pattern Image Note
TS28: spinal cord Strong Regionally restricted 99246180 Expression is frequently seen in the spinal cord meninges.
TS28: meninges Strong Regionally restricted 99246180 Expression is frequently seen in the spinal cord meninges.

Specimen Mouse 233378 - Image 99246468: postnatal day 75; Fzd1tm1Dgen/Fzd1+ (more )
Structure Level Pattern Image Note
TS28: lymph node capsule Strong 99246468 There is occasional staining in the capsule.

Specimen Mouse 233378 - Image 99246469: postnatal day 75; Fzd1tm1Dgen/Fzd1+ (more )
Structure Level Pattern Image Note
TS28: lymph node Very strong Regionally restricted 99246469 There is scattered expression in the blood vessels of the lymph node.
TS28: blood vessel Very strong Regionally restricted 99246469 There is scattered expression in the blood vessels of the lymph node.

Specimen Mouse 233378 - Image 99246470: postnatal day 75; Fzd1tm1Dgen/Fzd1+ (more )
Structure Level Pattern Image Note
TS28: lymph node Weak 99246470 There is occasional staining in the lymph nodes.

Specimen Mouse 233378 - Image 99246471: postnatal day 75; Fzd1tm1Dgen/Fzd1+ (more )
Structure Level Pattern Image Note
TS28: pancreas Very strong 99246471 Expression is frequently seen in the pancreas.

Specimen Mouse 233378 - Image 99246472: postnatal day 75; Fzd1tm1Dgen/Fzd1+ (more )
Structure Level Pattern Image Note
TS28: pancreas Very strong Regionally restricted 99246472 Expression is frequently seen in the blood vessels of the pancreas.
TS28: blood vessel Very strong Regionally restricted 99246472 Expression is frequently seen in the blood vessels of the pancreas.

Specimen Mouse 233378 - Image 99246476: postnatal day 75; Fzd1tm1Dgen/Fzd1+ (more )
Structure Level Pattern Image Note
TS28: islets of Langerhans Moderate 99246476 There is occasional staining in the islets of Langerhans.

Specimen Mouse 233378 - Image 99246477: postnatal day 75; Fzd1tm1Dgen/Fzd1+ (more )
Structure Level Pattern Image Note
TS28: spleen trabeculum Very strong 99246477 Expression is frequently seen in the trabeculae.

Specimen Mouse 233378 - Image 99246493: postnatal day 75; Fzd1tm1Dgen/Fzd1+ (more )
Structure Level Pattern Image Note
TS28: spleen Strong Regionally restricted 99246493 There is scattered expression in the blood vessels of the spleen.
TS28: blood vessel Strong Regionally restricted 99246493 There is scattered expression in the blood vessels of the spleen.

Specimen Mouse 233378 - Image 99246499: postnatal day 75; Fzd1tm1Dgen/Fzd1+ (more )
Structure Level Pattern Image Note
TS28: spleen white pulp Moderate 99246499 There is occasional staining in the white pulp.

Specimen Mouse 233378 - Image 99246502: postnatal day 75; Fzd1tm1Dgen/Fzd1+ (more )
Structure Level Pattern Image Note
TS28: spleen red pulp Strong 99246502 There is scattered expression in the red pulp.

Specimen Mouse 233378 - Image 99246503: postnatal day 75; Fzd1tm1Dgen/Fzd1+ (more )
Structure Level Pattern Image Note
TS28: spleen capsule Very strong 99246503 Expression is frequently seen in the capsule.

Specimen Mouse 233378 - Image 99246508: postnatal day 75; Fzd1tm1Dgen/Fzd1+ (more )
Structure Level Pattern Image Note
TS28: interstitium of the testis Strong 99246508 There is occasional staining in the interstitium.

Specimen Mouse 233378 - Image 99246509: postnatal day 75; Fzd1tm1Dgen/Fzd1+ (more )
Structure Level Pattern Image Note
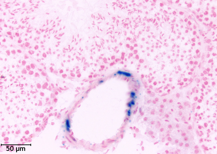
TS28: testis Very strong Regionally restricted 99246509 Expression is frequently seen in the blood vessels of the testis.
TS28: blood vessel Very strong Regionally restricted 99246509 Expression is frequently seen in the blood vessels of the testis.

Specimen Mouse 233378 - Image 99246515: postnatal day 75; Fzd1tm1Dgen/Fzd1+ (more )
Structure Level Pattern Image Note
TS28: testis Strong Regionally restricted 99246515 Expression is frequently seen in the tunica albuginea.

Specimen Mouse 233378 - Image 99246517: postnatal day 75; Fzd1tm1Dgen/Fzd1+ (more )
Structure Level Pattern Image Note
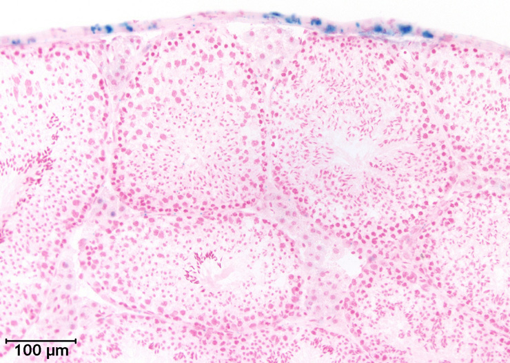
TS28: seminiferous tubule Weak 99246517 There is occasional staining in the seminiferous tubules.

Specimen Mouse 233378 - Image 99246809: postnatal day 75; Fzd1tm1Dgen/Fzd1+ (more )
Structure Level Pattern Image Note
TS28: prostate gland Very strong Regionally restricted 99246809 There is scattered expression in the stroma.

Specimen Mouse 233378 - Image 99246814: postnatal day 75; Fzd1tm1Dgen/Fzd1+ (more )
Structure Level Pattern Image Note
TS28: prostate epithelium Moderate 99246814 There is scattered expression in the epithelium.

Specimen Mouse 233378 - Image 99246823: postnatal day 75; Fzd1tm1Dgen/Fzd1+ (more )
Structure Level Pattern Image Note
TS28: aorta Very strong 99246823 Expression is frequently seen in the aorta.

Specimen Mouse 233378 - Image 99246835: postnatal day 75; Fzd1tm1Dgen/Fzd1+ (more )
Structure Level Pattern Image Note
TS28: aorta Strong Regionally restricted 99246835 There is scattered expression in the periaortic adipose tissue.
TS28: adipose tissue Strong Regionally restricted 99246835 There is scattered expression in the periaortic adipose tissue.

Specimen Mouse 233378 - Image 99246926: postnatal day 75; Fzd1tm1Dgen/Fzd1+ (more )
Structure Level Pattern Image Note
TS28: adrenal cortex Moderate 99246926 There is scattered expression in the cortex.

Specimen Mouse 233378 - Image 99246927: postnatal day 75; Fzd1tm1Dgen/Fzd1+ (more )
Structure Level Pattern Image Note
TS28: adrenal gland Strong Regionally restricted 99246927 There is scattered expression in the capsule.

Specimen Mouse 233378 - Image 99246928: postnatal day 75; Fzd1tm1Dgen/Fzd1+ (more )
Structure Level Pattern Image Note
TS28: adrenal gland Strong Regionally restricted 99246928 Expression is frequently seen in the blood vessels of the adrenal gland.
TS28: blood vessel Strong Regionally restricted 99246928 Expression is frequently seen in the blood vessels of the adrenal gland.

Specimen Mouse 233378 - Image 99246929: postnatal day 75; Fzd1tm1Dgen/Fzd1+ (more )
Structure Level Pattern Image Note
TS28: renal cortex Strong 99246929 Expression is present in practically all cells of the cortex.

Specimen Mouse 233378 - Image 99246930: postnatal day 75; Fzd1tm1Dgen/Fzd1+ (more )
Structure Level Pattern Image Note
TS28: renal papilla Strong 99246930 Expression is present in practically all cells of the papilla.

Specimen Mouse 233378 - Image 99246931: postnatal day 75; Fzd1tm1Dgen/Fzd1+ (more )
Structure Level Pattern Image Note
TS28: renal pelvis Very strong 99246931 Expression is frequently seen in the kidney pelvis.

Specimen Mouse 233378 - Image 99246932: postnatal day 75; Fzd1tm1Dgen/Fzd1+ (more )
Structure Level Pattern Image Note
TS28: renal medulla Very strong 99246932 There is scattered expression in the medulla.

Specimen Mouse 233378 - Image 99246933: postnatal day 75; Fzd1tm1Dgen/Fzd1+ (more )
Structure Level Pattern Image Note
TS28: renal tubule Strong 99246933 Expression is frequently seen in the tubules.

Specimen Mouse 233378 - Image 99246934: postnatal day 75; Fzd1tm1Dgen/Fzd1+ (more )
Structure Level Pattern Image Note
TS28: metanephros Very strong Regionally restricted 99246934 Expression is frequently seen in the blood vessels of the kidney.
TS28: blood vessel Very strong Regionally restricted 99246934 Expression is frequently seen in the blood vessels of the kidney.

Specimen Mouse 233378 - Image 99246935: postnatal day 75; Fzd1tm1Dgen/Fzd1+ (more )
Structure Level Pattern Image Note
TS28: glomerular tuft Strong 99246935 There is scattered expression in the glomeruli.

Specimen Mouse 233378 - Image 99246936: postnatal day 75; Fzd1tm1Dgen/Fzd1+ (more )
Structure Level Pattern Image Note
TS28: heart valve Very strong 99246936 Expression is present in practically all cells of the valves.

Specimen Mouse 233378 - Image 99246937: postnatal day 75; Fzd1tm1Dgen/Fzd1+ (more )
Structure Level Pattern Image Note
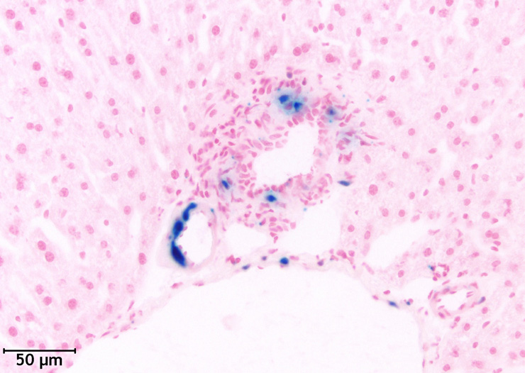
TS28: liver Very strong Regionally restricted 99246937 Expression is frequently seen in the blood vessels of the liver.
TS28: blood vessel Very strong Regionally restricted 99246937 Expression is frequently seen in the blood vessels of the liver.

Specimen Mouse 233378 - Image 99246938: postnatal day 75; Fzd1tm1Dgen/Fzd1+ (more )
Structure Level Pattern Image Note
TS28: bile duct Strong 99246938 There is scattered expression in the bile duct.

Specimen Mouse 233378 - Image 99246939: postnatal day 75; Fzd1tm1Dgen/Fzd1+ (more )
Structure Level Pattern Image Note
TS28: liver Strong 99246939 There is scattered expression in the liver.

Specimen Mouse 233378 - Image 99246940: postnatal day 75; Fzd1tm1Dgen/Fzd1+ (more )
Structure Level Pattern Image Note
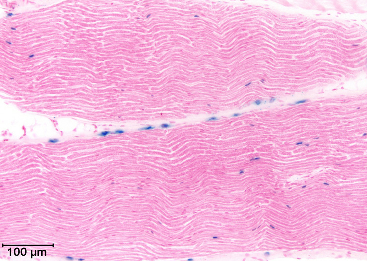
TS28: heart Very strong Regionally restricted 99246940 Expression is frequently seen in the blood vessels of the heart.
TS28: blood vessel Very strong Regionally restricted 99246940 Expression is frequently seen in the blood vessels of the heart.

Specimen Mouse 233378 - Image 99246941: postnatal day 75; Fzd1tm1Dgen/Fzd1+ (more )
Structure Level Pattern Image Note
TS28: bronchiole Very strong Regionally restricted 99246941 Expression is frequently seen in the smooth muscle cells of the bronchioles.

Specimen Mouse 233378 - Image 99246942: postnatal day 75; Fzd1tm1Dgen/Fzd1+ (more )
Structure Level Pattern Image Note
TS28: bronchiole Strong 99246942 There is scattered expression in the bronchioles.

Specimen Mouse 233378 - Image 99246943: postnatal day 75; Fzd1tm1Dgen/Fzd1+ (more )
Structure Level Pattern Image Note
TS28: lung alveolus Strong 99246943 There is scattered expression in the alveoli.

Specimen Mouse 233378 - Image 99246944: postnatal day 75; Fzd1tm1Dgen/Fzd1+ (more )
Structure Level Pattern Image Note
TS28: lung Very strong Regionally restricted 99246944 Expression is frequently seen in the blood vessels of the lung.
TS28: blood vessel Very strong Regionally restricted 99246944 Expression is frequently seen in the blood vessels of the lung.

Specimen Mouse 233378 - Image 99246945: postnatal day 75; Fzd1tm1Dgen/Fzd1+ (more )
Structure Level Pattern Image Note
TS28: thyroid gland Very strong Regionally restricted 99246945 Expression is frequently seen in the blood vessels of the thyroid gland.
TS28: blood vessel Very strong Regionally restricted 99246945 Expression is frequently seen in the blood vessels of the thyroid gland.

Specimen Mouse 233378 - Image 99246946: postnatal day 75; Fzd1tm1Dgen/Fzd1+ (more )
Structure Level Pattern Image Note
TS28: thyroid gland Very strong 99246946 There is scattered expression in the thyroid gland.

Specimen Mouse 233378 - Image 99246947: postnatal day 75; Fzd1tm1Dgen/Fzd1+ (more )
Structure Level Pattern Image Note
TS28: trachea Very strong 99246947 Expression is frequently seen in the trachea.

Specimen Mouse 233378 - Image 99246948: postnatal day 75; Fzd1tm1Dgen/Fzd1+ (more )
Structure Level Pattern Image Note
TS28: trachea cartilage Strong 99246948 Expression is frequently seen in the cartilage.

Specimen Mouse 233378 - Image 99246949: postnatal day 75; Fzd1tm1Dgen/Fzd1+ (more )
Structure Level Pattern Image Note
TS28: thymus Moderate Regionally restricted 99246949 There is scattered expression in the blood vessels of the thymus.
TS28: blood vessel Moderate Regionally restricted 99246949 There is scattered expression in the blood vessels of the thymus.

Specimen Mouse 233378 - Image 99246950: postnatal day 75; Fzd1tm1Dgen/Fzd1+ (more )
Structure Level Pattern Image Note
TS28: thymus medullary core Weak 99246950 There is occasional staining in the medulla.

Specimen Mouse 233378 - Image 99246951: postnatal day 75; Fzd1tm1Dgen/Fzd1+ (more )
Structure Level Pattern Image Note
TS28: hair follicle Strong 99246951 There is scattered expression in the hair follicles.

Specimen Mouse 233378 - Image 99246952: postnatal day 75; Fzd1tm1Dgen/Fzd1+ (more )
Structure Level Pattern Image Note
TS28: dermis Strong 99246952 There is scattered expression in the dermis.

Specimen Mouse 233378 - Image 99246953: postnatal day 75; Fzd1tm1Dgen/Fzd1+ (more )
Structure Level Pattern Image Note
TS28: sebaceous gland Moderate 99246953 There is scattered expression in the sebaceous gland.

Specimen Mouse 233378 - Image 99246955: postnatal day 75; Fzd1tm1Dgen/Fzd1+ (more )
Structure Level Pattern Image Note
TS28: skeletal muscle Moderate Regionally restricted 99246955 There is scattered expression in the blood vessels of the skeletal muscle.
TS28: blood vessel Moderate Regionally restricted 99246955 There is scattered expression in the blood vessels of the skeletal muscle.

Specimen Mouse 233378 - Image 99246956: postnatal day 75; Fzd1tm1Dgen/Fzd1+ (more )
Structure Level Pattern Image Note
TS28: skeletal muscle Very strong 99246956 There is occasional staining in the skeletal muscle.

Specimen Mouse 233378 - Image 99246957: postnatal day 75; Fzd1tm1Dgen/Fzd1+ (more )
Structure Level Pattern Image Note
TS28: sciatic nerve Strong 99246957 There is scattered expression in the sciatic nerve.

Specimen Mouse 233378: postnatal day 75; Fzd1tm1Dgen/Fzd1+ (more )
Structure Level Pattern Image Note
TS28: bone marrow Absent
TS28: cerebellum Moderate Regionally restricted There is scattered expression in the blood vessels of the cerebellum.
TS28: blood vessel Moderate Regionally restricted There is scattered expression in the blood vessels of the cerebellum and spinal cord.
TS28: spinal cord Moderate Regionally restricted There is scattered expression in the blood vessels of the spinal cord.

Specimen Mouse 263913 - Image 99193667: postnatal day 50; Fzd1tm1Dgen/Fzd1+ (more )
Structure Level Pattern Image Note
TS28: telencephalon Very strong 99193667 Expression is present in practically all cells of the cerebrum.

Specimen Mouse 263913 - Image 99193668: postnatal day 50; Fzd1tm1Dgen/Fzd1+ (more )
Structure Level Pattern Image Note
TS28: cerebellum Very strong 99193668 Expression is present in practically all cells of the cerebellum.

Specimen Mouse 263913 - Image 99193669: postnatal day 50; Fzd1tm1Dgen/Fzd1+ (more )
Structure Level Pattern Image Note
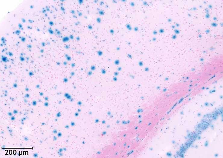
TS28: brainstem Very strong 99193669 Expression is present in practically all cells of the brainstem.

Specimen Mouse 263913 - Image 99246052: postnatal day 50; Fzd1tm1Dgen/Fzd1+ (more )
Structure Level Pattern Image Note
TS28: brain Very strong 99246052 Expression is present in practically all cells of the brain.

Specimen Mouse 263913 - Image 99246961: postnatal day 50; Fzd1tm1Dgen/Fzd1+ (more )
Structure Level Pattern Image Note
TS28: ciliary body Very strong 99246961 Expression is present in practically all cells of the ciliary body.

Specimen Mouse 263913 - Image 99246965: postnatal day 50; Fzd1tm1Dgen/Fzd1+ (more )
Structure Level Pattern Image Note
TS28: cornea Moderate 99246965 There is scattered expression in the cornea.

Specimen Mouse 263913 - Image 99246967: postnatal day 50; Fzd1tm1Dgen/Fzd1+ (more )
Structure Level Pattern Image Note
TS28: lens Very strong 99246967 Expression is frequently seen in the lens.

Specimen Mouse 263913 - Image 99246971: postnatal day 50; Fzd1tm1Dgen/Fzd1+ (more )
Structure Level Pattern Image Note
TS28: pigmented retinal epithelium Strong 99246971 There is scattered expression in the pigment layer.

Specimen Mouse 263913 - Image 99246977: postnatal day 50; Fzd1tm1Dgen/Fzd1+ (more )
Structure Level Pattern Image Note
TS28: retina inner nuclear layer Strong 99246977 There is scattered expression in the inner nuclear layer.
TS28: sclera Very strong 99246977 Expression is frequently seen in the sclera.

Specimen Mouse 263913 - Image 99246982: postnatal day 50; Fzd1tm1Dgen/Fzd1+ (more )
Structure Level Pattern Image Note
TS28: retina ganglion cell layer Strong 99246982 Expression is frequently seen in the ganglion cell layer.

Specimen Mouse 263913 - Image 99246984: postnatal day 50; Fzd1tm1Dgen/Fzd1+ (more )
Structure Level Pattern Image Note
TS28: retina outer nuclear layer Strong 99246984 There is scattered expression in the outer nuclear layer.

Specimen Mouse 263913 - Image 99247077: postnatal day 50; Fzd1tm1Dgen/Fzd1+ (more )
Structure Level Pattern Image Note
TS28: lamina propria of bladder Very strong 99247077 Expression is frequently seen in the lamina propria.

Specimen Mouse 263913 - Image 99247078: postnatal day 50; Fzd1tm1Dgen/Fzd1+ (more )
Structure Level Pattern Image Note
TS28: urothelium of bladder Strong Regionally restricted 99247078 There is scattered expression in the epithelium.

Specimen Mouse 263913 - Image 99247079: postnatal day 50; Fzd1tm1Dgen/Fzd1+ (more )
Structure Level Pattern Image Note
TS28: bladder Very strong Regionally restricted 99247079 Expression is frequently seen in the blood vessels in the urinary bladder.
TS28: blood vessel Very strong Regionally restricted 99247079 Expression is frequently seen in the blood vessels in the urinary bladder.

Specimen Mouse 263913 - Image 99247080: postnatal day 50; Fzd1tm1Dgen/Fzd1+ (more )
Structure Level Pattern Image Note
TS28: lamina propria of bladder Very strong 99247080 Expression is present in practically all cells of the muscularis.

Specimen Mouse 263913 - Image 99247081: postnatal day 50; Fzd1tm1Dgen/Fzd1+ (more )
Structure Level Pattern Image Note
TS28: ovary Strong Regionally restricted 99247081 There is scattered expression in the stroma.

Specimen Mouse 263913 - Image 99247082: postnatal day 50; Fzd1tm1Dgen/Fzd1+ (more )
Structure Level Pattern Image Note
TS28: ovary Moderate Regionally restricted 99247082 There is scattered expression in the blood vessels of the ovary.
TS28: blood vessel Moderate Regionally restricted 99247082 There is scattered expression in the blood vessels of the ovary.

Specimen Mouse 263913: postnatal day 50; Fzd1tm1Dgen/Fzd1+ (more )
Structure Level Pattern Image Note
TS28: bone marrow Absent

Specimen Mouse 317110 - Image 99246053: postnatal day 71; Fzd1tm1Dgen/Fzd1+ (more )
Structure Level Pattern Image Note
TS28: telencephalon Very strong 99246053 Expression is frequently seen in the cerebrum.

Specimen Mouse 317110 - Image 99246054: postnatal day 71; Fzd1tm1Dgen/Fzd1+ (more )
Structure Level Pattern Image Note
TS28: telencephalon Very strong 99246054 Expression is frequently seen in the cerebrum.

Specimen Mouse 317110 - Image 99246055: postnatal day 71; Fzd1tm1Dgen/Fzd1+ (more )
Structure Level Pattern Image Note
TS28: thalamus Very strong 99246055 Expression is present in practically all cells of the thalamus.

Specimen Mouse 317110 - Image 99246056: postnatal day 71; Fzd1tm1Dgen/Fzd1+ (more )
Structure Level Pattern Image Note
TS28: amygdala Very strong 99246056 Expression is frequently seen in the amygdala.

Specimen Mouse 317110 - Image 99246057: postnatal day 71; Fzd1tm1Dgen/Fzd1+ (more )
Structure Level Pattern Image Note
TS28: hippocampus Very strong 99246057 Expression is present in practically all cells of the hippocampus.

Specimen Mouse 317110 - Image 99246058: postnatal day 71; Fzd1tm1Dgen/Fzd1+ (more )
Structure Level Pattern Image Note
TS28: telencephalon Strong Regionally restricted 99246058 There is occasional staining in the choroid plexus of the cerebrum.
TS28: choroid plexus Strong Regionally restricted 99246058 There is occasional staining in the choroid plexus of the cerebrum.

Specimen Mouse 317110 - Image 99246059: postnatal day 71; Fzd1tm1Dgen/Fzd1+ (more )
Structure Level Pattern Image Note
TS28: cerebral cortex Very strong 99246059 Expression is frequently seen in the cortex.

Specimen Mouse 317110 - Image 99246060: postnatal day 71; Fzd1tm1Dgen/Fzd1+ (more )
Structure Level Pattern Image Note
TS28: hypothalamus Very strong 99246060 Expression is frequently seen in the hypothalamus.

Specimen Mouse 317110 - Image 99246061: postnatal day 71; Fzd1tm1Dgen/Fzd1+ (more )
Structure Level Pattern Image Note
TS28: telencephalon Very strong Regionally restricted 99246061 Expression is frequently seen in the cerebral meninges.
TS28: meninges Very strong Regionally restricted 99246061 Expression is frequently seen in the cerebral meninges.

Specimen Mouse 317110 - Image 99246062: postnatal day 71; Fzd1tm1Dgen/Fzd1+ (more )
Structure Level Pattern Image Note
TS28: caudate-putamen Very strong 99246062 There is scattered expression in the caudate-putamen.

Specimen Mouse 317110 - Image 99246063: postnatal day 71; Fzd1tm1Dgen/Fzd1+ (more )
Structure Level Pattern Image Note
TS28: brain ventricle Very strong Regionally restricted 99246063 Expression is present in practically all cells of a ventricle in the cerebrum.

Specimen Mouse 317110: postnatal day 71; Fzd1tm1Dgen/Fzd1+ (more )
Structure Level Pattern Image Note
TS28: telencephalon Strong Regionally restricted There is scattered expression in the blood vessels of the cerebrum.
TS28: blood vessel Strong Regionally restricted There is scattered expression in the blood vessels of the cerebrum.


Contributing Projects:
Mouse Genome Database (MGD), Gene Expression Database (GXD), Mouse Models of Human Cancer database (MMHCdb) (formerly Mouse Tumor Biology (MTB)), Gene Ontology (GO)
Citing These Resources
Funding Information
Warranty Disclaimer, Privacy Notice, Licensing, & Copyright
Send questions and comments to User Support.
last database update
03/24/2026
MGI 6.24
The Jackson Laboratory