About   Help   FAQ
Gene Expression Data
Assay Details
Assay
Reference: J:101679 Deltagen Inc, NIH initiative supporting placement of Deltagen, Inc. mice into public repositories. MGI Direct Data Submission. 2005;
Assay type: In situ reporter (knock in)
MGI Accession ID: MGI:3639178
Gene symbol: Sstr1
Gene name: somatostatin receptor 1
Reporter: lacZ
Direct Detection
Results
Specimen Mouse 210064 - Image 45368228: postnatal day 51; Sstr1tm1Dgen/Sstr1+ (more )
Structure Level Pattern Image Note
TS28: cerebral cortex Moderate 45368228 There is scattered expression in the cortex.

Specimen Mouse 210064 - Image 45368833: postnatal day 51; Sstr1tm1Dgen/Sstr1+ (more )
Structure Level Pattern Image Note
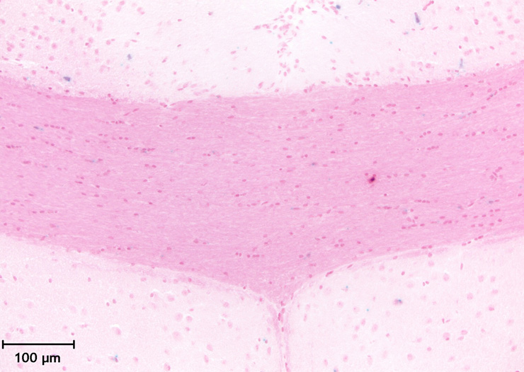
TS28: corpus callosum Trace 45368833 There is scattered expression in the corpus callosum.

Specimen Mouse 210064 - Image 45370565: postnatal day 51; Sstr1tm1Dgen/Sstr1+ (more )
Structure Level Pattern Image Note
TS28: hypothalamus Weak 45370565 There is scattered expression in the hypothalamus.

Specimen Mouse 210064 - Image 45371135: postnatal day 51; Sstr1tm1Dgen/Sstr1+ (more )
Structure Level Pattern Image Note
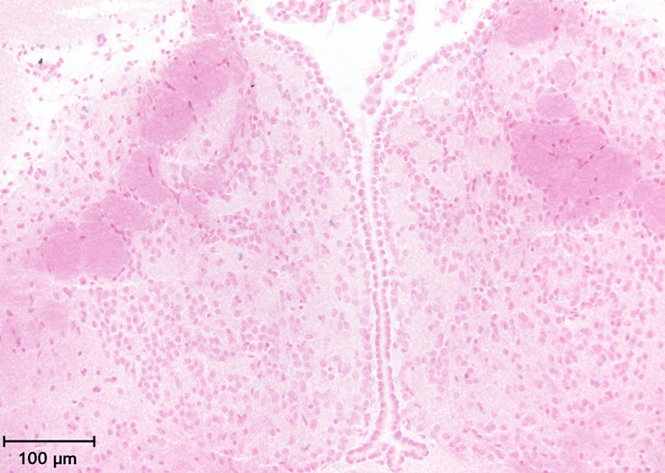
TS28: habenula Weak 45371135 There is scattered expression in the habenular nuclei.

Specimen Mouse 210064 - Image 45371723: postnatal day 51; Sstr1tm1Dgen/Sstr1+ (more )
Structure Level Pattern Image Note
TS28: adenohypophysis pars intermedia Strong 45371723 Expression is present in practically all cells of the pars intermedia.

Specimen Mouse 210064 - Image 45376853: postnatal day 51; Sstr1tm1Dgen/Sstr1+ (more )
Structure Level Pattern Image Note
TS28: larynx epithelium Strong 45376853 Expression is frequently seen in the epithelial cells.
TS28: larynx submucosa gland Strong Regionally restricted 45376853 Expression is frequently seen in the epithelial cells.

Specimen Mouse 210064 - Image 45377990: postnatal day 51; Sstr1tm1Dgen/Sstr1+ (more )
Structure Level Pattern Image Note
TS28: trachea cartilage Weak 45377990 There is occasional staining in the cartilage.
TS28: trachea epithelium Weak 45377990 Expression is frequently seen in the mucosal epithelium.

Specimen Mouse 210064 - Image 45380072: postnatal day 51; Sstr1tm1Dgen/Sstr1+ (more )
Structure Level Pattern Image Note
TS28: anterior prostate gland Moderate 45380072 There is scattered expression in the coagulating gland.

Specimen Mouse 210064 - Image 46790788: postnatal day 51; Sstr1tm1Dgen/Sstr1+ (more )
Structure Level Pattern Image Note
TS28: prostate epithelium Moderate 46790788 There is scattered expression in the epithelial cells.

Specimen Mouse 210064 - Image 64679317: postnatal day 51; Sstr1tm1Dgen/Sstr1+ (more )
Structure Level Pattern Image Note
TS28: telencephalon Absent 64679317 There is scattered expression in the cerebrum.

Specimen Mouse 210064 - Image 64680790: postnatal day 51; Sstr1tm1Dgen/Sstr1+ (more )
Structure Level Pattern Image Note
TS28: telencephalon Weak 64680790 There is scattered expression in the cerebrum.

Specimen Mouse 210064 - Image 64682962: postnatal day 51; Sstr1tm1Dgen/Sstr1+ (more )
Structure Level Pattern Image Note
TS28: caudate-putamen Weak 64682962 There is scattered expression in the caudate-putamen.

Specimen Mouse 210064 - Image 64685037: postnatal day 51; Sstr1tm1Dgen/Sstr1+ (more )
Structure Level Pattern Image Note
TS28: hippocampus Weak 64685037 There is scattered expression in the hippocampus.

Specimen Mouse 210064 - Image 64685439: postnatal day 51; Sstr1tm1Dgen/Sstr1+ (more )
Structure Level Pattern Image Note
TS28: dentate gyrus Weak 64685439 There is scattered expression in the dentate gyrus.

Specimen Mouse 210064 - Image 64686250: postnatal day 51; Sstr1tm1Dgen/Sstr1+ (more )
Structure Level Pattern Image Note
TS28: thalamus Trace 64686250 There is scattered expression in the thalamus.

Specimen Mouse 210064 - Image 64701592: postnatal day 51; Sstr1tm1Dgen/Sstr1+ (more )
Structure Level Pattern Image Note
TS28: lateral septal complex Weak Regionally restricted 64701592 There is scattered expression in the lateral septal nucleus.

Specimen Mouse 210064 - Image 64702453: postnatal day 51; Sstr1tm1Dgen/Sstr1+ (more )
Structure Level Pattern Image Note
TS28: amygdala Weak 64702453 There is scattered expression in the amygdala.

Specimen Mouse 210064 - Image 64706478: postnatal day 51; Sstr1tm1Dgen/Sstr1+ (more )
Structure Level Pattern Image Note
TS28: adenohypophysis pars anterior Moderate 64706478 There is scattered expression in the pars distalis.

Specimen Mouse 210064 - Image 64706861: postnatal day 51; Sstr1tm1Dgen/Sstr1+ (more )
Structure Level Pattern Image Note
TS28: neurohypophysis pars nervosa Strong 64706861 There is occasional staining in the pars nervosa.

Specimen Mouse 210064 - Image 64710323: postnatal day 51; Sstr1tm1Dgen/Sstr1+ (more )
Structure Level Pattern Image Note
TS28: laryngeal cartilage Strong 64710323 There is scattered expression in the cartilage.

Specimen Mouse 210064 - Image 64713829: postnatal day 51; Sstr1tm1Dgen/Sstr1+ (more )
Structure Level Pattern Image Note
TS28: tongue Strong Regionally restricted 64713829 There is scattered expression in the epithelial cells of the mucous glands.

Specimen Mouse 210064 - Image 64714401: postnatal day 51; Sstr1tm1Dgen/Sstr1+ (more )
Structure Level Pattern Image Note
TS28: testis Trace 64714401 There is scattered expression in the testis.

Specimen Mouse 210064: postnatal day 51; Sstr1tm1Dgen/Sstr1+ (more )
Structure Level Pattern Image Note
TS28: aorta Absent
TS28: heart Absent
TS28: esophagus Absent
TS28: gallbladder Absent
TS28: liver Absent
TS28: pancreas Absent
TS28: salivary gland Absent
TS28: adrenal gland Absent
TS28: thyroid gland Absent
TS28: bone marrow Absent
TS28: spleen Absent
TS28: lymph node Absent
TS28: thymus Absent
TS28: ear Absent
TS28: skin Absent
TS28: ampullary gland Absent
TS28: penis Absent
TS28: seminal vesicle Absent
TS28: skeletal muscle Absent
TS28: cerebellum Absent
TS28: brainstem Absent
TS28: sciatic nerve Absent
TS28: spinal cord Absent
TS28: lung Absent
TS28: metanephros Absent
TS28: bladder Absent

Specimen Mouse 210068 - Image 46787547: postnatal day 51; Sstr1tm1Dgen/Sstr1+ (more )
Structure Level Pattern Image Note
TS28: adenohypophysis pars anterior Moderate 46787547 There is scattered expression in the pars distalis.
TS28: adenohypophysis pars intermedia Very strong 46787547 Expression is present in practically all cells of the pars intermedia.
TS28: neurohypophysis pars nervosa Strong 46787547 There is scattered expression in the pars nervosa.

Specimen Mouse 210068 - Image 46932705: postnatal day 51; Sstr1tm1Dgen/Sstr1+ (more )
Structure Level Pattern Image Note
TS28: brain Moderate 46932705 Expression is frequently seen in the brain.
TS28: telencephalon Moderate 46932705 Expression is frequently seen in the cerebrum.

Specimen Mouse 210068 - Image 46933005: postnatal day 51; Sstr1tm1Dgen/Sstr1+ (more )
Structure Level Pattern Image Note
TS28: cerebellum Trace 46933005 There is scattered expression in the cerebellum.

Specimen Mouse 210068 - Image 46933015: postnatal day 51; Sstr1tm1Dgen/Sstr1+ (more )
Structure Level Pattern Image Note
TS28: brainstem Moderate 46933015 There is scattered expression in the brainstem.

Specimen Mouse 210068: postnatal day 51; Sstr1tm1Dgen/Sstr1+ (more )
Structure Level Pattern Image Note
TS28: ovary Absent
TS28: oviduct Absent
TS28: uterus Absent
TS28: vagina Absent
TS28: bone marrow Absent
TS28: thymus Absent
TS28: Harderian gland Absent
TS28: spinal cord Absent
TS28: eye Absent
TS28: bladder Absent


Contributing Projects:
Mouse Genome Database (MGD), Gene Expression Database (GXD), Mouse Models of Human Cancer database (MMHCdb) (formerly Mouse Tumor Biology (MTB)), Gene Ontology (GO)
Citing These Resources
Funding Information
Warranty Disclaimer, Privacy Notice, Licensing, & Copyright
Send questions and comments to User Support.
last database update
01/20/2026
MGI 6.24
The Jackson Laboratory